【每日晨读】“洞”悉一切——鳞癌vs脓肿



点击上方蓝字关注我们

    平庸还是出众,往往根源于我们自己的选择。想要舒适安逸,我们总会有无数理由说服自己安于现状;想要变得更好,我们同样也会想出无数办法应对暂时的困难。关键的,是你愿不愿意做出改变。

浪花淘尽英雄,青山依旧在

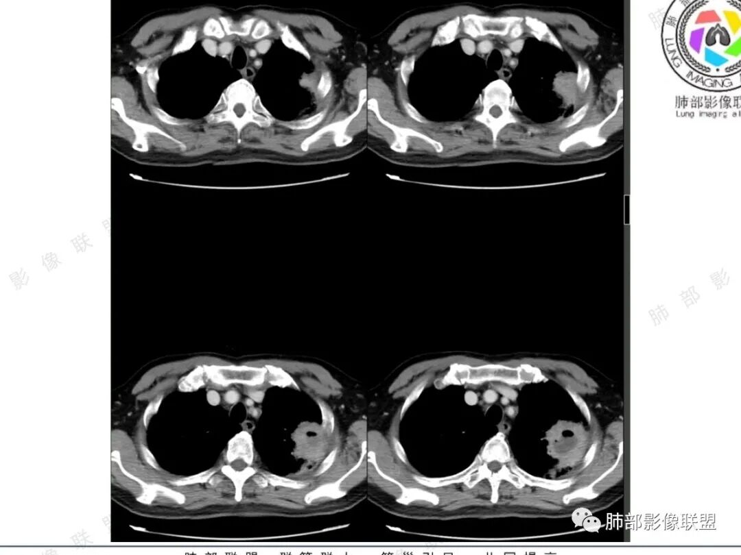
01病例资料





























02精彩讨论
周太狼:
老年男性,慢性病程,左肺上叶肿块伴空洞,毛刺、浅分叶,轻中度强化,边缘斑片、小结节影,胸膜似栽赃,肿块内见液平影,考虑肺癌,鉴别肺脓肿
红星:
老年男性患者,长期的慢性咳嗽,左肺上叶胸膜下分叶状团块阴影,见有支气管截断,内部见有斑片状的坏死及小空洞影,增强扫描实质成分明显强化,坏死区未见强化  ,病灶的远端见小斑片状渗出性病变,纵隔窗纵隔内见多发肿大的淋巴结。病变的坏死区边界比较光整,空洞的内壁也比较光滑,首先考虑慢性肺脓肿,鉴别诊断应排除鳞癌或腺癌的可能。
蕊:
老年男性,慢性病程,炎性指标高,左肺上叶团块影,边缘可见纤维条索,临近血管进入,支气管壁增厚,胸膜无明显栽赃,内见局灶性积气影,环形明显强化并见坏死,坏死区边界清晰,病灶周围可见少许GGO,边界尚清。考虑炎性,肺脓肿
一切∮随缘:
左肺胸膜下空洞,洞壁厚薄均匀,其内可见小气泡,及低密度坏死,平扫密度均匀,增强后可见低密度坏死未强化,坏死边界清楚,空洞周围可见纤维索条,牵拉收缩,周围伴有点状小结节,考虑慢性脓肿,奴卡,放线菌,结核,鉴别肺癌性空洞(鳞癌)
王秀仙:
左肺上叶尖后段胸膜下团块影,分叶,长毛刺,内有大片状坏死及气体影,可见气液平,周围可见条索影,明显强化,坏死区未见强化  ,病变的坏死区边界比较光整,空洞的内壁也比较光滑,邻近胸膜增厚,老年男性患者,长期的慢性咳嗽,考虑慢性肺脓肿,鉴别诊断鳞癌。
蓝天白云:
左肺上叶软组织密度肿块,局部似见栽赃,直边,边缘模糊的磨玻璃影,内见空洞及气液平,空洞内壁光滑,洞壁均匀轻中度强化,考虑良性,肺脓肿,鉴别鳞癌合并感染
秦化君:
左肺上叶尖后段肿块影,边缘清晰,部分平直,内密度不均,见液化坏死区及气泡影(气泡影在平扫及增强上位置有变化),增强坏死区边缘清晰,周围见斑片影及胸膜粘连肥厚。病史提及以前CT病变边缘模糊。考虑肺脓肿可能,鉴别鳞癌。
尘缘:
老年男性,COPD病史,咳嗽、咳痰,胸闷气喘半月,血沉升高,炎性指标不高。左肺上叶胸膜下团块状影,内有液化坏死,增强坏死边界清楚,可以环状强化影,内有明显气液平表现,支气管侧面受压,周围见片状模糊影,相邻胸膜增厚。初步诊断:慢性炎症伴肺脓肿形成。依据:环状强化+坏死边界清楚伴气液平+周围模糊影+胸膜增厚+病程半月。疑惑点,炎性指标不高,但因有抗感染治疗史,可能与用药后有关。鉴别诊断:1、鳞癌,老年男性,COPD病史,肿块中间坏死,要考虑,但坏死边界太清楚,环形强化,不是湖泊样强化,周围寸草不生,不太支持。2、肉瘤样癌,肿块中间坏死明显可以,但坏死区环形强化不支持。3、结核,病程,周围影像及强化坏死均可以,但坏死区为液性密度,不支持,结核应为干酪样坏死。4、IMT伴脓肿形成。临床和影像改变均可以。综合上,考虑慢性炎症伴脓肿形成>IMT伴脓肿形成>肺结核>鳞癌>肉瘤样癌,需要正规抗炎治疗后复查或穿刺明确。
一米阳光:
左肺上叶团块影,边缘ggo,邻近胸膜增厚,边缘强化明显,内部见坏死区,内壁光滑,有悬浮气泡。考虑炎性病变,慢性脓肿,放线,努卡,鉴别鳞癌
若尘:
左肺上叶尖后段胸膜下团块影,边缘平分叶,长毛刺,内有大片状坏死及悬浮气泡,增强坏死边界清晰,壁均匀渐进性强化,周围肺野可见长条索及斑片影,邻近胸膜增厚,老年男性,慢阻肺病史,考虑肺脓肿?放线菌?鉴别恶性肿瘤病变!
琦遇:
左肺上叶胸膜下肿块,良恶性征象都有,强化后坏死区内可见分隔,坏死区内可见悬浮气泡,坏死边界清新,光滑,肿块周围散模糊的GGO,空洞壁内可见支气管穿行,病灶整体沿支气管分布,未见明显支气管截断征,近端支气管壁增厚,强化部分明显均匀,胸壁未见侵犯征象,以上都是良性征象,但是主动脉弓前可见淋巴结肿大,用炎性解释感觉比较纠结,考虑炎性病变(慢性脓肿、IMT、放线菌),鉴别腺癌或者肉瘤样癌、癌肉瘤

03精彩分析
病史,老年男性,反复咳嗽,脓性痰

血沉增快

病史指向感染性病变
看影像
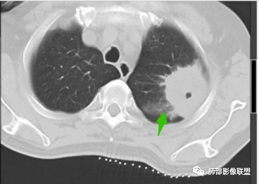
周围ggo

细长毛刺

边缘平直,收缩,没有膨隆

厚壁空洞,内壁光滑,内部液化坏死

厚壁环形强化明显
有气泡
考虑慢性脓肿形成
鳞癌,老年男性支持,影像不太支持,空洞壁光整,没有壁结节,坏死太彻底,鳞癌湖泊样坏死有过渡区。
结核,周围太干净,没有树芽,钙化,增殖灶。结核应为干酪样坏死。

04病例结果



结果:符合慢性肺脓肿伴周围肺炎症

05 相关知识点复习---肺脓肿
1.肺脓肿是有化脓菌引起的肺部化脓性炎症,病变变化、坏死及坏死物排出后形成空洞为其主要特征,可为病原菌经呼吸道感染或经通过血行感染。
2.根据临床经过分为急性和慢性。
急性肺脓肿变现为发热 、咳嗽、胸痛、咳血。白细胞总数增加。慢性肺脓肿可由急性肺脓肿发展而来,也可无急性过程,白细胞总数无可变化。
3.CT表现:肺脓肿可呈结节状或团块状,有时呈不规则形,气道来源肺脓肿常单发,血行来源常多发,边缘模糊,部分病灶周围可见片状肺实变及磨玻璃影;病灶中央为液化坏死区,若脓肿与支气管相通,脓液排出可形成空洞,空洞内可形成液平;急性肺脓肿内壁多不规则;慢性肺脓肿洞壁较厚,一般不规则或形成多房空洞:CT增强扫描空洞壁可见强化,空洞壁为纤维肉芽组织,呈典型的环形强化;慢性肺脓肿周围可有较广泛的纤维索条影,可伴支气管扩张、肺气肿或胸膜增厚表现。

06病例小结
何家伟老师的精彩分析本例指向慢性肺脓肿主要有以下几点:1.患者病史长,白细胞不高,无发热,病程中有浓痰;2.慢性肺脓肿多为厚壁空洞,邻近肺野可见慢性肺炎、长纤维索条影;3.本例厚壁空洞,明显均匀环形强化,外壁见不规则棘突,未见明显分叶毛刺;内壁光滑,有完整强化环,无凹凸不平及壁结节等;4.空洞厚壁中可见血管穿行,未见破坏侵犯征象;5.邻近胸膜呈糊墙改变,胸膜下脂肪间隙清晰,未见侵犯,倾向炎性改变;6.空洞内可见液化坏死及气体,非凝固性坏死、干酪性坏死;7.纵隔及肺门未见肿大淋巴结。
相关链接:
【南边小课堂】没有对比就没有伤害—肺脓肿PK肺鳞癌
【每日晨读】跨叶肺脓肿,另有玄机?

编辑:杨宏刚
审核:蔡笑燕  徐  晓
病例提供:合肥市第二人民医院放射科  何家伟




点个赞

再走吧
到顶部