【每日晨读】神秘的肺内肿块



(图片来源于百度)
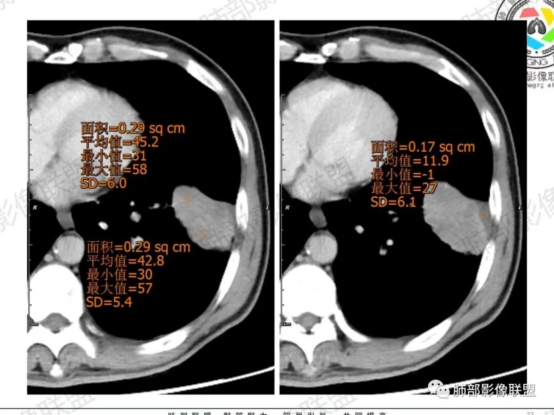
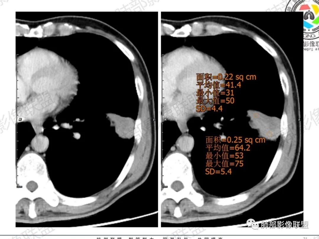
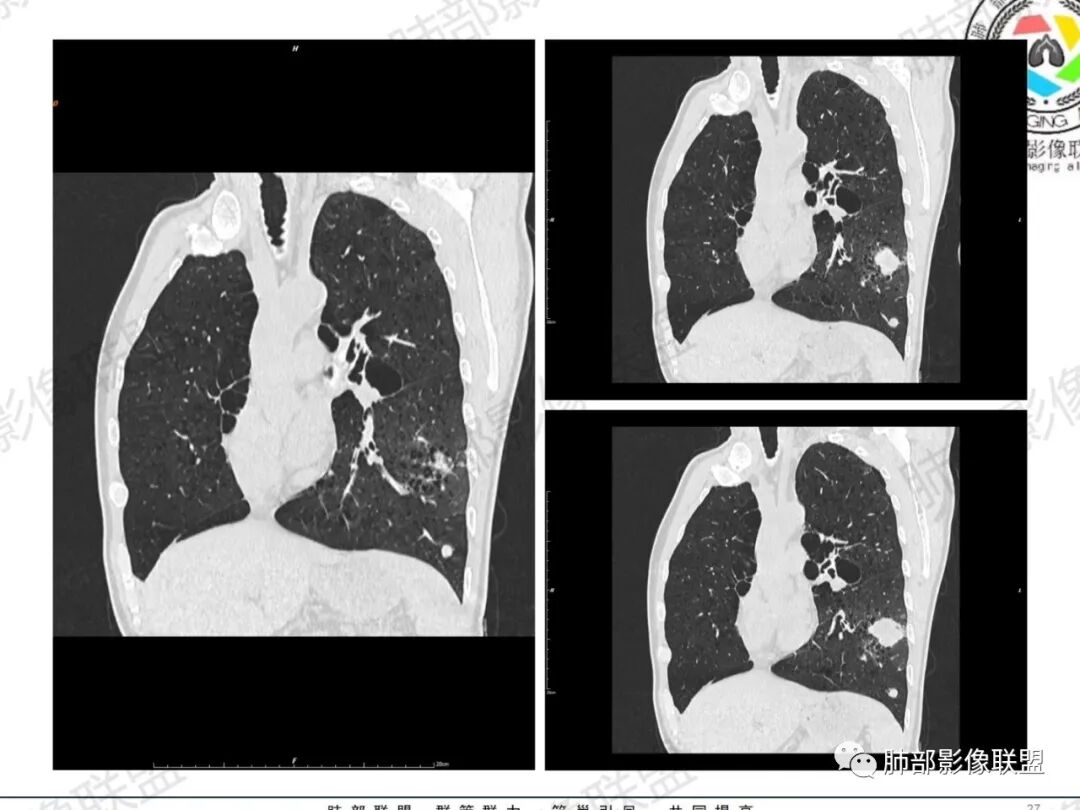
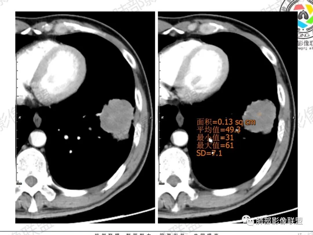
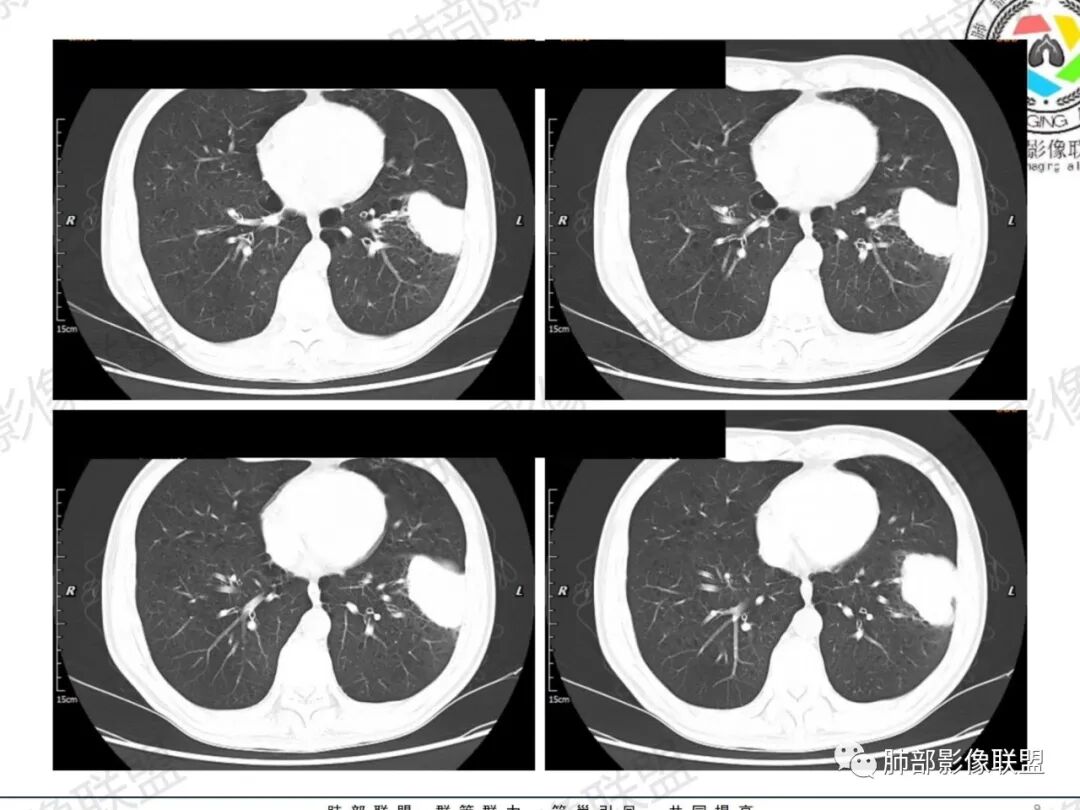
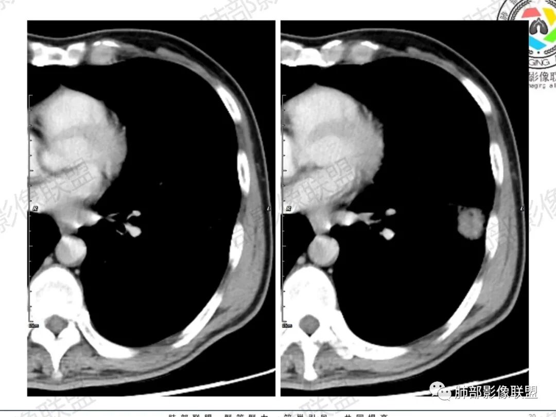
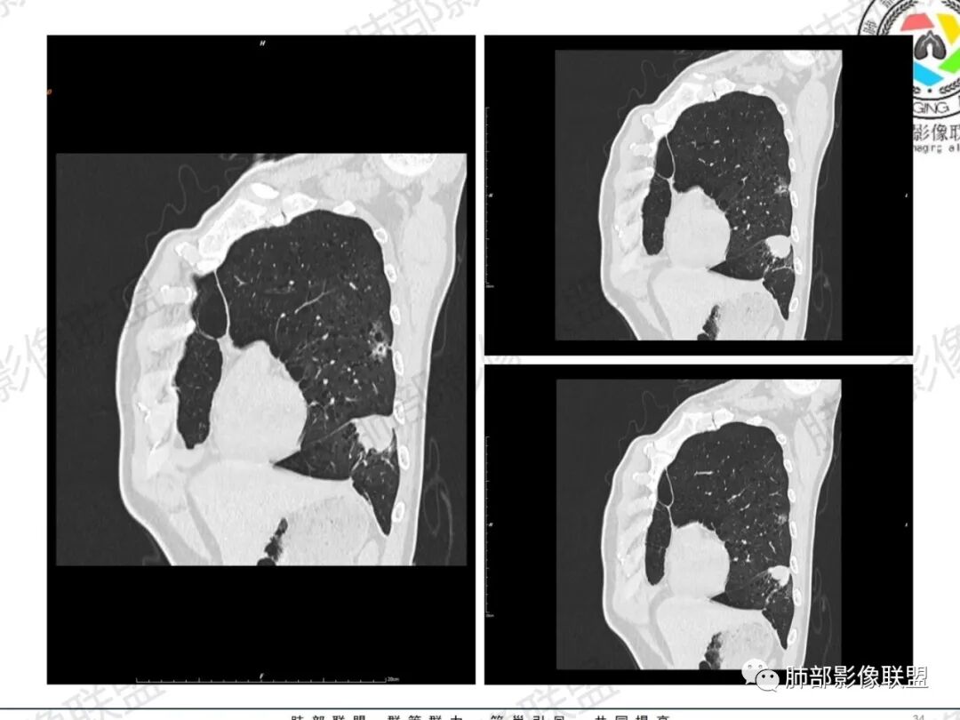
病例展示










































微信群发言(摘选)

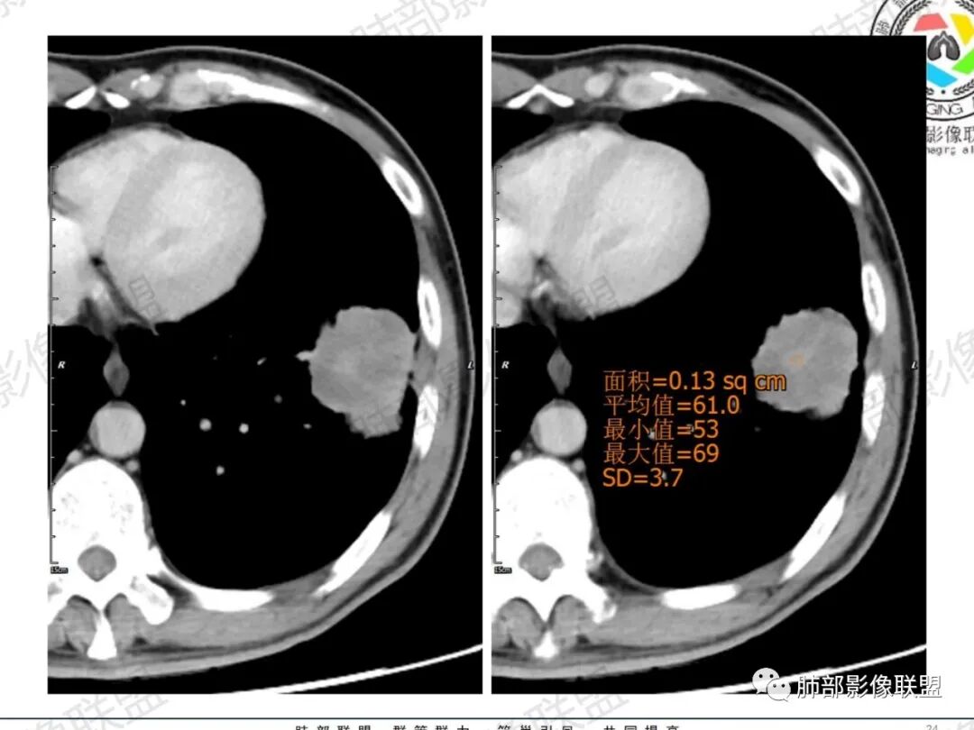
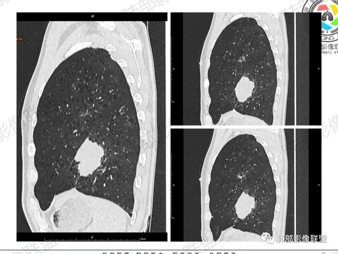
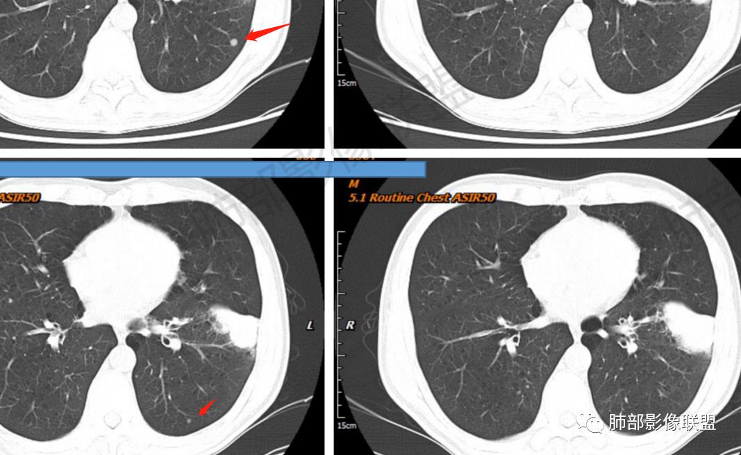
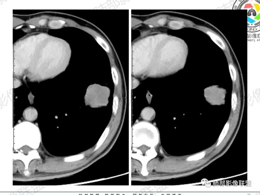
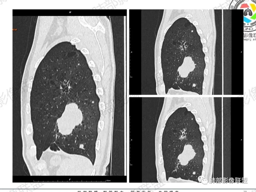
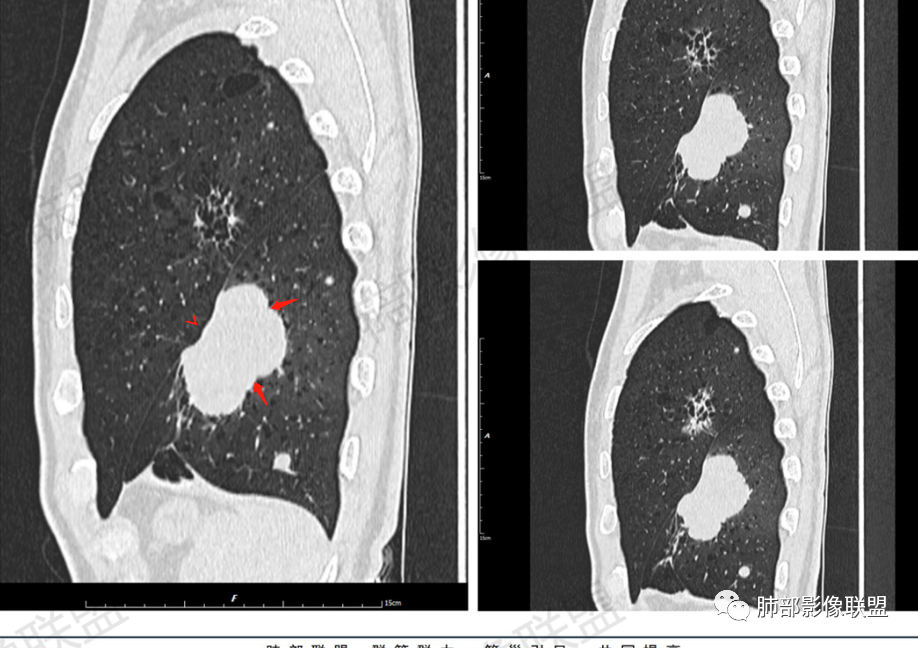
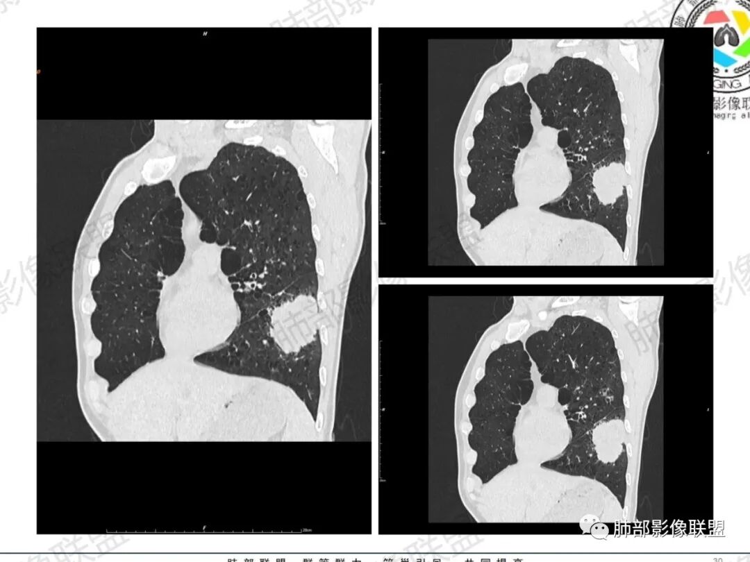
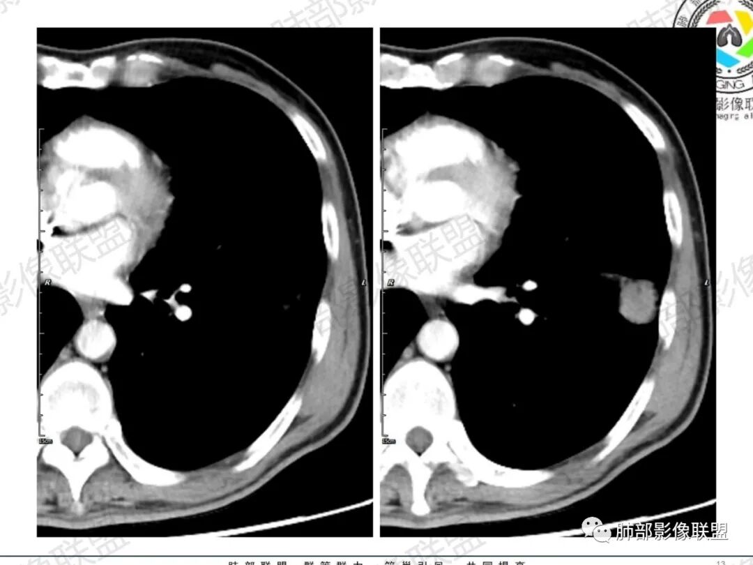
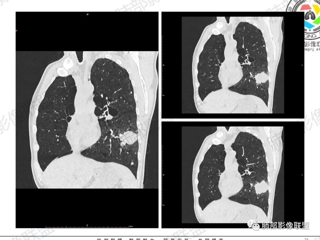
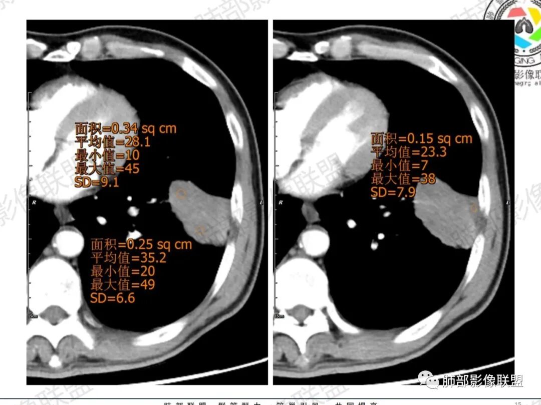
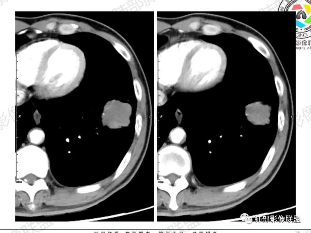
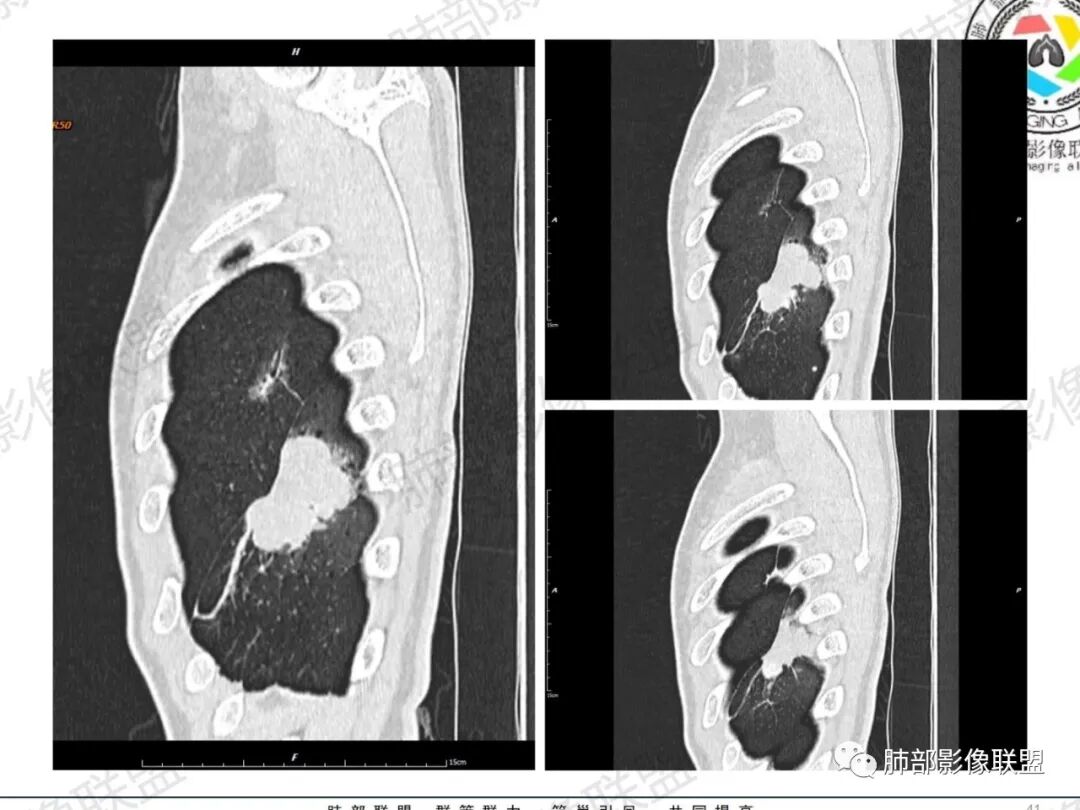
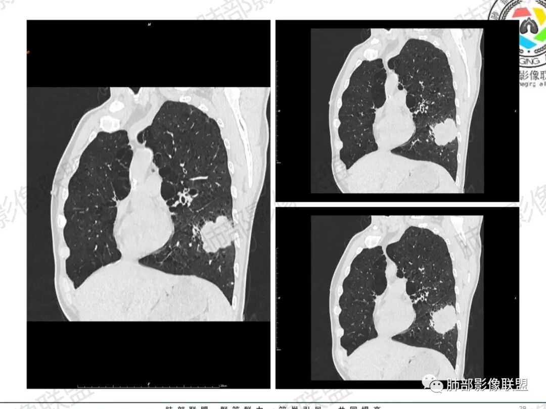
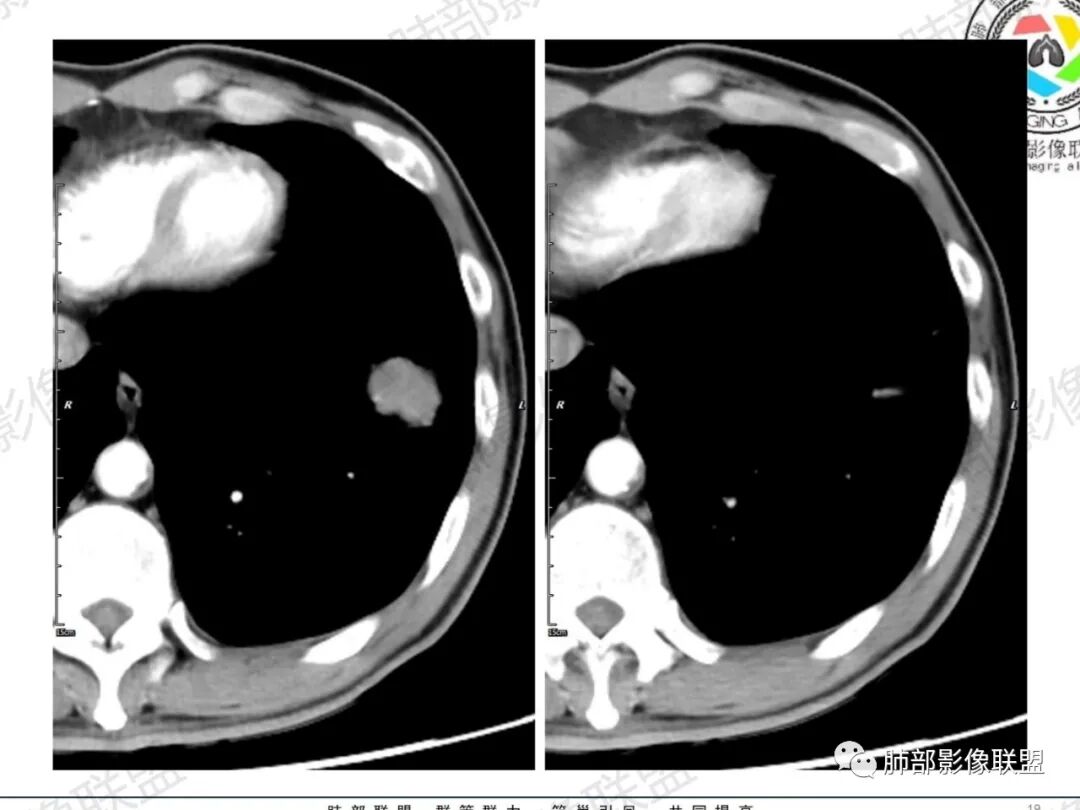
一切∮随缘:左肺下叶不规则肿块,边缘光滑,平直,局部彭隆,分叶,近端支气管堵塞,远端与胸膜相贴,平扫密度尚均匀,增强后不均匀强化,内部可见低密度坏死,胸膜下多发肺气肿,伴双肺散在光滑小结节,实验室肿瘤标志物高,考虑恶性:神经内分泌癌(大细胞),腺癌,鳞癌。
琦遇:恶性没有问题,肺气肿底子、病灶分叶、少许毛刺、叶间胸膜凹陷、部分边缘可见清晰的GGO、胸膜牵拉凹陷、局部胸水、近端支气管截断、部分支气管被推移、占位效应明显、强化特点为不均匀强化、内部有少许沼泽样低强化区,强化部分轻中强化为主、余肺可见转移性结节、左肺上叶似为囊腔型腺癌一枚,肿瘤标志物提示非小、神经内分泌,综合分析考虑大神泌、腺癌、腺鳞癌、鳞癌  同时左肺上叶囊腔型腺癌  肺转移
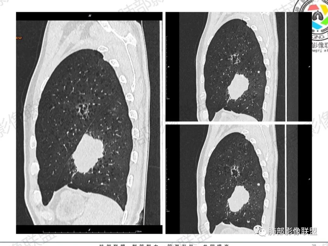
飞鹰行动:中年人,男性,胸疼入院,左肺下叶占位,张力较高,边界可见分叶,局部可见明显收缩性改变,增强病灶内部有延迟强化表现,考虑恶性病变,大细胞癌伴肺内转移或者囊腔样腺癌伴转移。
 
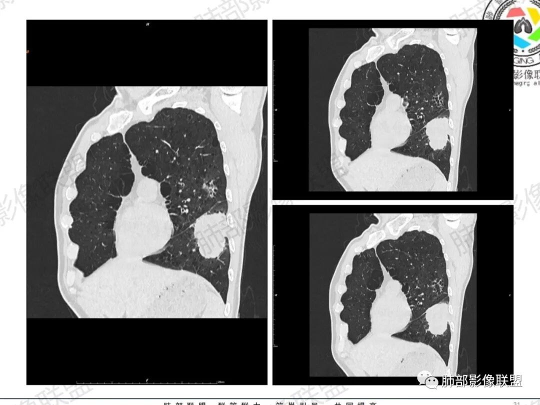
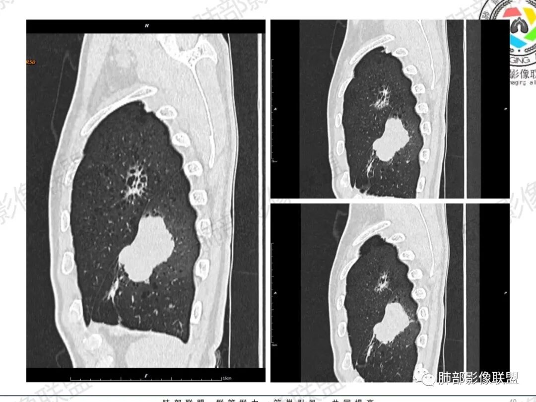
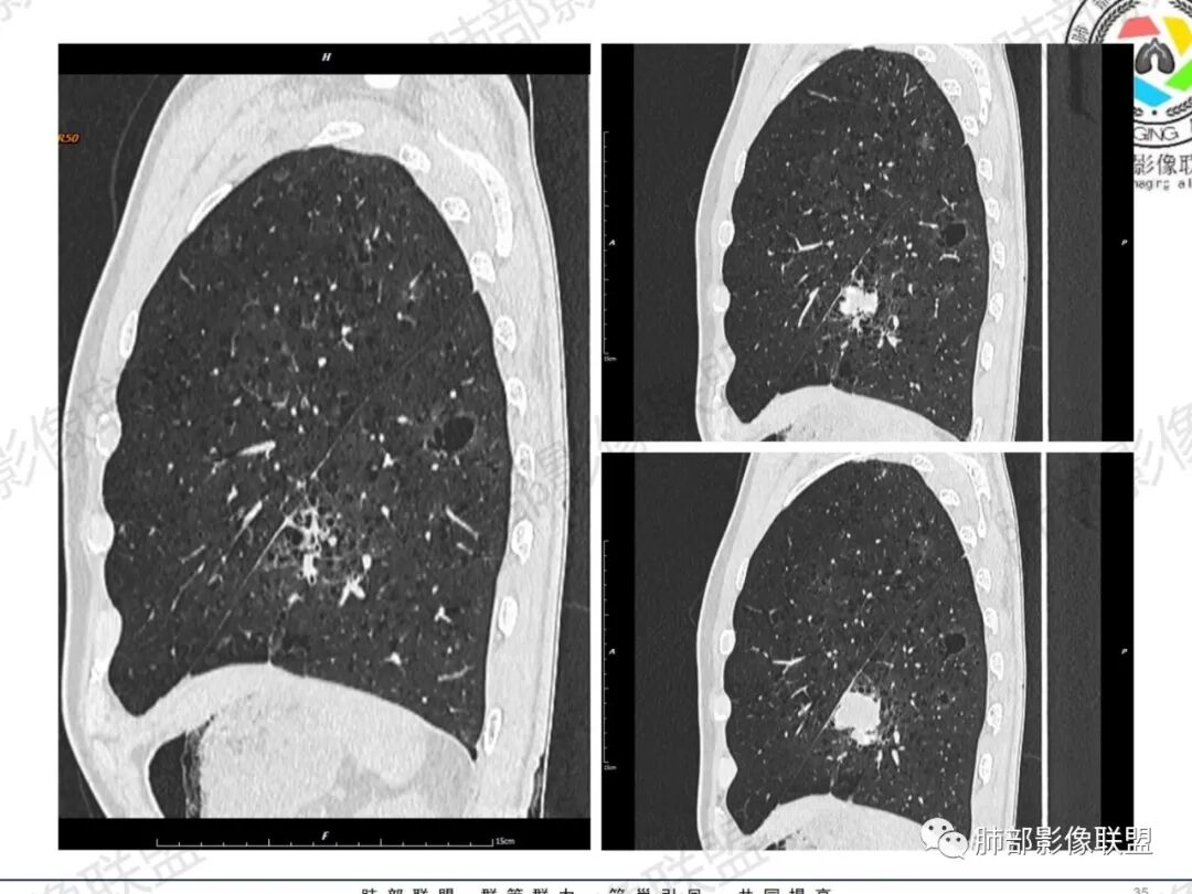
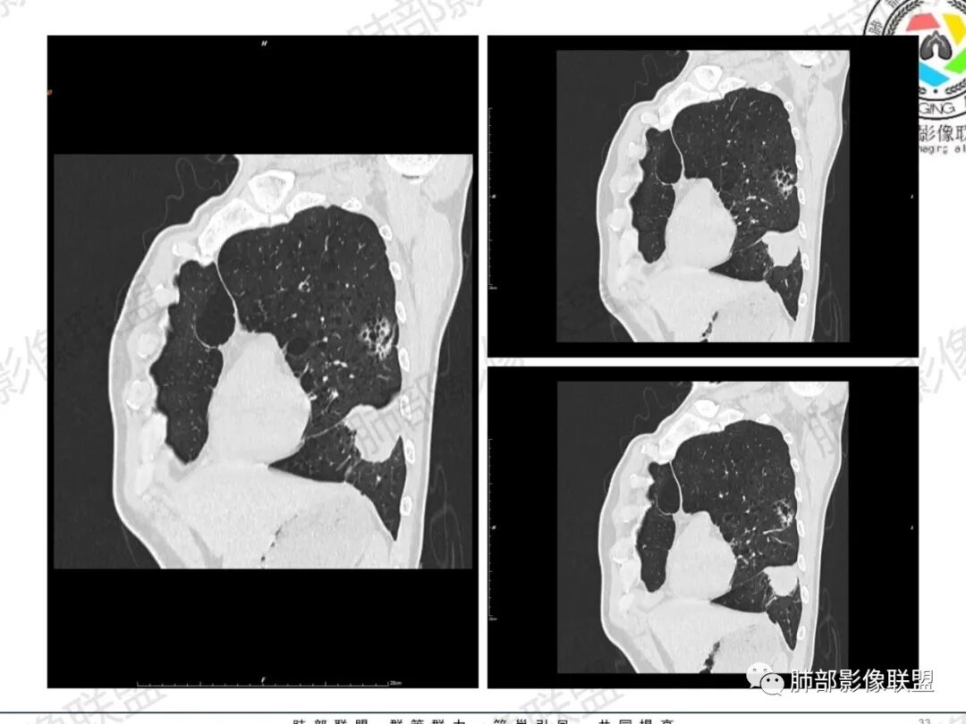
蕊:中老年男性,吸烟史,肺气肿背景,左肺上叶类圆形肿块影,边界清晰,边缘凹凸不平,有分叶,支气管进入阻断,临近胸膜栽赃,整体病灶膨隆,局部周围可以清晰ggo,临近叶间裂内凹,轻度强化,并可见多个低密度区,坏死可能,界线不清;肺内多结节,边缘光滑,考虑恶性伴转移,鳞癌、腺癌
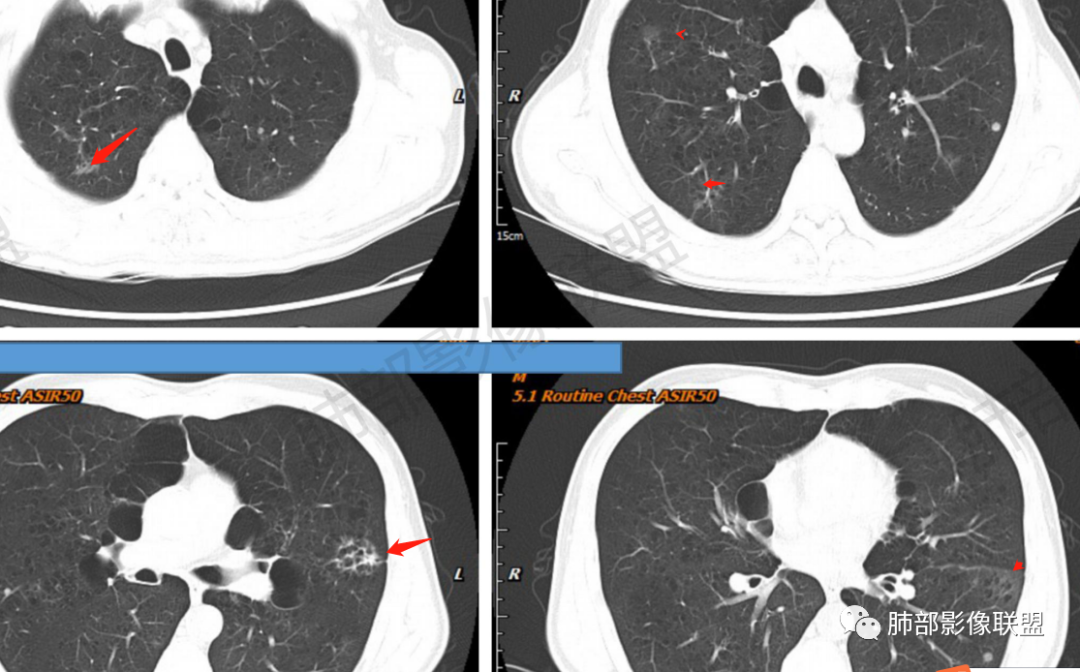
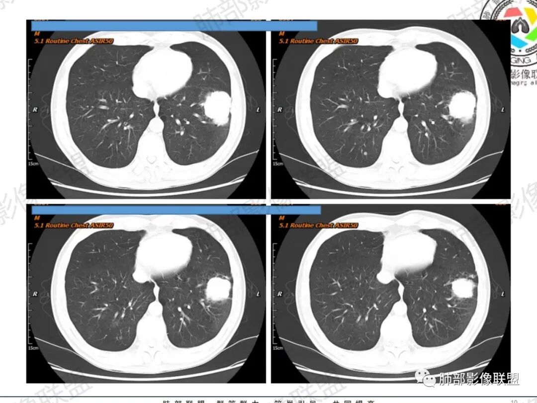
傅昌瑜:中老年男性,肺气肿背景,右胸背疼痛1周。CEA、NSE、CYFRA—211升高。左上肺混合磨玻璃结节,内见较多空泡和扩张支气管。左下肺胸膜下肿块,边缘较光滑,深分叶,似有血管进入,与支气管关系不清,内见不均匀强化,见沼泽地样坏死,有胸膜栽赃。另两肺多发圆形小结节。考虑恶性并肺内转移,多原发可能性大,左上肺腺癌,左下肺病理难以判断,小细胞癌?鳞癌?
小锁:中老年男性,肺气肿背景,右胸背疼痛1周。CEA、NSE、CYFRA—211升高。左上肺混合磨玻璃结节,边界清楚,内见较多空泡。左下肺肿块,边缘清楚,深分叶,有血管和支气管进入,胸膜凹陷。另两肺多发圆形小结节。考虑双发原位癌,左上肺腺癌,左下肺大神泌或腺鳞癌可能,肺内转移。
蓝天白云:中年男性,肺气肿背景,左肺下叶肿块,边缘膨隆,有分叶,内有湖泊样坏死,有轻中度强化,局部胸膜栽赃,收缩力不强,周围见肺气肿征象。左肺上叶混合磨玻璃影,边界清楚,考虑都是恶性,左上肺iac,左下肺腺鳞癌,或大细胞肺癌可能。两肺多发结节,考虑转移
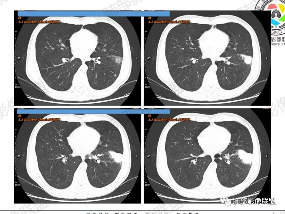
毛勤香:老年男性,肺气肿背景,左肺下叶肿块,分叶,边缘光滑,土豆块样,细支气管闭塞,增强轻度不均匀强化,似有坏死,左肺另见多发结节,淋巴结未见明显肿大,恶性确定,吸烟史,鳞癌破坏力强,侵袭力差,多原发的一般很少多于3个,故排后,首先考虑神经内分泌癌,局部血管穿行,鉴别淋巴瘤
周太狼:中年男性,吸烟、高血压史,肿瘤指标升高,肺气肿背景下,左肺下叶肿块影,分叶、膨隆、未跨叶裂,支气管截断,不均匀强化。另双肺多发结节及磨玻璃影,左肺上叶混合磨玻璃,内可见多发空泡影。整体考虑恶性,肺癌伴肺内转移,左下肺鳞癌?神经内分泌癌?左肺上叶囊腔腺癌?

南边老师分析

多发病灶,一元论?二元论?
分叶征

支气管堵塞

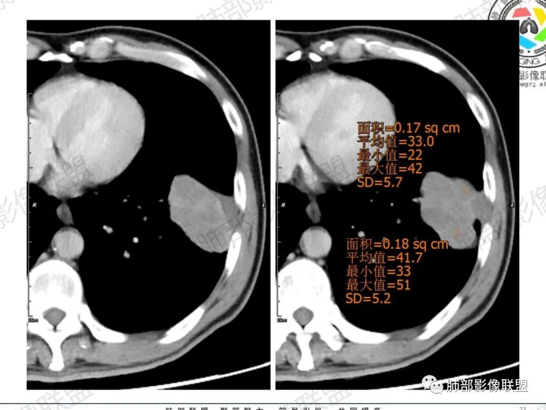
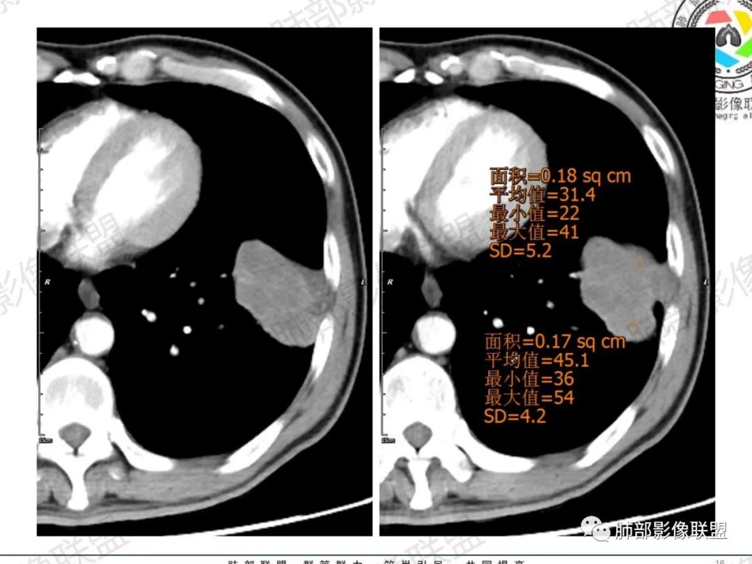
强化欠均匀

支持恶性
多发类圆形结节,转移瘤可能


常规应该做过胸部检查,如果原来有,就应该会提示

所以认为新发
这些GGO,在肺气肿基础上,还是支持感染


答案揭晓



                        知识扩展
肺大细胞神经内分泌癌(large cell neuroendocrine carcinoma, LCNEC)是罕见的肺部恶性肿瘤,其诊断需要组织学、细胞学和免疫组化确认。目前手术切除是选取LCNEC病理标本的主要方法,但有较大的局限性, 仅限于早期肺癌,故CT引导下经皮肺穿刺活组织检查、经支气管镜肺组织活检也是重要的诊断手段。
对于肺神经内分泌癌病理学上有四种分型,即:典型类癌、非典型类癌、小细胞癌(SCLC)及LCNEC。在形态上,LCNEC肿瘤细胞表现为癌细胞体积较大且多形性明显,胞质丰富,泡状核,核仁大,核分裂象易见,核型改变是其主要形态学特征。癌基底细胞呈栅栏状排列,小梁结构,玫瑰样特性。LCNEC同时具有NSCLC和SCLC的病理特点,恶性程度较SCLC相当或略低。免疫组织化学染色法对该肿瘤诊断具有很大作用,因肿瘤细胞能够表达多种神经内分泌标志物,其中以Syn、CgA、CD56为主;  CD56的敏感性最高,但CgA、Syn的特异性更强,这三项中只要有一项为阳性,即可诊断。
LCNEC最常见的影像特征包括:(1)肿块发生部位:周围型肺癌为主,少数发生于肺中央。(2)肿块大小及形态。因肿瘤细胞生长迅速常形成较大肿块,因此其体积一般较大,直径常在3~10cm范围内,病灶常为不规则形软组织肿块。(3)肿块边界。多数学者报道大多数肿块边界清晰,边缘呈分叶状,毛刺征及“胸膜凹陷征”少见,认为与该病对周围组织浸润较轻及较少产生纤维瘢痕组织牵拉有关联。(4)肿块密度、强化特点及代谢情况。据文献报道,该类肿瘤因体积较大CT上常见软组织肿块,且多数密度不均匀,内见囊变坏死区,增强后呈轻或中度不均匀强化(可见强化者占75.7%),认为其强化特点与其内部肉眼可见坏死灶和肿瘤较大直径有关。(5)伴随症状及远处转移。该病恶性程度高,侵袭性强,常侵犯邻近结构,如胸膜、心包、邻近骨质或纵隔内组织等,易出现纵隔淋巴结转移,部分发生肺内及远处转移,少数早期可出现广泛远处转移。
LCNEC患者空洞、钙化、阻塞性肺炎、肺不张、积液这些CT特征较少见,少见支气管充气征。

鉴别诊断:
(1) 类癌及小细胞神经内分泌癌: 类癌多见于无吸烟史的中年女性,CT上多表现为支气管腔内外边界清楚的结节或肿块,钙化较常见,增强后呈显著均匀强化。小细胞神经内分泌癌恶性程度更高,病程发展快、转移早、预后差,对放、化疗敏感,多表现为病灶较小但伴有广泛的肺门、纵隔淋巴结和远处转移。
(2) 肺腺癌及鳞癌: 腺癌好发于无吸烟史的女性,多表现为类圆形磨玻璃影或肿块,内常见空泡征,边缘毛糙,可见分叶、短毛刺征及“胸膜凹陷征”。肺鳞癌病灶内囊变坏死更常见,常因中心坏死的组织与支气管相通排出而形成空洞,壁厚不均匀。
(3) 肺淋巴瘤: 病灶影像表现多样,常为多发结节状或斑片状密度,且多数内部可见“支气管充气征”,伴全身多处淋巴结肿大。
参考文献:
1.刘洋,王悦虹,阮伟良,等.肺大细胞神经内分泌癌患者的临床病理学和胸部CT特征分析[J].上海医学,2018,41(06):339-343.
2.陈涛,陈伟,吴彩云,等.肺原发性大细胞神经内分泌癌CT与PET-CT表现及病理分析[J].临床放射学杂志,2019,38(06):1038-1041.
编辑:杨新娟    赵永兵
审核:徐  晓
病例提供者:临汾市中心医院  程磊老师


到顶部