【每日晨读】铺路石上的罪恶








微信群精彩发言
飞鹰行动: 
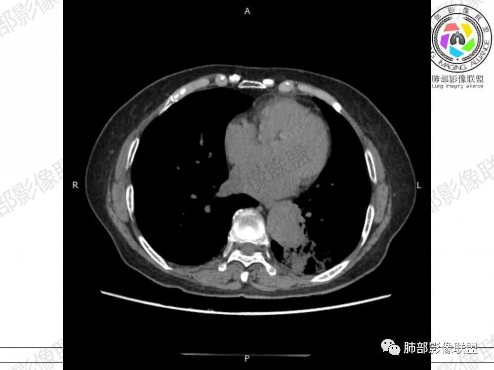
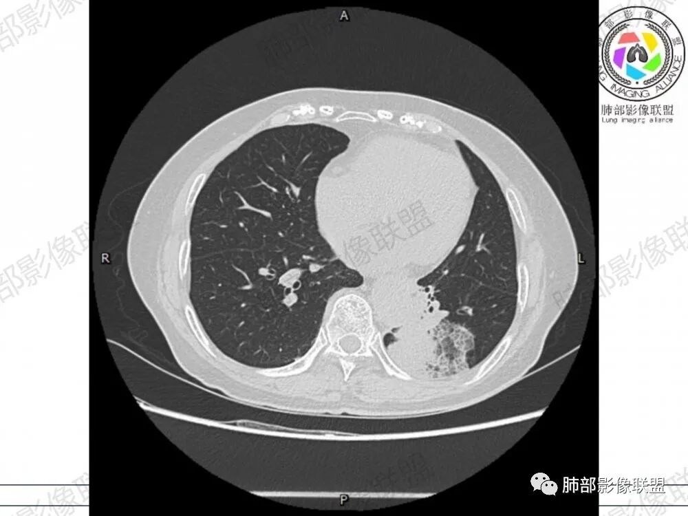
晨读病例,老年人男性 左肺下叶病灶,实性病变加上边界清晰的磨玻璃影,实性病变可见明显的膨胀性生长,增强实性部分可见血管照影征,考虑腺癌,粘液腺癌可能。
大雄: 
晨读
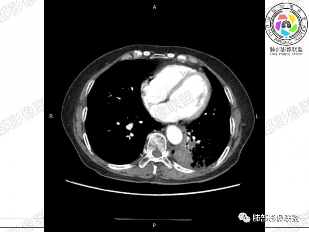
老年男性,亚急性病程,咳嗽咯血一月伴体重减轻,无发热,血象肿标大致正常
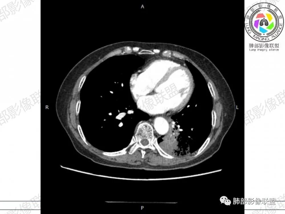
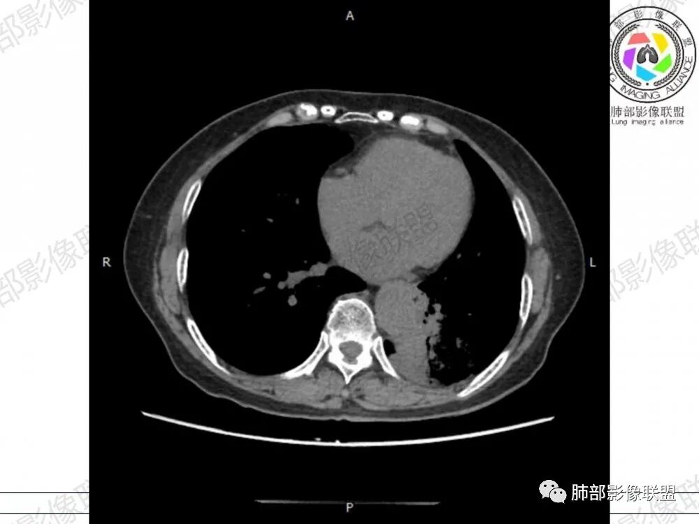
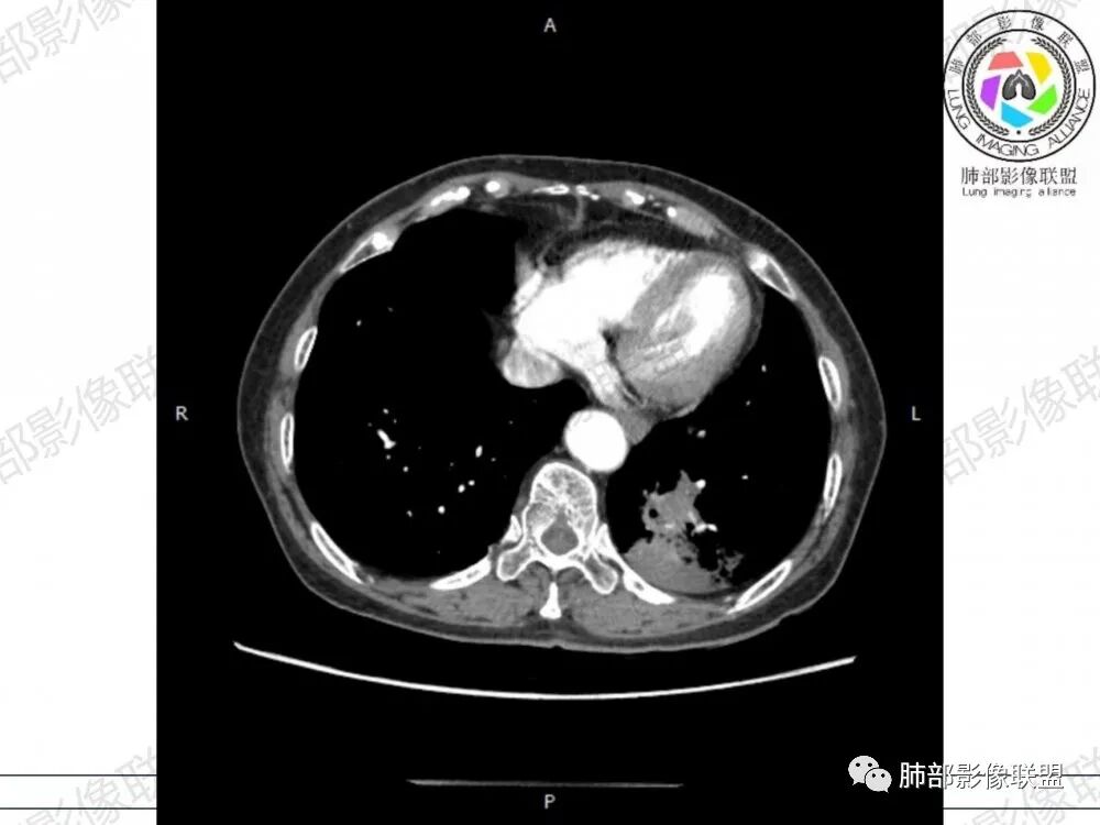
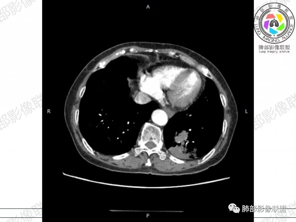
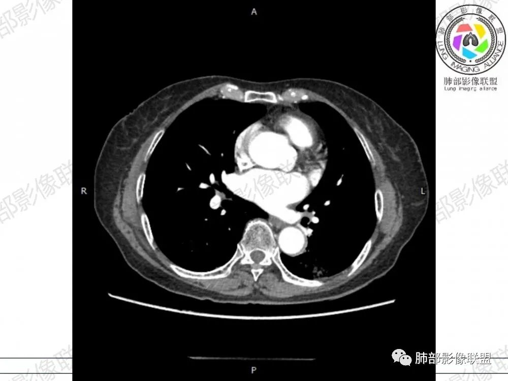
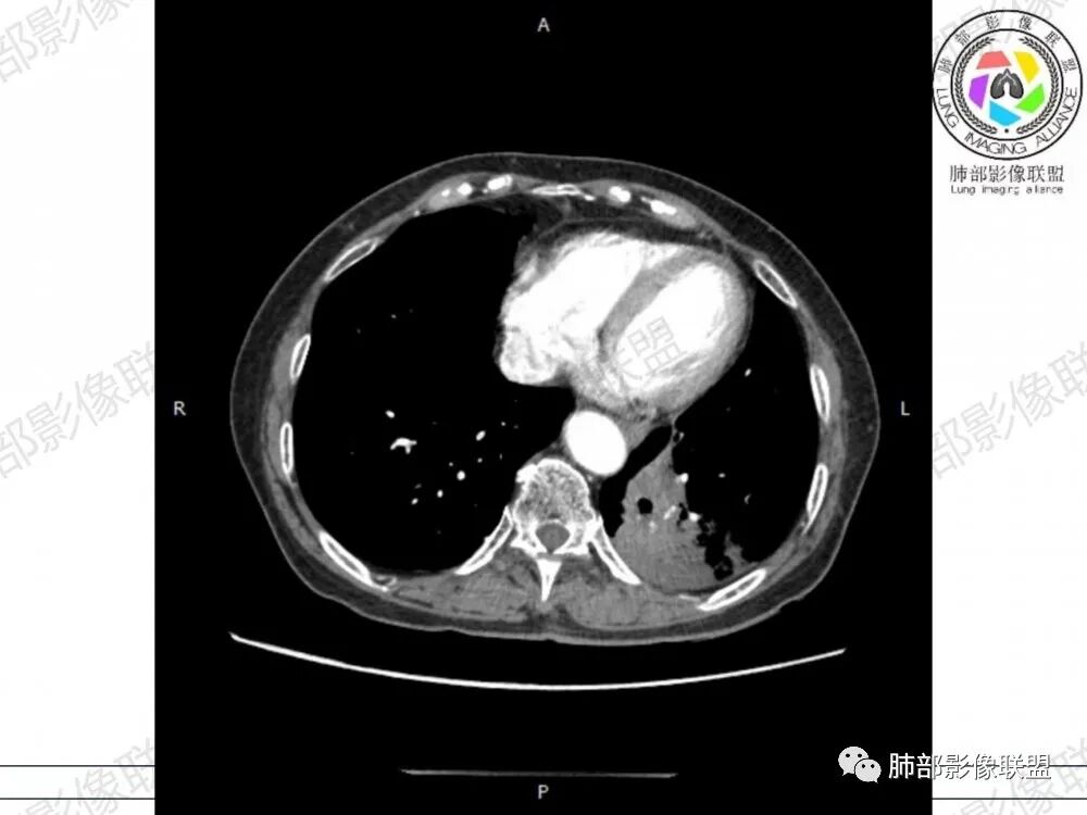
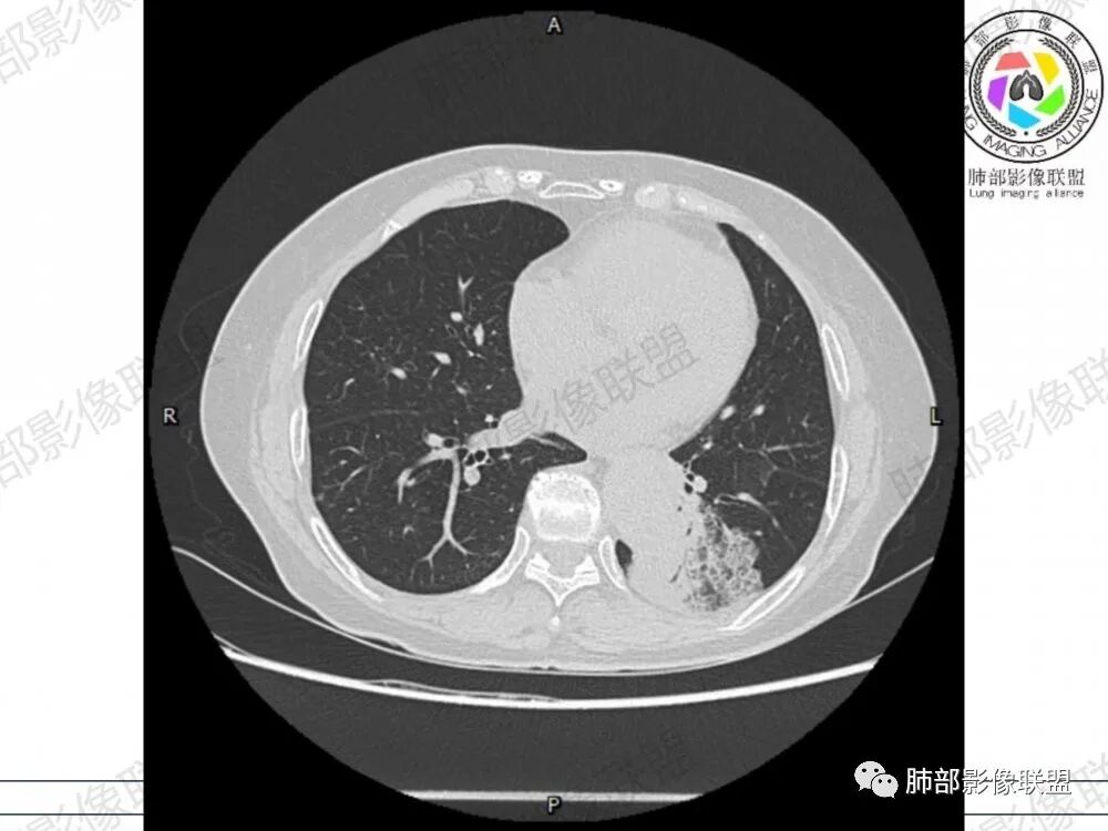
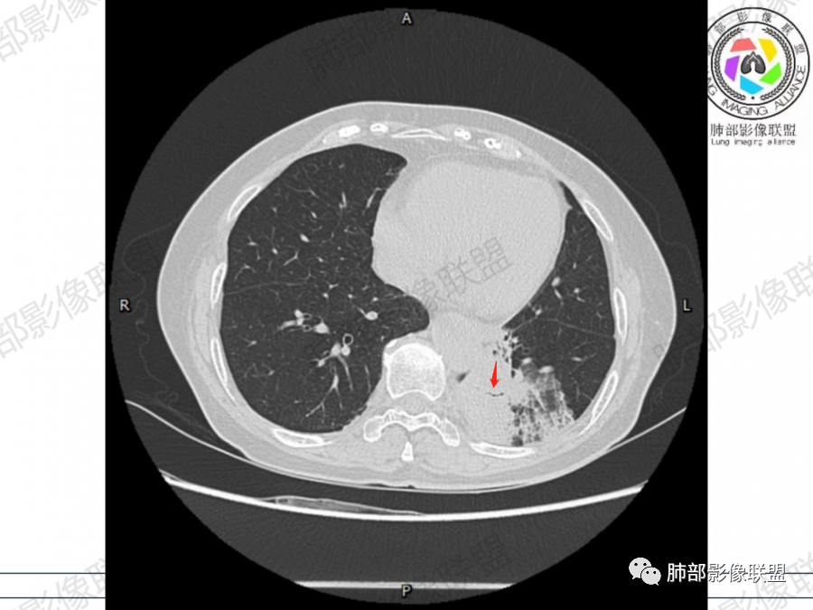
左肺下叶胸膜下混合磨玻璃影,磨玻璃边界清晰,支气管进入后堵塞,增强轻中度强化,无明显坏死空洞。
临床常规诊断性抗炎治疗,短期内复查,如果病灶无变化,基本考虑肺腺癌
Yishion: 
空腔+铺路石征+边界清楚GGO+病灶内血管局部扭曲+强化不均匀+病史长,指向腺癌,特别是粘液腺癌
一切∮随缘: 
晨读:左肺下叶胸膜下实性高密度影,部分伴有网格样增厚,内部可见小空泡,壁光滑,周围伴有磨玻璃影,边界清,近端可见支气管穿行,远端支气管堵塞,胸膜下脂肪间隙可见,病变整体收缩,部分有彭隆,增强后可见血管穿行,强化尚均匀。
临床:慢性咯血,无发热等感染症状,实验室血象不高,考虑:粘液腺癌,鉴别:慢性脓肿,结核,炎性假瘤
宇宙: 
左肺下叶实变及磨玻璃影,宽基底与胸膜相远,磨玻璃边界清晰,边缘膨隆,病变内近端支气管堵塞,不均匀强化,可见血管影,考虑腺癌,鉴别结核
流心明智: 
晨读:老年男性,72岁,咳嗽咯血一月,加重一天。细胞角蛋白19片段增高。
胸CT:左下叶胸膜下大片斑片影,长轴沿胸膜分布,实变、GGO混杂,磨玻璃边界清晰,粘液密度,小叶内间隔增厚,支气管进入后堵塞(枯枝),增强轻中度强化,血管造影征。常规考虑:肺腺癌?淋巴瘤?鉴别不典型病原体感染。
此时影像群老师意见多集中诊断:腺癌。
鉴别诊断有:结核,炎性假瘤,淋巴瘤。

南 大 分 析
南边: 
细胞角蛋白19片段偏高

南边: 
细胞角蛋白19片段是肺内细胞在代谢过程中发生调亡,而使细胞内一种叫做角蛋白的物质降解而成,正常值为小于3.3ng/ ml。(病例中该参数结果数据值单位和此处正常值单位不同)
南边: 
周围GGO,呈碎石路征,边界清楚

南边: 
主体病灶

南边: 
请问这是啥?

小赵: 
假大空吗?
王崇军: 
正常肺组织吧
南边: 
不是正常肺组织
南边: 
内部没结构

南边: 
应该是空洞
南边: 
这是啥?

南边: 
如果是支气管,说明局部有占位效应,将支气管推移
南边: 
实变病灶残留肺组织?
南边: 
腺癌要考虑,结核也不能排除

那么最终结果是什么?
2020-10-09晨读病例结果:腺癌

       病例小结
影像、临床与病理:
  1、老年男性,亚急性病程,咳嗽咯血一月伴体重减轻,加重一天,无发热,细胞角蛋白19片偏高,血象大致正常。
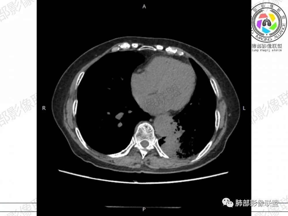
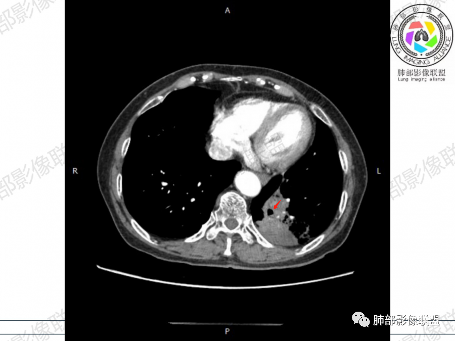
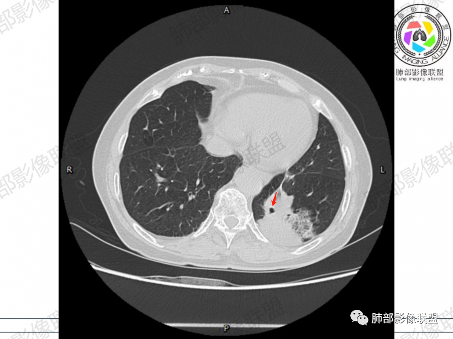
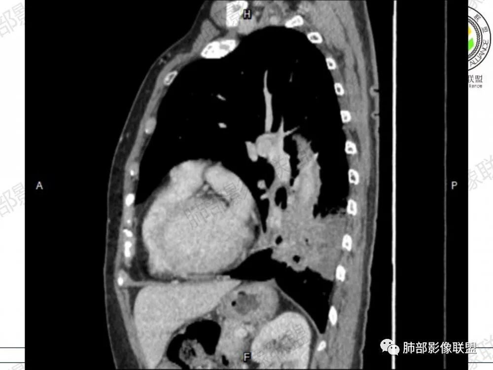
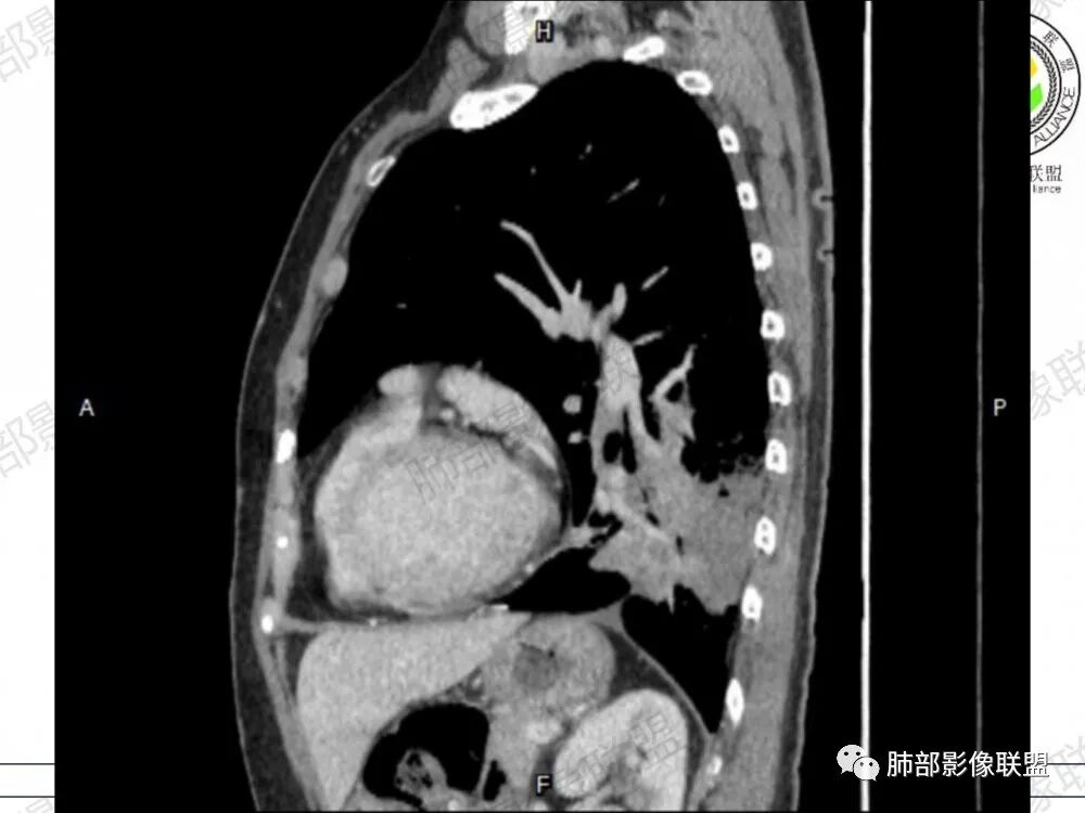
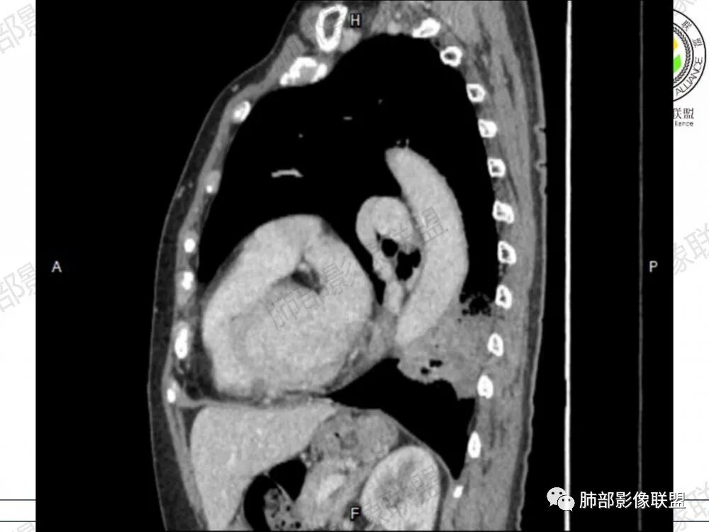
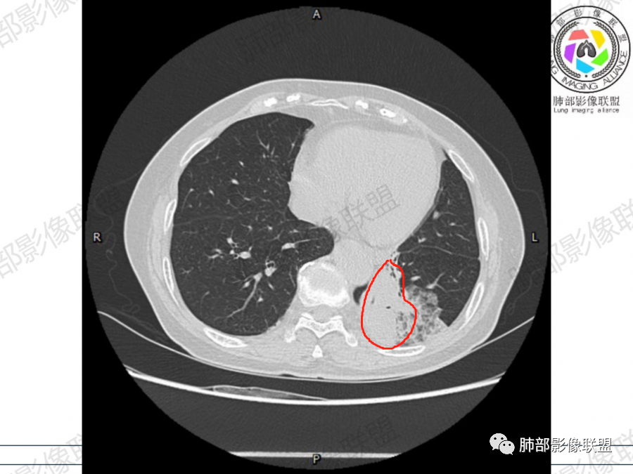
  2、影像表现:无肺气肿背景,病变定位于左肺下叶背内侧基底段,病灶呈不规则团块影,靠近胸膜侧,其内密度不均匀,内见空洞、实变及磨玻璃影,磨玻璃影呈碎石路征,边界清楚,实性肿块边界膨隆,其内见空洞。空洞周围比较实。病灶较大的支气管通畅,细小的支气管成“枯枝征”。无胸膜增厚及胸膜腔积液,增强扫描呈中度强化,见血管造影征。
  3、病理镜下见腺样结构,部分呈乳头状生长。细胞高柱状,细胞核位于基底,形态符合粘液腺癌细胞。
综合分析:
  老年男性、亚急性病程,混合磨玻璃结节、病理镜下见乳头状结构、高柱状细胞。影像表现及病理均符合粘液腺癌。
  1、粘液型腺癌仅占肺原发腺癌的3%左右,粘液多,易气道播散,支气管破坏不明显,不仅是大的支气管,小的支气管大多也没破坏,较大的支气管通畅,细小的支气管充满粘液,从而形成“枯枝征”,本病例病灶内可见枯枝征,是诊断粘液腺癌特点之一。
   2、典型的粘液腺癌,收缩力很弱,肺泡壁断裂常有,张力存在,早期较少出现张力表现,破坏力偏弱,支气管与肺血管大多保留,所以增强病灶内见强化血管影(血池),也是粘液腺癌另一个特点。
  3、 由于粘液重力作用,粘液腺癌易发生于下肺胸膜下,由于小叶间隔阻挡,胸膜侵犯少,通常是胸膜与周围肺组织的模糊增厚,粘液腺癌的胸膜侧较宽,但胸水少见也是诊断特点之一。
鉴别诊断:
  1、干酪性肺炎:临床低热、盗汗及消瘦等结核中毒症状明显,PPD强阳性或阳性,痰检阳性。干酪性肺炎实变影按肺段、肺叶分布,轮廓清晰,在大片阴影内常见低密度液化密度区,液化坏死排出后形成虫蚀样空洞,有时可在同侧或对侧肺内见经支气管播散的结核病灶,呈斑片状边缘模糊阴影,容易鉴别。
  2、肺淋巴瘤:CT表现:两肺多发实变,多伴有空气支气管征,空泡征、磨玻璃密度、肺叶局部实变、小叶间隔增厚、气管壁增厚、增强见血管造影征,与本病有重叠,由于粘液腺癌有重力作用、粘液腺癌易发生于下肺胸膜下有助于鉴别。
                                                                                  
编辑:张丽红、赵永兵
审核:李洁
致谢:武警四川总队医院  郑昊宇老师提供病例



到顶部