【每日晨读】 纵隔结节,与日月同辉!



勤学如春起之苗,不见其增,日有所长;辍学如磨刀之石,不见其损,日有所亏。


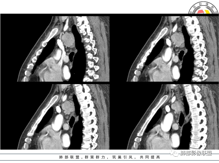
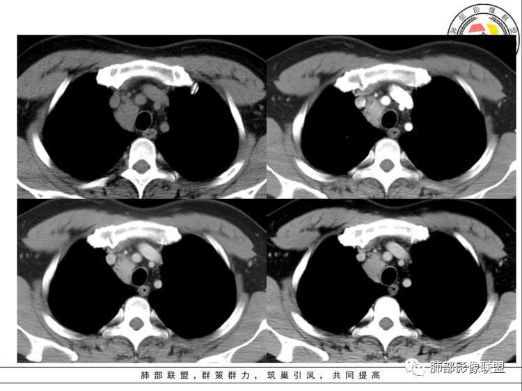
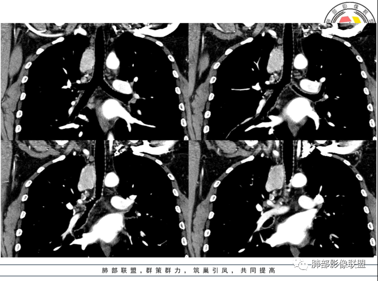
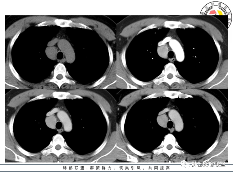
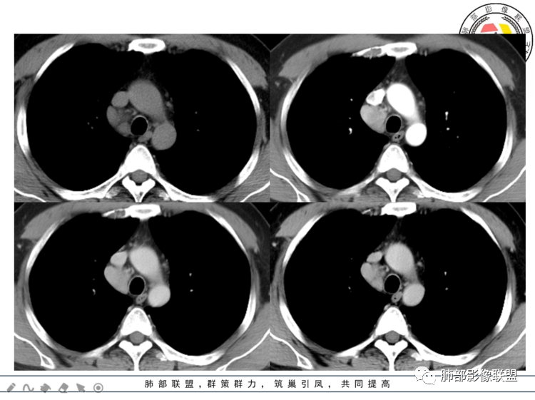
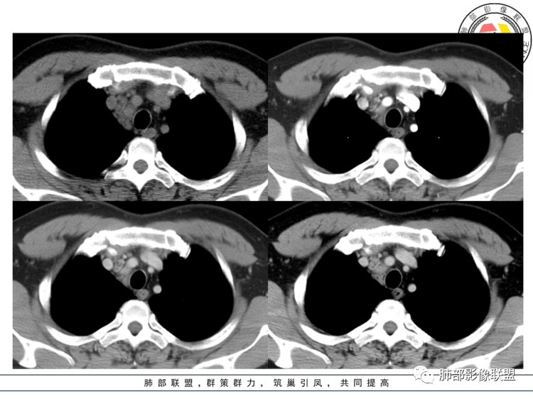
病例资料




















群内讨论

凝睦 :
气管腔静脉间隙淋巴结增大,边界清,密度均匀,明显均匀强化,周围有小淋巴结,考虑巨淋巴结增生症。
俞丽 :
病灶位于气管腔静脉间隙淋巴结增大,边界清,密度均匀,动脉期明显均匀强化,有小血管进入,周围有小淋巴结,考虑巨淋巴结增生症CD,鉴别诊断:神经鞘瘤
玫 :
男,40岁,前纵隔类圆形肿块影,边界清晰,边缘浅分叶,病灶内密度不均,增强扫描病灶边缘呈环形强化,病灶内见坏死,考虑巨淋巴结增生,除外神经内分泌肿瘤。
采莲 :
右上前中纵隔占位,上腔静脉后方,血管无推移,边缘光滑,密度均匀,上下跨度较大成长条,动脉期明显强化,考虑巨淋巴结增生症CD。鉴别神经源性肿瘤,支气管囊肿。
张立 :
中纵各占位,明显均匀强化,考虑透明血管型CD,鉴别副节瘤,异位甲状腺,血管瘤。
小兜 :
男,40岁,体检发现纵隔占位,查血常规、血生化、肿瘤标志物、尿常规大致正常。CT示纵隔占位,边缘光滑,周围可见小淋巴结影,强化动脉期明显强化,考虑CD可能
秦化君 :
前纵隔右侧气管旁可见软组织密度肿块影,大致圆形,密度均匀,边缘清晰规整,周围脂肪间隙存在,增强明显强化。考虑良性占位,首选CD。鉴别神经源性肿瘤。
一切∮随缘 :
上腔静脉下方见一肿块影,边界清楚光滑,与周围组织分界清楚,平扫密度均匀,增强后均匀中度强化,强化密度略欠均匀,周围伴有淋巴结稍肿大,男性40岁,体检发现,无症状考虑CD,副节瘤(一般会有高血压),神经内分泌癌,异位胸腺瘤
蓝天白云 :
前纵隔右侧气管旁可见软组织密度肿块影,密度均匀,边缘清晰规整,周围脂肪间隙存在,增强中度强化。考虑胸腺瘤。鉴别神经源性肿瘤。
宇宙 :
气管前腔静脉后间隙类圆形肿块,密度均匀,明显强化,周围多个小淋巴结,首选CD,鉴别神经源性肿瘤
耿耿 :
中上纵隔一欠规则软组织密度灶,边界清楚,密度均匀,周边看见散在小结节影,增强扫描动脉期明显均匀强化,静脉期延迟期造影剂缓慢减退。40岁,男性,体检发现,实验室检查正常,考虑异位甲状腺与CD、神经源性病变鉴别
五谷杂粮 :
前纵隔可见类圆形肿块,密度均匀,边缘光整,增强明显强化。考虑良性占位,CD首考。
刘丹 :
中纵隔内气管右侧结节,明显强化,弱于与同层主动脉弓,静脉期强化减弱,边缘光整,考虑ct,鉴别神经源性
三个石头 :
上中纵隔占位,边界清,均匀明显强化。疾病谱CD,神经源性肿瘤,异位甲状腺,血管源性肿瘤,副节瘤。考虑CD可能性大。
瑞欣 :
中年男性,体检,中纵隔偏右侧软组织肿块,明显强化,边界清楚,考虑巨淋巴结增生,鉴别副节瘤,胸腺瘤
红日东升 :
中年男性,无症状,前纵隔占位,明显均匀强化,较软,考虑神经源性肿瘤,副节瘤?鉴别CD
Yiren Sishui(厶水伊人) :
病灶位于中纵隔,上腔静脉内后方,这里解剖主要有淋巴结,神经,血管,本例强化明显但又低于血管,周围有多枚小淋巴结,符合CD表现
^_^果 :
上中纵隔腔静脉后气管前间隙占位,边界清,密度均匀,明显均匀强化。强化程度低于甲状腺和血管,考虑CD可能性大。
💓 蕊💓 :
病灶边缘较光滑,密度均匀,周围脂肪间隙清楚,强化明显,周围伴多发小淋巴结,常规考虑CD,
丽 :
体检发现,前中纵隔占位,位于上腔静脉后方,平扫均匀低密度,增强后明显均匀强化,边界清晰,考虑良性,CD可能大
红星
男,40岁,体检发现纵隔占位
•查血常规、血生化、肿瘤标志物、尿常规大致正常。气管腔静脉间隙团块状影,密度均匀,边界清楚,增强扫描,明显的强化,肿块的周围气管旁见多个肿大的淋巴结,强化特点类似。考虑良性占位,巨淋巴增生症。需要与异位胸腺瘤、结节病、淋巴瘤、副神经节瘤、淋巴结转移瘤鉴别。
飞鹰行动 :
男性,40岁,前纵隔类圆形肿块影,边界清晰,密度均匀,边缘可见浅分叶,增强扫描病灶强化较,强化低于血管,与周围血管分界清晰,常规考虑CD(中间型),鉴别神经内分泌肿瘤,后者强化不明显。
平常心:
病灶位于上腔静脉内侧,定位没有疑问,来自纵隔。上腔静脉内侧有什么,有淋巴。膈神经在外侧。迷走神经在后侧
平常心 :
副节瘤,和cd都是明显强化,前者比较容易坏死,cd比较均匀,更符合后者的表现
弹指之间:
中年男性右上纵隔椭圆形软组织肿块,边界清,密度均匀,明显均匀强化(峰值在动脉期),周围见小血管影进入及有小淋巴结,考虑CD>副节。
王秀仙 :
纵膈内上腔静脉内后方肿块,边缘清晰,形态不规则,周围可见多发小淋巴结,明显强化。纵膈内强化明显的常见有CD,异位甲状腺,副节瘤,血管瘤。异位甲状腺平扫密度高一些,钙化常见,不符。副节瘤好发生于后纵膈、主动脉旁、肺动脉旁、心包内,而且容易坏死,一般沿神经节分布,纵径大于横径。综合考虑:CD>副节瘤。
心灵鸡汤 :
40岁,男性。右中上纵隔见实性团状软组织影,密度均匀,边界光整清晰,与周围结构分界清晰,增强后动脉期明显均匀强化,静脉期延迟期强化逐渐减低。定性:良性病变或肿瘤,常规考虑巨淋巴结增生CD,需鉴别诊断的疾病有1神经源性肿瘤如神经鞘瘤,沿纵轴生长,横轴大于纵轴,但一般有AB区,有囊变坏死,多见后纵隔,强化渐进性强化,发生前中纵隔的恶性程度高,此例不太支持,但不排除;副神经节瘤,囊变多见,不支持;节细胞瘤,一般纵轴大于横轴,不支持;2神经纤维瘤SFT,蛇蚊征,待排,3孤立性转移瘤,少见,一般有原发肿瘤病史,肿瘤标志物异常,环形强化,不支持。4淋巴瘤,常多发淋巴结肿大,少见囊变坏死,待排。5异位甲状腺,一般平扫密度较高,此例不支持。
水晶石头 :
患者中年男性,体检发现纵隔占位。胸部CT:右上前纵隔不规则占位灶,位于上腔静脉后方,血管无推移,边缘光滑,密度均匀,增强动脉期明显强化,综合考虑良性病变,巨大淋巴结增生症可能大。鉴别神经源性肿瘤。
哦落花时节 :
中年男性,上纵隔气管旁软组织肿块,边界清楚,与周围结构脂肪间隙存在,长轴与气管一致,增强明显不均匀强化,静脉期及延迟期强化稍减退。强化明显的纵隔肿瘤,考虑CD,鉴别副神经节瘤。淋巴瘤强化不符合,神经鞘瘤没看到明显的A区、B区,暂不考虑。
若尘 :
右前中纵隔软组织肿块,有钻缝生长特点,边界清,周围脂肪血管未见受侵,增强动脉期明显强化,明显持续强化,内部及周围见血管,周围见小淋巴结,考虑CD,鉴别淋巴瘤,强化不支持;胸腺瘤,不常见部位,形态也不支持;副节瘤,这么大肿块坏死囊变应很明显;神经内分泌肿瘤,强化太均匀、生化不支持,周围结构改变也不符合;神经鞘多有AB区,渐进性强化!
孔儿 :
中纵隔内类椭圆形软组织占位,密度均匀,边界清晰,与周围结构分界清晰,腔静脉向外推移,周围见数个增大淋巴结,增强扫描明显均匀性强化,考虑良性,CD可能性大,鉴别神经源性肿瘤。
刘军 :
CD!鉴别淋巴瘤,结节病,淋巴结结核。①淋巴瘤:纵隔淋巴瘤的分布以前纵隔和支气管旁组最常见,其次是气管与支气管组和隆突下组,增强扫描呈轻度强化。②结节病:常纵隔及肺部病变同时存在,纵隔及两侧肺门淋巴结肿大、肺间质性改变为主,以患者症状轻、症状进展缓慢为特点。③淋巴结结核,淋巴结肿大多为一侧性,增强扫描呈环形强化。肺内多有结核病变,加上临床可鉴别。巨淋透明血管型
一米阳光 :
定位,中纵隔,上腔静脉向前推移。椭圆形软组织影,边界清晰,密度均匀,周围脂肪间隙清晰。增强明显均匀强化。
考虑,良性,CD,鉴别副节瘤。





南边 :
那些需要鉴别?
定位没问题吧
中纵隔
上腔静脉后方,偏外;定位需要鉴别的是胸膜来源SFT

这些层面上腔静脉明显外推,不支持胸膜来源

这里有的结构:神经、淋巴结、脂肪
1、神经来源:鞘瘤、付节瘤
2、淋巴结:CD(透明细胞)、淋巴瘤、转移瘤
3、脂肪:脂肪肉瘤
4、异位:甲状腺腺瘤、胸腺瘤
强化过于明显:付节瘤、CD、异位甲状腺腺瘤
动脉期显著强化,结节呈“门状结构”附近多发子灶——CD!



至于周围、内部血管影我认为血供丰富的肿瘤都有





知识延伸
1、概述:
巨大淋巴结增生症又名Castleman病(Castleman disease,CD),由Castleman等首先报告,以一种异源性的罕见的淋巴组织增生性疾病。根据淋巴结累及范围不同,CD分为单中心型和多中心型,前者病理类型多为透明血管型,后者多为浆细胞型或混合型。
2、CD的临床特征: 
CD可见发生于淋巴结的任何部位,好发于胸部肺门及纵隔,多以单个结节肿块为主;单发型CD大部分无症状,多以无痛性淋巴结肿大就诊,偶有胸痛、咳嗽、背部疼痛等非特异性症状,而多中心性的CD往往有多系统症状。单发性CD患者通常预后良好,多数经手术切除后可治愈,少数可合并副肿瘤性天疱疮(PNP),肺内出现闭塞性细支气管炎(BO)时预后不良,死亡率可达90%。多发型CD预后较差,需化疗且易于复发,部分病例可进展为淋巴瘤或 Kaposi肉瘤等恶性肿瘤。
3.1单发型CD的肺部表现
   单发型CD多为透明血管型,所以明显强化和中央分枝状钙化具有特征性。在CT上表现圆形或类圆形软组织密度影,伴或不伴周围淋巴结增生,体积一般较大,边缘光整,病灶中央的弧形、线样、分枝样及枯枝样钙化(因为肿块内增生的血管组织玻璃样变或退变后钙盐沉积,故多呈血管样铸型的分支状或枯枝状);透明血管型因为其内血供丰富,周围可见粗大的供血动脉,在多期扫描动脉早期明显强化,强化程度与大血管相仿,又由于病灶内血管壁玻璃样变或纤维化及内皮细胞过度增生致血管腔狭窄,对比剂退出减慢,故延迟扫描扫描仍可持续强化,呈“早进晚出”的强化方式。因为其血供丰富,坏死、囊变或出血少见,但是有时候病灶内灶状或条片状低密度影,是纤维组织或发生玻璃样变性的血管结构,而不是缺血坏死区。
 
3.2、多发型CD的肺部表现:
多发型CD少见,是一种全身性的淋巴结疾病,涉及多个系统,表现一组或多组淋巴结肿大,境界清楚,互相之间不融合,临床上常伴有发热、乏力、肝脾肿大、贫血、肾功能不全等症状,因为其病理类型多为浆细胞性或混合型,血供不如透明血管型丰富,强化没有单发型CD明显,所以CT表现缺乏特异性;因为CD本质就是淋巴增值性疾病,所以后期会发展为卡波西肉瘤或淋巴瘤,而且累及肺部时病理学多以淋巴细胞性间质性肺炎(LIP)多见,肺上LIP主要表现为边缘模糊的小叶中心结节、薄壁囊腔、血管支气管束增粗和小叶间隔增厚,少数可出现胸膜下结节、磨玻璃密度影、气腔实变和支气管扩张;多发型CD影像表现为多发淋巴结肿大伴肺内LIP时有时需要与结缔组织疾病、淋巴增生疾病(淋巴瘤)、浆细胞疾病等鉴别。
                                            文献来源网络,谨致谢忱!
   
   


   
   

编辑:许建林
审核:蔡笑燕  徐  晓
病例提供者:九江市第一人民医院影像中心 於雄


            



到顶部