【每日晨读】你想不到的---液化坏死也有猫腻



  
◆ 基本信息   

◆ 辅助检查:


◆ 影像资料:





































讨 论 部 分
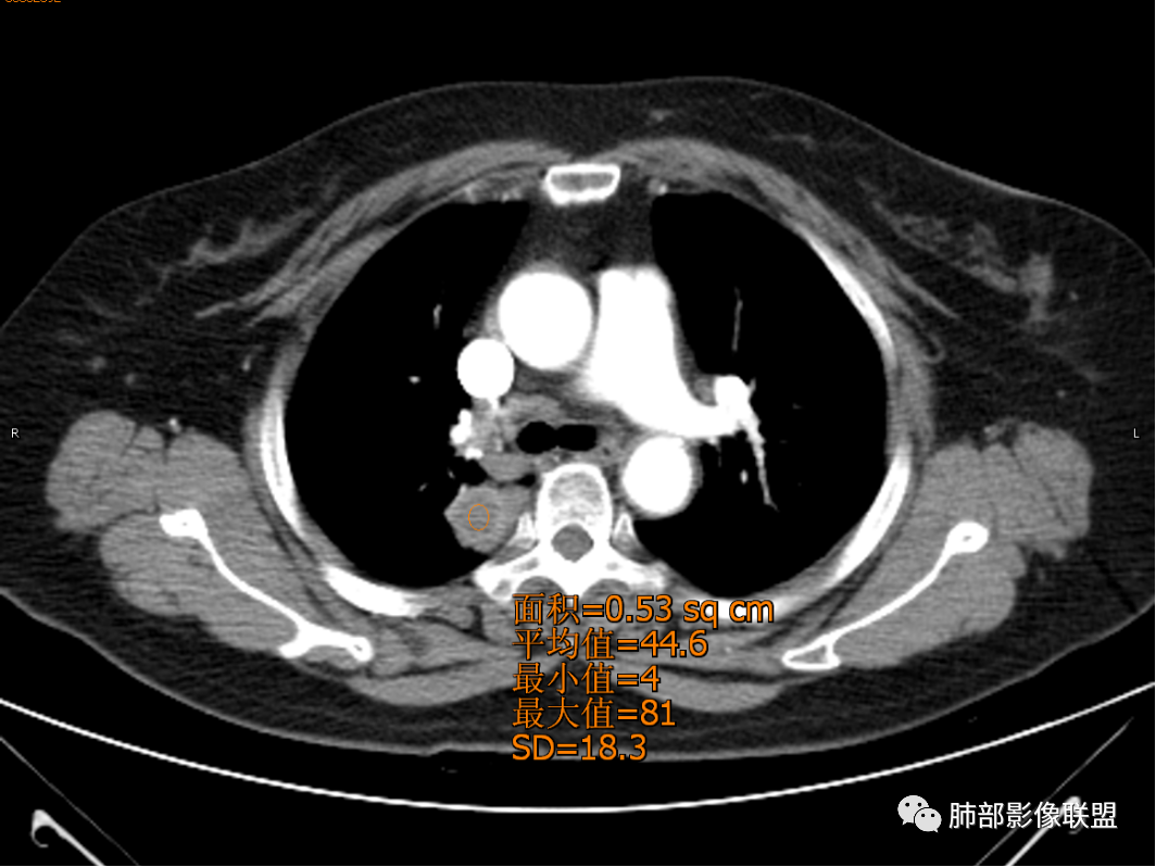
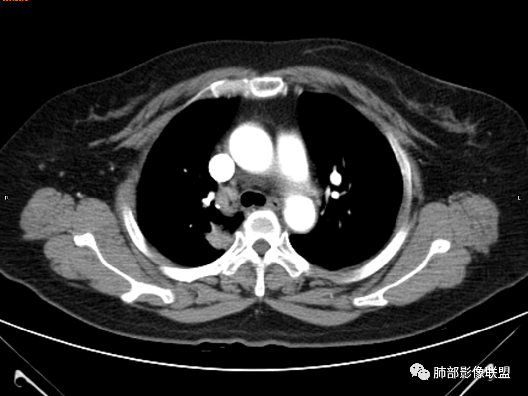
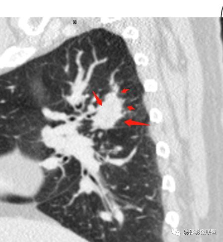
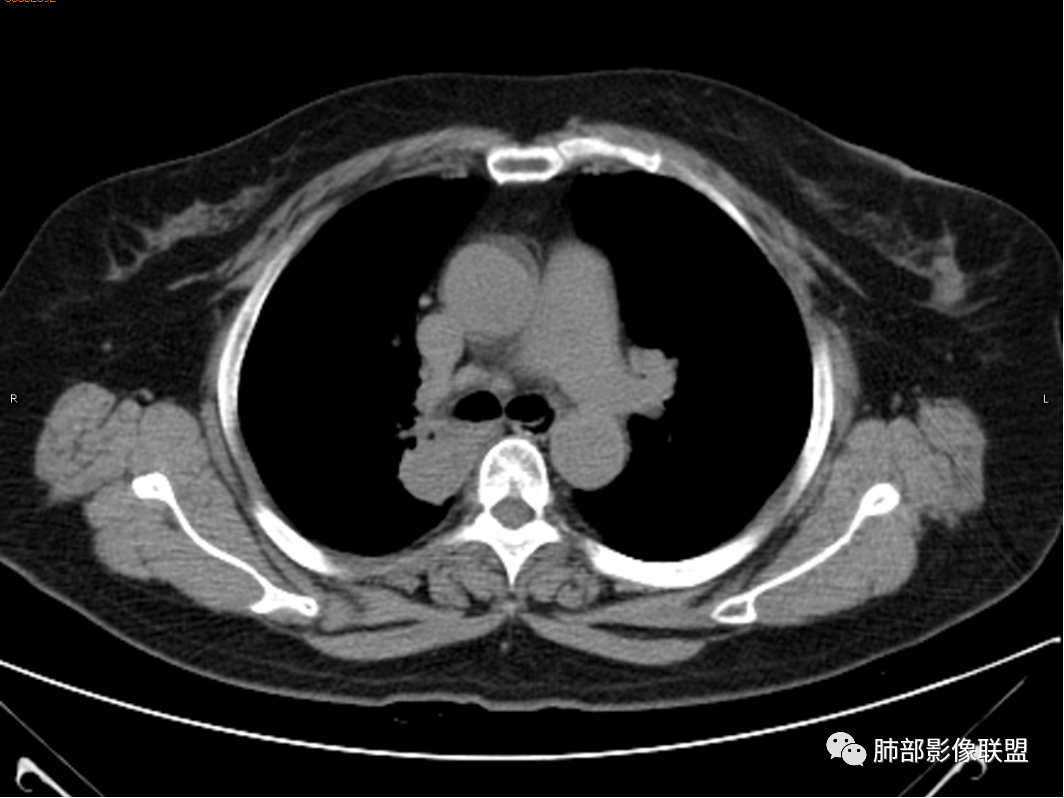
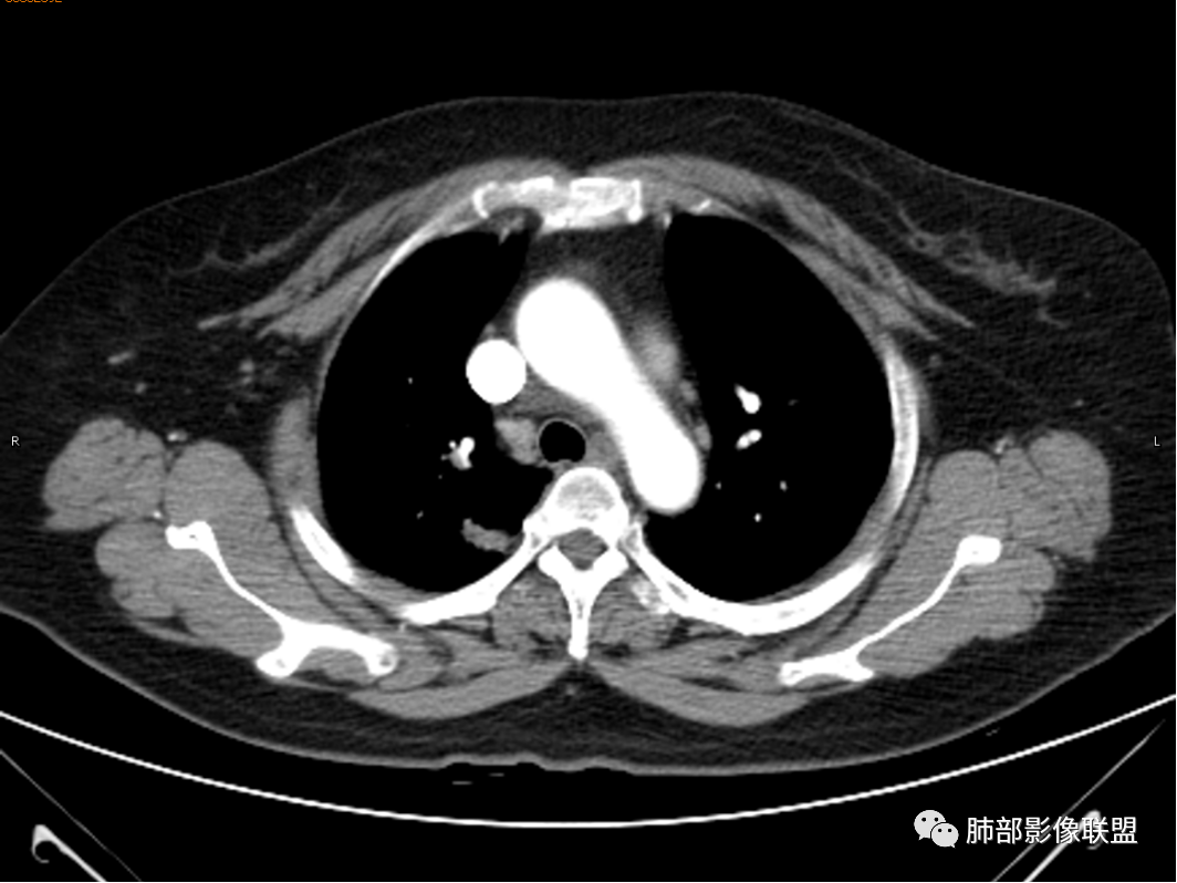
 杨丽:老年女性,无肺气肿背景。右肺上叶后段胸膜下肿块,局部浅分叶,边缘见长软毛刺,支气管通入,临近叶间胸膜略增厚,增强扫描可见明显坏死,坏死边界清晰,壁较薄,其余病灶中等强化。纵隔小淋巴结。考虑:感染性病变,结核?鉴别囊肿伴感染。
穿越七海的风:女性,右肺上叶肺内类圆形肿物,部分边缘平直,环行强化明显,周围磨玻璃考虑出血,结核鉴别类癌。
寒江雪:椭圆形肿块,局部紧贴胸膜,软毛刺,纵隔淋巴结。强化壁薄、均匀。考虑炎性病变,结核?囊肿伴感染待排。
杨泽锋:病灶不大,坏死彻底,尽管卫星灶树芽征不明显(可能层厚太厚了),还是首先考虑TB
王武章:较为符合淋巴结结核破溃肺内浸润,主要与支气管囊肿(并感染?)鉴别
红星:咳嗽咳痰,痰中带血一个月。右肺上叶后段一个结节的阴影,分叶毛刺,肺门有淋巴结的肿大,CT值是软组织的密度。增强扫描中等程度的强化,见薄环状强化,病灶周围没有卫星病灶。首先考虑结核性的肉芽肿病变。鉴别诊断腺癌、结节病、淋巴瘤。
玫:咳嗽,咳痰,痰中带血一个月,肿瘤标志物不高,右肺上叶肿块影,边界清晰,浅分叶及少许毛刺,增强扫描病灶边缘呈环形强化,病灶内见坏死区,考虑结核可能,鉴别腺癌。
 蕊:环形强化,中心性坏死,坏死界线较清楚,肺门淋巴结肿大,考虑结核可能。
薏米:咳嗽,咳痰带血就诊,右肺上叶不规则密度增高影,未见支气管截断,边缘以凹陷收缩为主,环形强化,坏死边界清,坏死比较彻底,考虑结核,鉴别鳞癌、类癌。
青藤之凉:环形强化,中心性坏死,坏死界线较清楚,肺门淋巴结肿大,考虑炎性病变,结核可能,鉴别肺癌。
王秀仙:右肺上叶后段结节,分叶,部分边缘平直部分膨隆,周围可见磨玻璃晕,密度不均,中心低密度坏死,增强薄环状强化,坏死界线较清楚,纵膈小淋巴结肿大,考虑肉芽肿性病变,结核。鉴别鳞癌。
三个石头:右肺上叶结节,平直,鹏隆都有,磨玻璃晕边界不清,坏死边界清,肺门淋巴结大。考虑炎性,结核可能。
任广国:左肺上叶后段,不规则团块,边缘有软毛刺,刀切征,增强扫描其内可见圆形坏死区,壁中等强化,纵隔内淋巴结,均匀强化,无坏死。考虑肺脓肿;鉴别:结核;
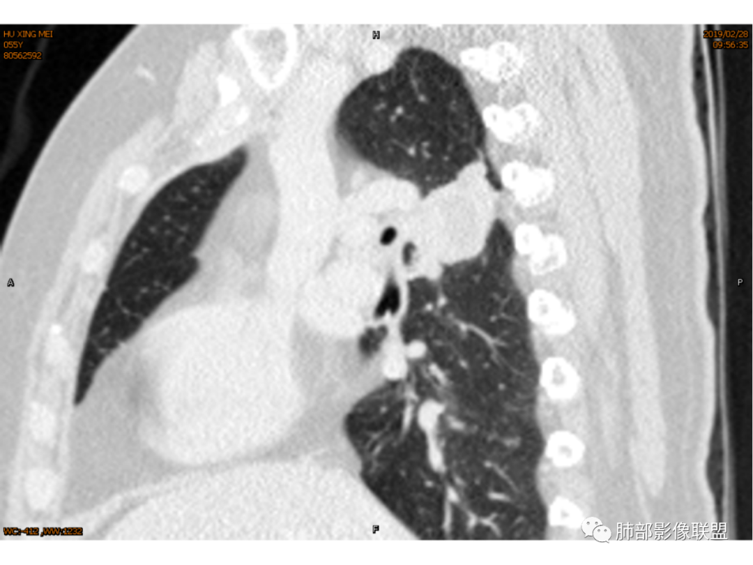
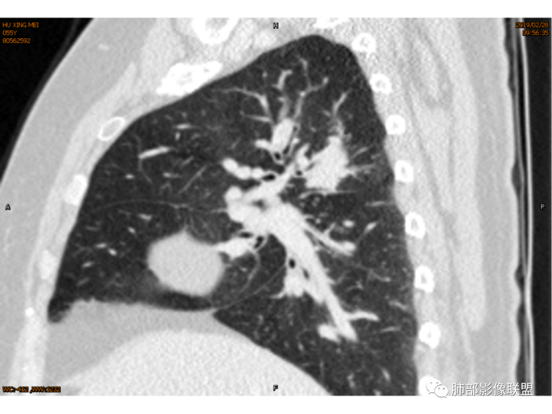
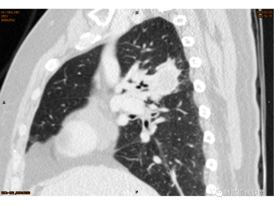
傅昌瑜:女性,咳嗽咳痰痰中带血1月。血常规、肿瘤标记物正常。CT:右上叶后段类圆形结节,内侧紧贴纵隔,前与右主支气管后壁分界不清。外后部分边缘平直收缩、矢状位可见U型凹陷、桃尖征,周围见边缘模糊的GGO,软毛刺。右上叶后段支气管似乎变狭窄。增强呈薄壁环形强化,内部强化不明显,强化时边缘似见有多个小结节与主病灶融合(芋艿子?)。远端见细小结节。整体考虑炎性病变,结核可能性大,注意鉴别腺癌。
哦落花时节:
女性,右肺上叶不规则软组织密度影,密度较均匀,边界清楚,略膨隆,增强环形强化,内壁光滑,有分隔,未见明确血管进入,考虑良性,结核?炎性肉芽肿?鉴别鳞癌。
清茶:女,咳嗽咳痰带血丝,右肺上叶见结节样肿块,边界清晰,边缘部分磨玻璃影,环状强化,内坏死区无强化,考虑恶性,鳞癌可能,鉴别结核。
醒梦如一:
右肺上叶肿块,靠近脊柱,类圆形,部分层面周围有晕,平直、凹陷、膨隆均有,水平位未见明显分叶,失状位重建有棘突/毛刺?局部叶间胸膜增厚,无明显牵拉僵硬,支气管通畅;中心无明显强化,周围环形强化影。临床:女性,亚急性病程,咳血。考虑:倾向良性,结核?
蔣勝華:
女性,咳嗽、咳痰、咯血发病,无发热,影像:右肺上叶孤立球形病灶,密度不均,周围有磨玻璃渗出,强化见环形低密度区,类癌,结核?
醒梦如一:请教个问题:为什么胸部CT影像增强后低密度影(比如鳞癌,比如本例中央的无强化区),大家会直接说是坏死(虽然我自己也会这么说....)?这样讲是否合适,或者有没有不是坏死的情况。坏死是病理学上的名词:局部组织、细胞新陈代谢停止后,其功能完全丧失,细胞可出现核浓缩、核碎裂及核溶解等变化。坏死(necrosis)是以酶溶性变化为特点的活体内局部组织细胞的死亡。
尘缘:直接结核吧(薄环状强化,中心坏死,纵隔淋巴结类似改变),囊肿伴感染的话这个壁有点薄了,不是太支持。纵隔的淋巴结也不支持普通感染。
张小兵:坏死为软组织密度44.5Hu,边界清楚,厚薄均匀,符合结核的干酪性坏死。
毛勤香:右肺上叶后段结节,分叶,部分边缘平直部分膨隆,周围可见磨玻璃晕,密度不均,中心低密度坏死,增强环状强化,坏死界线较清楚,周围可疑小结节,考虑肉芽肿性病变,结核可能性大,鉴别隐球菌。
大雄:平扫 40多 ,是凝固性坏死,所以不支持肺脓肿
马春平(张家港市一院胸外科):结核+1:右上叶后段小病灶大坏死分隔状、临近支气管壁增厚狭窄
杨泽锋:
大雄:干酪性坏死是凝固性坏死的特殊类型
大雄:影像很难区分
赵春杨:右肺上叶后段肿块,部分边缘平直部分膨隆,周围可见磨玻璃晕,密度不均,中心低密度坏死,增强环状强化,坏死界线较清楚,纵膈见多发肿大淋巴结,考虑肉芽肿性病变,结核可能性大,鉴别鳞癌。
大雄:凝固性坏死常见的病变有:结核  隐球 曲霉  肺梗死 血管炎(GPA)  肿瘤缺血坏死
岁月:病史:咳痰血1月,右上叶占位,无发热盗汗;女,cea,角蛋白,nse正常影像:右上叶后段,后段支气管略窄,右肺门钙化,该处淋巴结成团,形态可辨认病灶边缘有钙化,周边高密度中间低,密度不均,芋艿子,中心44.6hu,边缘有强化,环状,应该较高。周边有点,平直,无毛刺,像棘角,有轻度牵拉毛刺软,血管推移。诊断:良性结节,结核。

                                 病 理 结 果


甄德强: 
曲霉菌  
杨泽锋:回顾性分析:周围的晕有一定提示作用
南边:
炎性

:
生来征服~浪子:是,平直凹陷,坏死清楚
南边:这样强化,确实我会考虑结核放前面
因为知道答案
所以分析上不客观
谢加平:@南边?有没有桃尖征
南边:一般我们鉴别曲霉菌、结核多看内部结构
间隔、血管、含气支气管、空泡的位置
桃尖:

南边:
这个影像上曲霉菌的特点没显示出来
平常心:是,环形强化,可能会诊断结核,想不起来曲霉
支气管不堵塞,跨叶,平直,强化后环形强化,中心坏死分界清楚,应该会诊断炎症,哪一种,环形强化的,慢性脓肿伴机化,结核。然后曲霉这个不提想不起。
尘缘:我也根本想不到曲霉            

病例小结

1.女性,咳嗽咳痰痰中带血1月。血常规、肿瘤标记物正常。             2.CT示右肺上叶不规则肿块,边缘以平直收缩为主,可见U型凹陷及桃尖征,周围见边缘模糊的GGO,软毛刺,从形态学的角度病灶更支持炎性改变; 3.增强呈薄壁环形强化,壁光整、清楚,也支持炎性改变;病灶内部平扫CT值密度比较高,约40HU,明显高于水的密度,而且未见强化,提示病灶的坏死可能为凝固性坏死;    4.从上面的分析,病变更符合炎性,患者白细胞不高,治疗后没有好转,不支持普通细菌的感染;影像病灶较局限,边界较清楚,病灶慢性炎症或肉芽肿,形态机发病部位更符合继发性肺结核。患者非易感人群,病灶孤立,尽管有液化,也很难第一时间考虑真菌,尤其是曲霉菌感染。什么是炎性肉芽肿?炎性肉芽肿的常见疾病谱系有哪些?那什么是凝固性坏死和干酪样坏死?跟一般的液化性坏死有什么区别?接下来我们逐一学习一下。

相关知识拓展
01
什么是炎性肉芽肿

炎性肉芽肿是组织的形态学表现,以巨噬细胞的增生聚集形态境界清楚的结节样病变为主要特点,巨噬细胞为核心,经常针对的是胞内抗原,病理上的本质就是巨噬细胞的吞噬和包裹,是慢性炎症的特殊类型,一般抗炎无效;引起肉芽肿的常见的原因:异物、结核、真菌(隐球、曲霉)等,还有非感染性的炎性肉芽肿,如GPA、结节病等。


02
凝固性坏死和液化性坏死区别

凝固性坏死是由于蛋白质变性凝固且溶酶体酶水解作用较弱,坏死组织水份少,坏死区表现出灰黄、干燥、实质的状态,常出现在心、肝、肾、脾等实质性器官因缺血缺氧、细菌真菌毒素、化学腐蚀作用引起,坏死灶与正常组织之间分界很清楚。干酪样坏死是凝固性坏死中坏死更为彻底的特殊类型凝固性坏死,主要见于结核杆菌感染,坏死组织因含较多脂质,色微黄,外观似干酪状。液化性坏死是由于坏死组织中可凝固的蛋白质少,自身释放了大量的水解酶,组织发生液化溶解,坏死组织水份多,常见于细菌感染引起的脓肿、脑软化等。  所以凝固性坏死CT值往往比水的CT值高,部分干酪样坏死因为含有大量脂质,可以CT值比较低,甚至现负值。部分液化坏死CT值接近水。注意坏死区域CT值还受时段及成分影响。  由于凝固性坏死含水少,蛋白含量多,所以在MR的T2W图像上表现为等或稍低信号,而液化坏死含水量多,MR信号类似水信号,T2W图像上表现高信号。


END
编辑:任正纲
审核:蔡笑燕  徐晓
病例提供:於雄  江西九江市一院影像



到顶部