【每日晨读】富血供孤立肺结节——善恶难辨





























精彩讨论
张三红:
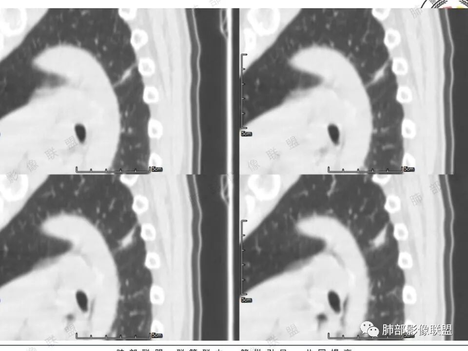
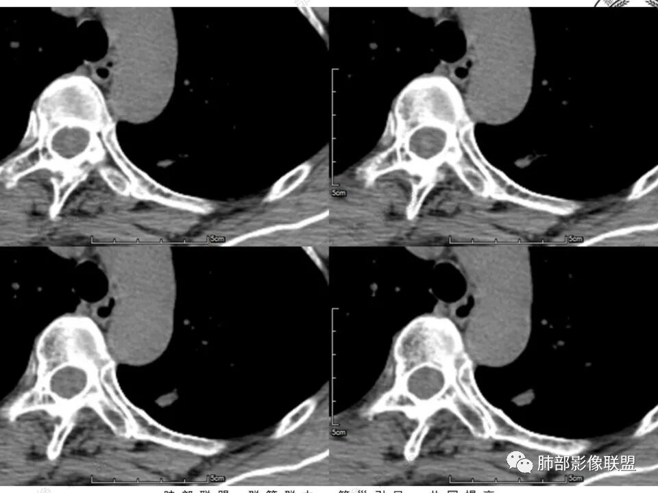
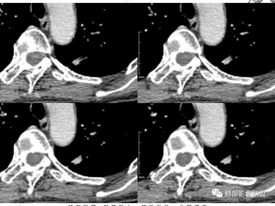
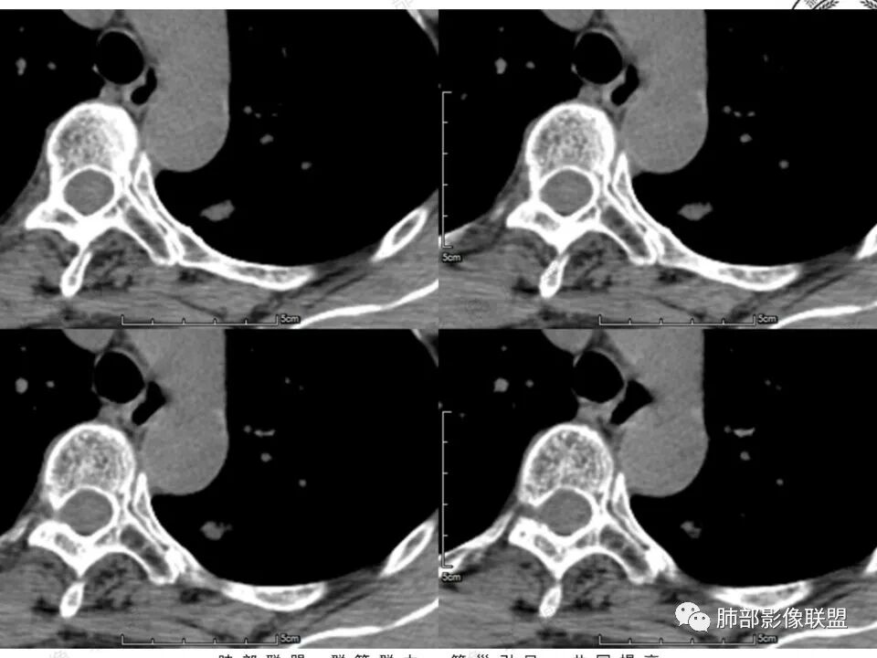
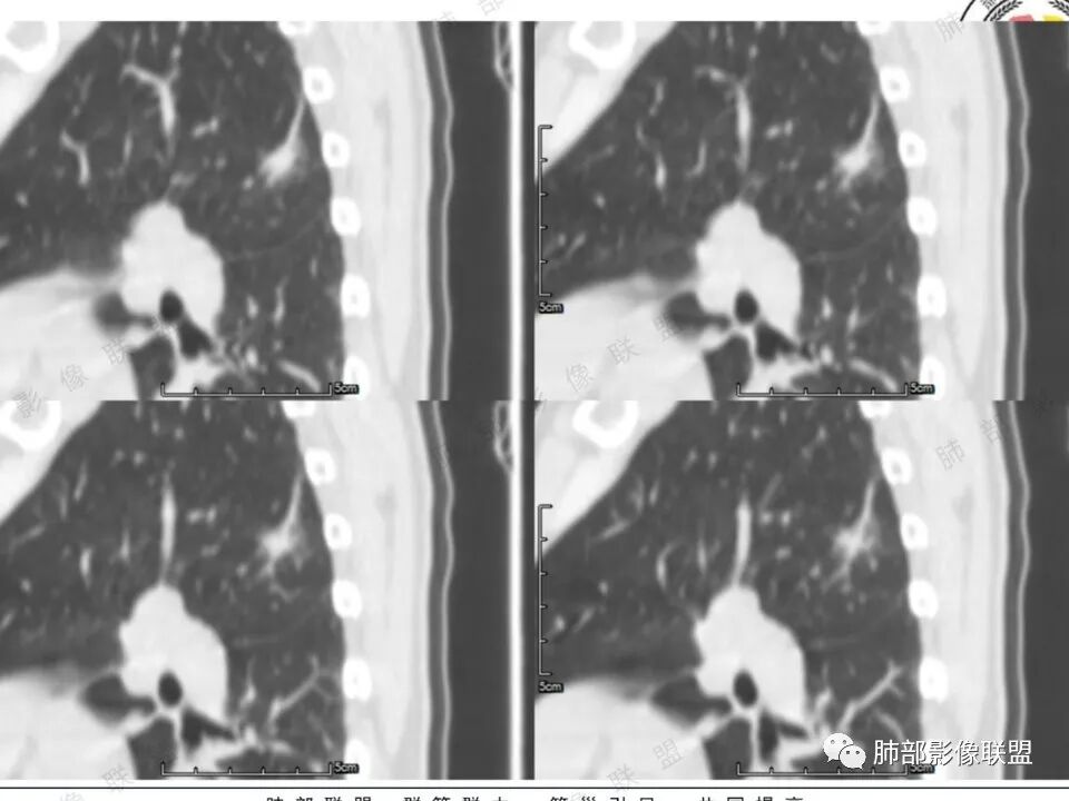
高强化,实性结节,边缘有磨玻璃,有膨隆,斜裂侧偏平直胸膜凹陷,IAC,鉴别炎性肉芽肿
穿越七海的风:
左肺上叶长条状病灶,胸膜牵拉,边缘平直,磨玻璃边界清楚,不均匀强化,考虑炎性,不完全排除肺癌
一切∮随缘:
左肺结节,形态不规则,边缘略收缩,分叶,部分边缘平直,周围可见清晰磨玻璃影,增强后明显强化,考虑:血管瘤,炎性假瘤,鉴别腺癌
哞:
左肺上叶尖后段病灶,毛玻璃边界不清,实性成分边缘平直,重建,病灶长条形,增强明显强化,考虑炎症
黄兴:
中年女,左肺结节,边缘平直,明显持续不均匀强化,周围略毛糙,考虑IMT
Yishion:
左肺结节,形态不规则,磨玻璃边界欠清,增强明显强化,考虑炎性,OP?IMT?,鉴别腺癌
飞鹰行动:
中年女性,左肺上叶长条状病灶,宽基底与胸膜交界,胸膜凹陷,病灶边缘平直,局部收缩及膨隆,周围可见磨玻璃,其边界清楚,增强病灶不均匀强化,影像表现有炎性病变,也有明显占位表现,考虑OP,有膨胀性表现的小结节,不完全排除肺癌!需要结合相关检查。
玉麒麟:
混合磨玻璃,边界清,边缘凹陷,月牙铲,虽明显强化,还是先考虑腺癌,鉴别炎性肉芽肿或IMT等。
周太狼:
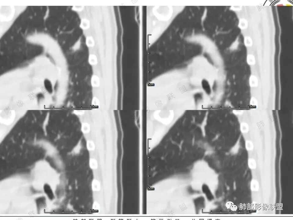
晨读:中年女性,体检发现,左肺上叶结节,形态不规则,呈长条状,分叶,部分边缘平直,周围可见磨玻璃影,增强后明显强化,首先考虑良性病变:1、炎性病变。2、血管瘤。
凯、KAI:
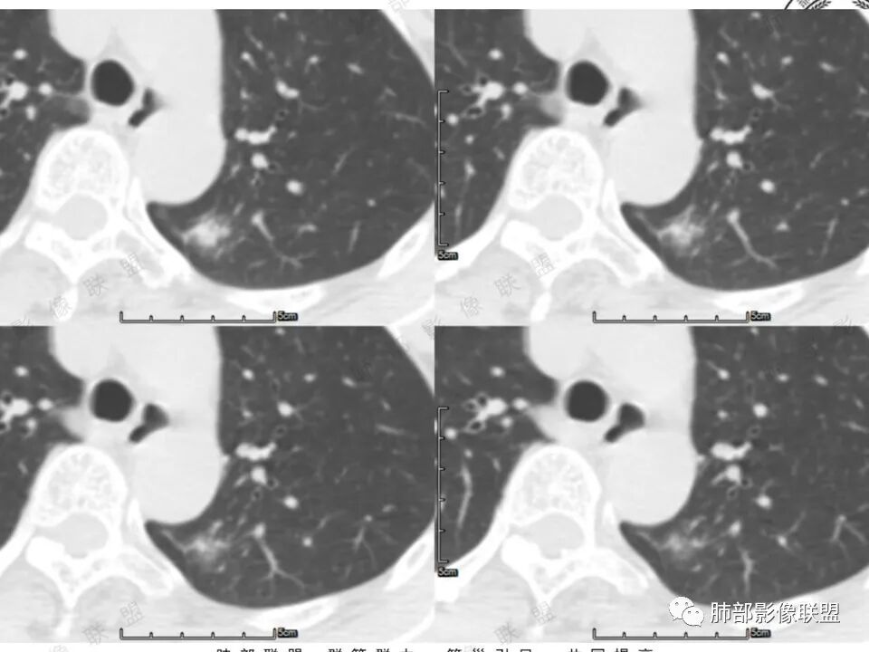
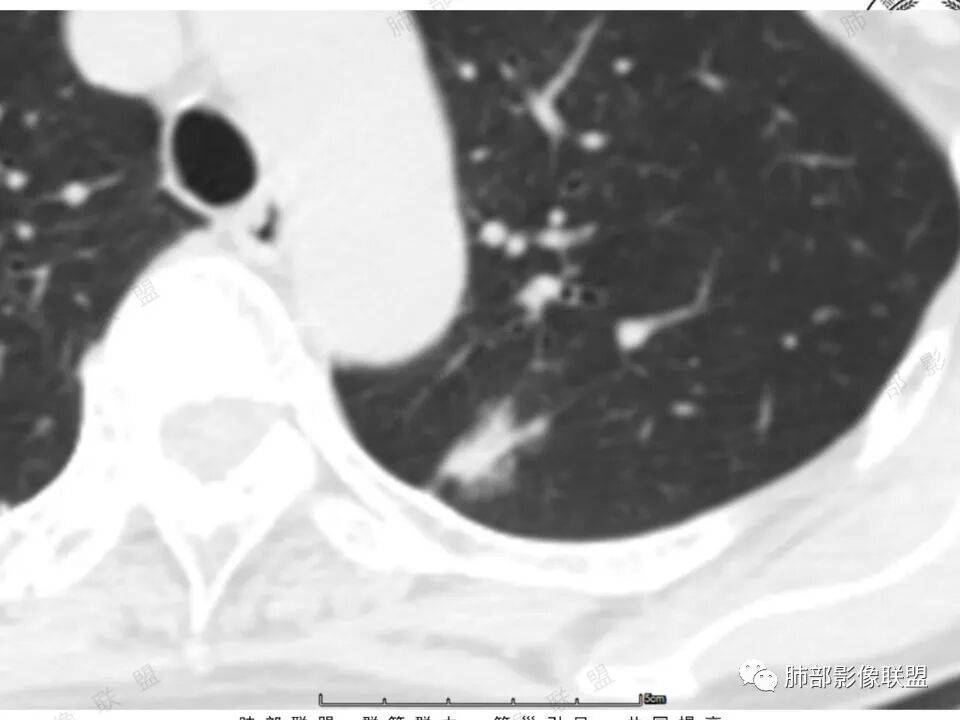
体检发现左肺上叶尖后段混合磨玻璃结节,考虑浸润性腺癌可能性大,建议抗感染后复查,明显强化有不支持的地方,左肺上叶尖后段外侧胸膜下小磨玻璃结节,提示AAH。
红星:
女,41岁,体检发现肺部结节。左肺上叶长形病灶,具有轻度膨胧感,刀切尖角征,胸膜粘连,早期强化见薄环强化征象,后期有延迟强化特点。病灶周围不是很干净。考虑结核肉芽肿或炎症肉芽肿。
采莲:
中年女性,查体发现左上肺条块结节,靠近斜裂,边缘平直有收缩,胸膜牵拉,明显强化,考虑炎性假瘤或炎性肉芽肿,鉴别腺癌。
竺雨幽:
中年女性,体检发现。左肺上叶后段不规则结节灶,密度不均匀,病灶周围可以边界似清非清毛玻璃影,临近胸膜牵拉,增强扫描病灶明显不均匀强化。考虑炎性假瘤,鉴别腺癌。
波波:
混合磨玻璃,边界清,分叶,收缩力强,月牙铲,胸膜凹陷,虽明显强化,还是先考虑腺癌,鉴别炎性肉芽肿。
王秀仙:
左肺上叶尖后段实性结节,边缘有清晰磨玻璃,胸膜有牵拉凹陷,明显强化,CT值超过主动脉,考虑血管畸形(周围磨玻璃可能是出血),鉴别IAC(影像表现符合,强化不符)
凝睦:
混合密度结节,磨玻璃密度边缘清楚,考虑腺癌。
水晶石头:
患者中年女性,体检发现。胸部CT:左肺上叶后段长条形结节灶,边缘光滑,边界清楚,见分叶、毛刺、胸膜牵拉及平直征象。增强明显强化,内可见血管增粗,综合考虑恶性病变,浸润性腺癌可能大,鉴别结核。
King:
形态特征符合腺癌,就是这个强化幅值相对少见些,肺内其他高强化病变如类癌、血管瘤等形态又不甚符合。还是常规考虑浸润腺癌吧,当然抗炎复查这个过程还是要的。
傅昌瑜:
41岁女性,左肺上叶不规则结节,边缘见似清非清的磨玻璃影,叶间裂牵拉。整体病灶边缘平直,强化明显。另左上叶外侧尚有一磨玻璃结节(蘑菇兄弟?),考虑炎性肉芽肿可能性大。强化太明显让人很纠结,会不会存在CD,但边缘又有磨玻璃影;腺癌、结核、隐球都没有见过强化这么明显的,强化程度与主动脉基本一致,不会是动静脉畸形吧。
颜欢:
左上肺前后段不规则实性病灶,浅分叶,边缘部分平直收缩,轻微胸膜牵拉,伴周围磨玻璃样改变,强化明显,感觉是炎性恶性征像均有。
秦化君:
左肺上叶后段条片状影,边缘部分模糊,前缘平直后缘澎隆,周围可见大部分清晰的GGO,毛刺不明显,可见索条影,内密度不均可见条状低密度,增强除条状低密度外明显强化。支气管似见病灶边缘截断。考虑腺癌可能,抗炎治疗除外炎性肉芽肿。
没意见:
强化太猛,血管畸形?边缘磨玻璃区,腺癌?

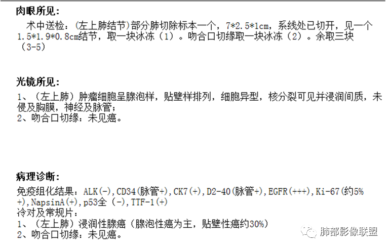
病理结果


后续讨论
阚:
这个强化好奇怪
必有路:
涨见识了,这个强化
功能学(高强化)形态学的取舍,形态学(ggo),高强化不能除外ca 
形态上看肯定不敢排除ca,就是强化这点,以往没认识到
今天见识了
傅昌瑜:
晨读反思:1.边缘磨玻璃还是比较清楚;2.有收缩力;3.强化明显提示内部有血管,说明破坏力不强。

病例小结

 1.中年女性,体检发现;2.左肺上叶后段长条形结节灶,边缘有膨隆,也有收缩,腺癌和炎性结节都可以,但是周围见边界清楚磨玻璃影强烈提示腺癌可能性。3.显著强化的肺结节,无论如何都应当引起我们的高度重视!尽管炎性病灶和新生物都可以,尽管强化程度不能作为诊断癌肿的依据。
4.本例结节强化程度明显低于主动脉,也缺乏血管畸形的典型的迂曲结构,血管畸形可能性不大。
★存在边界清楚的磨玻璃影,常常提示腺癌的可能性,尤其随诊复查没有变化。

END
编辑:靳文剑
审核:蔡笑燕  徐  晓
病例提供者:九江市第一人民医院影像中心 於雄


到顶部