【每日晨读】气管支气管壁增厚知多少


科技双图标题







































精彩讨论

秦化君:
气管支气管弥漫性管壁增厚,膜部受累,疑似有局部钙化,管腔狭窄。考虑气管支气管淀粉样变。
红日东升:
气管支气管壁均匀增厚,膜部受累,未见腔内结节及腔外受累,支持淀粉样变性
飞鹰行动:
老年人,感冒时痰中带血,影像表现气管支气管壁及后膜增厚,部分可见钙化,考虑支气管淀粉样变性,鉴别多发软骨炎,WG
王开金江津中心医院呼吸科:
老年男性,病程长,起病缓,有咳嗽,胸闷,痰血,气管支气管管壁弥漫性增厚明显,可见钙化,考虑淀粉样变。
一切∮随缘:
主支气管壁增厚及壁内可见钙化影,累积支气管前壁及侧壁,双肺左右支气管壁也弥漫性增厚,左主支气管明显狭窄,病史10年,慢性病史,考虑支气管淀粉样变,鉴别复发性骨软骨炎(一般比较局限)
Yishion:
膜部受累,考虑气管支气管淀粉样变性,鉴别:复发性多软骨炎、气管支气管骨化病,因为气管后壁没有软骨成分,后两者膜部不受累,所以不考虑
蔡笑燕:
气管支气管壁弥漫性环周增厚,累及膜部,伴钙化,管腔变窄,考虑淀粉样变性
小兜:
患者,女,64岁,反复咳嗽、咳痰、胸闷10年,加重2周患者10余年来每当受凉感冒出现咳嗽、咳痰、胸闷,有时痰中带血,输液治疗(具体不详)可好转。既往有声带肥厚手术病史。CT示气管、主支气管及分支支气管管壁弥漫性增厚累及膜部,局部伴钙化,管腔狭窄,考虑淀粉样变性
丽:
老年女性,慢性病程急性起病,主支气管及各级分支弥漫性不均匀性增厚,管壁钙化,管腔狭窄,累及膜部,考虑淀粉样变性,鉴别复发性多软骨炎,气管支气管骨化症,侵袭性曲霉菌病
宇宙:
气管及支气管管壁弥漫性增厚,累及膜部,局部伴钙化,管腔狭窄,局部管壁结节样增厚,不规则狭窄,考虑淀粉样变性,鉴别复发性多软骨炎,WG
琦遇:
比较典型气管支气管淀粉样变性,如果要鉴别,有骨化,复发性多软骨炎,曲霉菌病,结核
红星:
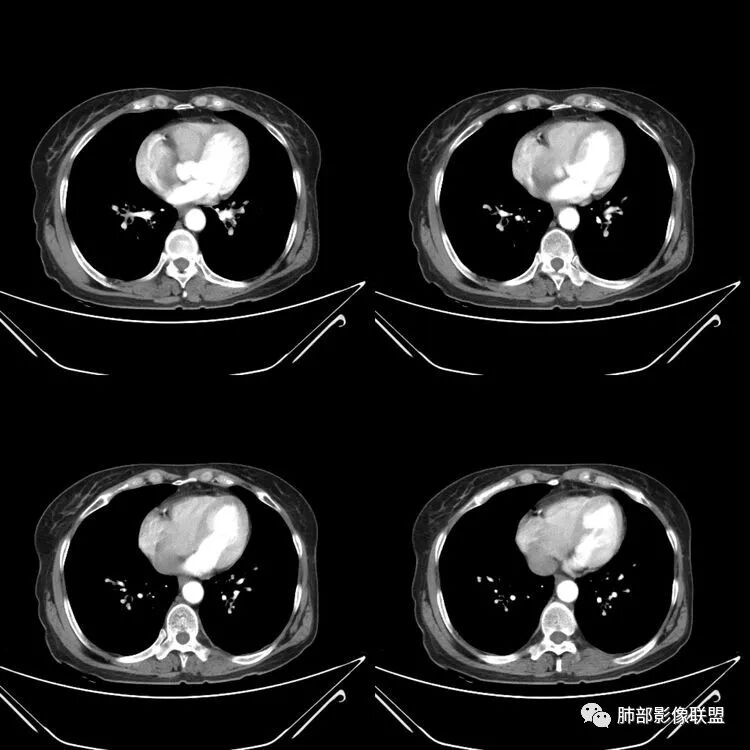
患者,女,64岁,反复咳嗽、咳痰、胸闷10年,加重2周。气管支气管及两肺下叶 支气管弥漫性的环状增厚,管腔扩张,管腔感觉比较松弛。第一感觉,气管支气管淀粉样变。鉴别诊断,1、支气管内膜结核,肺内散在一些支气管的播散病灶,粟粒结节为主,形态比较单一。2、复发性的多软骨炎,就得了解一下其他部位,有没有多个部位的软骨炎。这个病人右侧胸廓缩小,升主动脉明显的扩张,其横径明显的超过了降主动脉。
张燕萍:
气管支气管增厚,密度不均匀可见条状及斑点状高密度,未见强化,临床有咳血咳痰,支持支气管淀粉样变性,鉴别气管支气管骨化症
王秀仙:
气管、支气管及分支支气管壁弥漫性环周增厚,局部管壁可见钙化,病史10年,慢性病史,考虑支气管淀粉样变。
张延军:
气管及支气管弥漫性增厚,内缘模糊,部分管腔狭窄,软骨部及膜部均受累,考虑淀粉样变性
Harvey:
气管-支气管壁弥漫性增厚、膜部受累,见钙化,管腔变窄,考虑淀粉样变
三个石头:
气管及分支弥漫性增厚,管腔狭窄。疾病去淀粉样变,膜部累及,可有钙化。复发性多软骨炎,膜部不累及。韦格氏肉芽肿,偏心性增厚。还要鉴别结节病,气管累及少见。考虑淀粉样变。
小强:
气管病变,软骨增厚主要是复发性多软骨炎,TO一般不累及膜部。累及膜部的主要有气管淀粉样变性,WG,而WG一般会有鼻咽、肺部等病变。
支持气管淀粉样变性

南边老师分析

南边:
征象很明确
弥漫支气管壁增厚,膜部受累
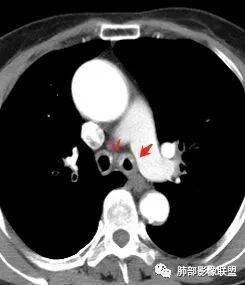
声带肥厚——受累
隐约见钙化

南边:肺部有肺气肿支气管腔狭窄淀粉样变性?复发性多软骨炎?血管炎?慢支?结核?曲霉菌?南边:一般还是淀粉样变性与复发性多软骨炎鉴别其次就是支气管骨化症,但是骨化下朝上,且壁结节状钙化明显,本例不太支持。至于结核、曲霉菌?1.结核,一般不会这么广泛,支气管壁狭窄后扩张2.曲霉菌可以这么广泛,但是支气管壁管腔扩张,而且附近脂肪间隙有炎性反应,不太支持;3.血管炎,一般合并肺内有病灶,但是声带受累,放待排;4.软骨炎一般全身受累,例如耳廓等;而且膜部不受累,不太支持;倾向于淀粉样变性;淀粉分很多型,气管支气管是最常见的。尘缘:影像上生理性钙化与支气管骨化无法区别,镜检也不好鉴别,需要依赖活检,看粘膜中是否合并炎性改变(淋巴细胞,组织细胞等炎性细胞侵润)来鉴别Coke with ice:经常看到的这种是老年性肺改变,又称年龄相关肺改变。气管和支气管弥漫性软骨钙化,常见老年女性。尘缘:支气管骨化症很罕见的,所以绝大多数还是生理性钙化。对于老年人,无临床症状的钙化,还是基本上都是生理性钙化,无临床意义。大雄:如果管壁钙化伴明显增厚 影像还是提示一下建议支气管镜稳妥些

病理结果:肺淀粉样变



气管支气管淀粉样变性

   淀粉样变性是指一组以细胞外沉积异常蛋白和蛋白衍生物为特征的疾病,可累及单一器官,也可多器官组织受累,确诊需要依靠组织病理学。
一、病因(分类)
1.原发性淀粉样变性(由浆细胞引起的免疫球蛋白轻链病)
2.继发淀粉样变性(与慢性感染或炎症、恶性肿瘤有关)
二、发生在呼吸系统的常见三个类型:
1.气管支气管型(最常见)
2.肺实质结节型
3.肺间质性弥漫型
三、影像表现
 1.气管支气管型
①气管支气管壁增厚,形成粘膜下斑块与结节
②管腔广泛狭窄、闭塞
③管壁钙化
④膜部受累(具有重要鉴别意义)

---鉴别诊断
①骨化性气管支气管病
主要是由于气管支气管壁软骨化生及异位软骨瘤形成,气道膜部没有软骨,所以不累及膜部,气管壁结节样增厚伴钙化。
②复发性多软骨炎
多系统受累,常累及鼻、耳廓等其他部位的软骨,气道膜部没有软骨,所以膜部也不受累,气管及支气管壁平滑增厚,管壁钙化,管腔弥漫性缩窄,外壁模糊。
③感染或炎性支气管炎:
包括细菌、结核、真菌、其他肉芽肿,有相应临床表现,实验室检查有助于病原学诊断,CT表现气管壁增厚、缩窄、强化,合并淋巴结肿大,晚期纤维化。
结核病常见,且易累及支气管,但很少如此对称、广泛和弥漫。
2.肺实质结节型
①肺内单发或多发结节,边缘光滑,可分叶或毛刺;
②可钙化或显著骨化,钙化呈斑片状、点状;
③可累及纵隔淋巴结及胸膜;

                     (图片来自网络,谨致谢忱)
---鉴别诊断
①尘肺:有长期粉尘接触史,广泛对称分布结节影,边界清楚,密度较高,以上叶和后部为主,小叶间隔增厚。上肺结节易融合成对称纤维块状影。肺门及纵隔淋巴结肿大伴钙化
②肉芽肿性病变
3.肺间质性弥漫型
①网状或网结节状影
②双肺弥漫分布或以肺基底部或胸膜下为主
③局灶性或斑片实变影
④病变可钙化或显著骨化。

图片来自首都医科大学附属北京世纪坛 孙小丽
---鉴别诊断
①肺间质性纤维化:
弥漫网格、结节、云絮状影,以胸膜下或肺基底部为主,有蜂窝影,而肺淀粉样变没有蜂窝影。
②尘肺:
有长期粉尘接触史,广泛对称分布结节影,边界清楚,密度较高,以上叶和后部为主,小叶间隔增厚。上肺结节易融合成对称纤维块状影。肺门及纵隔淋巴结肿大伴钙化。

推 荐 阅 读
病例欣赏——气管-支气管淀粉样变肺淀粉样变病例赏析

         
编辑:湘西州人民医院   周乔友
审核:蔡笑燕  徐  晓
病例提供者:山东省胸科医院呼吸与危重症五病区  温明毅


到顶部