【每日晨读】蹊跷的肺实变—病毒"腺"形记


踏青双图



1
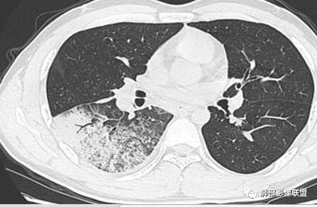
病例资料









2
精彩讨论
没意见: 
青年男性,急性起病,发热、呼吸道+消化道症状,血象低,叶段实变为主,抗感染无效,病灶短期急剧进展,累及全部下叶,考虑腺病毒肺炎,需要与军团菌肺炎鉴别,后者免疫机能低下、老年人多见,兼有精神症状、多脏器功能异常,需要更详实的实验室检查以资鉴别,另需与支原体肺炎鉴别,发病年龄符合,症状相似,影像不甚典型,需要更多影像细节。
小酸: 
青年男性,2019年4月起病,去年貌似腺病毒比较多,急性起病,发热、呼吸道症状,血象低,进展快,抗感染无效,考虑腺病毒肺炎,需要与支原体鉴别。
五谷杂粮: 
年轻患者,高热,呼吸道症状明显伴腹泻,白细胞不高,淋巴细胞低,且经验性抗感染治疗后无效,复查CT进展快首先考虑病毒性肺炎
zyf: 
青年社区发病,急性起病,右下实变影,4天进展,实变+GGO,白细胞丶淋巴细胞下降,有腹泻,考虑CAP 。
病原体:腺病毒可能性大,有腹泻,需要鉴别军团菌肺炎。
秦化君: 
青年男性,急性病程,首次CT实变周围伴磨玻璃,边缘模糊,4天后病变明显进展大片状实变,边缘部可见磨玻璃影,内见支气管气象。考虑感染性病变,支原体?病毒?
宇宙: 
初次右肺下叶斑片状磨玻璃及实变影,4天后复查明显进展,大片实变及磨玻璃,细网格,下叶近段支气管壁增厚,扩张,无胸腔积液,考虑社区获得性肺炎,病毒性肺炎?
蔡磊: 
男性,25岁。急性起病。右肺下叶斑片影,大部分实变,边缘欠清,平直,支气管气象,周围有模糊的GGO。实变快,未见胸腔积液,急性感染性病变,病毒和真菌暂时不考虑。CAP里猜个支原体吧,少见的流感嗜血杆菌?
 蕊: 
从图像上看病灶是外周起步,呈磨玻璃影,小叶核心区域,并见腺泡结节融合实变,后期发展迅速,可见小网格及小叶内间质增厚,首先考虑病毒感染,感觉病灶的起步更像些病毒,支原体带排。
东哥: 
青年男性,发热咳嗽,白细胞减少,右肺下叶大片实变,周围磨玻璃,边缘模糊,可见支气管充气征,病变进展快,首先考虑腺病毒,军团菌待排。
徐飞: 
青年男性,急性发病,发热,咳嗽咳痰伴随消化道症状,抗炎治疗无效,白细胞,淋巴细胞均减少,右下肺病变进展迅速,范围增大及实变。考虑非典型肺炎,军团?支原体?
心灵鸡汤: 
青年男性,4天前受凉咳嗽咳痰,影像表现:第一次ct示右肺下叶斑片影,边缘模糊,有晕征,第二次ct示右肺下叶大片状影,部分实变,边缘见磨玻璃模糊影,以胸膜下分布为主,与胸膜呈糊墙改变,两次复查,较前进展,白细胞不高,中性粒偏高,常规考虑感染性病变,病毒性肺炎可能,其他不排,建议病原体等相关检查。
王秀仙: 
右肺下叶片状高密度影,周围磨玻璃影,阿奇治疗无效,病变进展实变影增大,边缘膨隆伴多发间隔增厚,化验白细胞不高,淋巴细胞低,青年男性,咳嗽发热,考虑感染性病变,病毒性肺炎可能大。
流心明智: 
青年男性,咳嗽咳痰发热4天,急性起病,抗感染治疗效果不佳,白细胞计数降低。第一次CT:右下叶斑片实变影伴磨玻璃影,边缘模糊。4天后复查CT:病变快速进展,右下叶大片实变影,内可见支气管充气征,边缘模糊,可见腺泡结节,叶间裂膨隆。考虑:大叶性感染,叶间裂膨隆,肺克?军团、病毒性肺炎无法除外。
我心飞翔: 
青年男性,高热畏寒、咳嗽咳痰、咽痛、腹泻,白细胞及淋巴细胞降低,胸CT示实变+GGO,实变灶内可见支气管充气征,短期快速进展,气管壁不厚,无树芽树雾征,考虑病毒性感染。
毛勤香: 
青年男性,右肺下叶大片状实变,宽基底与胸膜相贴,糊墙,见支气管充气征,叶间裂膨隆,胸水不明显,短期迅速进展,支持感染性病变,阿奇霉素治疗无效,白细胞降低,首先考虑病毒性肺炎,军团菌印象是多叶受累,待排吧。
go and see: 
患者青年男性,急性起病且使用抗菌素治疗后仍快速进展,主要症状表现为咳嗽、咳痰、畏寒、发热4天。血常规:白细胞及淋巴细胞降低。胸部CT:右下肺背段+基底段可见实变+GGO+支气管充气征,病灶位于胸膜外带下比靠近肺门处重,支气管壁未见增厚。诊断首先感染性疾病,腺病毒性肺炎可能性最大。
尘缘: 
青年男性,病程短,受凉后发病,畏寒高热,咽疼,白细胞总数及淋巴计数降低,流感阴性。影像表现:实变+GGO+细网格征(小叶内间隔增厚),内见支气管充气征。经阿奇,派拉西林治疗后无明显效果。大方向:感染性病变,疾病谱:病毒性感染,支原体感染,其他非典型性肺炎,结合临床表现、治疗经过以及影像改变,考虑病毒性肺炎,以腺病毒可能。
3
南大分析
南边: 
急性病史,年轻男性,常规抗炎效果不佳,白细胞计数偏低

病灶位于前外基底段,胸膜下实变,周围GGO;问个问题:GGO内有细网格征吗?

尘缘: 

南边: 

就是说间质为主,因为实质为主应该肺泡腔充盈,密度高为主,进展快吧

一米阳光 (杨宏刚): 
复查进展块
南边: 
大家再看看周围的病灶,进展时细网格还是很明显吧

宇宙星空: 

尘缘: 
以小叶为单位向周围明显进展,累及间质尤其是小叶内间隔为主。
南边: 
前后对比:问一下病灶是沿周围蔓延?沿支气管蔓延?
宇宙星空: 
周围蔓延
南边: 
就是说病灶不是沿气道蔓延的

开始的病灶这里,对长轴,有冠状位、矢状位可能更好判断一些,支持间质为主的炎性病变,小气道受累比较轻,进展快;支持病毒。还有支气管的变化要看一下,这种是实变区支气管远端还是会堵塞的
尘缘: 
但是分布是胸膜下,周围重,内带轻。符合间质来源

内部支气管壁增厚不明显

这个支气管改变,也不符合支原体与普通细菌感染
 
这是一些散在分布的小叶内核心区域结节影。
南边: 
与对侧对比,看斜裂的形态是否膨隆、凹陷

一米阳光 (杨宏刚): 
叶间裂膨隆有意义?
尘缘: 
@南边 改变不明显
南边: 
一般我们的判断:
1、体积缩小——含气不全或纤维化牵拉、不张
2、整体体积稍缩小,局部膨隆、占位效应增大,一般提示局部实变,含气减少,体积缩小了,但是局部膨隆提示占位效应,警惕恶性
3、整体体积变化不明显,多为实变
判断斜裂是否膨隆,其实还存疑,存疑在哪?就是叶裂的发育,当然前后对比就更合适了

影像有很多局限性,同影异病很多
尘缘: 
有前后对比,有治疗效果评价,分析要容易些。没有临床资料,就排除不了支原体与其他细菌感染。 主要还是临床资料比较全面,有阿奇和派拉西林治疗后明显进展。这个就把支原体和普通细菌感染基本排除了。
平常心: 
考虑腺病毒肺炎,1.年龄符合,2.症状符合,3.实验室支持,4.实变为主,单叶为主。5.最重要的,有结节影。
鉴别:第一军团,少见一点。第二支原体肺炎,间质改变,树雾不明显。要排序,排第二,还有结节影少见一点。

                
病例结果:腺 病 毒 肺 炎


病毒性肺炎
      病毒是呼吸道感染最常见的病因;病毒性肺炎是由上呼吸道病毒感染,向下蔓延所致的肺部炎症;影像表现复杂,大多数以间质性肺炎为主,与其它非病毒感染性和炎症性疾病有重叠,但是部分影像具有一定的特征;好发于病毒疾病流行季节。临床起病较急,可出现发热、全身酸痛、咳嗽、咽痛等临床症状。
     病毒性肺炎的病理主要是气管支气管炎、细支气管炎、肺炎;病毒性肺炎累及终末细支气管和呼吸细支气管周围肺实质,进而累及整个肺小叶,老年人及免疫缺陷患者可快速进展为ARDS。后面出现弥漫性肺泡损伤表现为肺泡间隔有大量的炎性细胞浸润,肺泡出血、水肿,被覆含蛋白及纤维蛋白的透明隔形成,肺泡弥散距离加宽。
CT常见影像表现
间质性炎症:
 外围分布为主且边界不清的毛玻璃影、小叶间隔和小叶内间隔增厚(大网格征和细小网格)、小叶核心结节、支气管血管周围间质增厚
肺泡损伤、水肿和渗出:
  毛玻璃和实变
呼吸性细支气管炎
  边缘模糊小叶核心结节,常多发
细支气管炎
  树芽征和空气潴留
腺病毒
     腺病毒是一种DNA病毒,能引起呼吸系统、消化系统、泌尿系统等多个系统感染,以呼吸系统和粘膜感染最为常见;冬春季容易出现腺病毒感染的爆发流行;所有人群易感,以儿童多见;起病急,发热症状突出,往往高热为主,腺病毒肺炎会出现咳嗽、咳痰、呼吸困难等呼吸道症状,容易并发多系统脏器受损,并发症最常见有中毒性心肌炎、中毒性脑病、中毒性肝病等;早期白细胞检查大部分减少或正常,后面继发细菌感染后升高。CT影像表现为多发GGO和斑片实变影,沿肺叶或段分布,类似于细菌性肺炎的支气管肺炎或大叶性肺炎改变。


病例小结


     1. 青年男性,社区发病,无免疫缺陷病史;            2. 急性起病,春季为病毒感染高发季节;       3. 患者临床以高热、咳嗽、咳痰为主的呼吸道症状,而且进展迅速,这些都是提示肺部感染可能大,没有明显咽痛等上呼吸道感染症状,未检测出流感病毒,流感病毒可能性较小;      4. 白细胞和淋巴细胞减低,支原体肺炎和病毒性肺炎都可能,但是经阿奇霉素、派拉西林治疗后无明显效果,支原体肺炎和细菌性肺炎可能性小,病毒性肺炎可能较大;      5. 患者早期CT表现为斑片影,磨玻璃密度为主,小叶内间隔增厚均提示病灶为间质性改变为主,病毒性肺炎可能大。病灶迅速进展为实性密度为主,呈大叶性肺炎改变,并见成簇多结节或多片影,较符合腺病毒的影像改变。 
       注意,病毒性肺炎大多以磨玻璃密度为主,而腺病毒肺炎常以实变密度出现。患儿尤须警惕 !!!


THE  END
往期回顾
《影像牵手呼吸:超详细解读病毒性肺炎—致敬医务工作者》
姿势已摆好
就等你点啦

编辑:蔡笑燕
审核:徐  晓
病例提供者:长沙市中医医院放射科  陆喜红



到顶部