【每日晨读】后纵隔囊中探秘



01
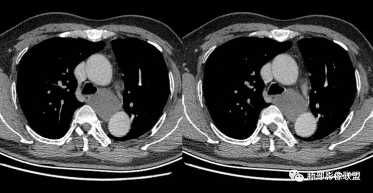
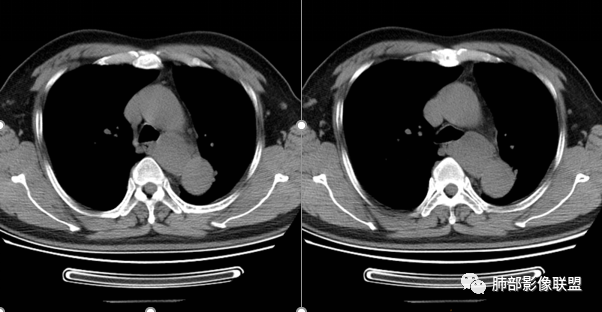
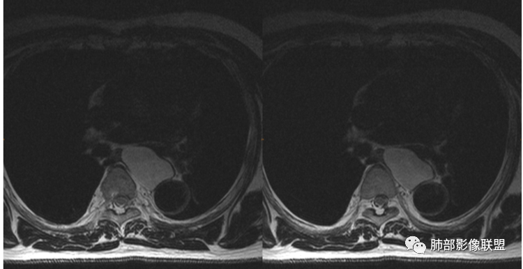
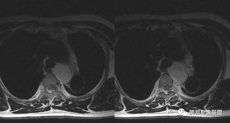
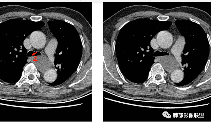
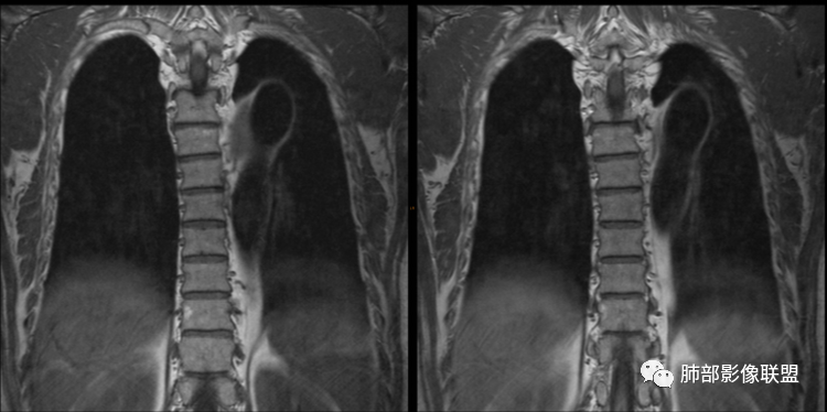
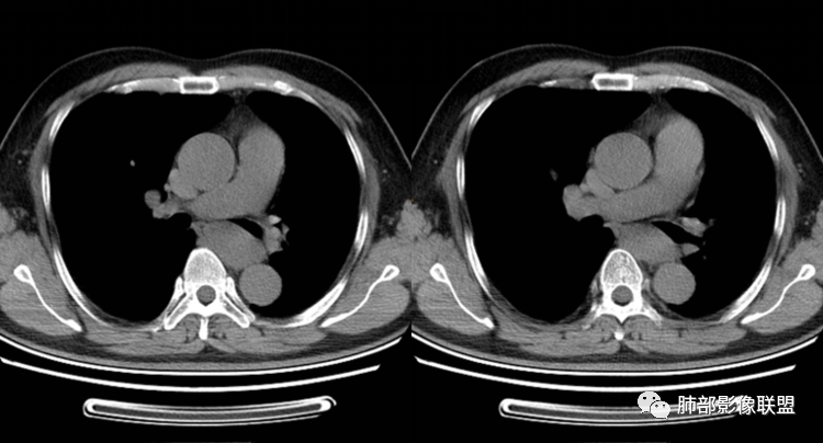
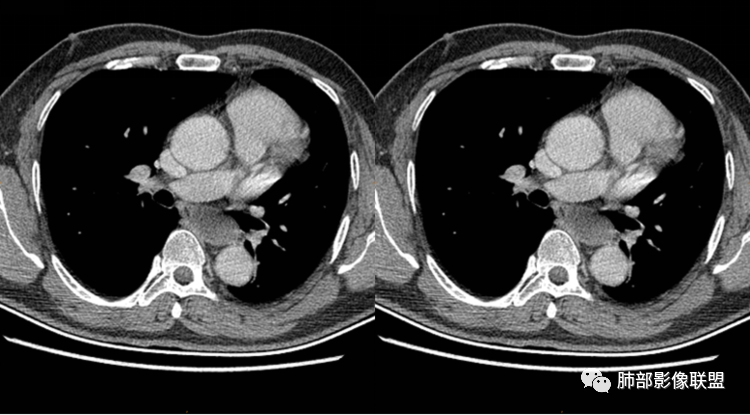
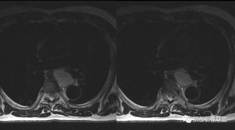
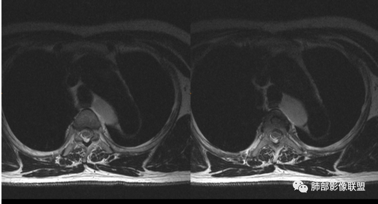
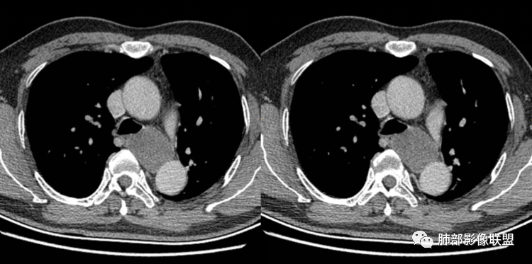
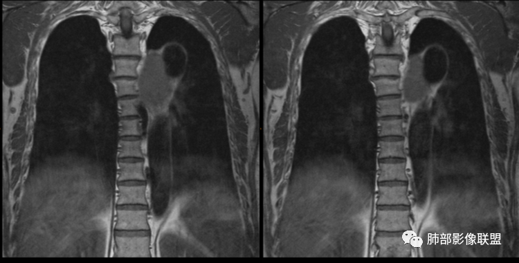
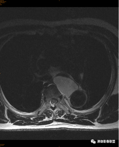
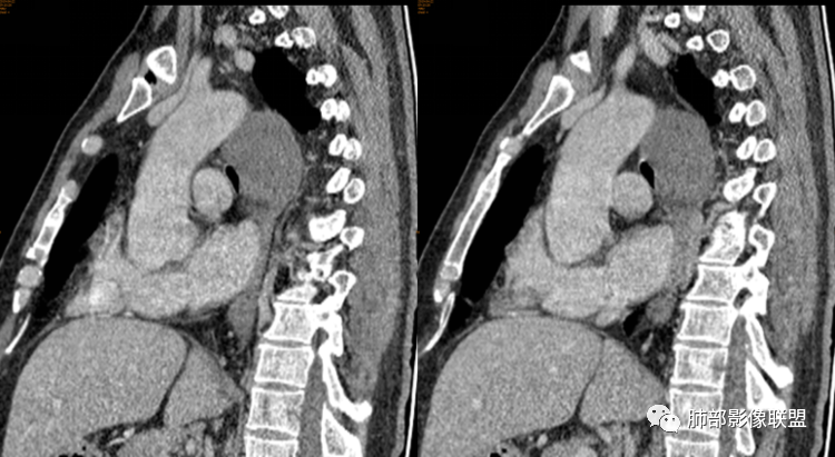
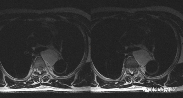
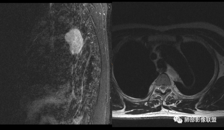
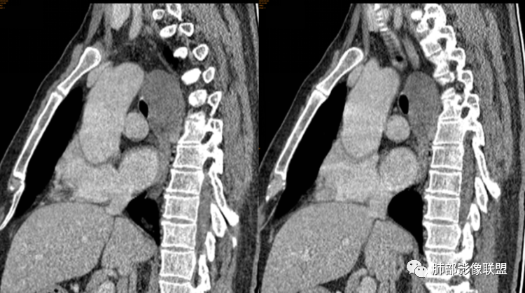
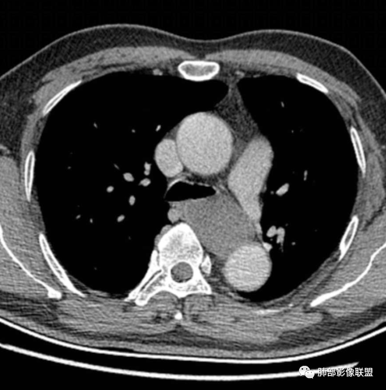
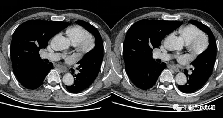
病例资料
      2020年4月8日晨读















































  

02
讨论部分
曹志勇:
后纵隔囊性占位,强化不明显,边缘光滑,考虑良性病变,神经源性?具体不会看。
RockJ-ason:
中年男性,气管左后方病变,规则,边界清晰,囊性无明显强化,考虑良性病变,气管源性囊肿可能。
陈学君:
后纵隔囊性肿块,与气管及食管关系密切,从发病率上选气管囊肿。鉴别节瘤。
杨泽锋:
从MRI信号来看不支持单纯性囊肿,CT上看密度低强化无或者低而且柔软,上下径较长,考虑节细胞瘤可能大,和神经鞘瘤鉴别。
凝睦:
后纵隔囊肿,密度均匀无强化,考虑气管源性囊肿。
徐飞:
后纵隔占位,食管及气管受压推移,边缘光滑,内密度均匀,无钙化,囊变坏死,增强无明显强化。考虑良性,支气管源性囊肿首选。
甄德强:
@诸暨市人民医院杨泽锋?我支持你诊断,病灶偏软,未见明显强化,T1信号不是很低,支持神经节细胞瘤。
哞:
磁共振上显示不是水的信号,考虑神经源性肿瘤。
加勒比海蓝:
t2看起来跟椎管脑脊液信号差不多,应该还是囊性的吧。
考虑囊肿,或者什么病变囊变。
甄德强:

小兜:
男性,43岁,体检发现后纵隔占位,边缘光整,CT示密度均匀,周围组织受压移位,无钙化囊变及脂肪组织,增强未见明显强化。MRI:T1示肿块信号较肌肉高,T2不均匀高信号。考虑为良性病变,第一是神经节细胞瘤,其次是支气管源性囊肿。
不再涩的柠檬:
中年男性,无症状,后纵隔肿块,长径大矢状位于横径,质地偏软,塑形,等t1稍长t2,比较均质,增强轻微强化,与脊柱,主动脉,食管脂肪间隙存在,部分层面与脊柱相贴,骨质无改变,周围无肿大淋巴结,考虑神经源性肿瘤,节细胞神经瘤可能大,鉴别心包斜窦,淋巴瘤,淋巴管囊肿。
大雄:

大雄:
节细胞瘤这个位置是不是不大好考虑。
任广国:
后纵隔占位,椭圆形,边缘不规则,CT低密度,MRI长稍长T1稍长T2信号,增强扫描未见强化,支气管受压。囊性病变,考虑支气管囊肿(常见,T1WI稍低“比水高”T2WI稍高,可能与其内含有粘液或蛋白有关);鉴别淋巴管囊肿(更软塑性性更大,接近纯水MRI信号长T1长T2,受周围挤压更明显,变形。);神经节细胞瘤瘤(增强可有轻度渐进性强化,也可不强化,关键是不常见),还有就是神经源性囊肿与肠源性性囊肿。
秦化君:
后纵隔占位;食道向右侧推移,病变质软,CT平扫密度均匀,边缘清晰光整,MRI 稍长T1,长T2高,脂肪抑制高信号。考虑纵隔良性囊性占位。先考虑支气管囊肿。其它类囊肿待除外。
Sugar阿Q:
后纵隔,食管左旁囊性病变,考虑食管囊肿可能性大,鉴别气管囊肿,肠源性囊肿。
巴伟:
后纵膈类圆形占位,看着无明显强化。考虑良性占位,先考虑前肠囊肿,节细胞瘤待排。
红星:
后纵隔主动脉窗囊性成分为主的肿块,与气管紧密相连,密度或者信号很均匀, 定性是个良性病变,考虑支管囊肿。鉴别诊断就是后综合的一个神经源性肿瘤。
似水流年(陆喜红 ) :
后纵隔囊性病变,良性:支气管囊肿,淋巴管囊肿,皮样囊肿;鉴别,神经节瘤。
宇宙:后纵隔囊性肿块,无强化,支气管源性囊肿,食管囊肿,淋巴管囊肿,神经源性囊肿。
群锋:
后纵隔肿瘤,质软,等低密度,T1等高,T2高,尚均匀,未见明显强化,考虑良性,神经源性?支气管囊肿?
一切∮随缘:
后纵隔肿块,食管向右前推移,降主动脉向左后推移,病变边界清楚,延后纵隔脂肪间隙生长,较软,平扫密度均匀,增强后无强化,MRI:长T1,等长T2信号,内部信号欠均匀,考虑良性病变,囊性鞘瘤,囊性畸胎瘤,鉴别纵隔囊肿。
FeNo:
扁平,看着像良性,强化不明显,支气管囊肿?
周太狼:
后纵隔囊性占位,首先考虑支气管囊肿,鉴别肠源性囊肿。

丽:
后纵隔囊性占位,密度均匀,与左主支气管分界不清,略受压,增强后强化不明显,核磁上看肿块局部突出,信号欠均匀,考虑良性,节细胞神经瘤可能大,支气管囊肿待排。
毛勤香:
左后纵隔食管旁占位,边界清晰,增强目测未见明显强化,稍长T1稍长T2信号,信号尚均匀,病灶较软,和食管紧贴,定性良性,首先考虑前肠囊肿,以支气管囊肿可能性大,鉴别节细胞瘤。
一米阳光:
定位,后纵隔囊性占位,边界清楚,内部密度均匀,张力高,囊壁均匀,周围结构受压,增强后无强化。MRI:长T2信号。考虑良性囊性病变,支气管囊肿、淋巴管囊肿。
       
03
南边老师分析
南边:
患者,男,43岁,无意间发现纵隔肿物,无胸闷胸痛,无心慌气短,无咳嗽,无吞咽困难等不适。体检发现的,无症状。

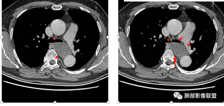
气管、左主支气管后方,食道左侧囊性占位,壁薄且均匀、光滑。气管及左主支气管受压凹陷、变形。
食道也受压变形、移位。

南边:
中纵隔与后纵隔如何界定?
请问一下这是中还是后纵隔?
秦化君:
气管后,食道侧后方,最大病灶在脊柱前。
南边:
一般心包为界。按我的想法:定位后纵隔。囊性,边界清楚光滑,良性,就可以了吧。
有外科的老师在。这种无症状的。在临床的角度是否要继续下去?
M-Imaging :
前纵隔位于胸骨之后,气管,升主动脉和心脏之前。中纵隔相当于气管、主动脉弓、心脏和肺门的区域。食管及食管以后为后纵隔。中向后生长的呢?
南边:
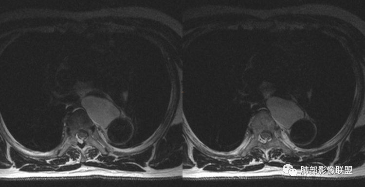
MR所见也差不多。

南边:
可能:食道囊肿,关系密切,但是直接依据不明显。
支气管囊肿、神经节细胞瘤,还有就是淋巴管囊肿。没有明确的依据
平常心:
不过我支持囊肿>神经源形肿瘤。支气管软骨我本来以为会是定位坐标,可惜没有显示清楚。
M-Imaging :
如果是支气管囊肿,来源就应该是中纵隔了吧?
南边:
那不一定。

M-Imaging :
对对,可以后纵隔,异位的组织。
淋巴管囊肿软,钻缝。这个是推挤。
平常心:


平常心:
软骨存在,病变横跨中纵隔往后挂到后纵隔。

脂肪间隙增宽,定位纵隔,对。无侵袭,良性,一般都会切。

平常心:
以心包为界,这个在中间啊。

04
病理结果

支气管囊肿


05
关于支气管囊肿

01
临床表现
(1)为纵隔囊肿的一种。可发生于纵隔的任何部位,但更常见于中上纵隔。多数与支气管、气管有密切关系,以气管右旁区域及气管隆突下区最多见。 
(2)发生可能与肺芽始基发育障碍有关。 
(3)囊内含有囊液,颜色为透明、乳白色或褐色;囊壁可分泌粘液,囊液内含有蛋白质,可能为浆液性或血性,高黏度或呈凝胶状。 
(4)一般无明显症状,较大的支气管囊肿压迫邻近结构,如气管、隆突、纵隔血管、左心房等,可伴有症状。很少感染。
02
影像学表现
(1)圆形或椭圆形、边缘光滑的病灶,囊壁薄,囊壁可见钙化;由于病变的支气管起源性,囊壁可见属于气管壁的软骨成份.
(2)囊液密度均匀,根据性质的不同而呈不同密度,可为近似水样密度,也可为较高密度,因为囊壁分泌粘液,所以囊内密度一般高于其他纵隔囊肿,CT值多大于20HU甚至超过60HU; 
(3)若囊肿内密度较高时与实性肿块鉴别较为困难,增强扫描囊液无强化为鉴别要点;但是囊壁因为含有平滑肌成份,所以可能环形强化;如果病灶合并感染,病灶壁也会明显强化。
(4)纵隔支气管囊肿含气远少于肺支气管囊肿。
(5)张力不高时可以形态柔顺,成份复杂时可以密度较高,但内部不会强化。
03
支气管囊肿的前世
   前肠是胚胎早期原始前肠的共同始基。原始前肠的侧壁发生间隔分成前后二部,前肠腹侧发育成气管、支气管; 背侧发育成食管。如胚胎发育过程中发生缺陷,则形成气管或食管囊肿。原始前肠胚芽发展过程中若外胚层脊索与内胚层分隔不全,粘连处内胚层组织受牵连,则形成食管囊肿。前肠囊肿占人纵隔肿瘤的3%~ 16% 。典型的前肠囊肿为单房囊肿,少数为多房囊肿。大多数位于中后纵隔;分型按其囊内上皮的细胞结构及囊壁内细胞成分多分为三型: 
①支气管源型囊肿是前肠囊肿中最常见的类型,多见于青中年,起源于畸形的支气管树芽,多数位于隆突下、气管旁及肺门附近,囊内多含有黄色稠厚厚黏液,囊壁可含有支气管壁正常组织,如软骨和平滑肌等,内衬纤毛柱状上皮并可局限或广泛的鳞状化生区,囊肿极少和食管相通;
②食管囊肿又称食道重复囊肿,大多数含有棕黄色混浊浆液性液体,囊肿并行于食管旁或位于食管壁内,含鳞状上皮或柱状上皮、假复层或纤毛的柱状上皮衬里,具有两层平滑肌和食管腺体是本病特征性表现;
③神经管原肠囊肿,为后纵隔病变,囊肿常与脊柱或椎管有一纤维带或蒂相连,可延伸到脊柱内而产生脊髓压迫症状。
  前肠囊肿影像分型比较困难,但是纵隔支气管囊肿往往占多数,主要与纵隔内其他囊性病变鉴别。
04
鉴别诊断 
食管重复囊肿:常与食管相通;与支气管囊肿不同的是,其囊壁一般不含有软骨。偶尔两者CT图像上鉴别困难。
心包囊肿:多与横膈相连,并以右侧心隔角区多见。CT上为接近水样密度的边界清楚病灶,偶尔囊肿内密度较高。极少数位置较高的根据CT图像对两者鉴别有一定难度。
淋巴管瘤:在CT上的密度和水相似,但也可为更高密度或包含液体、实性成分和脂肪。有时可见迂曲管状结构或分隔。淋巴管瘤可伴有血管畸形。
畸胎类肿瘤:主要指皮样囊肿。脂质密度,脂液平面,囊壁蛋壳样钙化都有助于明确诊断。畸胎瘤还可能出现牙齿、骨骼影等。
胸腺囊肿:前中上纵隔主动脉弓前多见,一般不会有囊壁钙化。
神经源性肿瘤:神经鞘瘤往往有包膜,有张力,典型的形态往往呈类圆形、“逗点形”或“哑铃型”横向延入某一椎间孔内;神经节细胞瘤虽然可以比较柔软,但是具有大量粘液基质,动静脉期强化不明显,延迟期由于粘液对造影剂的滞留,会出现渗透式轻度强化;神经源性肿瘤的解剖位置及形态很重要—沿神经干方向生长走行。后纵隔内神经鞘瘤最常见的是神经根出入椎间孔处,并可沿着肋间神经方向分布,所以后纵膈神经鞘瘤通常横径大,上下径小;神经节细胞瘤可沿着椎旁上下方向分布,所以表现为上下径相对长。

往期回顾
【胸部CT入门系列】支气管囊肿
无处藏身的支气管源性囊肿
姿势已摆好
就等你点啦
THE END

编辑:田长青
审核:蔡笑燕  徐  晓
病例提供者:中国人民解放军联勤保障部队908医院  张捷



到顶部