【每日晨读】衰年正苦病侵凌,柳暗花明又一村......




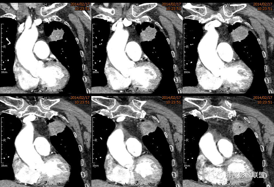
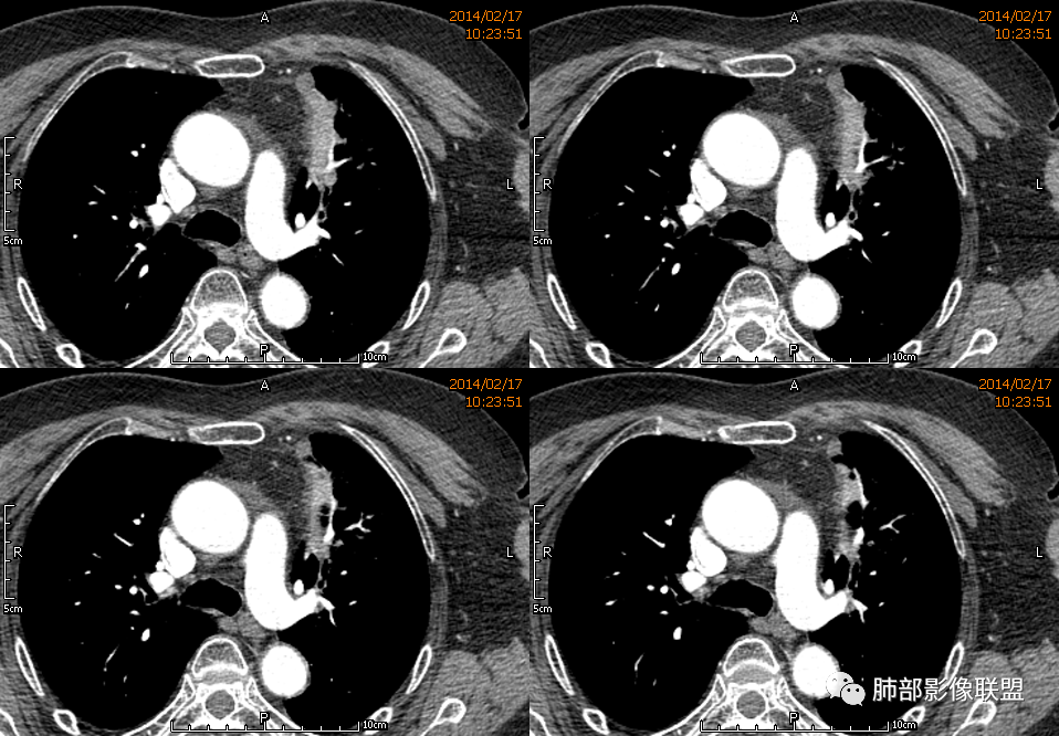
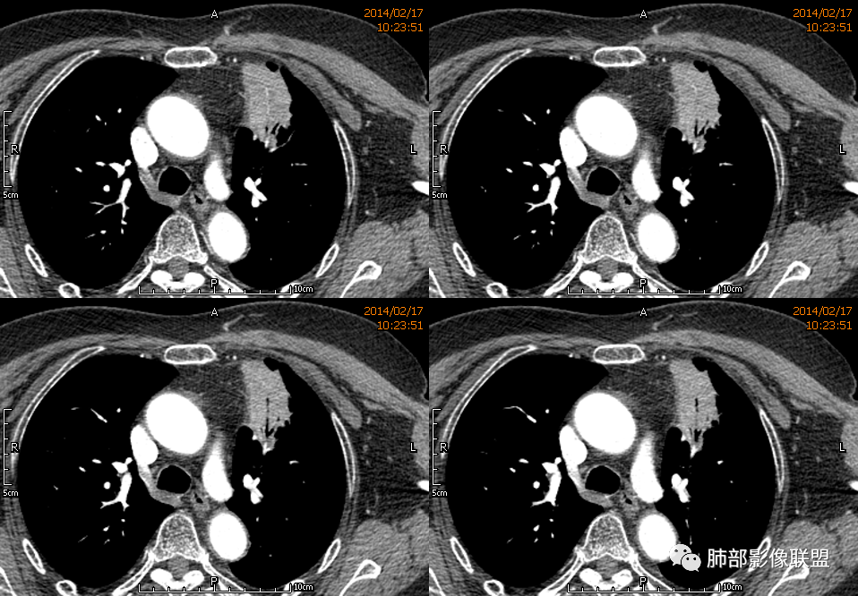
病例资料







  



























微信群讨论
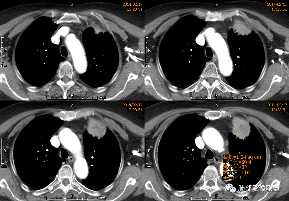
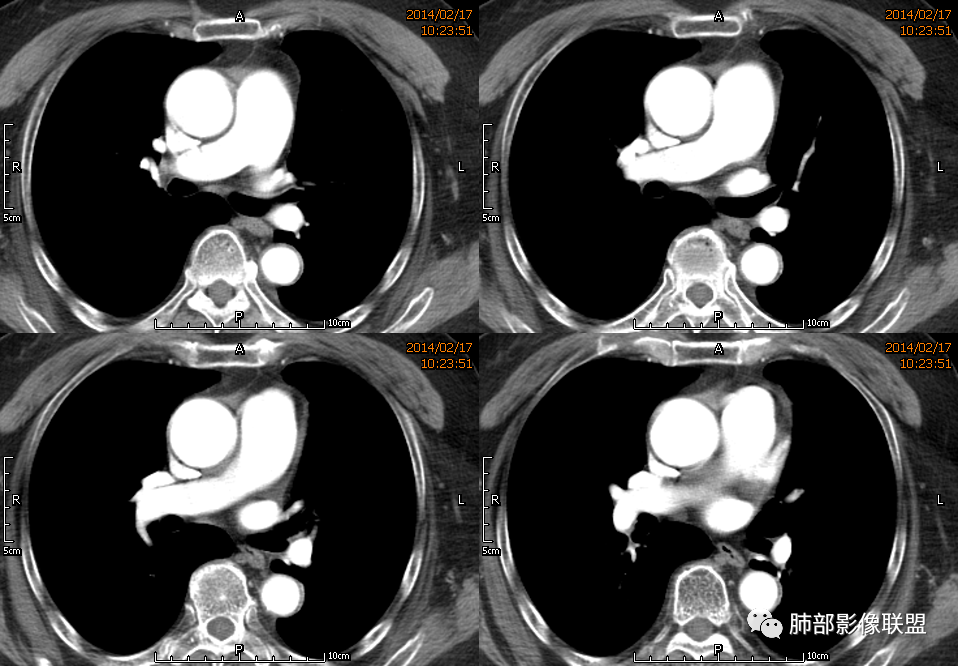
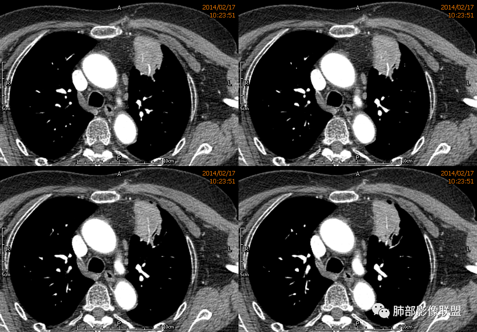
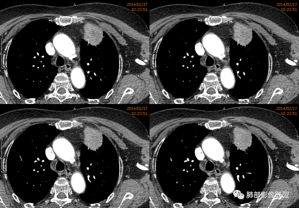
薏米: 老年女性,急性起病,咳嗽,咳痰,咯血,白细胞低,胸部CT提示左肺上叶可见一团块样密度增高影,边缘平直,部分略有膨隆,内可见支气管进入后截断,小的空洞,血管造影,坏死,明显强化,周边可见少许索条,考虑炎性病变,肺脓肿可能。鉴别结核,隐球菌。
 
一切∮随缘: 定位:肺内,左肺上叶肿块,呈长条状,平行血管束生长,边缘分叶,平扫密度均匀,增强后不均匀强化,可见低密度坏死,近段支气管及血管穿行病灶内,远端堵塞支气管,血管似有破坏,周围散在点状小结节,及纤维索条影,考虑恶性:腺癌,类癌,淋巴瘤。鉴别结核及隐球菌。
 
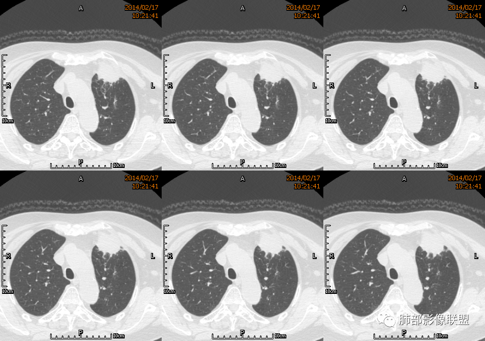
红星: 老年女性,咳嗽咳痰10天,痰中带血4天。左肺上叶前段胸膜下肿块影,沿支气管方向走行以膨胀生长为主,局部有收缩改变,支气管血管绝断,中间有小片状的坏死及小的空洞影,增强扫描病灶明显的强化,病灶周围网格状的小叶间隔增厚。拟左肺上叶前段浸润型腺癌并癌性淋巴管炎。鉴别诊断结核肉芽肿。
 
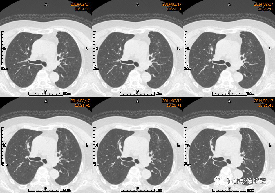
秦化君: 左肺上叶前段胸膜下软组织密度肿块影,边缘清晰,部分边缘膨隆,纵隔缘弧形内凹,脂肪界面清晰。肿块中心密度减低,支气管进入病灶后截断,似有扩张表现,病灶周围可见小叶间隔增厚,斑片影,近端支气管似管壁增厚。增强后明显强化,中心见低密度区。考虑:1.肉芽肿性炎?2.IMT?3.淋巴瘤?
 
傅昌瑜: 老年女性,咳嗽咳痰10天,痰中带血4天。左肺上叶前段胸膜下肿块影,沿支气管方向走行,膨胀生长为主,局部边缘似有收缩改变,中间有小片状的坏死,支气管进入,增强扫描病灶明显的强化,血管走形较自然(血管漂浮征?),病灶周围网格状的小叶间隔增厚。考虑淋巴瘤可能性大,注意鉴别炎性肉芽肿及肺腺癌。
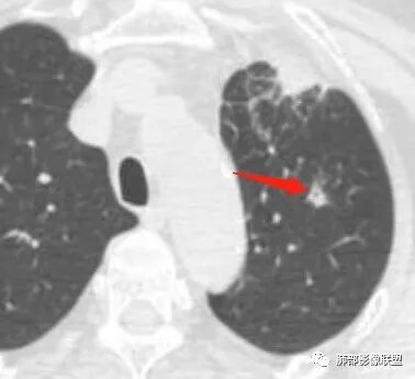
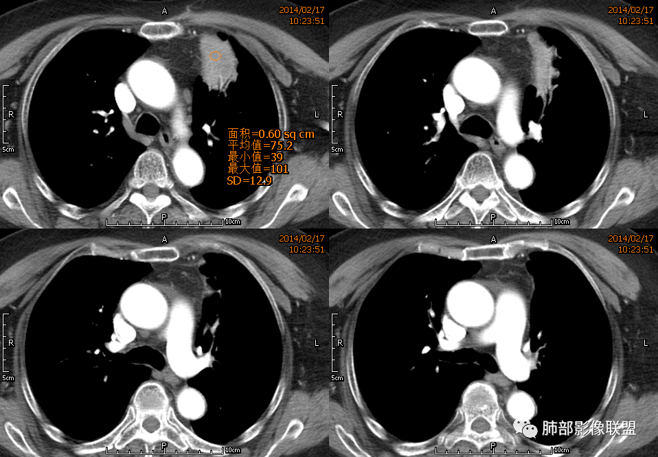
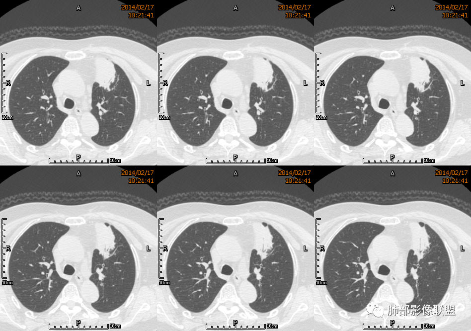
水晶石头: 患者老年女性,咳嗽咳痰10天,痰中带血4天余。查血常规白细胞低;肿瘤标志物、凝血功能正常;血生化:蛋白低;C反应蛋白、血沉稍升高。胸部CT:左肺上叶前段胸膜下沿气管支气管走形肿块影,长轴与胸膜平行,见分叶、毛刺、支气管截断、空泡征象。增强明显强化,且见血管造影征及病灶内小灶低密度坏死区。左肺上叶尖后段见一结节灶。综合考虑恶性病变可能大,腺癌或淋巴瘤可能。鉴别诊断肺脓肿。
 
尘缘: 老年女性,咳嗽咳痰10天,痰中带血4天,白细胞及中性粒明显减低,轻度贫血。影像表现:左上叶肿块,边缘膨隆,局部平直,支气管稍扩张,进入后远端堵塞,内见小空洞及不规则坏死区,增强后强化明显,坏死边界较清,并见环状强化区,内部血管走行自然,周围见小叶间隔增厚呈大网格征。初步诊断:慢性炎性伴脓肿形成及肉芽组织增生。鉴别淋巴瘤及腺癌,先抗炎治疗后复查或直接穿刺明确。
  
张延军: 左肺上叶前段软组织影,偏下缘见充气支气管,部分支气管壁与肿块近端增厚狭窄。实性部分见血管穿行,边缘平直并局限性凹陷,增强扫描内见斑片状低密度区,界不清,实性部分中度强化,病变外宽内窄,基底贴于胸壁,周围肺组织内见条片状密度增高影,考虑炎性,结核?腺癌待排。
 
毛勤香: 老年女性,左肺上叶胸膜下肿块,部分膨隆部分收缩,边缘毛糙模糊,周围少许索片状影,小叶间隔增粗,支气管进入后截断,增强扫描明显不均匀强化,内低密度区无明显强化,血管走行尚可,首先考虑感染性变并脓肿形成,鉴别淋巴瘤,建议抗炎后复查。
  
宇宙星空: 外大内小,近端支气管壁增厚,爬树征,内部坏死不均匀,都比较典型了。支持结核,鉴别炎性肉芽肿、慢性脓肿。

王崇军: 老年女性,咳嗽咳痰10天,痰中带血4天。左肺上叶前段胸膜下 肿块影及段形态密度增高影,沿支气管方向走行,膨胀生长为主,局部有收缩改变,支气管进入并闭塞,中间有小片状的坏死及小的空洞影,空洞漂浮在坏死边缘,增强扫描病灶明显的强化,坏死边界清楚,似乎有轻度强化环,病灶周围网格状的小叶间隔增厚及小结节影,外侧胸膜呈糊墙改变。考虑为肺脓肿,这么大的病灶,竟然没有发烧,白细胞低,CPR轻度升高,均与脓肿不符,所以恶性待排,短期抗炎治疗后复查,病灶没有变化,脓肿就可以排除,恶性基本可以确定。
 
空格: 临床特点:老年女,血糖略高,低蛋白血症,白细胞低,提示有免疫下降的存在。机会性感染存在机会。黄浓痰一般常见于炎性病变,痰中带血则肿瘤多见,两厢pk,觉得黄脓痰胜,除非肿瘤继发感染一般不会黄脓痰。影像:一 、良性征像:1.病灶整体是个尖端指向肺门的三角形病灶;2.胸膜平直,胸膜外少量液体糊墙;3.支气管未见明显截断,内壁毛糙?4.近端支气管弥漫性增厚,结核脓痰咯出,看做引流支气管;5.多个层面病灶呈直边征,多角征,无明显分叶;6.病灶内坏死边缘光整,伴小气泡。小叶间隔增厚光滑锐利,无结节,不太像癌淋。二、恶性征像:部分层面向胸膜外突,略有占位效应。总体考虑感染性病灶,霉菌可能。结核抗体阴性,可以排除?
 
刘和林: 老年女性,咳嗽咳痰10天,痰中带血4天。左肺上叶前段胸膜下 肿块影,沿支气管方向走行,膨胀生长为主,局部边缘似有收缩改变,中间有小片状的坏死,坏死区内见小气泡,支气管进入、部分填充、部分末端稍显扩张,增强扫描病灶明显的强化,周围肺不干净,其上肺见小叶间隔增厚。肺癌、淋巴瘤、炎性肉芽肿?肺癌:支气管末端稍扩张,周围类似树芽征改变,不太符合。淋巴瘤:数个小气泡,明显强化,周围树芽征样改变,不太符合。
 
王武章: 灶内低密度,花环样强化,血管穿行漂浮,邻近胸膜并未广泛增厚也未牵拉但接触面脂肪密度略高且模糊。考虑IMT,鉴别慢性炎症相关的非特异性瘤样病变。

南边老师分析


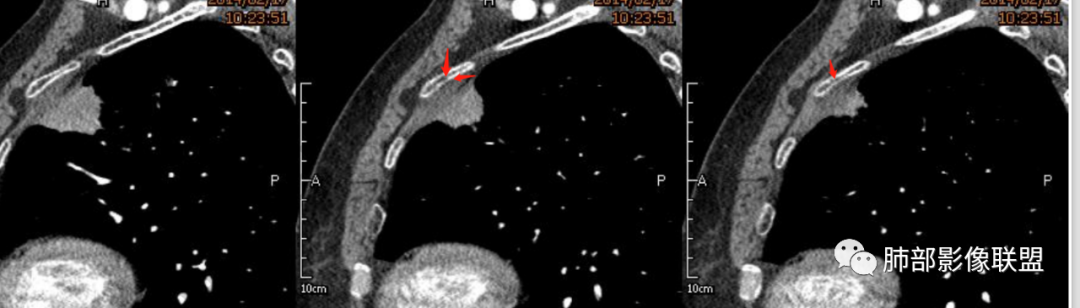
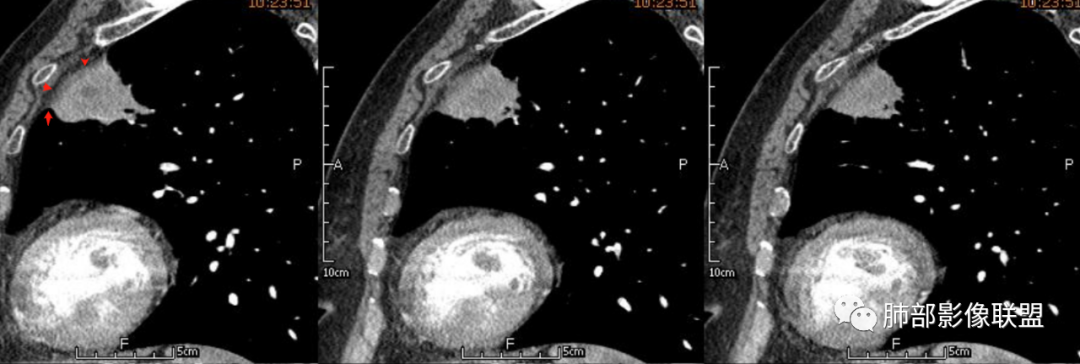
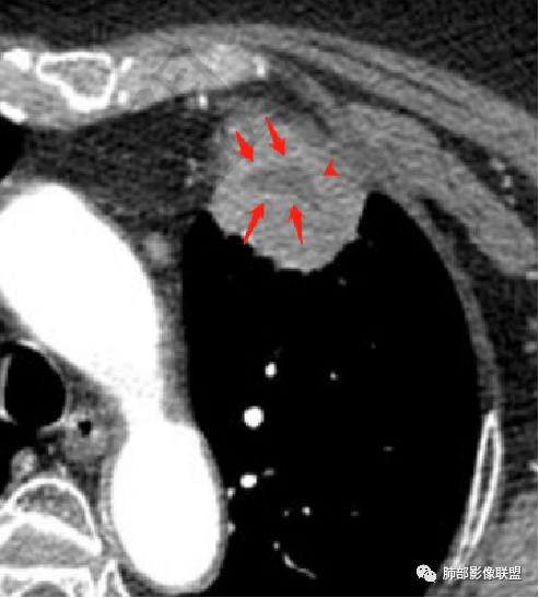
宽基底,附近胸膜增厚,边缘平直
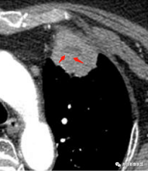
支气管通畅
血管走形自然
坏死灶边界清附近卫星灶
意见:支持炎性。治疗后复查以排除恶性病变隐藏其中
病  例  结  果


病例总结
【尹发友老师精彩讨论】
1、坏死区环形强化,指向慢性脓肿。
2、坏死区有血管,基本排除结核。
3、这个卫星灶,更进一步定了大方向,炎性。




              ※综上所述,看到这四幅图,基本能够准确诊断炎性※

知识积累 
【於雄总结】
就是一个慢性非特异性炎症,以前叫炎性假瘤,现在不这么用了,正规一点的病理会报慢性炎症,所以考虑炎性病变的可以算对,但是和炎性肉芽肿又不太一样,肉芽肿是以巨噬细胞增殖为主 ,慢性炎症镜下以中性粒 、淋巴细胞和浆细胞为主。炎性肌纤维母细胞瘤病理的背景应该还是要有肌纤维母细胞性梭性细胞
炎性病变范围>慢性炎症>炎性肉芽肿≠炎性假瘤≠IMT
慢性炎症包括慢性非特异性炎(以前的炎性假瘤)和肉芽肿性炎(巨噬细胞/特异性)
炎性肌纤维母细胞瘤IMT是真性肿瘤 ,是交界性/潜在低度恶性的肿瘤

炎性肉芽肿的疾病谱很窄:
感染  :结核、 真菌;
非感染 :结节病 、 血管炎 、 异物  、类风湿结节以上是常见的。
    

本例小结
影像与临床:
1.老年女性,咳嗽咳痰10天,痰中带血4天。病程较短,临床中毒症状不重。
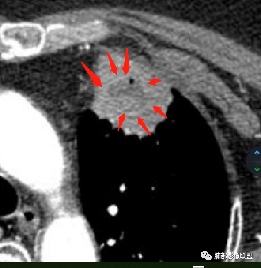
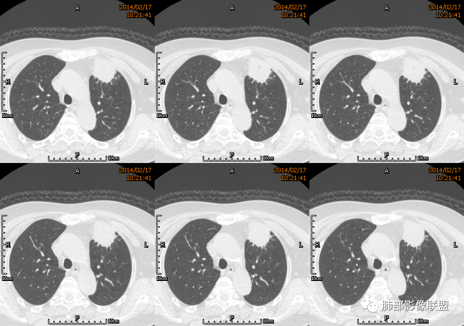
2.左肺上叶前段胸膜下块状影,不规则呈“逗点样”延向肺门区,边界清楚,未见分叶、毛刺及张力,表面不规则棘突,状如“火焰”或“日冕”。相邻胸膜增厚,未见栽赃、卫星病灶。
3.病灶密度不均,中央坏死液化并见气泡影,支气管及血管贴边进入,较均匀环形强化(显示多层结构),未见明确壁结节。
4.肺门纵隔未见肿大淋巴结。

综合分析:
1.块影不规则,未见分叶、毛刺及张力,未见壁结节,肺门纵隔未见肿大淋巴结等,缺少肺腺癌的特征。
2.未见血管及支气管受累,用肺鳞癌不好解释,何况女性患者。
3.病灶易坏死液化,环形强化,支气管及血管贴边进入,“火焰”样边缘轮廓,更符合炎性块影的特点。
4.单发脓肿,临床中毒症状不重,短期多见于肺炎克雷比杆菌感染,亚急性病程的还应排除奴卡菌感染。

编辑:张 慧
审核:蔡笑燕  徐 晓
病例提供者:九江市第一人民医院影像中心 於雄



到顶部