【每日晨读】 胸腺病变,欢迎来挑战!



临床与影像资料































群 内 讨 论
甄德强:
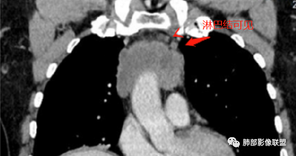
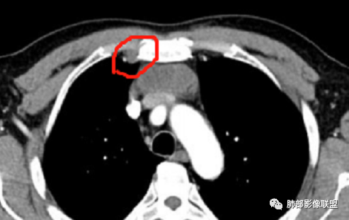
前纵隔胸腺区,分叶状软组织密度影,轻度不均匀强化,中心可见坏死,病灶与周围血管分界不清,考虑胸腺鳞癌,鉴别诊断胸腺囊肿合并感染。
红星:
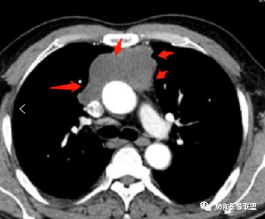
男性患者,65岁,前胸后背疼痛一个月。影像学前上纵隔分叶状的软组织肿块,肿块形态怪异,偏软,位于大血管间隙前,并有向血管后间隙发展的趋势,平扫CT值为40左右,增强扫描中心部未见强化,周围轻度的强化,约为50左右。前上纵隔的疾病谱包抬胸廓内甲状腺肿、胸腺瘤/癌、畸胎瘤、淋巴瘤。少见的心包囊肿或支气管囊肿。根据肿块的形态及强化特点,首先还是排除了胸内甲状腺肿及胸腺来源的肿物,这类的肿物强化比较明显。畸胎瘤成分比较复杂,具有软组织钙化或者脂肪类的组织,这个肿物虽然在平扫的时候好像有斑点状的钙化灶,但是总体成分还是比较单一,所以还是排除畸胎瘤的诊断。所以这样的情况是考虑:淋巴类的肿瘤,注意排除心包的囊肿或支气管来源的囊肿。
大雄:
老年男性 胸痛一月
定位  前纵膈
定性  恶性
特征  实性  膨隆  乏血供  无明显坏死囊变区
倾向   胸腺癌/瘤
(神经内分泌癌?粘液腺癌?)
我见过的淋巴瘤钙化确实比较少,但是能不能单凭钙化就排除淋巴瘤,我不太清楚,是不是绝对了一些。没考虑淋巴瘤  主要是觉得强化太弱  边缘分叶 
王江涛:
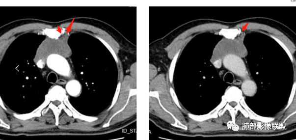
老年男性患者,前膈软组织肿块,边缘轮廓不光整,边界似乎尚清晰,内见小点状钙化灶,平扫密度欠均匀,增强后轻度强化表现,边缘有些斑片状的高强化区。综合考虑胸腺瘤或胸腺鳞癌,神经内分泌癌强化弱了一些。患者年龄较大,生殖细胞肿瘤不考虑,淋巴瘤血管包绕不够,可能性不大
小兜:
老年男性,前胸后背痛一个月,前纵隔不规则肿块,分叶,向纵隔血管间隙进入,且与纵隔血管分界不清,增强边缘轻度强化,中间可见无强化区,似见点状钙化,PET为高代谢,考虑为来源于胸腺,胸腺瘤或胸腺鳞癌可能
空格:
临床,老年男性,病史一月。1 定位,骑跨大血管,大部分位于胸腺区域内,周边部分胸腺脂肪有混浑浊,起源于胸腺区的组织应该没有问题。2 定性 。恶性征像,分叶,大血管侵润,pet高代谢,左侧庄层胸膜增厚(类似脑膜瘤的脑膜尾征,良性表现?)。良性征像,病灶均匀,无明确坏死?综合恶性征像多些,考虑恶性可能大。病灶分两部分,部分层面似有明确分割,两个性质的病灶长一块,还是,一个病灶两种不同成分?一个病灶伴均匀坏死?CT值41hu,坏死好像高了点,一个病灶,相同成分,只是血管分布不同,增强是持续流入型强化。纤维类?编不下去了,岔路太多,祭出法宝按概率蒙吧:侵袭性胸腺瘤>神经纤维瘤>乏血供CD
王武章:
前纵隔占位,平扫密度欠均匀,轻度强化,与大血管脂肪间隙存在。首先考虑淋巴瘤,然后是胸腺癌
三个石头:
老年男性,定位前纵隔,似乎有点塑形生长,肿块与大血管分界欠清,上腔静脉局部包绕受压,侵犯?增强扫描低强化。考虑恶性,胸腺癌可能。鉴别淋巴瘤。
晨:
老年男性患者,前膈软组织肿块,边界似乎尚清晰,内见小点状钙化灶,平扫密度欠均匀,增强后轻度强化表现,边缘有些斑片状的高强化区,考虑胸腺瘤或胸腺癌。
宇宙:
前纵隔不规则肿块,分叶,与纵隔大血管脂肪界面消失,轻度不均匀强化,未见纤维分隔,考虑胸腺癌或胸腺瘤,鉴别淋巴瘤
清茶:
老年男性,肿标不高,前纵隔见软组织肿块,边界尚清,肿块与周围血管分界欠清,有分叶,增强轻度不均匀强化,考虑恶性,淋巴瘤可能
飞鹰行动:
老年男性患者,前膈软组织肿块,边缘轮廓较光整,未见明显分叶,部分边界与周围分界不清,内见小点状钙化灶,平扫密度欠均匀,增强后病灶轻度不均匀强化。老年人,考虑胸腺瘤或胸腺鳞癌,神经内分泌癌待排。鉴别淋巴瘤,后者边缘可见分叶。强化多均匀。
徐飞:
老年人前纵隔占位的占位应该就是胸腺瘤、胸腺癌与淋巴瘤的鉴别吧,病灶本身膨隆生长,内坏死边界不清,纵隔未见明显肿大淋巴结,相邻内乳淋巴结不大,周围血管见分界不清,考虑胸腺鳞癌。
景俊峰:
前纵隔胸腺区肿块,边缘见分叶,病灶与周围血管分界不清,增强扫描轻度强化,pet高代谢,考虑胸腺恶性病变,胸腺癌。鉴别淋巴瘤。
敏:
老年男性,肿标不高,前纵隔见软组织肿块,边界尚清,肿块与周围血管分界欠清,有分叶,增强轻度不均匀强化,考虑淋巴瘤,神经鞘瘤,胸腺癌
周太狼:
老年男性,前纵隔不规则软组织肿块影,密度欠均匀,与大血管分界欠清,上腔静脉局部包绕受侵,增强扫描不均匀轻度强化,PET-CT高代谢。考虑恶性肿瘤性病变,胸腺癌可能。鉴别淋巴瘤。
蔣勝華:
老年男性,前膈软组织肿块,有分叶,边界与周围间隙不清,密度不均,内见小点状钙化灶,增强后病灶轻度不均匀强化,未见明显囊变及坏死,纵膈淋巴结肿大,考虑胸腺瘤
彭君:
前纵隔胸腺区分叶状软组织肿块影,轻度不均匀强化,中心可见坏死,边缘不清,病灶与邻近心包见条索影,上腔静脉受侵,上纵隔多发小淋巴结,考虑胸腺鳞癌可能。
田园晚风:
胸腺区软组织肿块,分叶,中度不均匀强化,中心低密度坏死,没有淋巴结融合改变,老年男性,考虑胸腺恶性肿瘤
一切∮随缘:
前纵隔不规则肿块,边缘彭隆,周围脂肪间隙消失,主动脉受压,上腔静脉部分受侵,平扫密度尚均匀,增强后不均匀强化,强化较轻,考虑胸腺癌,鉴别神经鞘瘤(强化偏弱了)
傅昌瑜:
前纵隔实性占位常见疾病:胸腺肿瘤、淋巴瘤、生殖细胞肿瘤、畸胎瘤、胸内甲状腺等。老年男性,年龄基本可以排除生殖细胞肿瘤;无明显钙化及脂肪成分,基本排除畸胎瘤;增强密度不一致(边缘稍高)基本排除胸内甲状腺。剩下胸腺肿瘤及淋巴瘤,没有包绕血管及见缝就钻的征像,考虑胸腺肿瘤可能性大,鉴别淋巴瘤及其它少见疾疾。
流心明智:
男性患者,65岁,前胸后背疼痛一个月。胸部影像:前上纵隔分叶状的软组织肿块,形态不规则,包绕大血管生长趋势,与周围分界不清,密度较均匀,呈多结节融合,肿块周围可见肿大淋巴结,内乳动脉旁淋巴结大,上腔受累,肿物内可见低密度区,增强扫描周围轻度强化。考虑:恶性病变,淋巴瘤?胸腺神经内分泌肿瘤?鉴别胸腺瘤
蓝天白云:
前上纵隔占位,常见的有:胸腺、甲状腺来源、淋巴瘤、神经源性、CD、生殖源性等。病灶不均匀轻度强化,侵袭纵隔心包,考虑侵袭性胸腺瘤可能大
杨丽:
老年男性,前上纵隔肿块,部分边界与血管分界不清,欠均匀轻度强化,考虑恶性肿瘤性病变,首选胸腺瘤,鉴别淋巴瘤
毛勤香:
老年男性,前纵隔肿块,形态不规则,右侧内乳动脉增粗,与血管脂肪间隙模糊消失,定性恶性,周围多发小淋巴结,有斑点状钙化灶,增强中心低密度区无强化,边缘强化为主,首先考虑胸腺鳞癌,鉴别胸腺瘤。
南边:
老年男性,胸背痛,定位前纵隔,囊实性占位。
似有小点状钙化(说似有的原因是横轴位没找到)。

这里边界似乎不太清楚


有分叶。

质地偏软,有点见缝就钻。

紧贴血管,侵犯不明显。
多发小淋巴结。

囊变坏死区分界不清。

内乳淋巴结

定到恶性算完成任务了,下一步就是推断病理了。
胸腺癌?淋巴瘤?脂肪肉瘤?
恶性的依据:分叶、部分边界不清,附近淋巴结大。
胸腺瘤一般不会有淋巴结大。一般是边缘及附近脂肪间隙不清、淋巴结、坏死对胸腺良恶性鉴别。
我记得黄勇老师的课件提到:内乳淋巴结、钙化有价值。

病  理  结  果


病  例  小  结
    中老年男性,前纵隔占位,基本居中,向两侧生长;边缘膨隆分叶,部分边界不清,增强不均匀轻中度强化,坏死区边界不清;周围多发增大淋巴结,考虑恶性。主要在胸腺癌、胸腺瘤、淋巴瘤之间鉴别。病灶偏软,有钻缝样生长,这些征象偏向于淋巴瘤。但此例老年患者,病灶内有点状钙化,缺乏结节堆砌感,倾向胸腺癌诊断。
胸 腺 癌 病 理 分 型

前纵隔软组织肿块鉴别
1、淋巴瘤:年龄跨度大,多发淋巴结肿大,融合成团,轻中度强化,约1/3可见胸腔、心包积液。多结节融合是其特点,多伴有中纵隔淋巴结肿大,包绕血管。
2、侵袭性胸腺瘤:肿块与纵隔诸器官脂肪间隙消失,血管变形移位,可见心包积液,胸膜受累类似胸膜间皮瘤。
3、畸胎瘤:虽在胎儿期即可存在,但多在成年后才发现。典型者可见脂肪、钙化及骨骼成分。如病灶呈浸润性生长,增强扫描又呈一过性显著强化者提示为恶性。
4、迷走甲状腺肿:肿块密度较高、均匀,与周围结构分界清楚,增强呈持续明显强化。
5、脂肪肉瘤:分化良好的脂肪肉瘤以脂肪成分为主,而恶性程度高的脂肪肉瘤,脂肪成分少,浸润生长,通常无钙化。
6、神经源性肿瘤:较少发生于前纵隔,一侧多紧贴胸壁,长轴与胸壁平行或垂直,边界多清楚,可有囊变及坏死;临床表现有胸背痛、高血压、肢体麻木无力等症状,亦可体检偶然发现。

编辑:刘  朋,赵永兵
审核:徐  晓
病例提供者:邢台医专第二附属医院  崔刚



到顶部