【每日晨读】相貌怪异的肺部囊腔




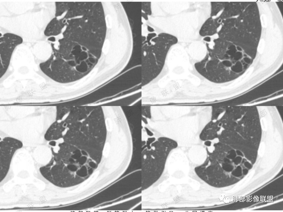
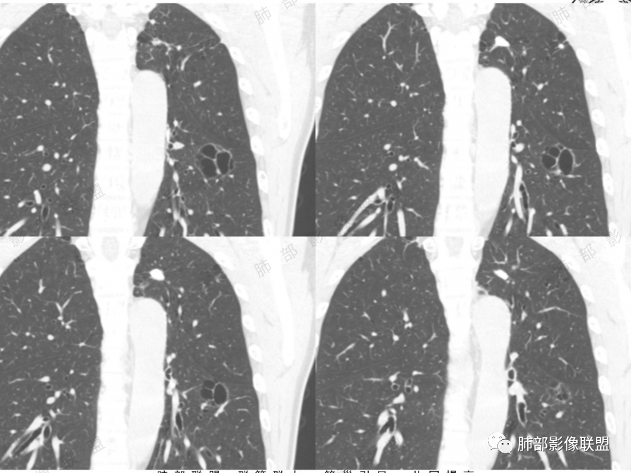
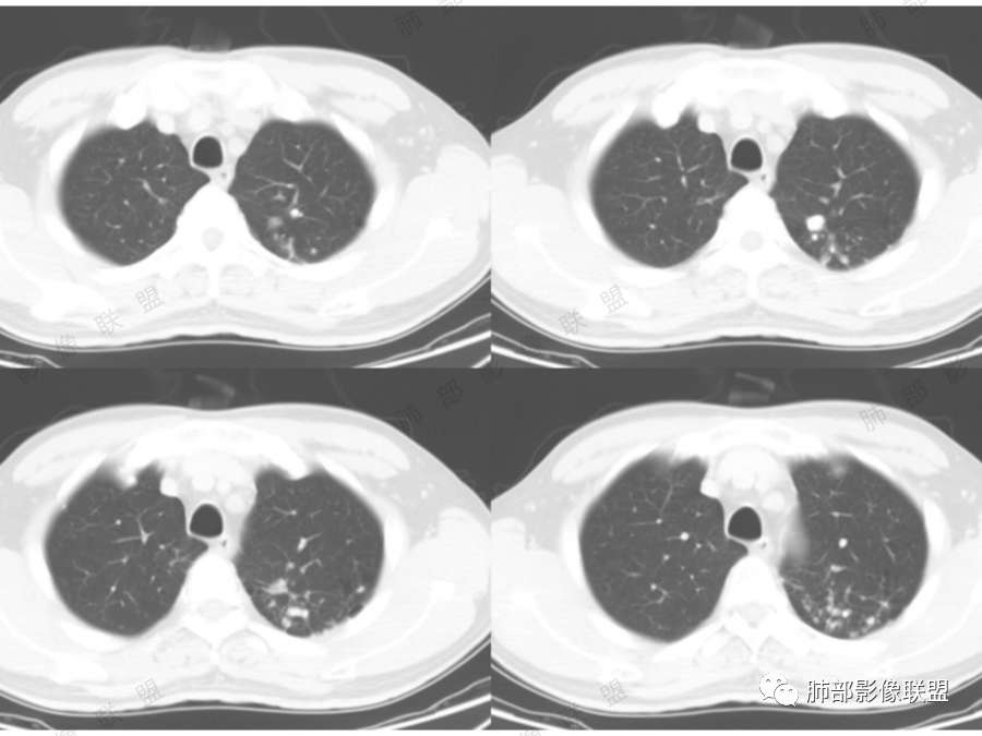
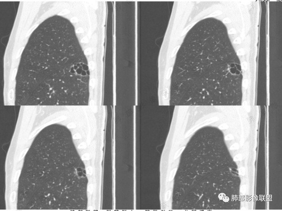
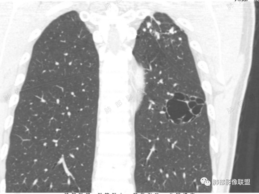
病例资料


群内讨论
王秀仙:
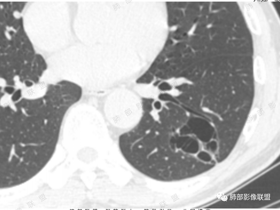
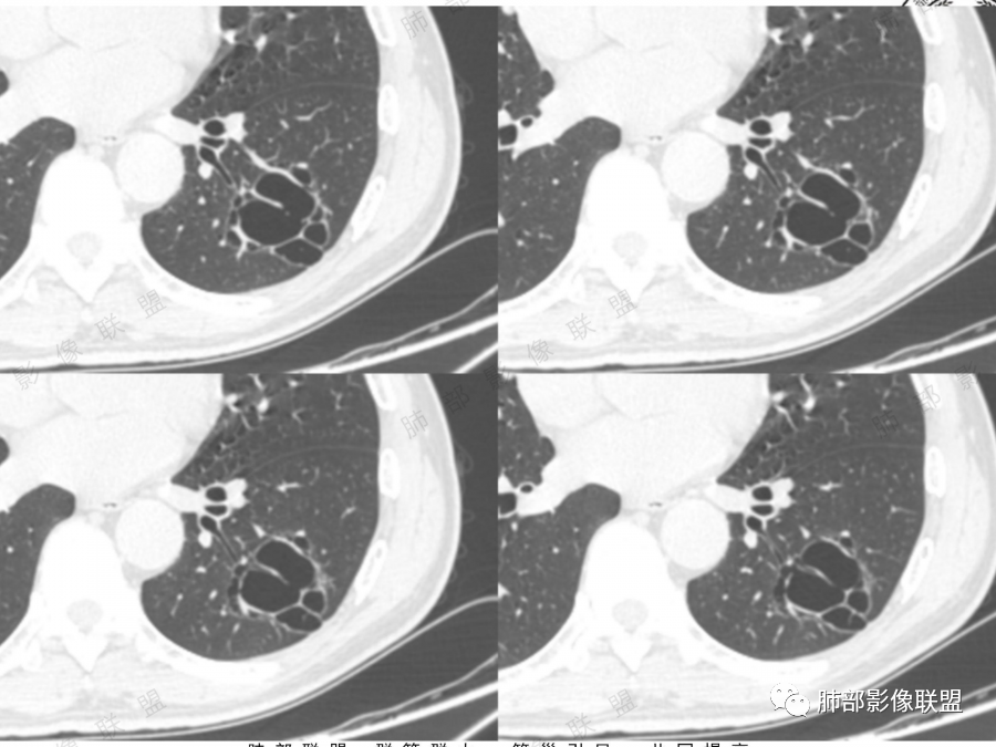
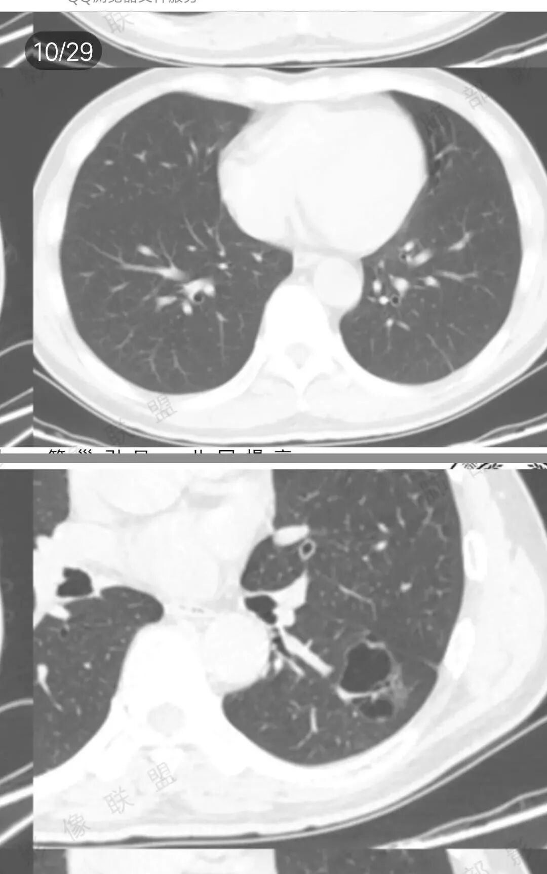
左肺下叶空腔,分隔状,壁厚薄不均,支气管截断,部分周围可见磨玻璃影,胸膜牵拉,左肺上叶多发结节,部分可见钙化,考虑1左肺下叶囊腔型腺癌。2左肺上叶结核。
张慧:
中年男性,多发空腔,腔内可见分隔、壁结节。考虑:囊腔型腺癌。肺结核为陈旧性。
玫:
男51,体检发现肺部阴影,左肺下叶见多发薄壁囊腔影,可见结节,囊腔内见分隔,轻度胸膜牵拉,病灶周围少许磨玻璃影,常规考虑囊腔型腺癌,肿瘤标志物不高,除外结核。
杨丽:
中年男性,体检发现,吸烟史,但肺气肿背景不明显。左肺下叶囊腔病变,有一定张力,分隔明显,似有多个囊腔融合感,部分边缘见少许磨玻璃影,有支气管截断,首选囊腔型肺癌,某些先天病变(囊腺瘤样畸形等)也要考虑。
一切∮随缘:
左肺上叶钙化结节,边界清楚,周围散在多发小结节,伴有磨玻璃影,考虑结核可能,左肺下叶多个囊堆积而成,大小不一,其内可见分隔,囊壁厚薄不均,病变近端与支气管相贴,支气管似扩张,考虑CCAM,鉴别囊腔性腺瘤,囊腔性腺癌
THINKER:
陈旧TB,左下囊性病变待查
1丶囊腔型肺癌
2丶先天性(闭锁丶隔离丶ccam)
良孑:
肺结核背景,左下肺簿壁囊腔,内有分格,有支气管截断,囊壁局限性增厚,嗜烟史,考虑左下囊腔型肺癌(鳞癌)。
毛勤香:
左肺上叶陈旧肺结核,以增殖钙化灶为主,左肺上叶多发囊泡样结节,有分隔,稍分叶,周围少许磨玻璃,支气管部分截断,部分贴边穿过,老年男性,考虑囊腔型腺癌。
刘强:
左肺上叶多发小结节影,部分钙化,考虑结核。左肺下叶多个囊状影,腔内见血管影,间隔稍粗大,考虑囊腔型肺癌,
鉴别:
1.中央型肺气肿,肺大泡;
2.CCAM(I型)多个囊聚集在一起,成人可以,不好完全排除。
3.LAM,多为育龄期女性,次例不符合。plch,吸烟符合,两者多为弥漫性。
红星:
老年,51岁男性病人,左上肺斑点,小结节状阴影,可见钙化,陈旧性肺结核改变,患者有长期的吸烟病史。左肺下叶背段多个囊腔肿块影,整体呈团块状类圆型,无明显壁结节,整体病灶张力较大,具备一定的膨胀感 ,支气管拉直并有突然截断改变,考虑囊腔型鳞癌。鉴别诊断:结核性病变,局限性囊性支气管扩张
吴婧wj:
第一个问题,囊腔型病变疾病谱哪些
第二个囊性肺癌重点看哪几点,key point是什么
第三接下来怎么处理
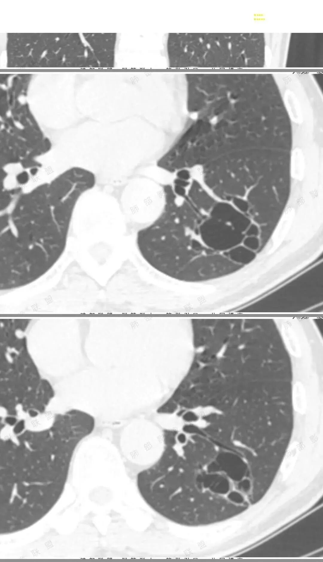
   孤立性的多囊型病变伴分隔。ccam,肺隔离征,囊性肺癌,闭锁。。这是大家上面写的。看看怎么排除。血管看到肺动脉进入供血,没有感染液平,肺隔离不符合。没有代偿肺气肿,支气管没有闭锁,闭锁不考虑。那锁定ccam和肺癌。我们临床也常见是支气管畸形所致的囊。
我们看哪些内容,第1.周围有没有毛玻璃2.分隔有无粗细不均或结节,壁有无厚薄不均有无壁结节3.支气管,4.随访。
吴婧wj:



吴婧wj:
图一看到支气管堵塞,不知道是不假象
图二图三似见毛玻璃
另外分隔比较光滑似无壁结节。
目前可疑恶性,但是证据不足,毛玻璃不够,壁结节及分隔增厚结节不明显。怎么处理,要么随访,如果觉得忍不了也可以切。不会太耽误
闭锁首先要看到闭锁的支气管,然后周围肺气肿,我感觉完全不是这样的,还有支气管粘液栓,这个人都没有
一个支气管闭锁,那么远端支气管粘液分泌不出去,会有条状的粘液栓,这个人是囊性病变,没有这些
大雄:


大雄:

大雄:
CCAM不同分型表现有差异
多房或单发大囊伴小囊
实变? 多发小囊
还可以是单纯实变
尘缘:
男性,体检发现左肺阴影。影像表现:左上肺多发结节伴纤维条索影,部分钙化,左下肺囊腔样改变,内有分隔,部分分隔边缘见实性成分及GGO样改变,支气管从旁边经过,或受压,无明确进入依据。初步诊断:1、左上肺结核。2、左下肺囊腔型腺癌,诊断依据:分隔样囊腔,部分分隔有实变,边缘有GGO改变,鉴别诊断:1、囊腺瘤样畸形,分隔样囊腔要考虑,但部分分隔实变,部分伴GGO样改变成疑,最大的疑问是年龄51岁,体检发现,抽烟、饮酒30年,却无发病,可能性太小。2、囊腔性转移,单发分隔样囊腔转移少见,且需要病史支持。3、囊性淋巴瘤,一般以单发囊腔多见,分隔样囊腔型淋巴瘤罕见。4、感染,无相关临床症状及辅检支持,基本排除。
补充一下,虽然看到有GGO样改变,腺癌可能最大,但如果GGO是假像,有多年吸烟史,也不完全排除囊腔型鳞癌可能。
尘缘:
@傅昌瑜—贺州市人民医院—呼内 这个层面的GGO还是比较确定的。


尘缘:
@傅昌瑜—贺州市人民医院—呼内 里面的血管进一步支持恶性。但不鉴别腺癌和鳞癌,主要鉴别的,还是多囊,张力较高,囊壁较薄(实变区除外),加GGO。

病理结果



囊腔型肺癌
   囊腔型肺癌是一种特殊形态的肺癌,病灶边缘或中央存在一个或多个含气的囊腔,其囊腔直径大于5mm(小于5mm的为空泡)、囊壁厚度小于4mm,当影像上难以判断空洞或空腔时,可以笼统定义位于囊腔样病变。囊腔肺癌以腺癌多见,鳞癌少见,早期表现不典型时容易误诊或不被重视。
01
囊腔型肺癌的可能发生机制:
1.肿瘤坏死液化排出形成的空洞肺癌
2.小细支气管的活瓣作用,使气体容易进入肺泡腔,而不易排出,最终形成含气的囊腔
3.肿瘤细胞沿肺泡壁生长导致肺泡壁断裂,肺泡融合形成含气囊腔
4.原有气囊样病变囊壁恶变,形成囊腔和结节
02
囊腔型肺癌的分型

I型:囊外结节型;
II型:囊内结节型;  
III型:环形增厚型;
IV型:多发囊腔、结节混合型。
03
薄壁囊腔肺癌一般演变规律:
      1.囊腔代表肿瘤生长的早期阶段;
      2.囊壁逐渐增厚, 薄壁---囊壁增厚---GGO---实性;
      3.经过有效治疗的厚壁囊性肺癌,可变为薄壁光滑的囊性肺癌。
04
囊腔型肺癌的诊断要点
1.囊壁是否规则,内壁是否光整。
2.囊壁是否存在不规则增厚或伴有壁结节。这有时需要薄层冠矢状位观察。应留意壁结节及增厚囊壁有无异常强化。
3.囊腔内结构:囊内如果有分隔、支气管及血管穿行应该考虑空腔,而非空洞,这种需要高度怀疑恶性
4.囊腔周围是否有清楚的磨玻璃影,如果有强烈提示腺癌
5.病灶是否有分叶、毛刺、支气管截断、血管集束征、胸膜凹陷征等周围型肺癌的影像征象。应留意同侧肺门及纵隔有无增大淋巴结。
6.动态随访观察:初期囊腔病灶未出现明显恶性征象时诊断有困难,但是仍要引起足够的重视对病灶密切定期随访,如果随访中囊腔增大、囊壁不规则增厚、壁结节增大、囊腔消失呈实性病灶均应及时手术治疗。
7.影留意是否两肺多发。注意查阅患者既往影像学资料。

END

编辑:程  磊
审核:蔡笑燕  徐  晓
病例提供者:九江市第一人民医院影像中心 於雄


到顶部