【每日晨读】典型结节病


每日晨读,每日精彩


01
病例资料

02
 群内讨论
飞鹰行动:
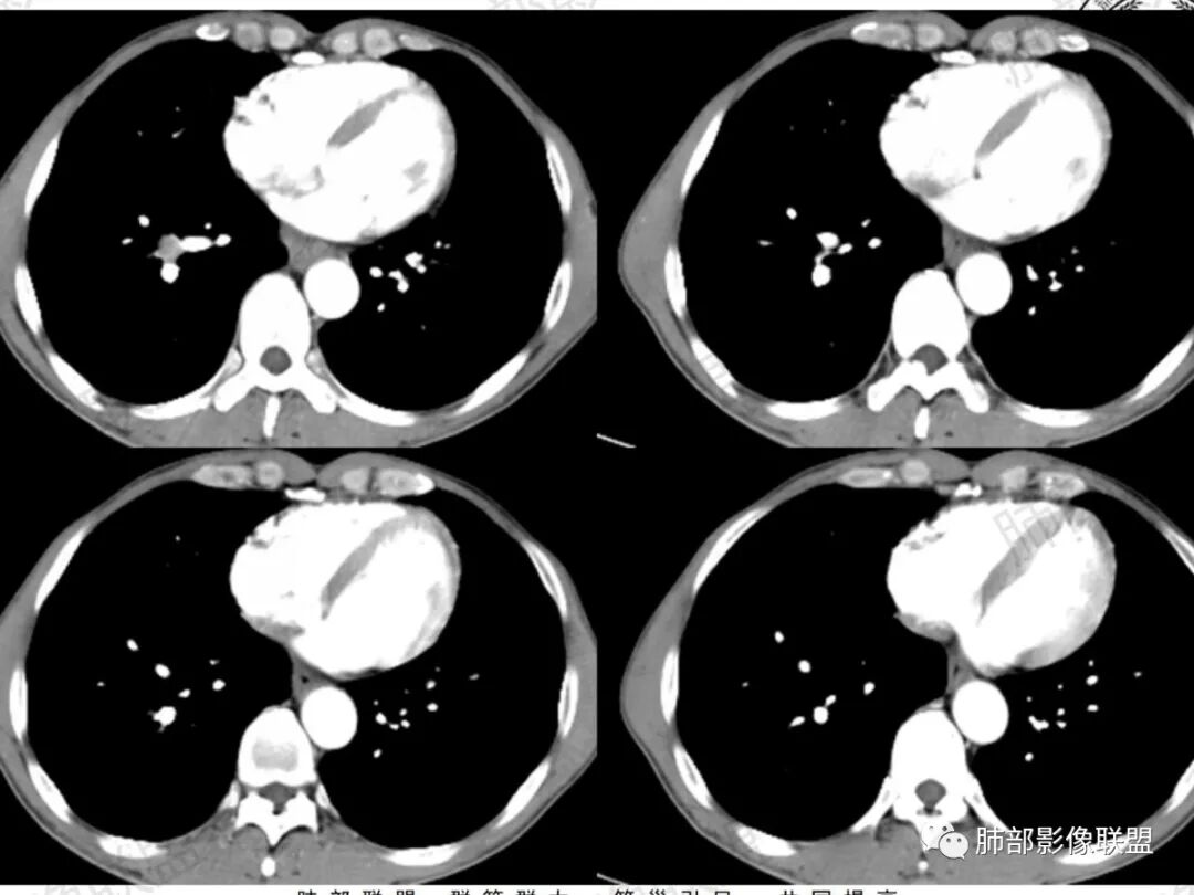
中年男性,干咳、淋巴结肿大,双肺支气管血管束周围多发细小结节影,纵隔、肺门淋巴结增大,增强淋巴结强化不明显,未见明显环形强化,考虑结节病,鉴别结核,淋巴瘤。
一切∮随缘:
双肺弥漫性粟粒样结节,病史有粉尘工作,可能尘肺,纵隔、肺门淋巴结肿大,部分融合包绕血管,边缘清楚,内部密度欠均匀,腹部也可见类圆形淋巴结,内部可见坏死,环形强化,考虑:结节病,鉴别:淋巴瘤,小细胞肺癌,结核。
红星:
老年男性病人,肺门纵隔淋巴结肿大,具有弥漫性及融合性的特点,肺内有散在多发的微小结节病变,腹主动脉旁淋巴结肿大。第一印象考虑结节病,鉴别诊断淋巴瘤。
采莲:
中年男性,双肺野多发粟粒样结节影,纵隔及肺门多发肿大淋巴结,内有坏死,边界不清,轻度强化,对称分布,考虑结节病可能性大,鉴别肺结核。
吴婧wj:
淋巴结有坏死,所以结节病是排他性诊断,感觉可能不是。然后就是4月ct没有提淋巴结,需要看一下老片。淋巴结肿大的疾病谱:转移,结核,结节病,淋巴瘤,mcd,igg4,尘肺,木村病啥的。但是这个人最重要是老片,另外就是淋巴结似有坏死
淋巴结内有坏死,我不站结节病。考虑结核,转移含小细胞优先。要老片,然后支气管镜淋巴结活检
鳞癌找不到原发灶吧。角蛋白指标没有那么特异性。鳞癌的淋巴结转移相对没有那么多,如果说鳞癌,至少找到原发灶,不然不能说服我
比如你怀疑是肺内还是肺外鳞癌,需要排查是食管还是哪里的鳞癌
毛勤香:
双侧肺门纵隔对称性淋巴结肿大,有融合坏死,肺内多发小结节,腹膜后淋巴结肿大并坏死,老年男性,4月外院没提淋巴结,这么多漏诊概率小,首先考虑恶性,转移瘤(对称发生可能来源于胸外如胃肠道等),淋巴瘤,鉴别结节病
宇宙:
两肺门及纵隔淋巴结增大,部分融合,不均匀强化,可见坏死,两肺多发微结节,腹腔环形强化淋巴结,一月前胸CT未提示肿大淋巴结,考虑恶性,转移瘤?小细胞癌?鉴别结节病
微微笑:
纵隔及双侧肺门淋巴结肿大,大部融合,结节病应不融合,首先考虑淋巴瘤,其次结节病,细胞角蛋白19增高,小细胞能否排除?淋巴结结核也可以融合,且强化不明显,也在考虑之中
许慧良:
中年男性患者,反复干嗽半年,近期咳嗽有痰,胸部CT示:双侧肺门及纵隔淋巴结肿大,呈对称性,有融合趋势,部分淋巴结内有坏死,肺内散在小结节,常规考虑结节病,但结节病淋巴结一般边界清晰,少见融合,本例患者不能排除恶性(淋巴瘤,小细胞,转移)和结核,进一步淋巴结活检予以明确。
傅昌瑜:
中年男性,干咳半年。双侧肺门纵隔对称性淋巴结肿大,大部分肿大的淋巴结与周围血管之间的脂肪间隙消失,部分有融合坏死,无钙化;肺内多发小结节,右侧叶裂多发结节,腹膜后淋巴结肿大并坏死。考虑纵隔及肺门肿大淋巴结考虑为转移可能性大,鉴别结节病(淋巴多不融合、可见钙化)、结核(可融合、环形薄壁强化)。
风儿:
双肺门及纵隔对称性淋巴结肿大,有融合坏死,肺内多发粟粒结节,叶间裂也有,右肺上叶前段亚段支气管狭窄,腔内密度增高;腹膜后淋巴结肿大坏死,老年男性,4月外院没提淋巴结,考虑结核,鉴别淋巴瘤,转移瘤,结节病,鳞癌

03
南边老师分析
南边:
病史半年,老年男性

这个病史不知道靠不靠得住
一个月前没提淋巴结,这么大看不到?
纵隔及双肺门肿大淋巴结,病灶似乎有融合,但是好像比较独立
这里好像有融合

密度较均匀,强化比较明显,有一些地方有些稍低密度。
但从淋巴结分析
1、结节病2、淋巴瘤3、结核4、转移瘤5、尘肺、6、淀粉样变性7、巨淋巴结增生症
但是没钙化:5、尘肺、6、淀粉样变性不支持

两肺弥漫细小结节,考虑血道吧
血道——粟粒性,结核
淋巴道——结节病
奇怪的是前一次的没有淋巴结肿大吗
考虑结核放前面,其次是结节病
南边:
这淋巴结很符合结核的干酪坏死

小细胞也是要纳入,我不知道原来到底有没有
恶性肿瘤,小细胞可以这么快,其他的我觉得很少
结核可以,结节病我不太熟悉生长速度

04
病例结果

王武章:
该病例增大淋巴结与周围结构的毗邻关系是有特征性的,结合强化特点,可简单排除结核、淋巴瘤和小细胞癌
空格:
@王武章 山东省胸科医院影像呼吸?王主任 能具体说下结节病与毗邻结构关系的特点吗?
等待戈多:
结节病淋巴结可以出现非干酪样坏死
必有路:
结节病,坏死,钙化都可以
就是概率小
良孑:
是,坏死,融合,钙化少见,常误导诊断
王武章:
结节病的淋巴结与毗邻结构边界常相对清晰,易产生质感较硬的接触和挤压,较之淋巴瘤明显的多。淋巴瘤是“糊”,虽有挤压,但有更多糊的成分,相对质感软一点。结核最常见的淋巴结是2、4、7、10等淋巴结增大,质感软,与毗邻结构糊的意向更明显。小细胞癌也是糊,还有包绕
结节病可以有坏死,但几率和程度常较小
引流区域的淋巴道变化,也有类似变化

05
                                                  病例小结
     本例主要鉴别疾病:尘肺,小细胞肺癌伴转移,淋巴瘤,肺门淋巴结结核,血播结核,转移瘤等。
结节病是一种原因不明、多器官受累的肉芽肿性疾病。任何器官均可以受累,表现为双肺门淋巴结病、肺部浸润及眼部和皮肤病变。但以肺部、胸内淋巴结最常见。属于自限性疾病,预后较好。累及呼吸系统可有特定临床表现:以干咳多见,1/3-1/2的结节病患者可有呼吸困难、干咳、胸痛的表现,咳血罕见,后期纤维化时,可有气短、发绀。发热以低热为主。本例患者以干咳为主,糖皮质激素治疗有效。    
结节病的分期示意图

结节病累及肺部表现:肺内多发结节,主要沿血管束、淋巴管周、小叶间隔、胸膜下分布,可呈串珠样改变。结节较大时可以融合;还可有实变及团块影;后期纤维化不可逆。
    结节病的肺门及纵隔淋巴结增大也较有特点,较少融合,较坚硬密实,密度偏高,可钙化。偶或可以观察到低密度坏死,但较少且轻微。
    双侧肺门明显的淋巴结肿大与常见肿瘤转移途径不一致。
    鉴别诊断
1.尘肺:纵隔及肺门淋巴结有钙化,还须结合临床病史及粉尘接触史。
2.小细胞肺癌纵隔肺门淋巴结转移:一般有原发灶,纵隔肺门淋巴结转移融合,呈娘小崽大表现,一般由于淋巴结引流原因,呈单侧肺门淋巴结肿大多见。
3.淋巴瘤:淋巴瘤呈多结节、多中心表现,密度偏低可融合,大小及密度常趋于一致,其间夹杂一些脂肪间隙,病灶较软、容易包绕血管也是其特点之一。
4.肺门淋巴结结核:多以单侧为主,内常见钙化,淋巴结可融合,易坏死且范围较大,增强扫描典型的环形强化。
5. 血播结核:血播结核急性多起病急骤,临床上有明显菌血症表现:高热、寒战、乏力、消瘦、食欲不振等。亚急性、慢性表现阶段性低热、午后为主,盗汗、乏力、消瘦、纳差。呼吸系统症状:咳嗽,以刺激性干咳,咳少量白粘痰,部分患者有胸闷气短,但极少发生呼吸困难,发绀少见。影像表现分布典型者表现为三均匀,肺内表现呈多态性/多灶性改变,肺门淋巴结可见钙化。
6.转移瘤:淋巴结转移对称者少见,淋巴结转移常见融合。

编辑:程  磊
审核:蔡笑燕  徐  晓
病例提供者:九江市第一人民医院影像中心  於雄

● 结节病,给你全方位的了解
●【每日晨读】经典重现---肺结节病


到顶部