【每日晨读】七夕“蹊跷/乞巧”遇碰撞




七夕“蹊跷/乞巧”遇碰撞

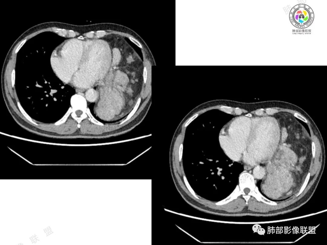
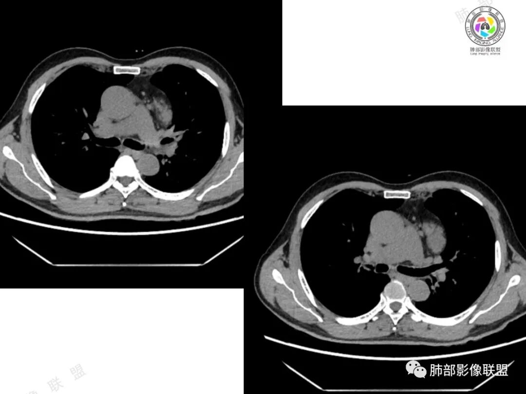
病例资料



















































































微信群发言

王秀仙:
左侧纵隔占位,大量脂肪组织,其内多发斑片、结节样软组织,与邻近血管、心包分界清晰,无明显占位表现,强化明显,软组织内可见低密度纤维分隔,老年男性,无症状,考虑胸腺脂肪瘤(垂乳征)。鉴别胸腺脂肪肉瘤。
一切∮随缘:
右侧中后纵隔肿块,病变形态不规则,似多结节堆积,周围伴有环形脂肪密度,平扫密度尚均匀,增强后不均匀强化,部分强化明显,坏死不明显,周围淋巴结肿大,病变向左肺压迫,左肺体积缩小,左心室壁增厚,综合考虑:低度恶性,脂肪肉瘤,脂肪母细胞瘤,畸胎瘤(钙化没有),鉴别脂肪沉积。
binby:
这个肿瘤生长跨度有点奇特,成分很混杂有强化,但侵袭性不强,似有包膜包裹,含脂,巨大,跨度非常大,有点跨胸腹腔的感觉,成分非常混杂,强化也很杂乱,但外有包膜边缘光滑清晰无侵犯,而且无症状,年纪又是中老年,肿块有种征象内外矛盾,与症状矛盾,呈现我很‘’丑‘’但很‘’温柔‘’的感觉,故考虑继发的,偏良性的病变,首选冬眠瘤;其次畸胎瘤。
必有路:
定位纵隔,含脂肪,脂肪肉瘤可能,这么大,没有钙化,畸胎瘤 错构瘤不怎么考虑,鉴别,冬眠瘤,髓样脂肪瘤 
清欢:
纵隔左侧混杂密度肿块,大量脂肪密度、软组织密度,边界尚清晰,增强后软组织密度影渐进性强化明显,内可见点条状血管影。考虑脂肪肉瘤,鉴别胸腺脂肪瘤,血管平滑肌脂肪瘤。
空格:
临床无特异性。定位:左侧纵膈没问题,实性部分紧贴心缘,行走的血管看不出起源,左侧锁骨下动脉?影像特点:1 脂肪成分肯定增多,以成熟脂肪为主,部分脂肪浑浊,这点排除胸腺瘤?也排除无脂肪变化的淋巴瘤?2 实性部分分布于心缘侧,部分被心缘塑形,病灶较软?良性的证据?3 实性部分呈结节状,有纤维分割?病灶内行走的血管,无明显受侵表现,排除淋巴瘤后,说明病灶是良性病变?4 病灶巨大,而临床逍遥,周边也明确的 转移侵犯表现,提示良性可能大?5 无骨化或钙化。综合良性病灶可能大,血管平滑肌脂肪瘤可能大,不完全排除脂肪肉瘤。病灶底部有渗出?出血?感染?良性恶变?。
小赵:
中老年男性,偶尔胸痛,症状相对轻。左侧胸腔巨大混杂密度肿块,与纵隔相连,呈悬乳征,内见脂肪密度及多发散在结节状及团块状软组织密度影,增强扫描有强化,并见强化血管影。病变边界清楚,周围侵犯不明显。常规考虑胸腺脂肪瘤。但是病灶内软组织成分强化明显,右肺门和隆突下似乎有肿大淋巴结,患者又有胸痛的症状,且年龄偏大,脂肪肉瘤要鉴别一下,因为胸腺脂肪瘤绝大多数发生于40岁以下,残留胸腺的软组织影一般较少,呈条状或者片絮状,本例软组织成分太多了,加上有强化血管影,所以需要脂肪瘤和脂肪肉瘤鉴别。再离谱点儿就是有没有可能同时合并胸腺瘤,因为软组织部分分隔明显。
周太狼:
中老年男性,左侧纵隔巨大混杂密度肿块,与心包分界欠清,其内多发大小不等实性成分及脂肪密度影,增强实性成分不均匀强化,病灶内可见血管,考虑胸腺脂肪肉瘤可能。


微信群讨论

大雄:
纵隔含(大量)脂肪占位疾病谱:
良性:
脂肪瘤(纯脂肪) ;
冬眠瘤(罕见、密度稍高);
胸腺脂肪瘤(体积巨大,垂乳征);
成熟型畸胎瘤(脂肪+液性+软组织+骨化)
恶性:脂肪肉瘤(脂肪+软组织,可明显强化,不同分型,恶性程度不同)
病灶巨大,无明显侵袭破坏和转移,提示低度恶性、高分化,先常规考虑高分化脂肪肉瘤,肉瘤其实也多变的。
马春平(张家港市一院胸外科):
为什么都考虑脂肪肉瘤呢?肿瘤上界从左前上纵隔向下延伸,血供大概率是与胸腺一样来源于左锁骨下动脉或左胸廓内动脉区域,肿瘤内岛样实性成分与脂肪成分参半,无胸水和转移病灶。虽肿瘤向下延伸偏大,胸腺脂肪瘤不可排除。
大雄:
实性成分太多了,胸腺脂肪瘤以脂肪为主吧?
马春平(张家港市一院胸外科):
有少见病例胸腺脂肪瘤伴胸腺瘤。
胸腺脂肪瘤伴胸腺瘤B1以上多见。
大雄:
胸腺瘤伴脂肪增生可以的,不过确实不多见。
马春平(张家港市一院胸外科):
是少见,脂肪肉瘤的脂肪低密度分布应该比这更均匀一些,这例的高密度实性肿块和结节感觉像地图一样分布在正常脂肪中。
大雄:
实性部分富血供强化,分隔明显,是有一点胸腺瘤的意思。
冬眠瘤发病率相对低 而且这个实性部分较多,强化明显,不需要首先考虑;同理脂肪瘤和胸腺脂肪瘤也排除了;可以大量含脂肪的,那么还剩下畸胎瘤,没有明显块状骨化成分,可能性相对小。
binby:
疑问的是这么大的脂肪肉瘤,高分化的话症状可以解析,但强化和内部结构好像有点矛盾,低分化的话,但又无无症状和侵袭性,纠结在这里……
尘缘:
看实性成分的密度和强化确实像胸腺瘤,所以我把胸腺来源脂肪肉瘤或胸腺脂肪瘤考虑在前面,鉴别畸胎瘤。
小赵:
我觉得实性部分分隔太明显了,所以感觉有胸腺瘤,这个用脂肪肉瘤的实性成分确实不好解释。


结果:碰撞瘤
胸腺瘤伴畸胎瘤


病例小结

 
1、临床信息:中老年男性,临床症状仅诉偶感胸痛,体检来诊,症状相对比较逍遥。简单点说就是病史不急,症状不重。
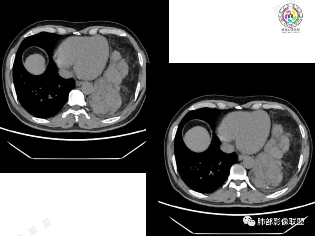
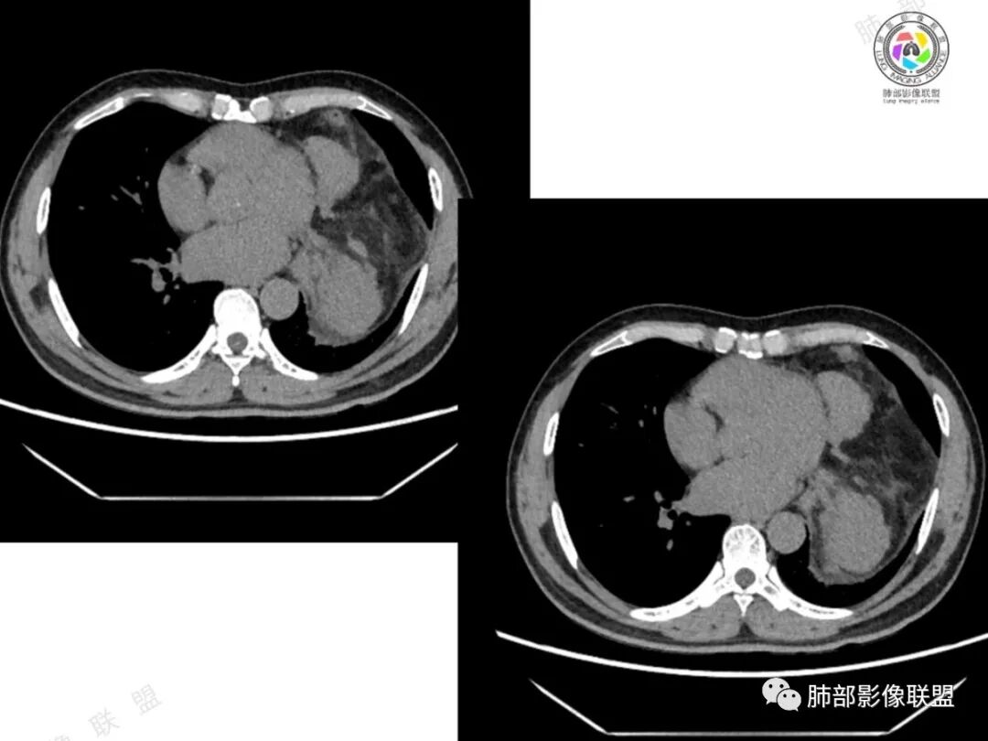
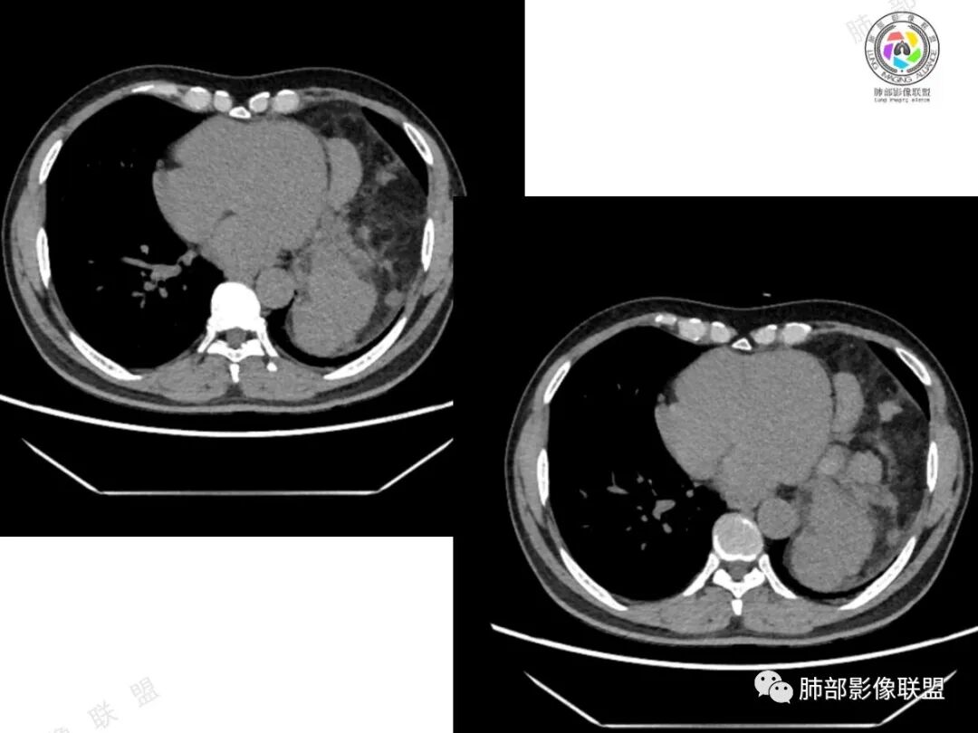
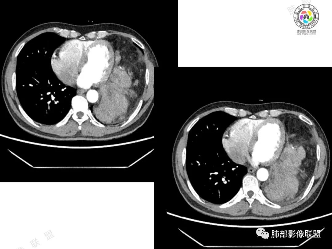
2、影像所见:左侧纵隔紧贴心包铸型生长巨大混杂密度肿块,边界清楚,临近结构受推挤移位,无明显外侵征象。肿块自主动脉弓旁一直顺延到至膈顶,呈“垂乳征”。病灶脂肪成分居多,斑片状、结节状及团块状实性密度成分散落其中,呈地图样分布,实性成分偶见低密度线样分隔,未见明确钙化影。增强扫描实性成分呈延迟明显强化,并见强化血管影。纵隔内有肿大淋巴结,未见胸腔积液,肺内及胸膜未见转移性病灶。
3、影像诊断:脂肪肉瘤?胸腺脂肪瘤?畸胎瘤?胸腺瘤?
①脂肪肉瘤:本例含较多脂肪组织,需考虑分化成熟型脂肪肉瘤(高分化型)的可能,其好发于前中纵隔的下部及心膈角区,肿块常大,偏于一侧,可有分叶,包膜可完整,与周围组织器官界限清楚。以脂肪密度为主的肿块,增强后仅见间隔或实性部分轻微强化。而本例实性成分过多,且实性病灶强化较明显,与高分化型脂肪肉瘤表现矛盾。
②胸腺脂肪瘤:好发于前下纵隔心膈角区,肿块一般较大,多见于40岁以下年龄患者,其内可见条状或片絮状胸腺组织,一般无周围侵犯。本例实性成分多、体积大,年龄较大,与胸腺脂肪瘤存在较多冲突。
③畸胎瘤:多见于年轻患者,除实体部分的软组织密度、液体部分的水样密度和脂肪组织的脂肪密度外,钙化和骨化较常见,特征性表现是可出现脂肪-液体平面,有时在此界面出现线状及条索状混杂密度影为毛发团。成熟囊性畸胎瘤由分化成熟的组织构成,可以只有脂肪和囊变或者只有囊变。本例年龄较大,未见明确钙化及骨化,畸胎瘤似乎缺乏影像学证据。
④胸腺瘤:常见于40岁以上患者,是最常见的前纵隔肿瘤,大多数位于前纵隔,其次为心包旁,常偏侧生长,多数密度均匀,大于15㎝罕见,一般轻-中度强化,少数可明显强化。黄勇老师认为,胸腺瘤病理标本上均伴有不同程度间隔存在,随着侵袭性增强,分隔会逐渐不显著。当病灶有明确分隔,较均匀强化时,胸腺瘤一定要考虑到。
    4、疑惑:本例临床病史与影像表现,似乎单纯用一元论不足以解释全部,故要考虑到有无二元共存的可能性。
参考文献:
1.脂肪肉瘤的CT、MRI表现与病理学对照,医学影像学杂志2020年第30卷第2期。
2.脂肪肉瘤的CT、MRI表现与病理学对照,中国CT和MRI杂志2015年8月 第13卷 第8期 总第70期。
3.纵隔脂肪肉瘤CT诊断价值及其病理学特点,中外健康文摘,2011年9月第8卷第35期。

知识拓展

1、碰撞瘤:
碰撞瘤是发生在同一解剖部位上的2种不同组织来源的肿瘤,肿瘤成分之间通过薄层基质或各自的基板分隔,2种肿瘤邻近但肿瘤组织无混合。
碰撞瘤的概念包括以下含义:(1)在同一解剖部位发生;(2)内部含有2种能明确区分的肿瘤;(3) 2种肿瘤组织相邻,但没有肿瘤细胞或组织的混合。
碰撞瘤是一个病理学概念,容易和混合性肿瘤及复合性肿瘤混淆,而三者在病理上的定义完全不同。混合性肿瘤包含起源于同一种干细胞的多种组织学成分,典型代表是混合性生殖细胞肿瘤(如含有精原细胞瘤、绒癌及胚胎性癌3种成分的恶性混合性生殖细胞瘤)。复合性肿瘤其肿瘤内部混合2种不同的细胞类型,之间没有明确的界限或分隔,并可能发生癌变或肉瘤变(如癌肉瘤)。
文章来源:中华放射学杂志,2016,50(01): 22-26,作者:关键、王焕军等
 
2、胸腺瘤(B1型):
属胸腺瘤少见类型,占胸腺肿瘤的17.5%。B1型及以上重症肌无力常见,约占44%(WHO)。病理上通常包膜完整,可见纤维分隔。被认为是一种低度恶性潜能的肿瘤。手术切除率91-94%,术后复发率低于10%,10年生存率高于90%。处于AB型和B2型的过度类型,以往认为影像上缺乏特征性。边缘分叶常见,病变内可见分隔,但缺乏AB型胸腺瘤那样广泛而显著的分隔。很少伴胸腔积液,可侵犯纵隔脂肪,罕见胸膜种植结节。无分叶者与A型不易区分。
——胸腺瘤内容来自黄勇老师课件

感谢您的关注!
相关链接:【每日晨读】  快速判断胸腺瘤



编辑:杨  丽、赵永兵
审核:徐  晓
到顶部