【每日晨读】淋巴瘤还是结节病?




病例展示






























































































微信群精彩发言

那个人:青年男性,慢性病程,咳嗽气促,伴盗汗胸痛。实验室,贫血,血沉快,C反应蛋白升高,低蛋白血症。影像,双肺散在斑片影,结节影,伴树芽,斑片影源支气管血管束分布,支气管走形自然,结节影有小空洞,有些周围有磨玻璃成分,小结节有些成串珠样改变,纵隔肺门淋巴结肿大,心腔低密度。考虑淋巴增值类疾病,结核?淋巴瘤?结节病?鉴别血管炎,实验室,影像不太支持
穿越七海的风:双肺多发结节斑片影,支气管通畅,间质浸润,纵隔肺门肿大淋巴结,考虑淋巴瘤?白血病浸润?结节病?
薏米:青年男性,慢性咳嗽,咳痰,气短,贫血,淋巴细胞低,尿隐血阴性,双肺散在多发结节,斑片,树芽影,支气管充气,肺门,纵隔淋巴结肿大,融合趋势,考虑淋巴瘤,鉴别结核
甄德强:年轻男性,慢性起病,双肺多发斑片影,结节影及粟粒点状影,纵隔及双肺门淋巴结肿大,似乎密度不均,结核中度症状,血沉快,一元论考虑结核,鉴别诊断结节病。
一切∮随缘:双肺多发大小不等结节,结节密度高,边缘清楚,部分结节内可见血管穿行,另右肺长条状实变影,内部可见支气管充气征,局部支气管壁增厚,双肺多发小树丫,双肺门及纵隔淋巴结肿大,部分融合,无增强,对淋巴结坏死无法判断,临床:年轻男性慢性病史急性加重,血象、CRP、ESR高,考虑一元论:结核(年龄加影像都符合),二元论:结节病或淋巴瘤+结核(建议CT增强及淋巴结穿刺),无原发肿瘤病史,癌性淋巴管炎代排。
刘L:纵隔多发淋巴结肿大,自肺门向上呈对称性分布,部分融合,内密度均匀;双肺散在分布大小不等结节,边界清晰,右肺中叶部分伴有实变,首先考虑结节病,建议增强扫描排除肺结核。
飞鹰行动:
男性,25岁,咳嗽咳痰1年,气促两月,加重一天,伴盗汗胸痛。CT示双肺散在斑片影,结节影,树芽征,部分周围伴磨玻璃影,以右肺上叶明显,纵隔及双肺门可见多发淋巴结肿大,部分融合,青年人,病史较长,首先考虑结核,不排除结核合并结节病可能。
王开金江津中心医院呼吸科:青年男性,病程长,咳嗽,气促,胸部ct,双肺多发结节,肺门淋巴结,锁骨上,腋窝淋巴结肿大,考虑淋巴瘤。
大雄:这个很不像结核与结节病

傅昌瑜:
青年男性,纵隔、两侧肺门淋巴结对称性肿大,肺内见沿支气管血管束小结节、多发实变部分实变支气管穿行自然。考虑间质增生性病变,其可能的疾病谱有:1.炎性:结核、真菌(曲霉?),病史不支持真菌感染。2.肿瘤:腺癌、淋巴瘤,太年轻,小叶间隔增厚并不十分明显,不支持。3.结节病。患者两侧肺门对称性淋巴结肿大,考虑结节病可能性大,注意鉴别淋巴瘤、结核。
张小兵:多发多形态病变,与血管关系密切,支气管充气征,近胸膜病变收缩不明显,淋巴结肿大,青年男性,慢性病程,贫血,首先考虑淋巴瘤。TB待排。
三个石头:纵隔,肺门,腋窝淋巴结肿大,肺内斑片,结节,条索,树芽征。结节病,淋巴瘤,结核鉴别。淋巴结好像有融合趋势,淋巴瘤首选吧。建议增强或淋巴结穿刺
了:首先双肺大小不等的结节,沿支气管血管束及胸膜下分,边缘清楚, 部分可见支气管通过,右肺中叶团块状影,内可见支气管充气征,左肺下叶小叶间隔增厚,双侧肺门淋巴结肿大,首先考虑恶性,淋巴瘤及腺癌首选
毛勤香:两肺多发结节斑片影,部分沿血管支气管束走行,部分支气管略扩张,小叶间隔增厚,肺门纵隔多发肿大淋巴结,无增强,年轻男性,病史一年,贫血,感染指标高,肺内病灶和淋巴结未见明确钙化,首先考虑淋巴瘤,鉴别结节病和结核
王秀仙:双肺大小不等的结节,沿支气管血管束及胸膜下分布,边缘清楚,右肺中叶团块状影,内可见支气管充气征,小叶间隔有增厚,双侧肺门淋巴结肿大,考虑淋巴瘤。鉴别结核。
小赵:刚提供病例的老师告诉我,患者腹部CT提示脾大。
Coke with ice :25岁。支气管血管束分布为主,同时有淋巴管型分布的小叶中心型结节。周围间质微小结节。中央带明显,右侧明显,中上肺明显。中央带向周围放射状分布。有空气潴留,支气管充气征,病变周围少于磨玻璃。双肺门纵膈多大淋巴结肿大。常规疾病谱:结节病,结核,荚膜组织包浆菌,淋巴瘤,还有卡波西肉瘤。诊断:结节病第一位,淋巴瘤第二位。查艾滋病,卡波西肉瘤第三位。
黄兴:本来考虑结核,有脾大,考虑艾滋病相关或淋巴瘤一类
尘缘:
青年男性,咳嗽,咳痰1年,气促2月。实验室检查,低色素贫血,铁蛋白明显增高,凝血功能降低,蛋白降低,乙肝,叶酸低,CRP 高,白细胞及中性高。影像表现:纵隔肺门淋巴结肿大,部分有融合,双肺多发结节及斑片影,部分中央淋巴间质增厚,小叶间隔增厚,右肺病灶部分呈树芽征改变,脾大。初步诊断:淋巴瘤(非霍及大B可能最大),依据:低色素贫血,铁蛋白增高,网织红增高,血沉增高,脾大(倾向于红细胞破坏性贫血),纵隔肺门淋巴结肿大,融合,肺内病灶部分以中轴淋巴间质及周围淋巴间质增生改变为主支持。仅右肺树芽征稍存疑,鉴别诊断:1、血液系统疾病肺侵润,脾大,贫血,铁蛋白增高,要考虑,需要骨穿鉴别。2、结核,双肺斑片影,树芽征,肺门纵隔淋巴结增大,血沉高要考虑,但贫血,脾大,铁蛋白明显增高,无明显结核中毒症状,淋巴计数明显降低,不支持,3、HIV相关,卡波西肉瘤,影像不太典型,辅检不太支持,需要查HIV。4、结节病,有淋巴结增大,肺内淋巴增殖改变,要考虑,但肺内斑片影及淋巴结融合不太支持,贫血,脾大,低蛋白等不好解释。综上:考虑淋巴增殖性疾病可能,以淋巴瘤(非霍>弥漫大B>MALT)可能最大,血液系统疾病及结核待排,其他可能性小,下一步查HIV,结核相关指标,骨穿刺,肺或淋巴结穿刺。

大雄:HD的肺浸润更容易出现结节 肿块 实变 多形态MALT和弥漫大B其实反而少见结节 更多是实变
这个影像 不是太符合弥漫大B和MALT
下面这是HD:

大雄:非霍奇金那么多种类 我也好多没见过,就是见得多的弥漫大B和malt感觉不太像
赵春杨:两肺多发结节斑片影,部分沿血管支气管束走行,部分支气管略扩张,实变区见支气管达边征,小叶间隔增厚,肺门纵隔多发肿大淋巴结,无增强,年轻男性,病史一年,贫血,感染指标高,肺内病灶和淋巴结未见明确钙化,首先考虑淋巴瘤,鉴别结节病和结核
流心明智:男,25,病史长,贫血,血沉、CRP增高。胸CT:两肺多发结节斑片影,结节大小不等,粟粒结节多,右肺明显,部分位于叶裂,部分沿血管支气管束走行,支气管充气征,小叶间隔增厚,腋窝肺门纵隔多发肿大淋巴结,考虑:淋巴瘤?鉴别结节病、结核、转移瘤。

晨读结果











那个人:
请问下各位影像老师,今天晨读有确切的树芽没?这个拿不准,被这个误导到结核上去了
丁啸:淋巴道的结节,有的在支气管血管束周围,也看起来像树芽,但是不是气道的树芽
尘缘:这个远端有树芽,但是不一定是气道,这个解释合理
淋巴瘤最符合,其他诊断不好解释的地方较多
王武章:
结节病到了这个程度,淋巴结多数没这么大,灶内气道、间质变化都用结节病不好解释,从颈部到纵隔肺门,淋巴结能大的都大了

大雄:按常规结节病是放最后的,肺内病变解释不通,结核比结节病概率大
Coke with ice:鉴别要点应该是在腋窝淋巴结和脾大。肺内和纵膈改变鉴别不了
不吝慷慨:结核也不像,肺内病变到底是原发还是浸润啊!
纵隔肺门双肺同时受侵吗?
尘缘: @李标达,结节病,在排除其他所有可能的基础上要考虑
必有路:估计浸润?原发肺内,少有这么多淋巴结大,尤其累及肺门
影像不太符合原发肺内
尘缘:HD就是浸润
经典HD,肺内都是浸润
大雄:这个不是原发,就是淋巴瘤肺浸润。





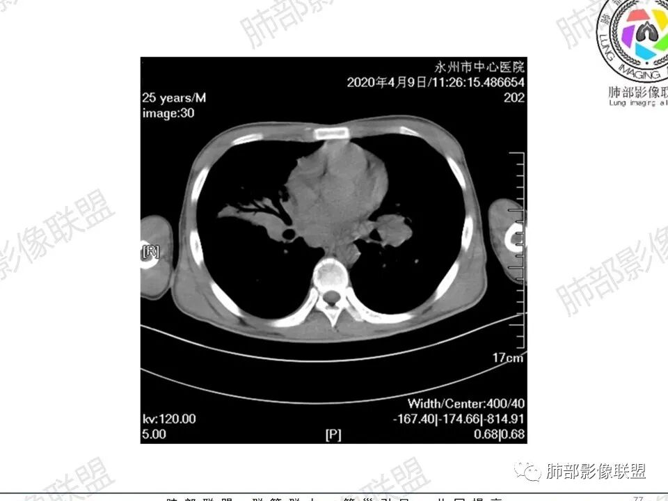
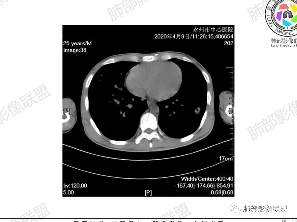
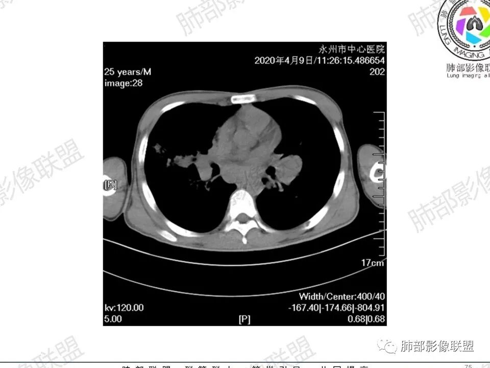
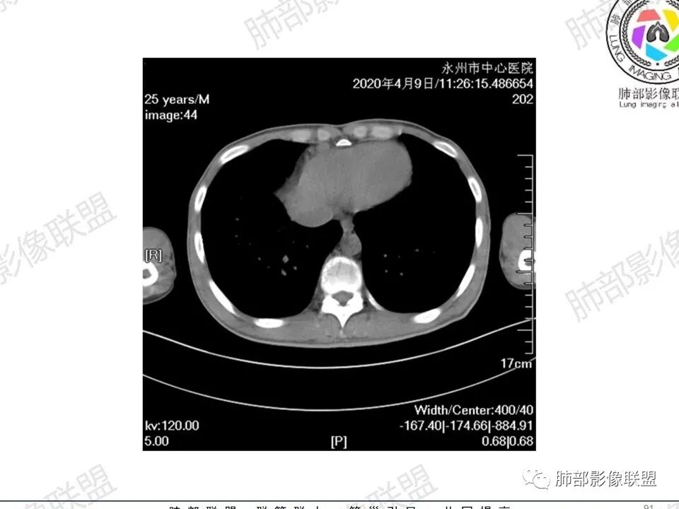
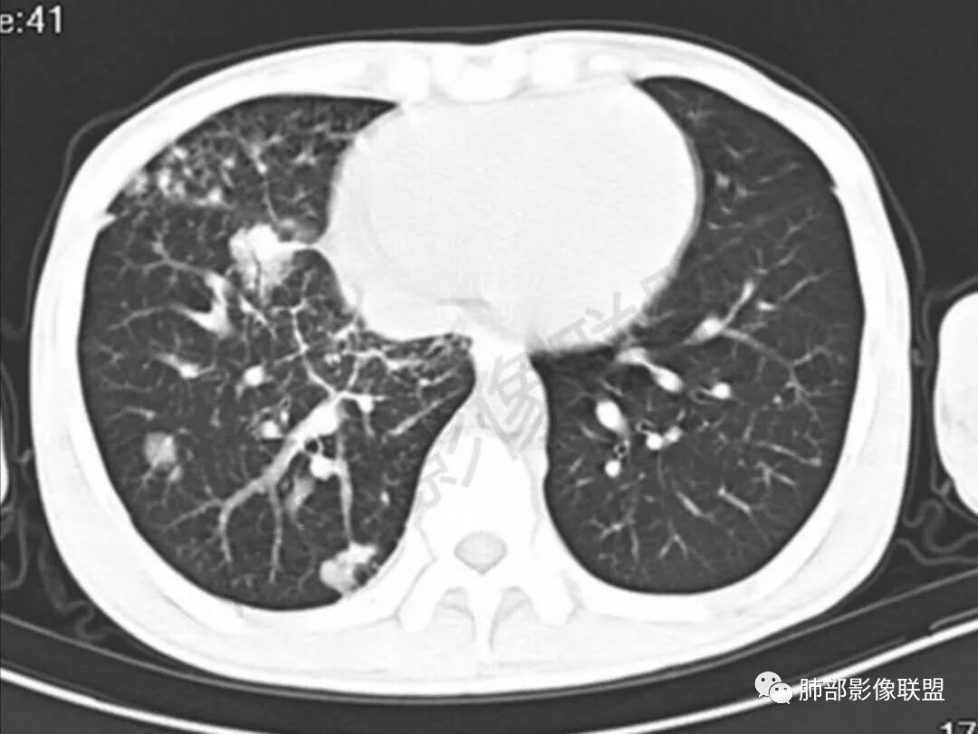
1、临床信息:青年男性,慢性病程,咳嗽气促,伴盗汗胸痛。
2、实验室检查:低色素性贫血,血沉快,铁蛋白明显增高,凝血功能降低,蛋白降低,乙肝表面抗原阳性,叶酸低,CRP 高,白细胞及中性高。
3、影像表现:双肺散在斑片影及结节影,部分结节内可见血管穿行,斑片影沿支气管血管束分布,近胸膜侧病变收缩不明显。部分中央淋巴间质增厚,小叶间隔增厚。病灶内支气管穿行,部分支气管略扩张。局部小结节呈串珠样改变。纵隔、肺门区、锁骨上及腋窝淋淋巴结肿大,部分有融合。心腔低密度。脾大。
4、初步诊断:淋巴瘤可能性大。血液系统疾病肺浸润、结核、结节病、卡波西肉瘤待排。
5、鉴别诊断:①血液系统疾病肺浸润:脾大,贫血,铁蛋白增高,应警惕,但白血病肺浸润较少出现实性密度结节影。②结核:双肺斑片影,局部可疑树芽征,肺门纵隔淋巴结增大,血沉高,结核要考虑;但贫血,脾大,铁蛋白明显增高,无明显结核中毒症状,淋巴计数明显降低,不支持。③HIV相关卡波西肉瘤:影像不太典型,辅检不太支持,需要查HIV。④结节病:有淋巴结增大,肺内淋巴增殖改变,结节病要考虑;但肺内斑片影及淋巴结融合不太支持,贫血,脾大,低蛋白等不好解释。

说在后面的话
资料强调:
1.年轻男性,咳嗽咳痰1年,气促2月,伴胸痛盗汗。长病程。
2.双肺多发片影及结节影,边界可分辨,右肺中上叶较为密集,没有胸膜下分布优势。病灶实性密度为主,未见钙化及液化。
3.右肺较多微小结节,密度较为浅淡,部分沿血管束分布,未见沿小叶间隔及叶间裂分布结节影,未见典型的终末气道树芽。
4.病灶区域穿行支气管显示良好,未见壁增厚及管腔狭窄。
5.双肺门及纵隔淋巴结显著增大,这改变相当显眼。这里强调“双肺门”及“多发”!
增大的淋巴结密度偏低且均匀。此外患者有体表淋巴结增大。
6.心腔密度减低。提示可能存在贫血。
7.脾脏增大。
 
思路:
1.临床表现明显,纵隔及双肺门淋巴结显著肿大,临床最为担心的还是淋巴瘤!
尤其患者有贫血及脾脏增大,又有体表淋巴结增大时,这也是临床相对常见的情形。
淋巴瘤肺部浸润表现多样,多发结节影是其最常出现的影像学改变,尤其是霍奇金病。
2.右肺多发微小结节影,部分沿血管束分布,尽管未见小叶间隔改变,但双肺门淋巴结增大确实应当首先排除结节病,但经验上说,结节病的增大淋巴结密度往往较高、较密实,边界往往清楚,“独立性”很强,绝无“融合之嫌”!此外,较少出现贫血、脾大,临床表现也往往较轻微。
3.双肺多发结节影,没有明显的新旧不等,没有钙化,微小结节影密度偏低,边缘不够僵硬锐利;病灶区域穿行支气管显示良好,未见壁增厚及管腔狭窄,加之病灶如此广泛,病灶未见收缩、肺叶体积未见缩小,结核中毒症状不明显等等都不支持结核。
双肺门、纵隔及全身浅表淋巴结都增大,对于结核病而言还是少见一些。
感  谢  您  的  参  与

编辑:杨新娟、赵永兵
审核:徐  晓
到顶部