【每日晨读】多发胸膜钙化结节,您想到了啥?



(图片来自百度)















































































































微信群精彩发言
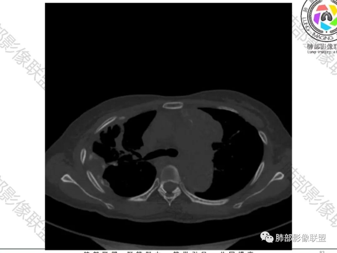
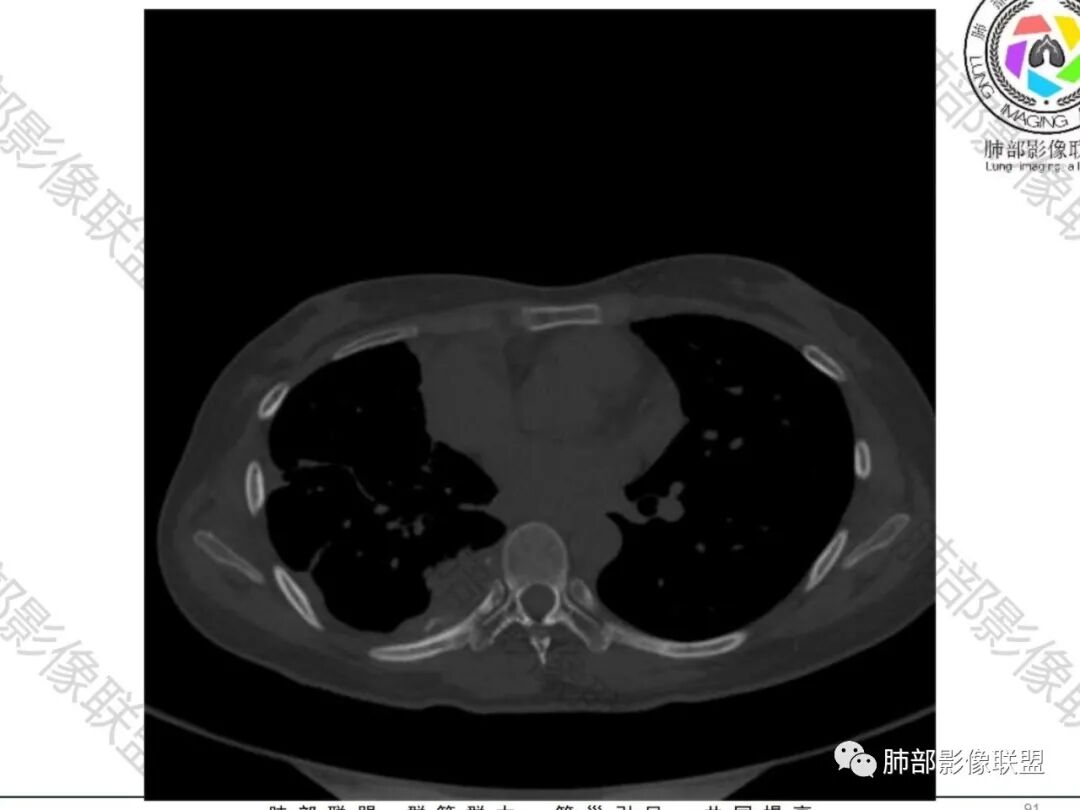
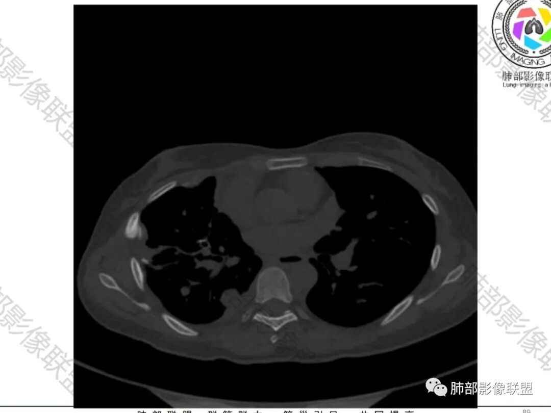
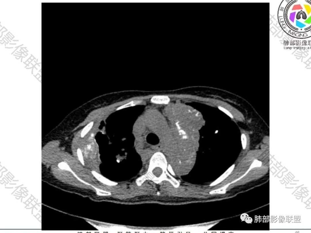
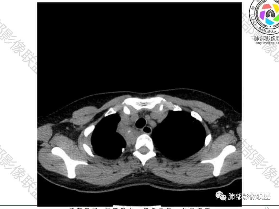
一切∮随缘:双侧胸廓塌陷,以右侧为主,右侧肋间隙狭窄,双肺上叶及右肺下叶胸膜下多发不规则肿块,密度不均匀,内部可见条片状,不规则钙化影,部分钙化不密实,双肺多发纤维索条影,似陈旧性病灶,双侧胸水,临床年轻女性,无感染症状,考虑考虑结核淀粉样变,转移性钙化,弥漫性肺骨化病。
王秀仙:双肺多发条索状及结节状病灶,部分钙化,边界清晰,双侧纵膈胸膜及双侧胸膜可见结块状及弧形软组织肿块,内见多发钙化灶,右侧胸腔塌陷,考虑结核伴淀粉样变性。鉴别胸膜间皮瘤。
丽:双肺散在索条及条片状高密度影,边界清晰,部分实变内可见钙化,支气管管壁增厚,双肺胸膜局限性增厚伴钙化,部分肋骨密度增高,首先考虑结核并淀粉样变性,鉴别转移性钙化,肿瘤样钙质沉着症,胸膜间皮瘤。
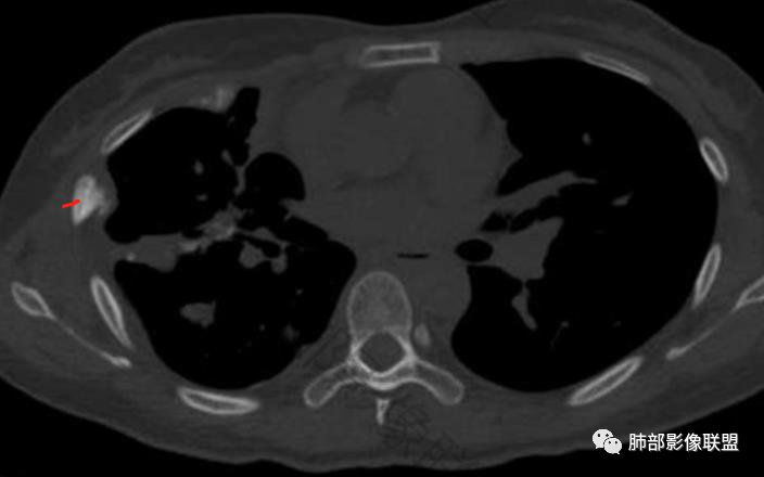
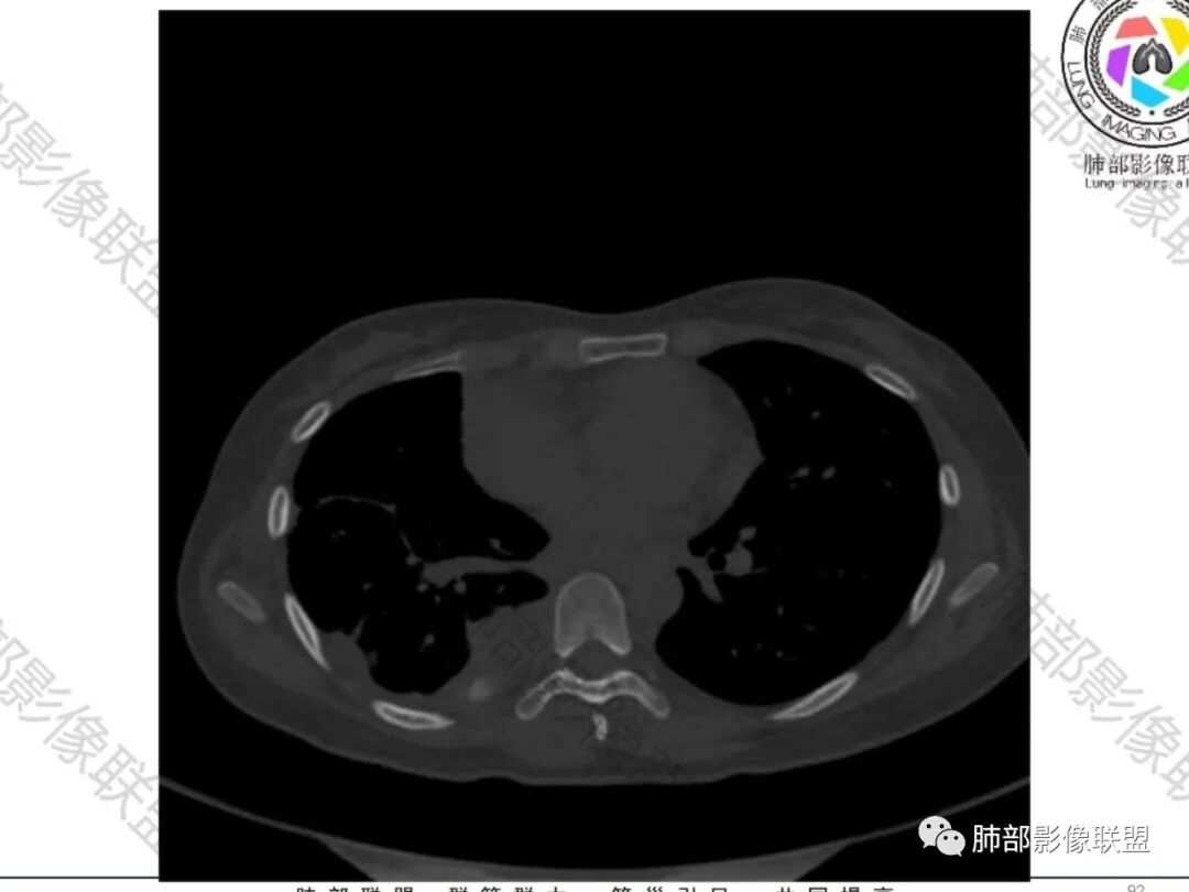
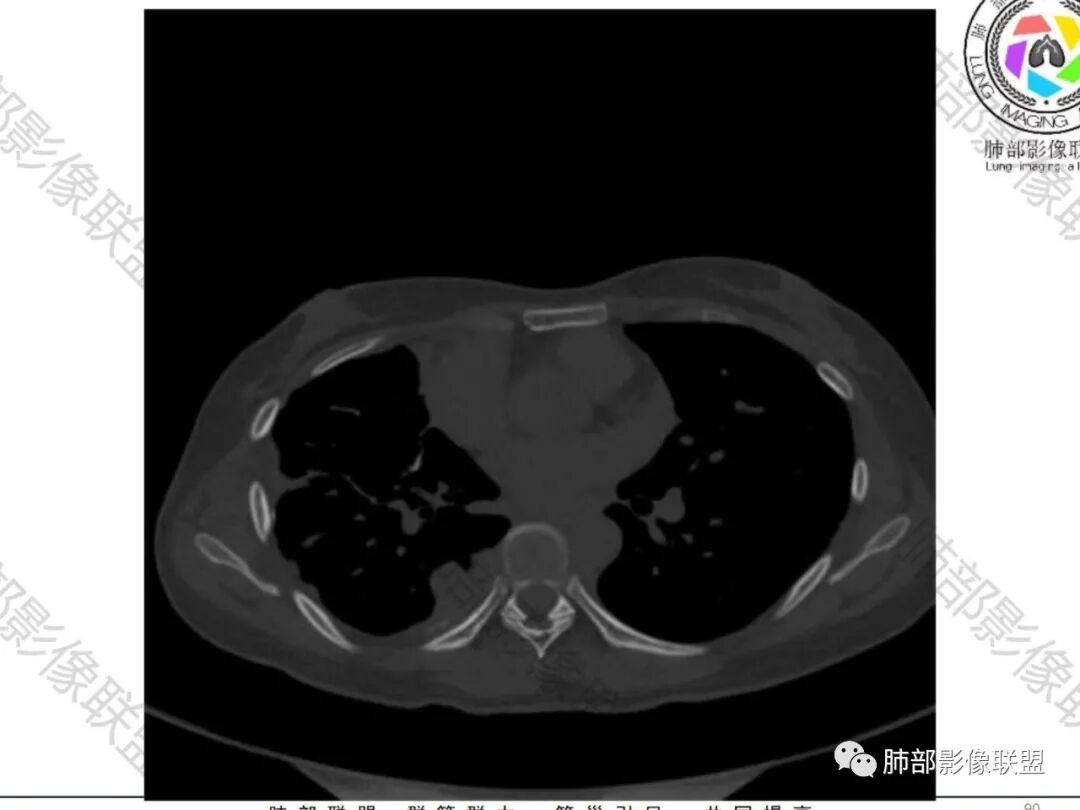
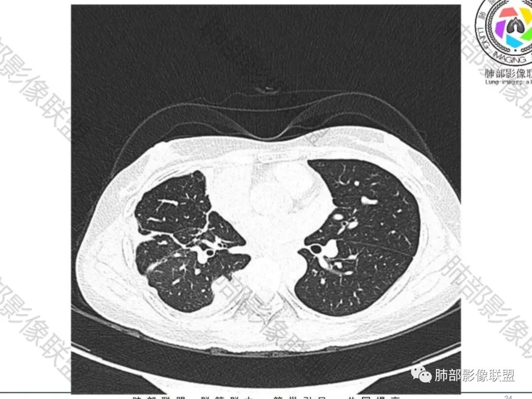
傅昌瑜:青年女性,咳嗽胸痛2月,偶有血痰。双肺上叶多发不规则肿块,密度不均匀,内部可见点状、条片状钙化影,右上肺病灶空洞,壁厚薄不均,见壁结节,与支气管关系不清,两侧胸膜增厚,见多发结节,部分结节边缘膨隆明显,结节内亦有多发钙化。上述改变常见于结核、尘肺、钙化性转移等疾病。有膨隆感的结节考虑转移可能性大。
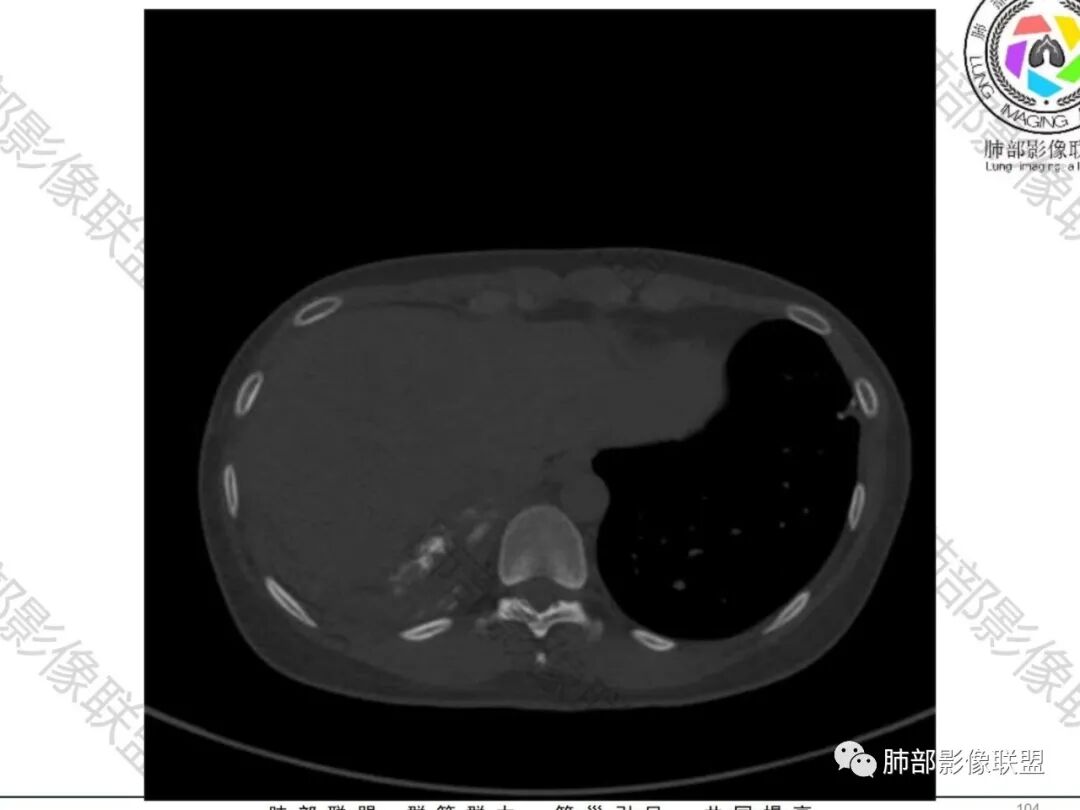
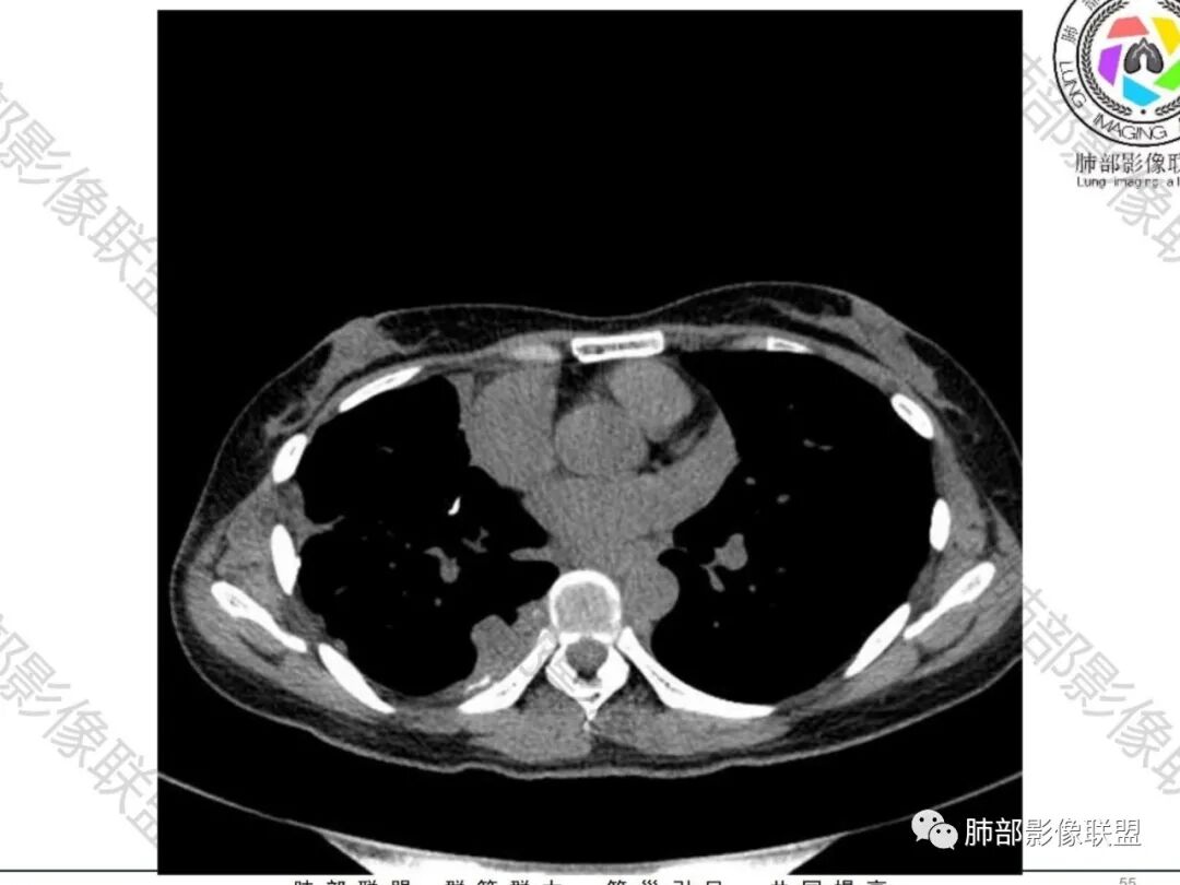
尘缘:青年女性,痰中带血,胸痛2月,无发热盗汗,实验室检查,有贫血,总蛋白降低,血沉情况未知,肿标基本正常。影像表现:双上肺小叶间隔增厚,双侧胸膜广泛不规则增厚,胸膜下多发肿块伴不规则钙化,右侧肋骨破坏。纵隔淋巴结肿大不明显,双肺门淋巴结肿大,部分融合,分析思路:一、感染性病变,1、结核,青年女性,胸膜增厚,多发肿块伴钙化,有咳嗽胸痛,痰中带血,要考虑,但无结核中毒症状,病史仅两月却钙化太明显,肺内没有明显树芽征,存疑,2、其他感染,无炎性指标支持,白细胞不高,可能性小。二、非感染性病变,1、尘肺,胸膜增厚,钙化,胸膜下钙化性肿块,要考虑,但肺内无粉尘结节,无职业史,可能小。2、转移性钙化,无肾脏病史,无血清钙磷代谢异常指标支持,肺内间质无钙沉积改变,基本排除。三、肿瘤性病变,1、肺癌伴转移,双上肺有小叶间隔增厚,双肺门有淋巴结肿大,要考虑,但青年女性,病史两月,钙化太多太广泛,肿标基本正常,可能性小。2、骨肉瘤转移。15-30岁青年人,是骨肉瘤高发年龄,肺内多发成骨样钙化转移灶,双上肺小叶间隔增厚符合癌淋样表现,右侧肋骨破坏,要高度怀疑,需要详细询问病史及手术史。3、软骨来源肿瘤伴肺内转移,右侧肋骨虽有破坏,但无明显软骨样破坏及钙化。可能小。4、其他肿瘤伴转移,青年女性,其他恶性肿瘤能广泛发生钙化性转移的可能性小。综上所述:骨肉瘤伴右侧肋骨及胸膜转移,胸膜下转移,肺内癌淋可能最大,结核不完全除外,下一步需要,仔细询问病史,如果有骨肉瘤史,则基本确诊,如果没有,需要进一步问询呼吸系统症状,病程,以前的影像对照,了解肾脏情况,查血清钙磷指标。

南边老师分析
南边:33岁,女性
咳嗽/胸痛2月,偶有痰中带血
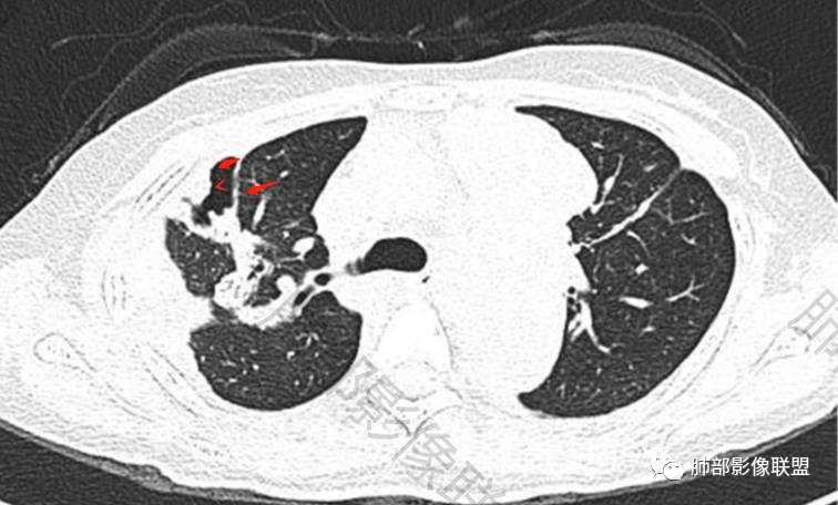
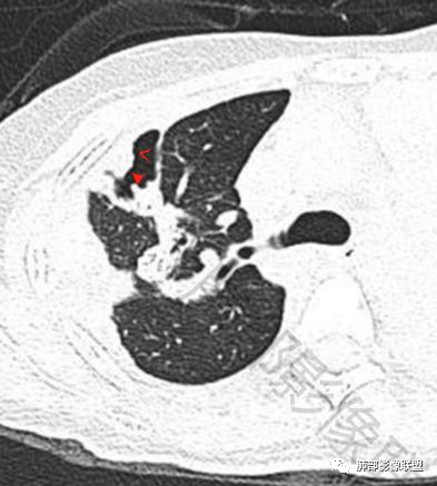
右肺体积缩小,上叶见空洞影


内壁较光滑,但有壁结节
上叶内多个结块,边缘有膨隆,内有钙化灶



钙化灶密度较高,环形/结节状
胸膜及附近肺内见多发结节/斑块

密度类似
边缘膨隆

部分区域有栽赃




胸膜外
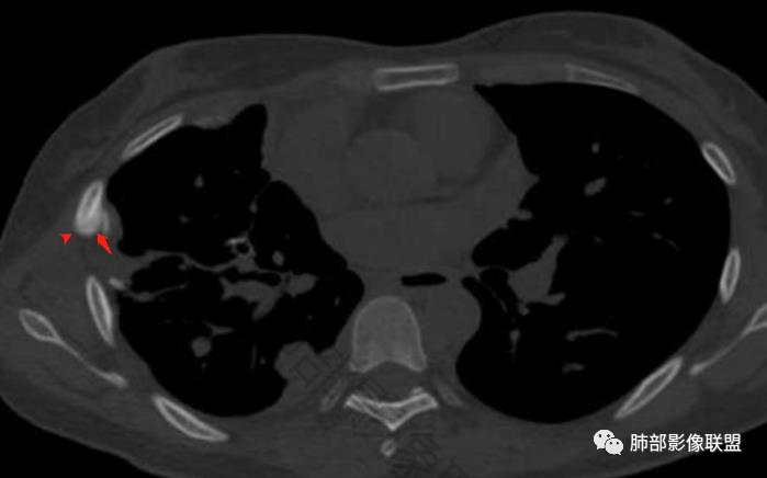
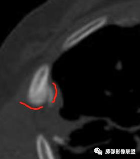
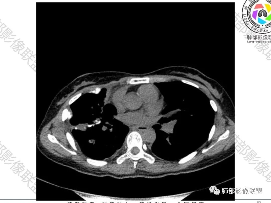
这个骨窗很有价值
价值就在于这个密度

骨质破坏,但是密度增高
你对比一下髓腔

它这个髓腔密度不对,皮质也欠连续,还是以骨头为主

南边:那就是说这个肋骨是自身的病变,有成骨性骨质破坏
从这个角度区看肺部/胸膜的病变,想法就不一样
空洞——恶性特点
胸膜结块,有侵袭性
但是都有多发钙化
肋骨伴随有溶骨性/成骨性骨质破坏,常规还是要警惕恶性
结核?符合吗
不符合
空洞形成,一般伴随的很多都是气道的播散,树芽征
这个病例没有
空洞内壁算光滑,但是外侧的壁结节过于突兀
淀粉样变符合吗?也不符合。如果是淀粉样变,一般这么弥漫的钙化,肺门淋巴结都应该有钙化,而且侵袭性及肋骨表现都不支持淀粉样变性。

答  案  揭  晓


尹发友老师总结
尘缘:这个病例之所以难,是因为隐瞒了病史,当然在临床实际工作中,我们也会经常遇到这种临床医生开的申请单上未写明病史的情况,或者医生没有问明白病史的情况,但我们影像医生,不能忽略转移这个问题。在报告的时候,要留个尾巴。必要的时候,要亲自询问病史,不能草率下结论。
读片应当全面分析,而且要和临床沟通。



编辑:赵永兵
审核:徐  晓
到顶部