【每日晨读】肺内囊腔隐藏的秘密




每日晨读
每日精彩

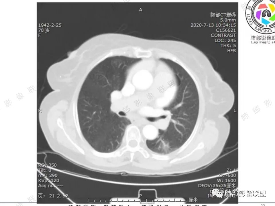
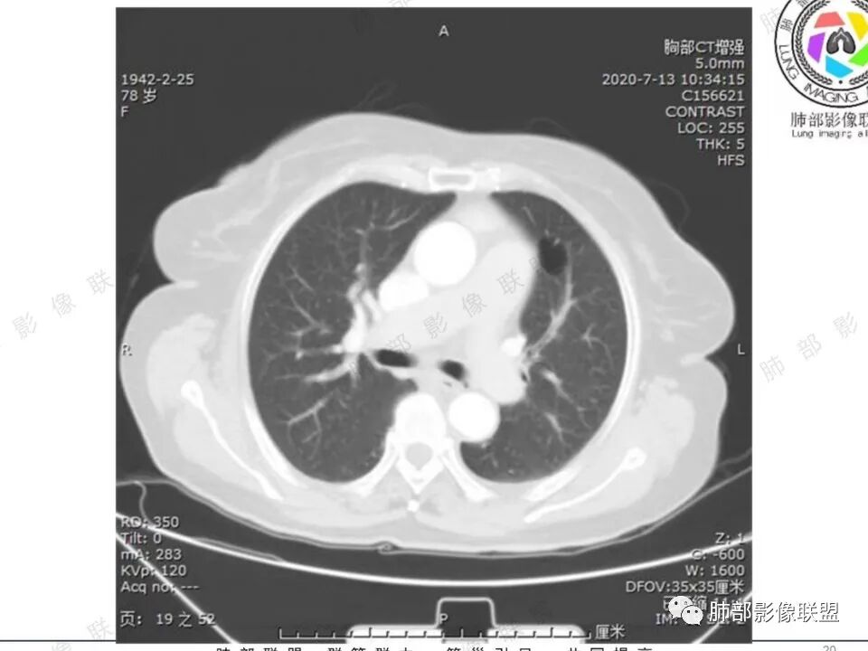
病例一资料








病例一精彩讨论
穿越七海的风: 右肺下叶不规则结节伴空洞,似鬼脸,壁厚度不均,壁内结节,首先考虑恶性,既往甲状腺癌病史,不除外转移。
蔡笑燕: 右肺不规则实性囊腔结节,囊腔内有血管走形和分隔,有分叶,细短毛刺,周围有清晰磨玻璃,胸膜牵拉,考虑IAC。
看图说话: 不规则结节,假大空,壁结节,边缘收缩,胸膜牵拉,周围有分叶,毛刺,伴有清晰磨玻璃影,周围有小结节,考虑肺腺癌,鉴别:1:结核,2,隐球菌。
哦落花时节 (刘朋): 中青年男性,右肺下叶不规则结节,内见多发囊腔,囊腔内壁不光滑,邻近叶间裂明显局部凹陷,有胸膜牵拉,血管聚集,考虑囊腔性腺癌,鉴别转移。
清茶: 青年男性,右肺下叶高密度结节影,有毛刺、分叶,内见空洞,边界尚清,考虑恶性,腺癌可能。
王秀仙: 右下肺 囊腔性结节,囊壁不均匀增厚,壁结节,毛刺分叶,胸膜凹陷,周边有边界清楚磨玻璃影,考虑囊腔型肺癌,腺癌。
心灵鸡汤: 青年男性,有甲状腺癌穿刺活检病史, 右肺下叶不规则囊腔,内壁不光整,似见壁结节,偏远侧见实性结节,病灶边缘可见分叶,毛刺,邻近血管支气管走行不自然,邻近斜裂牵拉,考虑二元,恶性结节,腺癌可能性大,转移、结核待排。
病例一病理结果

病例二资料




























病例二精彩讨论
一切∮随缘:
左肺下叶空洞性病变,洞壁厚薄不均匀,洞壁似见小泡状低密度影,病变宽基底与与胸膜相连,周围伴有磨玻璃影,增强后可见壁强化,边界欠清,周围未见播散灶,左肺上叶纵隔胸膜下肺气囊,老年女性,主要是科室咳痰,咯血无发热,孤立性空洞性病变,考虑:腺癌(囊腔性肺癌),鉴别:隐球菌,放线菌,奴卡菌。
王开金江津中心医院呼吸科:老年女性,糖尿病,咳嗽,咳痰,痰血,无发热,血分析正常,左下叶背段空洞,周围光滑,内有洞丝,壁结节,无卫星灶,考虑肺癌,鉴别结核。
穿越七海的风:老年女性,糖尿病,咳血,左肺下叶空洞性病变,壁薄光滑,空洞内丝状物,壁结节无强化,周围有晕,考虑真菌感染毛霉?鉴别肺腺癌。
丽:老年女性,左肺下叶胸膜下空洞性病变,薄壁,边缘模糊有晕,空洞内不干净,丝丝缕缕,增强后洞壁有强化,有糖尿病病史,考虑感染性病变,毛霉?曲霉?
大雄:左下叶孤立空洞,病灶整体较僵硬,壁厚薄不均,无明显卫星灶,局部强化,倾向囊腔型肺癌。
徐飞:老年女性,咳血,糖尿病,左肺下叶囊腔性病变,内见少许分隔,增强后见部分壁不规则增厚及轻中度强化,纵隔多发肿大淋巴结,考虑囊腔型腺癌,鉴别毛霉菌感染。
必有路:肿瘤指标阴,胃肠道的转移基本不考虑,周围实际上比较干净,感染类的,不符   老年人   毛霉菌往往要有酮症基础,所以,囊腔肺癌>真菌(毛霉)
病例二病理结果


病例总结
      囊腔型肺癌是一种特殊形态的肺癌,病灶边缘或中央存在一个或多个含气的囊腔,其囊腔直径大于5mm(小于5mm的为空泡)、囊壁厚度小于4mm,当影像上难以判断空洞或空腔时,可以笼统定义位于囊腔样病变。囊腔肺癌以腺癌多见,鳞癌少见,早期表现不典型时容易误诊或不被重视。
囊腔型肺癌的可能发生机制:
1.肿瘤坏死液化排出形成的空洞肺癌
2.小细支气管的活瓣作用,使气体容易进入肺泡腔,而不易排出,最终形成含气的囊腔
3.肿瘤细胞沿肺泡壁生长导致肺泡壁断裂,肺泡融合形成含气囊腔
4.原有肺大泡囊壁恶变,形成囊腔和结节
囊腔型肺癌的诊断要点
1.囊壁是否规则,内壁是否光整。
2.囊壁是否存在不规则增厚或伴有壁结节。这有时需要冠矢状位重建观察。
3.囊腔内结构:囊内如果有分隔、支气管及血管穿行应该考虑空腔,而非空洞,这种需要高度怀疑恶性
4.囊腔周围是否有清楚的磨玻璃影,如果有强烈提示腺癌
5.病灶是否有分叶、毛刺、支气管截断、血管集束征、胸膜凹陷征等周围型肺癌的影像征象。应留意同侧肺门及纵隔有无增大淋巴结。
6.动态随访观察:初期囊腔病灶未出现明显恶性征象时诊断有困难,但是仍要引起足够的重视对病灶密切定期随访,如果随访中囊腔增大、囊壁不规则增厚、壁结节增大、囊腔消失呈实性病灶均应及时手术治疗
                     囊腔性腺癌 VS 囊腔性鳞癌
  1. 囊腔型鳞癌少见,约占鳞癌的1-2%,而囊腔型腺癌比较常见; 
  2. 鳞癌的囊腔常为单个较大(有张力,不是空洞),腺癌的囊泡实际上很多基于附壁成份内的肺泡壁断裂;
  3.鳞癌的囊壁硬实(肿瘤组织);
  4.囊腔腺癌周围有清楚的附壁生长成分的磨玻璃影,而鳞癌囊腔周围缺乏这种清楚磨玻璃影;
  5.鳞癌的囊壁一侧有结节(肿瘤组织)或肿块。
                              (摘自王兆宇老师的《肺鳞癌的病理影像学》)
                               

—END—

往期回顾
《【每日晨读】“薄雾空腔”愁永昼,“囊腔粘液”知多少》
《囊腔型病变,腺癌还是鳞癌,你如何选择?》
《跟随大咖一步步揭开一例肺部多发囊腔病变的真面目》
《【每日晨读】黄色预警--警惕囊腔型的病变》
姿势已摆好
就等你点啦
编辑:蔡笑燕
审核:徐晓
病例一提供者:刘远芳
病例二提供者:花垣县人民医院 上官迅涛


到顶部