【每日晨读】系统性红斑狼疮肺损害一例









































































































微信群发言

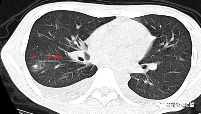
Yishion:支气管远端有扩张,病灶长轴沿支气管血管束分布,如果干燥综合征诊断成立,那么淋巴瘤的可能性较大,干燥综合征――LIP――淋巴瘤,总体倾向于淋巴或者血液系统疾病可能。血象不高,感染不考虑,血管炎感觉不太支
穿越七海的风:右侧胸腔积液,右肺多发斑片浸润影,内见支气管,血象白系血小板减少,LDH升高,未成熟粒细胞升高,考虑血液系统疾病,淋巴瘤或白血病
丽:青年男性,双下肢水肿,病史无肺部症状,化验白细胞明显减低;白蛋白低,提示双侧胸腔积液可能低蛋白所致。补体值降低提示自身免疫性疾病,影像见双肺散在结节样,斑片状高密度影及实变密度影,大部分沿支气管血管束分布,以右肺下叶为主,内可见充气支气管征,周围可见磨玻璃密度,并见多发小叶间隔增厚,伴心包少许积液,双肺病变,临床无症状,感染首先除外,结合腮腺病变,双下肢病变及化验检查,综合考虑自身免疫性疾病肺部改变
红星:病史资料:患者男,30岁,因“双小腿及双踝双足浮肿1周”入院。患者1周前无明显诱因下感双小腿及双踝双足浮肿,胸部CT示:两肺多发感染。尿酸增高,肝功能损害,两肺多发的结节状及片状的模糊阴影,小叶中心分布为主,病灶中心密度比较高,周围密度较淡,晕征,整体病灶比较单一,以渗出为主,两下肺分布,尤其是右下肺分布为甚,两侧胸腔积液,心包积液。心脏左心室明显增大。考虑肺部感染或者是血管炎的一些病变。个人认为,左心功能不全合并有肺水肿或者是血管炎的一些病变。
滴水海:这个病例临床很关键,影像表现支气管周围的渗出实变为主,支气管长轴分布,分布不像隐球菌,像血管炎,部分与血管相连。其次机化性肺炎,收缩性弱了些。淋巴瘤应该不得考虑,渗出太明显,且病史也不符。故考虑来自间质的血管炎,至于什么原因得结合临床和实验室,是否goodpasture综合征?
丁啸:肾脏病变,白细胞减少,贫血,低补体血症,腮腺病变,肺部沿着支气管血管束分布病变。考虑SLE可能大,
月亮圆了!:白细胞白细胞减少,低蛋白血症,胸腔积液,严重低补体血症,肝酶升高,腮腺肿胀,是否有蛋白尿未提供。右肺气管血管束渗出,多发。胸膜下干净。考虑红斑狼疮可能最大。肺部考虑:1.狼疮肺.2.血播?
没意见:临床浮肿+低蛋白血症+蛋白尿+微球蛋白提示肾病综合征;白细胞+补体下降提示风免疾病;胸部CT:肺水肿表现;不支持感染,风免疾病的指向性比较清晰了,同意各位老师意见
一切∮随缘:右肺多发大片状实变影,边界模糊,周围可见磨玻璃影,部分可见支气管穿行,支气管壁增厚,支气管扩张,血管束增粗,双肺多发结节,结节分布,以支气管束分布为主,双侧胸腔积液,心包积液,心包密度减低(贫血?),年轻男性,有下肢浮肿,实验室有血象及蛋白减低,考虑:1:病毒性肺炎2:GPA3:淋巴瘤
张延军:双肺多发斑片及结节状高密度影,边缘不清,结节周围伴晕征,前者沿支气管束分布呈实变影,内走形支气管通畅,临近肺组织见大片状磨玻璃影,界不清,中轴间质增厚,影像提示,支气管血管束周围及肺内间质为主病变,临床风免提示,考虑结蹄组织疾病肺内改变
王武章:低蛋白血症引起多浆膜腔积液,多浆膜腔积液引起低蛋白血症。可互为因果
大雄:大量蛋白尿也可以引起低蛋白

南边老师带读

南边:这个各系都低

南边:临床症状似乎与肺部影像无直接关系

南边:
补体低

南边:
超声提示腮腺炎症

南边:
双侧胸水

心包积液

皮下轻微水肿

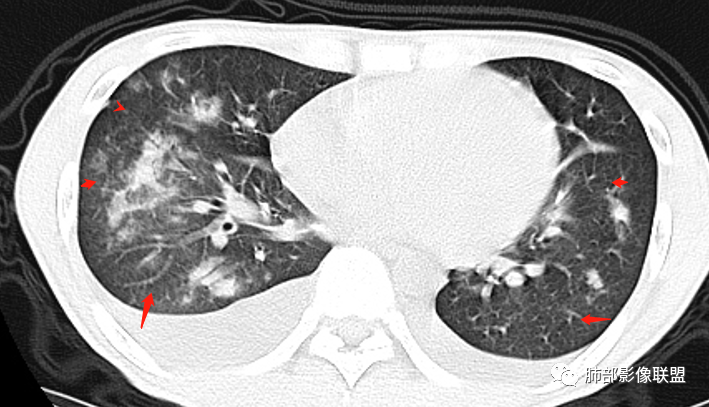
中轴间质增厚轻微

双下肺淡薄GGO

小叶间隔增厚


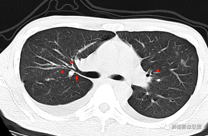
沿支气管血管束分布斑片状更高密度影,部分实变

南边:边界不清,内部支气管通畅
高密度影考虑间质来源?肺泡腔来源?二者都有?分不清?
最起码肺水肿类病变
斑片状实变密度:边界不清
GGO密度均匀,内部原有能显示的结构都清楚:

血管少增粗,小叶间隔增厚
有细网格征吗?

南边:
双侧胸腔积液,双下肺斑片状磨玻璃密度影,背景是大片状磨玻璃密度影,密度稍低一些。这个磨玻璃影非常弥漫,没有受局限,胸膜下不是很清楚,内部结构显示清楚,稍实变的区域也是,小叶间隔增厚,中轴间质也增厚。有些病变边缘有收缩,有轻度OP样特点,但是这些病变似乎密度非常均匀。
这类病变首先不是气道来源的,应该是沿间质分布,或者是肺泡腔内的病变。支气管壁周围增厚,磨玻璃影非常均匀,肺泡腔应该也有。
出血有可能,还要考虑到肺水肿,因为有胸腔和心包积液,小叶间隔也增厚。
感染的话,间质分布的,病毒不太支持,因为临床没有发热的迹象,考虑病毒有些牵强。
还有真菌,常规免疫系统出了问题的时候会合并真菌,但是曲霉这样的分布不太符合。但是临床没有发热,曲霉也不太支持。
我倾向肺水肿类病变放前面,不除外特殊的真菌感染,因为本例免疫力低下了。

答案揭晓



相关文献知识

系统性红斑狼疮(SLE)是一种以血清多种自身抗体为特征、具有复杂多样的临床表现、多系统损害的自身免疫性疾病。
在SLE的多脏器损害中,肺部受累发病率约 43%~ 60%,比其他结缔组织病更为常见,可表现为慢性间质性肺炎、肺纤维化、胸膜炎、弥漫性肺泡出血、肺血管栓塞、肺动脉高压等,轻者无明显症状,重者危及生命。在整个病程中均可出现罕见的机会性致病菌感染,特别是在SLE 治疗过程中,因患者长期使用糖皮质激素和免疫抑制剂,更应警惕。研究表明 SLE 出现肺部受累的患者预后差,病死率较无肺部受累者高出2倍以上。早期明确 SLE 的相关肺部损害对临床诊断、治疗及改善 SLE 具有重要意义。
1、胸膜病变
胸膜病变是SLE最常见的肺部表现之一,半数胸膜病变患者可出现胸痛、咳嗽、呼吸困难、低热、胸腔积液(少到中量)等。其胸腔积液可为双侧或单侧,两者各约占 50%。早期胸膜病变患者可出现胸痛表现,影像学上仅表现为胸膜增厚、牵拉状斑片影或实变影,多集中在胸膜下和肺底部。病程进展到纤维素性渗出后,产生胸腔积液。胸腔积液的性质大多为渗出液,黄色或淡血性液体。
  2、浸润性肺部病变
①急性狼疮性肺炎(ALP):ALP指的是SLE患者短时间内突然发生的非感染性肺部炎症,可出现于病程的任何阶段。ALP在SLE 患者中发病率约为 1%~4%,但其病死率较高,约 50%左右。ALP的临床表现有:突发的呼吸困难、胸痛、咳嗽、咳痰、咯血、迅速进展的呼吸衰竭,多有发热。肺部影像学特征为双侧或单侧、以肺底为主的斑片状实变影、局灶肺不张、膈肌抬高,多伴胸水。
②机化性肺炎(OP):OP是由于肺泡内纤维蛋白没有完全吸收或大量纤维组织增生而形成,OP既可原发出现,也可继发于多种疾病,如感染、药物、肿瘤、系统性疾病等,诊断需要临床、影像、病理三者相结合。OP 可为SLE 的首发表现,在患者未表现出任何活动性的 SLE 迹象时发生;亦可出现在 SLE 病情反复,出现难治性低氧血症,需使用无创或有创呼吸机治疗之后。发病人群以中年女性多见,急性或亚急性起病。近半数 OP患者可有咳嗽、发热、乏力、体重减轻等非特异临床表现,复发性和游走性肺部阴影与SLE 的肺部病变相似,极易漏诊。OP主要病变是呼吸性细支气管及以下的小气道和肺泡腔内机化性炎症改变,呈斑片状分布,支气管周围较密集;高分辨率肺部CT下常在双肺下野、沿支气管血管束及胸膜下可见实变影,伴少量磨玻璃影(GGO),部分患者在病灶内可见支气管充气征。
③慢性间质性肺炎(CIP):在SLE病程中,CIP 并不少见。CIP可表现为不典型的干咳、发热、紫绀、消瘦,患者可有杵状指,于双侧肺底和腋下可闻及啰音,病程后期可出现肺间质纤维化、肺气肿及右心衰竭。其临床表现与特发性肺间质纤维化相似,但CIP 病情较轻,进展也更加缓慢。此类患者早期肺部影像可正常;进展期于肺底出现不规则线状模糊影及毛玻璃样改变;晚期呈现典型CIP蜂窝影,肺容积缩小。在CIP中推荐高分辨率肺部CT,在肺底部可见不规则线状模糊影,呈毛玻璃样变或蜂窝样改变,多发散在结节影及小叶间隔增厚,引起邻近肺组织的牵拉性肺不张。
  3、气道受累
①上气道受累:SLE患者发生上气道受累较支气管受累少见,发病率约0.3%~30%,患者多无明显症状。临床表现为干咳、喉部不适、吸气相喘鸣、急性会厌炎、喉炎、声带水肿、坏死性气管炎、环杓关节炎等,常伴随SLE 的低热、乏力等一般表现。激素治疗效果好。
②支气管疾病:随着病程的延长,逐渐出现小气道损伤的加重,高分辨率肺部 CT 可见支气管扩张。
  4、肺血管疾病
①弥漫性肺泡出血(DAH):DAH在 SLE 的肺部损害中发生率约 2%,但其病死率极高,有报道称SLE-DAH 死亡率可达 50%以上。DAH 可见于病程任何阶段,20%可为 SLE 首发症状,常与ALP并发出现。SLE 患者合并DAH 时可出现突发的呼吸困难、咯血,最重要的是出现短时期内Hb明显下降和低氧血症。影像学上大部分表现为双侧弥漫性、以肺野下带为主、边界不清的模糊斑片影。早期肺部CT在小叶中心型靠近肺门处见毛玻璃样结节影;进展期GGO逐渐掩盖原结节影,可见含支气管气相的肺实变影;如出现小叶间隔增厚,间质纤维化则提示DAH进入慢性期。SLE-DAH 患者中近 1/3 有合并肺部感染,病原菌可为葡萄球菌、巨细胞病毒、单纯疱疹病毒、军团菌、曲霉菌等,临床上积极完善血培养、痰培养、纤维支气管镜、支气管镜灌洗液细胞学检查或开放肺活检以获取病原学证据尤其重要。这些特征提示在临床上若发现年轻女性 SLE 患者出现突发咳嗽、咯血(可能缺如)、呼吸困难、低氧血症, 辅助检查中 Hb 迅速下降(75%~100%)、抗核抗体、抗 ds-DNA 抗体、抗心磷脂抗体(ACL)阳性、补体水平下降,应着重排查 DAH。
②肺动脉高压(PAH):SLE 继发 PAH 的发病率约 15%~30%,高发年龄为 18~ 49 岁,男女比例约 1:10。大多是在病程中后期出现,以PAH 首诊的患者较少见。75%的 SLE-PAH 患者合并雷诺现象,血清 ACL 阳性率 60%~68%,提示预后差,据文献报道 SLE-PAH 患者 5 年生存率仅为 48%, 是 SLE 患者的主要死因之一。
③抗磷脂综合征 (APS):SLE继发肺血管栓塞(PE)发病率为9%~30%。可表现为突发的呼吸困难、胸痛、剧烈咳嗽、咯血、发热,常伴下肢深静脉血栓形成。
④急性可逆性低氧血症(ARH):ARH在危重患者中较多见,其特点是影像学通常无明显表现,但可有胸痛、急性呼吸困难、严重的低氧血症、弥漫性肺功能障碍、肺泡-动脉氧浓度差扩大。
  5、肌肉与膈肌受累
①呼吸肌病变:呼吸肌的受累能清晰体现在胸部X线片上,可出现膈肌上抬,邻近肺塌陷和肺不张,患侧肺容积进行性缩小,表现为进行性呼吸困难。
②萎缩肺综合征:原发性膈肌肌病和胸膜粘连均可导致萎缩肺综合征,临床上表现为呼吸困难、胸痛、发热、少量胸腔积液。
  6、SLE 合并肺部感染
SLE合并肺部感染临床上较多见,发病率高,且是复发和死亡的重要原因。一旦出现发热及任何新的肺部病灶都必须排查感染性疾病,尤其是对已应用激素及免疫抑制剂者。临床上偶可见以感染首诊,肺部感染与SLE肺部损害相互混杂患者,增加了诊断和治疗的难度。SLE肺部感染临床表现十分多样、复杂,缺乏特异征象。肺部感染常见的病原体有细菌(革兰阴性菌多见,也需注意金黄色葡萄球菌)、病毒(巨细胞病毒、EB 病毒、腺病毒等)、真菌(白色念珠菌、热带念珠菌也较常见)、结核菌等。
  7、结论
风湿病学界越来越关注SLE及其肺部损害。SLE的呼吸系统受累并不少见,其中又以胸膜炎和间质性肺炎最常见:ALP 和 DAH虽少见,但发病急、病情凶险,积极治疗或可逆转病情;PE及 PAH 同属 SLE 肺血管病变,需重视疾病评估,早发现、早治疗,能够明显改善疾病预后;需要特别重视SLE合并肺部感染,尤其是条件致病菌的感染。无论SLE分类标准如何进阶、演变,有一点是风湿病学界坚持不变的共识,那就是越早诊断,越早治疗,所能够达到持续缓解状态并改善疾病预后的机会就越大;反之,越晚开始治疗,需要的治疗力度就越大,疾病损害和药物损伤就越多,所导致的不良反应和治疗结局就更严重。
 
参考文献:《浙江医学》2018年第40卷第22期,【系统性红斑狼疮的肺部损害】,作者:林禾,林滇恬。 

编辑:赵永兵
审核:徐  晓
病例提供:新沂市人民医院 唐大川




到顶部