【每日晨读】“隐”藏不住的秘密


晨读2020.07.31
 长沙市中心医院 朱勇峰提供















王开金江津中心医院呼吸科:
青年女性,丈夫有结核病史病程2月,有咳嗽咳痰症状,胸部ct左上,下叶均有病灶,多发,多态,部分坏死空洞,部分有小叶中心结节,左下主病灶边界清楚,有长毛刺,考虑结核,鉴别腺癌。
一切∮随缘:
左肺下叶实变影,边缘收缩,分叶,毛糙,牵拉胸膜,内可见空泡,空泡壁光滑,边缘可见欠清的磨玻璃影,另左肺上叶下叶有散在小结节,临床37岁女性,咳嗽咳痰两个月,考虑炎性病变:结核,奴卡,放线菌,建议增强及抗炎复查
李:
左肺散在结节片状影,可见空洞,形态相似,考虑炎症可能,隐球?
不吝慷慨:
感觉慢性炎症表现,没做增强,里面好像有坏死和钙化,结核不能除外,只是周围有些太干净了,但是也不除外腺癌,建议穿刺活检
杨丽:
青年女性,呼吸道症状,感染指标大致正常抗炎效果不佳。左肺下叶团片影,边缘平直为主局部膨隆,内壁光滑小空洞,支气管穿行略扩张,血管增粗。考虑淋巴瘤,鉴别特殊感染(想不出来)
看图说话:
左肺多发斑片影,小磨玻璃影,多态,部分见空洞,左下病灶边界清楚,有长毛刺,结核接触史,考虑结核,鉴别腺癌。
玫:
女,37间断咳嗽,咳痰二个月,贫血,左肺下叶不规则形软组织密度影,边缘见分叶及胸膜牵拉,病灶内见小空洞,洞壁光滑,考虑炎性病变,除外腺癌。
那个人:
中年女性,咳嗽,白痰,无伴胸痛,无发热,临床实验室检查无特殊。左肺下叶团片影,考虑肉芽肿相关疾病,平扫觉得平行胸膜,周围有晕,未见明显树芽,空洞。考虑隐球菌?鉴别OP样病变。重建看是否平行支气管,如果是,结核也要考虑
薏米:
中年女性,咳嗽2月,胸部CT可见左肺下叶可见一条片样结节影,内可见坏死和钙化,边缘可见索条影,内有空洞,洞壁光滑,周边及远端肺叶可见散在结节影,考虑结核可能,鉴别腺癌
张小兵:
左肺下叶实变及GGO,边缘平直,向心性弓形凹陷,内见扩张支气管及坏死,邻近胸膜反应性增厚,考虑炎性病变,结核。
寒江雪:
左肺下叶病变,长短毛刺,收缩明显,小空洞,胸膜牵拉,周围略模糊GGO,支气管扩张,部分层面欠通畅。炎性病变,隐球菌?炎性肉芽肿?腺癌待排。建议增强及重建。
冬瓜:
支持炎性病变,隐球?结核?其它真菌不支持
Sugar阿Q:
支持炎性病变,瘾球?结核?不完全除外腺癌可能,建议完善三位重建跟增强检查
王江涛:
病灶比较散,局部实变,胸膜粘连,考虑炎性病变
周太狼:
中年女性,咳嗽2月,血象不高,T-SPOt阳性。
影像见左肺下叶结节状、斑片状密度增高影,内可见支气管征及小空洞,边缘可见索条影,考虑炎性病变,结核可能。
宇宙:
左肺上叶及下叶背段胸膜下磨玻璃结节,下叶叶间裂结节,叶间裂凹陷,下叶外基底段实变及磨玻璃影,支气管扩张,空洞,胸膜牵拉,首先考虑炎性,隐球菌?恶性病变待排
HeKate·Awizard·Sinitici:
左肺下叶基底段不规则片状影,结节,磨玻璃,空泡,支气管进入,血管贴边,胸膜牵拉,考虑炎性病灶可能,隐球?鉴别结核
必有路:
虽然形态不太像结核,可家人正在抗痨。。还粘白痰,腺癌不敢除外
王秀仙:
左肺下叶大片实变,周围可见小斑片及磨玻璃影,实变影部分边缘可见晕征,其内可见空泡及支气管扩张,考虑隐球。鉴别结核
红日东升:
中年女性,病史两月,炎性标志物不高。左肺下叶多发病灶,外外基底段见片状高密度影,边缘模糊,周围可见索条,内可见扩张支气管影。左肺上叶见小斑片伴GGO。考虑炎性病变,隐球?结核?
飞鹰行动:
青年女性,丈夫有结核病史病程2月,胸部ct左肺上,下叶均有病灶,多发,多态,部分坏死空洞内可见支气管扩张,部分有小叶中心结节,左下主病灶边界清楚,有长毛刺,首先考虑炎性病变,病灶未见钙化,隐球>NTM>结核,鉴别腺癌。
小锁:
青中年女性,咳嗽,少量白痰,无伴胸痛,无发热。左肺下叶团片影,病灶较集中,多发蘑菇兄弟融合,病灶长轴平行胸膜,边缘收缩平直为主,有小空洞,小气泡,部分病灶周围有晕,支气管通畅,未见明显树芽,楔形征。考虑慢性炎,隐球菌?鉴别OP样病变,结核,粘液腺癌
流心明智:
中年女性,咳嗽咳痰2月,丈夫结核治疗中,TSPOT阳性。
胸部ct:左上叶小结节影,周围GGO边界不清。左下叶多发结节、斑片影、索条影,大病灶内可见小空洞,周围模糊晕,胸膜牵拉,支气管爬行征?考虑慢性炎性病变:结核?鉴别腺癌。
棉花糖:
青年女性,丈夫有结核病史病程2月,胸部CT左肺上叶及下叶均有病灶,下叶外基底段实变及磨玻璃影,周围模糊,支气管扩张,空洞,胸膜牵拉,首先考虑炎性,隐球菌?
蔣勝華:
青年女性,咳嗽、咳痰2月,无发热,T-SPOT阳性,气管镜检查阴性,胸部CT:左肺多个病灶,下叶为主,有实变、结节、支气管扩张,空洞,内部密度不均,首先考虑炎性病变,T-SPOT阳性,NTM?。
一米阳光:
青年女性,左肺多发斑片,结节病灶,密度不均,病灶边界不清,形态不规则,有支气管引流,边缘有磨玻璃影。综合分析,丈夫有肺结核病史,实验室TSPOT阳性。支持炎性,考虑结核,NTM,鉴别淋巴瘤。
毛勤香:
左肺散在多发斑片状影,下叶为著,左肺下叶较大团片影边缘模糊有磨玻璃影,有空泡,血管进入,气管分支似有闭塞,胸膜牵拉,抗炎治疗效果差,Tspot阳性,余隐球菌和结核目前实验室检查阴性,家属有肺结核病史,影像不是典型的结核,37岁,先考虑炎性,结核重点排查,粘液痰,需排除粘液腺癌可能,常规治疗后复查。
睡在树上的鱼:
左肺下叶可见结节影,病灶内见坏死、钙化,边缘可见索条影,内有空洞,洞壁光滑,周边及远端肺叶可见散在结节影,考虑结核可能,鉴别腺癌
食客:
左肺结节,实变及磨玻璃影,首先考虑感染性,隐球菌?结核?
慎独:
青年女性,左肺下叶团片影,边缘平直为主局部膨隆,内壁光滑小空洞,支气管穿行略扩张,血管增粗。考虑炎性肉芽肿,隐球可能大,鉴别淋巴瘤
琦遇:
女患 37岁 年轻 抗炎治疗病灶无好转,病灶特点左肺下叶外基底段为主胸膜下沿支气管分布病灶,病灶整体平直收缩为主,支气管未见截断,有支气管爬行特点,病灶周边散在GGO,大部分模糊,结核感染T细胞检测阳性 有肺结核密切接触史 首先考虑继发性肺结核    支气管镜灌洗液检查没有找到病原学或者肿瘤细胞证据,肺结核依据不足,建议穿刺活检,除外腺癌可能
心灵鸡汤:
女,37岁,慢性咳嗽2月余,治疗未见吸收,左肺下叶见实性结节及磨玻璃灶,部分边界平直,膨隆,有长毛刺,边缘稍模糊,内见空洞,内壁光整,远侧见低密度影,邻近支气管未见明显堵塞,邻近斜裂胸膜牵拉,考虑肉芽肿病变,丈夫有肺结核史,结核可能,鉴别腺癌,建议前片对比与增强及必要时穿刺活检。另左肺上叶胸膜下似见磨玻璃灶,结核?
荷塘月色:
左肺下叶实性结节,周围可见GGO,部分边缘平直并可见毛刺,内可见小空洞,壁光整,临近胸膜有牵拉,部分支气管扩张,部分层面欠通畅。考虑炎性病变可能
马宁强:
长短毛刺,收缩明显,小空洞,胸膜牵拉,周围略模糊GGO,支气管扩张,部分层面欠通畅。多考虑炎性病变,腺癌待排。
徐天鹏,宁夏海原县人民医院,放射:
左肺下叶多发磨玻璃及实变影,实性病灶边缘收缩,似有微钙化及坏死,局部毛糙,牵拉胸膜,内可见空泡,空泡壁光滑,边缘可见欠清的磨玻璃影,临床咳嗽咳痰两个月,考虑炎性病变:结核可能性大。

马春平(张家港市一院胸外科):


马春平(张家港市一院胸外科):
粘液腺癌>炎性病变
大病灶有重力感、小病灶有粘液飘出
琦遇:
月牙铲粘液性腺癌罕见!
或者炎性叫U型凹陷!
粘液性腺癌收缩不能说没有,应该很小!
蓝天白云:
左肺下叶条片状影,部分边缘有晕,似有坏死,可见纤细牵拉线,内见支气管通行,临床咳嗽咳痰两个月,考虑炎性病变,隐球,鉴别粘液腺癌
田园晚风:
同意腺癌,女性,咳粘液白痰也符合,有牵拉,有磨玻璃,有空泡
哦落花时节:
考虑炎性肉芽肿,隐球可能,瘢痕癌待排


隐球菌






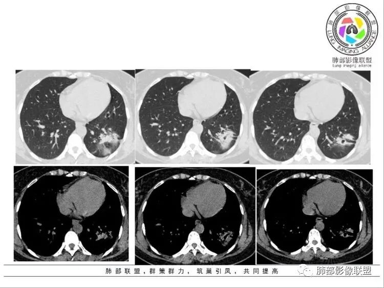
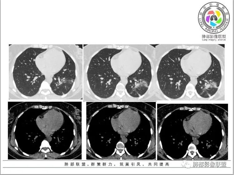
病例小结
1.中年女性,亚急性病程,以咳嗽、咳痰、胸痛为主。
2.左肺下叶胸膜下团片影及多发小片影,团片影长轴与胸膜平行,周围有模糊的晕,局部平直收缩,支气管近端堵塞,病灶内可见小空洞,空洞内壁光整,邻近胸膜牵拉。
结合肿块周围有多发小片、结节影等类似形态的卫星灶,病灶像炎性,没有游走性,但长时间段抗炎治疗无效,应当想到特殊感染的可能,如隐球菌感染或其他慢性炎症,如结核等。
注意,隐球菌感染出现胸痛的不在少数,敬请留意。
3.患者丈夫有肺结核病史,理应考虑肺结核可能性,但患者病灶周围没有典型树芽,而且病灶的形态较为单一,分布特点都不大符合典型的结核影像学特点。

编辑者:湘西州人民医院  龙辉
审核者:蔡笑燕  徐  晓
病例提供:长沙市中心医院 朱勇峰提供



到顶部