【每日晨读】朗朗“晴空”,另有乾坤---罕见后纵隔侵袭性纤维瘤病




2019.9.3
朗朗“晴空”,另有乾坤
(后纵隔侵袭性纤维瘤病)

病理资料
















精彩讨论
岁月 

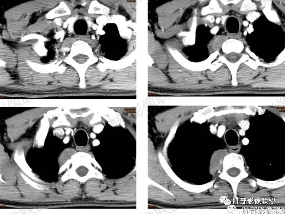
男,45岁,反复背痛3年;病程长,发展缓慢;后纵膈,与脊柱关系说不清;强化明显,有分区;诊断:神经源肿瘤;良性鉴别:间质来源肿瘤。
王江涛:

右后上纵隔良性软组织肿块,不均匀强化,神经鞘瘤可能性大,孤立性纤维瘤(SFT)和巨淋巴结增生(CD)待排。
杨泽锋:

首先定位的问题,定位于胸膜外,壁层胸膜都不考虑考虑神经鞘瘤鉴别:甲状腺肿、淋巴瘤、髓外造血
小微 :

后纵隔占位性病变,有AB区,增强扫描明显强化,考虑神经鞘瘤,鉴别诊断纤维瘤
一切∮随缘:

右侧后纵隔肿块,宽基地附着与胸膜,可见胸膜尾征,与肺组织交界清晰,没有平扫,增强后不均匀明显强化,部分可见向椎孔延伸,综合考虑:神经源性肿瘤(神经鞘瘤,神经节细胞瘤),鉴别孤立性纤维瘤
丽:

后纵膈肿块,边界清晰,增强后呈不均匀明显强化,渐进性强化,并向椎间孔延伸,首先考虑良性,神经源性肿瘤,神经鞘瘤可能
毛勤香:

右后纵膈肿块,脊柱旁,邻近椎间孔扩大向内延伸,密度不均匀,强化明显,考虑神经源性肿瘤,鞘瘤可能性大。
傅昌瑜: 

中年男,慢性病程,右后上纵隔脊柱旁肿物,呈D字型凸向肺部,见胸膜尾,定位肺外;肿物不规则强化,近脊柱边缘部分清晰可见脂肪间隙,部分与脊柱相连包绕,未见骨破坏,上方似延伸至颈部。定性良性,孤立性纤维瘤可能性大,鉴别神经鞘瘤。
THINKER:

SFT>神经源性?,有强化及低密度,广基底贴于胸膜,内缘光滑,脊神经沟未见增宽,未见明明强化,不支持LCD
水晶石头:

患者中年男性,反复背部疼痛3年。胸部CT:右后纵隔、胸膜下紧贴脊柱软组织肿块,边缘清晰光滑,长袖与脊柱平行,增强轻度强化,内见低密度坏死区。定位肺外,定性良性,综合考虑神经源性肿瘤,神经鞘瘤可能性大,神经节细胞瘤及其他待排。
生来征服~浪子:

后纵隔脊柱旁占位,病灶内有低密度区,增强扫描不均匀强化,失状位似沿神经走形,部分进入锥间孔,首先考虑神经源性肿瘤。
可芸:

后纵隔肿块,边界清晰,增强后呈不均匀明显强化,并向椎间孔延伸,首先考虑良性,神经源性肿瘤,神经鞘瘤可能大,SFT、CD待排
蔡磊:

患者,男性 45岁,反复背部疼痛3年。右侧后纵膈脊柱旁软组织影,匍匐样生长,临近骨质未见破坏征象,软组织局限性隆起,椎间孔未见明确扩大。增强呈渐进性升高,内部强化不均匀,未见坏死、囊变。结合病史,总体考虑良性病变,神经来源,神经鞘瘤可能。
心灵鸡汤:

右后上纵隔团状软组织影,密度尚均匀,边界清,且部分向椎间孔突出,增强后部分明显强化,有AB分区,常规考虑后纵隔的良性肿瘤,神经源性来源,神经鞘瘤可能性大,鉴别节细胞瘤,孤纤,建议穿刺活检。
一米阳光:

男45岁,病史3年。右后纵隔脊柱旁见孤立性肿块影,边界清晰,胸膜被掀起。定位,胸膜外,增强病灶不均匀强化,向椎间孔延伸,考虑神经源性肿瘤,神经鞘瘤。鉴别,神经纤维瘤,SFT
小赵:

定位右后纵隔,宽基底,与胸椎肋骨无间隙,前方局部似见脏壁层胸膜间隙,局部见尖角状伸入临近椎间孔,部分层面AB区强化,肋间动脉供血?首先考虑神经鞘瘤,鉴别神经纤维瘤和孤立性纤维瘤。
青衫赋雪??:

分析:1、定位:肿物与胸壁成钝角,可见胸膜尾征,提示位于胸膜或胸膜下。2、定性:良恶性 肿物大,无明显临床表现,边缘光滑,临近肋骨未见破坏,提示为良性。1.如为胸膜下脊柱旁沟以神经源性肿瘤最常见,如为胸膜,且为单发,以局限性胸膜间皮瘤常见。2.局限性胸膜间皮瘤除少数较大者密度不均外,通常密度均匀,强化均匀,故暂不支持。3.密度略低于肌肉神经源性肿瘤 密度略低于肌肉有提示价值,因为神经组织内含脂量较高,其分为周围神经源和交感神经源,周围神经源性肿瘤通常为神经纤维瘤、神经鞘瘤,以前者常见,影像不易鉴别。4.原始神经外胚层肿瘤(PNET)恶性程度高,10岁以下儿童多见,临床可出现出现腹泻、腹胀综合症或高血压、脸红、出汗综合症,该病支持点少。考虑神经纤维瘤、神经鞘瘤可能性大。鉴别胸膜SFT
林漠:

后纵隔区肿块,常见神经源性肿瘤,孤立性纤维瘤,间皮瘤,小细胞癌。边界清楚,跟胸壁钝角,考虑肺外来源肿瘤。小细胞癌形态可类似,强化均匀,先排除。孤立间皮瘤往往有石棉肺病史及钙化。小孤立性纤维瘤坏死、囊变应该不明显,未见明确蛇纹血管征。考虑神经源性肿瘤,AB分区,神经鞘瘤可能性大,鉴别孤立性纤维瘤。
so easy:

右后纵隔肿块,宽基底,定位肺外;边界尚清楚,似向多个椎间孔有延伸,骨质侵蚀不明显,有强化,似有坏死。先定个偏良性的肿瘤,从发病率来说是要考虑神经源性肿瘤,典型的神经鞘瘤是不太像,其它的间皮瘤?SFT?淋巴瘤?脉管类肿瘤也不太像。静待开蛊吧。


南边老师分析
南边: 定位在哪?肺外没问题
南边: 胸膜?纵隔?
南边: 边界清吗?
 
南边: 狭长型,边界清,常规提示没侵袭性,良性吧
南边: 就是肺外、良性,这个大方向定一下
南边: 当然,淋巴瘤有时候也不能排除
南边:1、胸膜来源SFT,可以扁平、狭长
        2、神经源性
        3、淋巴瘤
        4、髓外造血
一般髓外造血案例有基础病变,例如贫血,这个没有,我觉得放最后
然后就是胸膜?纵隔?
胸膜看得清吗
血供?
南边: 这是病灶吗

南边: 上面可能与锁骨伪影干扰有关
南边:

南边:
 南边:   倾向于纵隔,神经源性肿瘤
 南边:南边: 淋巴瘤:病史太长,没侵袭性,不支持
南边: 髓外造血:内部低强化,无脂肪,肋骨无变化,加上临床无支持点,放待排
南边: 孤立性纤维瘤(SFT),供血提示壁层胸膜或纵隔来源,放待排
                             
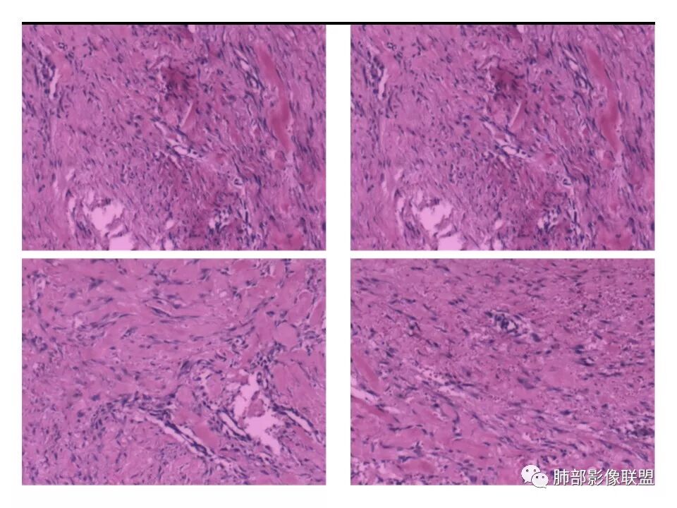
病理结果



           
侵袭性纤维瘤病(aggressive fibromatosis ,AF)
    是一类具有局部侵袭能力的纤维母细胞,肌纤维母细胞性肿瘤,也称为韧带样瘤、韧带样纤维瘤病及硬纤维瘤等,发生于深部软组织,起源于肌肉、筋膜或腱膜,是一组少见的中间性软组织肿瘤,且有共同的组织学特点。呈侵袭性生长及局部易复发的特征,但不发生远处转移;组织学上以纤维母细胞、肌纤维母细胞增生、细胞间丰富的胶原纤维为及增生血管特征,也可少许粘液样变;AF好发年龄为30-40岁,女性多见;AF根据发生部位分为:腹外型、腹壁型、腹内型,以腹外型最常见,全身各部位(四肢、胸壁、臀部、颈部、骨骼等)均可发病。



AF的CT及MR表现

AF的肿瘤形态及生长方式
1
膨胀性生长
    呈梭形或椭圆形,部分边缘可见假包膜,部分边界清楚,部分边缘模糊
2
浸润性生长
     形态不规则,部分呈“蟹足样”浸润,无假包膜,边界不清
   AF在CT及MR上的密度、信号取决于并各种成分的比例和分布,导致密度、信号及强化不均匀。
1
细胞成分(纤维母细胞、肌纤维母细胞)
CT上密度呈稍低密度区,MR上与肌肉相比T1W呈稍低信号,T2W呈稍高信号,增强后渐进性强化。
2
胶原纤维
CT上呈稍高密度,MR上呈T1W、T2W均为低信号,增强后病灶不明显,延迟扫描略轻度强化,CT上病灶平扫呈稍高密度,强化后不明显或轻度强化,呈相对低密度改变,呈密度“反转”现象。
3
粘液、血管成分
梭形细胞容易粘液变性,CT上密度呈稍低密度,MR上T1W呈稍低信号,T2W呈高信号,T2压脂上高信号往往提示粘液成分,增强后延迟略微强化;由于肿瘤较大,需要血供,并且肿瘤呈浸润性生长,生长过程中会将周围血供包绕进去,所以肿块内及周围可见供血血管。
为什么梭形细胞肿瘤为渐进性强化,粘液跟胶原纤维延迟会轻度强化?

由于肿瘤存在“旋涡状”排列的梭形细胞及细胞外胶原纤维,造成对比剂“易进难出”,大量存在于细胞外间隙,使得随时间延迟肿瘤呈渐进性强化、范围扩大,细胞成分较多的区域强化明细,胶原纤维及粘液区成分较多的区域强化较弱,肿瘤内部显著扩张的裂隙状血管可能是肿瘤延长强化的病理学基础,还有粘液会阻碍对比剂的灌注,强化峰值会延长;而且粘液吸附性比较高,会影响对比剂的早期吸收。


小编回顾性分析
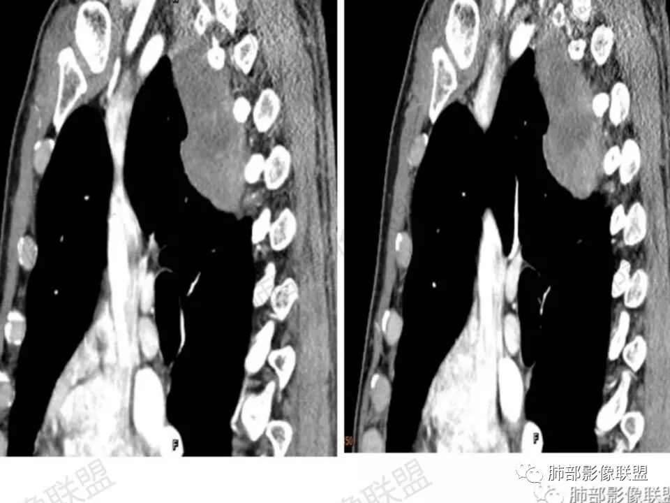
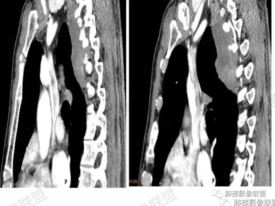
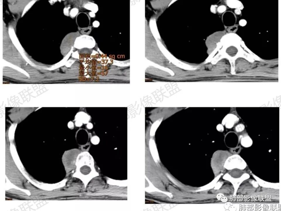
这个病例定位肺外没问题,病灶呈宽基底,见明显的胸膜掀起征,定位胸膜或右后纵隔来源,而且肿块提示肋间动脉穿行,脏层胸膜来源可能性不大(脏层胸膜由肺动脉及支气管动脉供血),那就是壁层胸膜跟纵隔来源,但是图像上有2个层面是胸膜外间隙有受压推移,所以壁层胸膜来源也不考虑;病灶是渐进性强化,常见的就是间叶来源含有梭形细胞的软组织肿瘤跟后纵隔常见的神经源性肿瘤鉴别,那如何在后纵隔的大山里拨开云雾找到我们想要的答案呢?那小编在这里先理出几个问题:
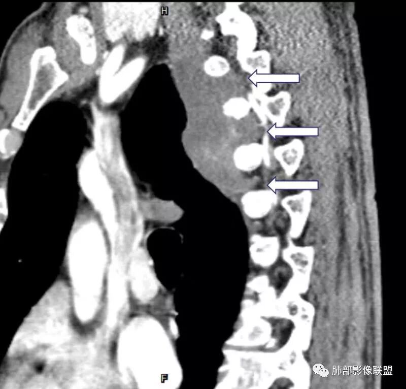
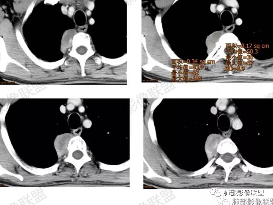
问:为什么该病例只提供了增强,没有提供平扫?                         答:咨询了提供病例的於老师,他告诉我因为患者主管医生直接开的是单纯增强CT,故没有做平扫,所以不能观察到CT上所谓的胶原纤维的“反转”现象,而且没有平扫,增强后的无强化或弱强化区不能明确区分是胶原纤维或粘液区,但是MR上有帮助,粘液水分含量高,T2W及压脂序列呈高信号,而胶原纤维T1W、T2W均呈低信号 。 
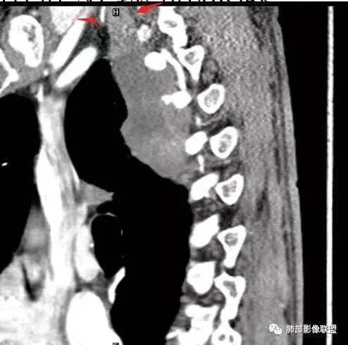
问:这个病例病灶确实邻近椎间孔生长,除了神经源性肿瘤会向椎间孔方向生长,还有什么肿瘤会有这种行为?这个病灶整体形态呈扁平不规则,周围骨质未见破坏,就一定是良性吗?    答:这个病灶明显嵌入式生长,往往提示病灶柔软或有侵袭性,而神经鞘瘤往往有包膜,有张力,典型的形态往往呈类圆形、“逗点形”或“哑铃型”横向延入某一椎间孔内;神经节细胞瘤虽然可以比较柔软,但是具有大量粘液基质,动静脉期强化不明显,延迟强化轻度增强,加之没有钙化,故符合点不多;此外比较柔软的肿瘤如淋巴瘤,但是周围没有肿大淋巴结不太考虑;本例形态不规则的实性肿块,没有明显骨质破坏,倾向具有侵袭性的间叶来源的肿瘤。
问:神经源性肿瘤的生长方式?
           答:神经源性肿瘤的解剖位置及形态很重要—沿神经干方向生长走行。后纵膈内神经鞘瘤最常见的是神经根出入椎间孔处,并可沿着肋间神经方向分布,所以后纵膈神经鞘瘤通常横径大,上下径小,这个病例明显上下径长,所以不符合神经鞘瘤;神经节细胞瘤可沿着椎旁上下方向分布(参见上图黄色梭形的神经节),所以表现为上下径长,虽然生长方式符合,但是节细胞瘤以粘液为主,易钙化,该病例成分及强化方式不符合。               
 病灶内的肋间动脉穿行代表什么?
答:代表病灶内供血血管或病灶具有侵袭性将血管包绕其中。提示病灶的肺外来源属性。


患者虽然没有做CT平扫,但是做了MR,MRI图像分析如下

病例总结:这个病灶除了发病部位不是很典型,其他影像表现均较符合侵袭性纤维瘤病改变。该病例定位很重要,胸膜来源还是纵膈来源。病灶周围结构虽没有破坏,但是嵌入式生长的实性肿块,符合侵袭性肿块的生物学行为。图像资料完整对诊断尤其重要,CT平扫及各期强化都是相辅相成的,强调MR检查对于侵袭性纤维瘤有鉴别诊断价值。

1.和我学纵隔神经鞘瘤——黄勇
2.侵袭性纤维瘤病,你们认识吗

End
编辑:蔡笑燕
审核:冯连彩  徐   晓
病例提供:江西九江市第一人民医院 於雄



到顶部