【每日晨读】支气管开口阻塞之辨



(图片来自百度)



















































群内讨论
王开金江津中心医院呼吸科:
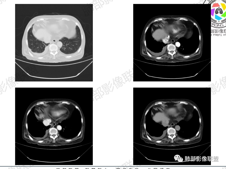
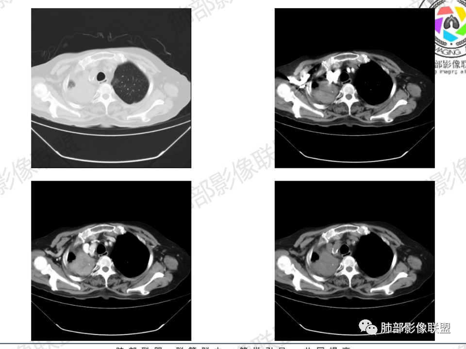
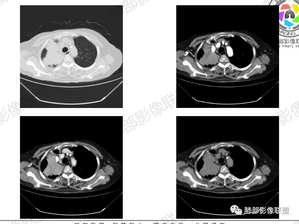
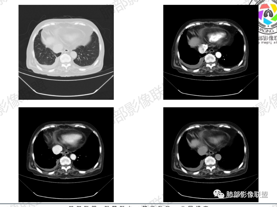
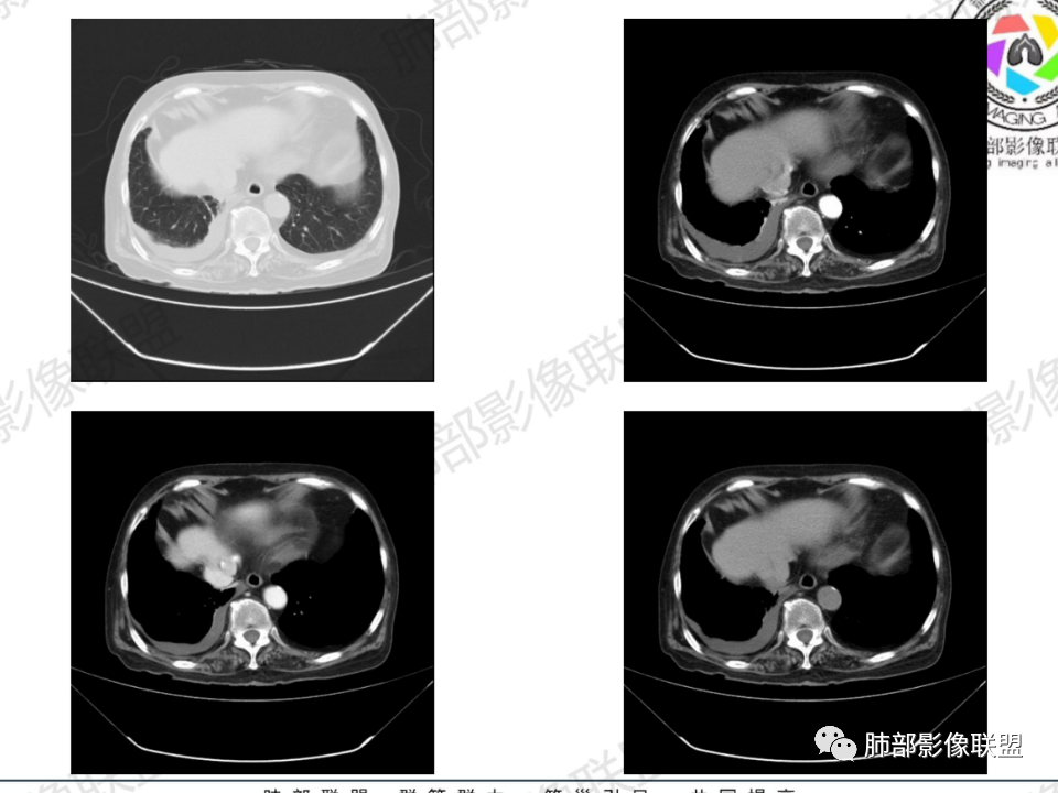
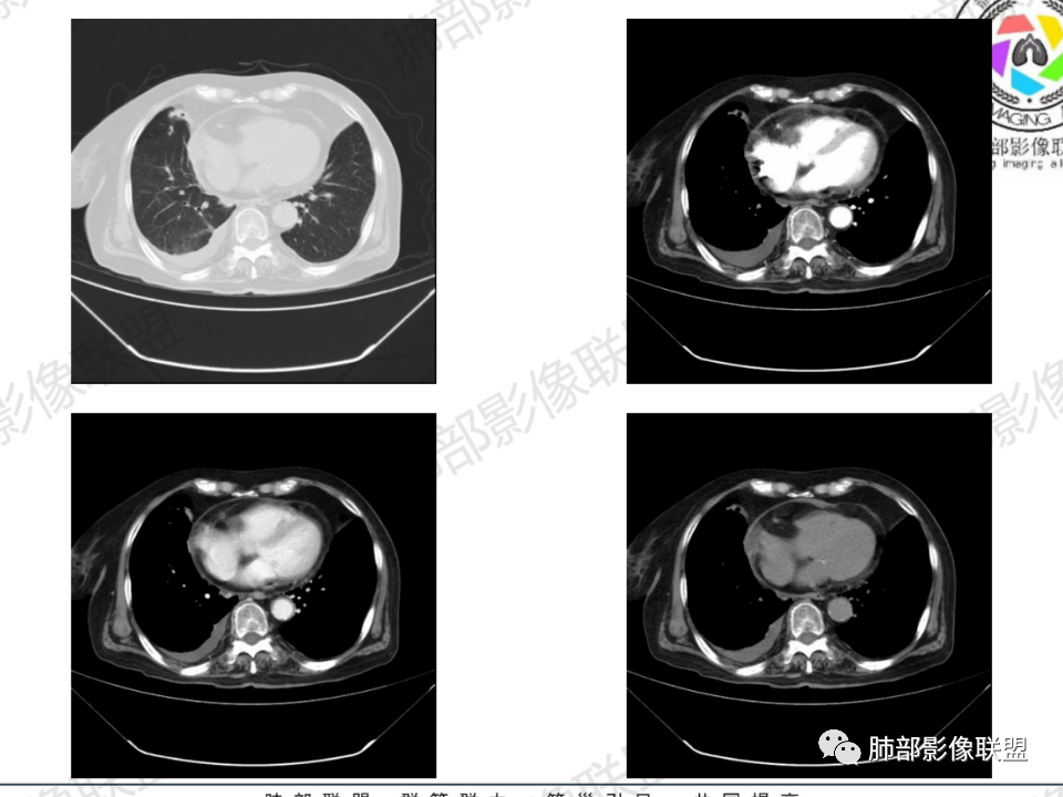
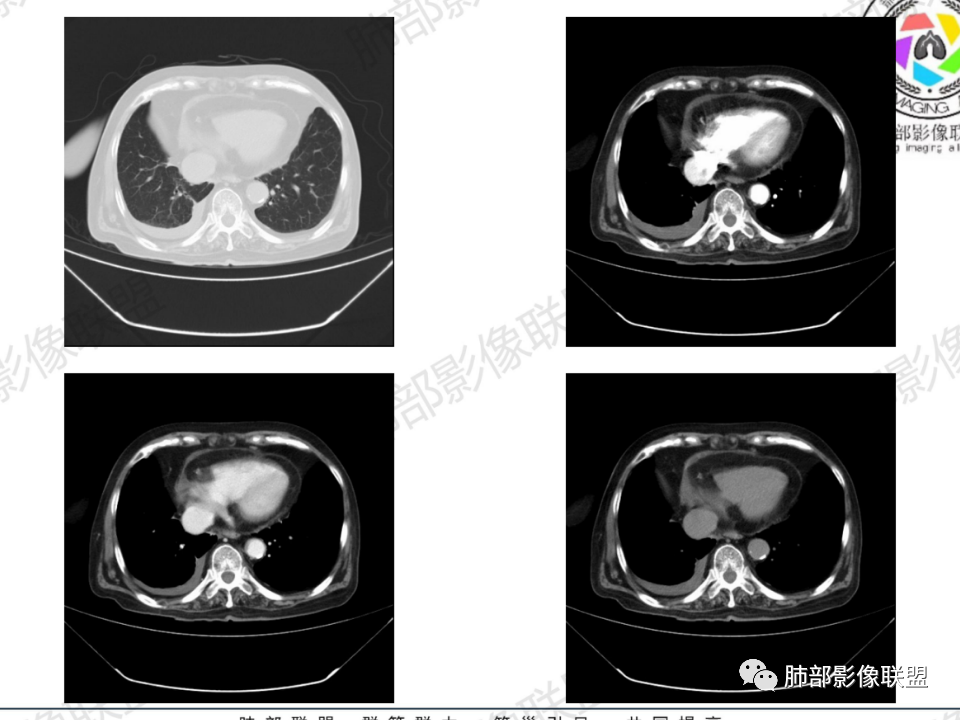
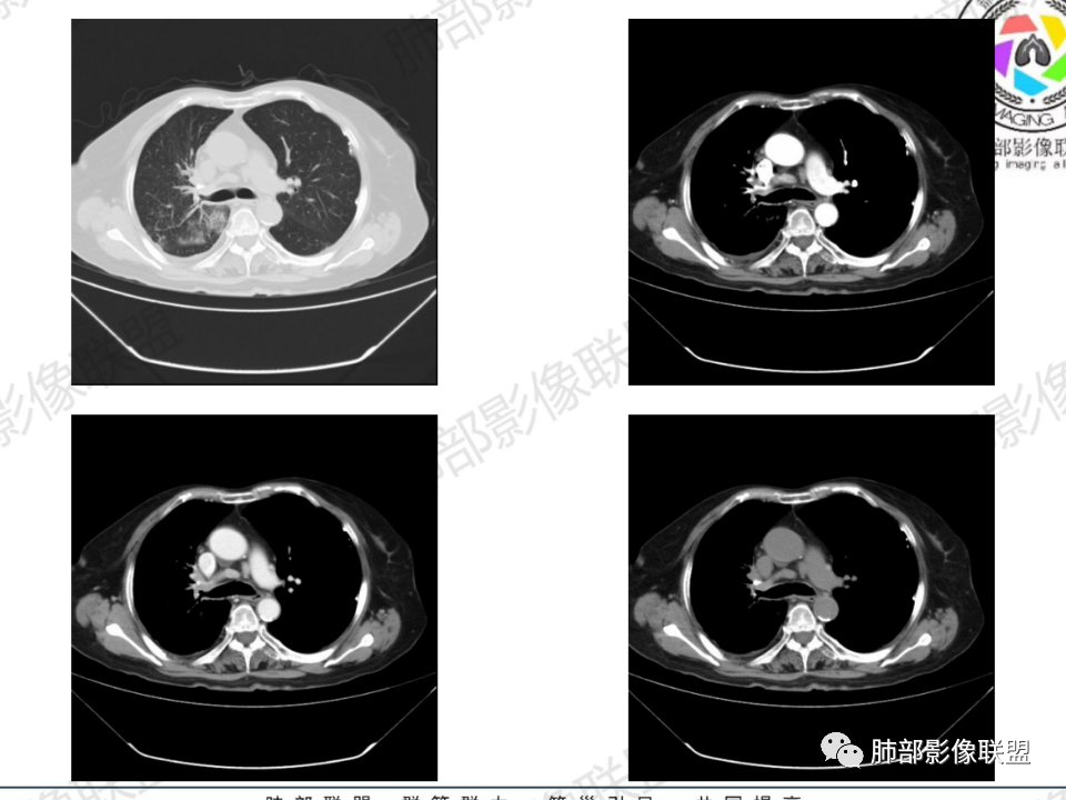
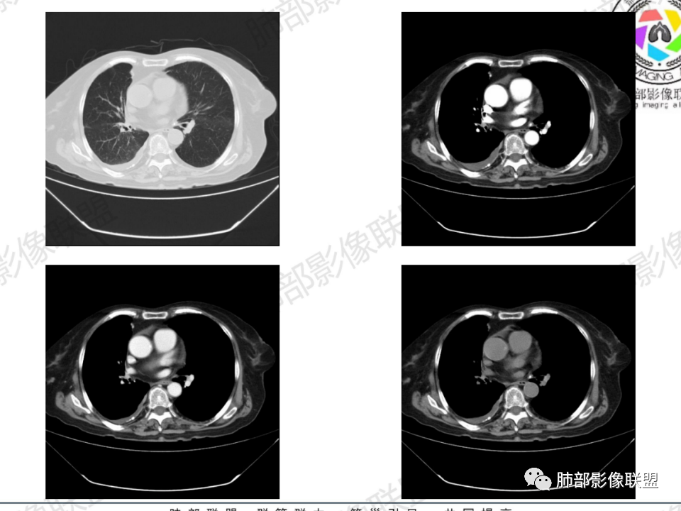
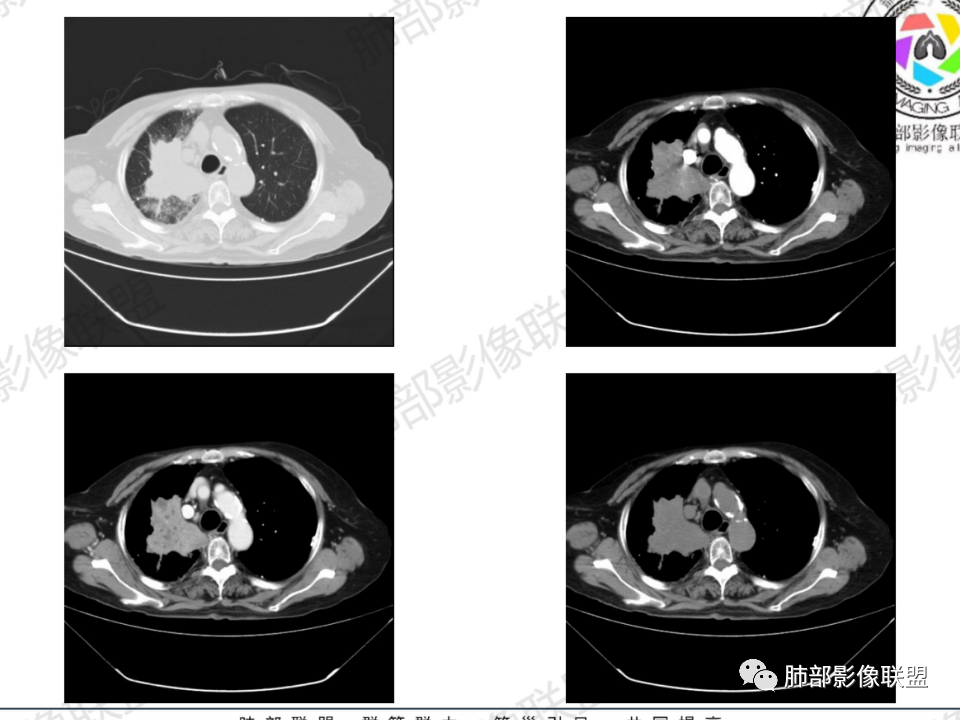
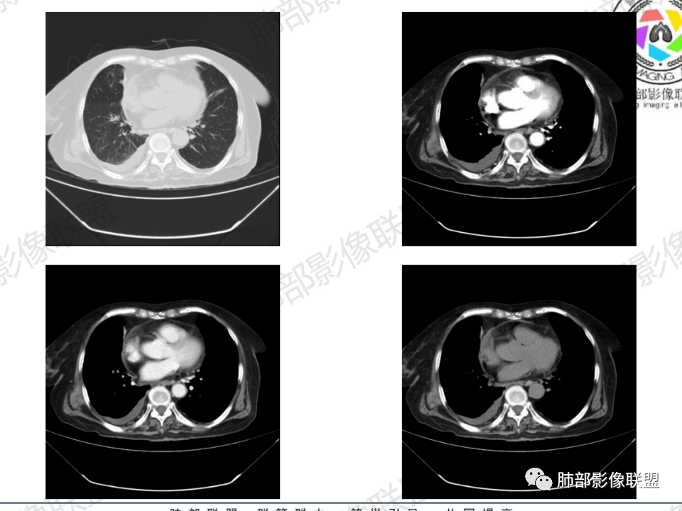
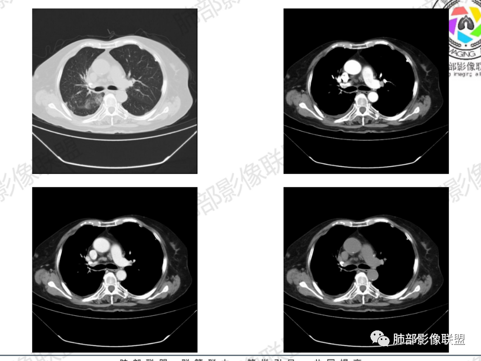
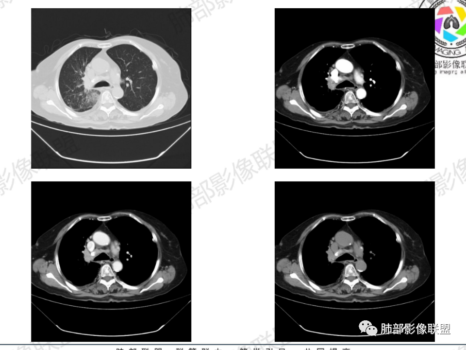
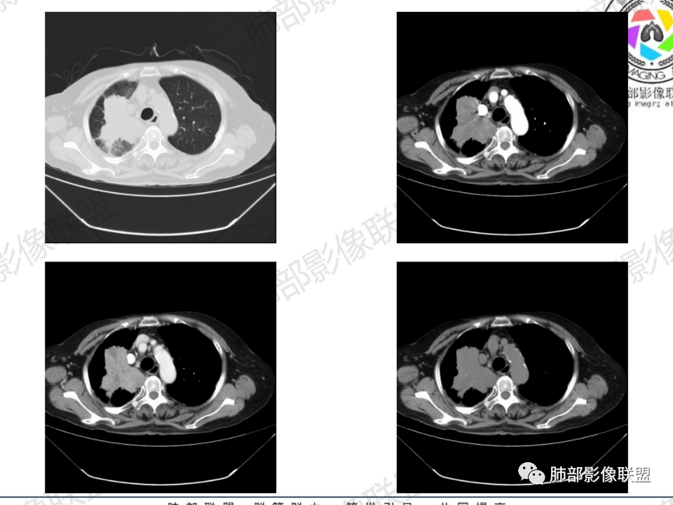
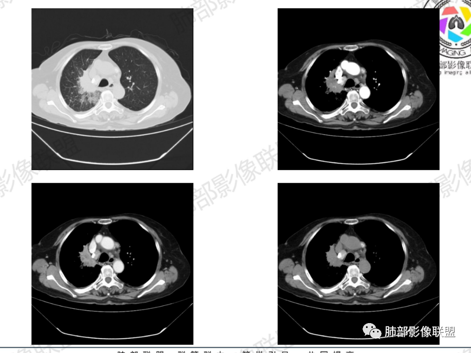
老年患者,病程中等,有咳嗽/喘息/低热症状,肿瘤标志物升高,感染标志物不高,右上肺新生物,中央型,边界清楚,有分叶,支气管截断,内有坏死,不均匀强化,考虑肺癌,鳞癌?
那个人:老年女性,亚急性病程,咳嗽发热。有垂体前叶功能减退,目前激素替代治疗,长期激素,量小,不知道累积量,没有目前激素水平指标。既往有淋巴结结核病史。肿瘤标记物Ca125升高。血沉升高,C反应蛋白轻度异常。影像,右肺上叶靠近肺门团块影,右肺门淋巴结钙化肿大,支气管狭窄,局部增厚,团块影外朝内改变,强化明显,血管破坏不明显,有粘液。和纵隔胸膜分界清楚,周围肺组织有斑片渗出影,右侧胸腔积液,考虑炎性?结核?支气管镜检查除外恶性飞鹰行动:老年患者,影像表现 右肺上叶占位性病变,边界清楚,有分叶征,内见细小钙化,右肺上叶支气管截断,增强病灶不均匀强化,病灶内有条状坏死区(扩张的支气管?),纵膈内未见增大淋巴结,考虑炎性病变,结核可能。一切∮随缘:右肺上叶实性肿块形态不规则,呈三角形,边缘分叶,边界伴有磨玻璃影,近段支气管未见明显显示,可能堵塞,病变平扫密度均匀,增强后可见低密度坏死无强化,周围略强化,右肺下叶散在结节。心包积液,及右侧胸腔积液,临床:有低热,低蛋白血症,肿瘤标记物高,考虑恶性:腺癌,神经内分泌癌(强化偏弱了),淋巴瘤,鉴别:结核红星:老年女性患者右肺上叶,肺门上区 分叶状肿块 ,右肺上叶支气管显示不清,增强扫描肿块,中等程度强化可见小斑片状坏死区,病灶内部可见斑点状钙化灶,病灶周围可见斑片状及小斑点状影,纵膈淋巴结增大,其他区域,胸膜下可见斑点状钙化。考虑肉芽肿性病变,结核的可能性大。老年患者最排除肿瘤性病变腺癌。土娃:右上肺不规则肿块影,边缘分叶,边界磨玻璃影欠清,病灶分叉状,内见点状钙化影及坏死灶,支气管堵塞,病灶增强强化不明显。考虑瘤样结核,鉴别淋巴瘤。张小兵:老年女性,亚急性病程,右肺上叶见不规则肿块,边缘平直凹陷为主,周围GGO边界不清,内见点状钙化及坏死灶,增强持续性渐进强化,右侧少量胸腔积液,双肺门及纵隔肿大淋巴结伴钙化,综合考虑慢性炎症。saf:老年患者,影像表现 右肺上叶占位性病变,边界清楚,有分叶征,增强病灶明显不均匀强化,纵膈内未见增大淋巴结,考虑炎性病变,结核可能。小兜:老年女性,咳嗽喘息一月,发热三天,肿瘤标志物升高,长期激素替代治疗。CT示右肺上叶近肺门不规则实变影,周围伴磨玻璃影,增强持续性渐进强化,内部血管破坏不厉害,内部可见多发条形低密度灶,右侧胸腔可见少量积液,双肺门及纵隔可见钙化淋巴结,考虑为炎性病变,结核可能玫:女,79咳嗽,喘息一月,发热三天入院,右肺上叶不规则形软组织密度肿块影,边界清晰,边缘见分叶及细短毛刺,病灶内见点状钙化影及稍低密度区,病灶边缘呈磨玻璃样改变,增强扫描,病灶呈不均匀性强化,考虑炎性病变,鉴别鳞癌。大雄:老年女性,既往诊断淋巴结结核,提示已治愈,近2年服用激素,诱导结核复燃→发热;纵隔肺门淋巴结肿大钙化,压迫支气管,右肺上中下叶支气管均狭窄→喘息咳嗽;尖段支气管受累闭塞→肺不张、支气管粘液栓;累及胸膜,结核性胸膜炎并胸水→右侧胸痛;实验室,血沉快,CA125高,低蛋白,符合;下一步,支气管镜尖段支气管刷检抗酸染色周太狼:老年女性,亚急性病程,肿瘤标志物升高。CT示右肺上叶尖段不规则肿块影,有分叶、收缩,周围伴磨玻璃影,增强渐进强化,内部可见多发条形低密度灶,右侧胸腔及心包少量积液,纵隔内淋巴结稍增大。倾向于恶性病变,肺癌伴阻塞性炎变可能。丽:老年女性,右肺上叶不规则软组织肿块,边缘清晰,内密度不均,可见点状钙化及粘液栓,周围可见片状高密度影,增强后均匀强化,内多发低密度,纵膈多发钙化淋巴结,考虑结核可能大,建议结合支气管镜检查除外肿瘤宇宙:右胸廓缩小,右肺上叶团块影及不张,平直边,周围磨玻璃影,纤细胸膜牵拉,上叶尖段支气管堵塞,明显延迟强化,可见支气管粘液栓,两肺门钙化淋巴结,右侧胸水,考性炎性肉芽肿,鉴别腺癌王秀仙:右肺上叶肺门区肿块,上叶支气管开口阻塞,形态不规则,密度不均,内可见支气管粘液栓及多发小灶性坏死,周围磨玻璃影边缘模糊,渐进强化,右侧胸腔积液、胸膜钙化,考虑炎性肉芽肿性病变,慢性炎症。鉴别鳞癌,结核。刘丹:老年女性,右肺上叶肿块伴钙化,右肺上叶支气管截断,增强后均匀强化,周边可见点片状模糊影,右侧胸腔积液,右肺门淋巴结增大,考虑占位并阻塞性炎症,肿瘤?结核?建议纤支镜检查。小飞:右肺上叶纵隔旁软组织肿块,边缘深分叶、长毛刺及毛刷样短毛刺,边缘磨玻璃影,磨玻璃边界模糊,支气管截断,平扫密度不均,可见点状钙化,增强不均匀明显强化,心影增大,心包积液,右侧胸腔积液,考虑恶性肿瘤,腺癌?秦化君:右肺上叶不规则分叶软组织密度肿块,边缘清晰,胸膜牵拉,周围花花草草,上叶尖段支气管阻塞,内可见点状钙化,增强后密度不均可见支气管粘液栓及坏死区,内见血管分枝。中间段及中叶,下叶支气管狭窄,壁见钙化。右肺门淋巴结肿大,右侧胸腔积液,心包粘连肥厚。考虑1右上肺恶性病变,鳞癌?2右肺多叶段支气管狭窄,考虑支气管内膜结核?3胸腔积液及肺门淋巴结肿大,转移?风儿:老年女性,右肺上叶肿块,形态不规则,外围大内带小,边缘分叶膨隆平直及毛糙,密度不均,内见支气管粘液栓及多发小灶性坏死,坏死边缘清晰 ,渐进强化,上叶尖段支气管阻塞,叶支气管壁有局限性增厚,邻近胸膜腔微积液;纵隔及双肺门淋巴结肿大,部分钙化,右侧胸腔积液、心包积液、胸膜钙化,考虑炎性,肉芽肿性结核可能性大。鉴别鳞癌,女性及血供均不支持;腺癌,坏死边界太清晰。流心明智:老年女性,79岁,咳嗽、气短1月,发热3天。胸CT:右肺上叶见不规则肿块,边缘有膨隆、有平直凹陷,周围GGO边界不清,病灶内见点状钙化、粘液栓,尖段支气管未见,增强持续性渐进强化,右侧少量胸腔积液,双肺门及纵隔肿大淋巴结伴钙化,肺动脉增粗。考虑:右上叶尖段堵塞并慢性炎症,支气管TB并结石?鉴别Ca


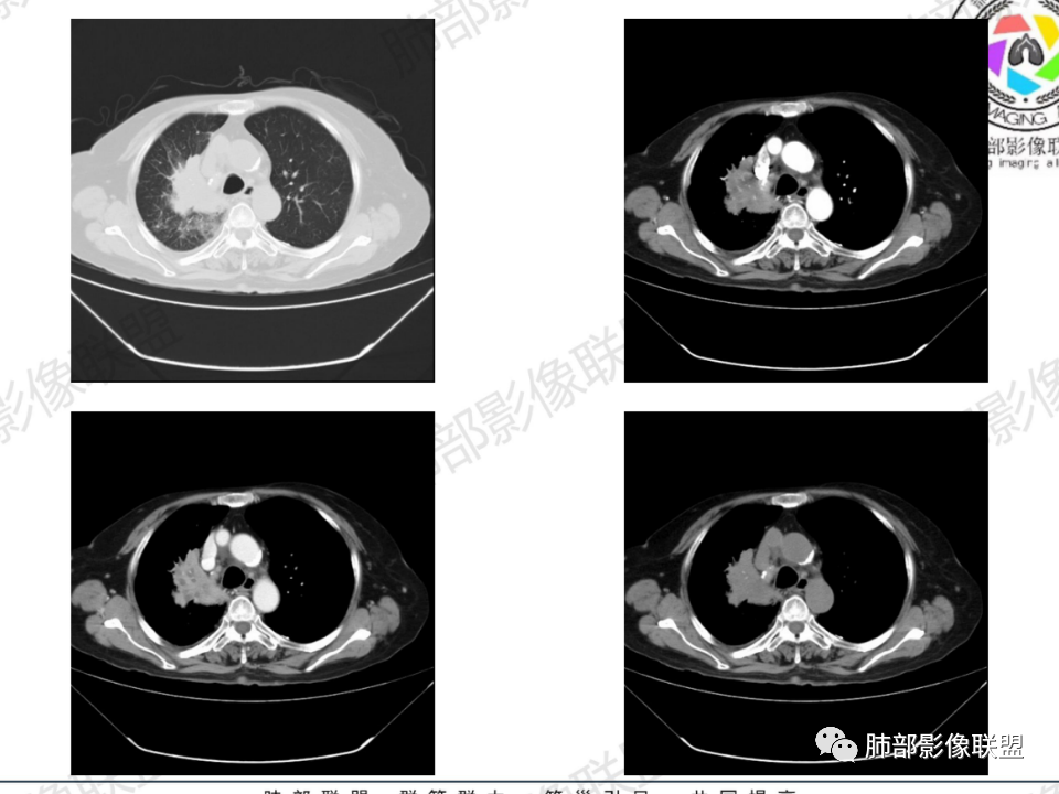
吴婧老师分析




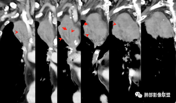
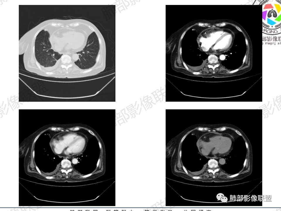
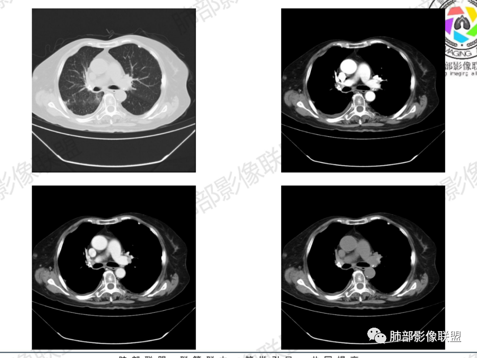
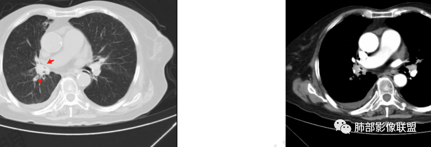
右肺体积小,提示既往结核

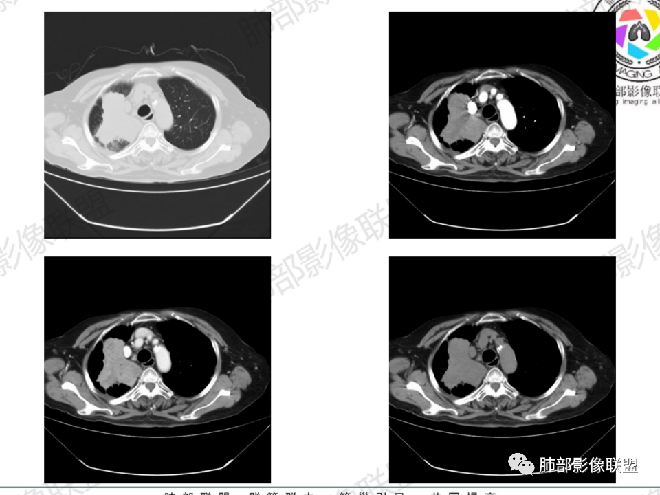
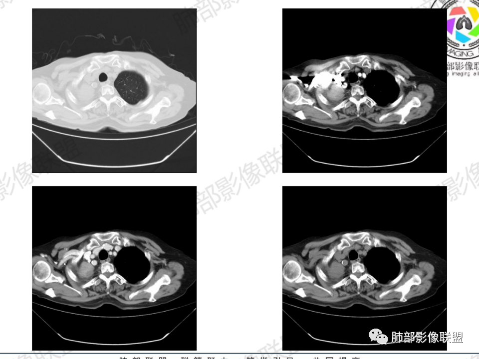
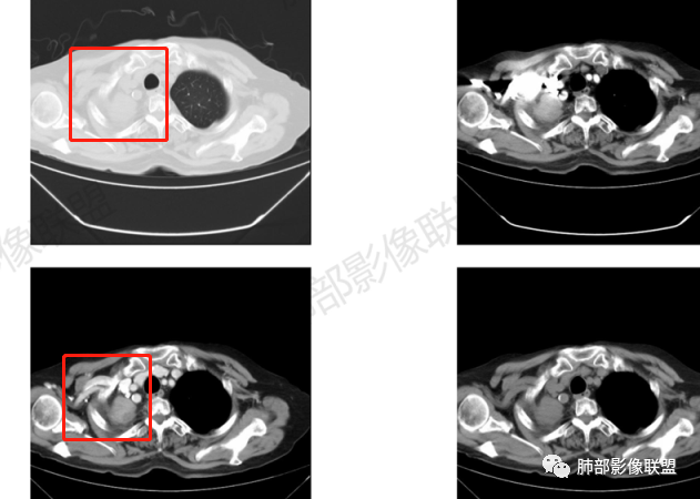
支气管影

前,后段都在,没有堵塞

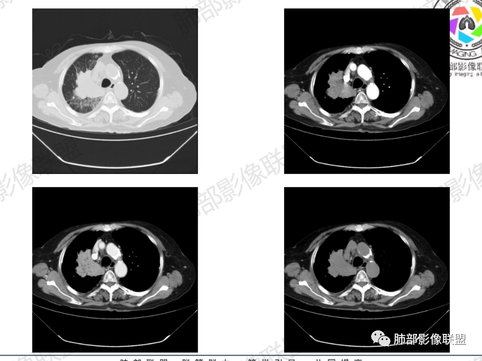
支气管壁增厚,周围磨玻璃边界不清,提示炎症。胸膜下钙化符合结核
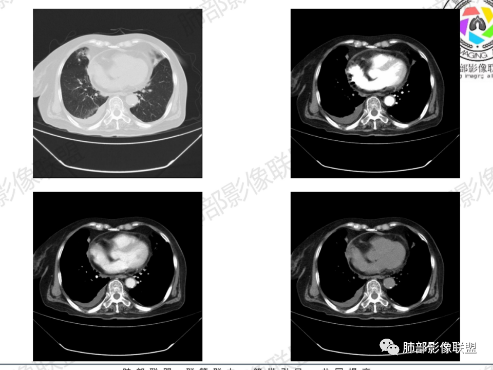
近期发热符合感染

这个层面往上应该是尖段,显示不清

背段支气管周围增厚伴钙化,符合结核改变

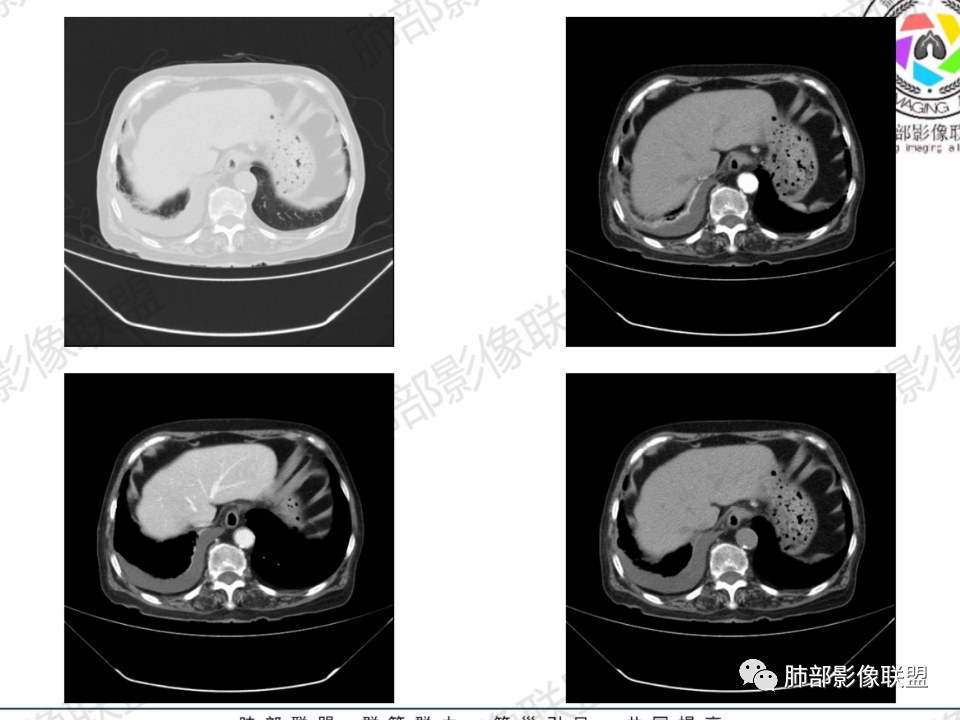
胸腔积液并胸膜钙化,符合结核;
结核是肯定有。现在最大问题是尖段

近端显示不清,但是远端是粘液栓,可以认为是还行的
如果是近端鳞癌,远端应该会堵塞,不会整个肿块里面还有较为通畅的支气管

这个区域我们看到密度与周围一致,并不是肺癌伴周围不张的感觉,所以鳞癌暂时是不支持的


病理结果




病例小结
临床信息:老年女性,亚急性病程,咳嗽发热。有激素使用史。既往有淋巴结结核病史。肿瘤标记物Ca125升高。血沉升高,C反应蛋白轻度异常。 影像所见:右侧胸廓相对狭小,右肺上叶不规则团块影贴附纵隔旁,轻度分叶,整体密度较均匀,偶见钙点。
  相应上叶尖端及前段支气管开口未能追踪(阻塞),开口处见钙化。病灶渐进性强化,并衬托出较完整尖段及前段含液支气管影。支气管开口区域未见异常高密度强化(如类癌等)及相对乏血供区(如鳞癌)。病灶区未见液化坏死。右上纵隔及胸廓入口区未见病灶胸膜外突破(栽赃)。
  右肺上叶后段等区域散在片状影,边界不清(提示渗出性病灶)。
  纵隔及双肺门见钙化淋巴结。心包积液,右侧胸腔积液(提示存在活动新病灶)。双侧胸膜下见多发斑点状钙化,胸廓变形(提示存在结核基础病变可能)。 诊断意见:综上,右肺上叶块状影更符合继发性肺结核。 最后小结:既往诊断淋巴结结核,提示已治愈。近2年服用激素,可疑诱导结核复燃,也可引起发热。纵隔肺门淋巴结肿大钙化,压迫支气管,右肺上中下叶支气管均狭窄,所以引起喘息咳嗽。尖段支气管受累闭塞,导致肺不张、支气管粘液栓,出现条状无强化区。病变累及胸膜,导致结核性胸膜炎并胸水,引起右侧胸痛。实验室检查血沉快,CA125高,低蛋白,均符合结核。下一步,建议支气管镜尖段支气管刷检并抗酸染色。(本段摘自於雄老师精彩发言)



编辑:李建丽、赵永兵
审核:徐  晓
到顶部