【每日晨读】趁虚而入的白色念珠菌



趁虚而入的白色念珠菌

































1
群内讨论

各位老师发言

薏米:
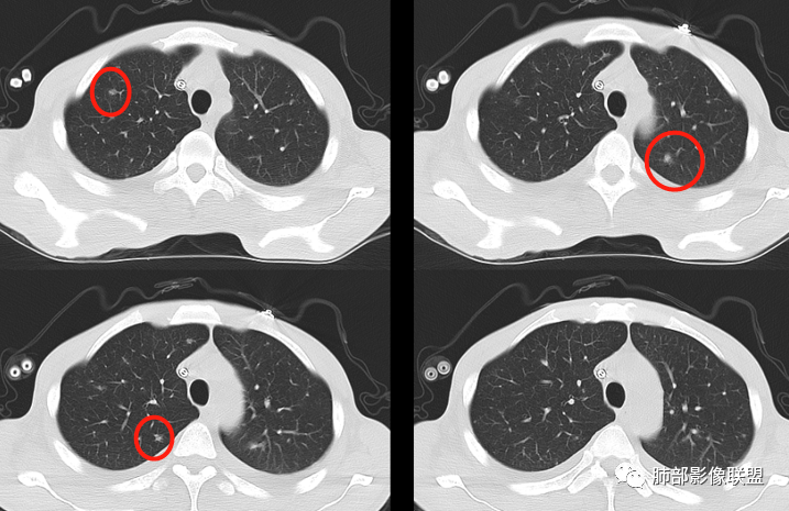
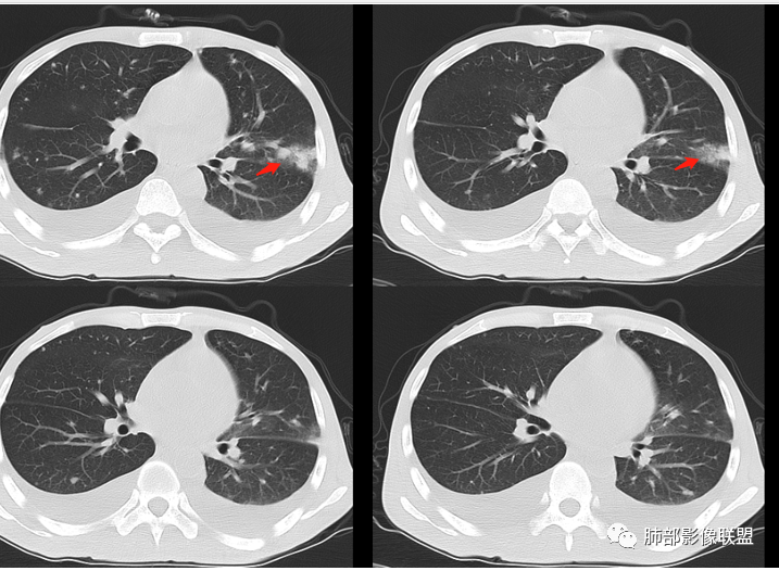
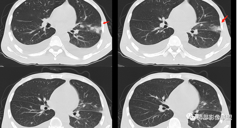
年轻男性,肠癌术后,目前间断有发热,胸部CT提示双肺散在结节影,左肺上叶近胸膜处可见以不规则密度增高影,边界不清,周边可见磨玻璃影,附近支气管壁增厚,支气管引流,附近可见卫星结节,内有空洞,考虑二元,转移瘤合并结核
小酸:
青年男性,既往结肠癌病史,卡培他滨加贝伐单抗治疗,末次化疗时间2019年9月 有肠梗阻病史。低热,血常规基本正常低蛋白血症,血糖偏高,肾功能衰竭,CT提示双侧胸腔积液,双肺散在结节影,胸膜下多见,左上肺密度增高影,第一个选择我还是考虑感染。结核,真菌?第二恶性肿瘤,常规考虑转移。很好奇这病咋确诊
红星:
年轻患者恶性肿瘤术后,两分内,散在多发小结节状影,主要胸膜下及小叶核心分布,另外左肺上叶斑片状的模糊阴影,楔形。两侧胸腔积液及心包积液。肝脾弥漫性肿大,腹腔积液。肺部病灶考虑转移瘤合并有肺部的感染性病变。左心室见斑片状的低密度影,这个需要做个增强扫描看一下了。胸腔积液,心包积液,腹部少量积液,这个应该是多脏器的损害的改变,脾肝体积好像有增大,实质密度略有降低,也是损害的一种表现。建议全腹增强扫描。
看图说话:
糖尿病,双肺结节,斑片,左肺空洞,双侧胸腔积液,贫血,考虑结核,腹痛,鉴别克雷伯
丽:
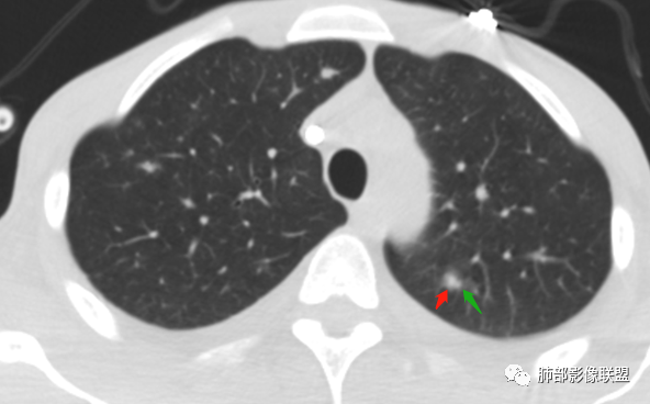
青年男性,恶性肿瘤化疗病史,透析病史,血糖高,提示糖尿病。白细胞不高,伴发热,贫血,双侧胸腔积液,左肺上叶片状高密度影,边缘可见磨玻璃密度,临近支气管管壁增厚,内可见空泡,双肺另多发小结节,随机分布,部分结节周围有晕,一元解释,考虑感染性病变,真菌可能大
任广国:
患者才29岁,就直肠癌术后,透析;肺内随机分布的结节,有的有晕征。贫血,胸腔积液。感染与转移都有可能,我倾向于感染。
谢加平:
左肺上叶上舌段平行胸膜下斑片并相互融合成小片状实变影,边缘见模糊晕征,余两肺叶外周近胸膜下随机分布小斑点,斑片影,部分小结节样及周围小晕征,考虑隐球菌感染;心室腔低符合贫血表现;双侧胸腔少量积液。
王武章:
简要回答:脓毒血栓,低蛋白血症是多浆膜腔积液原因,贫血
血行播散的感染,有栓塞
蓝天白云:
多发随机结节,血播,结节周围有晕征,腹痛,左心室内低密度影,考虑栓塞,鉴别感染性病变
王秀仙:
双肺多发大小不等结节,大部分结节周围有晕,双侧胸腔积液,心腔密度减低示贫血改变,乙状结肠癌病史,考虑双肺转移瘤。
点晕征
1.肿瘤
血管原发肿瘤:血管肉瘤(右房)、上皮样血管内皮瘤、血管内淋巴瘤(大B)
转移瘤:消化道、生殖道转移,关注绒癌、恶黑及结肠癌
2.感染
真菌:荚膜组织胞浆菌
病毒:疱疹病毒
结核
3.血管炎
4.寄生虫病
5.PCH/PVOD
冥冥之中:
结肠癌术后,化疗,糖尿病,免疫缺陷 金毛结克 双肺病灶主要为血播,与血管关系密切,双侧中等量胸水,腹部症状就诊 
考虑:1.克雷伯肺炎2.奴卡
流心明智:
青年男性,反复腹痛腹胀10余天。恶性肿瘤化疗病史,透析病史,血糖高,肾功明显异常,糖尿病肾衰。白细胞不高,间断发热,贫血,低蛋白血症。胸CT:两肺多发结节,随机分布,部分结节周围有晕,双侧胸腔积液,左肺上叶楔形片状高密度影,边缘模糊GGO,临近支气管管壁增厚,肝脾大。考虑感染性病变,奴卡?结核?鉴别转移
傅昌瑜:
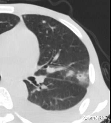
肺内多发胸膜下结节,左上肺尖后段紧贴叶裂出楔形影,两侧胸腔积液,2个多月前肺部无明显病灶。体温表体温升高,肺多发结节考虑血播感染灶,肾功能不全、白蛋白明显下降,两侧胸腔积液考虑低蛋白引起。患者有输尿管支架植入,肌酐高,其感染致病菌考虑为大肠埃希菌。心脏密度低考虑与贫血有关。
飞鹰行动:
青年男性,有恶性肿瘤化疗病史,血糖高。发热,贫血,双侧胸腔积液,左肺上叶片状高密度影,边缘可见磨玻璃密度,临近支气管管壁增厚,内可见空泡及小空洞,未见明显液平面,双肺另多发小结节,随机分布,部分结节周围有晕,考虑血道来源感染性病变,肺克,奴卡,大肠杆菌,真菌可能。
采莲:
青年男性,有结肠癌手术及化疗病史,因腹胀腹疼疑诊肠梗阻入院,有肠梗阻病史。间断发热。肾功能明显异常,贫血,白细胞不高,降钙素原升高明显,低蛋白血症。胸部CT双肺野散在结节影,沿支气管血管束分布,周围有晕,形态不规则,边界有不清,有清楚,左上肺舌段靠近胸膜下楔形实变影,边缘模糊,周围磨玻璃影,双侧中量胸腔积液,心腔内有低密度影,考虑贫血所致。患者存在抵抗力低下,降钙素原高,首选考虑感染性病变,肺克?不排除二元论结肠癌转移并左肺炎性病变。胸腔积液可能与低蛋白血症和肾功能不全有关。
Harvey:
青年男性,恶性肿瘤化疗病史,血糖偏高,白细胞不高,伴发热,贫血,1月左输尿管梗阻(肠癌复发所致?),当时ct未见异常,3月入院双肺随机分布结节,左肺舌段片状实变,边缘可见磨玻璃密度,一元考虑感染性病变(真菌?),转移待排。

吴婧老师分析




病变有多种,结节,斑片,这个人危险因素太多,有肿瘤转移的风险,有化疗后粒缺真菌感染的危险,有糖尿病相关感染的风险。白蛋白减低,双侧胸腔积液。还有贫血,这些是不是化疗后引起?

结节周围有磨玻璃影,随机分布。确实转移一般边缘比较干净,但是如果合并出血也可以出现磨玻璃。但是和斑片状如果一元,似乎不一样,放在后面待排


单看这2比较附图,像是真菌
目前先倾向于感染性病变
1化疗相关:粒缺,第一个可能是真菌
2糖尿病相关的:金毛结克
3如果肺克,这个人应该会血压不稳,症状很重
4急性感染:肺克?  亚急性或慢感染:结核,奴卡?

潘老师分析

基础病变太多了
临床:结肠癌姑息性切除+化疗
右侧输尿管堵塞支架术后
反复肠梗阻
肾功能不全,贫血、低蛋白血症
血糖增高可能与药物性有关
南边:
按这个理解:结肠癌术后化疗,继发输尿管粘连、肠道粘连,或侵犯,1月份未见异常






影像特点:
1、双侧胸水
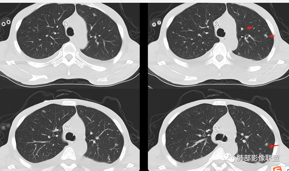
2、两肺多发结节,中上肺分布为主,结节边界尚清,部分边界平直
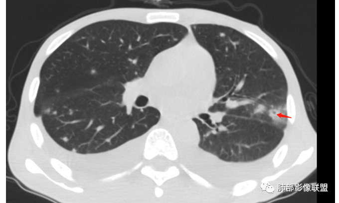
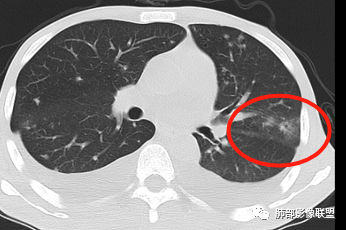
3、左上叶下舌段见沿支气管走形斑片状高密度影,边界模糊
从整体表现,结节的边缘、形态,片状影的改变——支持炎性
南边:
问题1、症状不明显?可能被腹部症状掩盖
问题2 病灶的表现明显提示多元化的特点,应该是多次的病灶,有一些属于有一段时间,增生性为主,偏慢性;有一些渗出为主
临床明显有免疫力下降的特点,白细胞还不高
哪位老师说在免疫力下降基础上的感染有哪些?
而且有偏慢性病灶的
努卡菌?结核?真菌?
平常心:
对,都有可能
南边:
常规的细菌好像不好解释
真菌那种——隐球菌?不支持
冥冥之中:
低蛋白指向奴卡
南边:
我也倾向于努卡放前面
慢性、急性,混杂
曲霉菌不支持啊
平常心:
化疗后真菌?
奴卡有可能
血道侵袭呢
我的排序是化疗相关侵袭性真菌,奴卡,结核。
南边:
曲霉菌气血不兼容,明显有气道来源的病灶,我觉得可能性不大
隐球不太支持点:多元化,隐球特点一致性,而且斑片影长轴与支气管一致
病毒一般急性,而且结节状的很少,水痘多见,而且有晕

结果:白色念珠菌


熊桅老师:
淋巴瘤的免疫缺陷和机会感染
1.淋巴瘤原发免疫缺陷
可有轻度细胞及体液免疫缺陷,均不太重。成熟的小B细胞淋巴瘤,如分泌大量单克隆免疫球蛋白,可引起因荚膜细菌(肺链、流嗜、脑膜炎奈瑟)无法中和清除而导致的体液免疫缺陷。
2.抗肿瘤治疗所继发的免疫缺陷与机会感染
a化疗:化疗导致粘膜(呼吸道、肠道)屏障破坏,引起环境菌侵袭和定植菌异位感染。如呼吸道曲霉/毛霉血管侵袭性感染,铜绿、肠杆菌科细菌及白色念珠菌通过肠道粘膜血播,尤其是铜绿假单胞菌(在无预防性抗铜绿情况下),常引起血液病化疗后的严重脓毒血症。
导管相关血流感染:因化疗置管所引起的导管相关血流感染,主要为表葡和非白念(近平滑)血流感染。
b激素和免疫抑制剂(靶向抗体治疗):淋巴瘤治疗过程中较大剂量激素和单抗应用(美罗华)所继发的经典细胞免疫缺陷,患者有很高风险罹患肺孢子菌肺炎、结核播散感染、各种疱疹病毒再发、播散型奴卡与隐球菌感染。
特别需要注意的是,淋巴瘤化疗相关的免疫损伤是伴随治疗始终的,因此还需要和化疗与靶向治疗药物所导致的急性肺损伤、AFOP、急性间质性肺炎与ARDS相鉴别。

 

相关内容(来源于网络)
01
念珠菌病(candidiasis)是由各种致病性念珠菌引起的局部或全身感染性疾病。好发于免疫功能低下患者,可侵犯局部皮肤、黏膜以及全身各组织、器官,临床表现多样、轻重不一。
02
念珠菌血症是侵袭性念珠菌病最常见的临床类型,常预后不佳。侵袭性念珠菌病是一个由定植、感染到疾病的连续过程,多发生在抗细菌药物使用导致多部位、高强度念珠菌定植,并伴有生理屏障(解剖屏障、功能屏障和微生物屏障)破坏,或伴有严重基础疾病等机体免疫功能低下的患者。

03
【病原学】
念珠菌广泛存在于自然界,为条件致病真菌。临床上以白念珠菌最为常见。念珠菌为人体开放腔道(如口腔或胃肠道)的常居菌,因此从痰或粪便标本中分离培养出念珠菌不能作为确诊依据。来源于无菌体液标本如血液、脑脊液、腹水、胸水、关节腔积液等培养阳性,或活检组织标本培养阳性且伴有组织侵袭证据,可作为侵袭性念珠菌病诊断的金标准(高等级,强推荐)。
04
临床类型:
通常根据病变部位分为:
(1)支气管炎型;
(2)肺炎型;
按感染途径将念珠菌肺炎又可分为:
①原发(吸入)性念珠菌肺炎;
②继发性念珠菌肺炎。

05诊断:
(1) 临床症状和体征:支气管炎型症状较轻,咳嗽,咳少量白黏痰或脓痰;肺炎型的临床症状取决于发病过程(原发性或继发性)、宿主状态和肺炎的范围等,多呈急性肺炎或伴脓毒症表现。
2) 影像学表现:支气管炎型表现为肺纹理增粗而模糊,可以伴肺门淋巴结增大;肺炎型可见两肺中及下部斑点状、不规则片状、融合而广泛的实变阴影,肺尖部病变少见,偶尔有空洞或胸腔积液,可以伴肺门淋巴结增大。继发性念珠菌肺炎胸部x线检查可以阴性,特别是使用免疫抑制剂的患者;少数患者影像学表现为肺间质病变,亦可呈粟粒状阴影或趋于融合,CT检查可以提高敏感性,但同样没有特异性。
06
病原学和组织病理学检查、血培养、胸腔积液培养出病原菌等可以明确诊断。
痰标本采集最为方便,仍是临床常用的方法。
诊断判定:根据分级诊断标准,具有发病危险因素及相应的临床表现、合格痰或下呼吸道分泌物多次(≥2次)分离到同一种念珠菌,且镜检同时见到菌丝相和孢子作为临床诊断标准是可以接受的,如果G试验阳性则更加支持诊断。
                    本例小结
临床及影像:
1.青年男性患者,腹痛腹胀入院(呼吸系统症状不明显),长病程。有恶性肿瘤病史及治疗史,血糖高。
2.双肺散在不规则小片状影及结节影,部分可见磨玻璃晕。结节影边界较清楚。左肺片影边界不清,范围较大,支气管相关,支气管壁增厚不明显,病灶内见液化空洞。
3.心腔内密度减低(提示贫血或其他恶液质可能)。
4.脾脏明显增大,密度减低。肝脏未见异常密度影。
 
综合分析:
1.会是转移瘤吗?恶性肿瘤病史,双肺多发病灶,随机分布趋势,会想到肺转移瘤。
但转移瘤大多为边界清晰、比较规则的结节影,尤其是结肠癌转移,发现时结节还会较大,很少成片,与支气管关系密切者更为鲜见。
3.会是感染吗?双肺多发小片状影及结节影,支气管相关,可以符合感染。
哪种感染可能性较大?
1)双肺多发病灶,偶见液化空洞,可能会想到肺炎克雷伯杆菌感染,但病灶边界多较清楚,病灶广泛且患者缺乏呼吸系统临床表现,血压未见明显异常。不大符合肺炎克雷伯杆菌感染等急性感染过程。
2)病灶大多随机分布,磨玻璃晕等,没有新旧不等,且两个月内出现这样病灶,肺结核的可能性非常小。
3)有恶性肿瘤病史及治疗史,血糖高,属易感人群,两个月内出现片影及肉芽肿样结节影且带磨玻璃晕,出现空洞的,是应当考虑到侵袭性肺真菌病的,如常见的侵袭性肺曲霉病等。注意,这应当是易感人群真菌感染的较为经典的时间段!
本例首先考虑到白色念珠菌感染可能性较小。
本例血培养证实,诊断当无异议。
 
关于侵袭性肺念珠菌病:
1.常见真菌病,种类多,自然界中广泛存在,人的口腔、皮肤、消化道、阴道等等,因此念珠菌病多为内源性感染。最常见的致病菌为白念珠菌。
1)原发性念珠菌感染少见,主由定植于人口腔上呼吸道的念珠菌在机体防御机制削弱时吸入至下呼吸道肺泡感染,可见于新生儿、年老体弱、慢性消耗性疾病,恶性肿瘤放化疗、肺移植、机械通气治疗患者等。
2)继发性(血源性)常见,好发于粒细胞缺乏、重大手术后、长时间静脉导管、糖尿病、长时间大剂量激素以及抗生素治疗等
3)先天性主要为母婴宫腔内感染或产道感染。
念珠菌入侵肺组织后有酵母相转为菌丝相,大量生长繁殖,毒力增强,并夹杂有芽生孢子,引起以多核细胞浸润为主性反应,化脓性改变为主,病灶周围可见菌丝和巨噬细胞浸润,可出现肉芽肿、凝固性坏死、干酪性坏死、空洞、纤维化等。
2.呼吸系统感染按定位可分为:支气管炎型;支气管肺炎型;肺炎型
临床表现可有咳嗽,带腥臭味白色痰,也可有胶冻样痰和血丝等,血播者可出现败血症和休克等。
肺外播散较常见于肾脏、心肌、心包,可出现肝脾脓肿、骨髓炎及皮肤损害等。
3.肺炎型肺部影像学表现常为双肺多发片影,肉芽肿样结节影,边界相对清楚,可见磨玻璃晕,部分病灶可显示坏死空洞。部分病例出现胸水。支气管炎型病例可见较广泛支气管壁增厚。
单就肺部影像学表现而言,有时与其他一些真菌感染如曲霉病并不好区分。
有统计表明,干细胞移植患者双肺常以肉芽肿结节为主要表现。
4.应当注意肺外组织器官病灶的发现,如肝脏多发小脓肿及脾脏多发低密度结节影等,出现于白念珠菌的这些肺外小脓肿颇具特色,可以类似转移瘤的“牛眼征”,宜结合临床及病史综合判断。
注意肝脾感染灶常须增强扫描观察!

end 
编辑:闫美利
审核:蔡笑燕  徐  晓
病例提供者:於雄-九江市第一人民医院
肺部影像联盟是专注于胸部影像与临床的公益学习平台,为了进一步提高公众号质量,特向各位老师征集病例及课件。病例要求原创,图像清晰,资料完整,有病理、病原学结果或达到临床诊断。课件为原创。凡经肺部影像联盟采用均会注明病例及课件来源、作者,并致谢。入选作者可加入联盟各系列群或核心群学习。发送邮箱:914827068@qq.com。入群请加於老师微信号:lottro



到顶部