【每日晨读】双肺多发气囊探秘





















































































精彩讨论   

 王开金江津中心医院呼吸科:
青年女性,ct双肺多发囊性病变,形态不规则,左肺舌段,肋隔角受累,下叶多,母亲有类似病史,考虑BHD,鉴别LAM。
小兜:
年轻女性,双肺多发囊性病变,双下肺多,大囊为主,考虑为BHD可能,查下皮肤及肾脏。
王秀仙:
青年女性,双肺多发囊性病变,形态不规则,下叶多且大,母亲有类似病史,考虑BHD。多发肺大泡+肾脏肿瘤+皮肤纤维囊腺瘤=BHD
一切∮随缘:
双肺多发大小不等肺气囊,边界清楚,薄壁,壁光滑,以胸膜下分布为主,肋膈角也有受累,临床年轻女性,考虑LAM(年轻女性好发),鉴别BHD(需要询问家族史),LCH(吸烟,及肋膈角不受累)。
寒江雪:
双下肺为主多发怪异囊,与胸膜关系密切。青年女性,可疑家族史。考虑BHD。建议皮肤+肾脏检查。确诊:基因检测。
宇宙:
青年女性,两肺多发薄壁囊肿影,两下肺明显,母亲类似病史,考虑BHD,LAM
刘丹:
中年女性,双肺薄壁囊腔,肋膈角受累,考虑lam,鉴别BHD有家族史,复发性气胸,肾脏及皮肤病变。
丽:
青年女性,双肺胸膜下多发大小不等、多形态囊腔,薄壁,有肺大泡家族史,考虑BHD,鉴别LAM,建议结合肾脏、皮肤检查
小飞:
年轻女性,无基础疾病,双肺胸膜下多发大小不等薄壁囊腔,壁光整,双下肺为主,肋膈角受累,无结节,无GGO,考虑LAM
蓝天白云:
青年女性,双肺胸膜下多发大小不等、多形态囊腔,肺大疱,有肺大泡家族史,考虑BHD,鉴别LAM,建议基因检测
红星:
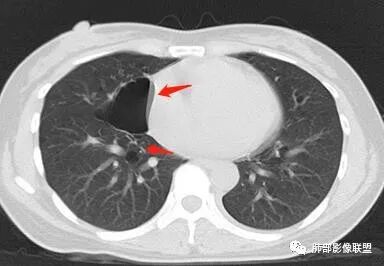
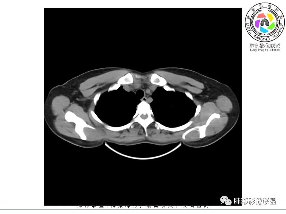
女,38岁,无症状,胸片体检发现两肺可疑病灶。
?其母亲有肺大泡,2017年手术。影像学特点:两肺胸膜下多发的大小不等囊状气腔,壁很薄或无可见的囊壁,小囊的边界比较清楚,大囊的形态比较怪异,以两下肺为著。考虑肺组织细胞增生症,鉴别肺淋巴管肌瘤病。


南边老师分析
南边:
女,38岁,无症状,胸片体检发现两肺可疑病灶。
其母亲有肺大泡,2017年手术。
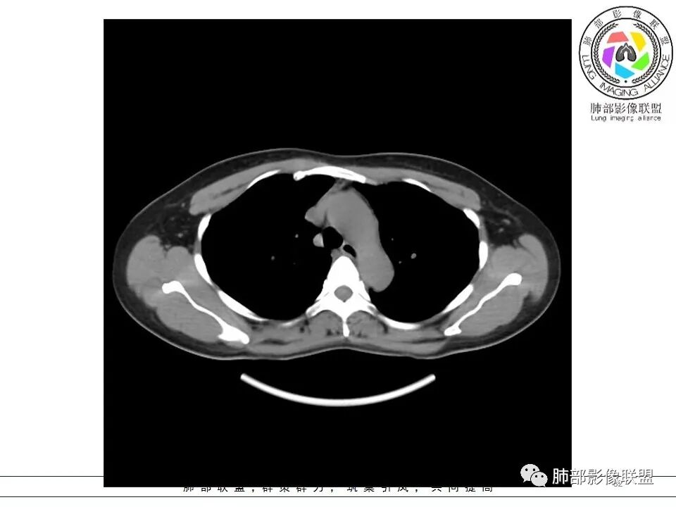
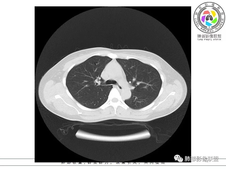
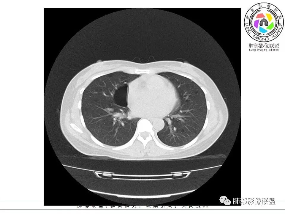
小叶中心,胸膜下囊,比较大,规则:



南边:
这个图好,下次我们就这样的不是叶间胸膜,而是胸膜下囊
无其他伴随征象
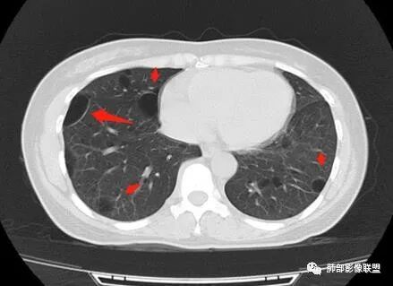
常规:1、LAM 2、bhd
LCH一般男性,囊不规则,上肺为主,伴随结节,不太支持
LIP?一般有风免疾病、HIV病史,而且伴随中轴间质增厚。
LAM?年龄、性别符合,囊形态符合,但是这么大囊的好像不多见,而且分布区域下肺为主的不多,没有结节,不是首选,但是不能排除
Birt-Hogg-Dubé综合征:影像符合,家族史符合
需要查查肾脏、皮肤,仔细再问家族其他人
以前我们经常碰到单个的

这一类病例其实我们影像诊断到多囊,其余的交给临床综合考虑就行。

病例结果




       

                               BHD综合征
       BHD综合征是一种罕见的常染色体显性遗传卵泡刺激素基因异常性疾病,首先于1977年由Birt、Hogg和Dubé三位医师报道, 典型临床表现为皮肤纤维毛囊瘤、肺囊肿、自发性气胸和肾肿瘤(通常为双侧), 甚至还可出现直肠息肉、直肠癌、卵巢囊肿、视网膜斑痕等改变。首诊的原因多为面部、颈部和上身躯干部位出现小的白色或正常肤色的丘疹, 这些皮肤的病损可随着时间而进展, 少数因肾肿瘤首诊。如果家族中有人经病理证实患纤维毛囊瘤 (临床上多在10岁以后出现) , 同时伴有BHD基因种系变异, 那么这个家族都有可能患BHD病。如果患者没有皮肤纤维毛囊瘤但携带BHD基因者往往有BHD基因的变异, 或是仅有BHD单倍体的遗传。
发病机制      BHD综合征是由位于染色体17p11.2上的FLCN基因种系突变造成。这些突变是小片段插入/缺失、剪接位点突变和无义突变,它们导致大多数患者FLCN蛋白质过早截断或功能丧失。迄今为止,已在BHD家系中发现覆盖全部14个外显子的149种不同FLCN基因种系突变,相关信息收录在Leiden开放式变异数据库。
     BHD综合征的发病率尚不明确,全世界已经发现约200个家系,受累家系FLCN基因突变的总体外显率较高,然而,即使在同一家系中,皮肤、肺和肾脏表现差异也非常显著。虽然肾脏癌症的外显率相对较低,但BHD综合征患者肾脏肿瘤的发生率是一般人群的7倍。
临床诊断标准及影像表现      临床诊断BHD综合征需要满足一个主要或两个次要标准。主要标准包括:
1、皮肤上至少发现5个纤维滤泡瘤,至少1个组织学证实;
2、致病的FLCN种系突变阳性。
次要标准:
1、多发肺囊肿,双侧基底部,有或无自发性气胸。
2、肾癌,起病早(<50岁)或多灶性或双侧。
3、 BHD综合征一级亲属。
BHD主要影像表现特征:    1、两肺内肺囊肿:80%以上的BHD患者会出现肺内囊肿,且倾向于基底部近胸膜下分布,特别是纵膈侧肺膜下,囊肿形状不规则、囊肿可大可小,肺内囊肿多毗邻肺下动脉或静脉近端,胸部CT上囊肿分布和特点对诊断有提示意义。    2、继发自发性气胸:BHD患者发生气胸风险是正常人的5倍,BHD患者的气胸发生率约为 1/4,气胸复发率则高达59%。   3、肾肿瘤:(常为双侧性、倾向于嫌色细胞组织学亚型)   4、皮肤表现(为面、颈部纤维性毛囊瘤、毛盘瘤)
END
编辑:刘权威
审核:蔡笑燕  徐  晓
病例提供:广西贵港骨科医院放射科 冼成



到顶部