【每日晨读】前世今生---隐忍的秘密












微信讨论群

王开金江津中心医院呼吸科:
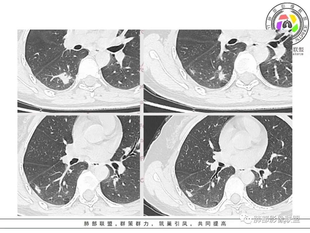
中年女性,有乳腺癌病史,且综合治疗,现肺部结节,沿血管束分布,多发,有叶间列凹陷,结节周围空气储留,考虑乳腺癌肺转移,鉴别肺原发腺癌。
哞:
有乳腺癌病史,治疗后,提示有免疫功能低。右肺下叶病灶,边缘平直,局部膨隆,矢状位示斑片状,有长毛刺,叶间裂增厚牵拉,支气管远端阻塞稍扩张圆顿,病灶周围有斑片小病灶。病灶肺外围分布。考虑隐球菌。鉴别转移,肺癌。
毛勤香:
右肺下叶结节,有膨隆有收缩,支气管进入截断,毛刺细软长,邻近胸膜稍增厚粘连,另旁边见一结节,长轴与胸膜平行,收缩为主,中年女性,乳腺癌术后,首先考虑感染,蘑菇兄弟,隐球菌可能。
杨泽锋:
乳腺癌三年,术前应该做个胸部CT,那么三年前很有可能没有病灶,如果是原发性腺癌的话长的太快了,从病史来看不支持,尽管大的病灶从影像学来看很支持原发性腺癌
这么张牙舞爪的转移瘤多见于消化道来源恶性肿瘤,不太符合乳腺癌的肺部转移,所以转移瘤也不太支持
考虑隐球菌可能大,理由:首先病史上有综合治疗,可能导致免疫力下降,为好发因素;其次病灶多发,纵横比较大,长轴与支气管垂直,大的病灶支气管走一半,还是有符合PC的影像学表现
综上所述:考虑隐球菌可能大
小兜:
女,43岁,乳腺癌治疗后三年,右肺下叶多发结节影,较大者不规则分叶状,可见细长毛刺,叶间胸膜牵拉,病灶内可见小空泡,支气管进入后远端截断,另一结节位于胸膜下,长轴平行于胸膜,边界清晰。考虑为炎性病变,隐球菌感染可能
宇宙:
右肺下叶大小两个实性结节,较大结节平直及膨隆边缘,长软毛刺,叶间胸膜凹陷,支气管进入截断,较小结节平行胸膜,边界清,无毛刺及胸膜牵拉,中年妇女,乳腺癌术后,蘑菇兄弟,首先考虑隐球菌,腺癌,转移待除外
哦落花时节:
中年女性,乳腺癌治疗后,右肺下叶不规则结节影,边缘膨隆,毛刺,临近胸膜牵拉,内见空泡,伴胸膜下条片影,考虑炎性,鉴别腺癌,建议抗炎后复查
一切∮随缘:
右肺叶裂旁肿块影,边缘光滑,平直,分叶,近端可见支气管穿行,远端堵塞,病变部分边缘收缩,牵拉叶裂胸膜,周围似有毛刺,支气管血管束增粗,远端又有一结节,边缘血管束增粗,43岁女性,有乳腺癌病史,考虑:隐球菌,鉴别转移瘤,多中心腺癌,建议增强。
刘强:
中年女性,肺腺癌病史。右肺下叶两个结节影,大者内可见支气管进入后截断,周围细长毛刺,临近叶间胸膜稍塌陷,提示病灶收缩。另一病灶与胸膜长轴平行。考虑炎性肉芽肿性病变,隐球菌,鉴别转移。
严德星:
43岁女性,左侧乳腺浸润性导管癌III级,综合治疗后三年;如果是规范治疗,病史提示三年内有数次胸部CT检查且假设结果阴性。纳差、乏力三日,提示急性起病过程。现CT右肺下叶背段见一大一小结节,较大者呈不规则分叶状,小空泡征,支气管截断征,细长毛刺,斜裂胸膜牵拉;另一小结节位于胸膜下、边界清晰、呈类椭圆形。考虑为炎性病变,隐球菌感染可能,鉴别转移瘤。
王秀仙:
右肺下叶两个结节影,大的内可见支气管进入后截断,周围细长毛刺,部分边缘平直,临近叶间胸膜稍塌陷,另一病灶与胸膜长轴平行。考虑炎性肉芽肿性病变,隐球菌,鉴别腺癌         
南边老师分析

南边:
中年女性,乳腺癌术后3年,综合治疗一般包括化疗、手术
右肺下叶背段两个病灶
结合病史:
1、转移瘤2、原发恶性肿瘤3、炎性结节
大的病灶:长轴边界清,偏平直,胸膜凹陷,周围长毛刺



支气管进入病灶内,远端稍扩张、圆钝

密度均匀
肺气肿

南边:
小的病灶更平直,支持炎性,隐球菌要考虑

病理结果






关于结节型隐球菌
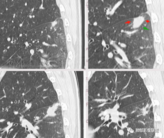
       1、普通人隐球菌感染的时相:初期的隐球菌感染周围有晕,晕从多变少,或包裹,或吸收,结节实性区可迅速变大。后期(慢性期)的隐球菌周围无明显晕征,边界较清楚。
2、有些模糊晕消失慢的原因:隐球菌对周围肺组织破坏相对不重,周围所供应的营养不多,增殖也不快,呈局部相安无事的状态。隐球菌消灭之后,肺泡间隔的炎症细胞及间质恢复更慢,所以经常能见到隐球菌外面隐约带细丝的模糊影。
3、卫星灶与“蘑菇兄弟”:诊断隐球菌时,建议找卫星灶,卫星灶可以在遥远的地方。可以是遥远地方的微小结节——“小蘑菇兄弟”。有些远处的卫星灶,通常是不规则饱满实性的,晕征不明显。隐球菌的卫星灶非常“隐”,但发现率高达60%多,诊断价值高。
4、卫星灶距离远的原因:隐球菌卫星灶常很远,推测:一次空气来源隐球菌感染进入双肺多处,部分定居繁殖;距离近的隐球菌“蘑菇兄弟”常常是二次感染。
5、周围毛刺纤维、边缘形态等:坏死包裹会使得结节变圆;结节多缺乏明显的分叶征,缺乏局部突出生长能力;如果出现分叶,是由多处肉芽肿中心形成。没有坏死的局限化,结节只是凑合在一起,常呈方形征;毛刺进入晕区(概念源自南边老师),毛刺较短、较软;周围的晕吸收后,会留下不规则边,外面常残留丝状条索;收缩力较弱,临近胸膜对胸膜牵拉不明显。
6、隐球菌的毛刺消失于晕区的解释:隐球菌结节周围有间质淋巴细胞增多,肉芽肿性炎延伸,以及纤维组织增生,形态并不规则,不是因为收缩力。
7、其他:隐球菌实性区相对腺癌更实,一旦实变里面就没空气,胸膜牵拉线(小叶间隔)拉得不太紧。
 
——摘自王兆宇老师《肺结节CT及病理诊断》高级学习班(肺部影像联盟)

编辑:邢瑞欣
审核:蔡笑燕  徐  晓
病例提供者:长沙市中医医院(市第八医院)放射科 陈婷婷
肺部影像联盟是专注于胸部影像与临床的公益学习平台,为了进一步提高公众号质量,特向各位老师征集病例及课件。病例要求原创,图像清晰,资料完整,有病理、病原学结果或达到临床诊断。课件为原创。凡经肺部影像联盟采用均会注明病例及课件来源、作者,并致谢。入选作者可加入联盟各系列群或核心群学习。发送邮箱:914827068@qq.com。入群请加於老师微信号:lottro


到顶部