【每日晨读】 有空洞未必是陷阱



山 青 水 墨 舟 自 横
披 霞 立 杆 戏 流 萤
纵 是 鱼 闲 落 日 尽
一 蓑 一 笠 一 医 生
        ——肺部影像联盟























精彩讨论

田园晚风:
老年男性,无发热,双肺背侧胸膜下有纤维化背景,右肺囊性灶,左肺深分叶肿块,见不规则空洞,强化不均匀,考虑鳞癌
杨泽锋:
恶性肿瘤,鳞癌可能大
穿越七海的风:
老年男性,左肺下叶肿块,分叶征,血管纠集,有坏死及空洞形成,鳞癌可能
薏米:
老年男性,左下肺可见一团块影,边界清,分叶,内有坏死,边界不清,部分空洞可见壁结节,恶性,鳞癌可能,鉴别隐球菌
李:
肿块,分叶,坏死,恶性肿瘤,鳞癌可能,强化不支持隐球
清茶:
老年男性,慢性病程,左肺下叶见软组织团块影,边界尚清,有分叶,内见多发小空洞及片状坏死,增强不均匀强化,支气管有堵塞,考虑恶性,鳞癌可能
红星:
老年患者,考虑左肺下叶背段鳞癌。
景俊峰:
老年男性,间质肺背景。左肺下叶团块影,边缘分叶,内部坏死,界限不清。考虑鳞癌。
玫:
男60岁,咳嗽胸闷一个月,左肺下叶见软组织密度肿块影,边界清晰,边缘见分叶,病灶内空洞及坏死,空洞壁厚,欠规整,增强扫描,病灶轻度强化,双肺下叶见蜂窝及条索状高密度影,右下叶见薄壁无肺纹理区,考虑鳞癌可能,鉴别腺癌。
Yishion:
老年男性,慢性病程,左肺下叶不规则块影,湖泊样坏死,考虑鳞癌,肉瘤样癌待排
俞丽:
老年男性,较大软组织肿块,边缘分叶,内部多发空洞及坏死,坏死边界不清,间质肺,无吸烟史,考虑恶性,鳞癌,放线菌待排
刘丹:
老年男性,左肺下叶胸膜下肿块,肿块内密度不均及多发空洞影,增强可见坏死无强化区,考虑恶性,老年男性鳞癌?
徐婕:
左肺下叶肿块,见分叶,内见多发小空洞,明显强化,收缩力不明显,考虑恶性可能大,老年患者,首先考虑鳞癌
亚东:
左肺下叶厚壁空洞,内壁不光滑,支气管截断,分叶,密度不均,增强不均匀轻中强化,少量胸腔积液,考虑恶性肿瘤,鳞癌可能
水晶石头:
患者中老年男性,咳嗽、胸闷1月余。查肝肾功能、血糖、血脂、心肌酶异常不明显;血常规提示血象不高,轻度贫血;血沉、C反应蛋白、降钙素原无明显升高。胸部CT:肺气肿背景,左肺下叶胸膜下不规则肿块,边缘光滑,边界清楚,见浅分叶,其内见多发分隔空洞及坏死,似鬼脸征,支气管显示欠清,增强不均匀强化。右肺下叶胸膜下间质纤维化改变。综合肿块考虑恶性病变,鳞癌或肉瘤样癌可能大,鉴别隐球菌。
没意见:
左肺下叶后基底段站位,膨隆分叶,坏死空洞,不均匀强化,考虑恶性,鳞癌可能性大
凝睦:
左肺下叶肿块,边缘清,密度不均匀,内见空洞,增强不均匀轻中强化,考虑鳞癌。
一切∮随缘:
右肺胸膜下肺气肿,肺气囊,边界清楚,内部可见分隔,呈簇状分布,左肺胸膜下空洞,内见多个空洞,洞壁光滑,内部密度不均匀,增强后不均匀强化,内部可见低密坏死,近段支气管截断,远端与胸膜相连,孤立性病变,中老年男性,无发热,亚急性起病,白细胞及CRP高,考虑恶性,鳞癌,腺癌。
蔣勝華:
老年男性,咳嗽、胸闷1月余。胸部CT:左肺下叶胸膜下不规则肿块,边缘光滑,边界清楚,见浅分叶,其内见多发分隔空洞及坏死,增强不均匀强化。考虑恶性病变,鳞癌,鉴别隐球菌。
流心明智:
老年男性,咳嗽胸闷1个月。
胸CT:肺气肿背景,双肺下叶背侧蜂窝影,左肺下叶肿块影,位于交界地带,边缘清,膨隆、分叶,内有多发厚壁空洞(重叠在蜂窝背景上,不敢确定真实性),洞壁光滑,内有多灶性坏死,支气管在肿物边缘截断,胸膜局部增厚,中度强化。考虑:恶性肿瘤,鳞?肉瘤?鉴别TB、隐球等。
白小白:
老年男性,左肺下叶占位,膨胀生长,分叶,内有多发空洞,不均匀强化,支气管阻断,考虑恶性肿瘤,鳞癌?
joyzhy:
肺气肿背景,坏死多,恶性,鳞癌?
薇:
老年男性患者,左肺下叶分叶状肿块,边界较清晰,密度不均,内见多发小空洞,实性成分明显强化,坏死区不强化,考虑恶性病变,鳞癌可能!
Lotus:
首先考虑恶性,鳞癌,鉴别隐球,淋巴瘤
tsing:
老年男性;临床咳嗽胸闷一月,慢支、肺气肿、间质炎症背景,左下肺背段肿块,气管截断,分叶,坏死、空洞,增强不均匀强化,考虑恶性肿瘤,鳞癌可能性大。
看图说话:
老年男性,右肺慢性间质性病变,左肺下叶背段团块影,长轴与胸膜平行膨隆,边缘支气管进入,坏死不彻底,不均匀强化,考虑恶性,鳞癌,鉴别隐球菌。
wj9527:
典型的骷髅,恶性 鳞癌>腺癌

Zhuweichao:
老年男性,左肺下叶见软组织密度肿块,边界清晰,边缘见分叶,病灶内空洞及坏死,空洞壁厚,欠规整,轻度不均匀强化,双肺下叶见蜂窝及条索状高密度影,考虑鳞癌,鉴别隐球菌。
蕊:
老年男性伴有肺气肿背景,左肺下叶软组织肿块,宽基底,延胸膜下走行,边缘见分叶,并内见空洞伴坏死,部分坏死区界线较清晰,不均匀强化,考虑恶性,鳞癌可能
秦化君:
肺气肿,间质改变背景,左肺下叶分叶状肿块,边界较光滑清楚,近端支气管似有堵塞,内密度不均,空洞呈多发,增强扫描有边缘及分隔强化,坏死边缘部分模糊。考虑恶性肿瘤可能性大,鳞癌?隐球需排除。
云味:
老年男性,左肺下叶背段肿块,边缘分叶,内见多发坏死空洞,实质部分明显强化,考虑恶性~鳞癌?
杨丽:
老年男性,肺气肿及间质性改变背景。胸膜下肿块,浅分叶,支气管止于病灶边缘,胸膜反应性增厚,不均匀明显强化,坏死明显,部分边缘清晰,部分边缘不清。综合考虑恶性肿瘤,鳞癌,鉴别:结核,放线菌
小赵:
老年男,肺气肿背景,左肺下叶大肿块,边缘膨隆,分叶,内部坏死,空洞,坏死边界不清。慢性病程,炎性指标不高。综合考虑恶性,鳞癌可能性大。
毛勤香:
左肺下叶肿块,膨隆分叶明显,增强不均匀强化,坏死多,老年男性,肺气肿肺大疱背景,考虑恶性,鳞癌合并感染可能
小兜:
老年男性,咳嗽胸闷一月,双肺气肿间质改变背景,左肺下叶胸膜下不规则肿块影,浅分叶,支气管截断,内见多发坏死及空洞,强化不均匀,考虑为恶性,鳞癌可能
张燕萍:
左肺下叶肿块,浅分叶,不均匀强化,明显坏死,考虑恶性病变,鳞癌。
妞妞 :
老年男,间质性背景,左下占位,分耶,不均匀强化,有坏死,支气管截断,考虑恶性,鳞癌可能

晨读结果

本例小结

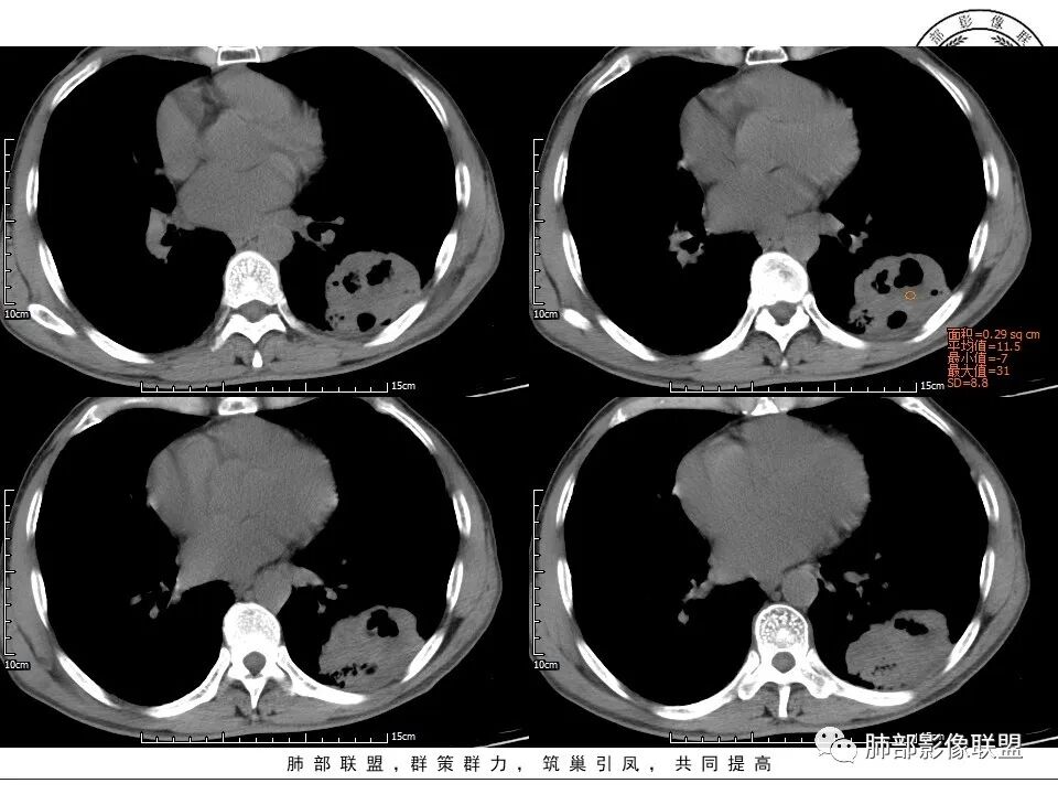
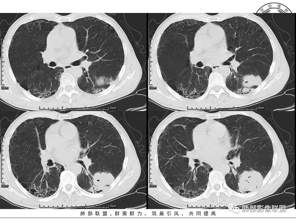
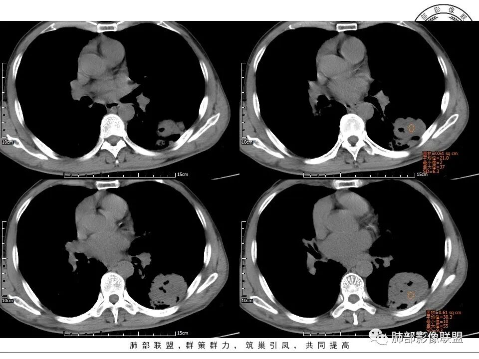
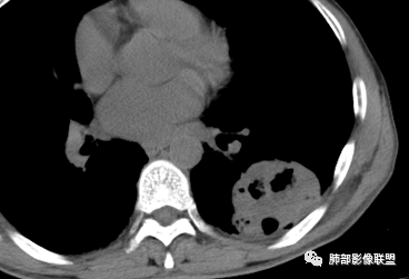
 1、老年男性,肺气肿背景,咳嗽胸闷一个月,血象不高,C反应蛋白无明显升高,无发热。
  2、左肺下叶近胸膜下较大肿块,土豆样外形,边缘清楚,膨隆分叶,未见明显渗出;病灶内部多坏死及空洞,似鬼脸征,坏死边界不清;增强扫描轻度不均匀环形强化;近端支气管似有阻塞截断。肺门纵隔未见肿大淋巴结。
  3、综上所述,考虑恶性,鳞癌可能。


关于鳞癌


1、发病老年男性多见,显著多于女性。
2、支气管截断阻塞常见于鳞状细胞癌,尤其是支气管腔内结节影突入的。易形成肺不张或阻塞性肺炎。
3、肺气肿患者肺癌的发生率日益增加,而且有专家认为肺鳞癌与肺气肿、肺大泡、肺   纤维化等具有相关性。
4、病变形态以包绕靶支气管及局限实性肿块为主,病灶致密,形态连续、完整,这与实性肿瘤为聚集式生长方式相关,与腺癌相比,鳞癌在这一征象上表现较为突出。
5、灶状坏死,是鳞癌较具有特征性的生物学行为及影像学表现,常表现为湖泊样坏死。
6、空洞壁厚度不均,尤其是出现壁结节并强化为恶性征象;
7、可宽基底与胸膜相连征,容易侵及壁层胸膜以外形成“栽赃”。与腺癌相比,病灶收缩能力不强,即便有棘状突起及胸膜牵拉,张力也没那么高。
8、鳞癌增强模式以不均匀或周边强化为主。
9、与小细胞癌及腺癌等相比,肺门纵隔淋巴结转移及远处转移较迟。


【每日晨读】论周围型鳞癌的杀伤力
【每日晨读】知否、知否,应是“支”肥人瘦--- 左右为难,会是鳞癌吗?
【肺部影像系列】鼠年看鼠---之鼠尾征看鳞癌
 倚天屠龙记——肺鳞癌的诊断影像篇
 肺鳞癌的病理影像学 - 王兆宇

编辑:杨新娟,赵永兵
审核:徐  晓
病例提供者:九江市第一人民医院    於雄



到顶部