【每日晨读】 双肺满布磨玻璃结节,原来如此!



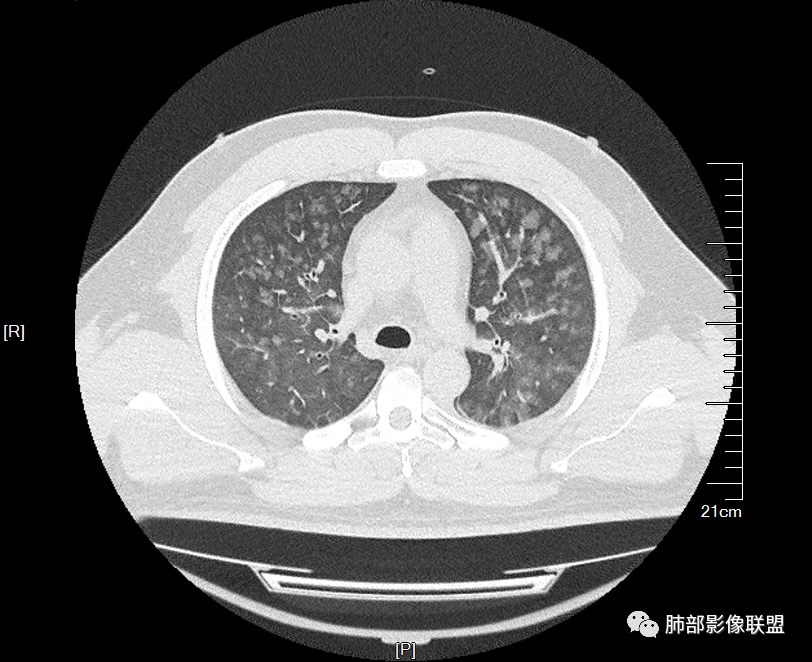
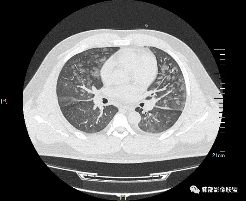
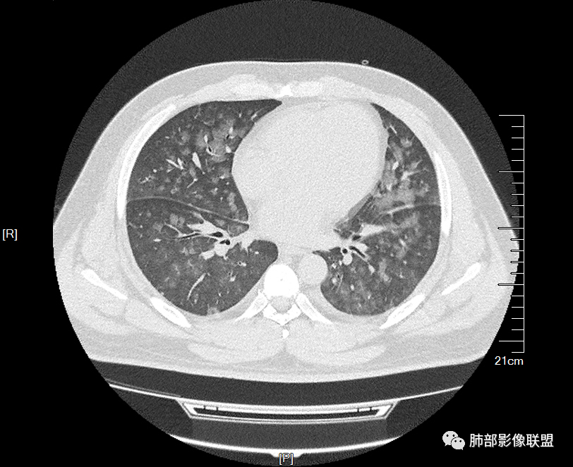
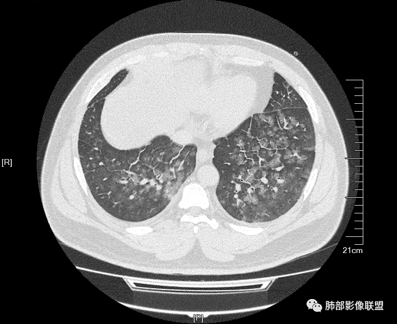
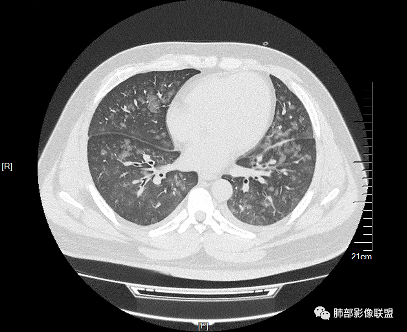
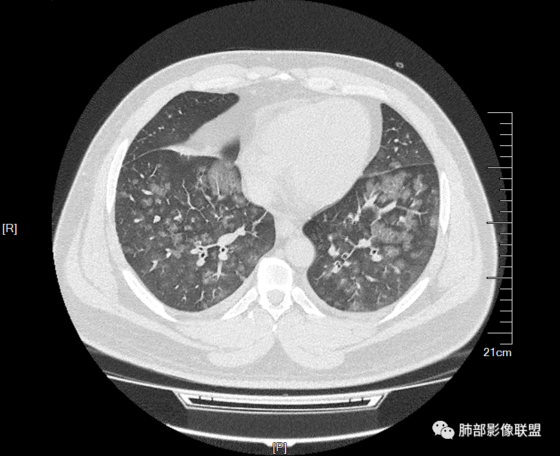
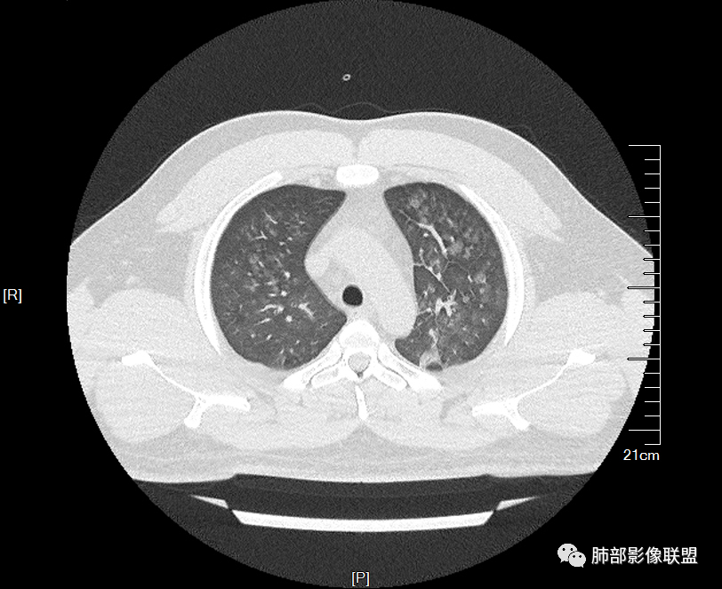
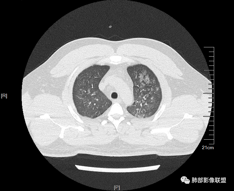
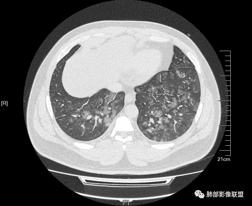
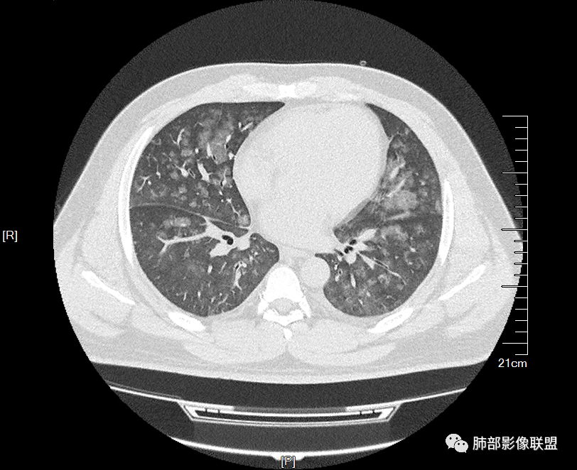
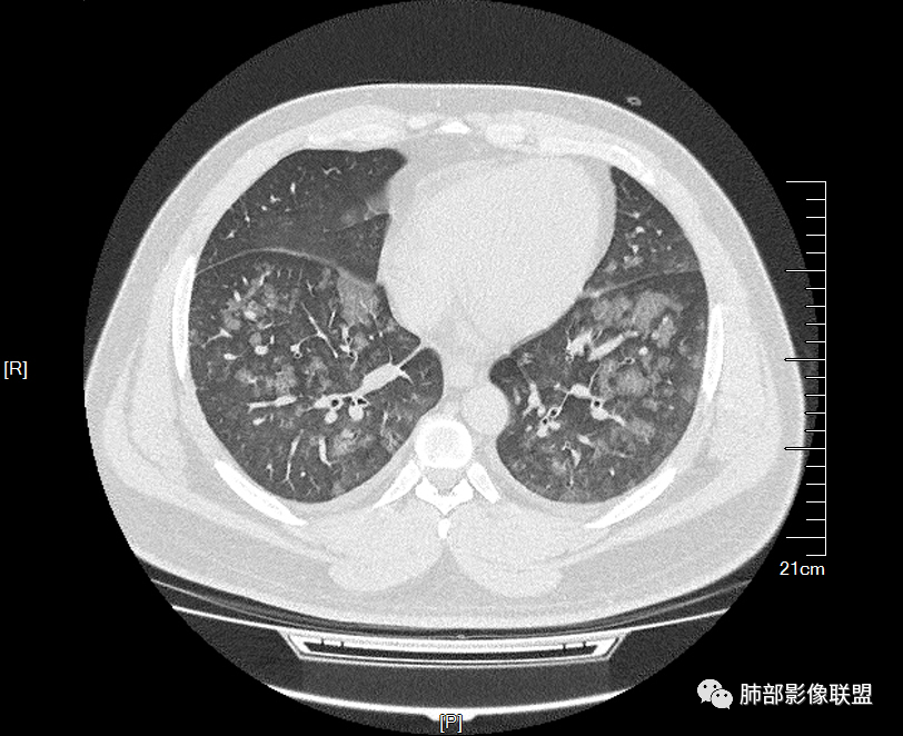
病例资料






















































精彩讨论
必有路:
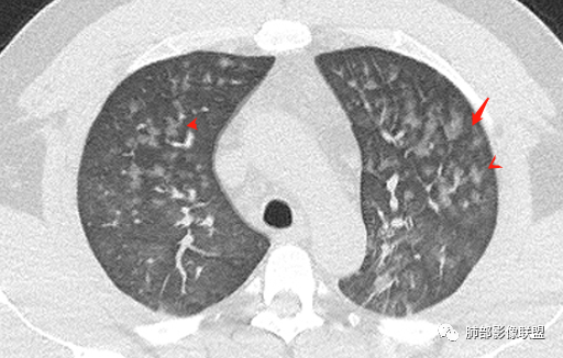
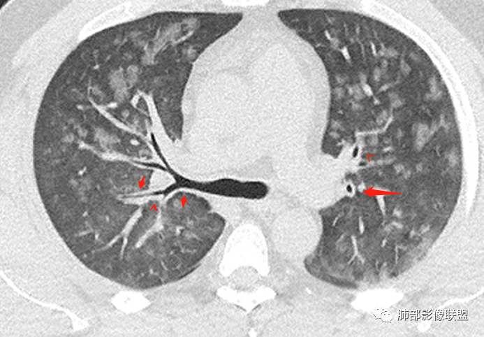
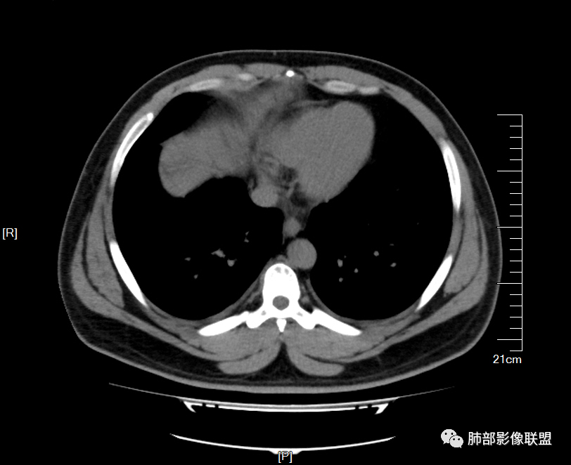
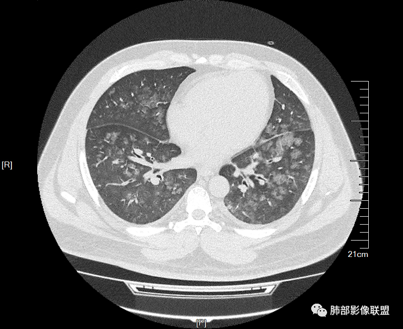
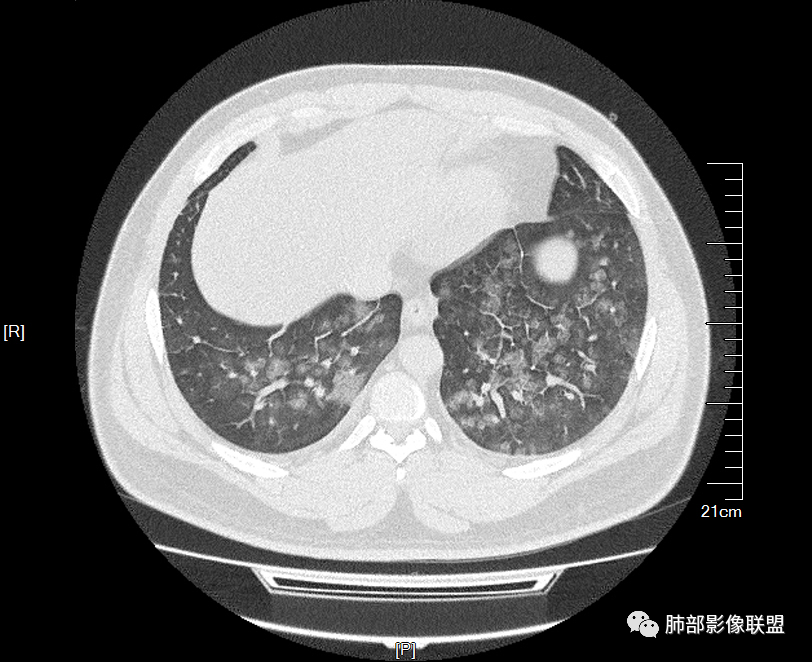
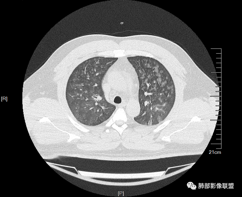
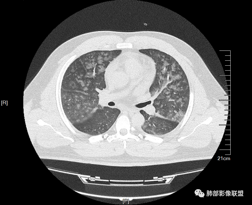
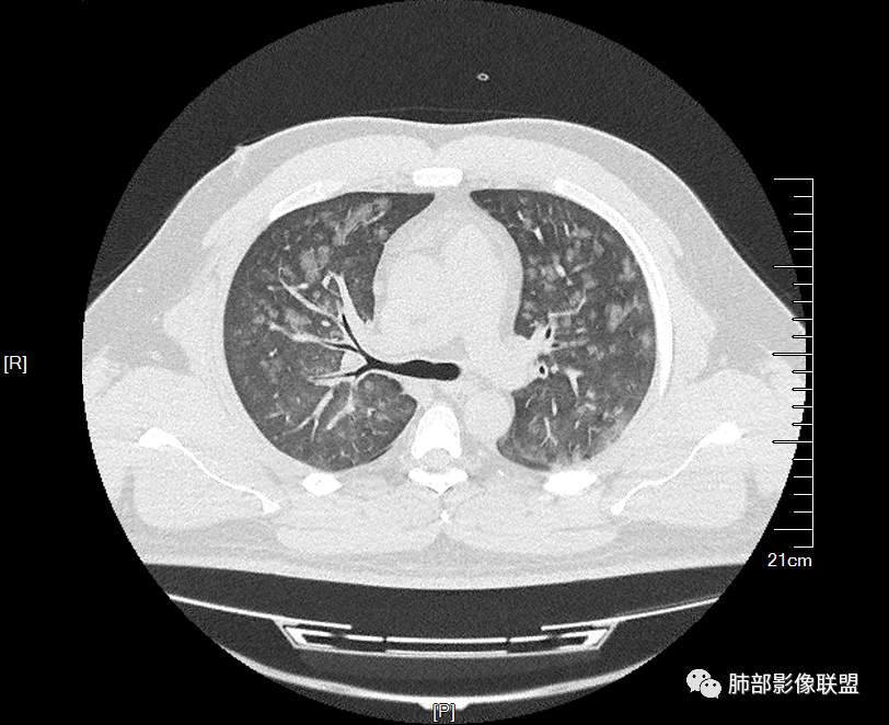
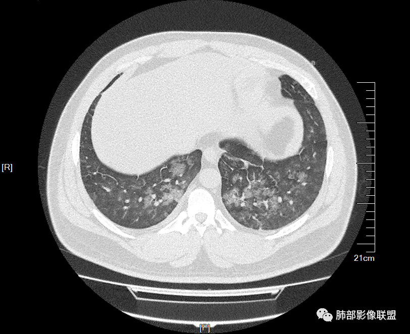
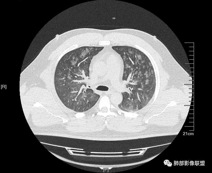
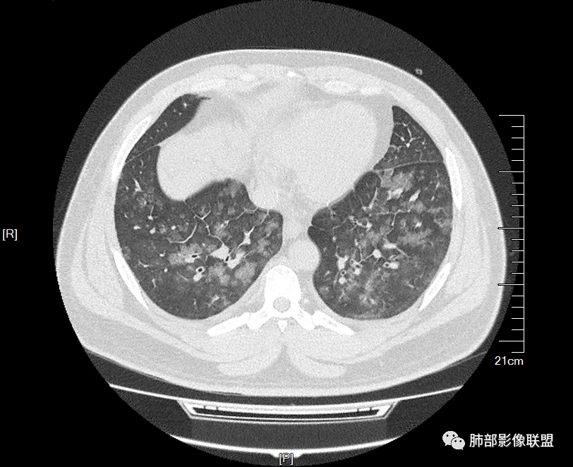
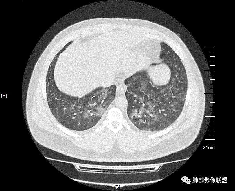
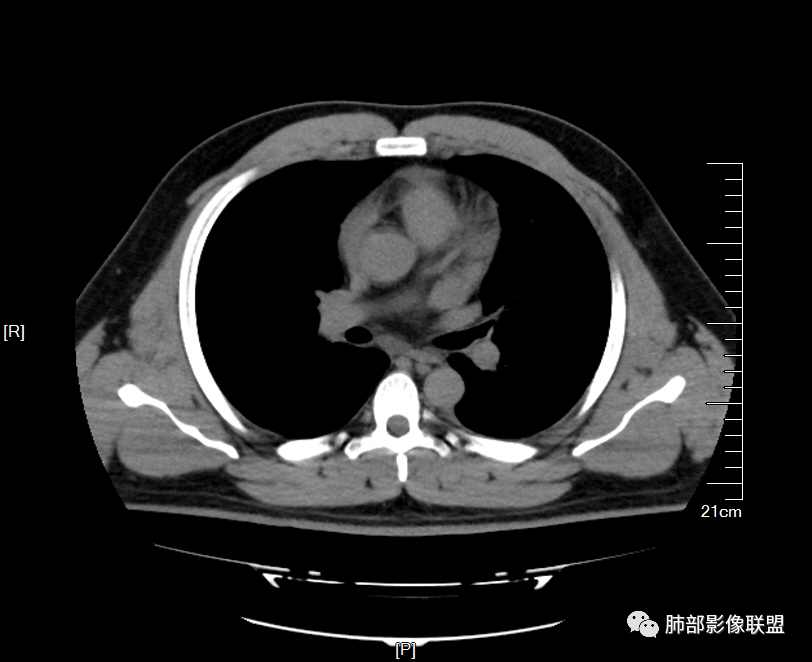
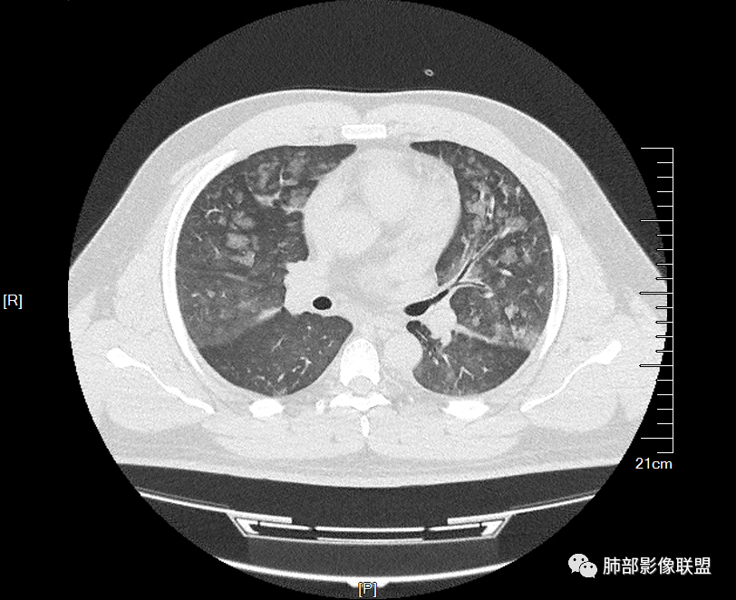
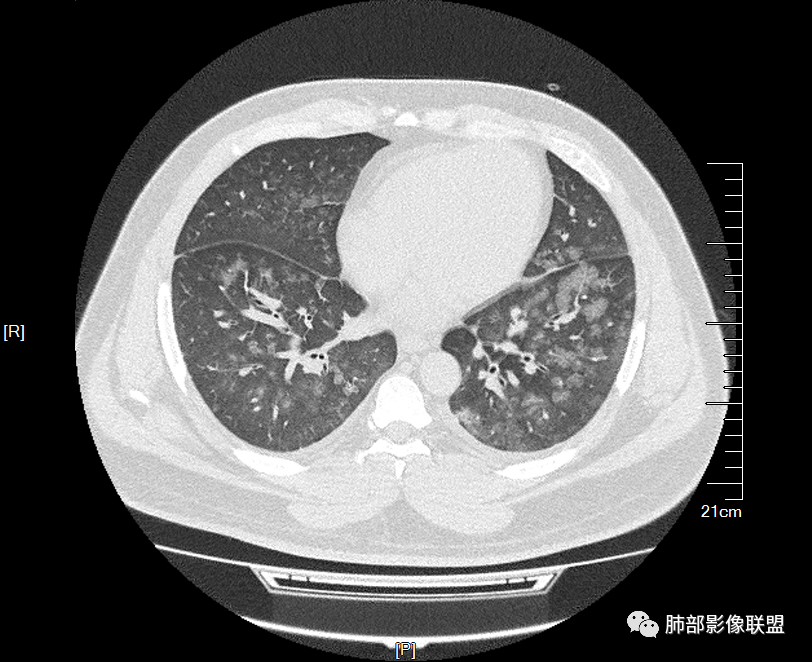
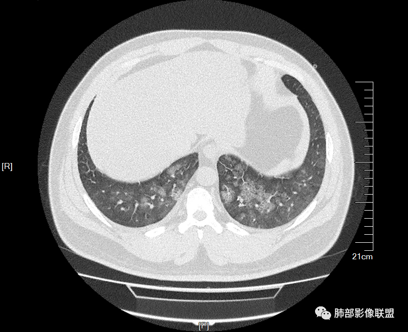
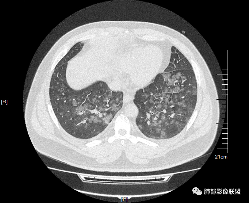
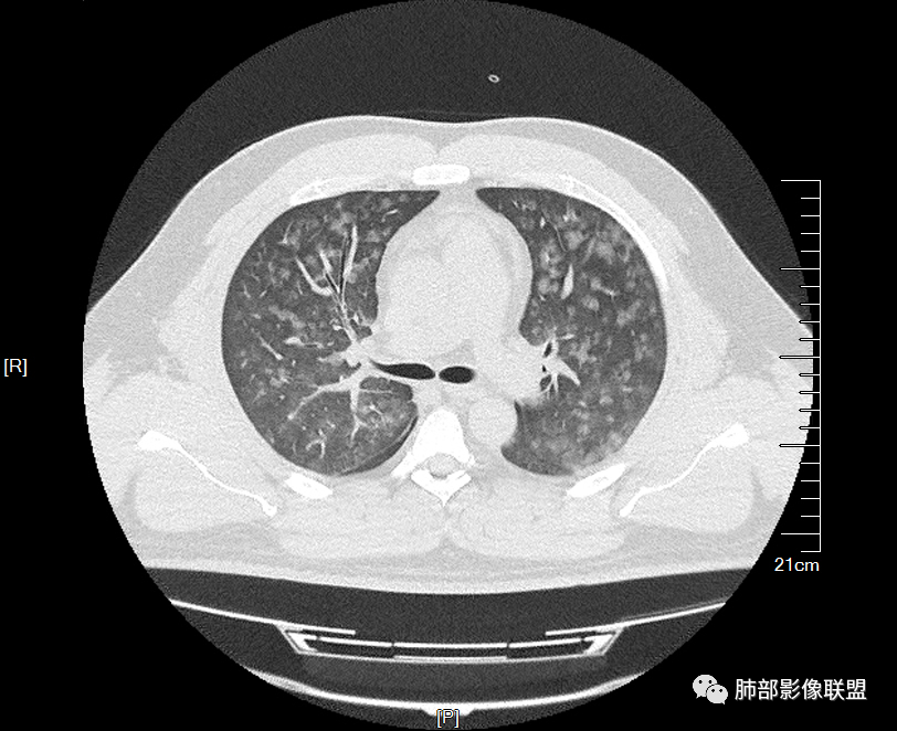
年轻男性,肾功能有问题,两肺多发磨玻璃病灶,腺泡状,部分融合,小叶间隔增厚,临床无提供感染症状,考虑肺肾综合征,鉴别转移性钙化 注意查肾功能不全原因以及血钙磷
岁月:
气腔来源,结核,过敏,是否有不符合的地方,分布总体没有规律,部分融合。
一切∮随缘:
双肺多发弥漫性磨玻璃结节影,大小不一,形态不规则,部分融合,支气管未见明显扩张,部分血管束略增粗,叶裂胸膜增厚,临床有痛风,左足痛6天,考虑:1:痛风结节(一般实性结节,很少磨玻璃结节影)2:血管炎?3:病毒性肺炎(水痘-疱疹肺炎?)
了:
青年男性,无呼吸道症状,CT双肺弥漫性磨玻璃影,无规律分布,边缘清楚,有小叶间隔增厚,叶间胸膜增厚,考虑间质相关性病变?过敏?
灵:
年轻男性,肾肺病变共存,两肺多发片状、结节状磨玻璃灶,部分融合,部分与支气管血管束有关,无生化,考虑Goodpastures>MPA
岁月:

王秀仙:
双肺多发腺泡结节及磨玻璃,小叶间隔增厚(大网格状),腺泡结节内及磨玻璃内可见细网格影(小叶内间隔增厚),影像表现符合肺泡出血改变,血肌酐升高,考虑肺肾综合征。鉴别肺水肿。
宇宙:
两肺弥漫向心分布的腺泡结节,部分融合,两肺小叶间隔增厚,血肌肝高,考虑肺泡性肺水肿
我心飞翔:
青年男性,痛风、肾功能不全病史,双肺多发结节状、斑片状阴影,支气管血管束增粗,可见支气管袖口征,叶间裂及小叶间隔增厚,考虑肺水肿。
小兜:
年轻男性,既往血肌酐升高,左足痛六天入院,有痛风及高血压病史。CT示双肺多发磨玻璃结节影,不规则,部分融合成团或片状,小叶间隔增厚,以双下肺为明显,叶间胸膜亦见增厚。考虑为1.Good-Pasture综合征。2.病毒性肺炎?3.肺水肿?
红星:
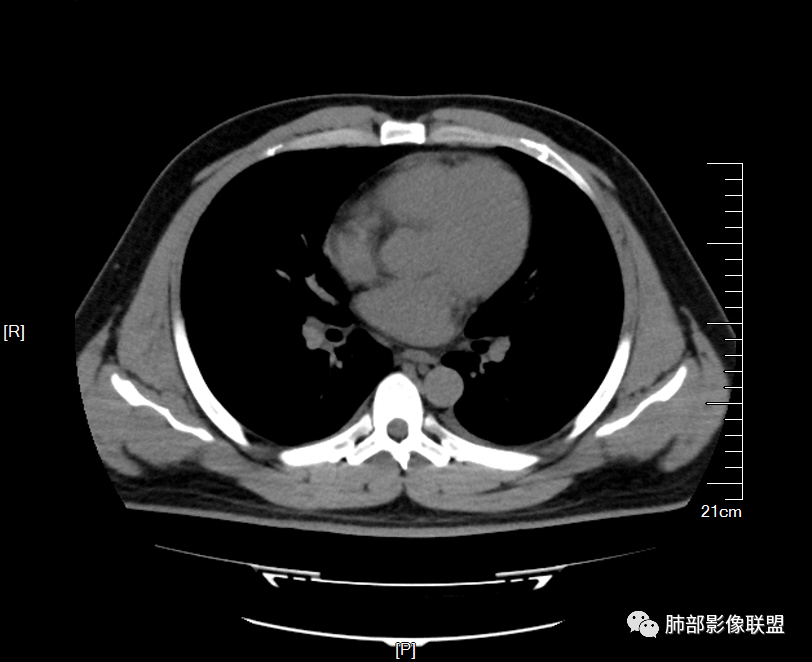
男32岁。既往曾发现血肌酐升高.此次因左足痛6天入院。有痛风、高血压病史。两肺弥漫性的病变,小片状或者结节状为主病变,小叶中心分部为主,边界不清。心影比较饱满,肝实质密度均匀的降低。考虑为肝损害的影像学改变。综合考虑多功能脏器的损害,肺部损害肺泡炎?肺水肿?或病毒性的肺炎?
刘强:
年轻男性,有痛风、高血压病史,有肾功不全史。双肺弥漫性分布磨玻璃样结节,部分融合,无重力分布,考虑1.血管炎。2.肺肾综合征。3.肺水肿。
飞鹰行动:
青年人,男性,双肺多发小片状磨玻璃影,肺泡渗出,气道来源,小叶间隔增厚,肺水肿,过敏,出血,感染,都需要考虑,结合病史排除感染,过敏,仍然需要考虑肺水肿,出血(肺肾综合征)。
一切∮随缘:
肺出血肾炎综合征(Goodpasturessyndrome)系病毒感染或吸入某些化学性物质引起原发性肺损害。肺出血肾炎综合征明确的病因尚未证实,但与感染特别是病毒感染有关。根据反复咯血、血尿、X线征象及痰中含铁血黄素细胞阳性即可作出诊断,单纯有肺部表现则要和特发性肺含铁血黄素沉着症鉴别。
goodpasture综合征是早先的概念,就是肺出血肾炎综合征,后来随着研究不断深入,发现其病因构成复杂,慢慢就不用了。如果还是原先的概念,这个综合征最常见的3种情况是SLE,抗肾小球基底膜抗体病(这个是经典的,也叫goodpasture病),ANCA相关血管炎。因为这些疾病都有各自独立的诊断了,现在就基本不叫综合征了。
薏米:
年轻男性,双肺弥漫性分布磨玻璃样结节影,部分融合,部分小叶内间隔增厚,双下肺下叶间隔增厚,不知道患者症状有无咯血,气短等症状,结合患者肾脏病史,考虑肺肾综合征可能,鉴别HP
三个石头:
肺泡出血?不知道患者有没有咳血,过敏没病史不太支持。
Harvey:
年轻男性,肾功能不全,未提感染症状,ct双侧弥漫性小叶中心性磨玻璃影,双下肺为著,考虑肺含铁血黄色沉着症
流心明智:
年轻男性,痛风史,高血压史,肌酐高,左足痛6天入院。胸CT:双肺多发弥漫性磨玻璃结节影,大小不一,部分融合,上中下肺都有,中内带多,胸膜下少。部分血管束略增粗,小叶内间隔、小叶间隔增厚,下肺明显,左室大。叶裂胸膜增厚。临床有痛风,左足痛6天,考虑:心衰、间质性肺水肿?弥漫性肺泡出血?鉴别:MPA,肺肾综合征,痛风结节等。
尘缘:
青年男性,有肾功能不全史和痛风史,这个影像分布有个典型的特点,全部是以中央间质周围的渗出性改变,这个改变主要就是两种可能,一种是肾功能不全导致的血管通透性增高导致的肾性肺水肿,一种是出血导致的DAH改变,具体是哪种,影像上不好简单的鉴别,需要结合更多临床资料综合分析。
妞妞:
年轻男性,痛风,肌酐高,提示肾功能有损,两肺多发磨玻璃腺泡结节,小叶间隔增厚,双侧少许胸水,血管增粗,考虑肾性肺水肿,DAD,鉴别肺肾综合征,需要更多临床资料
张延军:
双肺多发腺泡结节及斑片状磨玻璃影,边缘不清,后者内见细网格状改变,小叶间隔增厚,呼吸系统症状不明显,考虑肺水肿,过敏性肺泡炎代排
傅昌瑜:
32岁男性,左足痛入院。有痛风、肌酐升高、高血压病史。CT:两肺弥漫磨玻璃结节,小叶间隔增厚、小叶内间质增厚,两侧少量胸水。考虑:1.肺水肿;2.过敏性肺炎;3.肿瘤?
王崇军:
双肺多发腺泡结节及磨玻璃网格影,部分融合,小叶间隔增厚,双肺中轴间质增厚不明显,疾病谱:病毒性肺炎,肺泡出血,水肿,过敏性,肺泡蛋白沉着症,PCP。结合病史,没有咳血,肺泡出血,不考虑,过敏没有任何临床症状,而且无上肺分布优势,也排除。病毒性肺炎也无临床支持,排除。PAP影像不典型,暂排除。有肾功能异常,所以考虑1肾源性肺水肿。2,有无激素使用史或HIV,PCP待排。
哦落花时节:
青年男性,双肺多发大小不等斑片状磨玻璃密度影,内见细网格影,并可见小叶间隔增厚,双侧胸腔少量积液,患者曾有血肌酐增高,提示曾有肾损害,并有痛风、高血压病史,考虑肺肾综合征,鉴别过敏性肺炎

南边老师分析
南边:
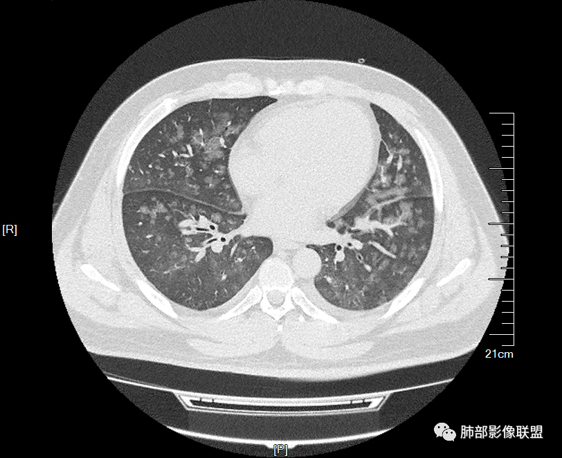
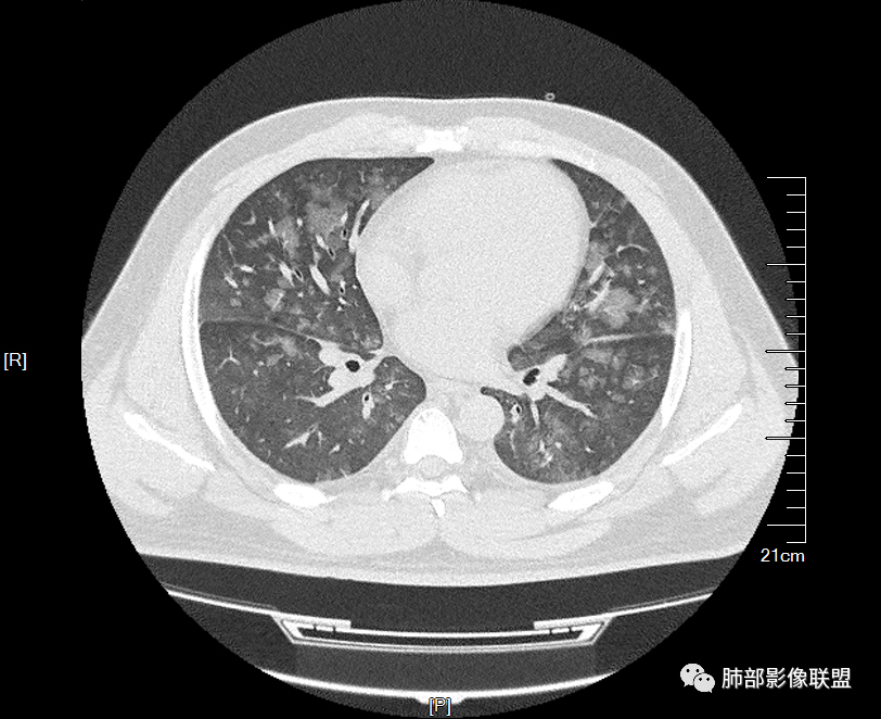
痛风入院。无肺部症状

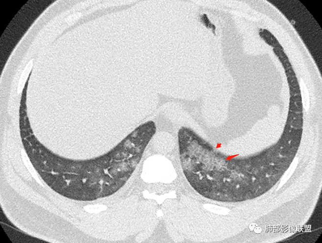
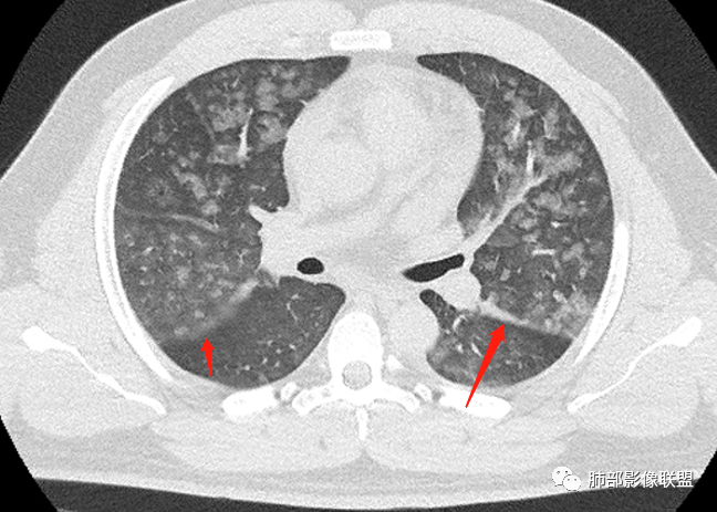
多发GGO结节,边界清,以全小叶、小叶中心为主:


南边:
GGO背景

南边:
小叶间隔增厚,无明显重力趋势

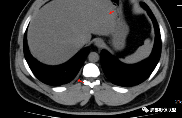
少量积液,脂肪肝

这里有一点重力趋势

中轴间质稍增厚

细网格也明显

中轴间质增厚,小叶间隔增厚,小叶内间质增厚,部分重力作用,双侧对称,胸水,按理淋巴道回流受阻有
肺水肿类病变有
问题是腺泡结节如何解释?
一般吸入性病变,肺泡腔充填性病变
平常心:
但是肺泡出血可以吗
生来征服~浪子:
出血单影像来说,感觉也可以。
南边:
吸入没病史啊
出血,这么弥漫按理也应该有咯血之类的啊
弥漫性损伤?
平常心:
不一定咯血
那还有什么可能
转移性钙化?
不吝慷慨:
有老师提出过转移性钙化
大雄:
需要鉴别
查个血钙就知道了
血钙正常就排除了
转移性钙化继发于甲旁亢和慢性肾衰


不吝慷慨:
@於雄 九江市一医院影像?肌酐高,估计一过性,不然不会轻描淡写,一带而过
大雄:
磷酸钙沉积在肺泡间隔
南边:
这是急性出血,腔充盈

不吝慷慨:
腺泡融合,不考虑转移性钙化
平常心:
对比一下,是不符合转移性钙化
南边:
 时间的问题,,为什么呢,就是说,我们一般就是这样,假如这些急性的单纯的非常超急性的,那就是说,肺泡腔充填的,明显的小叶间隔增厚,那我们警惕,不对,这个是不是间质为主的,以小叶为单位间质为主的病变。
南边:
如果有出血这个还好解释,肺泡腔充盈的,还有一个弥漫性损伤也可以
损伤的话,我们不知道用的什么样的药物可以这样,然后其他原因所致的肺泡腔的损伤也可以这样。
南边:
一开始怀疑吸入的病变,但我看了一下很多全小叶性的,确实小叶核心区域,稍微密度偏高一点那种,我认为就是稍微一点吸收阶段都是那样的,这个我觉得还是肺泡腔充盈为主的病变,不太符合一个吸入的改变。
不吝慷慨:
我猜过可能是药物性?
平常心:
比如毒气吸入性肺损伤好像是一颗颗结节,但是是空心的。。这个腔内好像是填充的
岁月:
非连续的肺损伤,间断累及。
药物性肺炎不像。

                病例结果:肺水肿

南边:
肺水肿肯定有
但是单纯性肺水肿不好解释
我心飞翔:
转移性钙化上叶显著,且小叶间隔增厚少见
必有路:
主要是我们这个病例,看着不像肺水肿
哦落花时节:
转移性钙化第一次听
必有路:
或者说,我觉得不像而已
南边:
转移性钙化治疗后会吸收吗
大雄:
会吸收。高钙血症得到纠正,可以恢复
丁啸:
补充,4年前肌酐就高了
没看到有钙化啊
南边:
这个,间质受累,不符合
必有路:
早期可以没有,上面的文章提到60%有钙化
张三红:
钙化在间质还是实质里
大雄:
间质,肺泡间隔
张三红:
诊断转移钙化要病理支持?
大雄:
不需要
病史? 高钙血症? 影像
张三红:
继发甲状旁腺机能亢进?骨钙?
必有路:
甲旁亢,肾功能不全,都可以发生
丁啸:

丁啸:
我这个就是肺水肿
没有转移性钙化
King:
为什么这么弥漫的肺水肿,临床没有肺部症状?当然这么弥漫也没有咯血,诊断DAH有点武断了
丁啸:
因为时间久了啊,慢性肾衰了
容易耐受隐匿
而且渗透性有关,也不是说一定是水容量多心衰。
King:
意思这个肺水肿不是急性出现的,?
丁啸:
比心源性肺水肿症状轻的
大雄:
一般来说,DAH比肺水肿更容易症状隐匿,没有咯血的不少
这么明显的肺水肿没有呼吸困难才是非常少见
二者影像有重叠 , 鉴别还是靠临床以及复查,无需纠结。
King:
这种还是临床医生更有感觉吧,对病人状况和检查指标的感知
尘缘:
肾性肺水肿症状可以不明显,尤其是这个病人已经有小叶间隔增厚,说明病程比较长,耐受较好了

知识拓展---肺水肿
1
病因和发病机制
   肺水肿是多种疾病或病理基础上发生的过多体液积聚于肺组织内的状态。
  肺静脉回流受阻,毛细血管血压增高,肺泡毛细血管通透性增高,肾功能不全的血浆胶体渗透压降低,肺淋巴回流障碍。
2
主要病因
   左心功能不全、肾功能不全、高原性肺水肿、输液量过多过快、肺静脉闭塞、溺水性肺水肿、复张性肺水肿、神经源性肺水肿等。
3
肺水肿分型
1)间质性肺水肿:水肿液聚积在肺间质内(如肺泡间隔、小叶间隔、支气管和血管周围及胸膜下结締组织)。
2)肺泡性肺水肿:过多的液体积聚在终末气腔内(如肺泡腔、肺泡囊、肺泡管、呼吸性细支气管) 。
 3)两者往往同时存在,但以某一类型为主。
4
肺水肿影像表现
1.间质性肺水肿 :小叶间隔增厚,尚光滑,支气管血管束增粗,胸膜或叶间裂增厚,肺内有磨玻璃密度影,有重力分布趋势。
2.肺泡性肺水肿 :
(1)中央型分布:以肺门为中心,两肺中内带对称分布的大片状实变,称为“蝶翼征”。常见于心源性及肾源性肺水肿患者。也可表现为磨玻璃密度病灶,弥漫性分布或以小叶中心性分布。
(2)弥漫型肺水肿:弥漫分布于两肺内的多发斑片状磨玻璃密度及实变影,大小和密度不等,可融合成大片状阴影,可见空气支气管征。
(3)局灶性肺水肿:肺泡性肺水肿所产生的阴影呈局限性,以右侧多见。与心脏疾病患者倾向于右侧卧位和心脏增大压迫左肺动脉,使左、右肺血液量不同有关,也可见于限局性的肺动静脉闭塞性病变。
(4)病变动态变化较快,在1~2d或数小时内可有显著变化。
(5)胸腔积液较常见。
END
编辑:任正纲
审核:蔡笑燕  徐  晓


到顶部