【每日晨读】树芽?还是小花小草?



(图片来源于百度)


病例展示























微信群发言

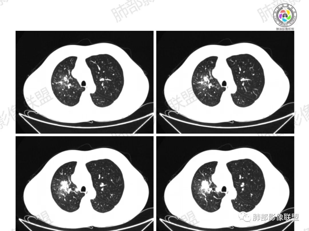
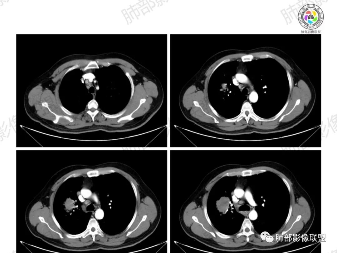
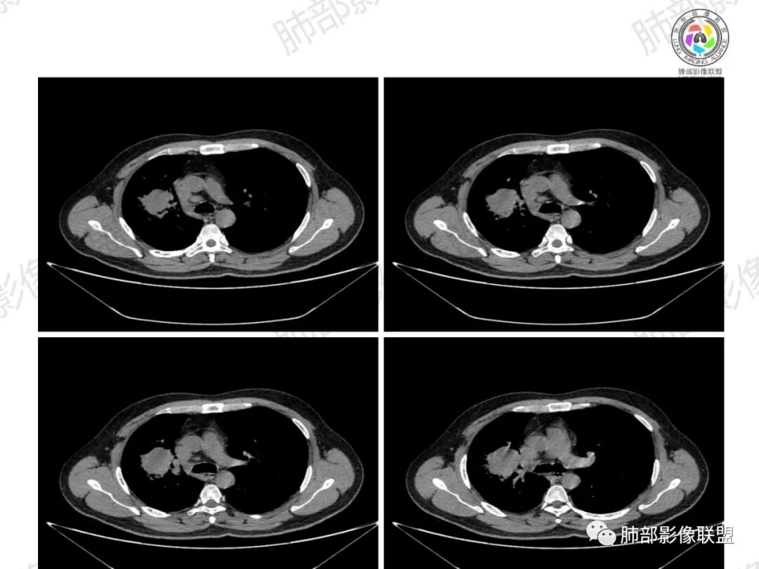
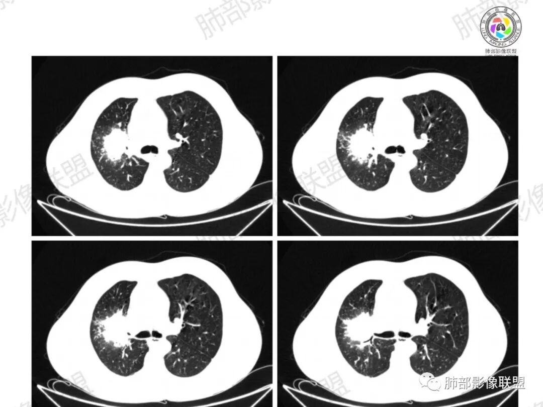
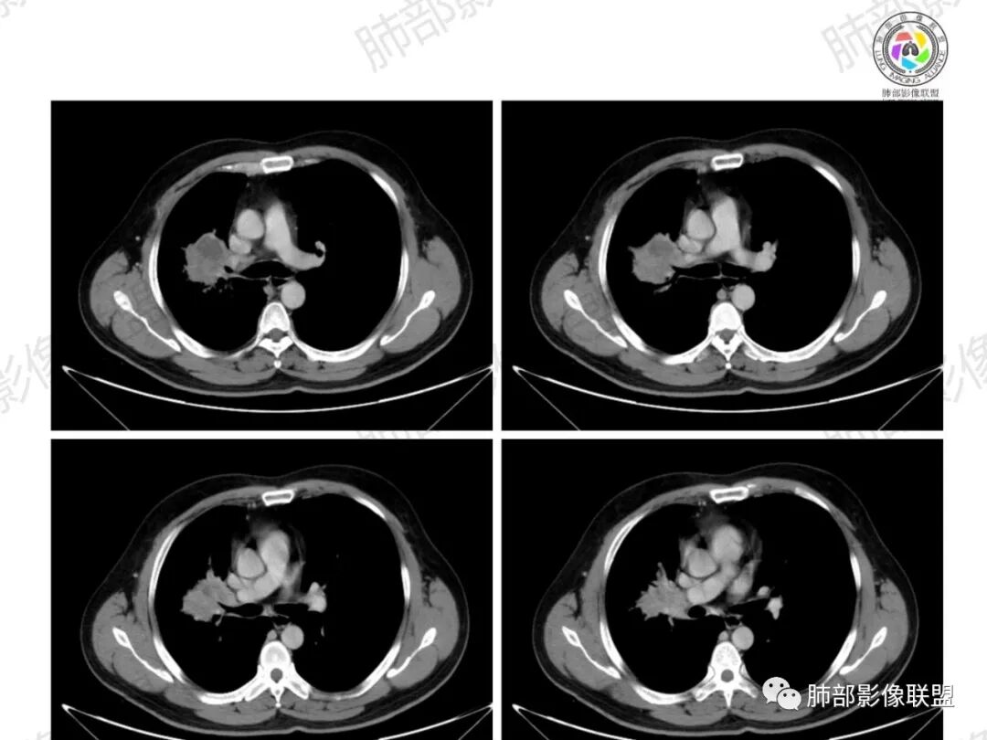
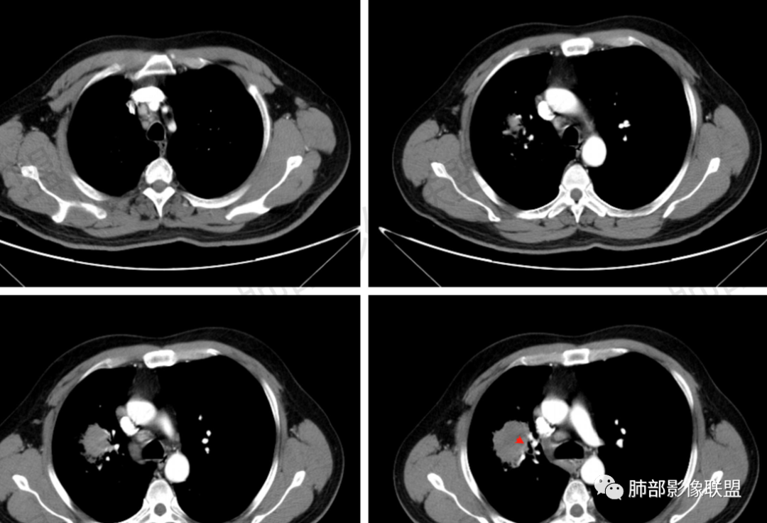
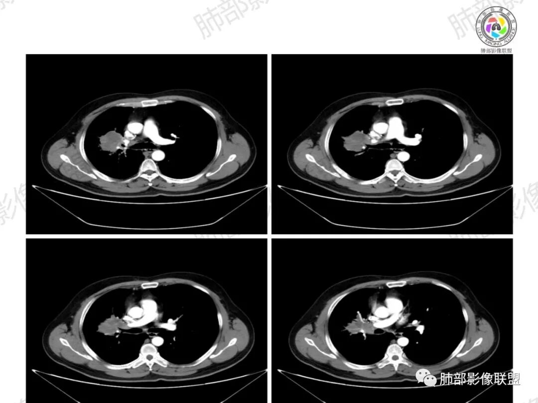
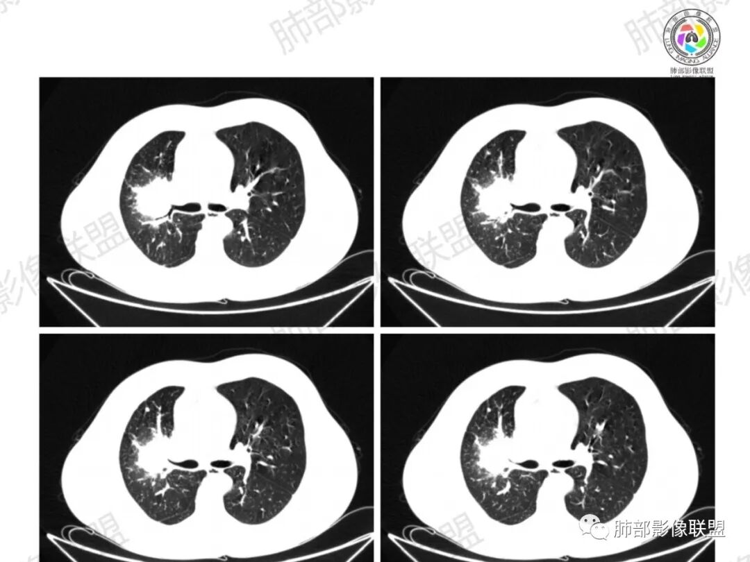
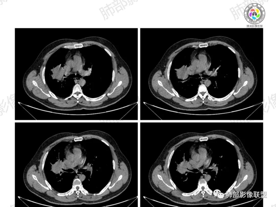
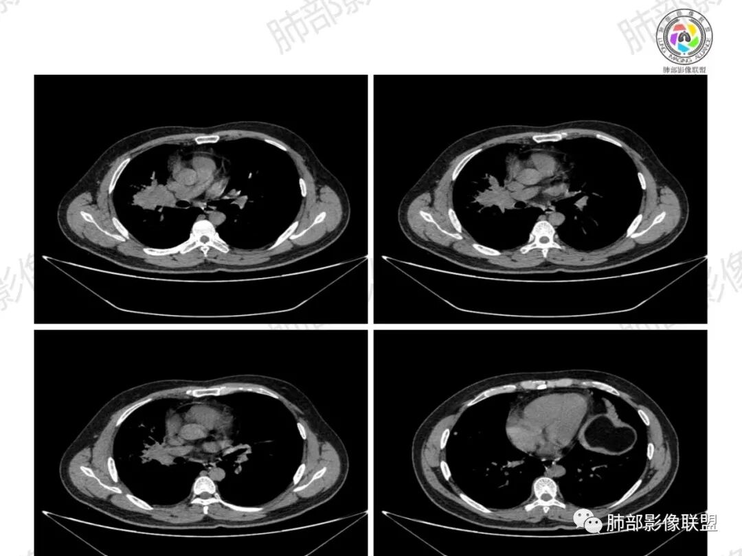
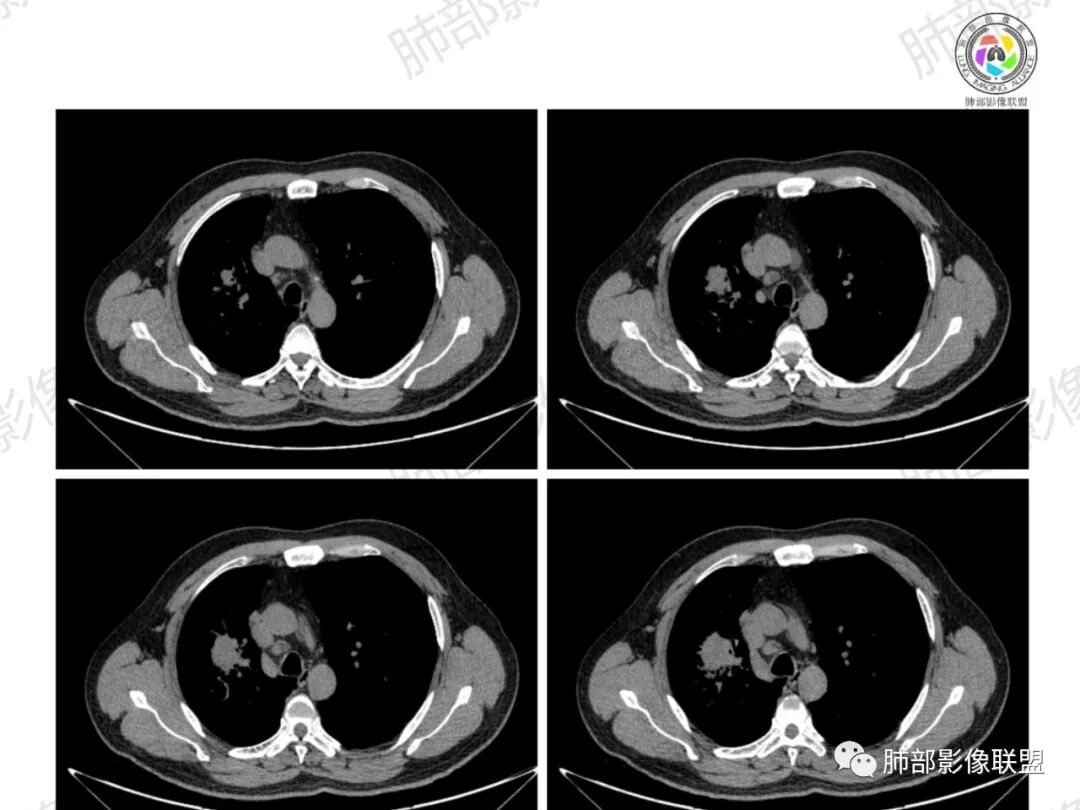
了:中年男性,右肺门肿块影,浅分叶,周围晕征,边缘清楚,小叶间隔增厚,树芽征,支气管截断,不均匀强化,内可见低密度坏死,纵隔淋巴结肿大,综合考虑肺部肿瘤并阻塞性肺炎
一切∮随缘:右肺门肿块影形态不规则,边缘毛糙,右肺上叶支气管堵塞,病变跨叶生长,远端血管束增粗,周围散在多发结节,部分位于胸膜下,平扫密度尚均匀,增强后不均匀强化,呈中度强化,坏死区无强化,纵隔淋巴结肿大。临床无感染症状,考虑恶性,鳞癌,腺癌,鉴别慢性脓肿。
那个人:中年男性,右肺肿块影,支气管截断,截断口非圆盾,病灶膨隆分叶,坏死,强化。病灶内血管破坏。病灶远端树芽及小结节影,考虑恶性,鉴别结核
周太狼:中年男性,吸烟史,陈旧结核史,呼吸道症状未提及,抗感染治疗无效。影像见右上肺门区软组织肿块影,浅分叶、毛刺,支气管似有截断,其内密度不均匀,不均匀强化,内可见低密度坏死区,病壮周围见斑片、结节影。纵隔内淋巴结稍肿大,首先考虑恶性,肺部肿瘤并阻塞性肺炎,肺鳞癌可能,鉴别结核。
弹指之间:中年男性,结核史、吸烟;右肺门肿块,特点:右肺上叶尖、前段支气管狭窄、部分阻塞(肿块大、支气管狭窄闭塞相对轻),肿块内血管部分残留(生长速度快,浸润>破坏),周围见渗出、炎症,部分实变;内见坏死、位于边缘区域;纵隔淋巴结肿大;考虑恶性,1.非支气管粘膜起源首先考虑,淋巴瘤?(但坏死相对多了);2.鳞癌(支气管阻塞轻);3.小细胞待排。
Coke with ice:病变整体收缩平直,毛刺较软,支气管壁增厚。支气管鼠尾状狭窄,于病灶以远可见显示。支气管粘液栓。相邻支气管血管推移明显,磨玻璃边缘模糊,多灶坏死边缘清晰,一部分血管自然穿行,猜个炎性病变。
这个比较大的坏死灶,边缘清晰,看似符合鳞癌坏死。仔细看看这个坏死边界,是血管阻挡引起的边界清晰。其他的病灶内低密度是柱形粘液栓。实性部分强化有轻度延迟强化。病变背景是双上肺的小叶中心结节。病变区的支气管壁是厚的。
妞妞:右肺门区病灶,边缘有GGO,模糊,远端树芽,支气管受阻,有圆钝感,病灶坏死,边缘清楚,实性成分有强化,不像鳞癌强化,首先考虑结核,鳞癌待排,建议支气管镜
良孑:右肺门肿块,有平直,u型凹陷及尖角征,远端可见散发树芽征,有支气管截断,肿块内坏死边界清,似可见围绕坏死的环状强化,综合分析首选炎性病变,TB可能,冇吸烟史,良恶性征象都有鳞癌要鉴别,


南边老师分析

南边:吸烟20年——鳞癌/小细胞癌好发因素
10岁得过结核,有结核病史,也可以复发
这次发病:食欲减退5天,就是没有呼吸道症状
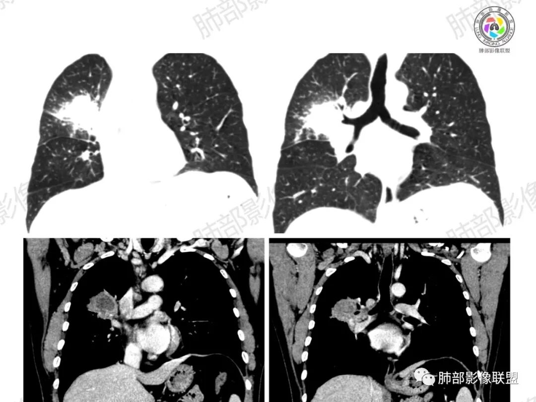
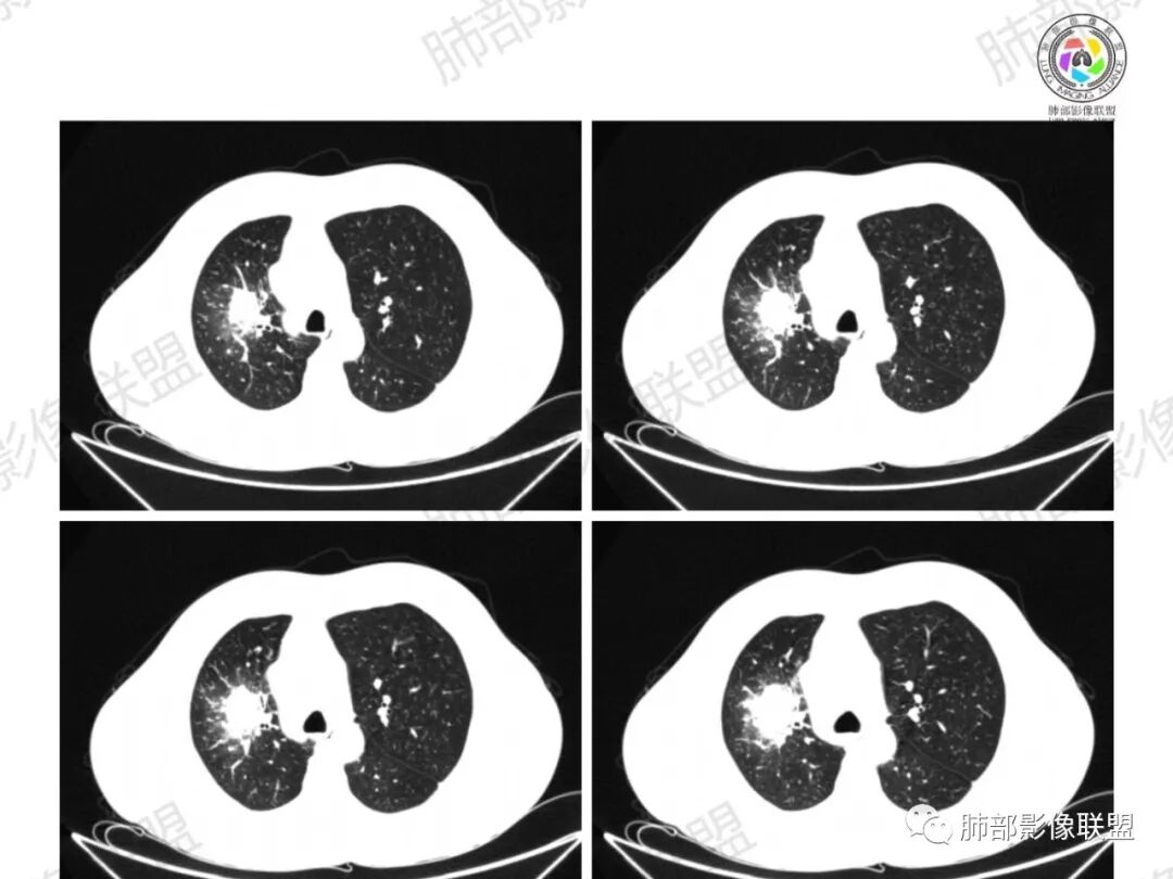
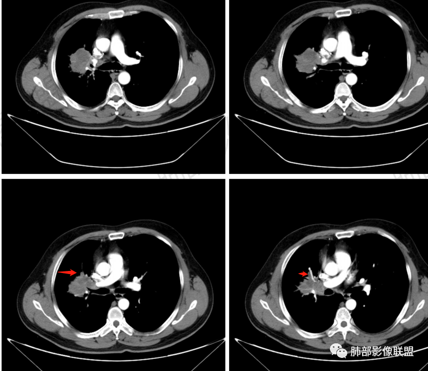
右上叶肺门区肿块,较大:

前段支气管鼠尾状狭窄,壁增厚

尖段/后段支气管受压推移


浅分叶,内部坏死部分边界不清,实性部分明显强化

远端有些花花草草

总觉得有部分指套改变

南边:支持恶性,鳞癌首选,结核待排


尹发友老师分析

尘缘:
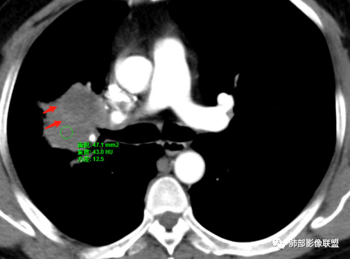
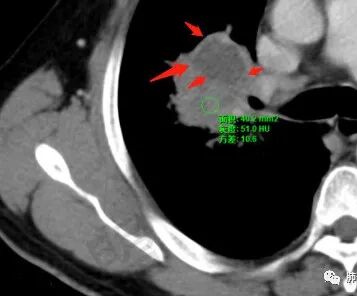
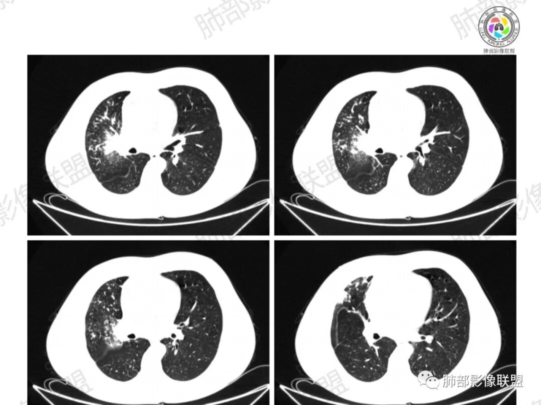
多发树芽,病灶边缘模糊的GGO

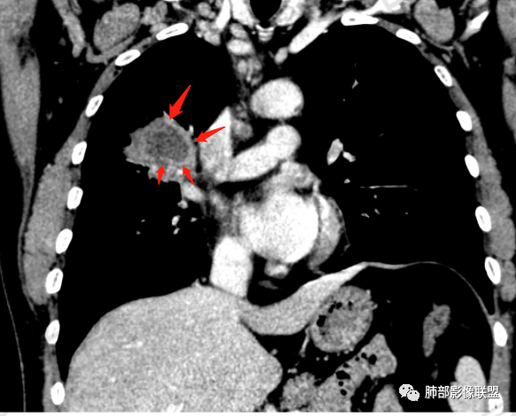
环形强化

坏死区几乎是寸草不生


纵隔淋巴结肿大并不明显,就这一个肿大较明显,但仍呈椭圆形,中心少许坏死。

尘缘:所以综上,我考虑炎性病变,结核>慢性非特异性炎伴脓肿形成。
恶性肿瘤放最后,支气管镜检进一步明确。
怎么看怎么不符合恶性,远端并不是明显的阻塞性炎改变,一是主要表现为树芽和结节,二是未按责任支气管分布。


病理结果

支纤镜病检结果:粘膜慢性炎(右上叶);肺穿刺活检结果:可见干酪样坏死,多核巨细胞,符合结核


病例小结

尹发友老师精彩总结点评
这个病例符合结核的影像表现,有以下几条:
1、坏死区内寸草不生;2、病灶环形强化;3、远端树芽和结节;4、远端不是阻塞性炎症,而是树芽和结节,右肺上叶前后段都有,后段为主,而堵塞的支气管应该是前段;这些树芽的位置不是堵塞支气管的责任区;5、支气管不是突然截断堵塞,而是逐渐狭窄;6、纵隔淋巴结是椭圆形增大,内有坏死,不是肿瘤的圆形饱满;7、支气管周围粘液样坏死,符合仙人掌结核改变;
8、右侧胸廓塌陷。
而大家认为恶性的依据不外乎下面几条,但都存疑。
1、支气管堵塞:这个病例的支气管不是突然截断,而是逐渐狭窄的;
2、湖泊样坏死:这个病例其实不是湖泊样坏死。湖泊样坏死边界不清,周围有水草样改变;这个病例的坏死更像水库,不是湖泊,坏死区边界清楚,里面寸草不生;
3、阻塞性炎症:这个病例远端的散在病灶分布与责任支气管不符,所以不是阻塞性炎症,应该是树芽;
4、纵隔淋巴结肿大:这个病例的淋巴结肿大,不是圆形饱满,而是椭圆形,中间坏死。
所以,这个病例应先考虑炎性病变,以结核可能性大。慢性非特异性炎症伴脓肿形成,也可以这样的影像改变,但解释不了周围的树芽和结节。
再解释一下水库与湖泊的区别:
水库:是人工的,边缘是石头彻的大坝(环形强化类似大坝),坝缘没草长,边界清楚。
湖泊:是天然的,周围没有环形强化的大坝,是逐渐过渡到强化区的,边缘可有细小血管或者坏死不彻底的肿瘤区。


编辑:赵永兵
审核:徐  晓
到顶部