【每日晨读】8年抗争,却没换来一个奇迹!


      时光会替你留下最重要的那一群人的,要一直在一起。                                                                       -----肺部影像联盟














精彩分析
杨丽:
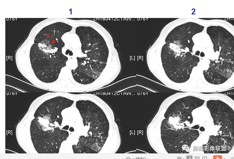
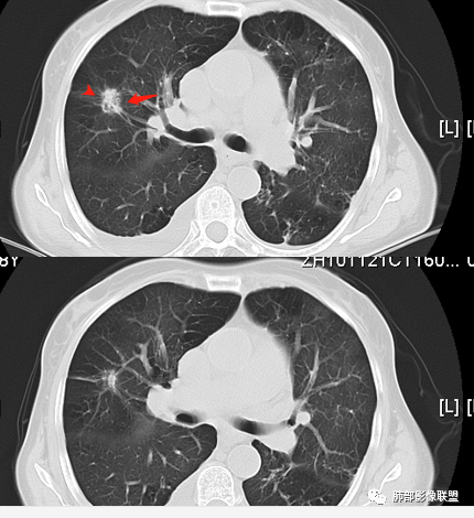
    老年女性,肺气肿背景。右肺上叶不规则肿块,局部膨隆,有边界清晰磨玻璃影,细长毛刺,胸膜牵拉,收缩力中等,外朝内生长,后段部分支气管似闭塞,不均匀较明显强化,坏死边界欠清;近八年复查明显增大。考虑腺癌可能性大,鉴别结核。
王开金江津中心医院呼吸科:     老年女性,痰血,右肺新生物,毛刺,分叶,胸膜凹陷,支气管截断,空炮,周围有部分磨玻璃,淋巴结肿大,结合肿瘤标志物升高,考虑肺恶性肿瘤,倾向腺癌。鉴别结核。
红星:    女性68岁,右肺上叶前段结节,将近7年的时间明显长大,表现出分叶毛刺及支气管截断伴胸膜凹陷,增强明显的不均匀强化,纵隔内多发的淋巴结肿大。左肺多发的斑点及条索状间质改变。考虑右肺上叶前段恶性病变,腺癌的可能性大。鉴别诊断结核或炎性肉芽肿。
宇宙:  右肺上叶不规则肿块,较8年前结节明显增大,可见分叶,毛刺,胸膜牵拉,边缘清晰磨玻璃影,上叶后段支气管堵塞,不均匀延迟强化,有坏死,纵隔淋巴结增大,考虑恶性,腺癌,鉴别炎性肉芽肿
孔儿 :   老年女性,右肺上叶前段结节8年复查明显增大,收缩力强,分叶,毛刺,邻近胸膜牵拉,部分支气管截断,周围见边界清晰磨玻璃成分,增强扫描呈不均匀强化,考虑恶性肿瘤,浸润性腺癌可能性大。
刘强:   老年女性,右肺上叶不规则肿块,月牙铲,有收缩,分叶,毛刺,近8年后结节明显增大,边缘清晰磨玻璃影,上叶后段支气管堵塞,不均匀延迟强化,有坏死,纵隔淋巴结增大,考虑恶性,腺癌可能性大
Yishion:   时间跨度虽然大,但原病灶增大,常规需要考虑恶性肿瘤,支气管截断,不符合淋巴瘤,时间太长,说明病灶相对生长过慢,如果是鳞癌,一般破坏力很强,8年时间很难支撑得下来,常规考虑腺癌
蓝天白云:    老年女性,右肺上叶不规则肿块,月牙铲,有收缩,分叶,毛刺,边缘清晰的磨玻璃影,上叶后段支气管截断,胸膜牵拉凹陷,不均匀延迟强化,内见空泡,纵隔淋巴结增大,IAC。所以的恶性征象都有了
丽:    病灶八年明显增大,右肺上叶不规则肿块,边缘毛刺、分叶,胸膜牵拉,并可见清晰磨玻璃密度影,临近支气管截断,增强后不均匀强化,内可见多发低密度,纵膈肿大淋巴结,考虑恶性,常规考虑腺癌
飞鹰行动:   老年女性,右肺上叶前段结节8年复查明显增大,收缩力较强,有分叶,长短毛刺,邻近胸膜受牵拉,部分支气管截断和受牵拉,周围见边界清晰磨玻璃成分,增强扫描呈不均匀强化,内部低密度区可见磨玻璃强化,边缘模糊,考虑恶性肿瘤,腺癌可能性大。鉴别结核,后者强化不明显,支气管牵拉后扩张。
任广国:    病灶发展8年,从混合磨玻璃密度到实性肿块,毛刺分叶明显,胸膜牵拉,(收缩力较强),中等度强化

南边解析

南边:
   8年病史,病灶内部结构紊乱,mGGN,边缘清楚,分叶、毛刺、胸膜凹陷——腺癌

南边:   深分叶,胸膜凹陷在病灶凹陷处, 支气管近端截断

南边:   边界清楚GGO

南边:   毛刷南边:考虑恶性,进展,支持腺癌

晨读结果






病例小结
    1、老年女性,肺气肿背景,咯血多年,肿瘤标志物升高。    2、右肺上叶不规则结节影,八年后进行性增大为肿块,边缘深分叶、毛刺、棘状突起、胸膜牵拉,相应支气管壁增厚阻塞;周围局部见边界清楚的磨玻璃影;近胸壁侧见凹陷,整体呈外朝内生长。增强扫描呈不均匀明显强化,其内见坏死区,边界欠清。    3、右侧胸腔积液。纵隔见增大淋巴结。
   影像及临床符合肺腺癌的诊断。8年的时间为我们展示这样一个生长过程,还是具有一定程度参考意义的。
相关知识链接
【王兆宇课堂】腺癌的影像与病理分析
【每日晨读】犹抱琵笆半遮面的肺腺癌
【兆宇讲堂】当支气管碰上腺癌……



编辑:杨新娟、赵永兵
审核:徐  晓
到顶部