【每日晨读】让人纠结的肺结节




病例资料

















群内讨论

王开金江津中心医院呼吸科:
晨读,63岁男性,大量吸烟史,无症状,体检左下肺孤立结节,有分叶,棘突,疑似有血管穿行,考虑肺癌,腺癌?但部分平直,融合,鉴别隐球菌。
寒江雪:
实性结节,短毛刺,分叶,腺癌?
鉴别:炎性肉芽肿(外缘平直,糊墙?)
一切∮随缘:
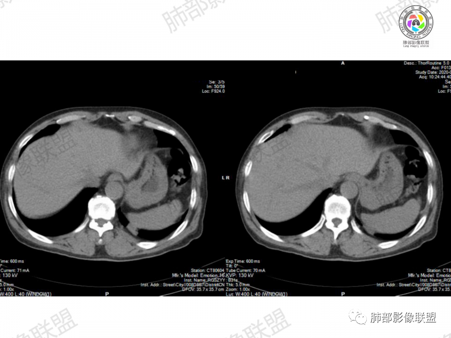
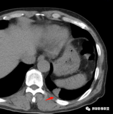
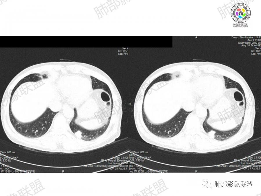
 晨读:左肺下叶胸膜下实性结节影边缘毛糙,有毛刺,分叶,近段支气管未见显示,可能堵塞,远端宽基底与胸膜相贴,边缘平直,部分彭隆,病灶局限、单发,无增强,不好判断肿瘤血供,临床男性,63岁,无症状,体检发现,有吸烟史,考虑恶性:腺癌,鳞癌,小细胞肺癌,鉴别:肺隐球菌建议增强及穿刺检查。
不吝慷慨:
晨读:左下肺病变,边缘平直,糊墙征明显,晕征不明显,首先也要考虑炎性病变,病人不明显症状,考虑慢性炎症,密度好像比较均匀,建议增强,隐球菌多糖荚膜试验。如果要排除肿瘤的话,排除腺癌
傅昌瑜:
老年男性,吸烟史。左下肺外周结节,糊墙,部分边缘平直、部分膀隆,见分叶,支气管截断?部分边缘似乎有GGO,内部情况不详。整体考虑恶性,腺癌可能性大,注意鉴别鳞癌、炎性肉芽肿。
毛勤香:
老年男性,左肺下叶胸膜下团块,有膨隆有收缩,局部细支气管似截断,边缘少许毛刺,重建整体平直收缩为主,胸膜糊墙,首先考虑炎性肉芽肿,长期吸烟史,又是老年男性,肿瘤是必须警惕的,常规治疗后复查。
采莲:
老年男性,左肺下叶近胸膜下结节,边缘收缩平直为主,胸膜糊墙,支气管显示不清,病灶密度均匀,首选考虑炎性肉芽肿,鉴别肺癌。
王秀仙:
左肺下叶胸膜下结节,有膨隆有收缩,分叶毛刺,老年男性,首先考虑腺癌,鉴别炎性肉芽肿,常规治疗后复查。
飞鹰行动:
晨读病例,老年人 ,吸烟史,左肺下叶结节影,密度均匀,边缘毛糙,周围可见长毛刺,病灶边缘分叶,局部膨隆,部分边界平直,收缩,病灶相邻胸膜处可见糊墙征象,病灶近肺门处见支气管堵塞,考虑恶性病变,周围型肺癌:鳞癌伴肺不张>腺癌,鉴别隐球,炎性假瘤。
joyzhy:
胸膜下结节,分叶,细毛刺,似有晕,纵向结节融合表现,支气管顶峰进入,猜肉芽肿,隐球菌?
尘缘:
这种实性结节,良恶性可能都有,临床工作中,只有穿刺明确。读片嘛,猜良性,慢性非特异性炎性结节可能。
靠胸膜这么近的结节,不管性质如何,既使良性,也要恶性对待,积极干预。穿刺定性。
病理结果


病例小结


63岁,吸烟史,无不适

细、长、软毛刺


边缘模糊,支气管关系不明确

糊墙,胸膜下脂肪间隙明显增厚

边缘平直为主,部分膨隆,糊墙征

密度比较均匀;
总体倾向炎性,不除外肿瘤。
对于这种实性结节,疾病谱有:炎性肉芽肿、慢性非特异性炎症、粘液腺癌等,而且无增强,良恶性比较难以判断,63岁年龄,什么都可以,胸膜下结节临床可以积极穿刺以明确。
李洁:
                                           病例小结
影像与临床:
1、老年男性,大量吸烟史,无症状,体检左下肺孤立结节。
2、影像表现:无肺气肿背景、定位左肺下叶后基底段,不规则结节、与支气管关系不明确,部分边缘平直、部分膨隆,病变与胸膜宽基底相连,病变与胸膜糊墙征,病变周围见细、长、软毛刺,病变密度比较均匀。影像总体倾向炎症、符合肺组织慢性炎症伴机化。
综合分析:
该例病变虽然为老年男性,无肺气肿背景,无临床症状、长软毛刺、刀切边缘、糊墙,病灶密度均匀,周围支气管无截断,病灶密度均匀,基本为良性炎性病变特征,但并不是绝对,工作中应该建议治疗后随访排外其它。
肺内多种疾病均可表现为结节和(或)肿块,最常见的为肿瘤及肿瘤样病变,也可为结核、真菌等感染性病变,少数为系统性疾病的肺内表现。肺内结节与肿块的鉴别诊断有一定的困难,按结节的数量可将结节和(或)肿块分为单发、多发及弥漫’三类进行鉴别。
肺内结节与肿块诊断较难,现将鉴别诊断思路整理如下:
1.注意患者年龄、临床病史及实验室检查结果:肺癌好发于中老年人;结核好发于青壮年;尘肺病人有特定的工作史等。
2.确定结节和(或)肿块的部位:结核好发于上叶尖后段及下叶背段;血行播散的病变多分布于外周带;气道播散的 病变多分布于内中带。
3. 观察结节和(或)肿块是单发、多发或弥漫性:单发结节和(或)肿块常见于肿瘤、肿瘤样病变及炎性肉芽肿等:多发结节和(或)肿块常见于转移瘤、特异性感染及系统性病变肺内表现等;弥漫性结节和(或)肿块常见于血行播散性肺结核、转移瘤及尘肺等。
3. 观察结节和(或)肿块是单发、多发或弥漫性:单发结节和(或)肿块常见于肿瘤、肿瘤样病变及炎性肉芽肿等:多发类圆形、边缘光整、内部见钙化灶的病变常提示为结核球。结节和(或)肿块常见于转移瘤、特异性感染及系统性病变肺内表现等;弥漫性结节和(或)肿块常见于血行播散性肺结核、转移瘤及尘肺等。
5.观察结节和(或)肿块的强化模式:强化值≤20 HU高度提示良性; 20~60 HU提示恶性; > 60 HU提示炎性结节 可能大。
6.观察结节和(或)肿块的邻近结构:邻近气道的截断常见于肺癌;邻:近血管集束征可见于肺癌及炎性病变;邻近结构的侵犯常见于恶性肿瘤;邻近胸膜凹陷征常见于肺癌。

END
编辑:程磊
审核:蔡笑燕、李洁
病例提供者:如皋市中医院 周翔


到顶部