【每日晨读】 典型的冰冻纵隔



***************************************************************
群内精彩讨论
再见理想:
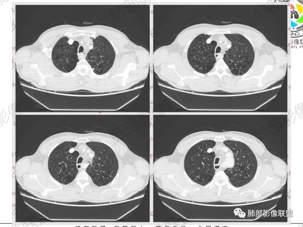
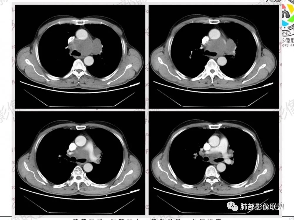
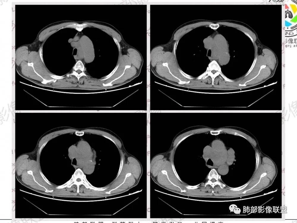
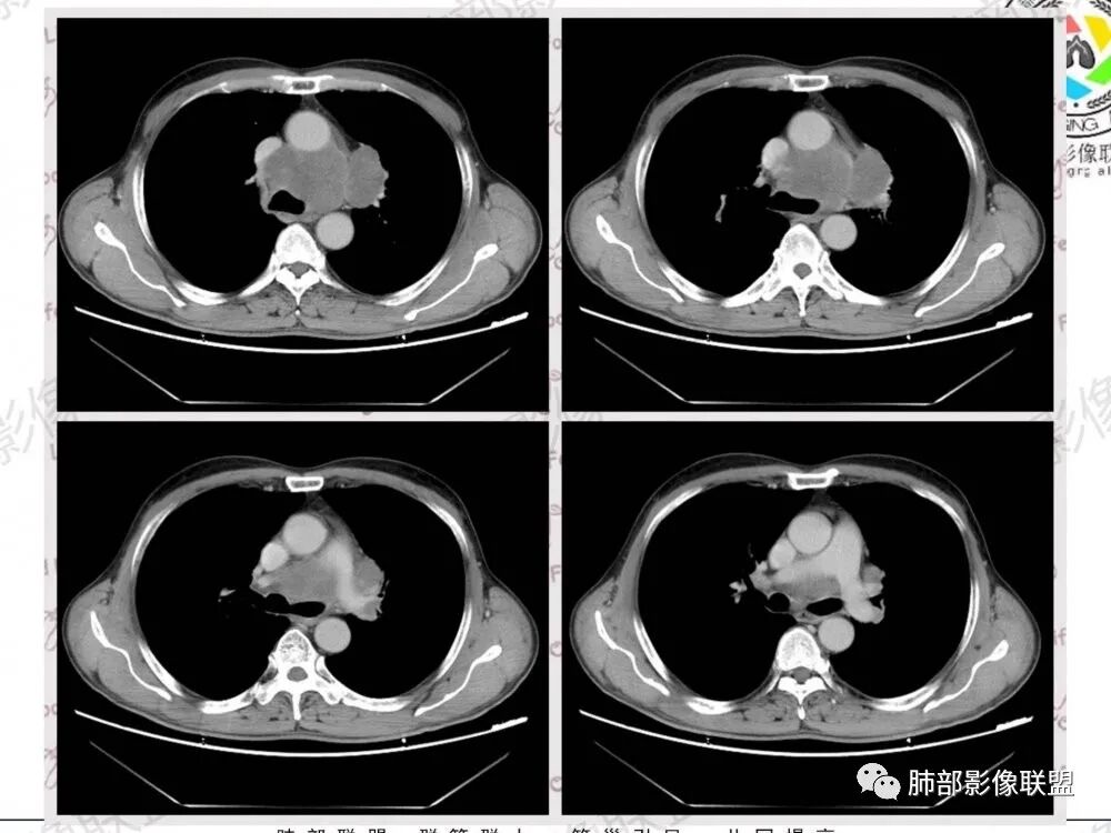
中纵隔及左肺门肿大淋巴结,局部有融合趋势,周围血管受压表现,轻度较均匀强化,肺内除了气肿和左肺尖陈旧病变没发现特殊异常,淋巴瘤?别的想不到了。
大雄:
影像学最符合转移(小),但是病史似乎不太支持。淋巴瘤,淋巴结太局限,只有中纵隔与肺门,不太符合;非肿瘤要考虑结节病与结核;淋巴结融合明显,不太符合结节病,放待排;淋巴结结核,症状不典型,环形强化不典型,待排;血吸虫会不会引起纵隔淋巴结肉芽肿?这类病变还是非常依赖穿刺活检
傅昌瑜:
57岁男性,长期吸烟史,有血吸虫病史,有粉尘接触史。发现纵隔淋巴结肿大2年,声嘶伴咳嗽咳痰半月。两年前胸部CT见左上肺尖后段结节并肺门淋巴结肿大,治疗后左上肺结节消失。目前胸部CT:肺气肿,左上肺尖后段见条索影(原来结节治疗后的改变?),肺门、纵隔淋巴结肿大并融合,似见薄壁包膜样强化。考虑淋巴结结核可能性大,注意鉴别淋巴瘤、转移、结节病等。
蔡磊:
男性,57岁,发现纵膈淋巴结肿大,现声嘶伴咳嗽咳痰。COPD背景,纵隔内、左肺门多发肿大淋巴结相互融合,冰冻纵隔?增强后轻度强化,主气管向右侧推移。考虑肺癌,小。
^_^:
还是考虑恶性可能性大吧,小细胞?淋巴瘤?结节病也不完全除外。最后疑惑的是有两个层面感觉食道好像有问题,不确定。
看图说话:
纵膈、左肺门多发增大淋巴结,部分融合,增强强化不明显,首先考虑小细胞癌转移,鉴别淋巴瘤。
窦锐芳:
老年男性纵隔及右肺门淋巴肿大,并有融合趋势,肺内病变不明确,考虑恶性,小细胞肺癌?淋巴瘤?
THINKER:
1丶在湘雅治的,不知道湘雅治不治结核,要不治TB排除
2丶结节病治疗后可以复发,对称肿大肺门淋巴结肿大为主,融合少丶土豆状,这个完全融合丶脂肪间隙完全消失,不支持
3丶淋巴瘤以前上纵隔为主,这个不大附合
4丶剩下的就是小C丶纵隔型肺鳞癌(大量吸烟丶肺气肿背景)或者是转移性淋巴结肿大
整体常规考虑:小C>纵隔型肺鳞癌>淋巴瘤
常规考虑:小C
影像天翼:
纵隔多发肿大淋巴结,明显融合,增强扫描有边缘环形线样强化,考虑结核,其次转移,血吸虫没见过。平日工作中遇上还是建议穿刺活检了
烨:
结节病:男性,单侧肺门分布,可能性小
结核:肺内无结核病灶,结节边缘清晰,强化不考虑
淋巴瘤:有融合,强化符合,
转移:小细胞,基本符合。
Coke with ice:
这个还真没注意过,只是肺癌的淋巴结引起声音嘶哑,其他原因的肿大淋巴结压迫喉返神经会造成声音嘶哑吗?
左上肺门和左下肺门淋巴结,纵膈淋巴结肿大,融合明显。右肺门未见肿大淋巴结。上腔和邻近左上,下肺动脉推移受侵变细明显。先考虑恶性肿瘤的淋巴结转移。病理亚型不敢定了,前两天刚碰见一个这样的腺,先猜小细胞。既往结核粉尘吸入,淋巴瘤第二位吧。
一切∮随缘:
以淋巴结肿大的病变:肿瘤(淋巴瘤,小细胞肺癌,转移瘤)非肿瘤(自身免疫相关疾病,淋巴结结核,马尔尼菲青霉菌,结节病,)CD
病史两年,左肺病变治疗后有吸收,需要结合老片对比,有血吸虫,粉尘史,纵隔及肺门淋巴结肿大,淋巴结形态消失,部分融合,周围血管挤压,增强后环形强化,肺内可见多发肺气肿,左肺尖可见纤维索条影(可能既往有陈旧性结核),综合考虑:一元论:结核(纵隔淋巴结及左肺都是结核),二元论:肿瘤性病变合并左肺结核(纵隔淋巴瘤,如果是小细胞肺癌的这么大淋巴结,肺内病灶没有转移,有点奇怪)
金豆:
左肺门及纵隔多发淋巴结融合,轻度强化,做过治疗后消失,用药不详,抗结核?靶向药物?这个病史很关键,疾病谱:1淋巴瘤 2小细胞 3 结核
王秀仙:
纵膈及左肺门多发肿大淋巴结,部分融合呈团块状,密度不均,增强后轻度边缘强化,考虑转移,鉴别淋巴结结核
位移:
纵隔及左肺门多发肿大淋巴结,融合团块状,密度不均,增强后轻度边缘强化,中央似有坏死,考虑转移瘤,鉴别淋巴瘤
衡妈:
中老年男性,长期吸烟,肺气肿明显,发现纵隔淋巴结两年了,声音嘶哑,病灶压迫喉返神经了?喉部有占位吗?左肺尖小片状病灶,周围多发长条纤维牵拉,胸膜增厚,纵隔及左肺门多发肿大淋巴结,增强后显示淋巴结融合且坏死明显,薄环状强化。如果是恶性肿瘤,小细胞癌或者鳞癌,肺内病变应该增大增多了;一元化我考虑纵隔淋巴结结核,左肺尖结核灶。
小细胞癌,纵隔淋巴结周围脂肪结构消失了,这点感觉有点不符合


秦化君:
晨读 纵隔及左肺门多组淋巴结肿大,融合,占位效应显著,平扫密度较均匀,增强略有延迟强化。病史两年首先结核排除(如果是结核,两年早已经液化坏死破溃了)。考虑恶性病变,淋巴瘤?转移?鉴别结节病。
哦落花时节:
中年男性,肺气肿,纵隔淋巴结增大融合,增强强化不明显,肺内结节治疗后消失,小细胞?肺部结节治疗后消失,炎性结节?小细胞原发灶结节?化疗后可以消失,且患者出现声音嘶哑,可能为恶性肿瘤转移征象;综上考虑小细胞,鉴别淋巴瘤
空格:
很纠结的病例。病史似乎支持良性,影像恶性征像多:1 巨大融合的淋巴结,2 与大血管脂肪间隙消失。3 对大血管有包绕,见缝插针,(也见于某些良性病灶?)。常见疾病分析:1 小细胞转移,两年病史是个硬伤,淋巴结纵膈和左侧肺门淋巴结相互独立,不常见于小细胞?2 结节病,临床可以,病灶大而症状也相对逍遥,影像不典型,肺内结节分布也不符,侵袭性淋巴结可见于结节病待验证?目前不能完全排除。3 淋巴瘤 病史不太符合,淋巴结融合入不融合好像都可以,边缘强化不多见,不首先考虑 4 结核 病史可以 ,边缘强化也像,肺内粟粒分布不符,无肺内病灶的淋巴结结核?结核是妖,为数不多的具有侵袭征像的良性病变,因此首先考虑。
南边老师分析
南边:病史

必有路:刚刚跟患者打电话,因为患者已经开始出现嘶哑了,所以我听得不太清楚:2年前患者在外院检查发现结节,没有取病理结果,用了一些吸入的药物,主要是缓解咳嗽这些症状;然后就去中医院开中药吃了3个月,结节消失了就没吃过药了!这次是出现声嘶咳嗽症状来我院检查的@南边
南边:纵隔淋巴结肿大病史2年,右上肺结节消失,这个病史值得玩味淋巴结肿大,中纵隔

左肺门,后纵隔

肺内好像就是慢阻肺痰栓

淋巴结有融合

这次的症状与气管受压有关,不一定可靠
病史,吸烟老年男性,这是个不好的病史问题来了,原来有左上肺结节并淋巴结肿大,治疗后好了,现在又有淋巴结肿大
我们的思路:
疾病谱1、炎性,可以治疗后好转,后来在复发,自然是考虑结核2、肿瘤:肺内未见明确肿瘤病灶,淋巴结大,自然小细胞癌或淋巴道肿瘤(淋巴瘤)3、其他:结节病?淀粉样变性?
鉴别1、炎性:结核
病灶18年有,治疗后好转,但可能未彻底还有就是病灶有自愈性,这次复发,结核要考虑符合点:病史;不符合点,单纯淋巴结结核,而且全是肉芽肿性的
2、肿瘤
小细胞癌:没针对治疗,好转,现在卷土重来,似乎不太支持,除非原来是原来,这次是新病灶,原来的病史不借鉴淋巴瘤:也一样,不借鉴病史结节病:融合,周围侵犯,不太支持原来左上肺的结节就是本次左上肺条索的位置而且右肺门不明显
很迷惑,如果结核,一定会千叮嘱万嘱咐,后来就去了外院。这次是因为声音嘶哑来诊的,你想啊患者有结核还不小心,万一传染出去就不好所以从这个角度出发当时的病理不是结核,如果这样,我宁愿倾向于恶性肿瘤,就当无前片,考虑恶性,淋巴瘤首选,小细胞癌其次;待排结核,如果有旧片就好了,对比看看淋巴结是否一类的
特特:

这是17年和18年在我院做的CT平扫
小赵:
晨读结果:小细胞癌
大雄:
@张红,四川省地矿局405医院呼吸?那是在持续化疗的;而不是中断化疗活3年好好的,两个概念;分期早的话 , 坚持治疗,3-5年当然是可以的,小细胞,中断治疗,还能活到2年的,是个医学奇迹吧
尘缘:
临床报告就是:肺癌合并纵隔肺门淋巴结转移。就是一个肺癌化疗故意隐瞒了患者的病例,重点:湘雅,湘雅都治疗了一段时间,能没有结果吗?要是结核,会不直接告诉患者吗?所以患者说不清的,影像又符合癌的,九成都是故意隐瞒患者的,肺癌伴转移非常明确,主要就是鉴别小细胞和腺癌,区别就在到底是普通化疗还是靶向治疗,所以临床病史也特别重要
必有路:
其实,纵隔的肿物,如果能常规?mr,对我们以后诊断会提供更多信息,胸部肿物
对患者的病史,有时也要仔细品。。跟我们日常工作,息息相关
早上我说小细胞肺癌,靶向治疗,应该有不足,想着一般口服药物,患者才没那么容易发现是抗癌药
小细胞肺癌应该化疗首选
说在后面的话
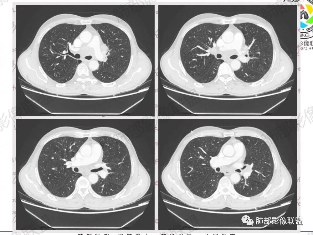
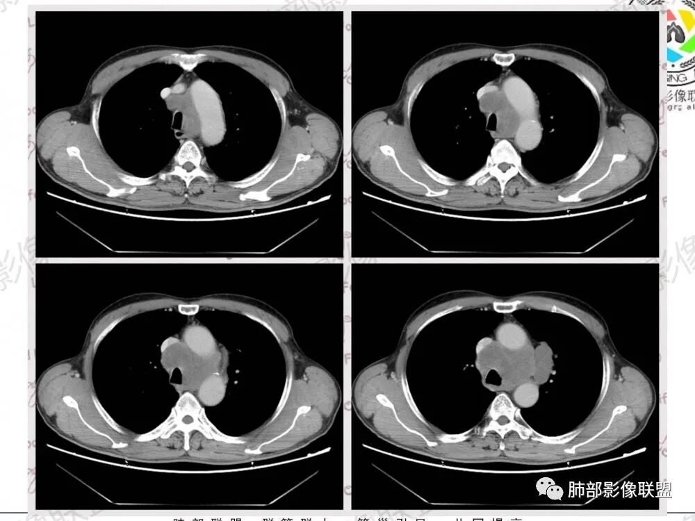
影像特点:
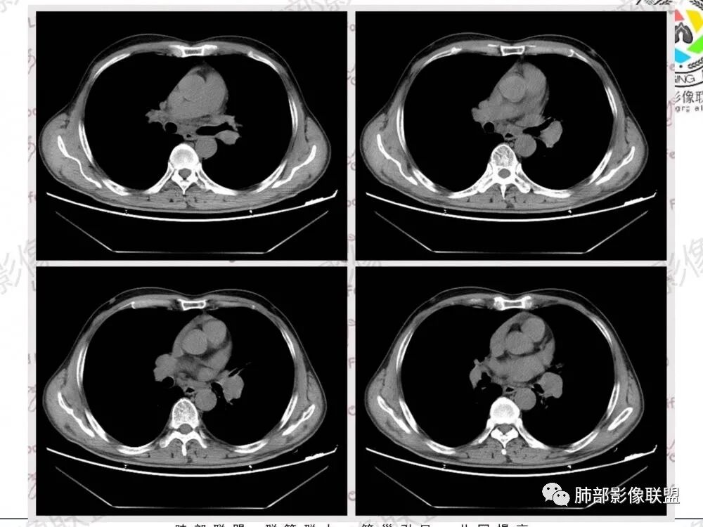
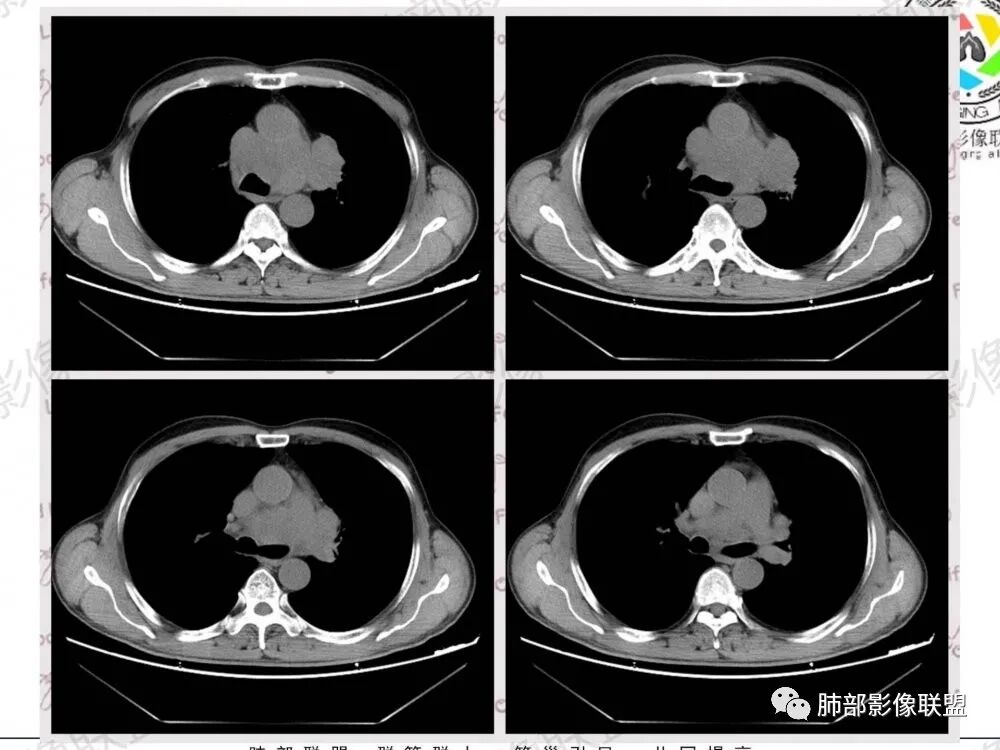
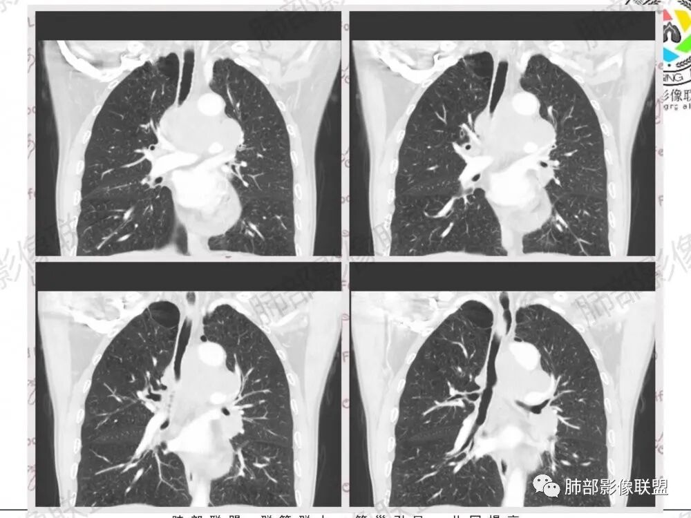
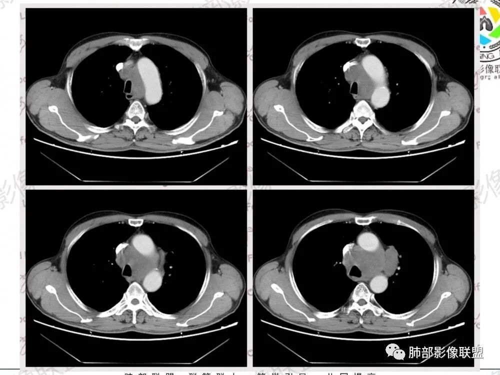
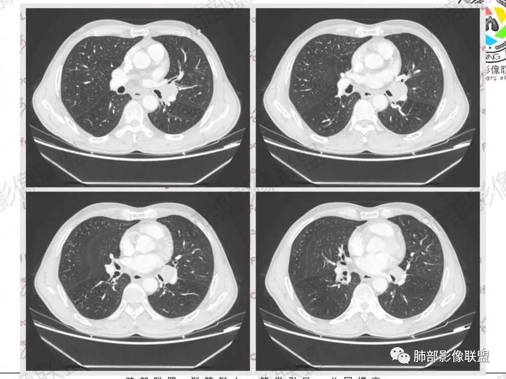
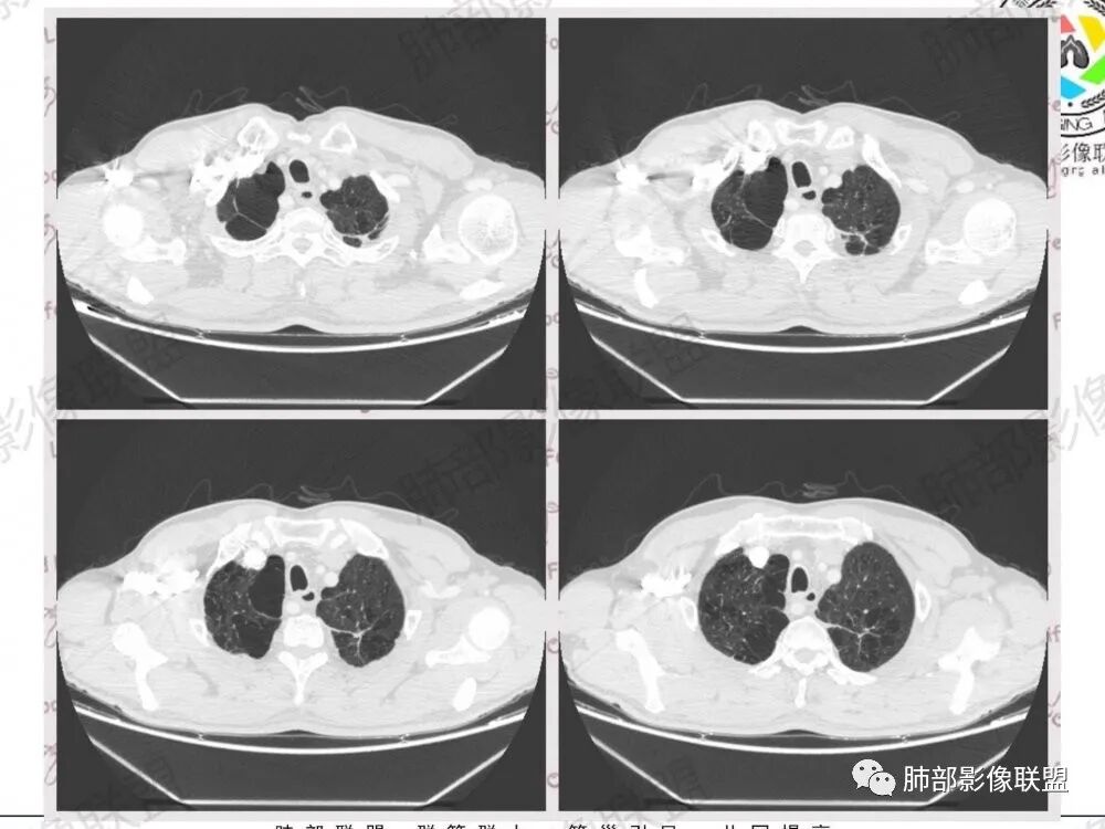
1.左肺门及纵隔见异常增大淋巴结,部分融合,不均匀轻度强化,未见明显坏死。
肿大淋巴结与纵隔血管等结构“无缝”贴合。
2.纵隔增宽但依旧居中。
点评:
1.这应当是常见的小细胞肺癌的转移方式。
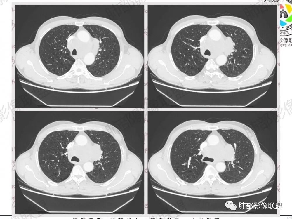
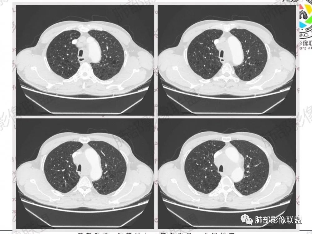
别忘了,患者左肺上叶那个略显饱满的的小结节,有理由相信那是发源地。
因为这些符合肺癌的整个转移路径!
2.患者声音嘶哑是巧合吗?
声音嘶哑、左侧声带固定等是左肺上叶肺癌最具代表性的临床表现之一,有经验的耳鼻喉科医生常会因此要求患者排查肺部。
左肺上叶肺癌在主动脉窗附近侵犯阻击远道而来的左侧喉返神经是其常见套路。
临床实践中,除肺癌外,较少其他病灶能够造成左侧声带麻痹。
注意是左侧喉返神经!右侧喉返神经并未绕行胸廓入口以下。
小细胞癌相关
1、小细胞癌(SCLC)自内胚层未成熟细胞发生,具有上皮细胞和神经内分泌细胞双重性质;小细胞癌基本上产生充实性胞巢,无腺管形成,缺乏间质反应,无腺癌纤维化的收缩性。
2、小细胞癌恶性程度高,发展迅速,转移发生早;常有纵隔淋巴结的明显增大融合(发生率达96.5%),呈“冰冻纵隔”,淋巴转移常为逐站的连续性转移;亦有血行转移,脑、肾上腺、肝、胰、骨髓等;转移灶常比原发灶大得多,即“娘小崽大”特点;
3、因其对血管、支气管破坏程度轻,故坏死相对较轻,极少出现空洞;小细胞肺癌支气管壁肥厚、管腔狭窄,但表面可有正常黏膜,除非狭窄非常严重,否则不会引起支气管刺激症状,故该症状对其早期诊断无意义;受累支气管末梢侧阻塞性炎症少。
4、治疗:小细胞肺癌对放化疗敏感,有效的组合各种治疗方法进行综合治疗,可获得良好效果,但易复发。
5、小细胞肺癌的常规临床治疗和大多数前瞻性临床实验中,很少进行TNM分期;其分期分为:局限期(LD)和扩散期(ED)
    局限期:指局限于同侧肺、纵隔、锁骨上淋巴结;对应I-IIIB期;放化疗结合治疗,MST(中位生存期)为20个月,5年生存率23%;
    扩散期:指进展超出LD范围,包括扩散到对侧肺、肺门纵隔淋巴结,或远隔转移,恶性胸水等,对应IV期;不治疗MST为6-8周,化疗可延长9-10个月,3年生存率为0。并发胸水的小细胞肺癌,通常划为广泛期。
参考文献:
胸部肿瘤CT诊断学
*********************************************
编辑:刘  朋
审核:蔡笑燕  徐  晓
病例提供者:长沙市中医医院 放射科  陈婷婷



到顶部