【每日晨读】主动脉弓旁那一轮高强化影





很多人都觉得优秀的人是因为有天赋。其实,天赋异禀的人是很少的,真正让他们出类拔萃的是全心投入和用心付出。拥有得天独厚的优势固然重要,但更多时候,优秀靠的是日复一日的持续努力。
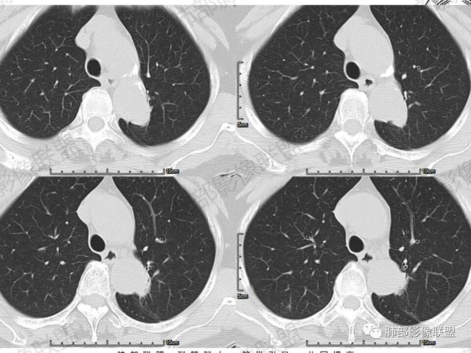
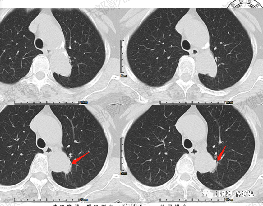
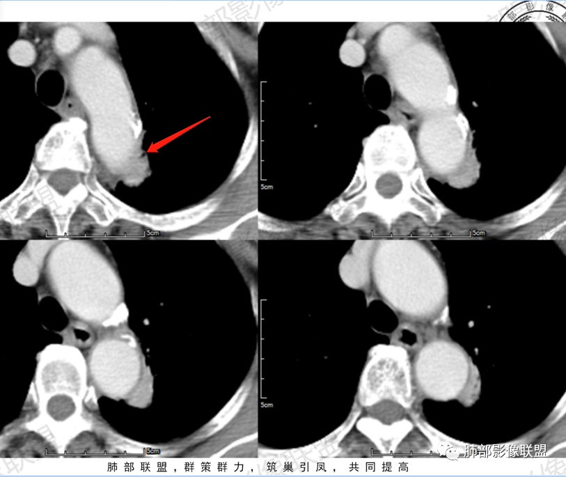
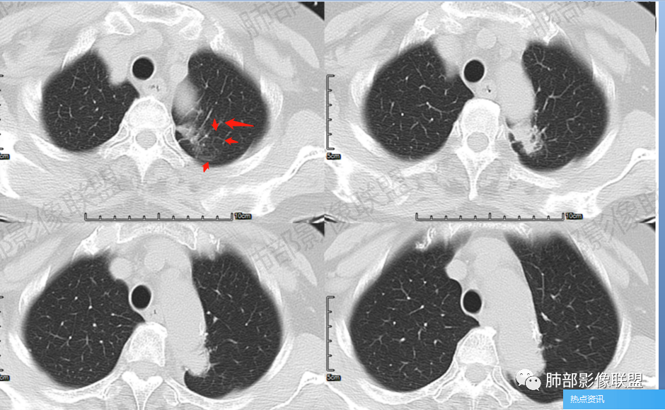
一、病例资料


















二、群内讨论
红星:
病史无什么特殊性,老年女性。1、主动脉弓壁钙化2、长条影主要趴在弓部向胸主动脉位置。3、增强延迟明显强化,接近母血管。4、长形影周围条索影(纤维化)。敢在大血管长趴着睡的关系并接近强化,考虑主动脉假性动脉瘤?附壁血栓?周围局部包裹纤维化。
张小林:
又是炎性病变跟肿瘤性病变鉴别诊断,渐进性强化,OP?TB?隐球?鉴别诊断腺癌,类癌,淋巴瘤,平滑肌瘤,鞘瘤,SFT,感觉像是良性病变机率高。
一切∮随缘:
降主动脉旁不规则肿块,形态不规则,边缘平直,收缩,宽基底与主动脉相贴,周围脂肪间隙消失,病变内上缘可见支气管包绕?还是空泡?考虑肺内来源,病变平扫密度均匀,增强后动脉期低强化,静脉期和延迟期等同血管强化,局部血管壁增厚,上部可见主动脉发出血管供血,考虑1:肺隔离症2:炎性肉芽肿,3:腺癌
丽:
胸降主动脉旁片状软组织密度影,部分边缘欠规整,周围可见索条影,增强后均匀强化,并呈渐进性强化,考虑炎性肉芽肿性病变
爱跳舞的猫:
降主动脉旁不规则肿块,形态不规则,宽基底与脏层胸膜相贴,局部胸膜掀起,增强渐进性明显强化,胸膜来源考虑STF,鉴别炎性肉芽肿病变病变
春秋:
老年女性,左肺上叶纵膈旁不规则结节,可见局限性膨凸,边缘见磨玻璃成分,边界清晰,强化明显,考虑恶性,支持腺癌可能性大!
宇宙:
左肺上叶靠主动脉旁实性结节,宽基底相连,密度均匀,平直边及尖角,边缘长索条及胸膜牵拉,明显持续强化,考虑慢性炎症,鉴别腺癌
刘斌:
左肺上叶不规则肿块,与斜裂胸膜宽基相连、紧贴,斜裂增厚,增强持续、明显强化,并见血管穿行,边缘部分平直,部分膨隆,部分层面病灶边界不清,考虑慢性炎症,鉴别腺癌
刘和林:
主动脉旁软组织影,边界不清,内见含气支气管,周边不干净,考虑肺内来源病变,明显延迟强化,考虑慢性炎性肉芽肿病变,慢性炎症或结核。
哦落花时节:
老年女性,主动脉弓旁占位,宽基底与主动脉弓相贴,增强延迟均匀强化,内见血管穿行,周围见血管贴边,考虑胸膜来源肿瘤:SFT可能。鉴别慢性炎性病变
位移:
主动脉旁软组织影,边界不清 部分边缘平直,部分毛刺,内见血管影,周边不干净,考虑肺内来源病变,明显延迟强化,考虑良性病变,慢性炎症或IMT OP,鉴别腺癌。
衡妈:
老年女性。左上肺主动脉弓旁类椭圆形实性密度影,边缘有彭隆、局部平直,浅分叶;边界大部分清晰,少许须状影,少许边界清晰磨玻璃影;周围肺纹理欠干净,少许细线影;与临近胸膜面宽基底相连,一侧胸膜牵拉凹陷。增强后明显均匀强化。我考虑炎性病灶,建议抗炎治疗后短期复查,排除恶性可能。少许的磨玻璃让人心慌,腺癌也是很有可能,主要就是持续的明显强化,不太符合。
王秀仙:
左肺上叶尖后段主动脉旁结节影,病灶紧贴主动脉,分界清,增强扫描渐进性强化,内见血管影,考虑慢性炎性病变。鉴别SFT.
傅昌瑜:
老年女性,体检发现左上肺主动脉弓旁占位,脂肪间隙清晰,边缘部分光滑、部分毛糙,似有毛刺、分叶,似有边界清楚的GGO,内部大部密度均匀,有条索状低密度(支气管粘液栓?),增强检查见均匀明显强化,延迟强化明显(CT值增加近80Hu)。边缘见支气管提示肺内病变。整体考虑炎性可能,炎性病变的强化似乎是以动脉期明显,本例延迟强化明显,延迟强化明显的病例可能有:PSP、类癌、淋巴上皮瘤样癌、炎性病变?…………似有分叶及病灶边缘GGO,注意鉴别腺癌。
空格:
临床,眼科入院常规,肺部无症状,慢性炎症或恶性偷袭。视物变形,黄斑裂空可以解释,颅内不一定有问题,常规眼部ct,以防万一。定位,肺内血管进入,外缘毛糙,有肺纹进入,肺内的可能大。影像:    良性征像, 1、 病灶紧贴主动脉的细、长条状,炎性的王牌。2  、有直边、多边征 3、 矢状位略成梯形,垂直主动脉弓。  恶性征像较多,但多位低权重征像部分似是而非:1 主动脉弓后缘动脉壁似有侵袭 2  斜裂有轻度收缩 3 内上似见一个月牙铲 4 实性病灶周围有境界清晰的磨玻璃影  5 有小叶间隔阻挡现象 6 血管造影征?7 病灶略有膨隆 。中立征像:持续高强化,可以见于1 腺癌 、2 纤维类肿瘤 3肉芽肿病变。综上 1 腺癌第一(伴粘液腺)2 炎性肉芽肿待除外
段建民:
入院检查发现的左肺上叶软组织密度影,定位左肺上叶胸膜下近主动脉处,未见明显分叶和毛刺,增强CT显著强化,周围见血管环绕,内部未见血管和支气管充气征。考虑肉芽肿炎性病变,强化明显肿瘤可能小,建议抗感染后复查,暂无活检或手术指征。
马春平(张家港市一院胸外科):怎么会这么多人考虑慢性肉芽肿炎?
必有路:这个强化  我是比价纠结的,关键是,这么均匀。不敢排除癌,又倾向炎性
尘缘:腺癌明显强化或者明显渐进性强化的太多了。不要用这个去排除腺癌
均匀强化的也多,这个强化模式,确实不像肉芽肿 机化这一类的,动脉期没什么强化;
马春平(张家港市一院胸外科):沿着支气管、肺动脉或主动脉、心缘、膈肌旁生长的腺癌形态会千奇百怪,抓住最重要的一条:找周边沿腺泡囊生长、边界较清的磨玻璃灶。
不要过多纠结纵隔窗。
Coke with ice:病例收缩力偏弱,有磨玻璃,有牵拉支气管扩张,明显强化。可疑栽桩。符合实体型腺癌的表现。需要考虑到粘液腺的可能性。
尘缘:就像马春平老师说的一样,找到关键的征像,就容易了。

三、病理结果


四、后续的讨论
尘缘:支气管进入并堵塞



尘缘:病灶沿主动脉匍匐样生长,但整体明显膨隆,胸膜牵拉凹陷,局部有小喇叭口样改变。

尘缘:边界清楚的GGO。

尘缘:局部血管增粗,扭曲


尘缘:局部有淋巴管增粗,小叶间隔增厚,提示癌淋可能。


尘缘:最后就是强化,虽然是明显渐进性强化,要考虑炎性可能,但腺癌明显渐进性强化的并不少见。
所以,很明确的支持腺癌。
吴婧wj:见过不少这么强化的
大雄:我发过的就至少有3例强化显著的腺癌
必有路:今天还是过于重视强化了。。。早上还在纠结,於老师没那么多强化明显的腺癌吧
马春平(张家港市一院胸外科):强化要看肿瘤的具体部位、有无合并肺不张、阻塞性肺炎、坏死等综合判断
尘缘:
今天考虑炎性的,不外乎就是两个依据:1、强化太明显(但腺癌强化明显的不少,所以强化不是排除腺癌的依据),2、认为沿主动脉匍匐样生长,这形态应该是炎性(但马春平老师已经解释了,在特殊部位的腺癌,形态是多样化的。可以长得千奇百怪)。
马春平(张家港市一院胸外科):一旦侵犯支气管,平直的刀切征都会有
张勇:边界清晰的磨玻璃影+支气管扩张是很强烈的恶性
平直征不是很可靠
马春平(张家港市一院胸外科):大伙要牢记一点,腺癌的病程相对比较长,破坏力小,遇到阻碍短时间越不过,侵犯间质后形成收缩力,再遇到支气管、血管就形态各异,向各个方向的生长速度也不一样。
如果再合并无临床症状的阻塞性肺炎、局限性肺不张,密度和强化变化会更复杂一些
                   说在后面的话
影像与临床:
1.右眼视力下降2年,视物变形3天,有相应“右眼黄斑裂孔”记载。
没有呼吸系统临床表现。
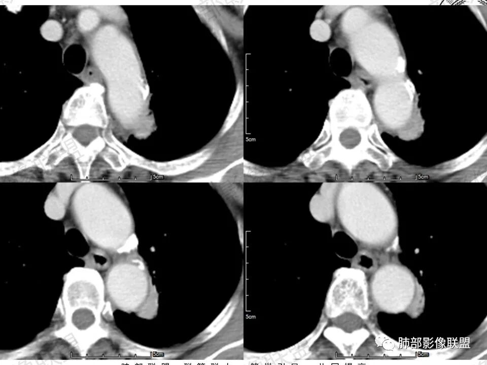
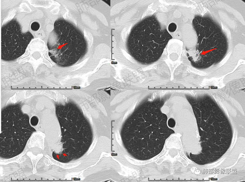
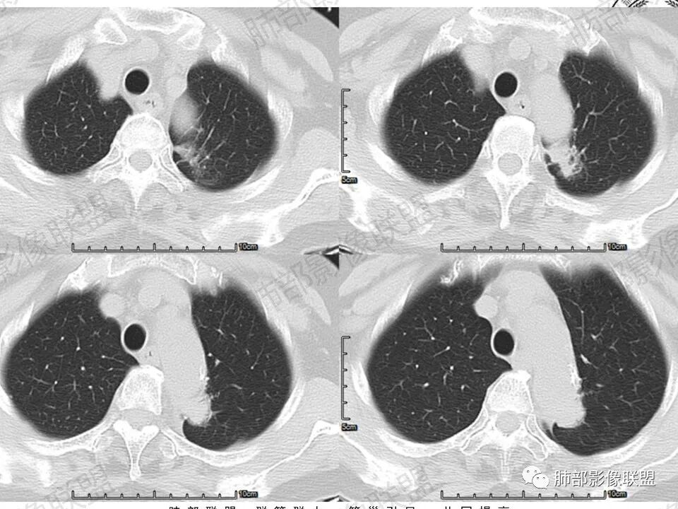
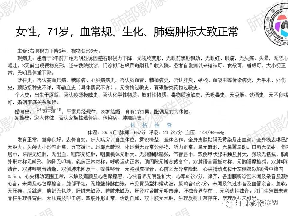
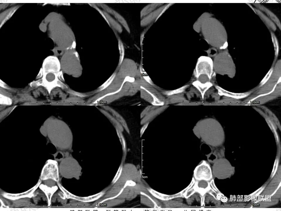
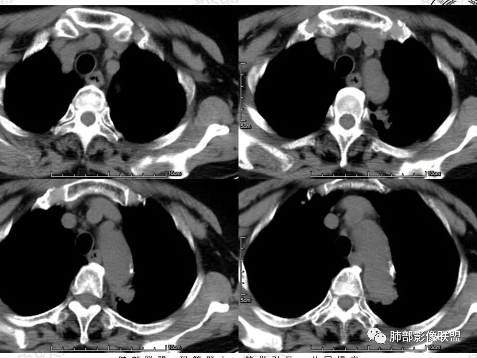
2.轴位显示主动脉弓旁依势傍行弧形高密度影,隐约见尖后段支气管进入并截止。病灶边界较清楚,见血管结构及线性影与邻近肺组织相延伸。
3.病灶渐进性显著均匀强化!动脉期未见主动脉腔异常通道。
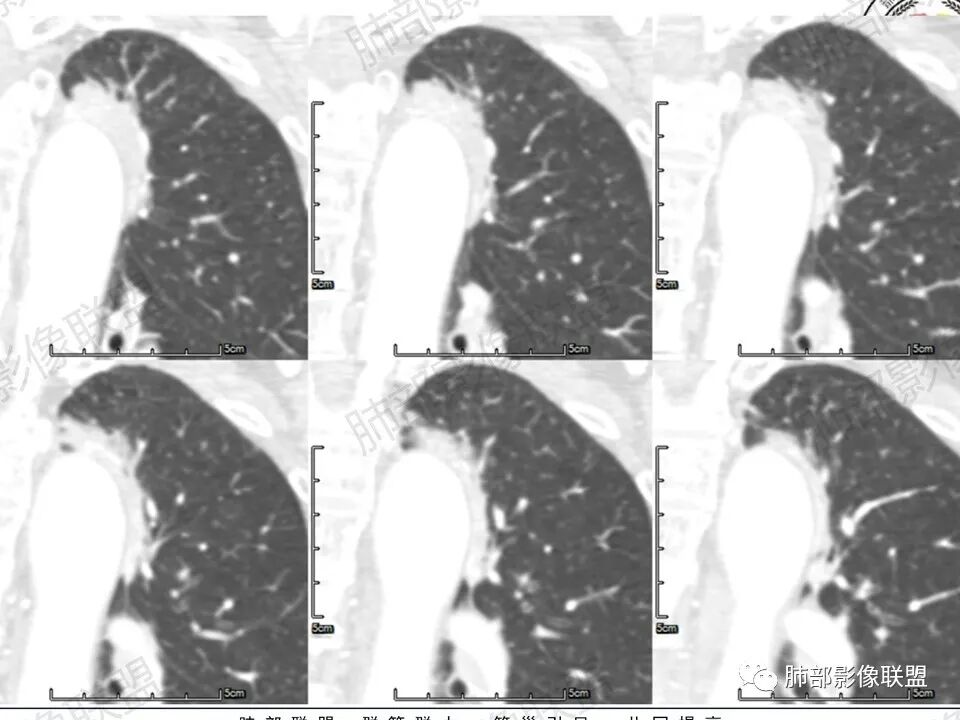
4.冠矢状位病灶于弓上部偏后局限性“贝雷帽”状突起,提示病灶有局部膨隆特点,且病灶上份及后份饰以边缘较清楚磨玻璃影。
综合分析:
1.单眼视力受损,定位应在视交叉以前,一般与颅内无涉,况有相应“右眼黄斑裂孔”记载。
2.主动脉弓旁贴合弧形高密度影尤其常见于相应肺组织局限性不张和/或感染。
3.如前所述本例病灶定位于尖后段肺组织,冠矢状位病灶明显局限性膨隆感,如有老师分析时称“见较清楚磨玻璃边缘”——这应当是本例较重要诊断线索!
4.病灶显著强化是符合腺癌影像学特点的。
5.临床实践中,恶性肿瘤较少能够直接突破主动脉壁,尤其是腺癌。


END
编辑:齐  琳
审核:蔡笑燕  徐  晓
病例提供:九江市第一人民医院影像科 於雄


到顶部