【每日晨读】 “大隐于市”的肺部块影



(图片来自百度)






























































































群内发言


谢加平
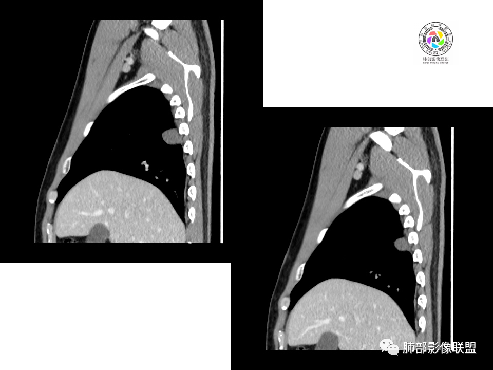
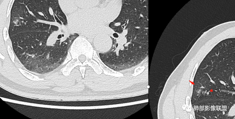
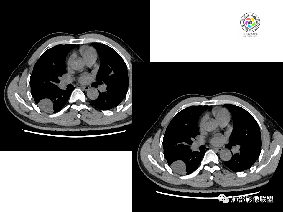
右肺下叶背段胸膜下见团块影,边缘清,其后基底段见一扁平状结节,各见‘’平直及桃尖"征,均轻度强化,右肺上叶背段及中叶外侧段分别少许纤维化灶及部分卫星病灶,一元考虑TB,与隐球菌鉴别!

穿越七海的风
右肺下叶胸膜下类圆形团块,边缘光滑无毛刺分叶,强化均匀无坏死,另血管旁小结节平直桃尖,上叶小斑片影,考虑结核或者真菌感染。

似水流年
右肺下叶背段胸膜下见一边缘稍模糊、浅分叶结节灶,密度均匀,似乎轻度均匀强化(具体CT值看不出来),与胸膜锐角相贴,似有平直征和桃尖征。此病灶前内侧还有类似小结节,轻度强化,右肺上叶后段有斑片状稍高密度影:考虑良性病变,炎性结节可能。 

秦化君
晨读,右肺下叶背段胸膜下见肿块影,边缘清晰,未见与气管相连通,右下叶见结节影边缘清晰,两处病变密度均匀,同步不明显强化,中叶外侧段斑点状影,树芽征,考虑1良性病变,结核?隐球菌?2淋巴瘤待除外。

徐飞
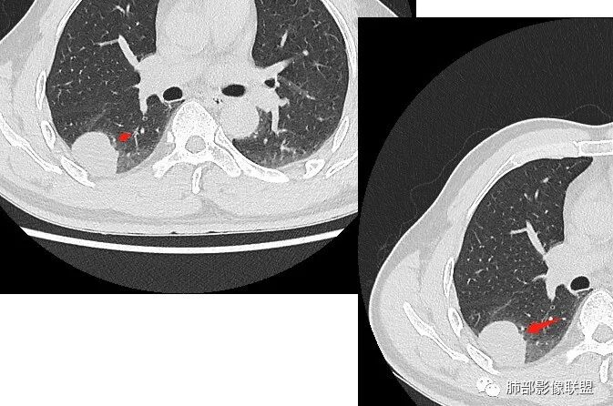
右肺下叶背段胸膜下宽基底团块状占位,浅分叶,边界清晰,胸膜下脂肪间隙清晰,背段支气管管壁似乎增厚,未见明显强化。外侧基底段血管束间结节,边界清晰,亦未见明显强化。中叶外侧段见少许树芽征象。纵隔未见明显肿大淋巴结。我先猜个结核。

孙冰伟
男性,49岁,体检发现,右肺下叶背段胸膜下见肿块,边界清楚,边缘光滑,胸膜下脂肪间隙存在,有分叶,无毛刺,均匀强化,内无坏死,右肺下叶血管束间不规则实性结节,边界清楚,无明显强化,中叶少许斑片状高密度影,纵隔未见明显增大淋巴结,考虑良性病变。

波波
右下肺占位并淋巴结肿大,边缘光滑,强化不明显,指状突起。考虑恶性肿瘤,不除外小细胞,鉴别诊断肺结核。

飞鹰行动
中年男性,体检发现病灶,右肺下叶背段胸膜下见团块影,边缘清晰,与气管关系不密切,右肺下叶见一小结节影,边缘清晰,两处病变密度均匀,增强病灶强化不明显,偏向良性病变,隐球菌?炎性假瘤?

看图说话
右肺下叶肿块,边界清楚,边缘有晕,光滑,无毛刺,均匀强化,无坏死,中叶少许斑片状高密度影,粘液栓,考虑良性病变,隐球,鉴别结核。

采莲
中年男性,有吸烟史,右肺下叶靠近胸膜下类圆形肿块,边缘光滑,有膨隆,浅分叶,周围有磨玻璃影,附近有血管进入,与支气管关系不大,宽基底与胸膜相连,胸膜增厚不明显,密度均匀,轻度强化;右肺下叶近端有一不规则结节,有血管贴边征,右肺中叶外侧段斑片影。右肺下叶靠近胸膜下肿块考虑恶性神经内分泌肿瘤,大细胞肺癌可能性大。靠近肺门端结节考虑转移?右肺中叶炎症。鉴别隐球菌肺炎。

我心飞翔
中年男性,无症状,右肺下叶背段团块影,边缘清晰,周围晕征,增强病灶强化不明显,考虑隐球菌。

宇宙
右肺下叶二个大小结节,胸膜下结节浅分叶,指状突起,轻度强化,较小结节血管漂浮,考虑小细胞癌,类癌,鉴别隐球菌。

一切∮随缘
右肺多发结节,较大位于胸膜下,宽基底与胸膜相连,边缘光滑,分叶不明显,局部周围似有模糊GGO,支气管显示不佳,平扫密度均匀,增强后强化不明显,考虑良性,IMT,隐球菌,鉴别小细胞癌。

张立
右肺下叶胸膜下肿块影,边界清晰,无明显分叶及毛刺,无晕征,未见明显卫星病灶,内无钙化,增强后均匀强化,未见明显坏死,近肺门侧小肿块,与血管无关,需要连续层面看与支气管的关系,无关就是淋巴道,考虑小细胞癌有可能,近肺门是淋巴转移途径?

小兜
体检发现右肺下叶胸膜下类圆形肿块,边界清晰,有膨胀感,胸膜下脂肪间隙清晰,密度均匀,增强轻度均匀强化。另右肺下叶血管束间可见一小结节影,与胸膜下大结节类似。考虑为良性病变。

周太狼
中年男性,体检发现,有吸烟史。影像见右肺多个结节、肿块影,大者位于背段,靠近胸膜下类圆形肿块,密度较均匀,边缘光滑,有膨隆,浅分叶,周围有磨玻璃影,有血管进入,似与支气管关系不大,宽基底与胸膜相连、扶墙,轻度强化;纵隔内无明显肿大淋巴结。首先考虑炎性隐球菌可能,需鉴别:肿瘤病变转移。


中年男性,28年吸烟史,肺内多个病灶,较大病灶位于胸膜下,边缘较光整,宽基底,胸膜局限性增厚,支气管壁无明显增厚,与周围支气管关系不是很密切,不明显强化,常规考虑炎性病变,恶性小细胞癌属于崽大?

哦落花时节
中年男性,20余年吸烟史,体检发现,右肺下叶胸膜下软组织肿块,边界清楚,边缘平直,有压迹,密度均匀,增强强化不明显,未见坏死区,考虑良性可能,炎性肉芽肿?。右肺下叶一小结节影,多个层面均有,考虑整体呈管状,走行与支气管相似,增强强化不明显,支气管来源可能,粘液栓?右肺中叶外周见斑点状、小结节状影,炎性病变?一元论,支气管来源病变,支气管囊肿?粘液栓?阻塞性炎症?长期吸烟史,鳞癌不除外。

毛勤香
右肺下叶胸膜下结节,膨隆为主,胸膜糊墙,类山丘正,邻近血管增粗,其内侧肺门方向另见一小结节,均轻度强化,强化程度类似,长期吸烟史,首先考虑小细胞癌,鉴别炎性结节。

傅昌瑜
中年男性,体检发现占位。右肺下叶背段胸膜下肿块,周围晕征,有小分叶,与支气管、肺内血管关系不清,形似山丘,重建可见肿块呈D字形凸向肺部。似跨斜裂,似有小凸起与肋下缘相连,增强似有轻微均匀强化。右肺下叶外基底段小结节,位于血管周围,部分边缘平直,轻微均匀强化。考虑二元:一、右下叶背段肿块为肺外病变,神经鞘瘤?SFT?鉴别小细胞癌、隐球菌病;二、右下叶外基底段结节考虑为良性结节、炎性肉芽肿?

尘缘
大小两个结节,形态类似,强化一致,都是乏血供病变,也无明显坏死,不符合炎性肉芽肿强化特点了,大结节膨隆明显,有局部突出,有长期吸烟史,所以考虑神经内分泌肿瘤可能(小细胞>不典型类癌),另外不典型错构瘤需要鉴别。最终还是需要穿刺病理确定。


南边分析

南边:这个病例不算简单,临床肯定是穿刺;捋一捋吧。

南边:49岁,男性,吸烟,无明显症状;这样的病史其实最不好判断,啥都可以,无明显提示性。

右肺下叶占位,胸膜下,与胸膜关系密切;

密度均匀;糊墙,边缘膨隆为主;

部分血管推移。
支气管如何?
秦化君: 似乎无关
张燕萍: 没看到堵塞哦落花时节: 没看到支气管进入南边:好,都在门口。

浅分叶
这个结节呢?


血管也是稍推移,在边缘,病灶密度均匀,边缘稍收缩;均匀强化;

这两个病灶的密度、强化、形态、边缘、与血管的关系类似;还是一元论吧。
右肺中叶病灶

GGO,与支气管关系密切

这个形态、与支气管关系,与前两个不一致,所以考虑独立炎性病变。
南边:这两个一元论的病灶考虑:
①炎性:隐球菌;
②恶性:间叶来源肿瘤,间叶来源的两个病灶的罕见;癌一般还是与支气管关系密切,有如果考虑癌,自然是小细胞癌(山丘征);但是因为没有看到支气管具体情况,不太踏实。


病理结果




病例小结

一.影像与临床:
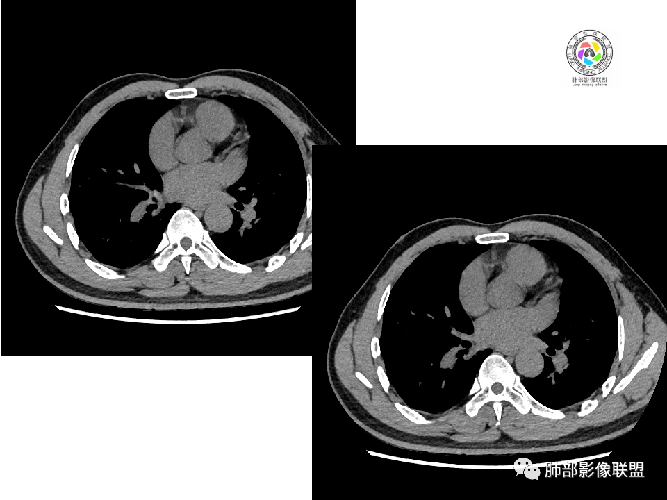
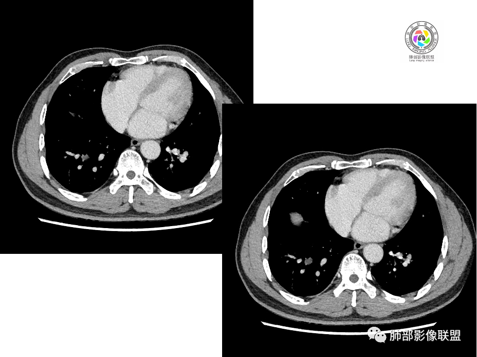
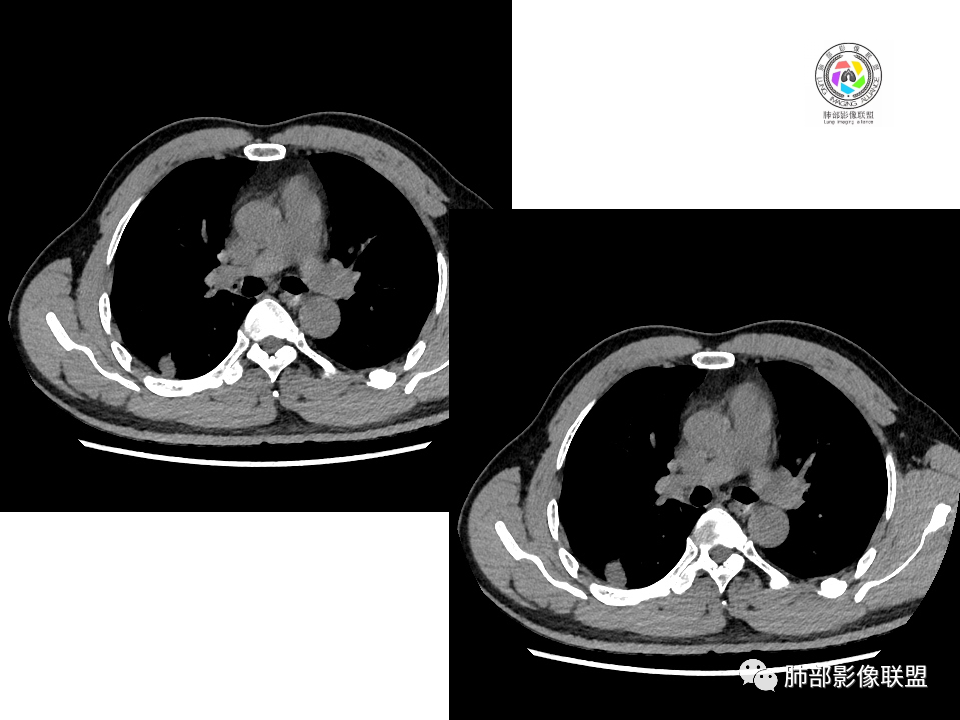
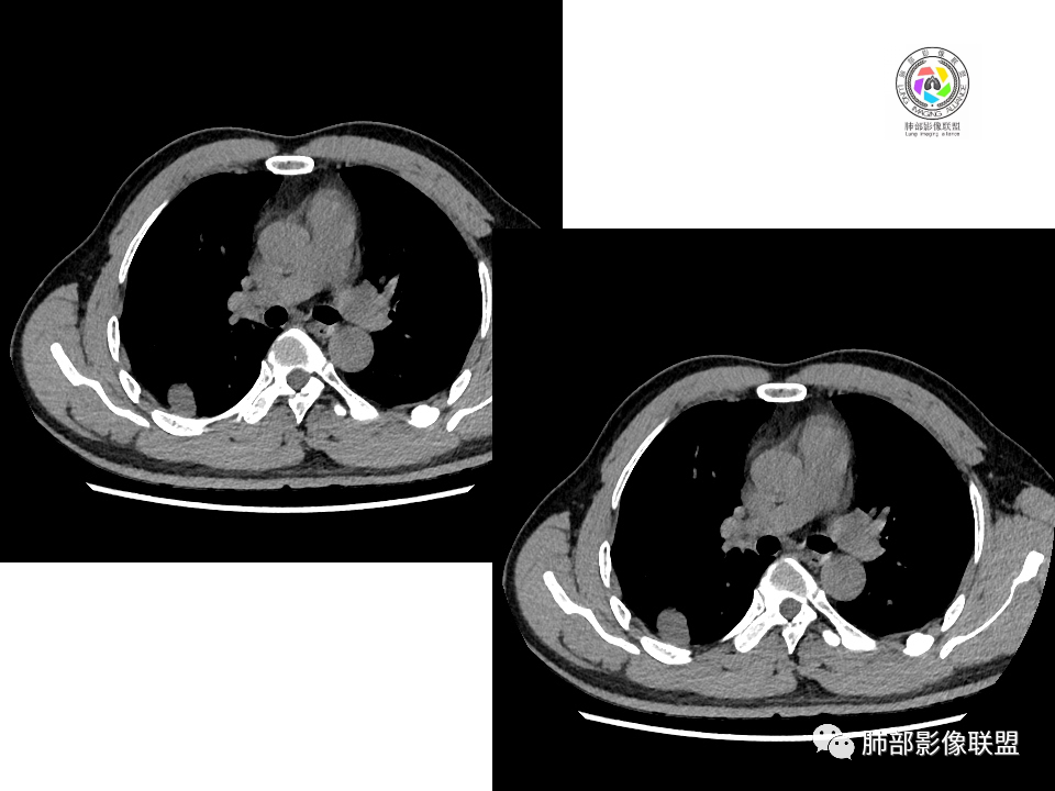
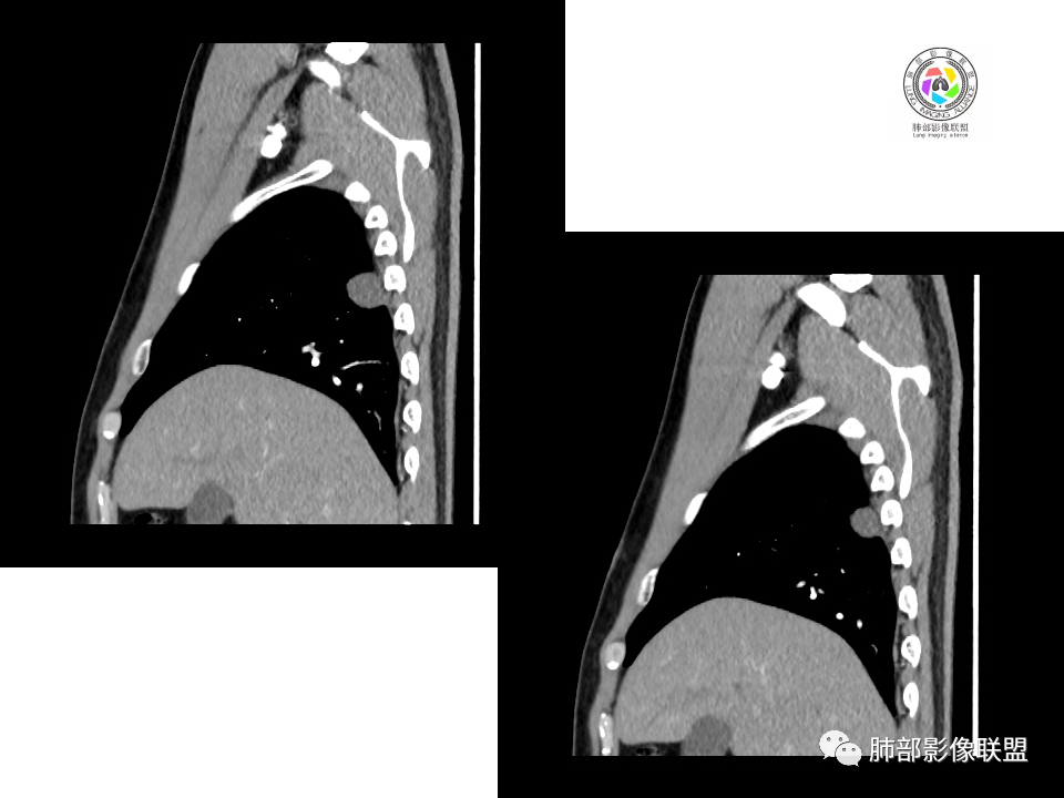
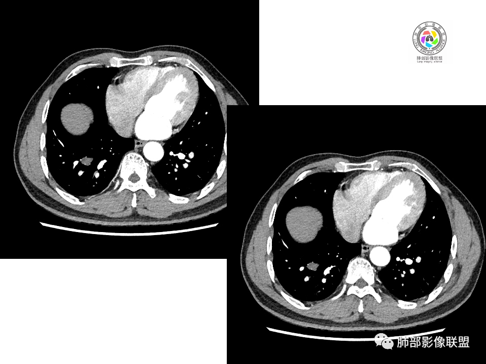
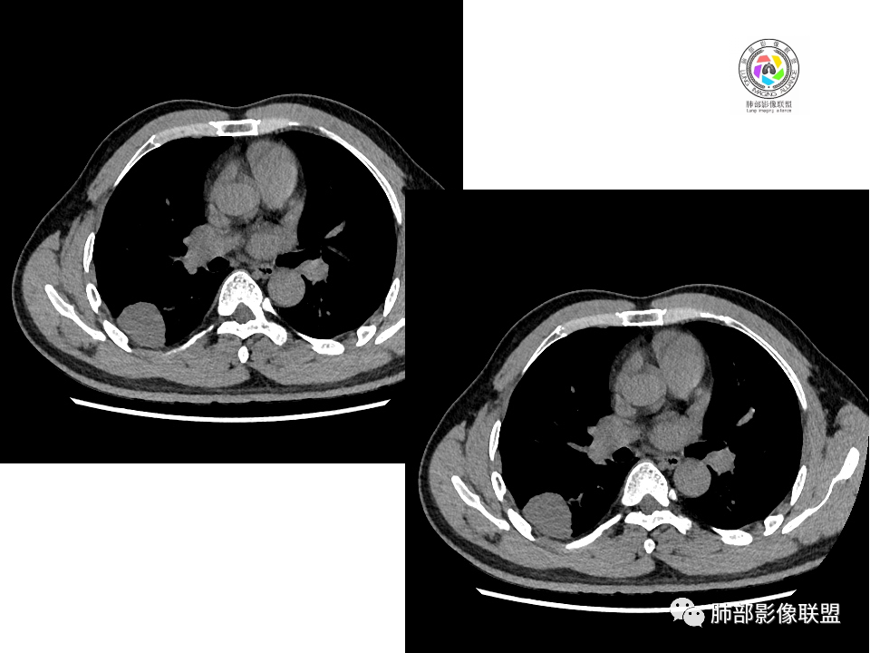
1.男性,49岁,体检发现。
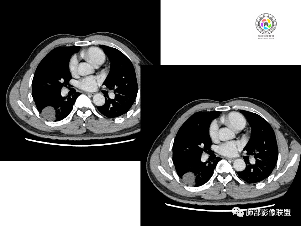
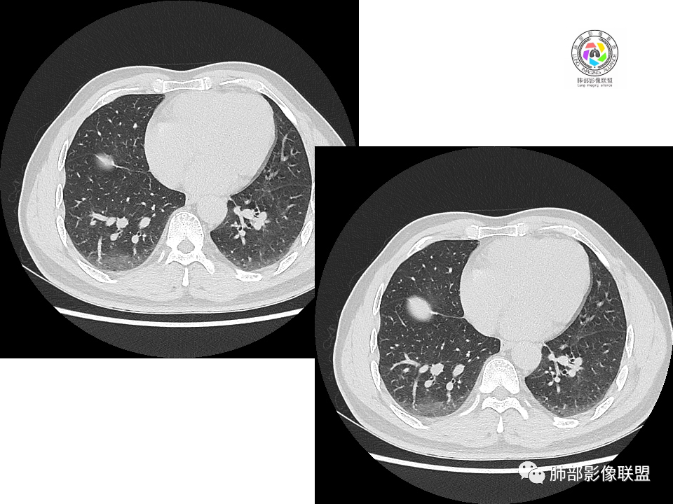
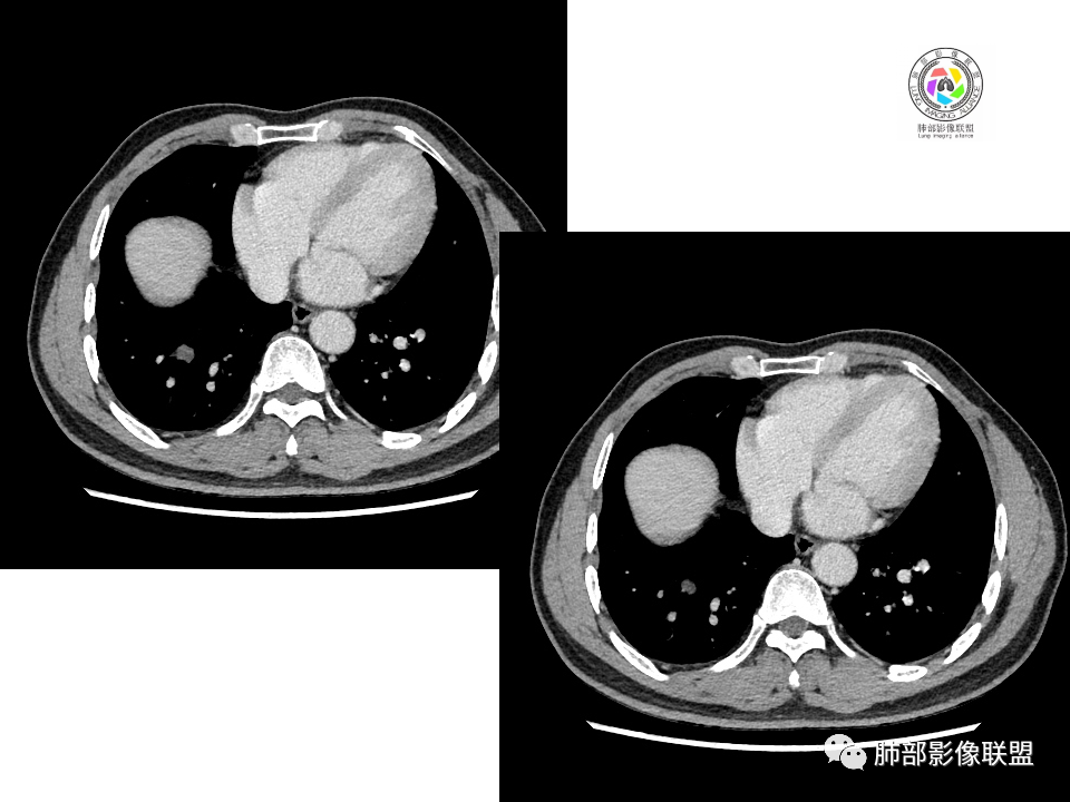
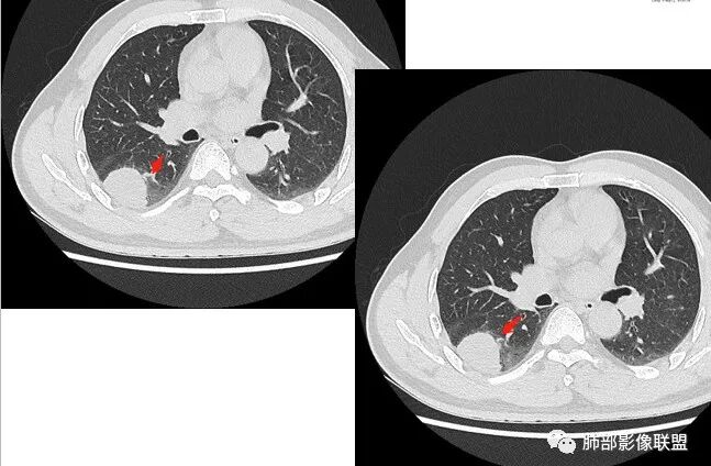
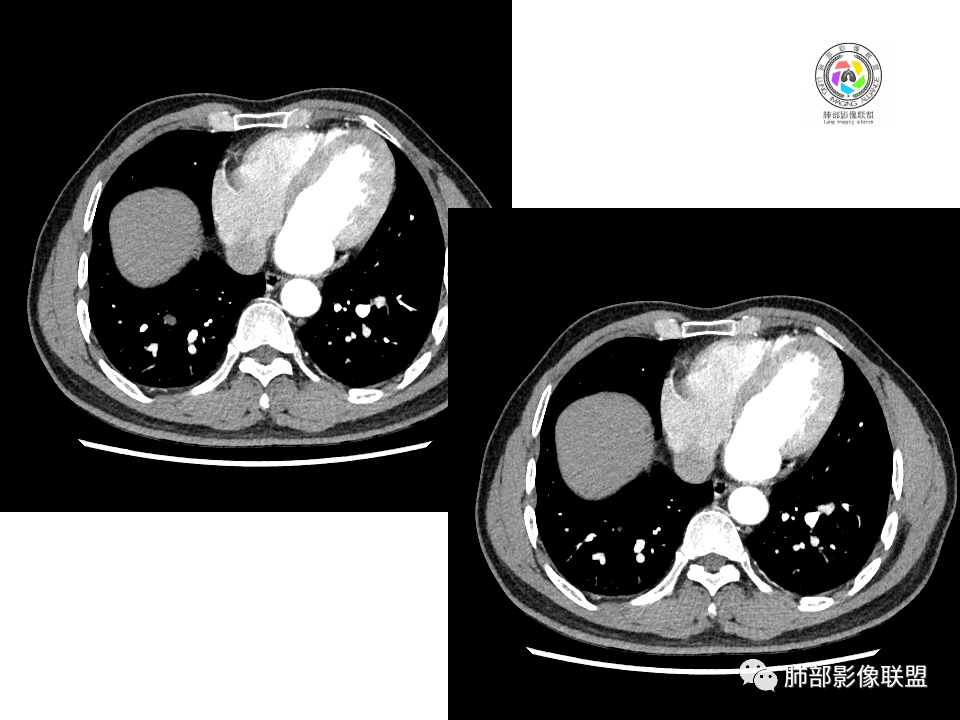
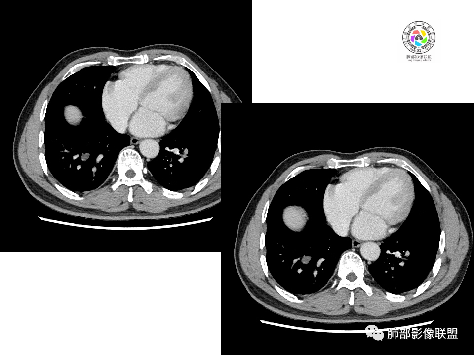
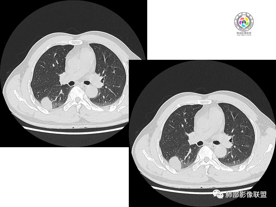
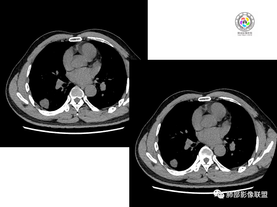
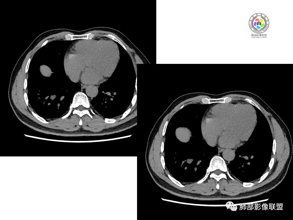
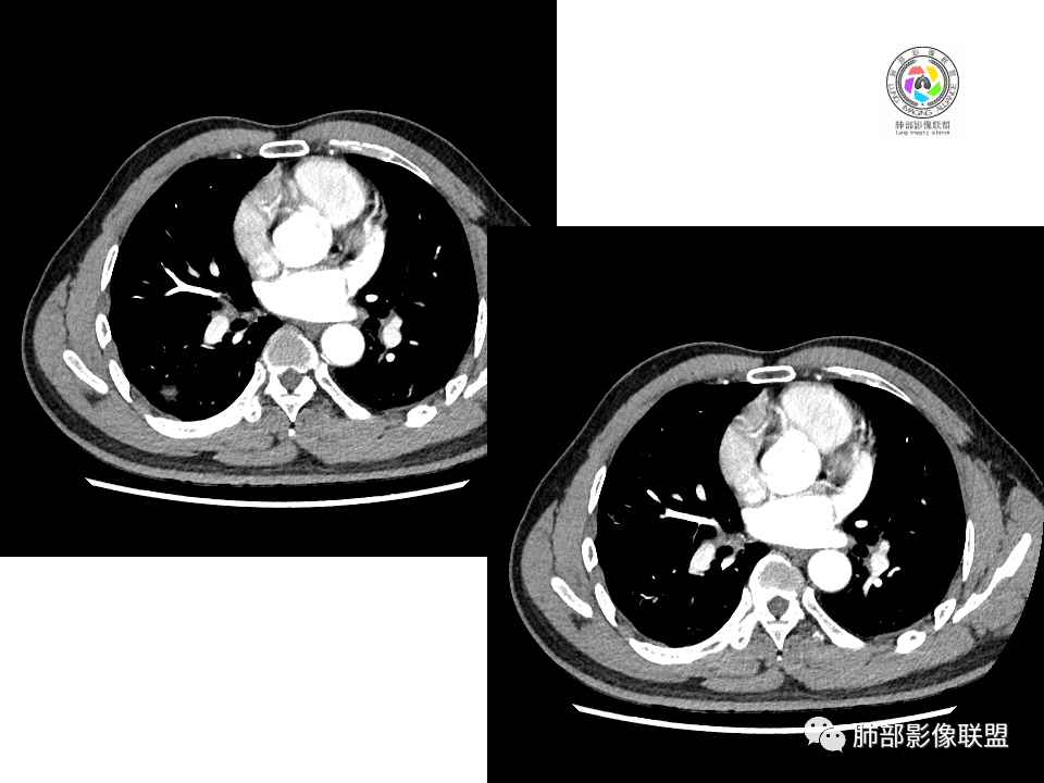
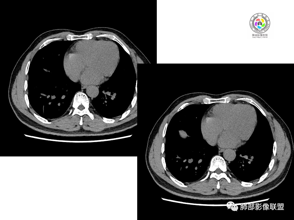
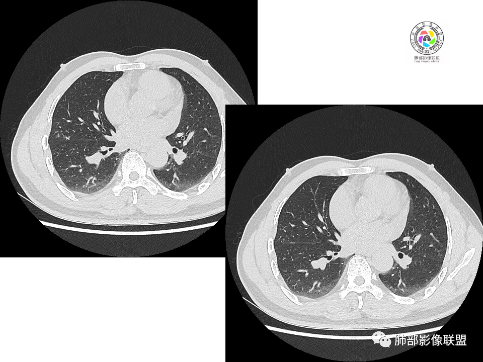
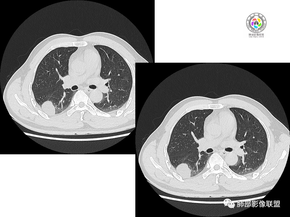
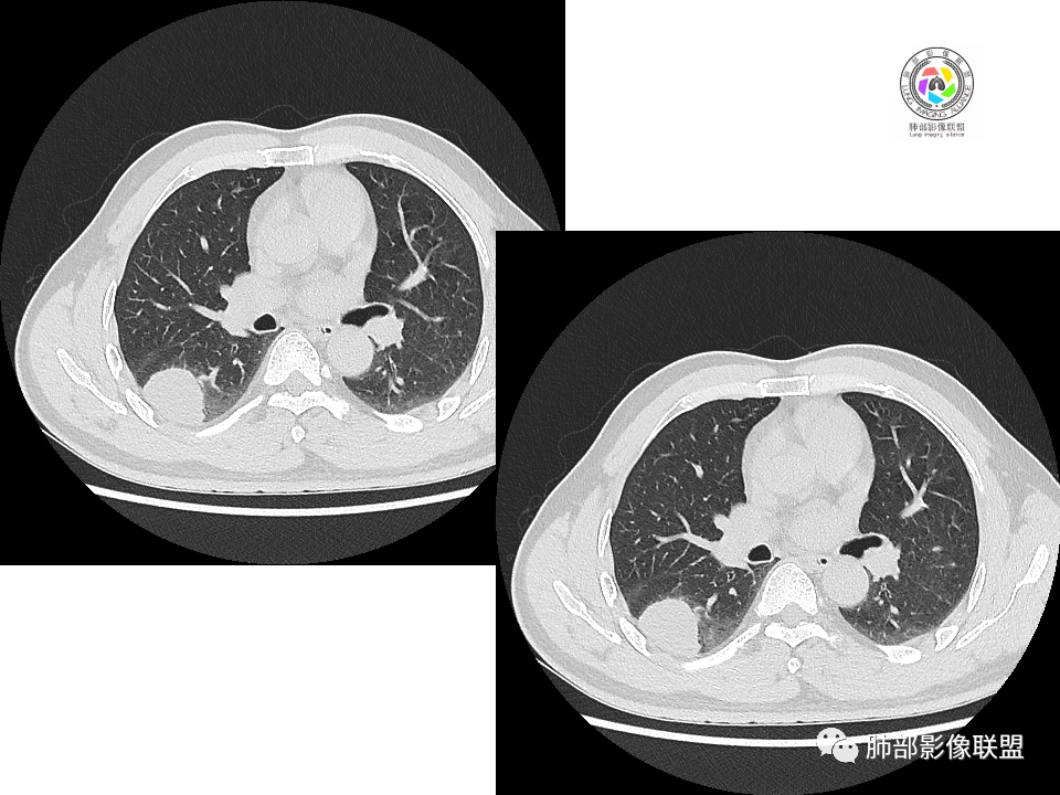
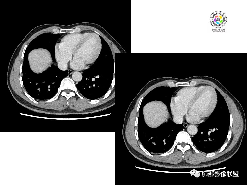
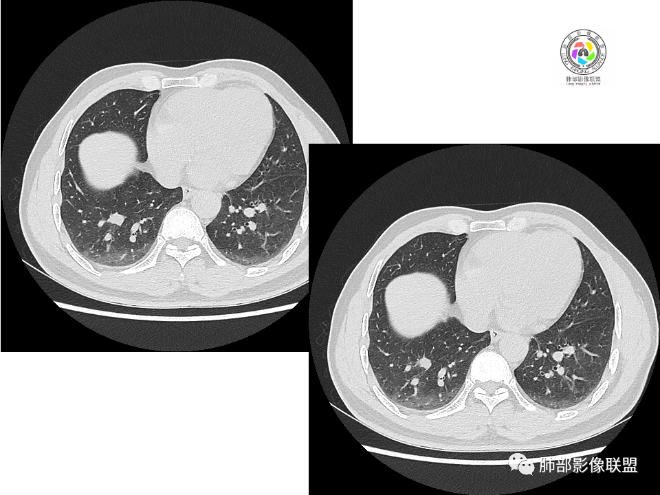
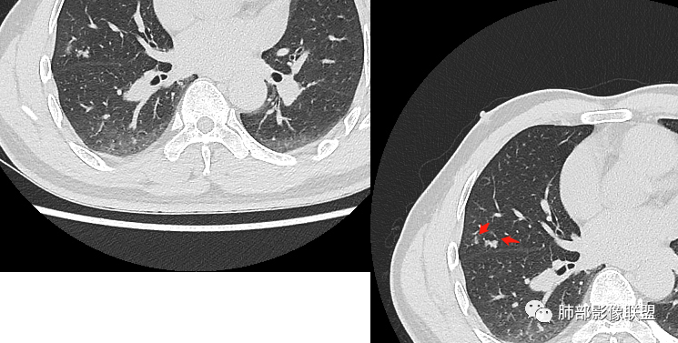
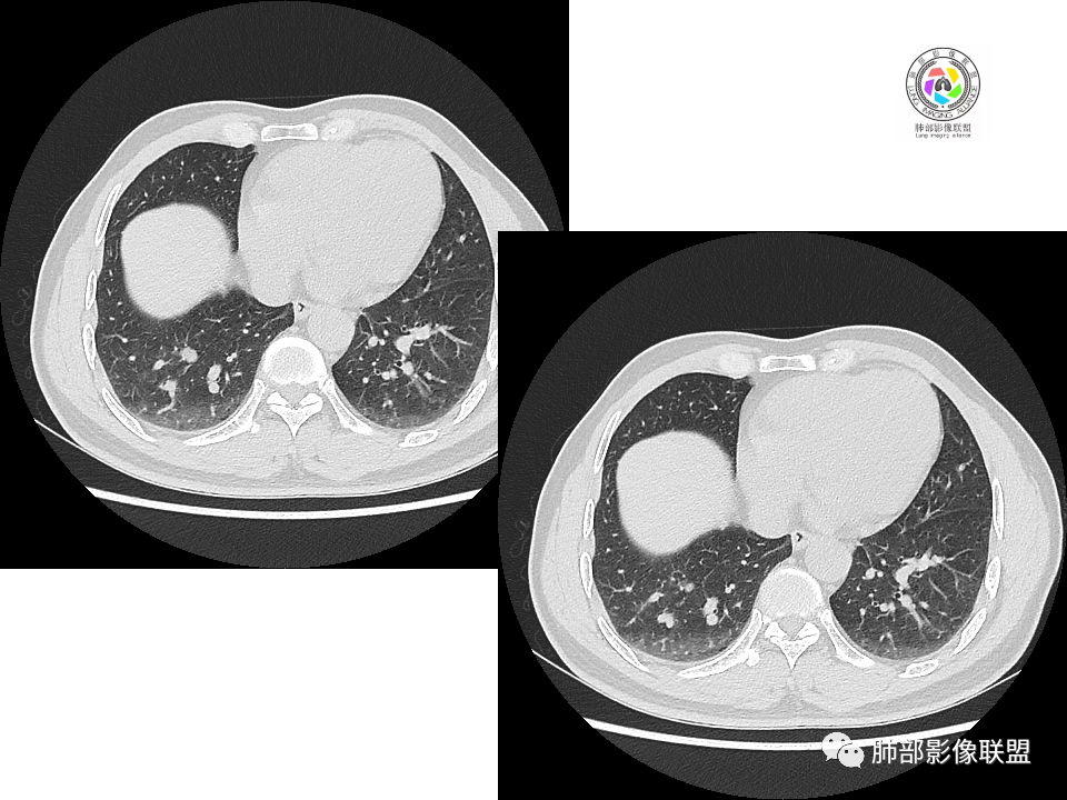
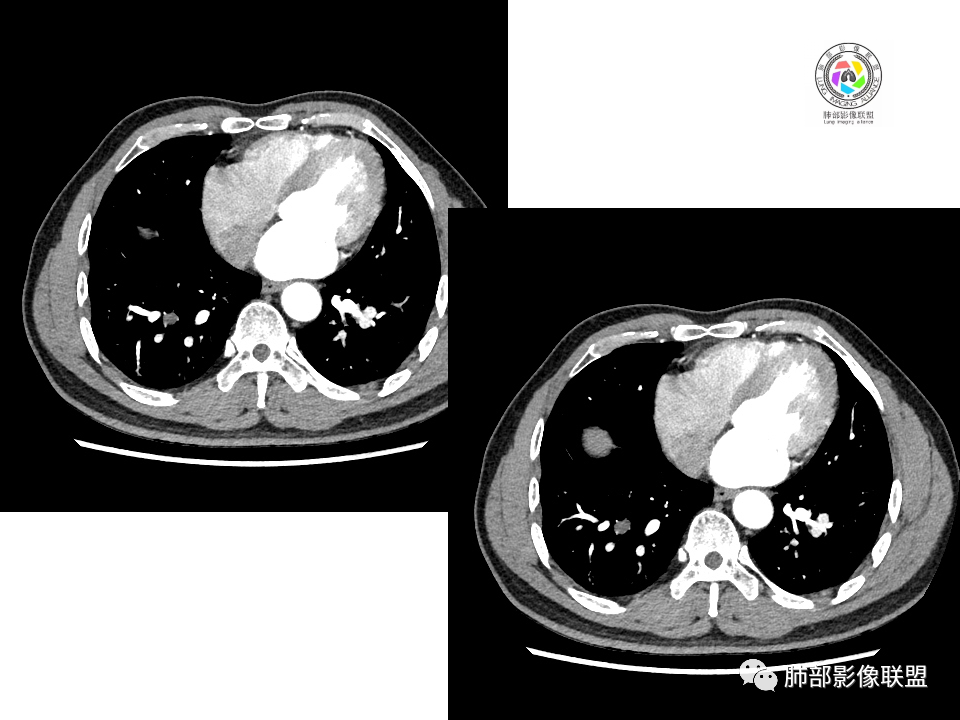
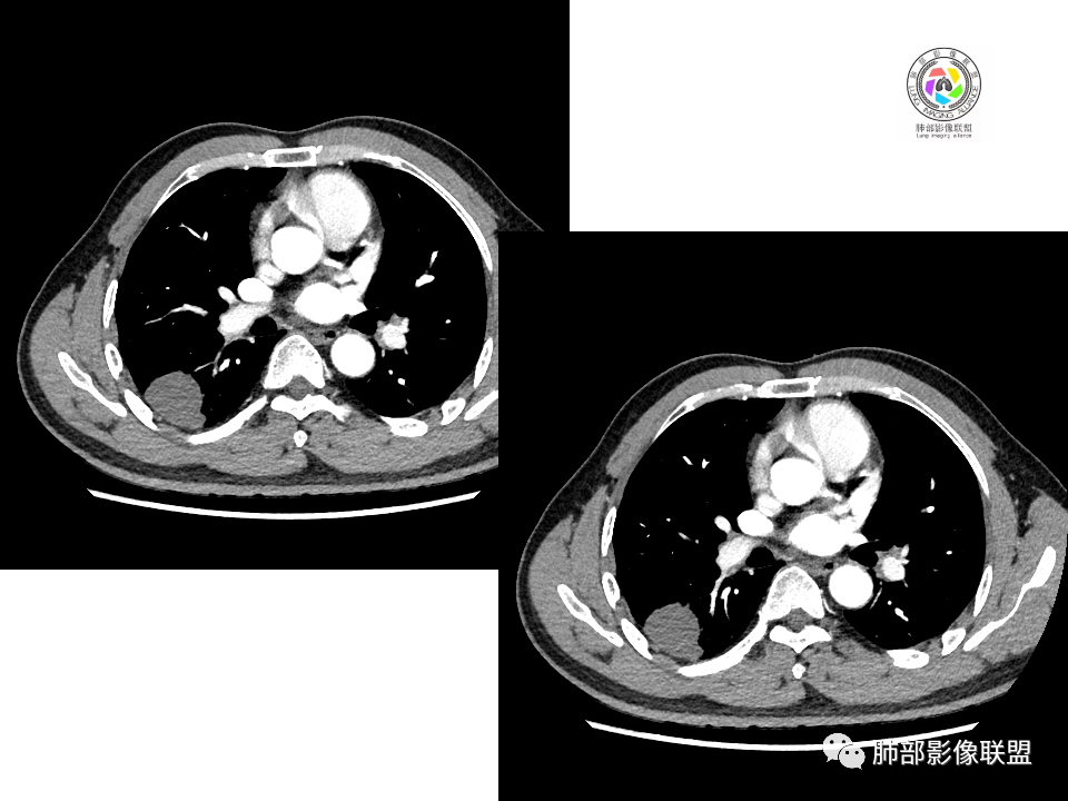
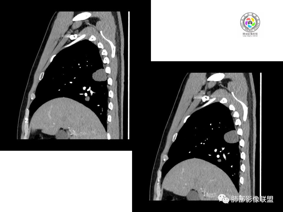
2.右肺下叶背段胸膜下块影,边界清楚光整,上下极见磨玻璃晕,未见明显分叶毛刺和棘状突起,未见胸膜凹陷或胸壁侵入。密度均匀,轻度不均匀强化。未见支气管进入。
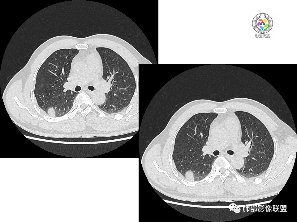
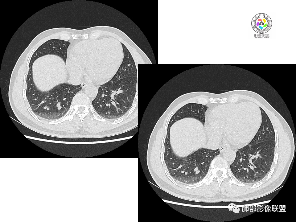
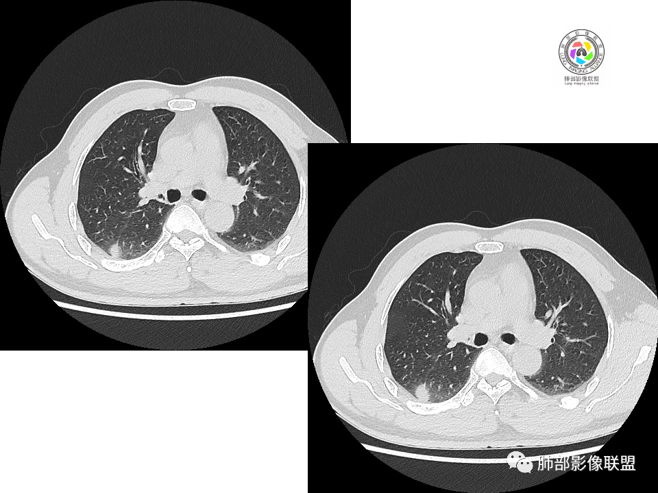
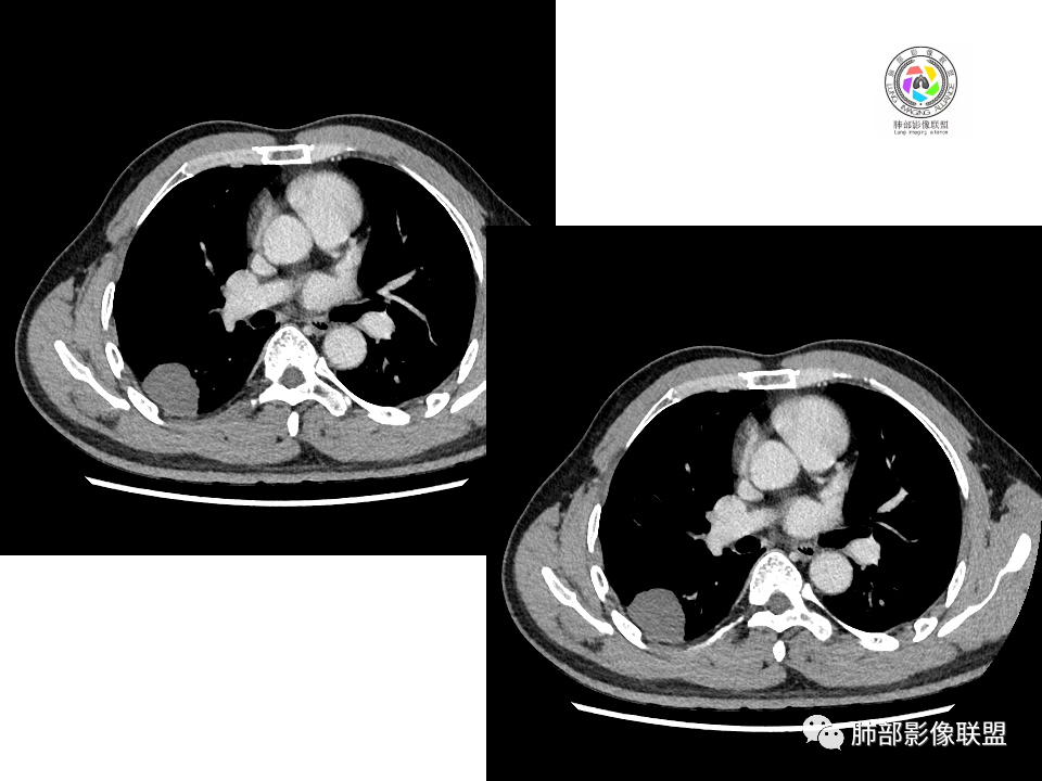
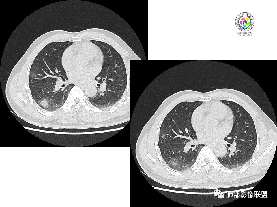
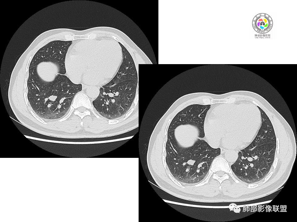
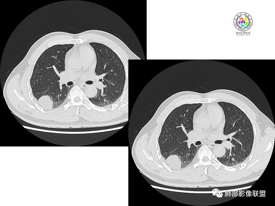
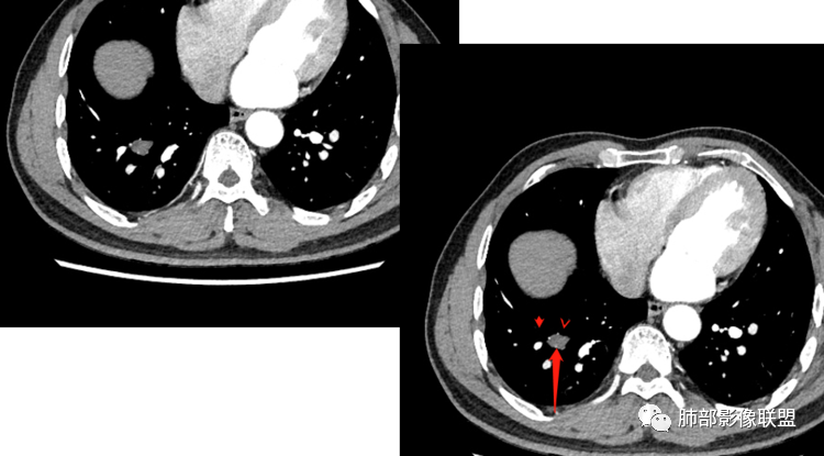
3.右肺中叶外侧段胸膜下散在小片影,磨玻璃密度为主,边界不清,支气管相关。符合炎性特征!
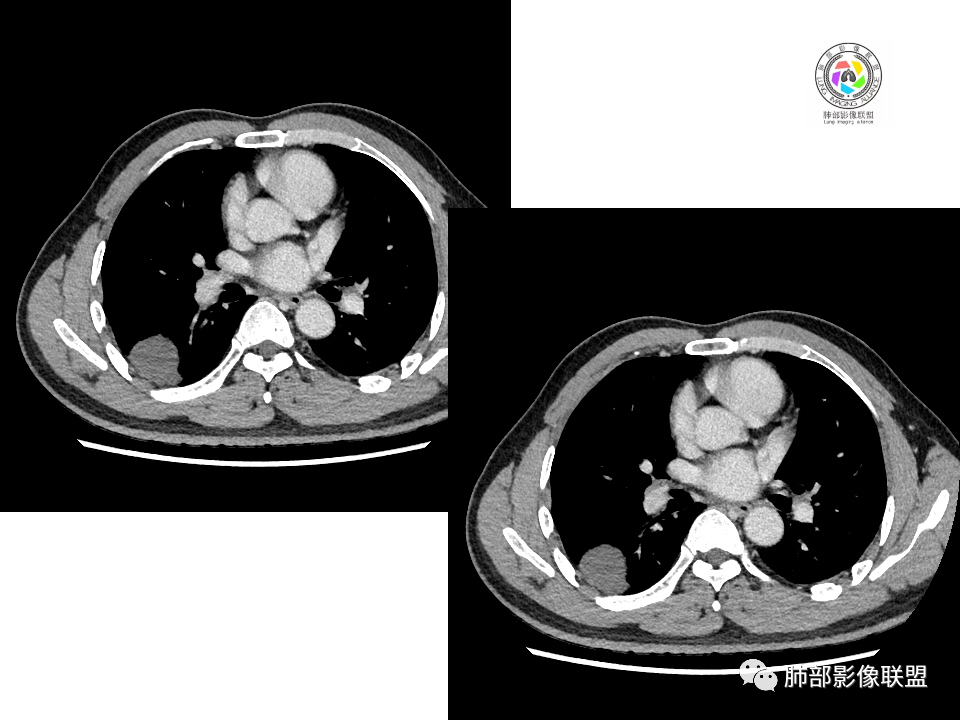
4.右肺下叶基底段支气管血管束旁小结节影,边界清楚,强化不明显。注意,这结节在“遥远的”基底段。
 
二、综合分析:
显然本例焦点在于背段那个边缘光整的块影!
1.边缘光整干净,大病灶缺乏坏死等,不符合鳞癌影像学特征。尽管有吸烟史,还是偏年轻。
2.边缘光整,会是小细胞癌或是大细胞癌吗?小细胞癌的肺门纵隔淋巴结增大往往十分夸张,该患者不符合。
注意,基底段支气管血管束旁的小结节影,即便是淋巴结,也与背段病灶引流途径不符。
3.会是转移瘤吗?如前所述,患者偏年轻,缺乏相关原发肿瘤病史,强化程度不高,似乎也缺乏支持点。
4.良性占位绕不过去,如发生于该部位的孤立性纤维瘤等……
病灶不均匀强化可以将含液支气管囊肿排除在外。
5.慢性感染灶。缺乏临床表现,强化不显著会想到继发性肺结核,背段病灶过于光整均匀,周边过于干净使人狐疑,且“成掎角之势”的中叶病灶结核灶特点也着实不多。
有老师分析,多发病灶有磨玻璃晕,可以符合隐球菌感染,确实如此。但背段边缘如此锐利的块影还是更容易让人联想到新生物。

关于结节型隐球菌
1、普通人隐球菌感染的时相:初期的隐球菌感染周围有晕,晕从多变少,或包裹,或吸收,结节实性区可迅速变大。后期(慢性期)的隐球菌周围无明显晕征,边界较清楚。
2、有些模糊晕消失慢的原因:隐球菌对周围肺组织破坏相对不重,周围所供应的营养不多,增殖也不快,呈局部相安无事的状态。隐球菌消灭之后,肺泡间隔的炎症细胞及间质恢复更慢,所以经常能见到隐球菌外面隐约带细丝的模糊影。
3、卫星灶与“蘑菇兄弟”:诊断隐球菌时,建议找卫星灶,卫星灶可以在遥远的地方。可以是遥远地方的微小结节——“小蘑菇兄弟”。有些远处的卫星灶,通常是不规则饱满实性的,晕征不明显。隐球菌的卫星灶非常“隐”,但发现率高达60%多,诊断价值高。
4、卫星灶距离远的原因:隐球菌卫星灶常很远,推测:一次空气来源隐球菌感染进入双肺多处,部分定居繁殖;距离近的隐球菌“蘑菇兄弟”常常是二次感染。
5、周围毛刺纤维、边缘形态等:坏死包裹会使得结节变圆;结节多缺乏明显的分叶征,缺乏局部突出生长能力;如果出现分叶,是由多处肉芽肿中心形成。没有坏死的局限化,结节只是凑合在一起,常呈方形征;毛刺进入晕区(概念源自南边老师),毛刺较短、较软;周围的晕吸收后,会留下不规则边,外面常残留丝状条索;收缩力较弱,临近胸膜对胸膜牵拉不明显。
6、隐球菌的毛刺消失于晕区的解释:隐球菌结节周围有间质淋巴细胞增多,肉芽肿性炎延伸,以及纤维组织增生,形态并不规则,不是因为收缩力。
7、其他:隐球菌实性区相对腺癌更实,一旦实变里面就没空气,胸膜牵拉线(小叶间隔)拉的不太紧。
 
——摘自王兆宇老师《肺结节CT及病理诊断》高级学习班(肺部影像联盟)


肺部影像联盟是专注于胸部影像与临床的公益学习平台,为了进一步提高公众号质量,特向各位老师征集病例及课件。病例要求原创,图像清晰,资料完整,有病理、病原学结果或达到临床诊断。课件为原创。凡经肺部影像联盟采用均会注明病例及课件来源、作者,并致谢。入选作者可加入联盟各系列群或核心群学习。发送邮箱:914827068@qq.com。入群请加於老师微信号:lottro


编辑:李建丽  赵永兵
审核:徐  晓
到顶部