【每日晨读】年年岁岁“影”不同,岁岁年年“病”相识



     在美景如画的自然里,你会把自己的身心整个溶入其中,用心去聆听大自然的声音,那是动听的回响,那是动听的旋律,那是大自然为我们人类谱写一首首新的乐章。
01
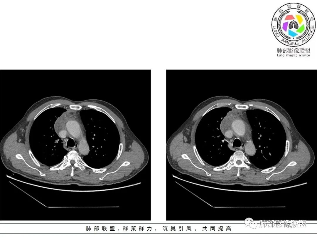
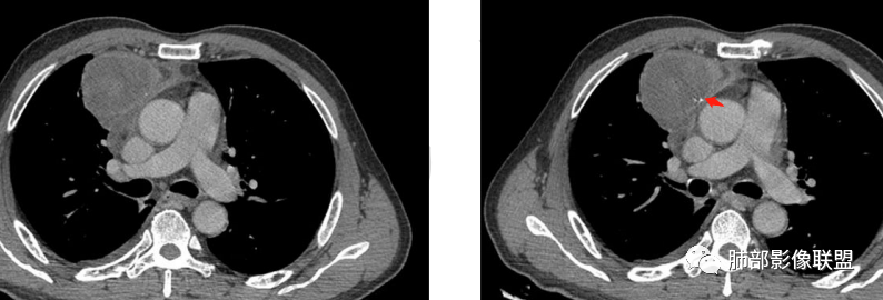
病例资料
















































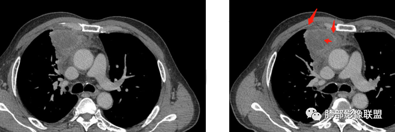
小赵:这个是3月15日的视频
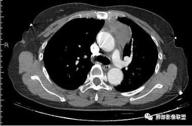
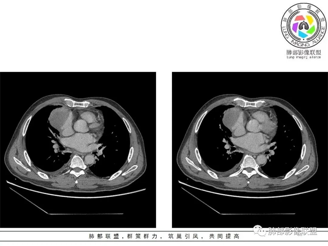
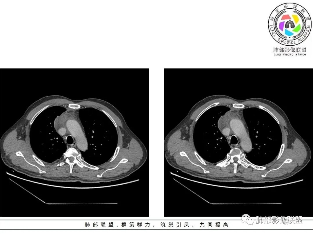
小赵:第二个是3月19日的视频
02
讨论分析
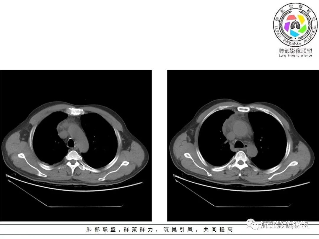
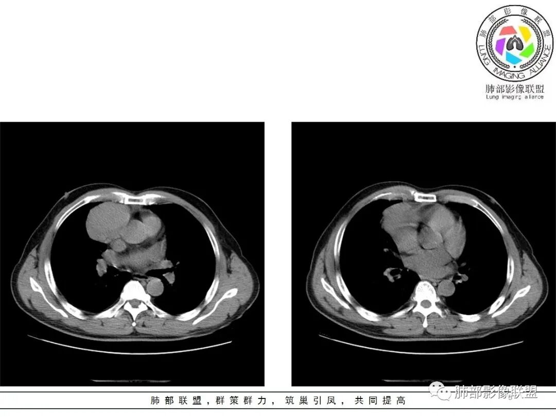
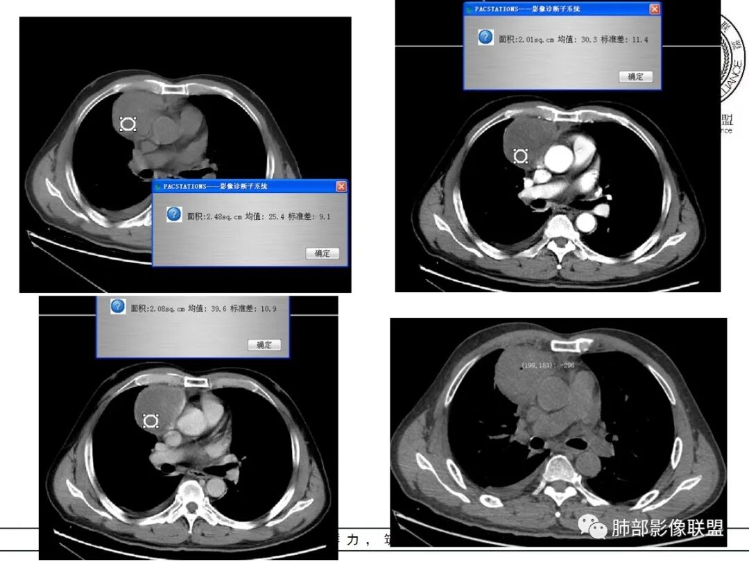
大雄:老年男性  急性起病 胸痛1天前纵隔占位伴右侧少量胸水,肿块整体膨隆,密度不均匀,可见坏死,纵隔脂肪间隙模糊不清常规考虑胸腺瘤/癌并梗死
一切∮随缘:定位肺外,病变位于右前纵隔,与肺部交接面清晰,有胸膜尾征,心包局部受压,部分包绕主动脉血管,平扫密度均匀,形态规则,膨胀性生长,增强扫描壁有强化,内容物无明显强化,考虑1:淋巴瘤2:胸腺瘤3:神经鞘瘤4:支气管囊肿
亚东:前纵隔囊实性肿物,形态尚规则 ,与心包分界不清,内可见小气泡,嚢内平扫密度低,强化不明显,囊壁强化,右胸腔积液,淋巴结肿大不明显,化验白细胞高,支持囊肿伴感染。
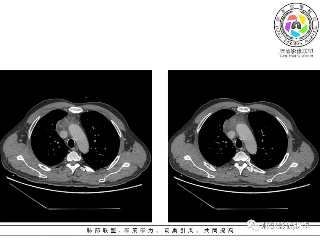
小强:前纵隔肿块,边缘模糊,其内有点状气体影,环形强化(肉芽肿?),心包胸膜受累,疾病谱:胸腺瘤(一般是侵袭性胸腺瘤累计心包,胸膜,强化不符合)淋巴瘤,生殖细胞瘤(年龄,AFP不高不负),考虑畸胎瘤,囊性畸胎瘤合并感染,边缘模糊,累计心包胸膜,3.19病变进展,胸腔积液,可能有破溃
采莲:老年男性,胸疼病史,右上前纵隔肿块,边缘光滑,平扫内部密度稍均匀,轻度强化,内有低密度区,与支气管关系不大,右侧少量积液。考虑来源纵隔,老年男性,胸腺瘤或胸腺癌,鉴别淋巴瘤。
冥冥之中:定位,右前纵隔
定性,肿块边缘模糊,右侧胸腔积液,上腔静脉边缘侵袭,恶性
年龄68常规考虑胸腺癌,但是里面有脂肪成分,周边有钙化,畸胎瘤不能排除
综合考虑,前纵隔恶性病变,畸胎瘤>胸腺癌
廖鹏飞:

廖鹏飞:定位右前上纵隔没问题吧
廖鹏飞:

廖鹏飞:可疑胸腺动脉进入肿块
廖鹏飞:考虑胸腺瘤合并感染,畸胎瘤待排
修*:前纵隔偏右侧肿物,点状钙化,轻度强化,伴胸腔积液,考虑胸腺瘤B2型。
岁月:男性,68岁,右胸痛一天,无家族史,右上中叶纵膈旁占位;抽烟50年,3天1包。wbc高。与纵膈脂肪间隙不清,胸水,快进快出 分叶,有血管样强化,9.1-11.4-10.9。诊断:错构瘤,似乎都符合;但如果恶性放在前面,肉瘤、恶性。鉴别:错构瘤、侵袭性胸腺瘤;处理:经皮肺活检、手术。
王秀仙:右侧前纵膈肿块,密度不均,局部边缘可见点状钙化,其内可见点状低密度,与纵膈血管间脂肪间隙消失模糊,右侧胸腔积液,考虑纵膈畸胎瘤或皮样囊肿破裂。鉴别胸腺鳞癌。
必有路:老年人,右前纵隔占位,发病前纵隔脂肪干净,突发起病伴胸痛,白细胞增高病灶整体密度较为均匀,内有点状脂肪密度,位置个人觉得理胸腺区有点偏下,大部分囊性为主1、胸腺瘤伴突发梗死  突发起病,老年男,不支持点,位置偏下,囊变坏死太彻底,右侧胸廓内动脉没有增粗(实性肿瘤,往往会有间接供血增粗)倾向支持囊性病灶合并破溃感染2、囊性畸胎瘤伴破溃  影像上可以支持,脂肪含量比较少,发病年龄不太支持3、 皮样囊肿 可以有脂肪密度4、 支气管囊肿 理论上胸廓内都可以发生,肺内 后纵隔多见 张力大 圆5、心包囊肿  中纵隔更为多见综上,皮样囊肿>囊性畸胎瘤>胸腺瘤
03
南边老师解读
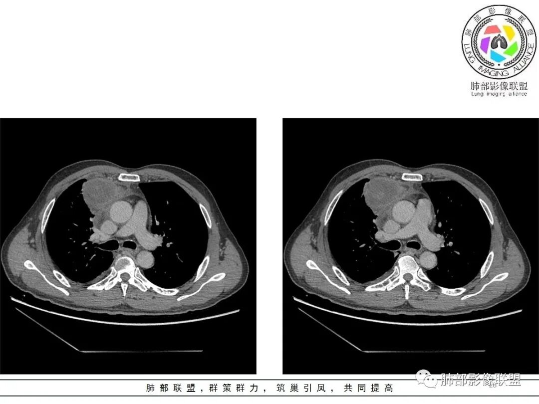
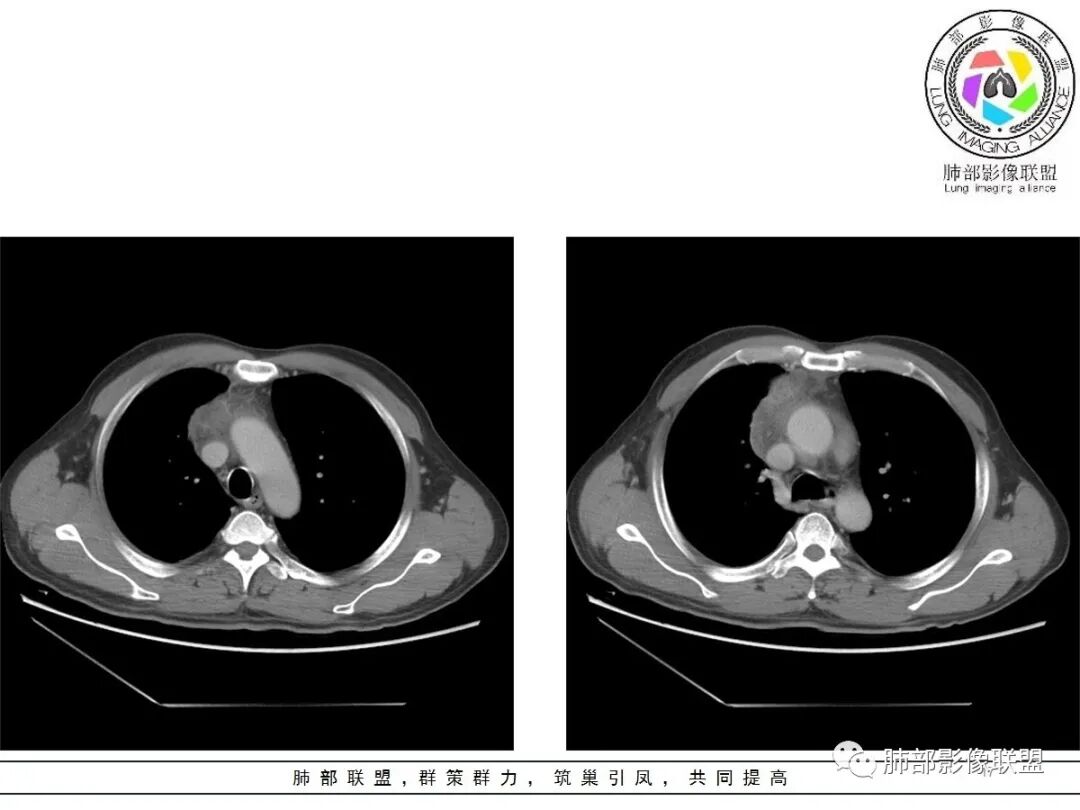
南边:这病史有价值吧

15日入院


周围脂肪间隙密度增高,内部小点状很低密度影
右侧少量胸水
19日,4天后, 内部低密度影有,周围渗出增多,胸水增多


薄膜状强化





影像上周围病灶变化明显
常规肿瘤侵犯不支持,太快
应该是炎性病变渗出
脂肪密度明显,还有钙化、囊性病变,支持含脂质类病变破裂
周围是化学性炎症或出血所致
后期强化,可能与炎症有关
可能:1、肿瘤或瘤样病变破裂出血或内部物质外溢所致2、炎性病变所致
对比一下:

肿瘤样病变破裂所致纵隔炎应该没错
南边:肿瘤或肿瘤样病变破裂所致纵隔炎,这是大方向


不连续
04
病例结果
结果:符合B型胸腺瘤伴出血,坏死囊性变,局部脓肿形成


05
                            病例总结                        
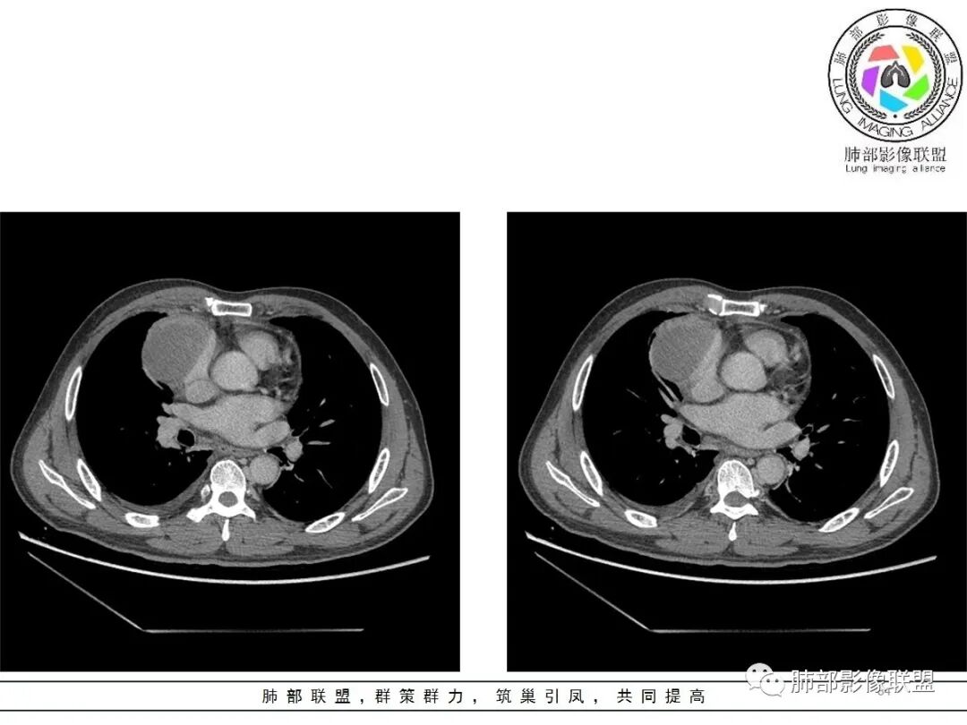
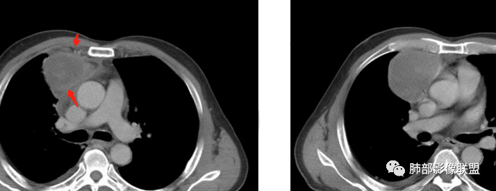
1.老年男性  急性发病 胸痛1天
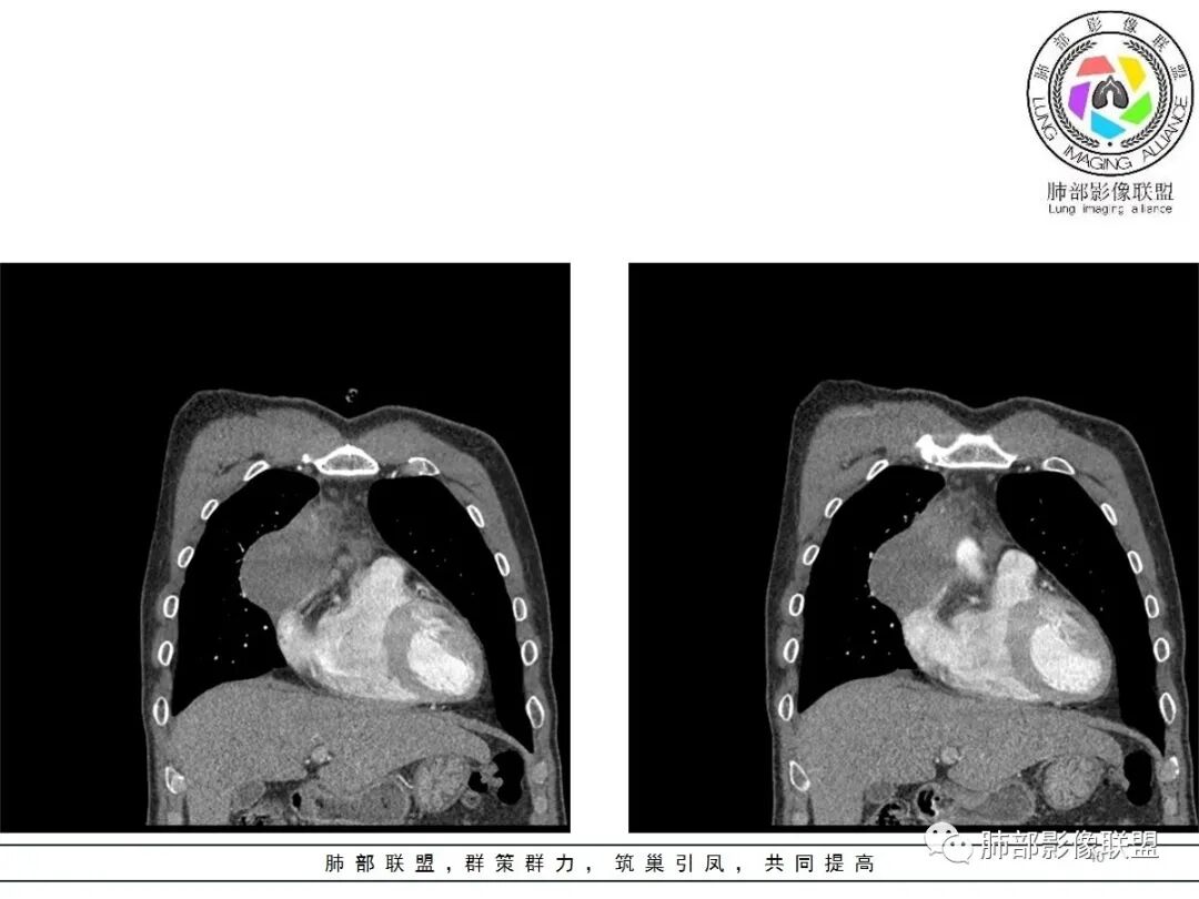
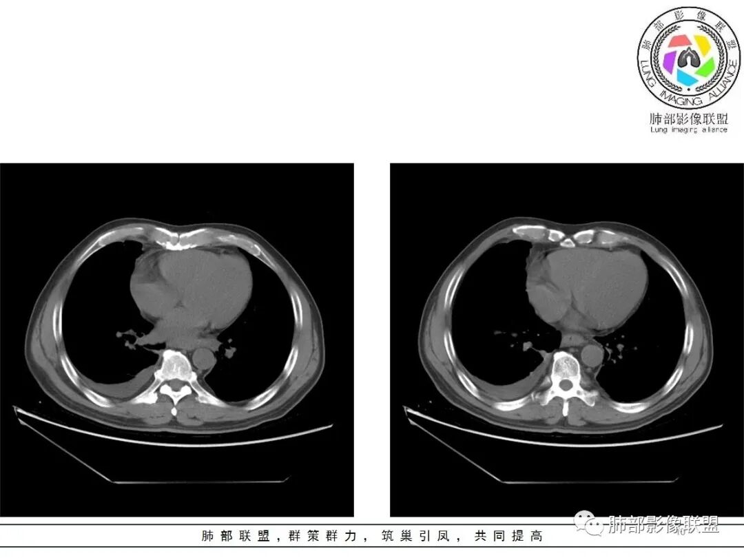
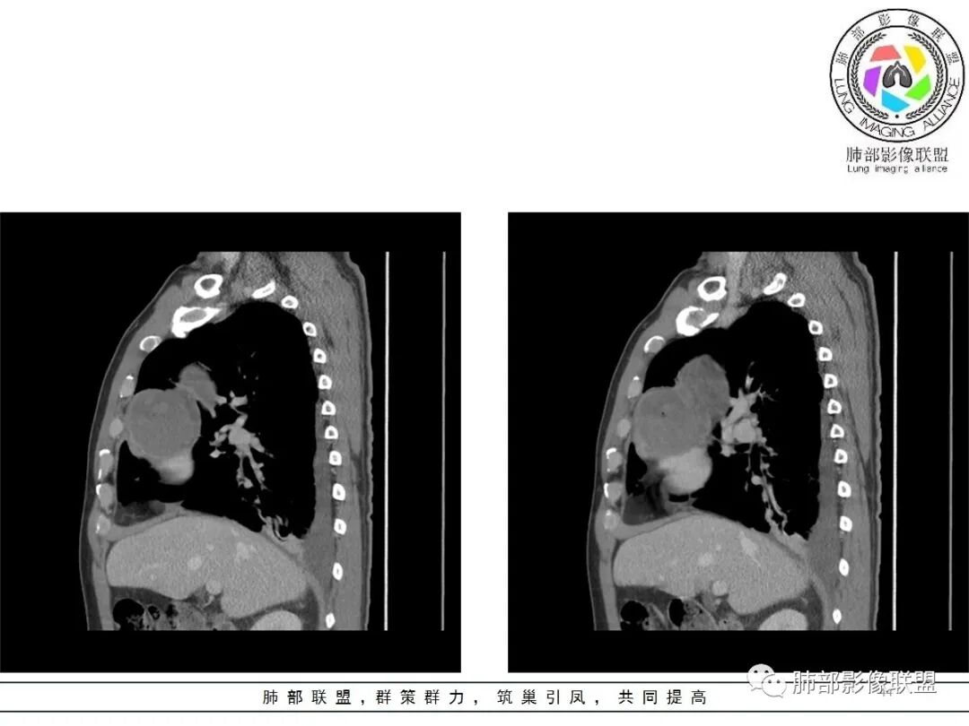
2.胸膜掀起,右侧内乳动脉略增粗,定位右前上纵隔内占位。
3.右上纵隔囊实性占位,边界清楚。中央见点状脂肪密度影,边缘见一点状钙化影,增强不均匀环形强化。
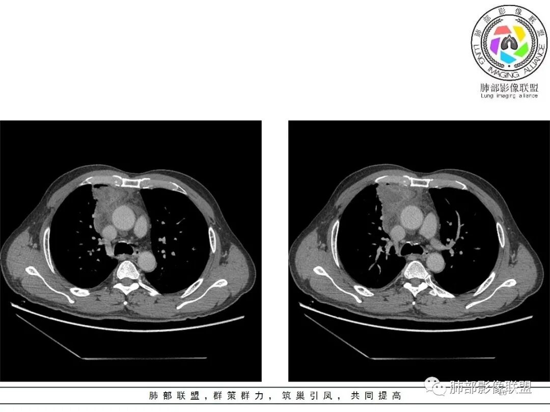
4.四天内病灶变化快,块影增大且不规则,包膜似不完整,边界不清,上份可见浸润或渗出,与周围心脏大血管及心包等间隙不清。胸水增多。
5.未见明显淋巴结增大
第一次的检查符合胸腺瘤影像学改变,短期内的形态学改变及突然出现的边界模糊或浸润等,符合出血或炎症。
1


06
相关知识
        伴有自发退变特征的胸腺瘤临床病理特点及文献复习              探讨具有自发退变特征——广泛出血坏死囊性变的胸腺瘤的临床病理学特点,以提高对具有此类少见特征的胸腺瘤的认识。
    胸腺瘤是前纵隔最常见的原发性肿瘤,男女比例为1∶1,发病高峰年龄在40~50岁,常伴有重症肌无力。胸腺瘤 WHO 分型为 A、AB、B、C 型,其中 A型和 AB 型为良性肿瘤,B 型包括 B1、B2、B3 三型, B1型为低度恶性,B2型为中度恶性,B3型和C型胸腺癌均为高度恶性,侵袭强,预后差。胸腺瘤组织形态学可伴有局部微囊变性,但胸腺瘤肿瘤区域出现广泛凝固性坏死、出血及囊性变则很少见,目前国内仅有 3 例报道,国外仅有少数文献报道。有学者将“广泛出血坏死、囊性变”描述为具有“自发退变”特征的胸腺瘤。现回顾性分析收治的 2 例具有“广泛出血坏死、囊性变”胸腺瘤的临床病理特征,并结合相关文献进行复习。
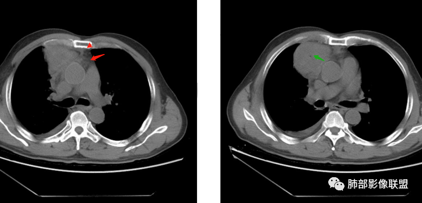
    例 1,女,61 岁,因突发胸痛 1 周于 2013 年 3 月11日入院,增强CT示前中上纵膈占位,考虑胸腺瘤可能,左侧少许胸腔积液。箭头所示与左侧胸膜紧密粘连(图 1)。患者有 10 年高血压病史,高血压 3 级,极高危组。无肿瘤病史,无重症肌无力、低丙种球蛋白血症等临床体征。于同济大学附属同济医院进行了肿瘤切除术,术中发现肿瘤位于前上纵隔,与左侧胸膜紧密粘连,难以分离,切除肿瘤及粘连的部分胸膜。

例 2,男,65 岁,2015 年 2 月因“胸 痛、发热半月”入院,增强 CT 示前纵膈肿瘤,大小7.1 cm×7.0 cm×2.0 cm,考虑胸腺瘤可能(图 2 箭头所示肿瘤位置)。患者无高血压及肿瘤病史,无重症肌无力、低丙种球蛋白血症等临床症状。行手术切除,完整切除肿瘤及纵隔脂肪组织。→

 2 结果2.1 大体病理例 1,纵膈肿瘤:大小 7.5 cm×7.0 cm×4.5 cm,包膜不完整,切面多囊性,囊内含灰黄色坏死样物,其余组织灰红灰白色,质地中等。另左侧胸膜肿块:灰红色碎组织总大小5 cm×3.5 cm×0.6cm,质中。例2,纵膈肿块:大小7.0 cm×6.5 cm×2.2 cm,包膜不完整,切面多囊性,囊内含灰黄色坏死样物,周围附脂肪组织4.0 cm×3.0 cm×2.0 cm。
3 讨论胸腺瘤起源于胸腺上皮细胞,是前纵隔最常见的肿瘤。胸腺瘤病因未明,成人多发,儿童很少见。根据上皮细胞形态及上皮细胞与淋巴细胞的比例,把胸腺瘤分为 A 型、AB 型、B 型(B1、B2、B3) 和C型(胸腺癌)。临床常用Masaoka分期来判断疾病的进展和预后,胸腺瘤治疗主要有手术治疗、放射治疗和化疗等。胸腺瘤伴有局部微囊结构比较常见,但肿瘤组织出现大片的凝固性坏死,广泛出血囊性变,仅残留少量的肿瘤细胞,这种形态特征很少见。查阅以往文献也仅有几篇相关报道,目前WHO胸腺瘤分类中还没有把具有这种特征的胸腺瘤归为新的一类。Wright 等[1]和 Hori 等[2]回顾分析并报道了4例伴有广泛凝固性坏死及出血的胸腺瘤(WHO 分型为 B1,B2,B3 和 AB 型),患者出现严重的胸痛,临床上容易误诊为淋巴瘤和侵袭性胸腺瘤 ,分 别 随 访 9~90 个 月 ,这 些 患 者 预 后 良 好 。Moran[3]报道了 25例具有显著出血囊性变及坏死的胸腺瘤,患者年龄18~73岁,中位年龄45.5岁,男性14例,女性11例,9例患者无临床症状,16例患者出现胸痛、咳嗽。随访了 14 例患者,随访时间 1~18年,中位随访时间 9年,11例患者健在,无肿瘤复发和转移,3例患者死于其它疾病。和其它肿瘤不同,胸腺瘤伴有广泛坏死并不象征肿瘤恶性程度增加和病程进展。这种广泛坏死可能与血管畸形,动脉管壁增厚、管腔狭窄、血栓形成所致的血供不足有关。本文总结的例1胸腺瘤广泛坏死区周边囊壁出现了多个管壁玻璃样变性、增厚的畸形血管,管腔扩张,加之患者有 10 年高血压病史,出现的这种坏死可能与血管病变导致的血流动力学异常有关。此外,Gray[4]和 Okagawa 等[5]也分别报道了 1 例 B2 胸腺瘤出现广泛坏死,肿瘤退变,胸水消失。肿瘤发生退变可能与患者体内类固醇激素的水平改变有关。肿瘤出现的广泛出血坏死、囊性变这些形态学特点可能是胸腺上皮细胞和微环境相互作用所致的炎症反应性改变,这种坏死可能是一种梗死。国内报道的具有这种广泛坏死囊性变特征的胸腺瘤较少,目前仅有3例报道。李剑[6]报道了2例胸腺瘤伴有广泛凝固性坏死,病理诊断为 B2 和 B3型胸腺瘤,随访 10 个月和 8 个月,患者均无复发和转移。白锡山等[7]报道了 1 例右上纵隔巨大胸腺瘤·199·Surg Res N Tech Vol.5 No.3 Sep,2016坏死继发囊肿,起初被误诊为肺结核。因此,伴有广泛坏死囊性变的胸腺瘤一定要广泛取材,以免漏掉残存的少量肿瘤组织,导致误诊漏诊。本研究复习了我院 2008 年至 2015 年所有的胸腺瘤、胸腺癌病例,发现了 2 例具有所谓的自发退变特征的胸腺瘤,其中 1 例有胸膜侵犯,Masaoka 分期Ⅲ期,随访 28 个月,预后良好。这种侵袭性胸腺瘤出现的广泛出血坏死、囊性变是否真正代表肿瘤发生退变及良好的预后,尚需要更多的临床资料积累及延长随访时间评价这类患者的预后。具有这种特征的胸腺瘤少见,影像学检查发现的前纵隔巨大肿瘤伴有胸膜、心包膜侵犯或出现胸水,可能诊断为恶性进展期胸腺瘤,不能进行手术治疗。但在临床工作中,我们要把这种带有“自发退变”特征的胸腺瘤考虑到鉴别诊断中,以免延误患者治疗。具有这种形态学特征的胸腺瘤切记一定要广泛取材,以免漏诊误诊。
摘自:外科研究与新技术 2016年9月第5卷第3期
伴有自发退变特征的胸腺瘤临床病理特点及文献复习
韩 非1,郑少强2,朱旭友1,吴运瑾1,邱维喆1,易祥华1 
1.同济大学附属同济医院病理科,上海 200065; 
2.同济大学附属同济医院放射科,上海 20006   




编辑:杨宏刚
审核:徐  晓
病例提供:惠州市第一人民医院放射科 赖海辉
到顶部