【每日晨读】黄色预警--警惕囊腔型的病变

























                            
精彩讨论

春秋:
左肺下叶囊腔,壁厚薄不均,可见磨玻璃成分!考虑恶性可能,腺癌?
王开金江津中心医院呼吸科:
左下肺囊性病变,边界不规则,有磨玻璃,内分隔,壁厚薄不均,内有壁结节,考虑囊腔样腺癌。
蔣勝華:
男性,发热,肿瘤标志物不高,影像:左下肺类圆形囊腔,内有丝丝缕缕,周边有渗出,右肺少许条索,第一印象:囊腔型腺癌
丽:
老年男性,左肺下叶囊腔,与临近支气管关系紧密,壁厚薄不均,周围可见实性成分,腔内密度不均匀,可见索条及结节,考虑囊腔型肺癌
飞鹰行动:
男性患者,左肺下叶囊性病变,壁厚薄不均,部分壁较厚,周围可见磨玻璃影,考虑周围型肺癌,腺癌可能。
孙冰伟:
左下肺囊性病变,边界不规则,周围见磨玻璃影,内分隔,壁厚薄不均,考虑囊腔样腺癌可能性大,鉴别肺大泡合并感染,首次发现建议至少复查一次看看。
 蕊:
中年男性,发热伴咳少量白痰,左下肺可见一囊性空腔,壁厚薄不均,局部周围GGO,边界较清,内见分隔及结节,常规考虑囊腔性腺癌
红星:
男,53岁。
间断发热半月余。半月前无明显诱因出现发热,体温波动于38℃,畏寒,轻咳,少量白痰,时有活动后胸闷气喘。无胸痛、心慌、乏力、盗汗、消瘦、咯血。于当地诊所予以头孢静脉输注一周,体温正常3天后再次出现体温升高。波动于37.2℃。实验室检查没有太多的问题。左肺下叶囊腔病变,壁比较薄,部分环壁局限性的增厚,边界毛糙,略显模糊,并见与支气管相连,未见明显的壁结节,而囊壁内见丝丝缕缕的索状影。考虑良性病变,毛霉菌感染或隐形性感染,鉴别寄生虫肺部感染。
玫:
左肺下叶囊性病灶影,边界清晰,周围见晕,壁薄厚不均,可见结节及条索,肿瘤标志物不高,考虑感染性病变可能,除外囊腔型肺癌,腺癌可能。
严德星:
53岁男性,左肺囊腔性病变,边界不规则,局部有磨玻璃和短毛刺,内见分隔(血管穿行?)、壁薄厚不均局部有结节,可见支气管进入并狭窄,考虑囊腔样腺癌。
采莲:
中年男性,有发热病史。左肺下叶叫一椭圆形囊腔,边界清,内有分隔,壁薄,下壁略显增厚,感觉张力不是很大,先考虑左下肺囊肿并感染,鉴别囊腔型肺癌,建议随诊。
一切∮随缘:
左肺下叶囊性病变,囊壁不规则偏厚,囊内可见分割,似多个囊堆积,男性,53岁,发热半个月,亚急性起病,考虑囊腔性肺癌(腺癌),鉴别真菌(曲霉)
寒江雪:
左肺下叶囊腔,壁厚薄不匀,内见纤细分隔,周围少许GGO。考虑囊腔型肺癌可能,鉴别:真菌。建议复查。
三个石头:
左肺下叶囊,壁厚薄不一,周围GG O,偏实,支气管进入ggo,不确定是否截断。囊腔内分隔。要考虑恶性。首次发现,需要复查一次观察其变化。鉴别霉菌
张延军:
老年男性,左肺下叶囊腔,内有分隔,壁厚薄不均,偏后下方见支气管开口,壁增厚,局部见片状高密度影,临近囊壁外缘见磨玻璃影,部分界清晰。考虑1.感染,支气管与囊腔形成活瓣阻塞;2囊腔型腺癌,在抗炎治疗后复查无变化的情况下,直接切掉
周太狼:
中老年男性,发热来诊,肿标不高。
影像见左下肺一囊性病变,边界不规则,周围见磨玻璃影,内分隔,壁较光滑,部分不均匀,首先考虑慢性炎性病变,毛霉菌?其次考虑囊腔样腺癌。
徐飞:
左下肺囊腔病变,薄壁,内分隔,支气管进入,考支气管活瓣形成的囊腔,其旁血管旁见磨玻璃影,无糖尿病病史,抗炎无效,先考虑囊腔型腺癌,鉴别毛霉。
傅昌瑜:
53岁男性,间断发热半月余。CT:左下肺囊腔样病变,内见分隔及点状线条样影,未见壁结节,与支气管关系不清楚(待重建进一步观察),局部边缘见边界尚清楚的磨玻璃影。考虑囊腔型肺癌(腺癌)可能性大。
云淡风清:
老年男性,左肺下叶外基底段囊腔,壁厚薄不均,周围可见磨玻璃影,腔内密度不均匀,可见索条及结节,考虑囊腔型肺癌,鉴别霉菌
风儿:
53岁男性,间断发热半月余,肿瘤指标不高。CT:左下肺囊腔样病变,内见分隔及点状线条样影,壁偏心性增厚,下缘血管穿过并增粗,后方伴边缘清晰,磨玻璃影,边缘有轻度膨隆及分叶,支气管未见截断。考虑囊腔型腺癌可能性大。
秦化君:
男,53,尿酸升高,左肺下囊腔性病变,壁不均匀厚,内壁不光整可见丝状物,支气管止于壁外,似见狭窄截断,外壁部分毛糙,常规考虑真菌感染,鉴别囊腔性肺癌。
岁月:
男,53岁;
间断热半月余,38度。头孢一周,体温正常3天再次升高。
磨玻璃成分,分割,囊,血管弯轻微,警惕囊腔型腺癌。
鉴别:囊腔鳞癌;
处理:找老片对照;手术。
流心明智:
53岁男性,间断发热半月。胸CT:左下叶囊腔性病变,外形边界不规则,周围有边界较清楚磨玻璃,囊内见分隔,囊壁厚薄不均,壁结节,内有小囊,血管集束。考虑:囊腔样腺癌?鉴别:肺大疱、CPAM、PLCH等。
南边:
中老年男性,发热半月
C反应蛋白偏高

囊腔,边界清楚GGO。考虑腺癌。
病理结果


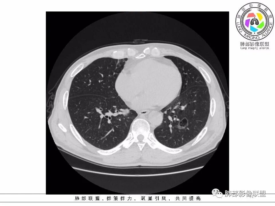
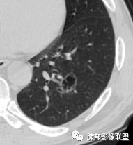
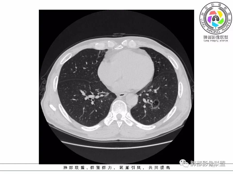
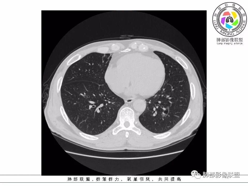
                   本例小结
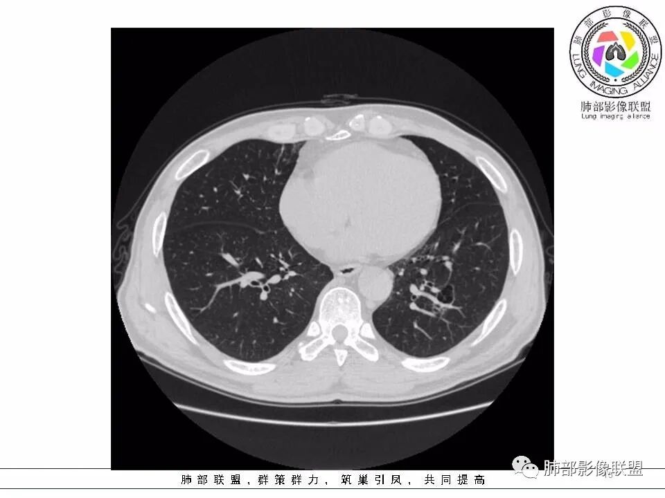
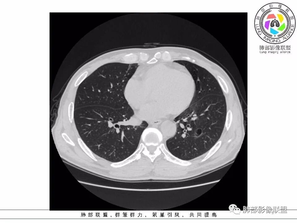
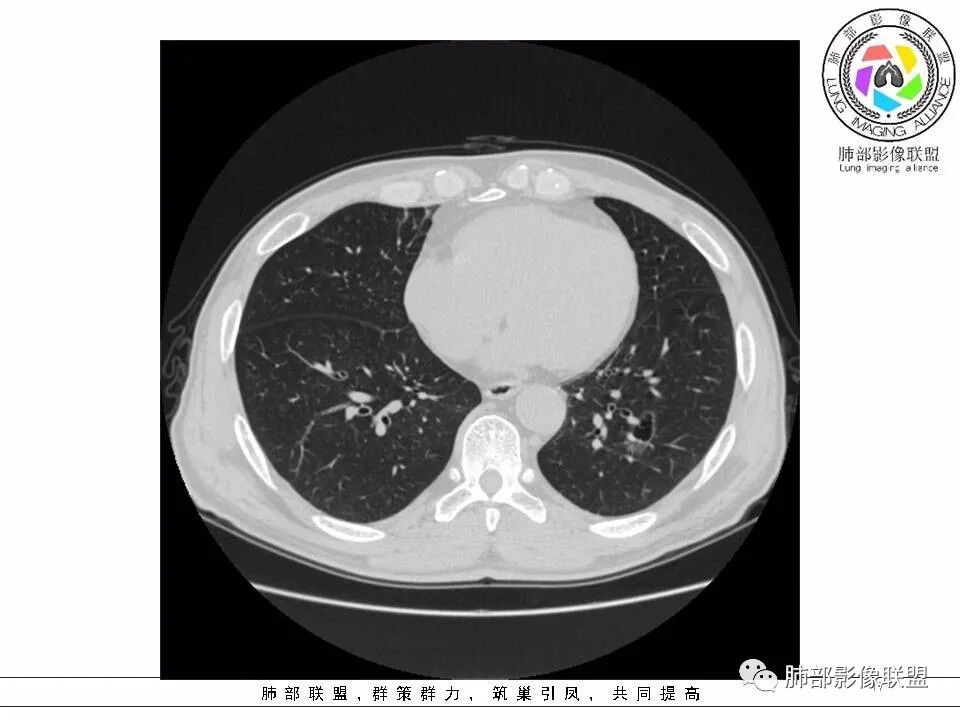
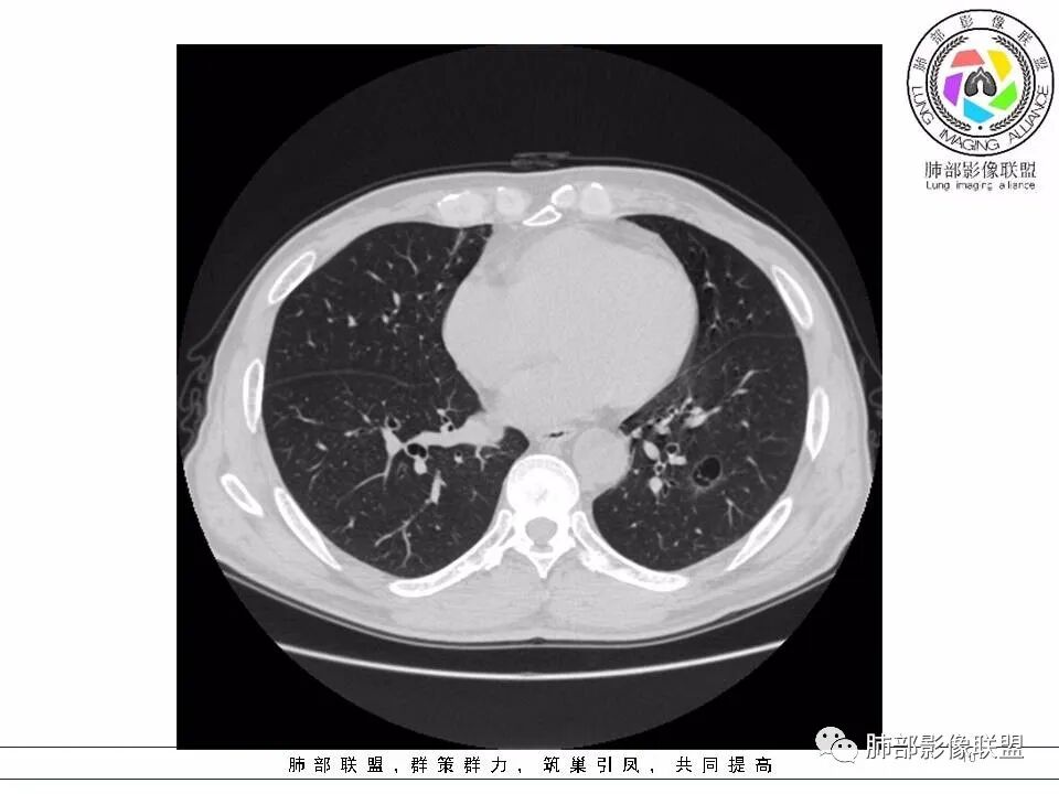
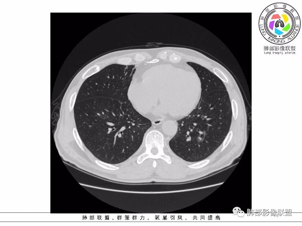
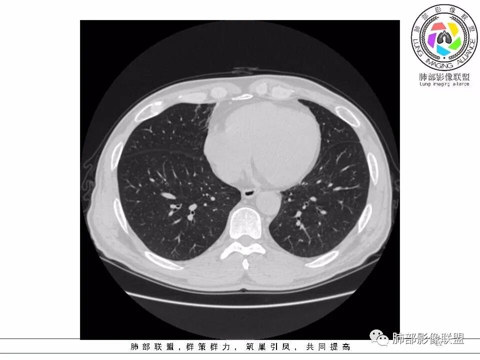
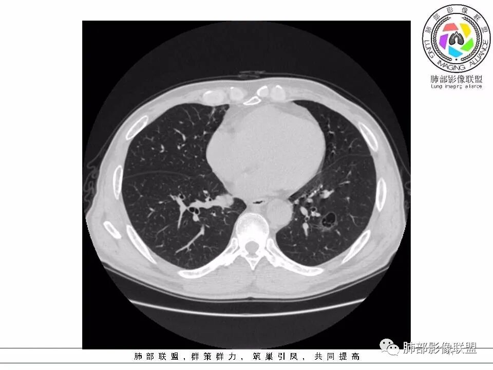
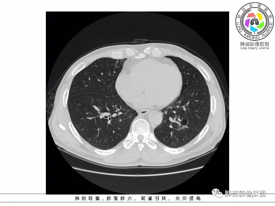
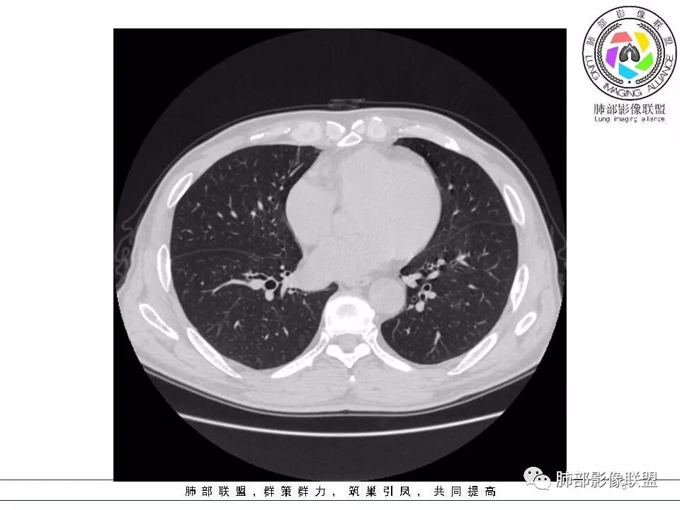
影像与临床:
1.中年男性,发热,畏寒,轻咳。
2.左肺下叶外基底段囊腔样病灶,轮廓柔和,壁厚薄不均,见壁结节。内见分隔或脊状突起。腔内见血管穿行。
这是有“故事”的囊!
3.囊壁外环以磨玻璃影,边界较清楚。
综合分析:
1.囊腔壁厚薄不均,壁结节,内有分隔,其内有血管穿行,指向新生物。
2.临近有边界清楚磨玻璃影,指向腺癌。
3.临床症状与病变关系不大,但对发现病变提供了可能。
相关文献:

多排螺旋CT重建在囊腔型肺癌中的应用及病理对照
   
    囊腔型肺癌是一种特殊形态的肺癌,病灶边缘或中央存在一个或多个含气的囊腔。有研究显示,囊腔型肺癌以周围型肺癌多见,囊壁厚薄不均,有单发性和多发性囊腔。囊腔型肺癌囊壁厚度一般<2mm,说明囊腔型肺癌囊壁较薄。
    囊腔形成的原因可能为:支气管内的肿瘤未完全阻塞管腔,形成活瓣,使气体容易进入肺泡腔,而不易呼出,最终形成含气的囊腔。有研究认为,当囊腔内压力进一步增加,可使肺泡破裂、融合,影像学表现为囊腔内有气管血管束穿行。囊腔发展过程中可体积缩小,甚至消失,形成实性密度影。
    研究发现,囊腔型肺癌以腺癌为多,故也称为囊腔样腺癌,病理表现为原位腺癌或贴壁生长的浸润性腺癌;出现实变影,病理表现为浸润性腺癌;肿瘤内间质纤维化、支气管扩张或条状、粗大棘突状,可能与间质纤维增生牵拉所致有关。
    也有学者对含薄壁囊腔周围型肺癌的CT特征及病理基础进行了研究分析,结果35例患者中,在MSCT上,出现60%以上的征象有圆或类圆形(28例)、分叶征(32例)、多囊(27例)、内壁不光整(33例)、腔内分隔(31例)。无实性成分组(17例)与有实性成分组(18例)的MSCT征象,经统计学分析得出病灶整体形状、毛刺征、支气管截断征、支气管通入腔内、腔内血管穿行及磨玻璃征在两组之间差异有统计学意义(P<0.05);有实性成分组中,毛刺征(11例)、支气管截断征(12例)比例高于无实性成分组(均为1例);无实性成分组中,病灶整体不规则形态(6例)、支气管通入腔内(7例)、磨玻璃征(13例)及腔内血管穿行(12例)的比例高于有实性成分组(分别为1、1、5、3例)。含气囊腔形成的病理基础为肿瘤内部彻底液化坏死,肿瘤沿肺泡壁生长、肺泡壁破坏融合。5例患者随访出现囊腔增大,囊壁增厚。2例患者随访则囊腔缩小,实性成分增多。1例薄壁囊腔的肺癌由纯磨玻璃密度结节演变而来。结论伴薄壁囊腔形成的周围型肺癌MSCT表现具有一定的特征性,囊腔形成的病理基础多样。
      综上所述,囊腔型肺癌以浸润性腺癌最多见,在多排螺旋CT检查结果中具有一定的特征性表现,临床工作中,应加深对肺癌多样性的认识,发现肺癌囊腔壁较厚时,需提高警惕,避免误诊。
文献参考:望云,刘士远,范丽,等. 含薄壁囊腔周围型肺癌的CT特征及病理基础分析[J]. 中华放射学杂志,2017,(2):96-101
编辑:靳文剑
审核:蔡笑燕  徐  晓
病例提供者:田长青



到顶部