【每日晨读】看出异乎寻常的你



读万卷书行万里路

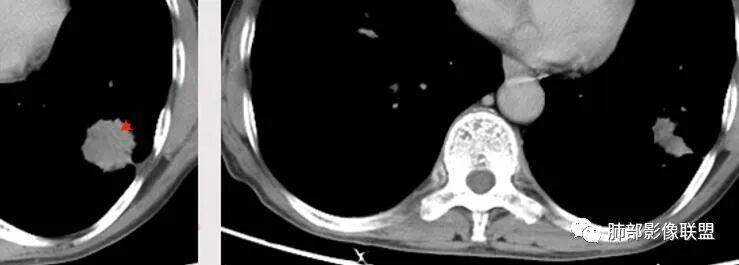
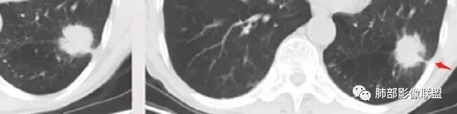
1
病例资料


















2

群内发言

金豆:
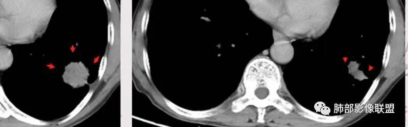
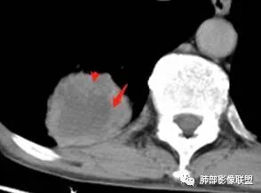
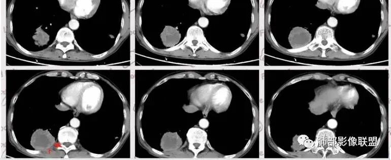
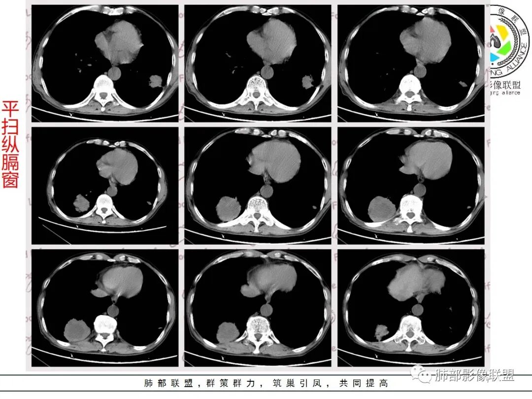
老年男性,肺气肿背景,结核病史。右肺下叶病灶,分叶不明显,局部可疑栽赃,毛刺略呈毛刷感,远端阻塞性肺炎改变,轻微强化,走行血管僵硬,湖泊样坏死,考虑鳞癌。左肺病灶边缘有分叶、毛刺及胸膜牵拉的恶性征象,也有平直收缩的良性征象,可疑卫星灶,这类良恶征象都有判断比较纠结,常规思路:炎性放前边,腺癌待排。
空格:
临床病史很长,背痛9年可能与左侧胸膜炎有关。两上肺陈旧性结核伴肺气肿没有问题。左下肺病灶,分叶毛刺、胸膜凹陷、指状凸起,增强轻度强化,腺癌问题不大。右侧附加题有些困难,病灶内血管显影,不像结核的表现,先把结核否掉?鳞癌和慢性脓肿的鉴别:支持良性的征像,低密度区内也有细小血管影,不像鳞癌坏死?与胸膜关系整体还是比较和谐,边缘还算光整,毛刺都在远端,不支持慢性脓肿的的地方,周围支气管管壁都很干净。恶性征像,与支气管的关系图片给的不够。坏死边缘不光整,有些浅分叶。总体,我觉得坏死区血管的存在更有价值,验证一下,右侧首先考虑慢性脓肿。
晕晕菜:
患者老年男性,因咳嗽 咳痰 背痛就诊。既往有喉及肺结核病史。胸部CT:左下肺实性病灶,边缘可见短硬毛刺,分叶,胸膜牵拉,增强可见强化,考虑肺腺癌。
右下肺实性病灶,进入病灶支气管阻塞,支气管壁增厚,病灶内可见坏死,内壁凸凹不平,增强可见病灶强化,考虑恶性病变,鳞癌?
蕊:
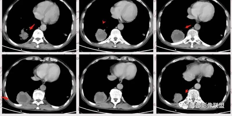
老年男性,结核、慢性病史,肺气肿背景,右肺胸膜下肿块影,边界清晰,边缘膨隆,中度环形强化,内见边界清晰坏死区,并见部分强化小血管,鳞癌破坏力强,而且病灶一侧支气管受推移,首先考虑右肺结核,鉴别鳞癌,左肺考虑腺癌,胸膜牵拉,膨隆生长,边缘毛刺样,潜在分叶。
小兜:
老年男性,既往肺结核病史。肺气肿背景,可见钙化灶及条索影。右肺下叶胸膜类圆形占位,边界清晰,内部可见边界清晰的坏死区,轻度强化,考虑为结核可能;左肺下叶结节,可见分叶,毛刺,胸膜牵拉,增强可见强化,考虑为恶性,腺癌可能。
一切∮随缘:
左肺肺气肿,双肺多发结节,上肺多发纤维索条影及钙化,符合陈旧性结核病变。右肺下叶结块,边缘毛糙,内部可见低密度坏死,环形强化,坏死边界清楚,考虑脓肿,OP。左肺下叶结节,边缘可见毛刺,深分叶,边缘收缩,远端牵拉胸膜,考虑肺癌,腺癌。
甄德强:
老年男性,肺气肿背景,左肺下叶结节,深分叶,毛刺,胸膜牵拉,内部可见坏死,坏死边界不清,不均匀强化。右肺下叶大肿块,边缘有毛刺,多发小灶性坏死,胸膜下有侵犯,考虑恶性,左肺下叶腺癌,右肺下叶低分化鳞癌。
玫:
男,64岁,咳嗽咳痰,气喘10余年,右肺下叶软组织密度肿块影,边界清晰,边缘见细短毛刺及分叶,轻度胸膜粘连,病灶内密度不均,增强扫描看见坏死区,病灶边缘明显强化,考虑鳞癌可能。左肺下叶病灶深分叶、毛刺、胸膜牵拉,考虑腺癌可能,除外转移性病变。
王秀仙:
双肺陈旧性肺结核,肺气肿背景。右肺下叶肿块,边缘毛糙,内部可见大片低密度坏死,环形强化,坏死边界清楚,考虑鳞癌。左肺下叶结节,边缘可见毛刺,深分叶,有收缩,有膨隆,胸膜牵拉,考虑腺癌。
平常心:
双侧恶性肿瘤应该没有问题,右肺的话,坏死明显,壁光滑,肉瘤样癌,鳞癌,低分化腺或粘液腺。

3

南边老师分析
南边:
结核多年

南边:
这些考虑陈旧结核及其继发性改变


南边:
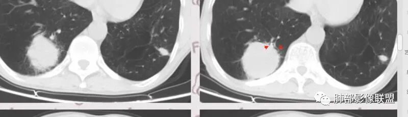
大家说说右下叶病灶有啥特点?与左肺病灶有啥差异?



平常心:
左边毛刺多,毛糙,收缩力大,胸膜牵拉。右边坏死多,边缘光滑,毛刺少
王江涛:
右侧坏死明显
金豆:
右肺增强有强化,湖泊样坏死
南边:
为啥不一元论?大小有差异吗?形态有差异吗?与支气管关系有差异吗?边缘有差异吗?内部密度与强化有差异吗?附近结构有差异吗?大概就这几方面去讨论。
南边:
右大、左小
甄德强:
左侧分叶,胸膜凹陷明显
南边:
右侧光滑一些,左侧毛刺明显一些
Ao..葉偲雨!:
左边的支气管没有看清,右边坏死多,左边毛刺,有收缩力
南边:
1.左侧分叶深一些

2.右侧糊墙

  
左侧胸膜凹陷

3.左侧支气管显示欠佳,似乎在门口堵塞

 
右侧支气管门口堵塞,有推移迹象


4.右侧坏死明显,内部囊变坏死边缘部分清楚、部分不清


  
左侧坏死不明显

南边:
虽然有一些平直凹陷边缘,但是也有棘状突起征



南边:
大家看看,各自考虑啥?
毛勤香:
左肺分叶毛刺,支持腺癌,右肺肿块湖泊样坏死,边缘毛糙,壁厚不均匀,肺气肿背景,支持鳞癌
南边:
都有恶性特点

4
病理结果

特特(病例提供者):
右下肺穿刺,病理科医生考虑癌肉瘤,两种成分!
病理科老师当时来我们科讨论,就是有鳞癌和肉瘤两种成分呢,应该就是我们说的癌肉瘤或者肉瘤样癌一类
南边:
右下肺应该是,比较支持
蔡笑燕:
今天晨读我觉得最有特征性的就是那个强化,环状强化,周围强化比较明显的是癌,血供丰富,中间应该是肉瘤粘液变性,而且边界比较清楚,这个也算肉瘤样癌比较有特征性的,其他的跟其他恶性确实不好鉴别
毛勤香:
做个延迟强化才好看,如果粘液会渐进性强化,当然坏死对比剂也可以渗透进去,就是时间比较长,两位老师都有道理,我表示分不清,病理来明确吧。


小结
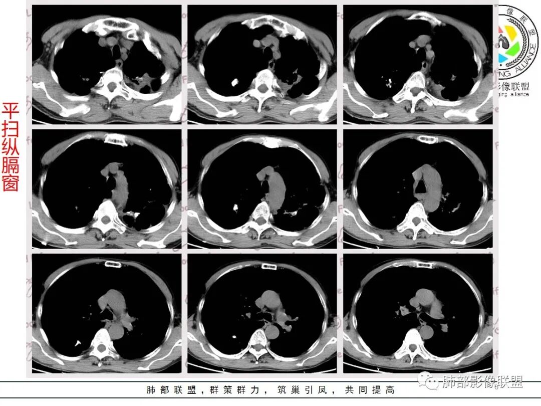
一、本例主要分析右肺下叶病灶:
      主要征象:病灶分叶不明显、较光整,局部胸膜栽赃,支气管门口堵塞,有推移迹象;增强后坏死明显,内部囊变坏死边缘部分清楚、部分不清楚,病灶内可见血管,局部稍毛糙,实性部分强化较明显,总体考虑恶性病变。一部分征象指向鳞癌(支气管截断、坏死较多,病灶内血管破坏),但又有肉瘤的一些特点(病灶较大,缺乏分叶,坏死边界清晰),要考虑到肉瘤样癌。
二、原发性肺肉瘤样癌(PSC)
      1、2004版定义肉瘤样癌为一类分化差的非小细胞癌,包括5个亚型(多形性癌、梭形细胞癌、巨细胞癌、癌肉瘤和肺母细胞瘤),2015版将多形性癌、梭形细胞癌和巨细胞癌独立出来,归于一个章节,癌肉瘤及肺母细胞瘤各归为独立章节,可能从侧面反映了3类肿瘤在发生部位、发病人群及组织形态和分子遗传学方面确有不同。目前组织学研究认为,PSC是一组起源于相同原始上皮、经上皮-间质转化(EMT)后形成的一组转化性癌。肿瘤恶性程度高,易发生转移,预后较差。主要治疗措施为手术切除。
     2、本例最后病理考虑多形性癌(PC),PC是一类分化差的含有梭形细胞和/或巨细胞或只由梭形或巨细胞成分组成的非小细胞癌。对多形性癌仍要求肿瘤性梭形细胞和/或巨细胞至少占10%,小活检或细胞标本中可描述肉瘤样成分,不要求做出确切的诊断。
     3、本病好发于60岁以上的老年男性,多数有吸烟史。周围型多于中央型,病灶边缘较清楚,多数光整圆钝,部分可见浅分叶,少数有毛刺,无胸膜凹陷征出现。CT平扫时呈软组织密度,较小的肿块密度较均匀,肿块较大时中央常出现坏死。增强扫描肿块多呈斑片状不均匀强化,而肿瘤周边厚薄不均的囊壁样强化较具特征性。周围型多数位于胸膜下,常常侵犯胸膜或胸壁。
     4.免疫组化:梭形细胞癌Vim、CK、EMA弥漫(+)。巨细胞癌Vim、CK、TTF-1弥漫(+)。多形性鳞癌CK5/6、P63(+),腺癌TTF-1、Napsin-A、CK7(+),肉瘤样成分Vim弥漫(+),S-100、Desmin、SMA(-)。癌肉瘤腺癌、腺鳞癌CK5/6、EMA、Cam5.2、TTF-1、Napsin-A(+),纤维肉瘤Vim(+)。肺母细胞瘤上皮成分CK、EMA、TTF-1(+),间质成分Vim(+)。
      5、PSC各亚型间的鉴别主要依赖充分取材,尤其对一个缺乏明显上皮分化的肉瘤样肿瘤通过广泛取材若找到腺癌或者鳞癌的成分有助于诊断。
参考文献
    1.中华胸心血管外科杂志,2019年11月第35卷第11期《15例原发性肺肉瘤样癌临床病理观察》;
    2.中华病理学杂志,2015年9月第44卷第9期《2015版WHO肺肿瘤分类解读》;
    3.实用放射学杂志,2013年9月第29卷第9期《原发性肺肉瘤样癌的病理亚型及其CT表现》。



编辑:杨丽、赵永兵
审核:徐  晓
到顶部