【每日晨读】ANCA阴性相关性血管炎


    肺部影像联盟晨读病例
2020-08-07
              瑞安市人民医院呼吸内科 陈显静 提供病例








































































秋天处暑标题
晕晕菜:
患者老年女性,以咳嗽  咳痰20余天入院。
病程中痰液呈白色粘痰,低热。
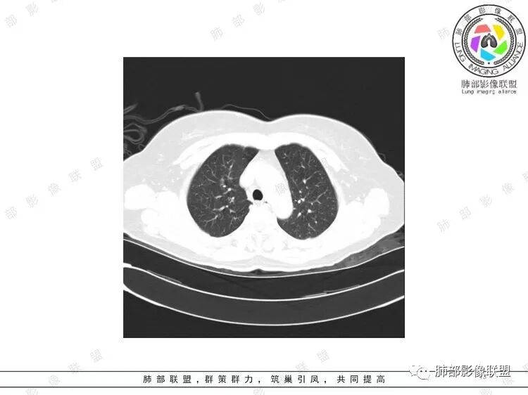
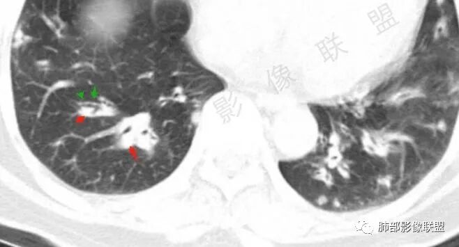
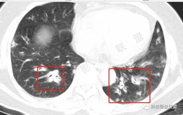
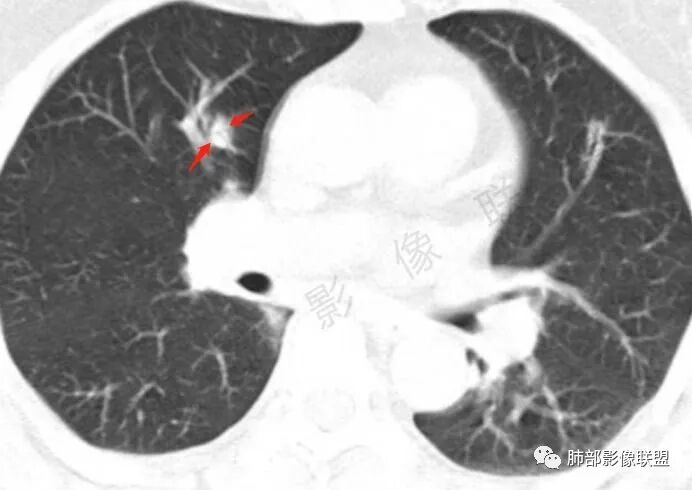
胸CT:双中下肺支气管壁明显增厚,双下肺胸膜下可见实变区。部分病变呈楔形影。
辅助检查:
真菌检查阴性(包括支气管管肺泡盥洗相关检查)。
肺泡盥洗细胞分类以巨噬细胞为主。
反复尿液检查潜血均为阳性。
D二聚体阳性。
血气分析:呼吸性碱中毒,低氧血症
诊断:
考虑非感染性病变
血管炎性病变可能性大
GPA?
胸膜下实变考虑肺梗死。
娜:
双肺多发的,管壁增厚,官腔狭窄,气道分布,合并肺外病变,ancan相关血管炎?
亚东:
晨读:胸部轴心间质增厚+多发实变,尿路炎症,肠系膜血管周围渗出,肠道,子宫具体为什么切?多系统病变,不会,猜一个有机磷中毒?(血管炎个人认为化验不支持)
穿越七海的风:
双肺支气管壁增厚管腔狭窄,支原体感染?APBA?但实验室检查为阴性。免疫系统疾病?
不吝慷慨:
还是先考虑血管炎,嗜酸性肉芽肿性血管炎EGPA?累及中小动脉为主
那个人:
老年女性,鼻窦,肺,肾脏受累,肺部随机结节,支气管血管束增粗,考虑血管炎可能
宇宙:
两肺支气管血管束间质增厚,两肺多发结节,下叶胸膜下为主,血尿,肺、肾受累,考虑血管炎
大雄:
出现尿潜血的情况时多样的
首先考虑的是由肾脏或尿路感染引起的。具体分析引起病理性尿潜血的原因:
第一、肾脏疾病,肾小球肾炎、肾病综合征、系统性红斑狼疮性肾炎等都可以造成尿中出现潜血。
第二、炎症。无论是肾小球肾炎、肾盂肾炎还是膀胱炎,都可能引起尿中潜在出血的情况。
第三、结石。肾脏、输尿管、膀胱等结石都可能造成尿潜血。
第四、肿瘤。肾、膀胱、输尿管的恶性或良性肿瘤都可能引发尿潜血。
第五、遗传性肾炎(奥尔波特综合征)最主要的临床表现是尿潜血。
感觉所有该查的都查了,目前感染,肿瘤,依据都不足,其实血管炎和自身抗体也查了,阴性
如果肺和肾脏一元,综合还是考虑自身免疫性疾病吧,SLE能排除吗?
采莲:
老年女性,咳嗽咳痰低热20天,双肺野散在结节影,随机分布,双肺下叶支气管血管束增粗,支气管管腔狭窄,胸膜下结节斑片影,临床有血尿,痰培养白念阳性,低氧血症。血管炎抗体阴性。从影像看主要侵犯的是血管,血管壁增厚,血管炎抗体阴性不大支持,患者有血尿,考虑膀胱肿瘤引起转移,但是膀胱彩超没发现占位,估计血尿是膀胱炎引起。从影像看考虑侵袭性曲霉菌病?血管炎?实在没有思路。
大雄:
当然血管炎也属于自身免疫性疾病,也有一定概率ANCA阴性,但是就目前已有临床资料,诊断GPA和EGPA还是不够的,MPA似乎还不能排除
继续复查ANCA
下一步只能依靠肾脏活检以及支气管镜TBLB肺活检的病理了
李:
气管血管束增厚,呈间质改变,继发性soP?尿常规红细胞,GPA鉴别
小酸:
肺肾同时病灶,低热,病灶分布和血管关系密切,首先还是考虑血管炎,要是感染的话要考虑血播,经泌尿开始的血播一般是大肠或者肺克,这两种一般临床症状较重,这个病人从症状上不符合。所以,还是先考虑血管炎。
一切∮随缘:
双肺多发大小不等结节,周围伴有晕征,边界模糊,部分结节内似可见支气管影,双肺血管束明显比支气管增粗,临床有感染症状,考虑GPA,疱疹病毒。
蓝天白云:
支气管血管束增粗,两肺多发结节,血尿,用激素后血尿变淡,一元化考虑,血管炎
小兜:
支气管血管束增粗伴多发结节样病灶,血尿,考虑血管炎性病变
丽:
双肺支气管管壁弥漫性增厚,管腔狭窄,下叶为主,伴多发高密度结节影,边缘模糊,双肺支气管血管束明显增粗,临床症状咳嗽低热,有血尿,首先考虑血管炎
看图说话:
副鼻窦,肾,双侧支气管壁增厚,多系统病变,考虑血管炎。
了:
双肺随机分布小结节,支气管管壁增厚,结合实验室检查多考虑免疫相关性疾病
飞鹰行动:
双肺多发结节,副鼻窦炎,肾脏病变,考虑血管炎
大雄:
鼻窦ct做了  不是鼻窦炎
棉花糖:
支气管血管束增粗伴两肺多发结节样病灶,多系统病变,考虑血管炎性病变
傅昌瑜:
支气管壁增厚,两下肺为主,沿支气管血管束分布斑片状、结节状病变,中轴间质增厚。疾病谱可能有:1.气道来源疾病:结核、曲霉、支原体等;2.间质来源疾病:血管、淋巴系统。结合有血尿,使用激素后尿色变淡、抗生素治疗效果差等病史,考虑血管炎可能性大。
慎独:
两肺支气管血管束增厚,两肺多发结节,下叶胸膜下为主,结合实验室检查,考虑免疫相关性疾病,血管炎可能吧
刘丹:
两肺多发小结节,支气管血管束增厚,以下叶为主,病病人血尿,抗炎治疗无效,支持血管炎改变。
哦落花时节:
中老年女性,受凉后咳嗽咳痰,低热,伴鼻塞,为上呼吸道感染症状,后出现血尿,可能由上呼吸道感染诱发急性肾炎,尿常规红白细胞高,可能并发尿路感染,急性肾炎常由免疫复合物沉积引起,即自身免疫性疾病,肺部影像表现:双肺中轴间质增厚伴斑点状影,考虑自身免疫性肺病;肠道,子宫手术史,肿瘤?肿瘤肺淋巴道转移待排。
Yishion:
这个病例该有的检查都做了,但都没有一个好的结论,对于小医院的我来说太难了,只能等后面的老师分析了
青藤之凉:
两肺多发小结节,支气管血管束增厚,以下叶为主,病病人血尿,抗炎治疗无效,支持血管炎改变。
毛勤香:
感觉临床该查的都查了,两肺多发小结节,支气管血管束增厚,以下叶为主,血尿,抗炎治疗无效,猜一个血管炎吧

南边老师讲解















大雄:
鼻窦炎是没有的  这个鼻窦CT提示鼻中隔肥厚就不知道是个什么了,也可能是GPA累及
大家都是考虑非感染非肿瘤→自身免疫性疾病→血管炎→GPA最多
不吝慷慨:
虽然anca未测出阳性,但是也不一定可信
大雄:
不是不可信  是本来就不是百分百阳性@姜春雷青岛第九人民医院放射科
小锁:
肺肾同时病灶,低热。
病灶分布和血管关系密切,肠系膜血管周围渗出,首考虑血管炎,鉴别血管来源的其他病变,血播,血行转移
南边:
影像上:多发结节沿血管分布;双下叶支气管血管束简直增厚,偏血管,支气管通畅
膀胱炎症
肠系膜血管周围有渗出
左上颌窦粘膜下囊肿,鼻甲肥厚
右肾结石
首先肺部气道来源的病变不符合
因为支气管壁增厚,远端应该小气道病变,这个不是,反而是血管增粗明显
加上结节的分布,支持血管相关病变
累及范围广泛:肠系膜血管?膀胱
当然:鼻甲也可以是独立的病变
血管相关:炎性?肿瘤?
累及肠系膜血管、膀胱壁,肿瘤不太支持
加上肺部病灶除了结节,其他方面肿瘤依据不足
张三红:
淋巴瘤可以这样不?
王崇军:
淋巴增生性病变可以这样吗?
比如igG4系统性病变
南边:
淋巴瘤这样分布一般粘膜相关为主,应该以支气管为主
大雄:
淋巴瘤怎么解释尿潜血?
南边:
这个以血管为主,血管炎要考虑
除非血管源性淋巴瘤
但是其他的地方确实支持炎性
小赵:
病史没有隐瞒的,该给的都给了,我刚才偷偷看结果了
小锁:
支持血管的证据太多了,淋巴瘤向后排
大雄:
大体方向是自身免疫
感染和肿瘤基本不符合

吴靖老师分析
平常心:患者有肺、肾两个系统的问题,同时低热,鼻塞感冒也可以,不知道是否如大家说的副鼻窦炎,可以做一下。

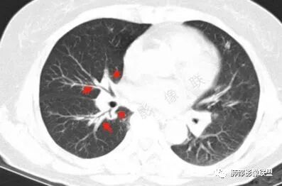
两肺多发结片影,这个病灶很小,但是中间可见支气管影,支气管炎一般不会包在支气管周围,支气管周围间质可能大,包括血管,淋巴等。一般支气管这样穿行的,被包绕的,血管炎,淋巴瘤等这种间质起源比较多见

支气管壁弥漫增厚







平常心:如果淋巴瘤,支气管应该扩张更明显另外还有肉芽肿形成
提示一个支气管周围的间质性病变,并且形成肉芽肿
丁啸:鼻塞,肺部血管分布病变,肾损害,肠系膜血管周围渗出,应该首先考虑anca相关血管炎,GPA首选,活动性ANCA相关血管炎安卡抗体阳性率90%,可能他就是那10%阴性的吧。平常心:使用激素尿提示好转


平常心:虽然鉴别会想到曲霉,但是有几个地方不支持,第一,没有气喘得症状,是咳嗽而已。第二和尿和鼻部多系统无法解释。第三激素治疗应该会加重真菌得吧。

平常心:血常规没有提到是酸粒细胞增高,暂且不考虑EGPA,也没有哮喘啥得。有肉芽肿,GPA可能达


平常心:
肠系膜血管有无血管炎啥得,可以看看肠系膜血管的CTA
就怕有坑。。。。丁啸老师说的对,抗体阴性,还是有一点不放心
saf:
肾 肺 鼻窦 多系统病变,考虑血管炎

病理结果:血管炎




系统性血管炎

  系统性血管炎是指以血管壁的炎症和纤维素样坏死为病理特征的一组系统性疾病。血管炎可以发生在动脉、静脉和毛细血管,病变中常不止一种类型血管受累,主要是血管慢性炎性反应,指血管壁全层有淋巴细胞和浆细胞为主的炎细胞浸润,弹性纤维染色可见血管壁弹性纤维破坏,也可以是急性炎性反应,指血管壁全层有以中性粒细胞为主的炎细胞浸润。其常累及全身多个系统,引起多系统多脏器动能障碍,最常累及皮肤、肾脏、肺、神经系统等。
 
   血管炎分类
 有原发血管炎和继发血管炎,2012年Chapel Hill血管炎分类通过评估受影响血管的大小、临床特征、病因学(感染、药物等)、免疫致病机制(IgA免疫复合物、抗基膜抗体、ANCA)、人口学特征、其他等因素分以下几类。
一、大血管炎   
①大动脉炎(主要累及主动脉及其主要分支)
②巨细胞动脉炎(常累及颞动脉)
二、中血管炎:主要影响中等动脉,与ANCA无关
①结节性动脉炎
②川崎病
三、小血管炎
①ANCA相关性血管炎:包括显微镜下血管炎、肉芽肿性血管炎、嗜酸性肉芽肿性血管炎
②免疫复合物性小血管炎:如抗肾小球基膜病、冷球蛋白性血管炎、IgA性血管炎(过敏性紫癜)、低补体血症性荨麻疹血管炎
四、变异性血管炎:无主导血管类型,可以累及任何大小血管(大、中、小)和类型(动静脉、毛细血管),包括贝赫切特综合征(白塞病)和科根综合征
五、单器官性血管炎:累及单一器官血管,为系统性血管炎局限性表现,包括皮肤白细胞破碎性血管炎、皮肤动脉炎、原发性中枢神经系统性血管炎及孤立性动脉炎
六、与系统疾病相关的血管炎:与系统性疾病相关,可能继发于某病因或系统性疾病,诊断需加上明确的系统性疾病的前缀,如系统性血管炎、类风湿性血管炎、结节病性血管炎;
七、与可能病因相关的血管炎:包括丙肝病毒相关性冷球蛋白血症性血管炎、乙肝病毒相关性血管炎、梅毒相关性主动脉炎、血清病相关性免疫复合物性血管炎、药物相关性免疫复合物性血管炎、药物相关性ANCA相关性血管炎和肿瘤相关性血管炎等。
 参考书籍 张嵩 《肺部疾病临床与影像解析》

E
N
D

编辑者:湘西州人民医院  周乔友
审核者:蔡笑燕  徐  晓
病例提供者:瑞安市人民医院呼吸内科 陈显静 提供病例



到顶部