【每日晨读】带你揭开星芒状的伤疤



























01
群内讨论
一切∮随缘:
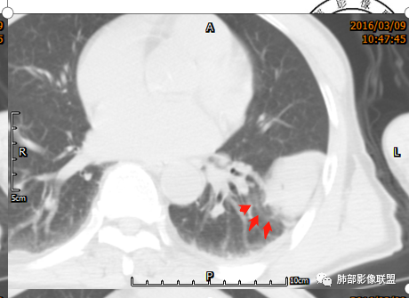
定位:肺内来源的病变,病灶下缘可见支气管进入病灶,部分支气管堵塞,冠状位可见宽基底向叶裂相贴,局部两端可见尾征,病变边缘平直,分叶,略彭隆,周围可见磨玻璃影,平扫密度均匀,增强后不均匀高强化,内部坏死不均匀,纵隔淋巴结肿大,66岁,男性,无症状,考虑:肺癌(鳞癌,腺癌,神经内分泌癌)
玫:
左肺见软组织密度肿块影,边界清晰,边缘浅分叶,期内密度不均,病灶跨叶间裂,增强扫描病灶内见坏死,考虑鳞癌可能。
敏:
病灶跨叶生长,病灶内见支气管影,边缘清楚,与胸膜脂肪间隙消失,增强不均匀高强化,内部不均匀,考虑胸膜来源恶性占位
红星:
发生于左肺胸膜下叶间裂的一个肿物,沿着胸膜下两端呈尖角状改变,平扫密度比较均匀,增强扫描可见片状坏死及不均匀的强化,可见支气管旁征,纵隔内有多发的肿大淋巴结,双色胸膜增厚,欠均匀。定位,来源于胸膜叶间裂的肿物,具有坏死,恶性的征象,考虑肉瘤,或恶性间皮瘤,纵隔淋巴结转移。鉴别诊断:孤立性纤维瘤,转移瘤.。
黄兴:
肿块呈梭型,叶间裂撑开,边缘清晰,提示来自斜裂胸膜,周围气体考虑是否假象,延迟强化,提示含纤维,考虑孤立性纤维瘤
李丰章:
病灶跨叶生长,与胸膜脂肪间隙消失,增强不均匀高强化,内部不均匀,旁边见空气半月征,纵隔见肿大淋巴结,考虑胸膜恶性肿瘤,肉瘤?
飞鹰行动:
影像表现,左肺下叶病灶,密度不均匀,病灶与叶间胸膜关系密切,冠状位可见宽基底向叶裂相贴,局部两端可见尾征,病灶可见平直征,部分分叶表现,局部略彭隆,周围可见磨玻璃影,增强后不均匀高强化,纵隔多处淋巴结肿大,考虑:恶性病变或交界性病变,肉瘤或肉瘤样癌,孤立性纤维瘤(分化较差)。
冥冥之中:
平扫,3.9号,主体位于下叶,有胸膜凹陷,牵拉,有胸水。增强,3.31号,病灶整体缩小,并有突破叶间裂倾向,胸水消失,有占位效应,左下肺前基底段支气管推移,内部有液化坏死,有血管穿行(考虑肺内)。考虑肺内炎性病变,以炎肌母可能性大,纵隔淋巴结增大随诊。SFT,半个月不会变小
蓝天白云:
定位:肺内来源的病变,病灶下缘可见支气管进入病灶,部分支气管堵塞,局部成针孔征,冠状位可见宽基底向叶裂相贴,分叶,略彭隆增强后不均匀高强化,内部坏死不均匀,纵隔淋巴结肿大,66岁,男性,无症状,考虑:小细胞或神经内分泌癌
没意见:
跨叶,包膜,定位肺外,叶裂;占位,膨隆,坏死,淋巴结肿大,定性恶性;起源:1、淋巴组织,淋巴瘤样坏死性肉芽肿?淋巴瘤?2,恶性SFT
流心明智:
男,66岁,体检发現。左肺跨叶裂肿物,下缘可见支气管进入病灶,部分堵塞,冠状位宽基与叶裂相贴,局部两端可见尾征,叶裂两侧生长不均衡,考虑肺内?肿物分叶,膨隆,周围可见磨玻璃影,平扫密度较均匀,增强后高强化,内部可见低密度灶,纵隔淋巴结肿大。考虑恶性,大细胞Ca?肉瘤?肉瘤样Ca?鉴别SFT、胸膜间皮瘤等。
王秀仙:
左侧叶间裂梭形肿块,边缘膨隆,叶间裂无移位,增强渐进性强化,内可见蛇纹状血管,密度不均,内部坏死区边界欠清,纵隔多发肿大淋巴结,部分伴钙化,考虑1来源于叶间胸膜的肿瘤SFT。2间叶来源肉瘤。
岁月:
肺窗太小,双侧肺透亮度相当,没有支气管堵塞,左下前段支气管姑且认为它通畅,肿块在前段的边缘。与肺内和胸膜的定位要仔细看前段,矢状位少许透亮,说明有一点代偿。远端可能有不张的肺组织,但支气管通畅,外压性。肿块边缘与胸膜成直角,提示胸膜压向肺内病变 ,纵膈肺门有淋巴结,sft是交界性肿瘤,可以。主体在胸膜,可以这样理解。这个病灶有沿斜裂生长趋势。
诊断:sft,交界性。
鉴别:肺内肿物,看下叶支气管是否完整。
处理:外科手术。
02
南边老师分析
南边:
捋一捋吧,定位在哪?
小兜:
叶间胸膜
M-Imaging :

血管推挤了,宽基底与胸膜相连。胸膜来源的话,间皮呢?叶间脏层胸膜
南边:
一般我们内有气体,提示与肺、支气管相通,但是胸膜的SFT可以例外,骑跨在斜裂上,长轴与胸膜平行,两端都有尾征,支持SFT

特别是边缘光滑。炎性,边缘光滑,一般收缩、平直。
M-Imaging :
气体怎么解释呢?
南边:
肺内的恶性肿瘤,边界不应该这么清楚、光滑,SFT可以有气体进入,比较特例,原理与PSP类似
SFT与PSP推测可能类似,只是发生部位不同,其次要考虑的就是胸膜下的恶性肿瘤——肉瘤样癌
蔡磊:
可能是瘤体内部残存支气管或者瘤体内部出血破裂与附近支气管相通所致
张小兵:
供血血管?
南边:
这里的供血血管肯定来自肺部,周围都是肺包绕,一般是肺动脉
尘缘:
看坏死和淋巴结改变倒是像肉瘤样癌和低分化腺癌,但是肿块形态与胸膜关系确实不像。胸膜来源的肉瘤也不敢除外
M-Imaging :
病灶远端低密度影,坏死?,那么供血血管就是近端来的吧
杨泽锋:
SFT作为间叶组织起源肿瘤出现淋巴结肿大的比较少见吧?@尘缘@南边
必有路:
胸膜下的炎性肌纤维母细胞瘤,能排除吗? 
必有路:
SFT  如果一元论,纵隔的淋巴结不太好解释,有坏死有钙化 ,有时候,病变有一定张力,叶间裂紧贴受推,不太好定位,或者正好叶间裂发育不全,都可以出现跨页征象,又或者是二元论 淋巴结还是有挺大干扰性 
尘缘:
@必有路 分析不错,所以这个定位确实不一定就是胸膜
必有路:
单看病灶,瘤肺界面清楚,胸膜尾,增强模式也倾向间叶肿瘤,确实会考虑sft,只是淋巴结的问题,一元论的话,恶变的sft见得比较少,要么二元论,要么还有另一个IMT,强化模式,有浸润倾向,低恶,可以一元论解释
尘缘:
@诸暨市人民医院杨泽锋?我也没见过恶性SFT伴纵隔淋巴结肿大坏死的,其实第一感觉我还是考虑肺内恶性肿瘤(低分化腺癌或肉瘤样癌),但是细看确实有胸膜尾征,叶间裂发育异常确实可以造成恶性肿瘤跨叶,就是不知道能否形成胸膜尾征,确实没见过
宇宙星空:
病灶膨隆也比较明显,与血管相连,确实肺内也不能排除
达克.上官:
胸膜来的,sft,间皮瘤不考虑,间皮瘤来源于壁胸膜,这里去全是脏胸膜
蓝天白云:
怎么定位脏胸膜的?
M-Imaging :
叶间裂是脏层胸膜延伸翻折形成的,最大的小叶间隔
崇军:
胸膜的疾病谱:SFT,间皮瘤,结核瘤,淋巴瘤,还有吗?
尘缘:
@达克.上官@义工马小锁_荆门市康复医院放射?常规是这样分析,就怕叶间裂有孔,来源于胸膜下的肺内恶性肿瘤突破胸膜再包绕胸膜生长,也会类似来源于胸膜改变
达克.上官:
这个要有薄层连续,直接看血供就好了,不过假设是恶性,无论是不是胸膜,这个和胸膜关系密切肯定的,一点水没看到?
尘缘:
@达克.上官 血供鉴别不了,不管是叶间裂胸膜来源,还是肺内来源,都是肺动脉供血,叶间胸膜的恶性肿瘤积液率没有胸壁胸膜的高,还是常规思路,纵隔淋巴结没交待
必有路:
纵隔淋巴结是转移还是二元论 
尘缘:
职业?如果有粉尘接触史,就能解释了
必有路:
淋巴结坏死,钙化,二元论吗?
达克.上官:
我国超级尘肺和结核大国,纵膈淋巴结钙化太常见。
必有路:

这个淋巴结,还是对分析挺有干扰性的
M-Imaging :
病灶内支气管扩张,怎么形成的呢?脏层胸膜来源,包绕的?
尘缘:
是啊,干扰大,关键是胸膜这个病灶强化后还有坏死
@M-Imaging 那是推挤后包绕吧
必有路:
SFT可以压迫周围肺组织,透亮区都是边缘,可以是小气道充气,可以是局部类似空泡,总体还是压迫导致
M-Imaging :
周围有代偿性肺气肿,黑边,应该提示肺外的
尘缘:
肺组织很容易推开了,支气管相对推挤慢一些,周围肿瘤生长,支气管这一块阻挡,周围的长过去就包绕在里面了
达克.上官:
Sft这种纤维性的东西,粘液样表应该不少见,不一定坏死
M-Imaging :
分泌粘液?
达克.上官:
变性
必有路:
有可能是存在粘液变性
达克.上官:
磁共振下面好观察。
M-Imaging :
还得看主体病灶的生长方式,间接征象用于参考
小锁:
此例例病灶长轴与胸膜平行,肺部肿瘤多圆形,或长轴与胸膜垂直,当然腺癌、隐球菌、感染等长轴也可以与胸膜平行
03
晨读结果

04
孤立性纤维瘤
01
定义
   孤立性纤维性肿瘤是一种少见的梭形细胞软组织肿瘤,近年来认为CD34阳性的树突状细胞,全身软组织均可发生,尤以胸膜多见,腹腔、肝、肾脏、眼眶、上呼吸道等亦有报道;胸膜孤立性纤维瘤为少见的梭形细胞肿瘤 ,可发生于任何年龄,5~87岁均有报道,但以中青年多见,女性略多。肿瘤生长缓慢,临床症状无特异性,主要与肿瘤的部位、大小有关,部分可表现出副肿瘤综合征:关节痛、肥大性骨关节病、特发性低血糖等。
02
病理
 肿瘤多呈类圆形或不规则形,多数有完整包膜。镜下:肿瘤细胞呈梭形,细胞排列方式多样,呈条束状、编织状、漩涡状等;细胞密集区及细胞稀疏区相间分布,细胞间可见不同程度的胶原纤维沉积,间质富含分支薄壁血管,并可形成典型的“血管外皮瘤样”区;良性病灶细胞异型性较小,核分裂象少见;恶性病灶细胞密度增加,细胞异型性明显,核分裂象>4个/10HPF。CD34是SFT最重要的特异性免疫标志物,文献报道阳性率为79%-100%,部分恶性病灶可不表达CD34。
03
影像表现
1)形态、大小:一般为单发,较小者呈类圆形或椭圆形,较大者呈浅分叶或不规则状;大小差异较大,直径1-25cm(有2个高峰期,大多数肿瘤直径<5cm,或者>10cm),肿瘤的大小与发生部位、病程长短有关;
2)生长方式:“铸型”生长;
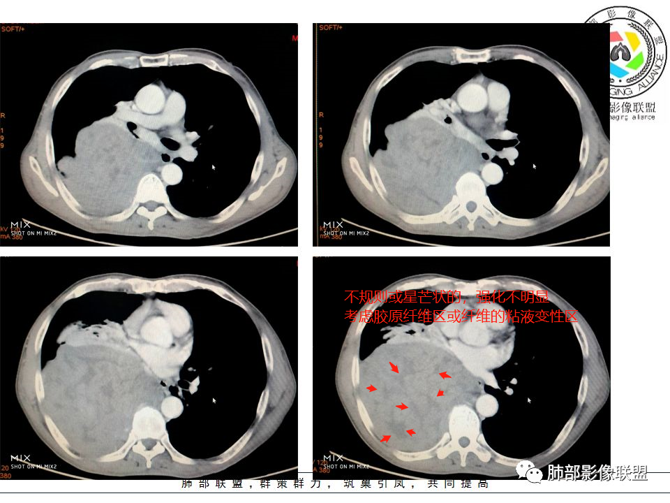
3)CT平扫肿瘤多呈等或稍低密度;肿瘤较小者密度均匀,较大者内部密度常不均匀、见多发灶性或不规则星芒状中心低密度区(细胞稀疏区含有丰富胶原纤维易发生黏液样变性或囊性变),钙化少见。

胸膜孤立性纤维瘤的星芒状瘢痕
4)MRI T1WI常呈等信号,亦可呈低信号或者混杂信号;T2WI信号混杂多样,信号强度随着胶原纤维含量的增高而减低,多呈混杂等或稍高信号(高信号反映病灶黏液变性、坏死区,稍高信号反映病灶细胞密集区,低信号区反映胶原纤维丰富区);DWI多呈为等低信号(可能与病变含纤维成分多相关)
5)肿瘤的强化程度及方式:增强扫描肿瘤早期实性成分呈不均匀斑片或斑驳样强化,多呈“ 地图样” 明显强化,强化程度不一,可呈轻度-显著强化,静脉期持续强化,多期增强及动态增强扫描均呈“快进慢出”型强化,且强化范围逐渐增大并趋均匀。肿瘤由肺动脉或支气管动脉供血,内部及周围常见多发粗细不等强化或流空肿瘤血管影,呈蛇纹血管征。

                         胸膜孤立性纤维瘤的蛇纹血管征
6)其它:多具有明显较完整的纤维性包膜,文献报道包膜出现率约50%。中枢神经系统的孤立性纤维瘤多起源于硬脑膜,主要位于大脑镰、颅底硬膜及天幕区,病灶多以宽基底连于脑膜,增强后邻近硬脑膜可见明显强化,即“脑膜尾征”。
05
病例小结
定位:肿块长轴与胸膜平行,宽基底与胸膜相连,两端可见胸膜尾征,附近血管、支气管被推移,提示肺外胸膜起源;
定性:边缘光滑,浅分叶,边缘膨隆,提示肿瘤可能大,非炎性病变;
肿块动脉期明显不均匀强化,渐进性强化,呈“快进慢出”,其内可见小片、星芒状低密度区,提示胶原纤维或粘液变性区,首选胸膜来源孤立性纤维瘤,本例未见明显蛇纹血管征。

相关阅读:
【每周一例】36期讨论实录  让人眼界大开的孤立性纤维瘤(SFT)
【每周一例】22期读片讨论实录  孤立性纤维瘤,原来这样被攻破
南边课堂:一例胸膜孤立性纤维瘤的定位思路
两例纵隔侧胸膜孤立性纤维瘤
孤立性纤维性肿瘤的影像学诊断
蛇纹血管征与孤立性纤维性肿瘤

END
编辑:白丰先
审核:蔡笑燕  徐  晓
病例提供者:九江市第一人民医学影像中心 於雄 



到顶部