【每日晨读】让人狐疑的肺结节倍增时间


2020-08-26晨读病例
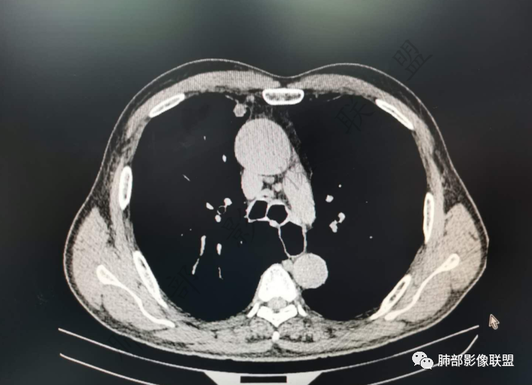
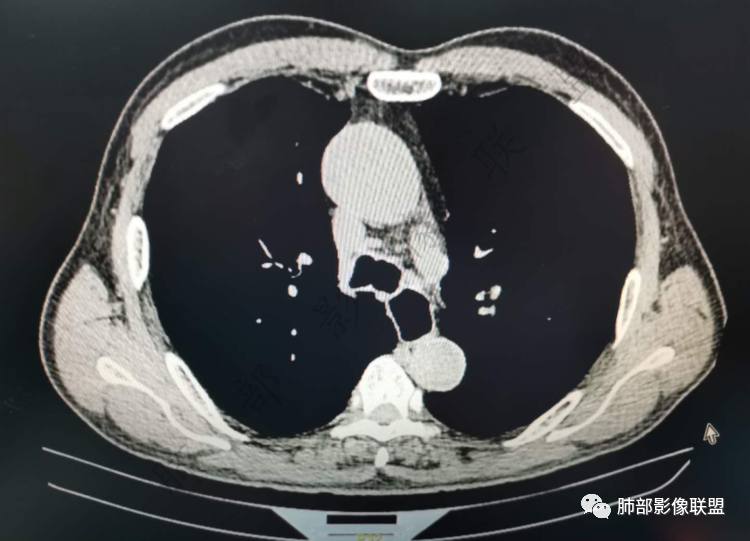
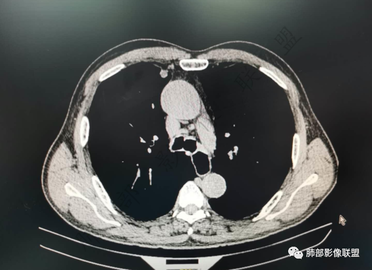
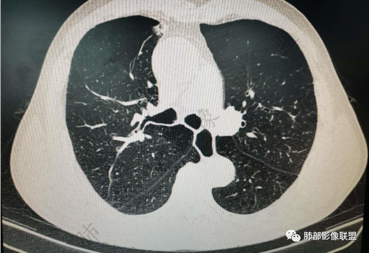
病例资料































   
群内讨论
亚东 :
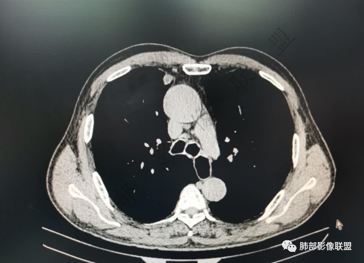
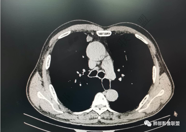
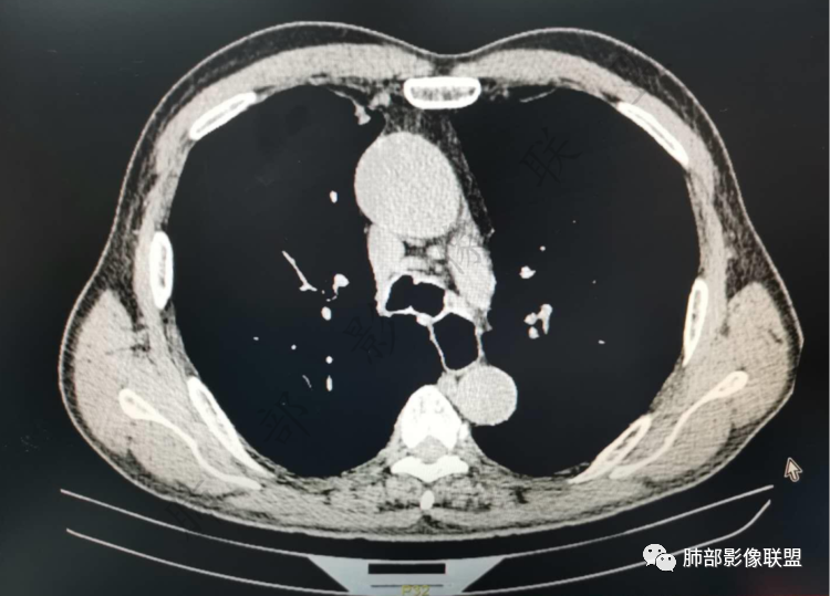
右肺上类圆形叶结节,周边见细软毛刺,增强后呈环形明显强化,内部坏死,邻近胸膜光滑,结合病史2个月明显增大,考虑炎性可能性大。
杨丽 :
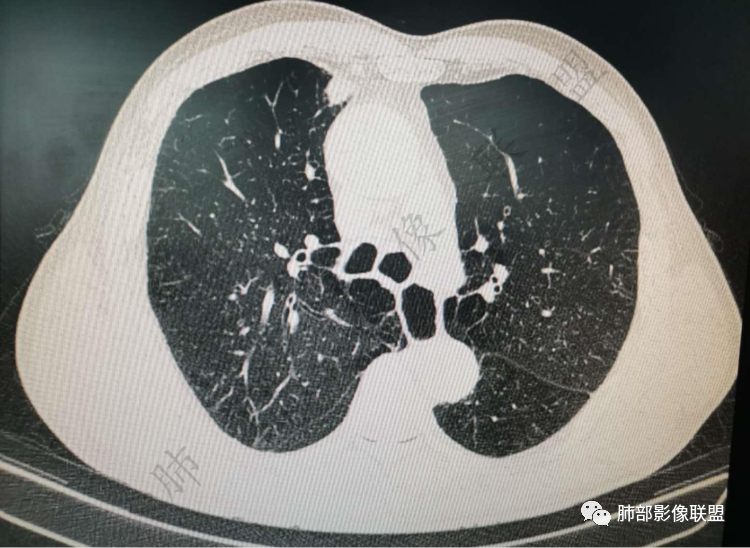
老年男性,炎性指标略高,肺气肿背景。右肺上叶胸膜下结节,部分边缘平直,部分稍模糊,软长毛刺,血管增粗,病灶中心密度减低,邻近脂肪间隙清晰。考虑炎性肉芽肿或慢性炎症,鉴别鳞癌。
淡泊人生 :
老年男性,炎性指标略高,肺气肿背景。右肺上叶胸膜下结节,部分边缘平直,部分稍膨隆,供血血管增粗,增强扫描病灶中心密度减低,呈环形强化,邻近脂肪间隙清晰。考虑炎性肉芽肿或慢性炎症,鉴别鳞癌。
杨泽锋 :
肺气肿背景
实性有隆起的小结节,内部有坏死、周围包括内乳动脉有增粗
病史提到有明显增大(现在看上去也不算太大,所以是不是明显增大存疑)
综合考虑还是鳞癌可能大
王秀仙 :
右肺上叶前段胸膜下结节,边缘分叶毛刺,血管集束,支气管截断,纵膈胸膜牵拉,内乳动脉增粗,密度不均,中央可见坏死,两个月短期随访结节有增大,考虑恶性,腺癌。鉴别结核。
小兜 :
肺气肿背景,右肺上叶纵隔旁胸膜下结节,有血管集束,支气管堵塞,内乳动脉增粗,增强不均匀强化,内可见低密度区。考虑为恶性可能性大
宇宙 :
老年男性,肺气肿背景,右肺上叶胸膜下弧立实性不规则结节,密度不均,其内低密度坏死影,支气管似有截断,血管集束,2月复查明显增大,考虑恶性,鳞癌可能大,鉴别炎性肉芽肿
飞鹰行动 :
老年男性,炎性指标略高。影像表现右肺上叶胸膜下结节,膨胀性生长部分边缘平直,边界清晰,病灶可见血管集束征,近段支气管阻断?增强扫描病灶中心密度减低,低密度区边界模糊,外围环形强化。老年性,不能排除恶性病变,周围性鳞癌,其次才考虑炎性肉芽肿或慢性炎症
红星 :
老年男性患者。肺气肿 ,轻微的支气管扩张,右肺上叶前段胸膜下小结节影,轻分叶,长短不一毛刺,边界欠光整,明显的强化。考虑腺癌或鳞癌。
THINKER :
定位:肺内
右上叶前段结节,肺气肿背景,血管滋养丶支气管截断,与纵隔脂肪间隙清析
定性:恶性,鳞癌
周太狼 :
老年男性,肺气肿背景,右肺上叶前段胸膜下结节,部分边缘毛糙,血管集束增粗,支气管似有截断,胸膜牵拉,结节密度不均,两个月随访结节有增大,考虑恶性,肺癌可能;另右肺上叶后段肋胸膜区小片状类结节影,考虑炎性可能。
安吉木子何方李 :
老年男性,有肺气肿,估计有吸烟。病灶靠近胸膜宽基底紧贴胸膜。有直边征,有U型凹陷,为良性征象,有血管集数征,小的支气管截断征,为恶性征象。病灶周围没有树芽征,似乎找不到卫星灶,没有葫芦兄弟,增强扫描病灶内有空泡,所以综合考虑恶性可能大,鳞癌和粘液腺癌鉴别。良性的话结核和隐球菌鉴别。
毛勤香 :
右肺上叶前段结节,边缘毛糙,血管进入,局部细支气管似闭塞,增强有强化,中心密度似减低,2月明显增大,肺气肿背景,首先考虑炎性结节,鳞癌增大可以很快,对比老片看看
张延军 :
右肺上叶前段胸膜下结节,近段支气管截断,血管伸入结节内,密度不均,同侧临近内乳动脉增粗,不均匀强化,肺气肿背景,两月明显增大,考虑低分化鳞癌,隐球菌代排
哦落花时节 :
老年男性,肺气肿背景,右肺前上纵隔旁结节,边缘平直,密度均匀,伴长索条影,增强均匀轻中度强化,结合2个月结节明显增大,倍增时间短,腺癌不考虑,考虑炎性肉芽肿,鉴别炎性肌纤维母细胞瘤
傅昌瑜 :
老年男性,白细胞计数及CRP稍高,右肺上叶结节,两个月来有增大,部分边缘可见边界模糊的GGO,局部边缘平直、凹陷,临近胸膜增厚,内见坏死,坏死区边界未见明显壁结节,壁较厚而且均匀强化,支气管似乎有扩张然后截断,近端血管增粗明显。考虑炎性病变,脓肿?有结核病人密切接触史,注意是否为结核。有点难以理解的是为什么右侧内乳动脉增粗明显。
大雄 :
通常认为结节体积倍增时间, 腺>鳞>小>炎性 中文期刊搜过一些,真正有大数据追踪并严谨测量过的不多,好多都是直接引用外文期刊
这种研究想想,操作起来也不容易, 正好来复查的时间就是刚好倍增,并且最后被确诊为癌
秦化君 :
老年男性,无症状,炎性指标增高。肺气肿背景,右肺上叶前段结节,边缘部分平直部分澎隆,血管集束,支气管至病变边缘似截断,近端扩张。增强环形强化,中心坏死。两月内病灶增长太快,考虑炎性肉芽肿,慢性脓肿?结核?癌待排。
必有路: 晨读:炎性病灶先考虑,2个月明显增大,如果属实,倍增时间太快,同时,这种片,对比前片,意义重大,整体倾向炎性病灶。
两个月,接近倍增,还是坚持炎性病灶吧  炎性假瘤 肉芽肿之类的
肿瘤不会这么快
马云凤: 我问了一下,两次复查间隔是5月13日,到7月8日
同事说结节第一次是0.9cm,第二次是1.5cm
大雄: @李标达 倍增指的是体积直径增加25%左右,就倍增了这个9mm到15mm,体积已经增大4倍不止了
所以推断它的倍增时间<40天
<40天倍增 的肿瘤 比较少见  小细胞?
saf: 通过倍增时间,我们可以对肺癌的诊断提供参考,比如小于30天,大于465天多为良性。但也不是绝对,小细胞肺癌的倍增时间可以小于30天,但是一般大于20天,有些惰性的肺癌倍增时间甚至大于2年。 我查到的  不知道对不对 请@於雄 九江市一医院影像  老师指正
大雄: @陈玉霞 新密市第一人民医院 通常认为结节体积倍增时间,  腺>鳞>小>炎性中文期刊搜过一些,真正有大数据追踪并严谨测量过的不多,好多都是直接引用外文期刊
这种研究想想,操作起来也不容易,  正好来复查的时间就是刚好倍增,并且最后被确诊为癌
   
南边老师分析
南边 :


肺气肿背景

支气管变形、壁增厚,提示慢性支气管炎症

边缘平直
宽基底与胸膜相连,附近胸膜增厚,糊墙



内乳动脉关系似乎不密切

内部有低强化区,边界尚清

还是支持炎性放前面,恶性待排

   
             

病理结果


马春平(张家港市一院胸外科): 
不要低估低分化鳞癌的倍增时间,近胸膜、生长快、坏死早。
大雄: 
这个鳞癌也太快了
必有路: 2个月这样进展
不过这么小病灶,分析我也觉得炎性放前面
马春平(张家港市一院胸外科): @於雄 九江市一医院影像   上周开的一例鳞癌,82岁40天从直经2cm到4cm,体积增8倍
@赵承勇张家港澳洋医院   单发的炎性肉芽肿结节经过二个月时间出现倍增和坏死更难解释。
听禅观竹(赵承勇): @马春平(张家港市一院胸外科) 倍增的速度特别快的情况,接触到的小细胞和低分化腺癌的多,鳞癌的相对少
王武章: 所谓倍增时间,我个人以为很多时候是容易误导人的一个概念,用增大一倍的平均时间去衡量个体,本身就有很大出入。肿瘤增长过程中,惰性增长过程往往很长,一旦增长,有很多是很快速的,因为是指数级。

编辑:许建林
审核:蔡笑燕  徐  晓
病例提供者:黄骅市人民医院 马云凤



到顶部