【每日晨读】 肺实变影之华山论剑



(图片来自百度)
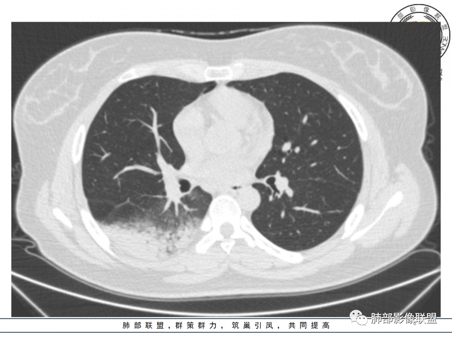
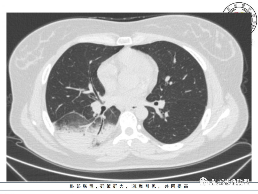
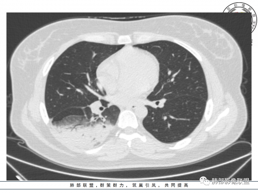
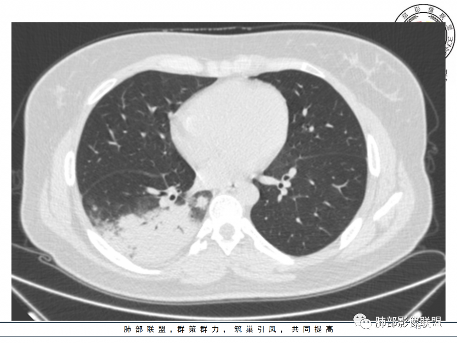
01
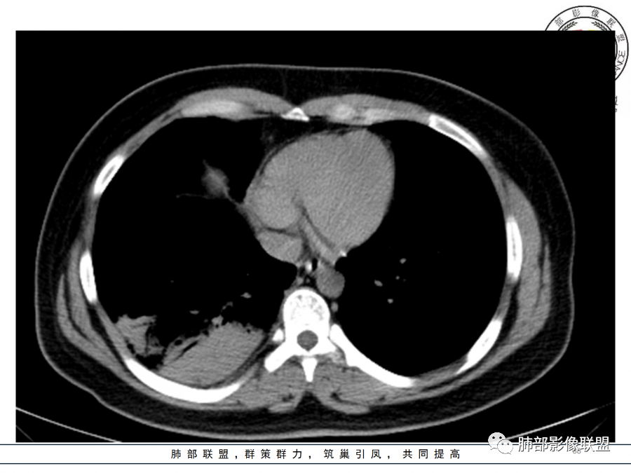
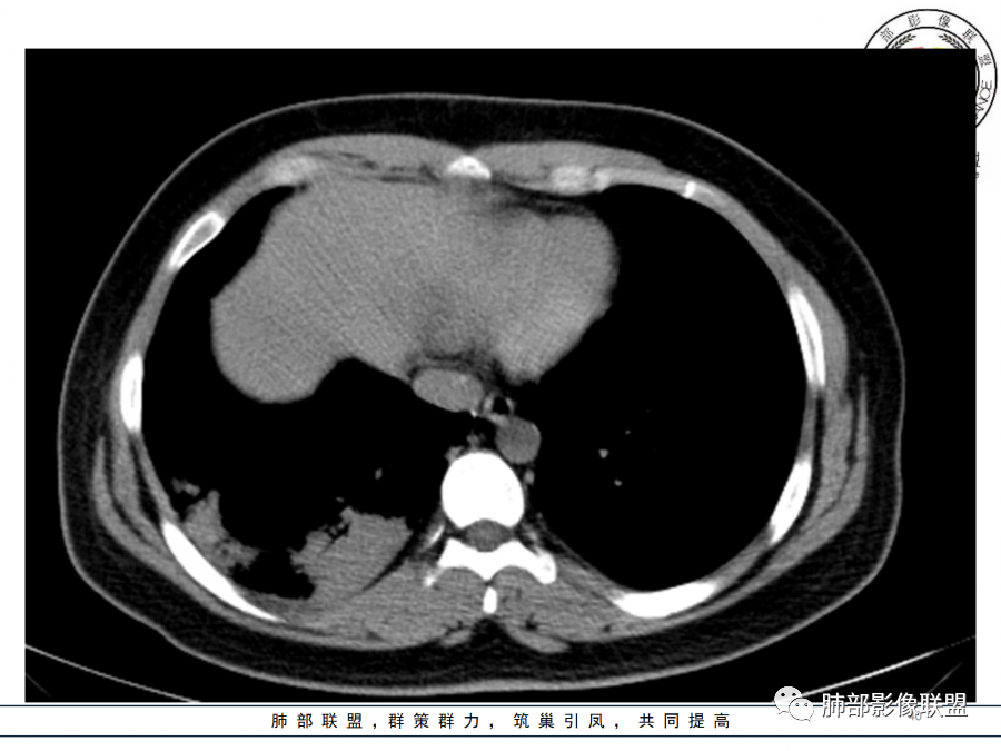
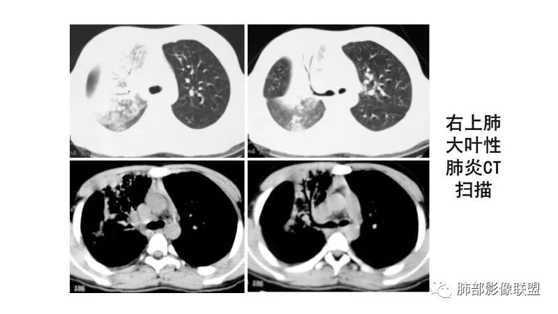
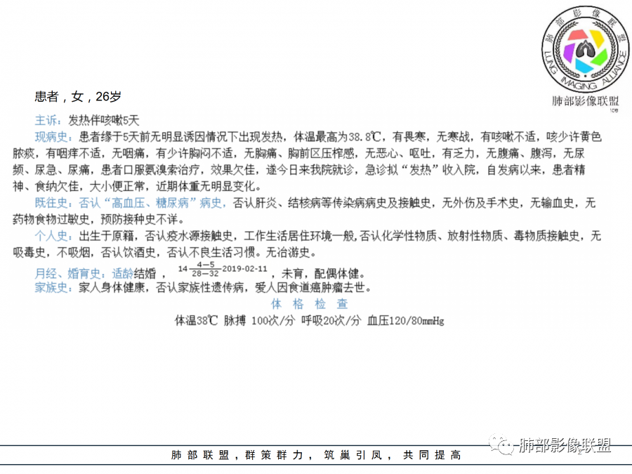
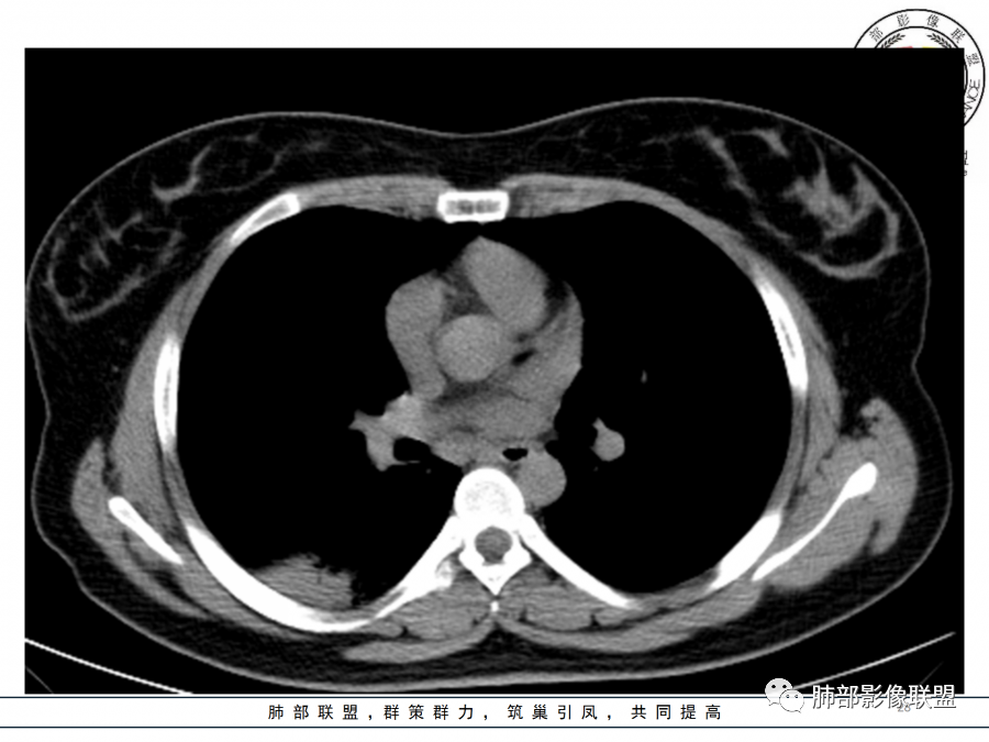
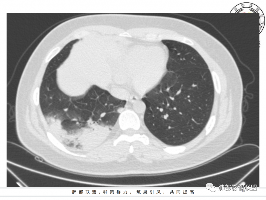
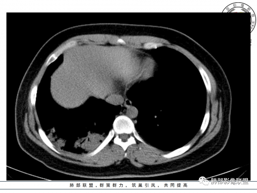
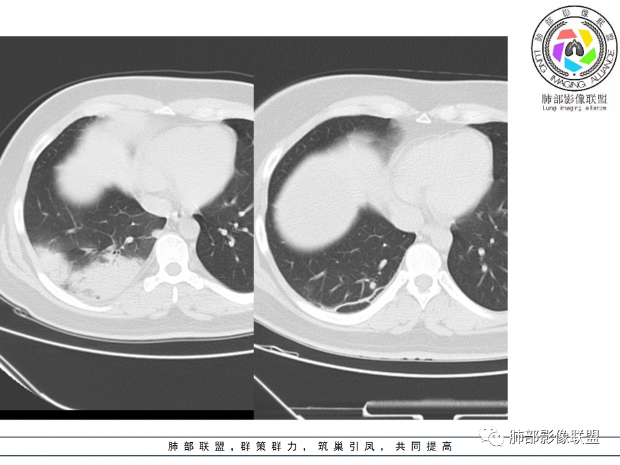
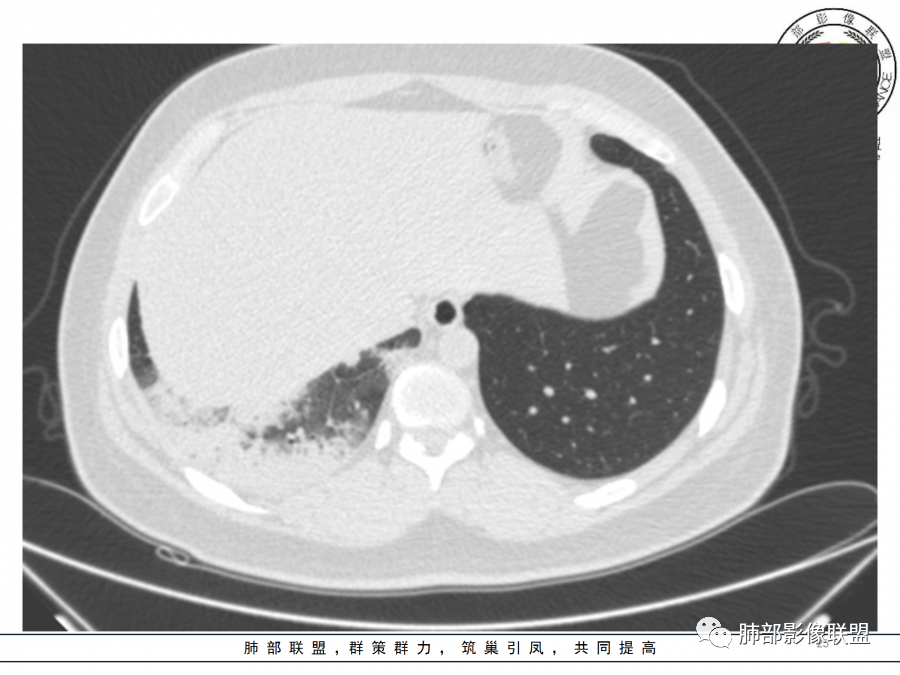
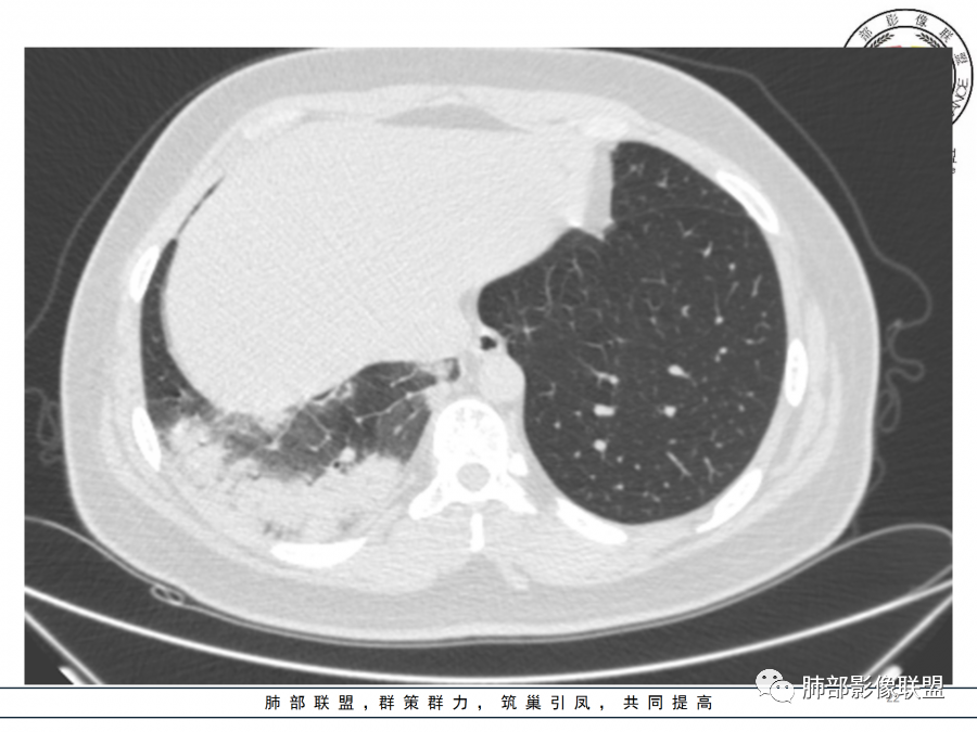
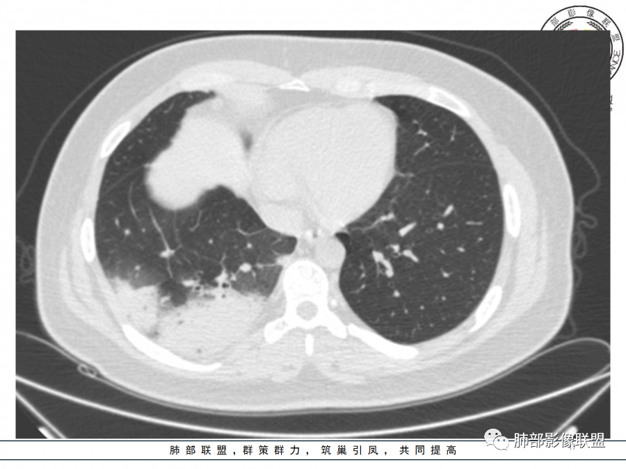
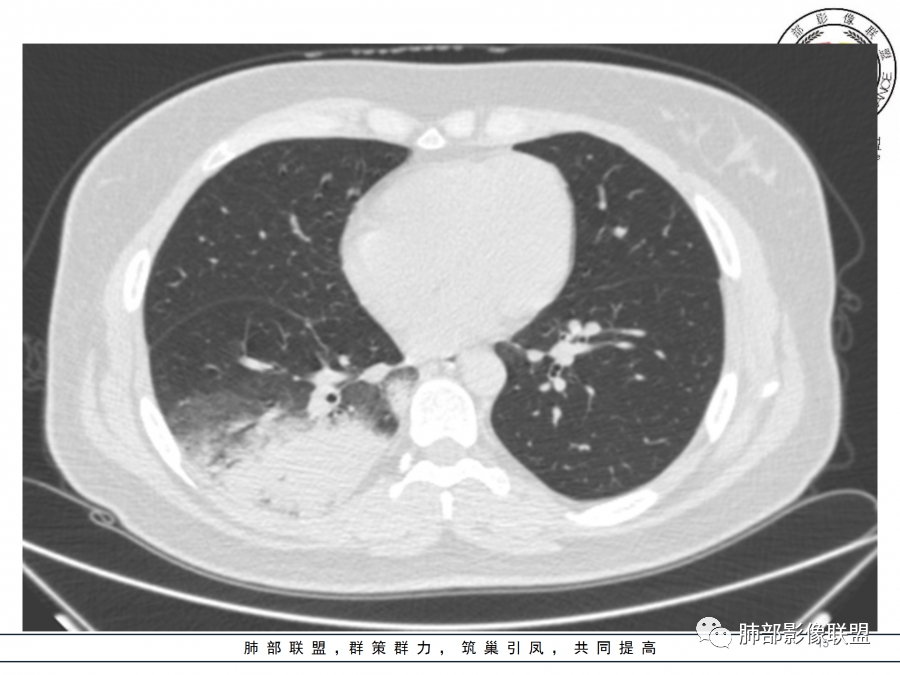
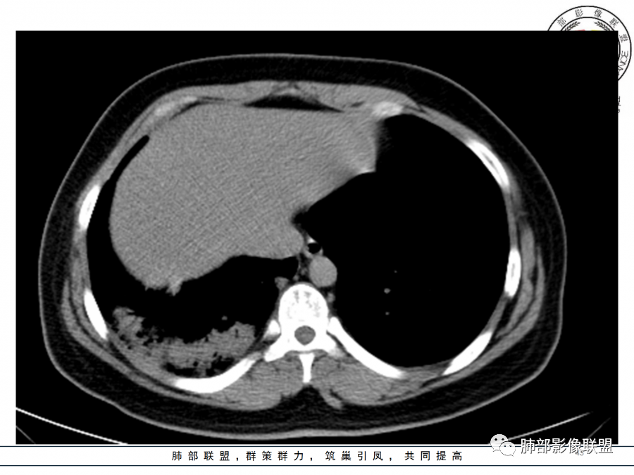
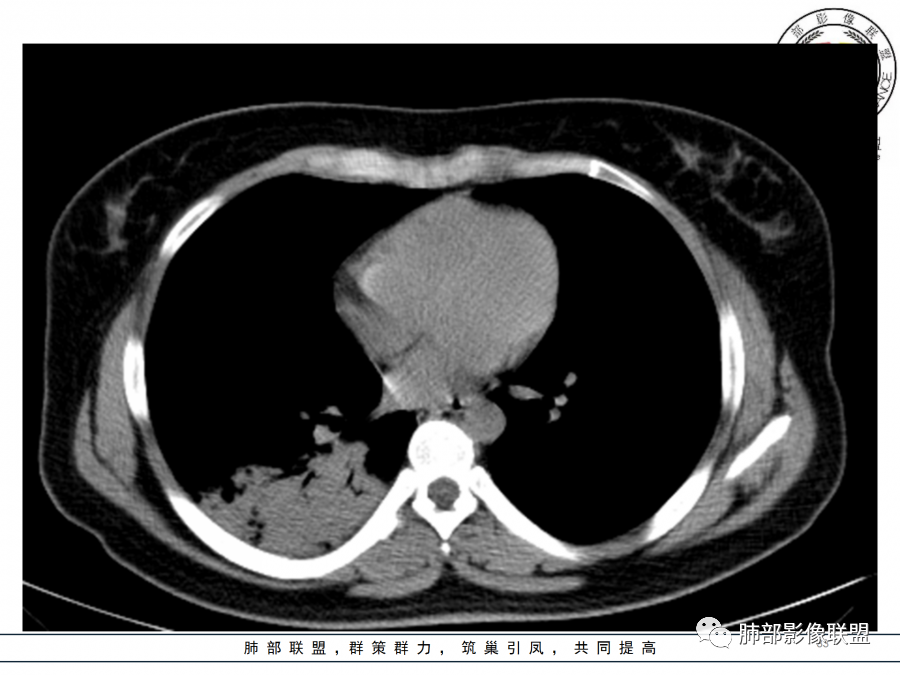
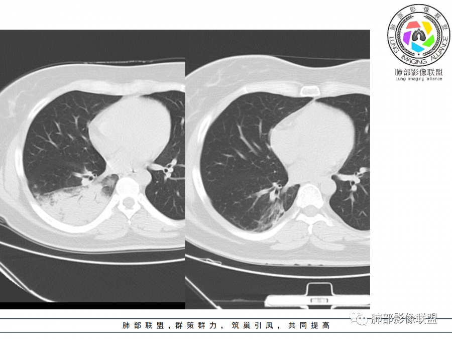
病例展示















































02
微信群发言(摘选)
定位及定性

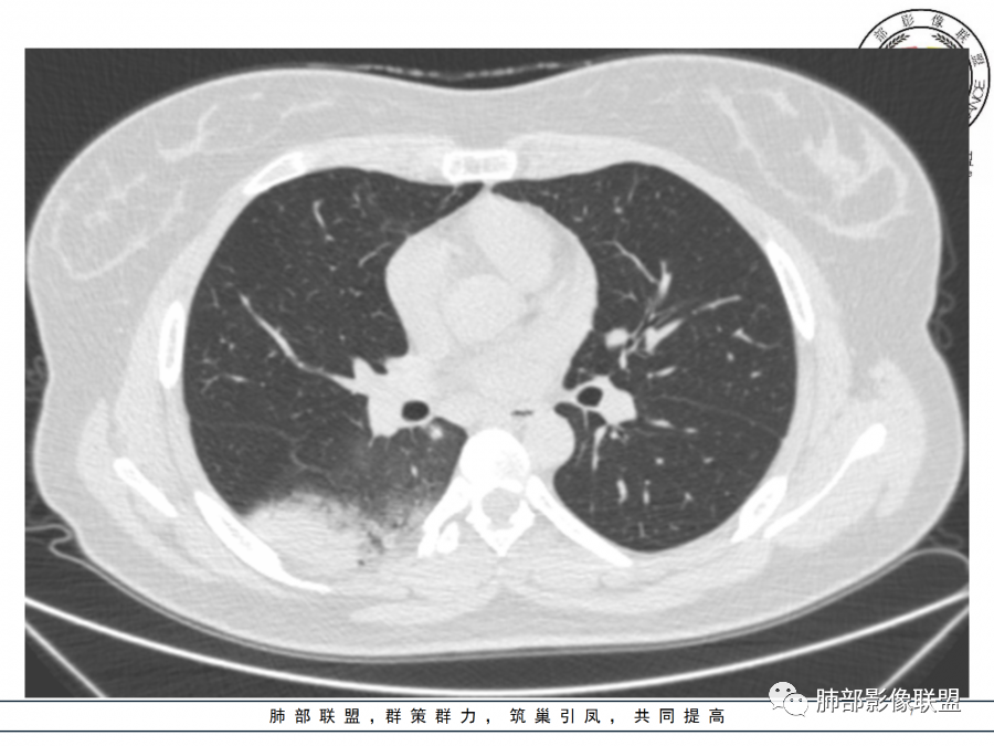
一切∮随缘
右肺胸膜下实变,病变跨多个叶生长,宽基底与胸膜相连,近端支气管穿行病灶内,并可见片状磨玻璃影,边界清,部分远端小支气管堵塞,支气管略有扩张,周围散发小结节,临床年轻女性,炎性指标高,发热六日,首先考虑感染性病变(肺链,奴卡,隐球,OP)鉴别淋巴瘤。
💓 蕊💓 
年轻女性,无明显诱因发热,体温略高,起病较急,有畏寒,右下肺紧贴胸膜下片状实变影,部分融合,外围有结节影,性质比较单一,类似于蘑菇兄弟,病灶周围伴有晕,支气管进入近端扩张远端堵塞,常规考虑感染,肺炎链球菌、隐球菌。
红日东升 
青年女性,发热咳嗽5天,炎症标志物升高。右肺下叶大片实变伴周围GGO,GGO内未见细网格,主体与胸膜平行,似多个病灶融合,实变区内见支气管部分进入,部分支气管受压狭窄,周围可见多发卫星病灶。支持炎性,考虑隐球感染,鉴别op。
薏米 
年轻女性,急性起病,咳嗽,发热,黄痰,白细胞高,CRP基本正常,基础体健。CT提示右肺下叶实变,宽基底与胸膜相连,长轴平行于胸膜,可见支气管充气征,于病变中央截断,走形自然,胸膜下脂肪间隙可见,倾向于隐球菌,鉴别肺链,军团菌等。
景俊峰 
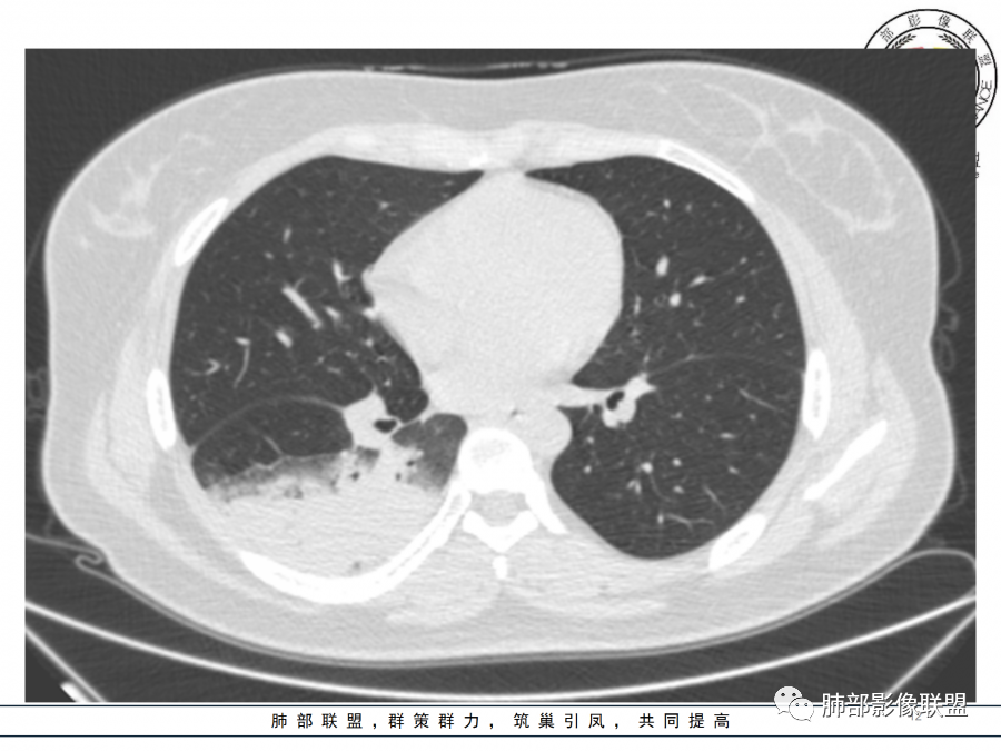
年轻患者,右肺下叶大片状实变影,长轴与胸膜平行,内见含气支气管征,周围磨玻璃晕影。考虑感染性病变,隐球?
甄德强 
病灶长轴与胸膜平行,边缘有晕,病灶融合趋势,支气管进入,走行自如,考虑隐球菌肺炎。
小兜 
年轻女性,急性发病,咳嗽咳痰五天,炎性指标升高,右肺下叶胸膜下大片实变影,周围见磨玻璃影,边界清晰,长轴与胸膜平行,呈融合趋势,支气管进入走行自然,远端截断,考虑炎性,隐球菌可能。
秋实 
年轻女性,发热,急性发病,白细胞高,右肺下叶大片实变,长轴与胸膜平行,内见支气管走行,远端截断,周围有晕,晕边界清,考虑感染,隐球可能,鉴别淋巴瘤。
周太狼 
年轻女性,右肺下叶胸膜下多发实变、结节影,宽基底与胸膜相连,边缘模糊不清,实变内见支气管穿行,血象高,考虑感染性病变,大叶性肺炎?隐球?
丽 
青年女性,发热咳嗽急性起病,右肺下叶大片状实变密度影,长轴平行于胸膜,边缘模糊可见磨玻璃影及高密度结节影,实变内可见支气管穿行,直达病灶远端,考虑感染性病变,隐球菌可能大。
月亮圆了!
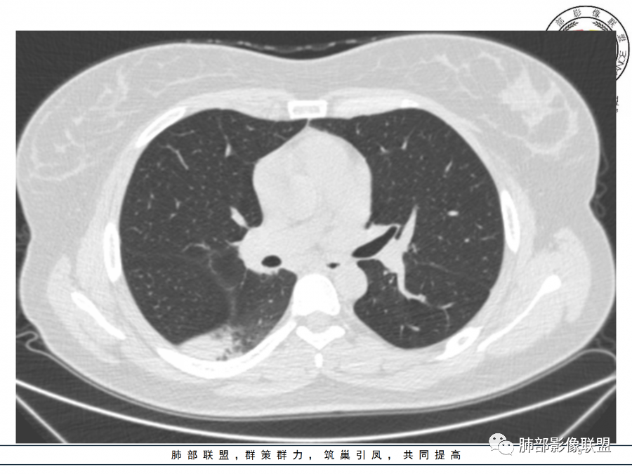
右肺胸膜下实变,病变跨多个叶生长,相互融合,宽基底与胸膜相连,支气管气象,并可见片状磨玻璃影,边界清,炎性指标高,发热六日,考虑感染病变,链球菌?腺病毒待排。
王秀仙 
右肺下叶大片状实变影,长轴平行于胸膜,边缘模糊可见磨玻璃影,支气管进入,部分近端阻塞,考虑感染性病变,隐球菌,鉴别大叶性肺炎。
三个石头 
年轻女性,起病急,白细胞,C反高,存在感染。右下肺大片实变影,支气管充气征,长轴平行胸膜,似多个病灶融合,周围GGO,部分清,部分不清。考虑感染,隐球可能。
飞鹰行动
青年人,右肺多发团片状阴影,边缘模糊,周围可见磨玻璃影,内部有支气管空气征,考虑感染性病变,隐球菌感染可能。
蓝天白云 
右肺下叶大片状实变影,从外向内,长轴平行于胸膜,边缘模糊,可见磨玻璃影,支气管进入,远端部分阻塞,考虑感染性病变,隐球菌,鉴别淋巴瘤。
流心明智 
26岁,女性,发热、咳嗽5天。咳少量黄痰,起病急,病程短,白细胞及中性高,血沉及D-二聚体增高。胸部CT:右肺下叶大片实变,长轴沿胸膜分布,宽基底与胸膜接触,边界不清,周围GGO,部分团片影融合,病灶内可见支气管充气征,部分支气管进入病灶后阻塞。考虑:感染性病变,隐球菌?脓毒肺栓塞?鉴别:肺炎型肺Ca。
德芙~云味 
年轻女性,右肺下叶一大片实变影,似有多个结节影融合,周围有晕,内见支气管充气征,部分支气管进入后截断,病变近胸膜,长轴胸膜平行,考虑炎性,隐球菌首先考虑。
慎独 
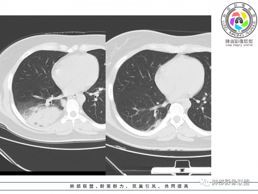
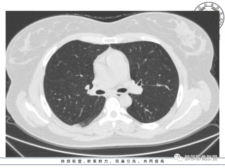
青年女性,影像表现右肺下叶胸膜下大片状实变影,近端见充气支气管征,边缘见片状磨玻璃影,下叶背段尚可见一结节。考虑感染性病变,隐球菌感染可能。
Lenle董 
右下肺大片实变影,空气支气管征,边缘GGO,小叶间隔增厚,周围有蘑菇兄弟,基底宽,与胸膜平行,考虑隐球菌感染,鉴别肺炎型肺癌。
一米阳光
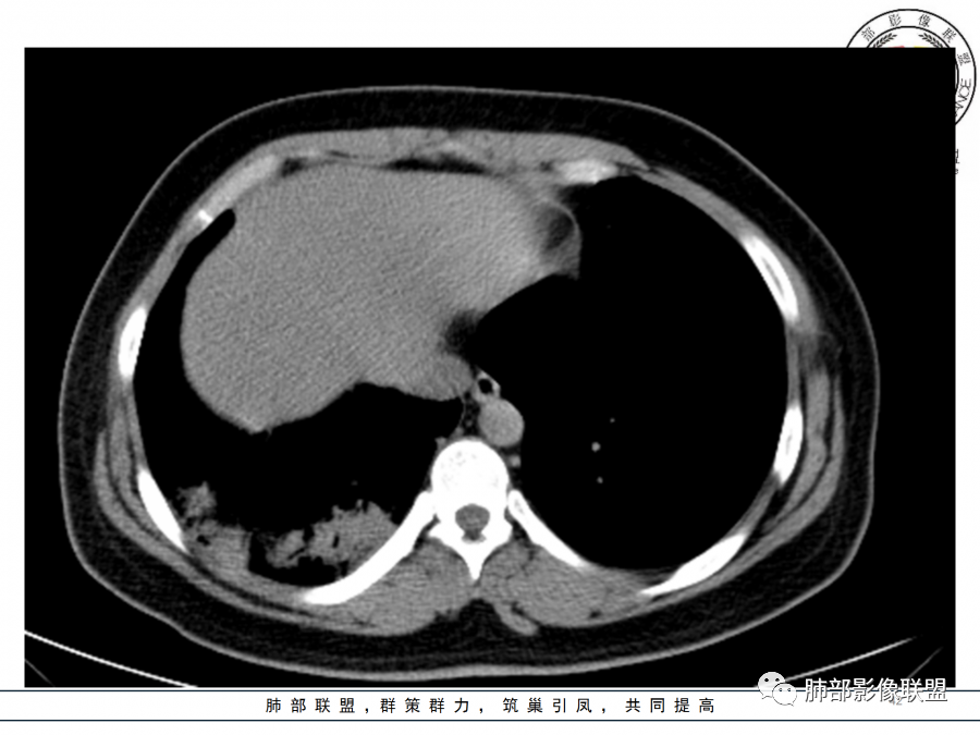
晨读:年轻女性,右肺胸膜下实变影,平行于胸膜,边缘磨玻璃影,内见支气管充气征,走形自然,略扩张。考虑感染性改变,隐球,肺链。2月发病,病毒性肺炎要考虑。鉴别淋巴瘤。
弹指之间 
晨读:年轻女性,发热咳嗽5天。白细胞计数升高。右肺下叶大片状高密度影,边缘模糊,有实变 GGO,其内见支气管气相、无受压变细,无枯枝表现,其近端支气管无异常,右肺下叶背段见结节状影,定性考虑:炎症,隐球菌感染可能,炎症型肺癌不支持。
宇宙星空 
右下肺胸膜下大片状高密度影,其长轴与胸膜平行,病灶近端GGO模糊,部分支气管进入后阻断,支持感染性病变,考虑隐球菌
1

03
微信群分析讨论
咱们来理一理

南边 
年轻女性,急性病史,发热,WBC17.42*10^9/L,NE%82.8%,
痰革兰染色示:G-杆菌1+、G+球菌1+,未检出真菌,抗酸染色阴性。
大片实变影
细菌性感染?隐球菌?结核?梗死?
淋巴瘤?肺炎型肺癌?支原体?病毒?
大概就这些吧
支原体不支持,分布不符合
没意见 
常规抗感染,治疗无反应,再考虑别的,急性病史, 上来就肿瘤,不合适。
Garrey ma💯
病毒也不太符合。
临床首先考虑细菌性感染,渗出比较明显,而且血象高,难道TB合并细菌感染?或者其他疾病合并细菌感染?
南边
肺炎型肺癌不支持,年轻,急性病史,含气支气管通畅,远端稍扩张

南边
淋巴瘤符不符合?
初学者 
分布非叶段分布,也不是支气管分布。而是肺小叶分布,并融合,胸膜平行,实性,支气管走形尚可。肺泡发病。有融合。无坏死。与支气管无关。分布不太符合淋巴瘤。
第一,malt淋巴瘤老年人多
第二,malt淋巴瘤,是以支气管血管束分布,中央淋巴
而小叶内无淋巴管,分布不符合
其他淋巴瘤肺浸润应该走间质,这个是实质,不符合
南边 
结核符合吗?
秋实 
不符合,病灶形态单一,病程急。
Sugar阿Q
树芽征几乎没有
崇军 
单纯下叶的太少见了,病灶单一
南边 
不是气道分布为特点,单一,渗出太明显
还有细菌性感染、隐球菌
临床医生支持细菌性感染
病毒可以排除吗?
一米阳光
胸膜下分布为主,外朝内,非叶段
初学者
影像上需要考虑的有腺病毒,军团,衣原体和隐球菌。腺病毒年轻男性更多,发病年龄不太符合,实质改变有,但是间质改变欠,暂不考虑。军团会有多系统损伤,消化、神经,再加上少见一点。支持大家首选上隐球菌。特别注意是肺炎链球菌,血象符合,也是实变无坏死,支气管充气征,但是比较容易与胸膜垂直分布,应该不会平行。
腺病毒影像也可以这样
不过既然血象高,可以抗炎后复查看看。
管洪林 
隐球可以急性发病吗?血象不太符合隐球吧
临床还是首先符合细菌,常规肯定会先抗感染复查
小鱼 
病史就提示急性感染吧
腺病毒和军团要看相关临床表现,症状重的多
一米阳光 
没有胸腔积液
唐医生新沂市人民医院呼吸科
隐球急性感染多吗?
初学者 
急性起病不少
Coke with ice 
支气管壁增厚,这一条就把隐球菌排除了吧?
南边 
影像:隐球菌更符合
临床好办,抗炎后复查一般就可以看出变化
管洪林
是否合并可能?影像符合隐球,临床符合细菌
可以考虑原有隐球合并细菌感染?
张延军 
病毒分布形态符合,但病毒往往以磨玻璃样改变为主伴实变,腺病毒是不是可以磨玻璃内散在小片实变?
南边 
目前:细菌性——肺链;隐球菌;病毒
初学者 
影像上最像腺病毒和隐球菌。临床最像细菌感染。
管洪林
综合的意见,恶性可以排除,感染类首选
小酸 
感染,恶性先后放吧
04
病理结果







05
病例回顾分析
大雄 
有三个月复查的,影像变化不大,但是找不到图像了
管洪林 
临床急性,感染指标高,隐球也可以急性发病啊?
临床和影像是否有脱节?
小酸
病理图里面咋没看见荷包蛋
小鱼 
病史和影像隐球菌可以的,肺链的话应该痰多,这个人影像重症状较轻微。
胸膜下,实变加磨玻璃
管洪林 
对,这点不符合细菌的临床
南边 
看与支气管的关系
细菌性一般是气道来源
就是受支气管分布的局限比较大
小鱼 
隐球菌也是吸入,和肺链的吸入有何区别,就分布
初学者 
要说起来,都是吸入。
南边 
一般细菌性肺炎大叶性沿气道分布

初学者 
大叶性肺炎是外周向中心的,与胸膜垂直的,沿着气道方向,隐球菌是平行胸膜的,我感觉是肺小叶内的肺泡起源
南边 
隐球菌沿胸膜下分布,不受段的局限,沿肺实质朝周围蔓延
大雄 
大叶性肺炎也叫肺泡性肺炎,也是肺泡起源
南边 
支气管也符合,多发,部分侧向融合

南边
细菌性的沿叶段支气管内朝外
初学者 
细菌性肺炎是沿着支气管往周围肺泡散开,内朝外,沿着叶段分布,受到支气管管辖,呈扇形,与支气管长轴平行,与胸膜垂直,隐球菌就是外朝内,外就是肺小叶内的肺泡,外周的。
肺小叶。他就是一个个肺小叶的融合,胸膜平行,和病毒一样。只是病毒在间质,是肺小叶分布的毛玻璃。隐球菌是肺实质,肺泡,肺小叶的实变。
王开金江津中心医院呼吸科 
肺链不也是从外向内吗?怎么区别?
初学者
肺链是沿着支气管,内朝外散开,影响的肺泡是以支气管为中心的一大片肺泡,相互传染。
大雄 
不是吧,你说的是支气管肺炎,不是大叶性肺炎
南边
这个病变换个角度看
首先小叶性肺炎是什么概念-细支气管末端、腺泡结节的一些病变引起的。一定会合并树芽征等细支气管的改变。
这个病例呢?没有。如若考虑细菌性的,那还是应该是大叶性的,靠近大支气管蔓延的。小叶性融合的,也还是有细支气管的一些特点出来。
病毒呢,有个特征意义的-细网格征。磨玻璃区域的病变内是沿间质蔓延为主的特点。
这个病例周围磨玻璃病变仅有几个小叶间质增厚,没有细网格征,还是肺实质病变为主,小叶内间质增厚不明显,从分布特点就不符合。
这个病变也不是一个起源中心,胸膜下,多发结节状、实变影。而大叶性肺炎多数由内-外大片状。所以是肺实质多发融合病变。单纯从影像上,还是比较符合隐球菌特点,胸膜下,多发、多中心,相互融合(兄弟齐心)。
初学者
我感觉大叶性肺炎是偏高位的中心一点的内向外。病毒是外向内的间质(肺小叶层面),隐球菌这种是外向内实质(位置偏外偏下的肺泡,多灶的融合)
南边
你看实性部分,有很多小结节的实性部分,分布很散,不是一个区域,不是按一个段过来的,是多个段,但是内基底段似乎又不受累。所以大叶性肺炎,一般细菌性的这个影像特点还是不太支持。
大雄 
大叶性肺炎就是累及肺泡,然后沿着肺泡孔蔓延,不按叶段分布,跟支气管也没什么关系,是外朝内,不是内朝外吧?
大叶性肺炎,非节段分布,外朝内
初学者 
他们问的是肺链和隐球菌的区别。
但是大叶性肺炎,是有叶段的束缚,平行于支气管。他发生是以中央为核心散开。不是外周一个个肺小叶融合。位置上一个高位,一个很末梢
南边 
大叶性肺炎一定受叶、段的局限。充其量周围有一些蔓延出来。肺链,金葡都是。金葡和曲霉的一个鉴别点:一个从内向外,一个从外向内。3型曲霉-农村包围城市。金葡-城市向农村发展。
大雄 

初学者 
我现在怎木觉得隐球菌结节,也是分布在小叶核心区域的实质这样。结节,结节伴晕,然后小叶,然后斑片融合,胸膜平行。
对,以往书上都是这样写
但是很奇怪,就是为什么他朝着中心,朝着肺门,沿着支气管方向走
为什么一个往中心大片蔓延
一个是外周多灶的融合
南边




初学者 
南边老师的外朝内,可能说的起始点是肺小叶,这个叫外?
实际上,确实大叶性肺炎这种是以支气管为中心,才叫大叶性肺炎
和外周肺小叶层面,多灶融合,与胸膜平行肯定不一样。看看南边怎么说
南边 

南边
肺链沿肺泡孔、细支气管蔓延,合并
受气腔的局限
大雄 
肺泡孔可以无限蔓延,如何局限?除非碰到叶间裂
南边 
那不是,小叶间隔就可以阻挡,
隐球菌我们见到的这样的局限不明显
只是有些小叶间隔不完善
这个是管腔的病变。肺部有三大管腔系统
初学者
按照刚刚文献说,真的是从胸膜下往中心蔓延吗?
逆着播散吗?
大雄 
大叶性肺炎,一个大叶都累及了,小叶间隔完全被蔓延过了啊
南边 
大叶性肺炎,也是管腔系统的问题。比如在高速路上沿着一定路线走,但是我硬要从旁边打个孔出来走,可以,但可能性偏小啊。小叶-主要是肺泡孔的蔓延,一个肺小叶-肺小叶,一个腺泡结节-一个腺泡结节。受到局限的方向不一样。
比如病毒性肺炎,沿着间质朝周围蔓延。会引起、或合并细支气管的炎性改变,就是隔距很小,一个小斑片一个小斑片的。病毒性肺炎就是细网格状-沿间质浸润为主。
隐球菌,胸膜下病灶,多个起源中心,最终还是融合在一起,侧向融合为主的。
细菌性,小叶性肺炎,小气道为主,小气道壁受累、支气管腔内狭窄之类的,周围间质变化等。是一个个小支气管受累及。大叶性不是这样的,都是大片状、范围广,很快从外向内沿气道蔓延,受管腔约束,总体是按叶段蔓延的,很少有树芽征。
隐球菌,侧向融合、外围胸膜下为主,也有累及叶段的、比较少。
个人理解主要还是一个管腔约束的问题。肺泡最终是末端支气管分支,也还是属于管腔系统
隐球、病毒往往受管腔约束较少,差异我认为是这一块。
初学者
我感觉大叶性肺炎应该是沿着支气管到相应的肺泡,发作,然后周围蔓延。应该是内向外按道理。
但是你说的是内向外,其实我觉得这样比较好理解的。但是文献说胸膜下开始,再往中央爬。
南边
小叶性肺炎的特点就是有小叶性改变,细支气管炎是绕不开的
果哣
隐球菌是间质还是气道?
南边 
实质为主,间质也受累
初学者 
隐球菌是肺实质为主
大雄
来源肯定气道,分布实质和间质都有
只要可以形成肉芽肿的病变,其实都不分实质间质
一起累及,毕竟肺泡才那么点大
南边 
大叶性肺炎,最常见肺链(实变相对没有金葡那么厉害)和金葡(毒力强,发展快,很快就到肺门区了),都是从大片、向内蔓延。
初学者 
我觉得是位置不一样
虽然都是吸入,但是隐球菌位置比较低,在小叶内起病,小叶内除了小叶细支气管,周围只能通过肺泡孔向两侧蔓延。而大叶肺炎,没有这么低,主要通过支气管蔓延,所以与支气管平行。所以我理解南边说的外向内指的是小叶起源,是指末梢的结构。而那种还沿着支气管播散,到周围的,还是内向外
大叶性肺炎蔓延,沿着支气管为主,受支气管限制。隐球菌沿着支气管播散少一点。所以大雄老师说的是,最开始是肺泡,所以并不是内向外。
南边 
一般而言,病变有发展过程。
症状出来才看诊-这个时候病变可能都比较大了,CT上已经呈大片状。起源在外围胸膜下时期,可能因为症状轻微,不会来做检查、也就没有在CT上体现。
雄老师和我说的内-外,外-内是两个概念。
细菌性感染受气道约束为主,气道来源的。但如若说病变来源,病毒感染很多也是气道吸入的。
我所谓外-内:是指表现形式外围为主,侧向融合为主。
我所谓内-外,指整个病变的发展方向,走行方向是沿气道为主的,这个是内-朝外的。不是说病变起源是支气管近端的、然后向外蔓延的。指的是分布趋势(整体),而不是起源趋势(病变起点),这个是两个概念。
按起源的内-外,气道栓塞梗塞的,异物,中央型肺癌才算。

来自꧁༺༽༾ཊ天涯ཏ༿༼༻꧂ 的收藏分享

隐球菌之顺口溜(影像征像版)在那遥远的边远山区——胸膜下生活着一群蘑菇兄弟——性质相同多结节表面虽脏,内心实诚——有晕,一般无空洞扮扮鬼脸,偶尔调皮——鬼脸征撞墙就跑,颇有灵性——一般不引起胸膜增厚积液气管通畅或进门才堵,只为空气——不会堵门口周围蔓延,不乱播散,死心踏地——不走淋巴,气管,血道播散。污头垢面,家里干净,只因免疫不低,神采奕奕——空洞干净,注意:以上不适用于免疫力低下病人。
支原体肺炎顺口溜年纪轻轻,咳嗽高热常见早期少痰,偶有咽痛畏寒影像表现,气道来源特点腺泡结节,树芽经常相伴气管壁厚,渗出咳痰多见要看典型,还待树雾出现常见鉴别,结核肺炎新冠特异性抗体,外加NGS,妖魔易辩!
本例诊断思路
A
1.年轻女性,咳嗽、发热(38.8°),起病急,血象高。影像上大片实变影为主,一般会首先考虑细菌性肺炎,尤其是肺炎链球菌感染等。疗效不满意时考虑其他。
2.影像上怀疑其他病灶的理由有:
1)实变影为大小不等多中心性。
2)沿胸膜下分布趋势(不同于大叶性肺炎的肺叶“造型”)。
3)周围较大范围磨玻璃影及小叶间隔增厚。
4)病灶体积增大明显(叶间裂推移)。
3.腺病毒肺炎可以符合上述改变:实性密度,间质分布为主等。
4.隐球菌感染可以符合上述改变:胸膜下多中心实变密度为主,磨玻璃晕等。但隐球菌临床症状大多隐匿、迁延,影像变化缓慢。
5.本例患者血象高,影像渗出明显,尚不能排除混合感染可能。

往期回顾
01
肺隐球菌CT诊断——南边课堂
02
【每周一例】28期 让人大开眼界的隐球君
03
【每周一例】25期读片讨论实录 误入迷途的斑片影


编辑:刘青青
审核:赵永兵  徐  晓
到顶部