小柴胡汤治疗太阳证更明显的咳嗽



  林某,男,50岁,因“咳嗽1周”,于2022-01-05入院。
  入院症见:间歇性咳嗽,每次咳嗽2-5声,白天夜间均有咳嗽,咳中等量黄色粘痰,易咳出,恶寒,怕冷,出汗,流清涕,活动后气促,心悸,颈肩部疼痛,双上肢麻木疼痛,腰及双下肢串麻痛,口苦,口干,精神可,纳眠差,二便调。舌质淡,苔白腻,脉浮弦滑。
  查体:双下肺可闻及少许湿性啰音及哮鸣音。  
  既往史:有煤矿、水泥搬运工作史。
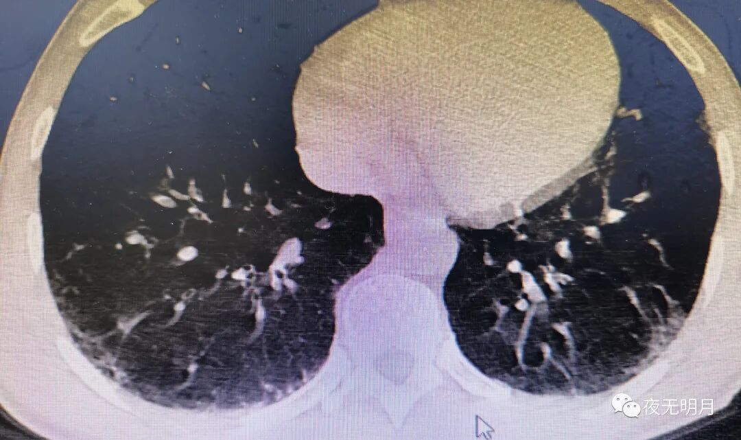
  辅助检查资料:
  入院胸部CT:1、多发蜂窝影及网格影,考虑肺间质性纤维化改变,请治疗后复查。2、纵隔内多发肿大淋巴结。颈椎CT结论:C2/3、3/4、4/5、5/6、6/7颈椎退行性改变;C3-4椎间隙变窄。
门诊血常规:白细胞17.31x10^9/L。类风湿因子35IU/ml。

  诊断:
  中医诊断:外感咳嗽 邪入少阳证
  西医诊断:1、肺间质纤维化;2、社区获得性肺炎 非重症。
  治疗西医予抗感染及对症治疗。
  中医予小柴胡汤治疗,具体方药如下:

2022-01-06查房,患者诉咳嗽、咳痰症状已明显减轻,口苦,口干症状较昨日缓解。

(01-05日舌像)
2022-01-07查房,患者诉仍时有咳嗽,已无明显口苦、口干症状。嘱其继续服用前方。

(01-06日舌像)
  本次处方去了人参、大枣,加了五味子、干姜。是根据《伤寒论》小柴胡加减法则加减, 如下:

  开始看见患者上诉症状的时候,我曾想用麻黄杏仁甘草石膏(因为痰热黄)、小青龙一类(因为怕冷,流清涕),正在犹豫不定的时候仔细看了下患者的神情,满脸的忧郁表现得十分明显,直接问患者是不是有什么不开心的事?他说他压力比较大,家里面有六个孩子,一个大学毕业了,两个高中,两个初中,还有一个没说在干嘛。为了挣钱养家,他干过5-10年的煤矿挖掘工作,搬运过水泥,长期建筑工地工作等。所以其肺间质纤维化可能与职业史相关,又因为类风湿因子升高,其肺间质纤维化也可能与免疫相关。限制于我们基层条件,就嘱其半年复查一次胸部CT,定期复查风湿免疫相关检查,保存好现在的CT以便日后做对照。
  最后决定用小柴胡汤的原因:
  一是因为情志抑郁,有少阳枢机不利的表现。
  二是有口苦、口干等少阳证的表现。
  来看一下《伤寒论》相关条文:
  【5】伤寒二三日,阳明、少阳证不见者,为不传也。(患者有口干、口苦症状,所以可以判断其有传经的表现了,不再是单纯的太阳证。)
  【172】太阳与少阳合病,自下利者,与黄芩汤;若呕者,黄芩加半夏生姜汤主之。(这里是合病,而不是传经之并病。)
  【101】伤寒中风,有柴胡证,但见一证便是,不必悉具。凡柴胡汤病证而下之,若柴胡证不罢者,复与柴胡汤,必蒸蒸而振,却复发热汗出而解。(但见一证便是,不必悉具。)


到顶部