【每日晨读】:“三胸一血一难”—您会想到啥?



(图片来源于百度)


病例展示




























微信群发言(摘选)
杨泽锋:右肺尖病灶由结节赢、索条影、斑片状影,考虑结核右肺下叶胸膜下楔形斑片状影,因为临床上有胸痛,发热又不明显,首先会想到肺梗,建议增强看看
马春平(张家港市一院胸外科):中年男性、低热、痰血、胸痛 、血象高,右上叶多发结节、疑似空洞、渗出、纤维条索、树芽,右下肺胸膜下与胸膜平行GGO肺泡和小叶间隔增厚,考虑二元论:右上结核、右下肺梗
一切∮随缘:右肺肺尖段多发结节片状高密度影,部分伴有反晕征,边界欠清楚,部分伴有纤维索条,支气管显示欠佳,小叶间隔增厚,周围血管束增粗,(考虑结核可能)右肺下叶胸膜下片状磨玻璃影,与胸膜相贴,与肺组织交界面清楚,实性偏少,考虑:肺栓塞?病毒?OP?
王秀仙:右肺上叶可见结节及斑片影,部分呈反晕征,边缘清晰,右肺下叶后基底段胸膜下磨玻璃样实变影,呈扇形,内部见细网格,右肺上叶考虑结核。右肺下叶考虑肺栓塞,鉴别病毒肺炎。
小兜:男,47岁,胸闷气短入院,一天前无明显诱因胸闷气短伴呼吸困难,夜间出现右侧胸痛,与呼吸及体位有关,曾有一次痰中带血。CT示右肺上叶尖段多发结节,条索影,可见树芽征及反晕征。右肺下叶胸膜下片状密度增高影,宽基底与胸膜相连,成扇形。综合考虑右肺上叶尖段结核可能;右肺下叶肺栓塞?病毒性肺炎?
琦遇:右肺上叶结核基本明确,考虑活动性,有钙化、反晕征、结节、斑片、纤维索条;右肺下胸膜下GGO,内大小网格,胸膜增厚,患者胸痛,咯血,首先考虑PE,下一步增强CTPA以明确
微微笑:右肺上叶斑片、结节、索条影,边缘较清晰,见反晕斑片,考虑结核。右肺下叶宽基底磨玻璃影,网格样改变,胸膜增厚,结合病史,考虑栓塞。
三个石头:右肺上叶结节,斑片,条索,考虑结核。右肺下叶大片磨玻璃,有胸痛,咳血,考虑肺栓塞,建议增强。鉴别病毒肺炎
傅昌瑜:有肺栓塞三联征:胸痛、呼吸困难、咯血。一元的话考虑肺栓塞、结核;二元:右上肺结核、右下肺肺栓塞。
飞鹰行动:中年男性、低热、痰血、胸痛 、血象高,右上叶多发结节,磨玻璃影、疑似空洞、渗出、纤维条索、树芽,有烟花样改变,右下肺胸膜下与胸膜平行GGO肺泡和小叶间隔增厚,考虑二元论:右肺上叶结核、右肺下叶梗塞?建议CTA检查。
水晶石头:患者中年男性,胸闷、气促1天。伴右胸痛及痰中带血。否认结核、心脏疾病等病史。查体无特殊。完善血常规白细胞计数、中性粒细胞百分比及C反应蛋白升高。心电图、B超、凝血功能、降钙素原、脑钠肽正常。胸部CT:右肺上叶尖段多发结节、斑片、纤维条索影,见小叶间隔增厚及反晕征。右肺下叶后基底段胸膜下片状磨玻璃影,见小叶内间隔增厚。右侧胸膜增厚,未见明显淋巴结增大。综合考虑右上肺结核病变,右下肺肺栓塞。鉴别病毒性肺炎及恶性病变。
大雄:右肺上叶结核;右肺下叶胸膜下GGO,胸痛,呼吸困难,咯血,血氧低,考虑PE下一步CTPA以明确
丽:中年男性,胸闷,无咳嗽,右肺散在片状、索条及结节影,部分见反晕征,上叶为主,考虑结核。右肺下叶胸膜下磨玻璃密度,可见网格,考虑肺栓塞
张延军:右肺上叶多发大小不等结节,部分界清,反晕征(+),下叶胸膜下磨玻璃影,纵膈窗似较对称血管细,结合咳血症状,考虑栓塞
许慧良:中年男性患者,急性起病,胸闷气喘伴有胸痛,低热,低氧,白细胞增高,心电图正常,肌钙蛋白正常。胸部CT:右肺上叶尖段病变,有结节灶,纤维索条影及小斑片状实变影,有反晕征,右下肺胸膜下片状磨玻璃影,小叶间隔增厚。从病史上首先考虑肺栓塞,影像上右肺上叶陈旧性结核?机化性病变?右下肺栓塞可能?
小锁:中年男性患者,急性起病,胸闷气喘伴有胸痛,低热,低氧,白细胞增高。CT:右肺上叶斑片状稍高密度影,粟粒样树芽征,有钙化,考虑继发性结核;右肺下叶肺动脉增粗,溶冰征,提示血管来源病变,结合临床病史,考虑肺栓塞。
尘缘:病程短,三胸伴一血一难的,基本锁定肺栓。
三胸(胸膜下楔形,胸痛,胸水),一血(咯血),一难(呼吸困难)


南边老师分析


中年男性,突发胸闷、气短,胸痛1天;无发热,白细胞高
37.6°还是有低热吧
右上叶,多灶性、多态性,烟花征,结核应该没问题

然后就是右下叶病灶的问题
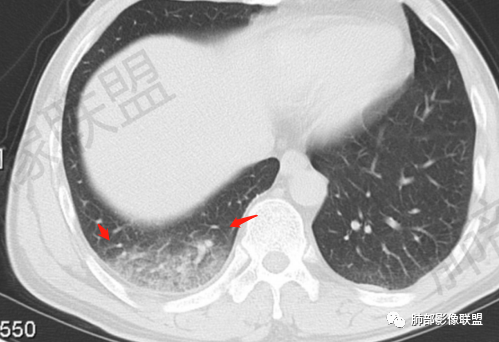
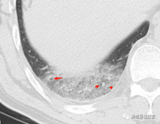
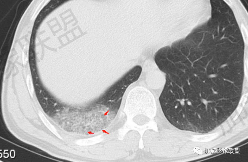
后基底段,胸膜下,这个没问题吧

我们看看病变的形态、密度、边缘、内部改变
GGO密度

边缘不清
可惜没有重建,楔形?


细网格明显



支气管通畅,壁增厚

血管增粗

南边:首先应该不是气道来源的病变,气道的应该是小气道病变为主。
间质为主的急性病变主要有:
感染:病毒、衣原体为主
血管来源的:梗死要考虑
因为是急性,原因就很多


答案揭晓

















肺动脉栓塞
肺动脉栓塞(简称PE)为内源性或外源性栓子堵塞肺动脉或其分支引起肺循环障碍的临床和病理生理综合征,是常见的且具有潜在致死性的心血管疾病,90%为肺动脉血栓栓塞。
CT肺动脉成像(CTPA)以其高度的敏感度和特异度,已经作为临床上诊断急性肺栓塞的首选方法。
中央型肺栓塞包括栓塞部位累及纵隔动脉(肺动脉干,左、右肺动脉,左、右叶间动脉)及肺叶动脉(双肺上叶肺动脉、右肺中叶及左肺舌叶肺动脉、双肺下叶肺动脉);周围型肺栓塞包括栓塞部位累及肺段及亚段动脉(肺段动脉包括双肺上叶3支、右肺中叶及左肺舌段各2支、双肺下叶各5支)。
急性肺栓塞患者CTPA上胸部继发改变包括肺动脉干增粗、右心增大、肺梗死、马赛克征、Westermark征、心包积液、胸腔积液、肺不张/肺膨胀不良等。
肺动脉高压的标准以肺动脉干直径大于3 cm或肺动脉干直径大于同层面升主动脉直径。右心增大的标准以横断位四腔心层面右心室内径与左心室内径比值大于1,或出现室间隔变直或凹陷等征象。
急性肺栓塞发生后,因肺动脉血流阻断而引起供血动脉远端肺组织的坏死称为肺梗死。肺动脉分支一旦血流阻断,远端毛细血管网则因管壁缺氧而通透性增高,液体及红细胞随之渗出,肺泡腔内渗出物增加,必然会影响气体交换,随后肺梗死发生。既往有研究表明,肺外周楔形阴影可以认为是肺梗死的征象,是唯一与肺栓塞显著相关的肺实性异常,该征象在肺栓塞患者中的发生率为25%。
马赛克征反映了血管阻塞或通气不良。可能是由于中央组肺栓塞引起的血管阻塞及血流差异更为明显,继而导致肺血流分布不均。
Westermark征是指当肺叶或肺段动脉栓塞时,相应范围的肺纹理减少或消失,透亮度增高。
急性肺栓塞合并胸腔积液及肺不张的发生率也较高。急性肺栓塞患者出现肺不张主要是由于胸腔积液外在压迫造成的,而部分肺栓塞患者有长期卧床史,由于坠积效应亦可引起近地侧肺组织膨胀不良。
综上所述,中央型急性肺栓塞危险程度更高,更易引起肺动脉高压、右心功能不全、肺梗死及马赛克征等一系列的继发改变。早期确定栓塞类型对于对临床判断预后及选择治疗方式有一定的价值。
 
文章来源:中华放射学杂志, 2018,52(1) : 9-14
作者:李菲 唐笑先 师建强 徐婷 杜晓兢


编辑:赵永兵
审核:徐  晓
到顶部