【每日晨读】血管漂浮侠再现江湖


夏天的清风,是清凉宜人的,是薰风拂拂的,是清凉解暑的。它像一位温柔的母亲带给我们一片清凉。此时的夏天披着绿叶在暖风中跳舞。风儿带着温暖扑面而来好像在告诉人们夏天已经来到了。人们也享受着这一丝清凉... ...


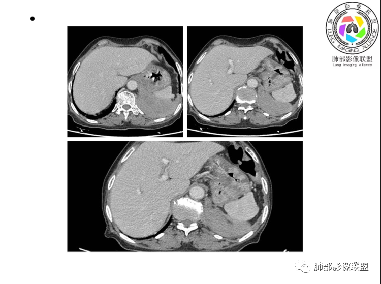
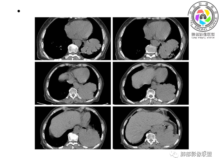
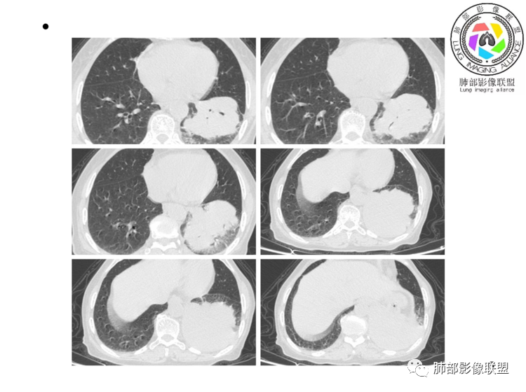
病例资料















群内讨论
小强 :
团片,内有支气管扩张,血管飘浮,不均匀强化,累膈肌似侵及脾脏,考虑恶性,淋巴瘤?肉瘤?
王秀仙 :
左肺下叶团块,边缘膨隆分叶,支气管部分阻塞、部分进入扩张,密度不均,延迟强化,血管走行正常,病灶与左侧膈肌分界不清。考虑恶性肿瘤:1淋巴瘤;2肉瘤样癌。
大雄 :
老年女性 ,无呼吸道症状,无发热,腹痛一周就诊。
左肺下叶巨大实性肿块,支气管进入后阻塞,血管走行自然,增强中度均匀强化,无明显坏死。与膈肌分界不清,是否有侵犯导致腹痛症状?
考虑恶性肿瘤,低分化腺癌或者淋巴瘤?
飞鹰行动 :
老年女性,上腹部疼痛为主诉,CT所示左肺下叶肿块,左肺下叶支气管变窄,局部阻塞,病灶可见分叶,内见僵硬稍扩张的支气管,增强扫描病灶中度强化,内见血管造影征,首先考虑恶性病变,腺癌和淋巴瘤需要考虑,转移瘤待排除。
薏米 :
老年女性,以上腹痛就诊,左肺下叶团块影,边界清,可见分叶,延迟强化,内未见明显坏死,可见支气管充气扩张,血管走形自然,考虑淋巴瘤
小兜 :
老年女性,上腹痛就诊,CT可见左肺下叶巨大肿块,支气管进入后变窄堵塞,血管走行自然,内可见稍扩张支气管,增强均匀强化,与膈肌分界不清,考虑为恶性,淋巴瘤或腺癌可能
丽 :
老年女性,左肺下叶软组织肿块,密度较均匀,边缘膨隆分叶,临近支气管截断,肿块内可见支气管穿行,与膈肌分界不清,增强后动脉期轻度均匀强化,静脉期呈渐进性强化,欠均匀,内血管走形如常,可见血管漂浮,整体感觉病灶偏软,考虑淋巴瘤可能大,鉴别腺癌。
水晶石头 :
患者老年女性,上腹部疼痛一周,无呼吸道症状,查体无阳性体征。血常规、尿常规、肝肾功能正常。肿瘤标志物CA125稍升高。胸部CT:左肺下叶肿块灶,边缘欠光滑,边界欠清楚,见分叶、血管集束征象,内见支气管扩张,增强中度强化,见血管漂浮征象。综合考虑恶性病变,淋巴瘤可能大,鉴别肺癌。
宇宙 :
左下肺不规则巨大肿块,下叶支气管部分阻塞,部分扩张,与左侧膈肌分界不清,增强延迟强化,可见血管造影征,考虑恶性,淋巴瘤可能大,鉴别腺癌
流心明智 :
老年女性,上腹部疼痛一周,肿标CA125升高。胸部CT:左肺下叶巨大肿块,分叶,密度不均,与左膈肌分界不清,内见枯枝征,部分支气管进入后截断,增强中度延迟强化,见血管漂浮征。胃壁不均匀增厚。考虑:恶性肿瘤病变伴阻塞性炎症,淋巴瘤?腺癌转移?鉴别TB、隔离等。
傅昌瑜 :
老年女性,左下肺大肿块、深分叶,考虑恶性肿瘤。纵隔肺门淋巴结无明显肿大,不支持小细胞癌;支气管进入后截断、肿块破坏力不强,不支持鳞癌,内部血管走行自然,不怎么支持腺癌,支持淋巴瘤;肉瘤似乎内部很少见支气管。
一切∮随缘 :
左肺下叶实变影,形态尚规则,外缘欠光滑,呈膨胀性生长,叶裂推移,近段支气管穿行,支气管略扩张,平扫密度均匀,增强后可见穿行血管,老年女性,无感染症状,实验室检查肿瘤标志物高,考虑恶性:1:淋巴瘤;2:腺癌;3:IMT
良孑 :
左下肺肿物,有分叶及血管飘浮征,定性恶性,无胸膜牵拉及毛刺,提示收缩力差,可排除腺癌。女性,肿块内坏死不明显(鳞烂心)不首选鳞癌。老年女性,血管飘浮,特别是膈肌受累首选淋巴瘤
冥冥之中 :
定位,肺内,血管支气管穿行
定性,恶性,腺癌跟淋巴瘤鉴别
腺癌支持点就是常见病,发病率高,CEA高。不好解释血管穿行比较自然。病灶整体偏软,所以淋巴瘤放前面
空格 :
恶性没有问题,先拿60分再说,其余40分随便怎么弄[呲牙]。支气管和血管成为揭开答案的关键先生。实体肿块,对气管的描述很困惑,部分气管起始段似有扩张?(层面关系的错觉?就好办了),这点只有淋巴瘤能在实性肿块中做到,大部分的支气管仍然是鼠尾状截断,这点支持肺癌。其内行走的血管,有挤压改变,这点支持淋巴瘤和其他肉瘤,高分化肺癌也可以?(待验证)。病灶很大没有坏死,高分化鳞癌也可以,淋巴瘤也可以。病灶在肺底被胸腔塑形,提示病灶恶性程度不高?结合高龄患者的肿瘤恶性程度相对较低,虽然女性,仍然首先考虑高分化鳞癌。
琦遇 :
考虑淋巴瘤!鉴别腺癌 首先看病灶恶性征象多,深分叶支气管截断,支气管感觉是受压闭塞,肺动脉显示良好,血管漂浮征!这么大肿瘤如果是鳞癌不可能没有坏死!腺鳞癌同样如此,肉瘤样癌同理,类癌、不典型类癌明显强化,而这例轻度延迟性比较均匀强化,淋巴瘤感觉是符合 特别是MALT

结果揭晓
             
弥漫性大B细胞淋巴瘤
了解更多知识
   弥漫性大B细胞淋巴瘤(DLBCL)是最常见的非霍奇金淋巴瘤(NHL)组织学亚型,约占NHL病例的25%。
    DLBCL患者通常表现为快速增大的症状性肿块,最常为颈部或腹部淋巴结增大。约30%的患者发生全身性“B”症状(即:发热、体重减轻和大量盗汗)。骨髓受累和结外髓外病变的发生率可分别达到30%和40%。
     DLBCL是一组异质性肿瘤,由转化的大B细胞组成,具有显著的核仁和嗜碱性胞浆、弥漫性生长模式和高增殖分数。DLBCL的肿瘤细胞通常表达泛B细胞抗原(CD19、CD20、CD22和CD79a)。大多数存在遗传学异常,但没有哪种细胞遗传学改变具有特异性或诊断意义。
    DLBCL最好根据切除组织活检进行诊断,最常用的标本为淋巴结。诊断取决于形态学和免疫分型,这是诊断的关键。
  DLBCL的鉴别诊断包括其他大细胞恶性肿瘤(如上皮来源性癌、黑素瘤),以及其他类型淋巴瘤。
    DLBCL的初始病理学评估应纳入分子学风险评估,以将病例进一步分为生发中心B细胞DLBCL和非生发中心B细胞淋巴瘤(包括活化型B细胞淋巴瘤),以及识别出双重打击DLBCL。
    越来越多的证据表明,“DLBCL”包含在形态学、遗传学和生物学行为上有很大差异的疾病。目前发现许多临床病理类别都足以成为独立的诊断类别:
富含T细胞/组织细胞的大B细胞淋巴瘤。
纵隔原发性DLBCL,又称原发性纵隔(胸腺)大B细胞淋巴瘤。
血管内大B细胞淋巴瘤。
淋巴瘤样肉芽肿病,即EB病毒阳性的大B细胞淋巴瘤。
原发性中枢神经系统DLBCL。
原发性皮肤DLBCL,腿型。
慢性炎症相关性DLBCL。
  弥漫性大B细胞淋巴瘤(DLBCL)是一种侵袭性NHL,如果不进行治疗,患者的生存期仅以月计。晚期病变指无法被包含在1个照射野内的病变,占DLBCL患者的60%-70%。 
   治疗前评估可确定疾病的范围,还可提供关于个体存在的可能影响治疗选择的共存疾病信息。除病史和体格检查之外,在实践中我们还对所有患者进行实验室检查、单侧骨髓活检以及影像学检查。某些亚组患者需要进一步检查脑脊液和心脏功能。育龄期患者应接受生育咨询。    所有病例都应进行分子风险评估以帮助确定预后及指导治疗。这包括评估MYC、BCL2和BCL6状态[应用免疫组织化学或荧光原位杂交(FISH)],以及评估细胞起源[应用基因表达谱(GEP)、基于免疫组织化学的流程图(图 1)或Lymph2Cx平台分析]。根据这些信息,个体病例可被细分为以下亚型之一:生发中心B细胞(GCB)型DLBCL–GCB 活化B细胞(ABC)型或非GCB型DLBCL
双重打击DLBCL双重表达DLBCL
  局限期和晚期DLBCL的一般治疗原则适用于大多数疾病表现和患者群。然而,某些器官受累,尤其是作为疾病的原发灶时,有特殊的治疗措施。此外,老年患者、心脏病患者或HIV感染者需要特殊考虑。 
    对于大多数老年(>60岁)DLBCL患者,我们建议给予全剂量化疗而非减量化疗(Grade 2C)。对于不能耐受标准剂量R-CHOP-21化疗的老年患者,可考虑减量的CHOP方案(即,R-mini-CHOP)。      病变累及某些器官(如睾丸、硬膜外或鼻窦受累)的患者发生中枢神经系统(CNS)疾病的风险升高。这部分内容将单独作更详细的讨论。 
  通过在化疗完成后6-8周或放疗完成后至少12周进行PET/CT,连同治疗后病史采集、体格检查和实验室检查,可确定疗效。   患者应定期复诊以监测治疗的相关并发症和评估可能的复发。随访的频率和程度由患者和医生双方都合适的安排而定。 
注:以上内容引自《Up ToDate 临床顾问》




 
病例提供:长沙市中医医院放射科  陆喜红
编       辑:许建林,赵永兵
审       核:徐  晓
到顶部