【每日晨读】自身免疫特征的间质性肺炎



乱花渐欲迷人眼       浅草才能没马蹄
     ---李萌  广西医科大一附院(致谢供图)



   群内讨论
一切∮随缘:
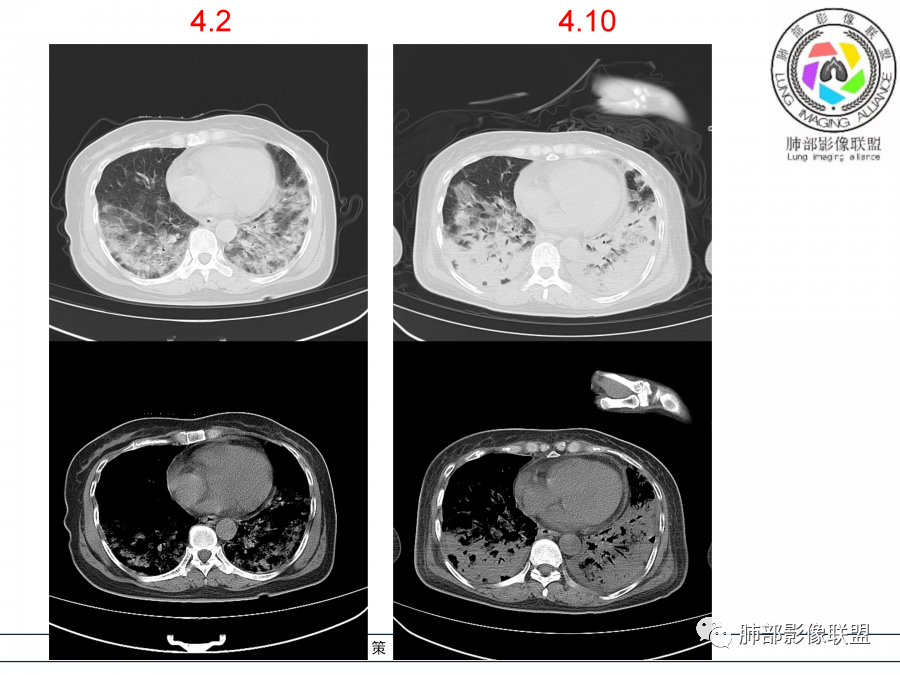
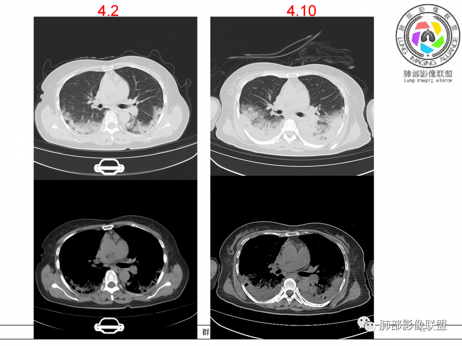
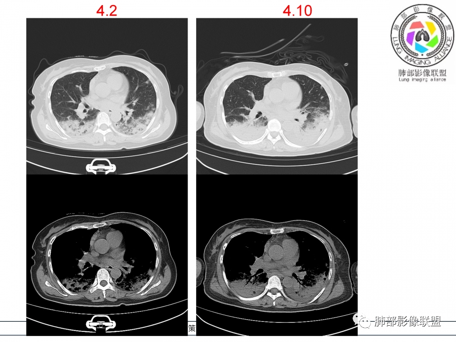
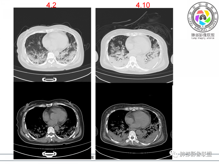
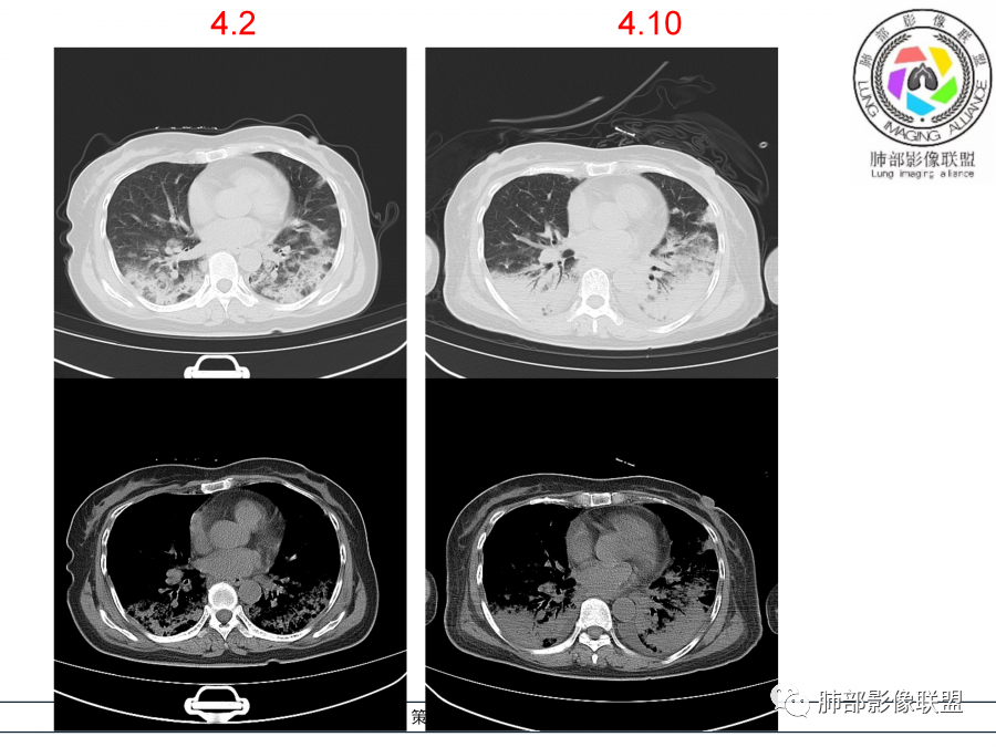
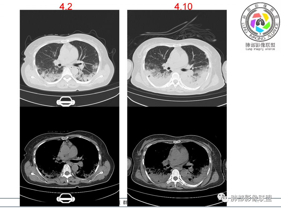
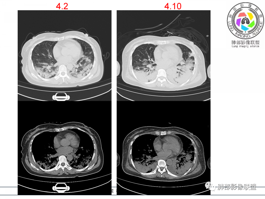
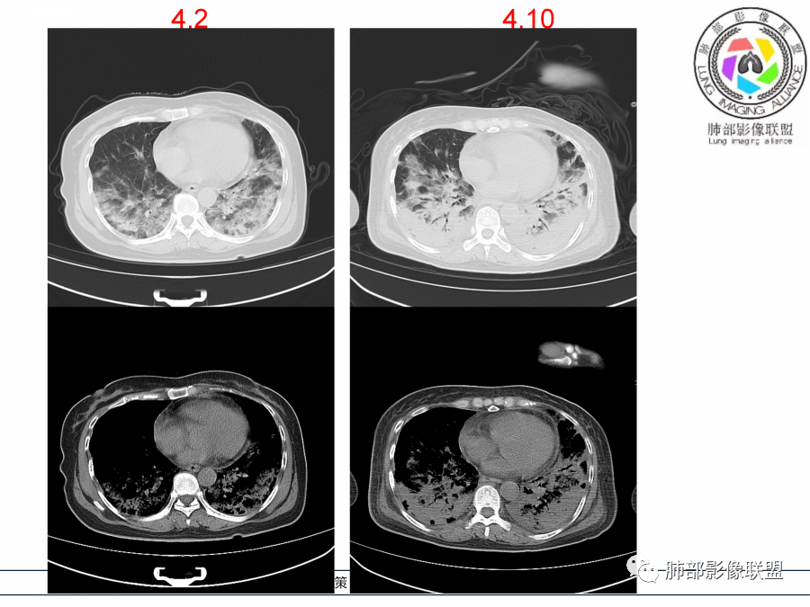
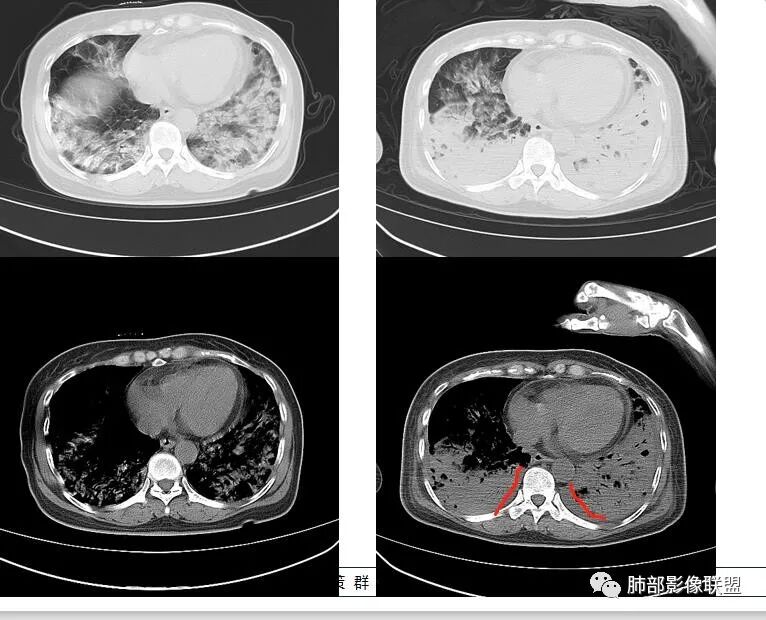
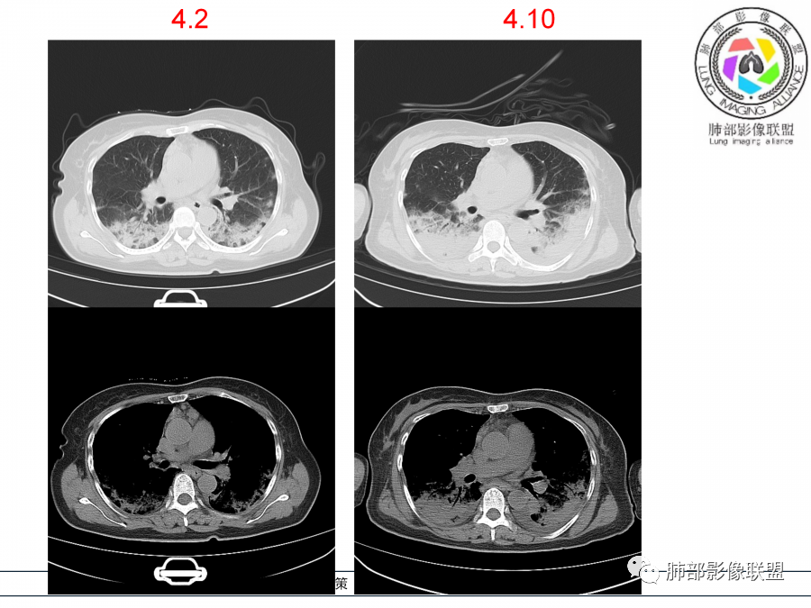
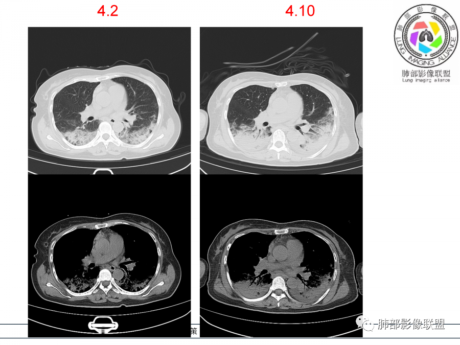
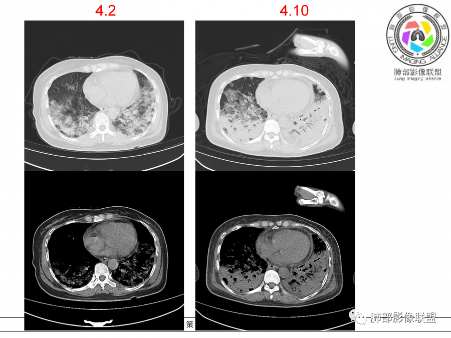
影像,第一次双肺中下叶胸膜下多发斑片状实变影,部分融合成,周围散发磨玻璃影,磨玻璃影内可见小叶间隔及小叶内间隔增厚,病变平行于胸膜,第二次间隔8天,双肺实变影明显进展,有重力作用,支气管近端堵塞,进展较快,临床有发热,血沉高,狼疮SLE阳性,考虑1:OP(机化性肺炎)2:SLE相关肺炎,建议支气管镜灌洗液病原学检测。
必有路:
女性患者,一周病灶进展快,没胸水,SLE指标阳性,综上考虑SLE-ILD
红星:
➢女,61岁,主诉:咳嗽、咳痰、发热7天
➢患者7天前起因受凉后出现阵发性咳嗽,无明显时间规律性,咳黄白粘痰,发热,体温最高达39.5℃,伴鼻塞、流清涕,。两肺下叶背段,后基底段为主的渗出性的病变,短时间内病变明显的增多,双侧胸腔积液,狼疮全套抗R0/SS检测阳性,考虑狼疮性肺损,机化性肺炎?鉴别结核
蓝天白云:
老年女性,高热,双肺下野近胸膜下片状高密度影,呈横向融合,双侧对称,抗炎治疗无效,复查病变进展明显,考虑狼疮SlE阳性结缔组织病相关的肺炎。
丁啸:
这个抗体。在干燥中最多见,其次系统性红斑狼疮,主要是这两个。其他自身免疫病也可以阳性,阳性率比较低。
采莲:
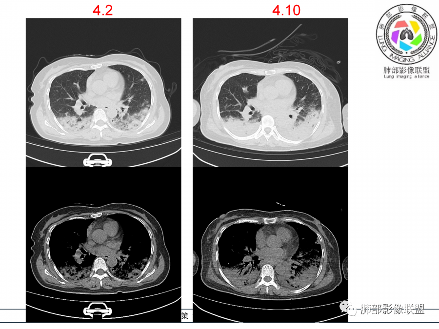
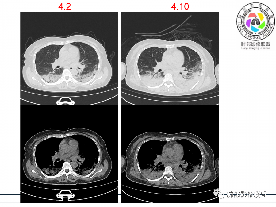
老年女性,咳嗽咳痰伴发热7天,白细胞不高,血沉快,降钙素原不高。其他化验未见明显异常,狼疮全套抗Ro/SSA阳性,双肺野靠近胸膜下磨玻璃实变影,支气管通畅,有充气征,沿胸膜下分布,有细网格征,7天后进展明显,实变影加重,胸膜肥厚,胸水不明显,心包少量积液?抗感染治疗无效,考虑非感染性疾病可能性大,结缔组织相关性肺病?狼疮性肺炎?机化性肺炎?鉴别病毒性肺炎。
傅昌瑜:
老年女性,咳嗽咳痰发热7天。无气促。白细胞计数不高,PCT稍高,PPD(+),抗Ro/SSA阳性。CT:双肺野靠近胸膜下磨玻璃实变影,支气管通畅,有充气征,沿胸膜下分布,有细网格征。予抗生素治疗,8天后复查胸部CT见病灶范围扩大,实变影加重,胸膜肥厚,胸水不明显。抗感染治疗无效,考虑有:1.非感染性疾病:结缔组织相关性肺病,支持点:肺部CT表现为间质性炎症病变,抗RO/SSA(52)阳性;2.病毒性肺炎:患者无气促症状,可能性小;3.肺结核。
大雄:
两肺胸膜下磨玻璃影➕实变影,非叶段分布,基底部明显,抗感染治疗无效,迅速进展伴胸腔积液。无明显低氧血症。
狼疮肺炎的病理是DAD➕ 肺出血,影像可以表现ggo➕ 实变,胸水常见,抗感染无效,加上影像是符合的,可以考虑,不过目前只有一项rra52抗体阳性,临床诊断依据不足,需要进一步证实,
以及排除结核、 吸入、非典型病原体感染的前提下,才能诊断狼疮肺炎。
王秀仙:
第一次双肺中下叶胸膜下多发斑片状磨玻璃及实变影,病变平行于胸膜,支气管通畅,8天后,双肺实变影明显进展范围扩大,部分支气管近端堵塞,进展较快,胸腔积液,抗感染治疗无效,考虑:非感染性疾病:结缔组织相关性肺病。鉴别机化性肺炎。
妞妞:
老年女性,咳嗽咳痰发热。PCT稍高,PPD(+),抗Ro/SSA阳性。CT:双下肺平行胸膜下实变影,支气管充气,有细网格征。一周抗炎复查病灶范围扩大,实变影加重,考虑结缔组织相关性肺病,sle_ss_ild?狼疮性肺炎?除外病毒性肺炎、肺结核。


南边老师分析
老年女性,急性起病,高热,鼻塞


南边:
哪些指标对细菌?
结核?红斑狼疮?

南边:
外围胸膜下,实变+GGO+网格,支气管通畅
提示间质为主病变
进展迅速——肿瘤就不用考虑,考虑炎性病变
南边:
1、感染:病毒
2、非感染:OP类病变——红斑狼疮?
因为间质纤维化类病变引起实变的:OP、AIP
小赵:
这样的病例,首诊的时候可能很多实验室检查都没有,包括本例提供的狼疮全套。如果单给第一次的影像资料,诊断病毒性肺炎合适吗?
南边:
可能隐瞒了一些资料,不然很容易诊断
这病史AIP就不符合了
少量胸水,支气管无明显牵拉扩张

南边:
不支持真菌

丁啸:
这个抗体。在干燥中最多见,其次系统性红斑狼疮,主要是这两个。其他自身免疫病也可以阳性,阳性率比较低。
应该是ro52阳性,ro52和ssa分开比较好

丁啸:
抗细菌感染无效,急性起病,影像有些机化的表现,也并非完全是机化,同时存在其他的病理进程,后期可能存在肺损伤。CTD_ILD首先考虑,sle还是干燥没法区别,干燥的概率稍大,反正都一样激素用上去再说,具体是啥进一步检查了。其他病毒感染或者特殊感染不完全排除。下一步查结缔组织病全套,唇腺活检等。大剂量激素冲击,若激素效果不好,进一步查病原学,灌洗液ngs等
门诊测两次新冠阴性
流感没提。
如果甲流也阴性。病毒可能比较小了。
还是首先考虑是ctd ild吧
干燥发病率比SLE高很多。
我遇到过两三个初诊表现为机化性肺炎的干燥。
结缔组织病也可以先表现为肺部病变,没有其他症状。


病例结果




病例小结
一、 间质性肺疾病(ILD)是一组主要累及肺泡腔和肺间质,并且导致不同程度的肺泡炎及肺纤维化的急、慢性肺部疾病。按病因分类分为特发性间质性肺炎和继发性间质性肺病。结缔组织病(CTD)是继发性间质性肺病的重要病因之一。
CTD包括:
①类风湿关节炎(RA)
②系统性硬化症(SSc)
③系统性红斑狼疮(SLE)
④多发性肌炎/皮肌炎(PM/DM)
⑤混合性结缔组织病(MTCD)
⑥原发性干燥综合征(pSS)
⑦未分化结缔组织病(UCTD)
⑧自身免疫特征的间质性肺炎(IPAF)
二、肺组织含有丰富的血管、胶原等代谢及免疫调节作用的结缔组织,因而肺部受累明显。结缔组织病间质性肺病是CTD常见的并发症,表现为不同的病理类型、临床和影像学表现。CTD-ILD发病率及病死率较高,早期发现及诊断治疗很重要。HRCT对于CTD-ILD诊断有着重要意义。
CTD-ILD的HRCT征象:
(1)小叶间隔增厚:是否周围的小叶间隔在HRCT上显示为一条或多条长1-2cm长、延伸至胸膜的线影,在肺的中心位置时多呈多边形,可见于间质内产生积液、纤维化或者细胞浸润。
(2)磨玻璃影:表现为双肺弥漫性或局灶性模糊的密度增高影,其内肺纹理常可见。
(3)胸膜下线影:表现为边缘清楚的高密度、且平行于胸膜面的线状影。
(4)实变影:分布于肺段或者肺叶,内可见“支气管充气征”、“粘液”、“血管造影征”。
(5)结节影:表现为分布于胸膜下大小不同、形状和边缘比较清晰的结节,或显示为支气管血管束结节状增厚。
(6)网格影:为小叶间隔增厚、小叶核心增厚、胸膜下线影、蜂窝肺和支气管血管束周围间质增厚等改变所形成。
(7)蜂窝影:表现为双肺下野外周呈蜂窝状,大小不一,具有明显壁的低密度影。
间质性肺炎
   最常见的是USIP,其次是OP和UIP。LIP(淋巴样间质性肺炎)同时属于间质性肺炎和淋巴组织增生性疾病1.NSIP——最常见:表现:时间、空间上都表现为均匀的肺部病变。由于肺间质炎症及纤维化程度不同,被分为两类:   细胞型——肺间质炎症为主   纤维化型——间质纤维化和轻度炎症,预后差NSIP:双侧磨玻璃影,网格影,伴随牵拉性支气管扩张和肺体积缩小。双肺基底部或支气管血管束周围为著。蜂窝状改变少见。与特发性间质性肺炎相似。
    在程度上,一般比UIP范围局限、病变小。双肺下叶,胸膜下或血管支气管束周围显著。胸膜下肺组织不受累是一个特点。
2.普通型间质性肺炎(UIP),特点是病理及影像表现上的肺部不均匀病变,伴局部纤维化(纤维条索及蜂窝状改变),病变肺组织与正常肺组织交替分布。HRCT特点是:网格状阴影,以胸膜下及肺底部为主,伴(或不伴)牵拉性支气管扩张和小囊变。蜂窝状改变是其特点。  
如果出现磨玻璃影改变,往往要比NSIP范围要小,这时要考虑早期纤维化,而不是感染性病变。
3.机化性肺炎(op),是单侧或双侧的局限性实变,下叶多见,外周肺或支气管周围分布,胸膜下肺组织可不受累。病变的位置和大小可以改变,甚至未治疗也会出现这种现象。这为诊断提供了线索。小叶周围阴影,边界不清。反晕征:类圆形磨玻璃影,周围环绕实变肺组织其他表现还有:磨玻璃影,空气支气管征,实变内的支气管扩张,树芽征,结节影。病理上主要表现为肉芽组织占据了远端气道及肺泡组织,但是保留了肺的支架结构及体积。胸膜下或沿支气管血管束分布的多发斑片状实变。可伴随磨玻璃影或小叶中心结节。因为间质性肺炎和多种因素相关,其他原因也要考虑,尤其是药物或感染导致的OP
三、结缔组织疾病累及其他系统的表现
部位
表现
胸膜
胸腔积液  胸膜炎  气胸

ILDs  弥漫型肺泡出血
气道
支气管扩张  细支气管炎
食道
食道扩张
血管
肺动脉高压   血管炎
心包
心包积液  心包增厚
心肌
心肌炎
骨骼肌肉
软组织钙化  关节异常
     
以下是不同结缔组织病累及呼吸系统的影像特征
01
  系统性红斑狼疮(SLE)
胸膜炎是SLE最常见的胸部表现,SLE急性肺损伤表现为肺出血、狼疮肺炎,虽临床罕见,但常可致死,慢性肺损伤表现为ILD。SLE弥漫性肺泡出血时,患者出现呼吸困难、发热、咳血痰,血色素下降等,HRCT表现为双肺弥漫或局灶实变影、GGO及小叶间隔增厚,此时应行支气管镜检查以确诊,急性狼疮肺炎的诊断难以界定,表现为不同程度肺功能受损,HRCT示弥漫或散在分布的气腔实变与GGO,下肺相对较重半数,患者合并胸腔积液;但目前认为,既往诊断为急性狼疮肺炎的病变很可能为急性间质性肺炎伴或不伴肺出血.仅3%的SLE患者出现ILD,以NSIP或UIP最多见,SLE相关ILD的病变常局限、程度较轻,弥漫性病变、蜂窝影很少出现,多表现为小叶间隔增厚或肺实质带,活动期的SLE患者可出现深静脉血栓,若患者出现胸痛、呼吸困难,需行胸部增强CT或CTPA以明确是否存在肺血栓、肺梗死。SLE患者胸部HRCT表现为GGO或肺实变,可能为ILD、肺出血、狼疮肺炎等,若同时出现小叶间隔增厚、不规则线影、肺结构变形意味着肺纤维化,多见于ILD等;SLE易合并感染多数为社区获得性肺炎,诊断ILD、急性狼疮肺炎、肺泡出血等需先除外感染,另外SLE患者还可出现横膈功能障碍、肺动脉高压等。
02
  类风湿性关节炎(RA)
 类风湿关节炎(RA)累及胸部常出现胸膜病变、气道病变(支气管扩张、滤泡性支气管炎、闭塞性支气管炎等)、ILD、RA结节等。RA胸膜病变HRCT表现为轻度胸膜增厚,少量、单侧的胸腔积液,胸腔积液多为自限性,不定合并肺内病变,气道病变通常为RA肺内最早出现的征象,约30%~58%的RA患者HRCT可见支气管扩张。闭塞性细支气管炎HRCT表现为马赛克征、小气道闭塞、支气管扩张,深呼气相HRCT可见空气潴留。滤泡性细支气管炎HRCT多表现为磨玻璃样密度的小叶中心结节。ILD仅见于5%的RA患者,类风湿因子阳性、关节损害严重者易出现ILD。RA相关ILD的HRCT多表现为网状影(小叶间隔增厚、小叶内间质增厚等)、蜂窝影伴支气管扩张,GGO范围小且多分布于肺底部,进展期可见肺体积缩小及肺结构变形。HRCT随诊观察发现肺小叶中心线状影易进展为支气管扩张,气腔实变易进展为蜂窝。单纯RA相关ILD以UIP多见,合并其他CTD则以NSIP最多见。RA肺结节常见于吸烟的男性RA患者,常同时伴有皮下结节,HRCT表现为肺结节多位于中上肺周边、大小不等、类圆形、边界清、可伴空洞、结节新发与自限并存、钙化少见,常仅见于煤工尘肺的RA患者。
03
  干燥综合征
 干燥综合征(SS)相关ILD以LIP、NSIP多见,累及气道可出现支气管扩张、滤泡性细支气管炎、细支气管炎等,另外可见肺动脉高压、淋巴瘤、胸膜病变等,且均多见于下肺。50%的LIP患者HRCT表现为GGO伴散在的囊状气腔,可伴有小叶中心、支气管血管束周围、胸膜下结节及支气管血管束增粗,蜂窝与实变少见,囊腔影有助于鉴别LIP与淋巴瘤。SS易合并淋巴瘤,肺部以黏膜相关淋巴组织淋巴瘤为多,当肺内出现实变、结节大于1cm或胸腔积液时,需考虑到淋巴瘤的可能。
04
  皮肌炎/多肌炎
  多肌炎/皮肌炎(PM/DM)累及呼吸肌可致肺通气功能下降,亦可出现吸入性肺炎。患者抗J0 ̄1抗体阳性与ILD明显相关,约50%~70%的抗J0 ̄1抗体阳性PM/DM患者出现ILD,而阴性者伴ILD仅占10%。ILD病理上以OP和NSIP最多见,二者可同时存在,PM/DM相关ILD的胸部HRCT多表现为GGO、斑片状气腔实变、肺实质带、小叶间隔增厚、胸膜下线、支气管血管束增粗、支气管扩张等。斑片状气腔实变伴或不伴GGO,多为OP或机化的DAD;治疗后气腔实变、实质带、不规则支气管血管束增粗多可逆,局灶GGO伴实质带或胸膜下线则可进展为蜂窝影,PM/DM患者易出现肿瘤,特别是肺癌,胸部CT随诊过程中新出现的肺结节需注意鉴别。
   胸部HRCT为评估CTD病变的首选检查,能够及时、准确发现CTD呼吸系统受累的异常征象,有助于评估病变累及范围、程度、治疗效果及预后。CTD系统性症状不明显时,仅凭HRCT很难鉴别CTD相关ILD与特发性ILD,需结合自身抗体等实验室检查综合判断。另外,在诊断及评价CTD肺部受累时,需结合临床表现、治疗情况及实验室检查等综合考虑,首先排除药物治疗相关的并发症及机遇性肺炎所致病变,再行评估。CTD病变影像表现多样,且不同CTD形态学征象存在重叠,在评价可疑CTD患者时,抓住CTD病变的特殊胸部影像学特点,有助于理清思路,最大程度获取诊断信息。此外,系统、全面地评价患者胸部病变(肺实质、气道、胸膜、肺血管等),有利于临床鉴别诊断、获得准确的评估。

●【每日晨读】干燥综合征
● 【每日晨读】系统性红斑狼疮肺损害一例
参考文献:
[1]徐晓莉,隋昕,宋兰,黄耀,王晓,金征宇,宋伟.结缔组织病累及呼吸系统的影像特点[J].协和医学杂志,2020,11(01):79-84.
END
编辑:程  磊
审核:蔡笑燕  徐  晓
病例提供者:湖南省人民医院(马王堆院区)呼吸三科 符代炎


到顶部