【每日晨读】拨开云雾见真相


 2020年8月31日肺部影像联盟晨读病例
 病例提供 崔晓兵  刁胜林
















王开金江津中心医院呼吸科:
中年男性,中等病程,咳嗽咳痰症状,糖尿病基础,左肺大多数层面类圆形,内空炮,边界清楚,毛刺,胸膜凹陷,虽然培养肺克,病程不符,治疗复查不符,炎性指标不符,考虑非感染性病变,肿瘤性可能性大,腺癌?
一切∮随缘:
左肺上叶实变影,其内可见多个簇状空洞,大小不一,其内可见分割,多个堆积而成,内外壁光滑,空洞边缘毛糙,可见长索条牵拉胸膜,收缩为主,周围伴有磨玻璃影,随访两个月空洞依旧还在,不知道症状有无减轻,临床培养肺克(是否为致病菌?)有糖尿病,慢性起病,临床炎性指标正常,考虑:1肺癌(假大空,炎性症状不明显都支持)2:真菌(毛霉,无咯血,曲霉)3:GPA(单发少见)4:结核(形态太单一,周围无播散灶)
蓝天白云:
老年男性,糖尿病,CT左肺上叶病灶,边缘不清,毛刺,空洞内有分隔,边缘欠清,叶间裂受牵拉,与支气管关系显示不清,考虑真菌感染,鉴别腺癌。
穿越七海的风:
左肺上叶假性空洞,抗感染治疗后症状缓解,病灶无吸收,考虑腺癌合并感染
李丰章:
瘤肺界面清晰,边缘短毛,其内见假大空及空泡,胸膜下多发线条影(胸膜凹陷还是反应性增厚),治疗后两个月没有变化,真菌感染?肺腺癌?
轩哥:
还是把感染性病变放在前面,慢性炎症,真菌感染?鉴别诊断囊性肺癌,可惜没有增强
王江涛:
首次CT考虑感染(肺克、毛霉可能),病灶前缘近肺门处较密实,需要警惕合并肿瘤,复查病变进展,考虑肿瘤合并感染可能性大
丽:
左肺上叶肿块,内可见假大空,多发分隔,肿块膨隆、分叶,边缘毛糙,可见长索条,抗炎治疗无效,首先考虑肿瘤,腺癌可能大
看图说话:
糖尿病,左肺上叶病灶,边缘磨玻璃影清,楚,毛刺,空洞内有分隔,与支气管关系显示不清,复查增大,考虑肺炎型腺癌并肺克。
红星:
老年男性,糖尿病,右肺实性团块+蜂窝空洞+叶间裂收缩+2个月增大。考虑感染(克雷?隐球?),高度合并腺癌。
吉尔粑粑:
中老年男性患者,亚急性起病,咳嗽、咳痰2月,无发热,有糖尿病病史,血炎症指标不高,胸部CT:左肺尖后段斑片状病灶,内部多发小空洞,周边磨玻璃影,抗感染治疗症状好转,2月后复查空洞似乎有增大,考虑恶性,肺炎性肺癌可能,鉴别炎性病变
荷塘月色:
临床病史:男性,51岁,咳嗽咳痰两个月,痰液粘稠,无发热,2型糖尿病病史
化验检查:血象不高,细菌培养结果显示肺炎克雷伯杆菌。
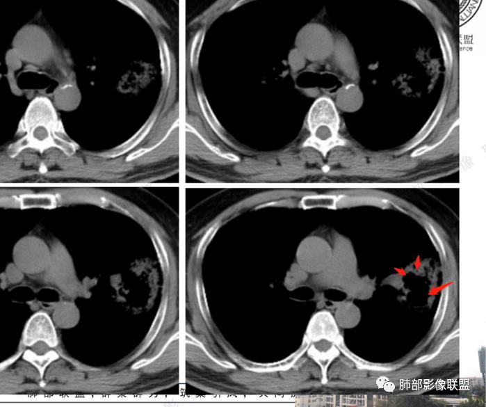
影像所见:左肺上叶尖后段团片状高密度影,边界清楚,其内密度不均,中心呈多发低密度影,与支气管关系显示不清。
治疗过程:抗感染治疗后间隔2月复查,胸片影像病灶稍增大。结合病史首先考虑恶性,肺炎型肺癌可能性大。鉴别肺克及毛霉?非结核分支杆菌肺病?
宇宙:
中年男性,糖尿病,左肺上叶团片状高密度影,反晕,边缘毛糙,晕中毛刺,中心分隔,其内可见支气管影,抗炎效果差,2月复查病灶增大,中心密度减低,似空洞形成,首先考虑真菌感染,腺癌待排
田园晚风:
老年男性,咳嗽咳痰,糖尿病史,血象不高,抗炎治疗效果不佳,左肺上叶团块影,内见空洞,空洞内见条索影,边缘收缩,考虑真菌感染,恶性肿瘤待排
刘强:
中老年男性,糖尿病史,受凉感冒等慢性病史。白细胞,中性粒不高,没有给crp,pct,克雷阳性是否为致病菌。左肺上叶团块状影,蜂窝状小空洞,空洞内似乎丝丝缕缕,边缘少许磨玻璃影,叶间裂平直。常规抗炎无效,没有给增强。常规考虑真菌(毛霉,隐球),恶性肿瘤待排。
月亮圆了!:
左肺上叶实变影,其内可见多个空泡,大小不一,其内可见多个堆积而成分隔,内外壁光滑,可见长索条牵拉胸膜,收缩为主,周围伴有磨玻璃影,有糖尿病,慢性起病,临床炎性指标正常,2个月病变变化不大。考虑:肺癌并感染。
丁啸:
边界清,假大空,粘液密度。粘液腺癌。
傅昌瑜:
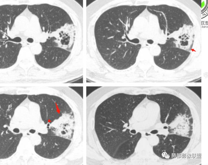
56岁男性,有糖尿病基础病。咳嗽咳痰2月,白细胞计数正常。培养出肺炎克雷白菌。胸部CT:左上肺空洞样病灶,厚壁,壁上多量小空泡样密度区,坏死区存留组织(感觉是假大空)。大部分边缘膀隆,部分可见分叶,部分边缘见小叶间隔阻挡;边缘见边界模糊的GGO,主要位于病灶以远处。抗感染治疗后病灶增大。考虑腺癌。
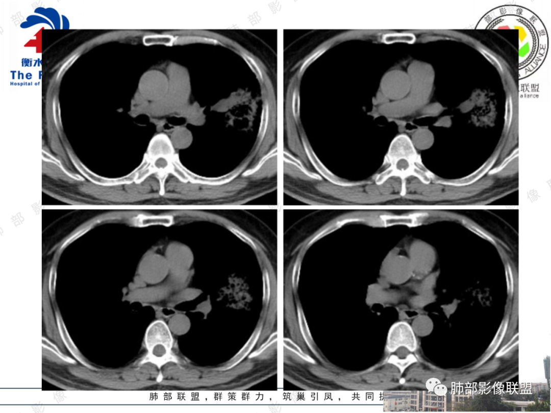
水晶石头:
患者中年男性,反复咳嗽、咳痰2月,伴发热。有糖尿病及血糖控制不佳病史。查血常规正常痰培养肺炎克雷伯杆菌生长。胸部CT:左肺上叶团片状高密度影,边缘毛糙,边界不清,周围晕中毛刺,内见多发坏死分隔,见支气管影,抗炎效果差,2月复查病灶似增大,综合考虑感染性病变,结核、真菌感染可能大。鉴别恶性病变。
飞鹰行动:
老年女性,咳嗽咳痰,伴发热,左肺上叶片状阴影,可见多发蜂窝状改变,病灶边缘可见明显的胸膜凹陷,相邻叶间胸膜受牵拉,病灶有膨胀性生长,有明显实性密度,有收缩性,老年人,首先需要考虑腺癌,其次真菌感染
良孑:
病史两月,炎性标志物不高,肺克基本排除了,空洞内壁光滑,洞壁上可见充气支气管,洞内可见絲状物,抗炎效果不佳,有糖尿病史首先考虑曲霉菌,年龄稍大, 可见胸膜牵拉鉴别一下腺癌
尘缘:
综上,左上肺假大空肿块伴周围实变,边缘似见粘液成分,胸膜牵拉凹陷,但收缩力偏弱,抗感染后两月复查,整个肿块增大,周围实变区增厚。符合腺癌(普通腺癌伴粘液分泌或粘液腺癌可能)





南边:




老年男性,糖尿病,病史2月,血象白细胞、中性粒细胞、淋巴细胞均可
抗炎效果不佳
实变部分膨隆+收缩,GGO边界清


蜂窝、假大空


诊断支持腺癌,不除外继发感染
鉴别方面:
病史2月
如果感染:糖尿病,结核、毛霉菌
结核,不应该假大空,一般内部干净
毛霉菌:就算反晕征,内部应该是GGO,2月壁应该实变,不太支持

大雄:
@钟学兰-江苏泗洪县人民医院放射?毛霉一般 有发热  ,咯血这些症状,可能咯血更常见,因为毛霉容易破坏血管,但是临床上都不绝对。也有症状不明显的
安吉木子何方李:
结核反晕征的话外面的壁会有结节,这个病人不支持
go and see:
於老师,毛霉的病理可引起坏死性血管炎吧



病理结果:腺癌(以粘液腺癌为主)



肺粘液腺癌

  肺粘液腺癌仅占肺原发腺癌的3%左叶,基因、免疫组化与普通型腺癌不同;起源部位是终末细支气管及呼吸性细支气管,也可能包括化生后的肺泡上皮,属于周围型,大致分两种:
典型的粘液腺癌,通畅TTF-1阴性,产粘液早且多 
不典型的粘液腺癌,TTF-阳性,推测产粘液晚且少
  早期的典型粘液腺癌可见粘液外渗表现,最初是结节状,很早就会有粘液分泌,粘液的面积常大于肿瘤本身,后期随着粘液在气腔及气道飘散,肿瘤容易种植播散于肺泡腔,病灶逐步扩大,最后变成弥漫性肺炎型粘液腺癌,但不容易种植于支气管粘膜面,占通畅所见粘液腺癌的大多数,肿瘤细胞内大多充满白色的粘液,收缩力很弱。
   不典型的粘液腺癌初期也是结节,粘液分泌少,相对接近普通型腺癌的形态,后期可以飘散,也可以仍然是局部肿块,浸润性常较强,部分肿瘤细胞没有粘液分泌,如普通型腺癌,收缩力较强,可以理解为粘液型与普通型的中间类型,部分列入普通型腺癌伴粘液分泌,此相对较少。不典型粘液腺癌,粘液外渗有,但肿瘤组织生长为主,部分肿瘤细胞接近普通型腺癌,常有浸润性粘液腺结构。
     摘自第六期肺结节培训班王兆宇老师的《肺粘液腺癌的病理影像表现》
                  
 ☆特别提示
  如果患者临床症状不重,与影像表现不符,炎性指标不高,抗感染治疗肺部病灶未见吸收,或反见扩大及其他肺组织内出现飘散的磨玻璃结节,应高度怀疑粘液性肺癌!
往期回顾 
【每日晨读】 烟霏云敛见真相
【肺部影像病理系列】磨玻璃边界似清不清------粘液腺癌
 肺的粘液型腺癌病理影像讲座——病理篇
END
编辑:任正纲
审核:蔡笑燕  徐  晓
病例提供:衡水四院  崔晓兵  刁胜利



到顶部