【每日晨读】意料之中的肺结节


四月即没,五月在望。四月者,送严寒而迎东君,历清明而过谷雨。金风和熙,万物复苏。百芳发而幽香逸,春鸟还而鸣声碎。


2020.04.20
晨读病例

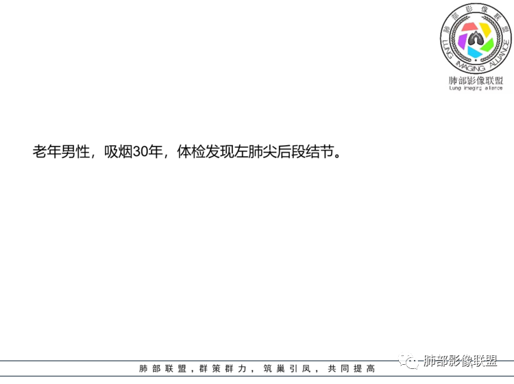
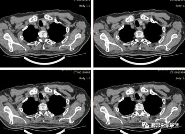
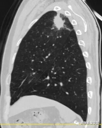
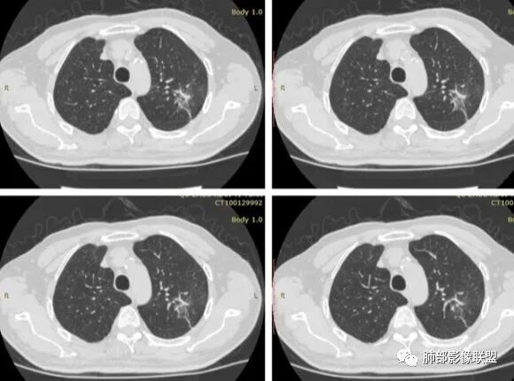
病例资料









































精彩分析
王开金江津中心医院呼吸科 :
老年吸烟患者,左上叶尖段实性病灶,有桃尖,长毛刺,边缘平直,胸膜增厚但肋骨正常,有卫星灶,考虑炎性,结核?鉴别腺癌。
亚东 :
左肺上叶尖后段结节,形态不规则,支气管近端堵塞,细长毛刺有,粗短毛刺也有,胸膜增厚,考虑恶性。
凝睦 :
左肺上叶实性结节,形态不规则,周围不干净有卫星灶,长毛刺,内部有钙化,考虑炎性。
薏米 :
老年男性,体检发现上叶尖后段结节影,边界清,长毛刺,边缘凹陷,有胸膜牵拉,部分宽基底相连,临近胸膜增厚,收缩力总体感觉不强,周边可见卫星结节,考虑肉芽肿性炎症,结核可能,鉴别腺癌
小兜 :
老年男性,左肺上叶尖后段不规则结节,与胸膜相连,胸膜增厚,周边见小结节影及条索影,内部见点状钙化,周边伴细长毛刺,考虑为良性,结核可能
张小兵 :
左肺上叶尖后段胸膜下实性结节,边缘收缩平直,部分向心性凹陷,内见点状钙化,邻近胸膜反应性增厚,倾向炎性病变。
可芸 :
老年吸烟患者,左上叶尖段实性病灶,桃尖,长毛刺,边缘平直,胸膜增厚但肋骨正常,有卫星灶,考虑炎性,结核?鉴别腺癌。
高广飞 :
虽有毛刺,分叶,但部分边缘平直,内收,炎性病灶需首先考虑,不除外肿瘤
水晶石头 :
患者老年男性,体检发现左肺尖后段结节。吸烟史30年。胸部CT:左肺上叶尖后段胸膜下不规则实性结节,边缘欠清楚,边界欠光滑,可见长毛刺、分叶、胸膜粘连、平直征象,内可见支气管扩张、钙化及部分低密度坏死区,周围似见小卫星灶。综合考虑良性病变,结核可能大,鉴别恶性病变可能。
曹志勇 :
左肺尖实性病灶,边缘平直,内见点状钙化,周围见卫星灶,边缘长索条,有支气管截断,首先考虑TB,癌待排
马春平(张家港市一院胸外科) :
条片状、多直边、长软毛刺、较宽广的胸膜反应,考虑陈旧性炎症,结核>机化性肺炎
宇宙 :
左肺上叶胸膜下不规则结节,有平直边,桃尖,长短毛刺,有点状钙化,卫星灶,邻近胸膜增厚,首先考虑炎性,结核可能,腺癌不除外
飞鹰行动 :
左肺上叶尖段结节病灶,有一定膨胀性,有收缩性,桃尖征,平直征,相邻胸膜反应范围广泛,周围长毛刺,考虑炎性病变,结核?
丽 :
左肺上叶尖后段结节,部分边缘平直,可见多发长毛刺,较软,有桃尖征,周围另可见一小结节,邻近胸膜增厚,考虑炎性病变>恶性
玫 :
体检发现,吸烟史30年,左肺上叶软组织密度影,边界清晰,周围见晕状稍高密度影,病灶边缘见细短毛刺,与胸膜相连,相应层面胸膜增厚,病灶内见低密度坏死区及点状钙化影,支气管轻度扩张,考虑炎性病变,鉴别腺癌。
王秀仙 :
左肺上叶尖后段胸膜下结节影,边缘可见斑点状钙化,部分边界模糊,长毛刺,边缘平直收缩,胸膜牵拉,宽基底与胸膜相连、增厚,周边可见卫星结节及条索,考虑肉芽肿性炎症,结核可能,鉴别腺癌
大雄 :
病灶整体较散,边界欠清,边缘收缩平直,长索条,小卫星灶,不像典型的肉芽肿
首次影像报告会先建议抗炎治疗,短期(一到两周)复查,根据复查对比再判断要不要考虑结核与 隐球
Zhuweichao :
左肺上叶软组织密度影,边界清晰,周围磨玻璃影边界不清,见细短毛刺,相应层面胸膜增厚,病灶内见低密度坏死区及点状钙化影,卫星灶,考虑结核性病变,胸膜牵拉不明显,鉴别腺癌。
清欢 :
患者老年男性,体检发现左肺尖后段结节。吸烟史30年。胸部CT:左肺上叶尖后段胸膜下不规则实性结节,可见细毛刺、小分叶、胸膜部分粘连,与胸膜宽基底相贴,结节边缘平直征及尖角征象。综合考虑炎性病变。
云淡风清 :
左肺上叶尖后段实性结节,形态不规则,周围不干净有卫星灶,长毛刺,内部有钙化,考虑炎性,结核?
群锋 :
老年男性,左上肺实性结节,分叶、多发长细毛剌,小点状钙化,支气管显示欠清,胸膜似栽脏,炎性病变,TB?
小景 :
左肺上叶尖后段不规则结节,胸膜增厚,周边见小卫星灶及长条索影,内部见点状钙化,考虑炎性病变,结核可能
张慧 :
老年男性,左肺尖后段病灶,可见多发毛刺,收缩力弱。可见钙化。考虑结核。既往有长期吸烟史,鉴别鳞癌。
蔣勝華 :
老年男性,左肺上叶结节影,长毛刺,有胸膜牵拉,偏软,内部支气管,周边可见卫星结节,结核可能
彭君 :
左肺上叶胸膜下尖后段结节 ,边缘收缩 ,长毛刺及晕征, 内见液化 ,胸膜糊墙增厚 考虑炎性病变可能
果哣. :
老年男性,左肺上叶结节影,边界不清磨玻璃影,长毛刺,收缩为主,宽基底与胸膜相连,考虑炎性病变。
滴水海 :
边缘平直,长毛刺,胸膜增厚,有少许卫星灶,内见小钙化,考虑炎性病变,结核可能。鉴别腺癌
看图说话 :
结节分叶,软毛刺,边缘平直局部膨隆,支气管进入截断,邻近胸膜增厚、牵拉,考虑炎性,结核可能,不除外腺癌。
三个石头 :
病灶边缘平直,收缩,尖角,长短毛刺,轴位似有分叶,冠失状位不全,周围小结节,病灶密度不均匀,内有点状钙化,胸膜可疑栽赃。考虑炎性可能。
采莲 :
老年男性,有长期吸烟史,查体发现。左肺上叶尖后段不规则实性结节,边缘有收缩,有膨隆,有细软毛刺,支气管进入后阻塞,周围有磨玻璃影,边缘不清,似有卫星灶,局部胸膜有凹陷,胸膜增厚,轻中度均匀强化?考虑良性病变,不排除鳞癌可能。
阳光 :
右上肺结节,边缘收缩为主,部分膨隆,周围有卫星灶,长毛刺,支气管近段堵塞,综合倾向炎性,恶性放后面
小锁 :
炎性征象明显比恶性征象多,考虑炎性病变,TB可能,鉴别肺癌。
一米阳光 :
老年男性,左上肺占位性病灶,边缘收缩,平直,见细长毛刺,叶间裂牵拉,局部胸膜粘连增厚,周围见卫星灶。
考虑炎性肉芽肿,结核可能。鉴别腺癌。
杨丽 :
老年男性,吸烟史。分叶结节局部膨隆部分平直,有毛刺,支气管截断,边缘磨玻璃影边界欠清晰,胸膜增厚、似有栽赃,病灶局部坏死密度略低,边缘点状钙化,中等收缩力,综合考虑恶性可能性大,鉴别结核。
空格 :
结核与鳞癌的鉴别。临床体检发现,胸膜受侵,无症状,说明非进展性病变,不然应该有胸痛?病史有疏漏?。影像:良性征像,病灶不规则,横断呈三角形,周围伴条索,伴子灶?毛刺粗大、软,长毛刺,长毛刺间隙无短毛刺。有小点状钙化,有桃尖征。恶性征像,胸膜外侵袭,结核也可有此征像,吃过一次亏。没有点状钙化及桃尖征的挽救,仅胸膜外侵袭一个征像即可定为恶性病灶,两者同存,首先考虑结核,再次验证胸膜外侵袭的价值。
慎独 :
左肺上叶尖后段不规则结节,胸膜增厚,周边见小卫星灶及长条索影,内部见点状钙化,考虑炎性病变,结核可能;建议增强
杨金刚 :
左肺上叶尖后段结节灶,形态不规则,可见长毛刺、分叶、其内可见钙化及低密度坏死区,周围见小卫星灶。综合考虑良性肉芽肿性病变,结核可能大。

南边老师解析
nanbian analysis


南边 :
炎性?恶性?依据?
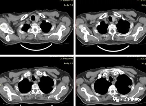
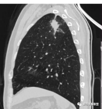
有栽赃吗?


这种属于宽基底与胸膜相连,附近胸膜增厚
栽赃是局部外侵犯

这里没有栽赃
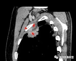
如下图病例红色箭头的是典型栽赃:


南边 :

而该病例栽赃不明显,与增厚的胸膜分界比较清晰
下面这个病例这也是栽赃

南边 :
边缘收缩均匀、U型凹陷、内有小点状钙化、桃尖征
支持炎性放前面、
不放心的是部分区域膨隆




结      核
本例小结
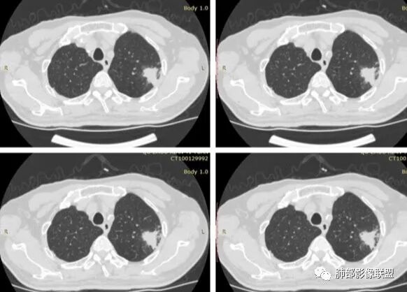
1、患者老年男性,无明显临床症状。
2、病灶位于左肺上叶尖后段,符合肺结核好发部位。
3、病灶密度不均,可见钙化点,未显示空洞或液化。边缘收缩,U型凹陷、桃尖征、细长毛刺以及较长棘状突起。宽基底与胸膜相连,邻近胸膜广泛性增厚(未见栽赃侵入)。可见卫星病灶,周围的磨玻璃影比较松散,炎性病变征象多,符合结核的CT表现。
4、部分区域膨隆,未见支气管截断,肺门纵隔未见肿大淋巴结等,恶性征象少。
5、结合其无临床症状、病灶形态、病灶位置及发病率,结核居多,最后诊断在大家意料之中。
The End
编辑:许建林
审核:蔡笑燕  徐  晓


到顶部