【每日晨读】绝世双“爱”之鳞癌PK肉瘤样癌



没有谁的人生是一帆风顺的,起起伏伏才是常态。在得意时不忘记初心,在失意时不丧失信念,始终保持一种积极向上的心态,才能不惧人生的风雨。认真过好每一天,踏实走好每一步,才能到达你所向往的未来!
绝世双"癌"肉瘤样癌PK鳞癌
   
一, 病例资料

























二,精彩讨论
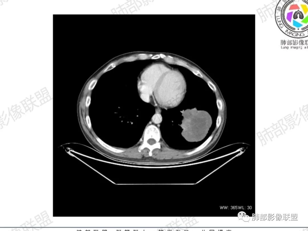
一切∮随缘:左肺下叶类圆形肿块,边缘光滑,彭隆,分叶,脐凹征,病灶近段似支气管堵塞,远端可见阻塞性肺炎,胸膜下结节与肿块相连,平扫密度欠均匀,增强后不均匀强化,男性54岁,炎症指标正常,考虑恶性,肉瘤样癌,鳞癌,肉瘤(滑膜肉瘤,纤维肉瘤)
琦遇:恶性没有问题,常规考虑鳞癌鉴别肉瘤样癌、癌肉瘤(血管肉瘤)、低分化腺癌!
王秀仙:左肺下叶肿块,边缘光滑、膨隆,分叶状,大片坏死,近侧沿着支气管侵犯,远侧阻塞性肺炎,实性部分明显不均匀强化。考虑肉瘤样癌,鉴别鳞癌。
大雄:恶性没问题大肿块  坏死彻底  没有空洞  不首先考虑鳞癌   倾向肉瘤样癌(包括癌肉瘤与肺母),局部分叶明显,也不排除大神癌
宇宙:左肺下叶巨大肿块,深分叶,无明显毛刺,支气管截断,近侧沿支气管生长,呈烧瓶状,胸膜侧阻塞炎症,不均匀强化,坏死明显,左下肺门轻度增大淋巴结,考虑肺癌,鳞癌?肉瘤样癌?大细胞癌?
采莲:中年男性,咳嗽咯血,左肺下叶巨大类圆形肿块,边缘膨隆,深分叶,支气管受压推移,不均匀强化,内有大片多灶坏死,考虑肺肉瘤或肉瘤样癌,鉴别大细胞肺癌。
飞鹰行动:中年男性,左肺下叶巨大肿块,边界清晰,可见深分叶,未见毛刺,左肺下叶支气管受侵犯,看不清支气管是受阻还是推移,增强病灶明显不均匀强化,内可见坏死,考虑恶性病变,外向内生长——肉瘤样癌?癌肉瘤?内向外生长——大细胞癌?
小兜:男性,54岁,咳嗽咳痰血入院。CT示左肺下叶占位,分叶,边缘光滑,远端胸膜下可见阻塞性炎症,增强扫描实性成分不均匀强化,内部可见多发坏死区,边界不清。综合考虑为恶性,鳞癌,肉瘤样癌
红星:老年男性,左肺下叶团块状影,见气泡征,分叶,内部大片坏死 ,可见斑片状的不均强化,部分可见血管贴边征,肿块尖端向内生葫芦状改变,似乎跟肺静脉的引流有某种关联,肿块的远射可见斑片状的渗出性改变。常规考虑肉瘤样癌?鳞癌?鉴别诊断:肺隔离症。
流心明智:男,54,咳嗽、痰血入院。胸CT:左肺下叶类圆形肿块,边缘光滑、膨隆、分叶,支气管截断,滋养血管,病灶近段似支气管堵塞,远端阻塞性肺炎,胸膜下结节与肿块相连,增强后不均匀强化,斑片状模糊低密度区。考虑恶性,肉瘤样癌?鳞癌?鉴别隔离等。
一米阳光:中年男性,左肺下叶肿块,分叶,土豆样,周围磨玻璃影;内见大片状低密度坏死,增强实性部分明显强化,坏死实变边缘较清楚。考虑恶性,肉瘤样癌,鉴别鳞癌。
心灵鸡汤:中老年男性,咳血就诊,左肺下叶团状软组织影,密度不均,边界清,边缘膨隆,有深分叶,远侧有斑片模糊影,增强不均匀强化,内见不强化低密度区,病灶内肺血管边界显示模糊,定位肺内,常规考虑恶性肿瘤,肉瘤?鳞癌?其他?建议穿刺活检。
三,南边老师精彩解读
中老年男性,血丝痰
大肿块,边缘光滑,分叶

近端尾巴

支气管堵塞

坏死边界不清
支持恶性
肉瘤样癌一类病变
四,病例结果

五,病例小结
1.中老年男性,咳嗽咳痰,痰带血。(痰血往往提示气道受累)
2.左肺外围胸膜下,肿块体积较大,边缘光滑,浅分叶。病灶周围比较干净(未见肺不张或阻塞性炎症)。未见毛刺及血管集束征。
3.内部大范围湖泊样坏死,部分边界较清楚。未形成空洞或液平。
4.支气管推移为主,前份可见堵塞支气管。
5.影像支持恶性,尤其是肉瘤等;但是鳞癌合并肉瘤样癌实属罕见。
六,肉瘤样癌相关知识
黄勇老师对肉瘤样癌的总结
1.肺肉瘤样癌是罕见的非小细胞癌,是多形性癌、梭形细胞癌、巨细胞癌、癌肉瘤和肺母细胞瘤的总称。
2.中老年男性多见,与吸烟关系较密切。
3.周围型胸膜下多见,体积一般较大。
4.常见大片坏死,部分病灶坏死边缘清晰,可见空洞。
5.边缘常较光整,毛刺及胸膜凹陷征少见。
6.预后差,即使病变为早期。放化疗的左右目前尚存争议。
原发性肺肉瘤样癌(PSC)一组临床罕见的肺部肿瘤,属于上皮细胞源性肿瘤,仅占肺部恶性肿瘤的0.3%~4.7%。为含有肉瘤形态细胞或肉瘤样分化的非小细胞肺癌,癌成分多为鳞癌或腺癌,肉瘤成分最常见的是纤维肉瘤。其发生机制为“克隆进化”学说,即癌细胞因克隆进化而成为肉瘤细胞。因此,肉瘤样癌既表现出上皮源性肿瘤的组织学特点,亦可表现出间叶性肿瘤的特征。确诊需要借助免疫组化及电镜。常用的免疫组化指标有 CK8-18、EGFR、P53、PCK、EMA 及 Vimentin 等,其中,PCK、EMA 属于上皮性标志物,而 Vi-mentin 属于间叶组织标志物。
PSC为肺癌8个主要类型(鳞状细胞癌、小细胞癌、腺癌、大细胞癌、腺鳞癌、肉瘤样癌、类癌、唾液腺肿瘤)之一,其5种亚型表现为一种形态学上的连续谱系:多形性癌是一类分化差的含有梭形细胞和(或)巨细胞或只有梭形或巨细胞成分组成的非小细胞肺癌,这些非小细胞癌可以是鳞癌、腺癌或大细胞癌;梭形细胞癌是一类只由梭形肿瘤细胞组成的非小细胞肺癌,恶性细胞黏附呈细胞巢和不规则的束状;巨细胞癌是一组由高度多形的多核和(或)单核肿瘤性巨细胞组成的非小细胞癌,肿瘤细胞大、多核、奇异;癌肉瘤是一种伴有癌和分化的肉瘤成分(如恶性软骨、骨和横纹肌)的混合性恶性肿瘤;肺母细胞瘤是一类含有类似于分化好的胎儿性腺癌的原始上皮成分和原始间叶成分,偶有灶状骨肉瘤、软骨肉瘤或横纹肌肉瘤的双向性肿瘤。免疫组化发现肿瘤上皮性标志物CK、EMA表达阳性,也表达间叶性标志物Vimentin,其中CK阳性是最有力的诊断据。
PSC 的流行病学特点表现为男性好发,男女比率约4:1,平均年龄为60岁,中到重度吸烟者,一些病例可能与石棉暴露有关。本病侵袭性强,就诊时肿瘤往往已较大。本病的5年生存率较其他非小细胞肿瘤更低,并且早期可发生转移。除常见的非小细胞肿瘤转移部位,还可转移至食道、结肠、直肠及肾等。临床症状与肿瘤生长部位及侵犯周围组织的情况有关,中央型较易侵犯支气管,症状往往出现较早。主要表现为咳嗽、咳痰、气促、胸闷和胸痛等。周围型生长体积大时常侵犯胸膜或胸壁导致胸痛。
影像学特征周围型肿块位于周围肺野,以上叶多见,有文献报道,这种病变发生于右肺上叶的比较多见。常常由于胸膜受侵产生疼痛而就诊;中央型肿块常位于肺门附近向腔内外生长,肿块多较大,支气管受压阻塞,造成阻塞性肺炎或肺不张,多有肺门及纵隔淋巴结肿大。该型常因咳嗽、咯血等症状就诊。肿瘤由于具有较强的侵袭性,发现时常体积较大,多>5 cm。较鳞癌及腺癌的倍增时间短,肿瘤生长速度迅速。肿瘤的形态与其他上皮源性的肿瘤较难鉴别,在 CT 平扫时均呈孤立性类圆性或不规则圆形低密度灶,边界清晰。本病较少出现毛刺及血管集束征等其他上皮源性表现,可出现分叶。PSC 在 CT 增强后可呈现边缘不规则线状或环状强化,中央无强化。如果肿瘤内部出现分隔,分隔区域可呈现强化。肿瘤的强化与肿瘤的微血管生成具有密切关系。在肿瘤体积较小时(<3 cm),肿瘤内部微血管呈均匀网状分布,增强扫描后,肿瘤呈较均匀强化。而当肿瘤>3cm后,由于微血管网受到破坏,分布不均匀,从而导致强化不均匀。然而,当鳞癌体积>3cm后,微血管存在于肿瘤的近边缘区、间质及坏死灶周围,鳞癌也可出现边缘不规则以及内部间隔强化。MRI 在一定意义上可以反映肺癌的病理组织学类型。鳞癌发生液化时,在T2WI 上表现为稍高信号中有更高信号灶。腺癌在 T2WI 上表现为“小簇状”高信号,或不均匀稍高信号。
为便于掌握其CT表现特点,下边把肺肉瘤样癌的CT表现主要特点归纳如下:
1)部位:周围型或中央型软组织肿块,以周围型为多见,且肿瘤多位于肺上叶。如本例:该肿瘤位于右肺上叶后段
2)大小及形态:由于本病恶性程度高,早期症状不明显,发现时肿块均较大。
3)肿块边界和边缘:多较清楚,呈圆形、类圆形,且由于肿块生长速度不均匀,可见分叶,毛刺少见。有报道肿块周围毛玻璃影是多形性癌特征表现。个人认为,本例周围有暈征表现,所以具有多形性癌的特点。
4)密度:肿块平扫为软组织密度,由于体积较大,内部常见大片状坏死,可出现不规则厚壁空洞或坏死内多发无壁小空洞,坏死多不均匀:坏死灶内可见如柳絮样的斑片样强化灶,坏死边缘与非坏死区分界不清。本例坏死较明显,密度不均匀。
5)肿瘤强化方式:肺部恶性肿瘤强化程度与其血供丰富程度相关,血供丰富多强化明显,反之则较差。由于PSC 周边实性部分富血供及内部黏液变性、坏死,增强后肿块多数呈轻-中度边缘环形强化或不均匀小斑片状强化。国外学者对照病理发现肿瘤细胞或胶原组织增强扫描时强化,无强化的低密度区代表了黏液样变性区和出血坏死区。本例主要表现周围强化,符合这种肿瘤的强化特征。
编辑:杨宏刚
审核:徐  晓




到顶部