【每日晨读】磨玻璃结节影,一招定善恶



晨读病例


































微信群发言

王开金江津中心医院呼吸科: 晨读,62岁女性,右肺混合磨玻璃,边界清楚,有月牙铲,胸膜凹陷,血管集束,考虑腺癌。鉴别感染。
一切∮随缘: 晨读:右肺胸膜下结节,形态欠规则,平行胸膜,边缘可见环性磨玻璃影,病变近端可见血管束进入,远端胸膜内凹,整体偏收缩,考虑腺癌,鉴别隐球。
穿越七海的风: 右肺上叶胸膜下混杂磨玻璃结节,边界清楚,血管纠集,考虑腺癌,另有一处实性小结节良性可能
蓝天白云: 晨读:右肺胸膜下结节,边缘可见清楚的环性磨玻璃影,病变近端可见血管束进入,远端胸膜内凹,整体偏收缩,考虑iac,鉴别隐球。
小兜:晨读:老年女性,体检发现右肺占位,胸膜下混合磨玻璃密度占位,宽基底与胸膜相连,近端可见血管束进入,磨玻璃边界清晰,整体收缩为主,考虑为腺癌,鉴别隐球
飞鹰行动:晨读病例,62岁女性,CT可见右肺混合磨玻璃,磨玻璃影边界清楚,病灶可见月牙铲,胸膜凹陷征,血管集束等征象,考虑腺癌。转移代排。
心灵鸡汤: 老年女性,右肺上叶胸膜下近斜裂旁MGGN,其内见血管进入增粗,边界清晰,边缘可见月牙铲征,邻近斜裂牵拉,局部右侧胸膜增厚,常规考虑恶性结节,浸润性腺癌IAC,鉴别隐球菌,结核。
淡泊人生:晨读病例,62岁女性,CT可见右肺混合磨玻璃结节,位于胸膜下且与胸膜平行,磨玻璃影边界清楚,病灶可见月牙铲,胸膜凹陷征,血管集束等征象,考虑腺癌。鉴别隐球。
采莲 : 老年女性,查体发现,右肺下叶近胸膜下磨玻璃密度影,边缘光滑,与胸膜宽基底相连,胸膜广泛增厚,长轴与胸膜平行,支气管进入,走形比较自然,局部胸膜增厚,有血管进入。纵隔窗实变影很少,感觉不像原发腺癌,不知道转移有这样的吗?感染不排除。
秦化君: 右肺上叶后段胸膜下混杂磨玻璃结节,宽基底于胸膜平行,边缘较清,血管进入,略有分叶。常规考虑腺癌?隐球?拓展考虑转移,子宫内膜异位症。
波波: 常规考虑腺癌,但胸膜广泛增厚,需排除少见表现为磨玻璃的其它肿瘤病变。
谢加平:右肺上叶后段的胸膜下混杂磨砂结节,边缘清,见血管进入,见月芽铲和局部胸膜增厚,另右肺中叶见少许斑点状影(增殖灶?),右肺门肺动脉密度不均匀,首先右肺上叶后段占位,考虑浸润腺Ca,其次肺动脉CTA检查!
白小白:老年女性,体检发现,右肺胸膜下混杂密度结节,磨玻璃边界比较清楚,有血管进入,考虑腺癌
微微笑:胸膜下mggo,实性成分超百分之50,边缘清晰、分叶,局部胸膜增厚。血管进入,无明显增粗。考虑腺癌,炎性病变次要考虑。
丽:晨读,右肺上叶胸膜下混合磨玻璃密度结节,边界清晰有分叶,血管穿行,考虑腺癌,鉴别转移瘤
龚小萌: 右肺下叶混合磨玻璃结节影,恶性征象:略有分叶,轻度脐凹,收缩强,叶间胸膜牵拉明显;良性征象:宽基地与胸膜相连,平行胸膜,局部脂肪间隙清晰,整体IAC大于PC
Ao..葉偲雨!: 右肺下叶胸膜下混合磨玻璃结节密度影,边界清晰,病灶宽基底与胸膜平行,血管进入,增粗。考虑腺癌,粘液腺癌不排,鉴别隐球
东哥:右肺下叶混合磨玻璃结节,边缘清楚,浅分叶,胸膜牵拉,有血管征,考虑腺癌
张勇:IAC问题不大,腺泡型为主,少部分实体或者乳头型
蔣勝華:晨读:老年女性,有多种疾病。体检发现右肺病变,右侧胸膜下混合磨玻璃,边界清楚,宽基底与胸膜相连,无明显胸膜增厚,考虑为腺癌
阳光:老年女性,右肺下叶混合磨玻璃结节,GGO边界清晰,血管进入可见增粗,考虑腺癌
金惠:老年女性,右肺上叶胸膜下磨玻璃为主病灶,腺癌首先考虑,其次排除原发肺淋巴瘤,及转移瘤,此外还需排除良性病变,如隐球菌等,肺穿刺明确诊断。
棉花糖:老年体检女性,右肺上叶后段的胸膜下混合磨玻璃结节,边缘清,有收缩感,见血管进入,见月芽铲和局部胸膜增厚,另右肺中叶见少许斑点状影。右肺上叶后段考虑腺Ca,右肺中叶考虑良性结节。
果哣.: 右肺下叶胸膜下一肿块,边缘清楚磨玻璃,实验室肿瘤标记正常,考虑隐球菌,鉴别腺癌。
周太狼:晨读:老年女性,右肺上叶胸膜下结节,浅分叶、边缘可见磨玻璃影,可见血管束进入,远端胸膜内陷,考虑腺癌,LPA可能。
黄棘: 双肺多发结节,右上叶病灶大,边界清,宽基底于胸膜相连,,考虑腺癌并转移
宇宙:右肺上叶宽基底与胸膜相连混合磨玻璃结节,边界清,血管进入增粗,邻近胸膜增厚,考虑腺癌,转移不除外,鉴别炎性结节
王秀仙:晨读,右肺上叶后段胸膜下混合磨玻璃结节,与胸膜平行,磨玻璃影边界清楚,病灶可见月牙铲,胸膜增厚,部分血管进入增粗,内部似见细网格,考虑腺癌。鉴别粘液腺癌。
滴水海:边界清晰ggo+胸膜凹陷征,考虑腺癌,常规抗炎后复查
玫:晨读:女,62右肺上叶胸膜下混杂磨玻璃结节影,呈宽基底与胸膜相连,病灶边缘见晕,相应层面胸膜增厚,病灶内见增粗血管影,右肺中叶见小结节影,边界清晰,右肺上叶考虑腺癌,除外炎性病变。
薏米: 女性,右肺上叶近胸膜可见一磨玻璃样结节影,边界清,宽基地与胸膜相连,考虑腺癌
毛勤香:边界清晰磨玻璃,月牙铲,支持LPA或IAC
若尘:右肺胸膜下亚实性结节,磨玻璃边界清,月芽铲,血管集束,局部胸膜凹陷、增厚不明显,老年女性,考虑腺癌
流心明智:
晨读:62岁女性,体检发現肺结节。胸CT:右肺MGGN,边界清楚,月牙铲,邻近胸膜增厚,血管集束,脐凹?考虑腺癌。鉴别隐球。


南边老师解读

南边:
患者,女性,62岁,退休工人。体检发现右上肺占位1周,病史没啥特殊。8年前因“甲状腺结节”行双侧甲状腺切除,这个时间长了一点,也价值不大。
定位:上叶后段





南边:还是蛮大的,超过2cm密度:实性?mGGO?pGGO?
GGO边界:清楚?不清楚?
边缘是否有收缩力?
内部结构是否杂乱?
金豆 :月牙

南边:边缘膨隆

南边: 支持恶性,腺癌可能性大
荷塘月色:
曹主任近期千聊的课件上就有“月牙铲”的解释及图片

生来征服~浪子:这个病灶局部胸膜感觉是增厚的,腺癌怎么解释?可以这样是吧?
南边: 牵拉为主,可以这样,需要更细致的图像。
晨读结果




病例小结
 1、临床病史:老年女性,体检发现,病史无特殊。既往史及个人史似乎与肺内病灶关系不大。实验室检查结果包括肿瘤标志物全部阴性。
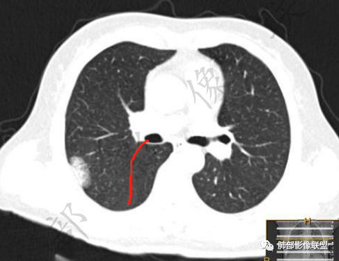
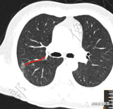
 2、影像所见:右肺上叶后段混合密度磨玻璃影mGGN,整体膨隆为主,局部收缩,局部边缘可疑月牙铲。周围磨玻璃影边界清楚,边缘分叶,细细观察这种清楚的弧形边界,与小叶间隔是否高度契合?! 
      结节内血管影增粗。病灶附近血管纠集,临近胸膜轻度增厚,叶间胸膜轻度牵拉移位。综合考虑恶性,腺癌可能。(局部胸膜增厚,考虑为肿块局部牵拉为主造成的)。
 3、鉴别诊断:本例最需要鉴别的就是隐球菌感染,支持点有病灶位于胸膜下,长轴似乎平行于胸膜,周围有磨玻璃样晕征。不支持点是周围磨玻璃影边界清楚,这一点更支持腺癌。

相关链接:
【王兆宇课堂】腺癌的影像与病理分析
【每日晨读】善恶一念间
【每日晨读】“恶”贯满盈的肺结节



编辑:杨新娟、赵永兵
审核:徐  晓
病例提供:江苏省江阴市中医院 李易航
到顶部