【每日晨读】纵隔经典“节细胞神经瘤”































精彩发言
King:
考虑后纵隔节神经细胞瘤,脊柱旁,长轴,偏软,轻度强化,脂肪变。
傅昌瑜:
定位右后纵隔,肋间动脉供血排除胸膜来源病变;呈上下纵形排除神经鞘瘤;实性成分轻度强化不支持副节瘤;有脂肪成分但无骨化成分,畸胎瘤可能性小;右侧椎间孔可见病灶;综上考虑神经源性肿瘤可能性大——节细胞瘤,注意鉴别脂肪源性肿瘤。
傅昌瑜:
看了公众号病例及群里各位老师分享的病例,我自己理解:神经鞘瘤横行霸道、节细胞瘤上下纵形。
必有路:
节瘤,软,上下径>横径 ,有孔就钻,黏液基质多,可以比较延迟强化
梵椋袅袅??:
右后纵隔占位,含脂肪软组织肿块,边界清,具有假包膜,增强扫描软组织部分呈轻度强化,常规神经源性肿瘤,好发于后纵隔、脊柱旁,读片的话考虑1.髓样脂肪瘤,一般肾上腺多见,后纵隔罕见2.韧带样纤维瘤,之前早读过两次,患者女性,有剖宫产病史,一般腹盆腔多见。本病需与含脂肪的病变鉴别,如畸胎瘤、脂肪瘤、脂肪肉瘤,畸胎瘤好发于前纵隔,除脂肪成分外,还可见钙化、骨骼等呈混杂密度灶。脂肪瘤亦好发于前纵隔,为成熟脂肪组织,可见包膜,病变较软,易向薄弱区生长,故其形态多样。脂肪肉瘤好发于后纵隔,脂肪组织中含有软组织成分,但病变呈侵袭性、浸润性生长,与本病不符。
王秀仙:
后纵隔脊柱旁肿块,边缘清晰,宽基底,胸膜尾征,轻度强化,密度不均,内部有脂肪成分,长轴与脊柱平行,考虑神经源性肿瘤,鉴别SFT.
毛勤香:
定位后纵隔,胸膜掀起,含脂,边界清晰,轻度渐进性强化,长轴与脊柱纵轴平行,肋间动脉供血,未见明确椎体畸形,青年女性,总体倾向良性,有点纠结,感觉含粘液比较多,后纵隔常见神经源性肿瘤,节瘤和鞘瘤可以含脂,但一般横向生长,神经纤维瘤符合生长方式,强化感觉又低一点,食管囊肿一般伴有椎体畸形,支气管囊肿含脂没听说,畸胎瘤后纵隔少见,没有钙化,髓脂肪瘤肾上腺多见,后纵隔没见过,副节瘤一般明显强化,会是冬眠瘤吗?猜节瘤>神经纤维瘤>冬眠瘤>畸胎瘤。
一切∮随缘:
定位后纵隔,定性:良性,宽基底与脊柱向贴,冠状位局部与椎体脂肪间隙消失,病变推移肺组织,整体比较软,边缘光滑,形态规则,平扫密度不均匀,可见条状低密度脂肪,增强后可见轻度强化,年轻女性无症状,体检发现,考虑1:脂肪母细胞瘤2:粘液样脂肪瘤3:神经源性肿瘤(节细胞瘤)4:髓质脂肪瘤
琦遇:
定位胸膜或者后纵隔,似有胸膜尾征,轻度强化,内部有脂肪成分,长轴与脊柱平行,考虑神经源性肿瘤,节细胞瘤可能,鞘瘤排除;SFT恶变不知道是否可以有脂肪成分,列为鉴别;叶间来源脂肪瘤、脂肪肉瘤需要鉴别;最后鉴别畸胎瘤!
张小兵:
定位:胸膜掀起,EPS消失,肋间A供血,指向后纵隔。
定性:上下径>横径,低强化 ,脂肪变,考虑节细胞神经瘤。
哦落花时节:
年轻女性,无临床症状,后纵隔肿块,内有脂肪密度,长轴平行脊柱,周围骨质无破坏,考虑良性,神经源性肿瘤,节细胞神经瘤可能,里面的脂肪密度形态有些像肾窦,虽然没看到明确的输尿管,鉴别异位肾。
红星:
青年病人,右脊柱旁见长形的软组织肿块,部分与侧胸壁相连,大部分是紧贴的胸椎 ,前方紧贴支气管后壁,肿块成分大部分为软组织密度,内少许脂肪成分,增强扫描轻度的强化,内见血管穿行。肿块主要是纵行生长为主,还是首先考虑神经源性肿瘤的可能性大。后纵隔的畸胎瘤还是确实比较少见。支气管囊肿也可以考虑,依据是肿块紧贴的支气管的后壁。神经节细胞瘤强化值偏低一点。另外还要鉴别孤立性的纤维瘤。总的印象,我第1个还是要考虑神经源性的肿瘤。
吴婧wj:
突破外脂肪层,良性,应该是起源胸膜外的纵隔,再加上供血体循环,支持纵隔来源。基于定位,考虑神经源形肿瘤,髓外造血,cd和畸胎瘤。还有淋巴管瘤,就是脉管瘤,位置不典型,但是也许不典型表现,cd强化不够,髓外造血强化也高的。猜一下,1.常见肿瘤不典型表现必须考虑,即神经源形肿瘤2.抓住脂肪考虑:畸胎瘤,脉管瘤。
妞妞:
年轻女性,后纵隔占位,上下径大于其他径线,延时强化,含脂,血管走形自然,考虑神经节细胞瘤(有文献说后纵隔内出现脂肪密度是诊断神经节细胞瘤的一种较特异性表现)?鉴别SFT?髓外造血(强化不够,病史无提及贫血)?CD(强化不够)?畸胎瘤(实在是太少)?
郑氏刀刀:
交感神经走行区,形态软,无包膜或包膜不完整,包绕血管及脂肪组织,支持节细胞瘤脂肪应该还是包裹进去的,不排除化生,我见过含更大比例的脂肪的节瘤,像脉管瘤一样生长,包裹周围脂肪组织。生长较缓慢,边刺激周围脂肪组织增生,边包裹。

                           

南边老师分析
南边:

胸膜尾

有脂肪密度


与椎间孔关系不密切

血管走行自然,漂浮



南边:
肺内:肺外供血——隔离征
胸膜:SFT
后纵隔:神经源性/淋巴源性/肌源性/血管源性/异位
还有就是髓外造血
如果加上脂肪:脂肪肉瘤/畸胎瘤
轻度强化
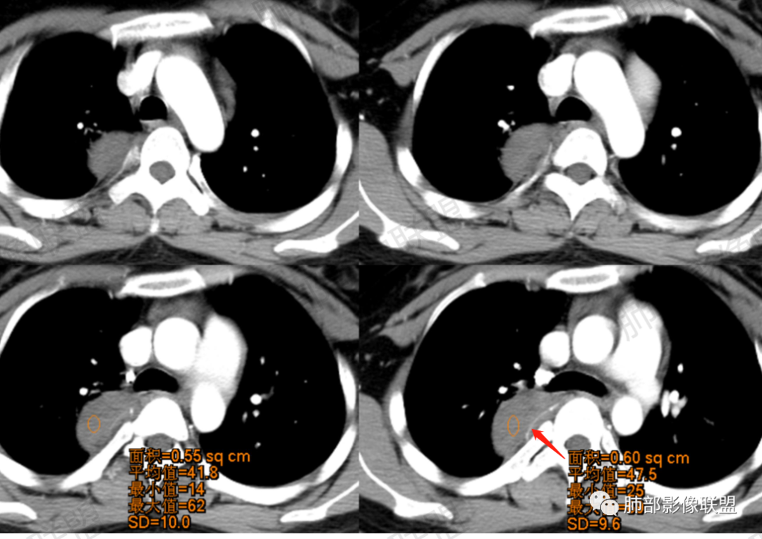
CT值平扫33HU,增强:45HU左右
定在轻度强化
边缘还是比较清晰
脂肪/血管走行自然,有那些可能?
神经节细胞瘤
这是外面的脂肪

这是内部的

如果没有脂肪,我会考虑SFT/神经节细胞瘤去鉴别,髓外造血肯定可以
如果从血管/内部脂肪去分析,比较符合的髓外造血
淋巴瘤,血管符合,里面的脂肪不太支持
神经源性——脂肪太多了,内含少许脂质成分可以
定位:后纵隔
考虑良性,或低度恶性
倾向于:髓外造血?其次:神经节细胞瘤/淋巴瘤/CD/异位肾
鉴别:SFT
SFT放鉴别是因为血管来源于肺外

南边:
血管漂浮一般是淋巴瘤的特点
SFT也可以
髓外造血也可以
其实重叠一下,淋巴瘤?脂肪不太符合
SFT,定位/血供有冲突
神经源性?强化符合神经节细胞瘤,血管/脂肪也是有冲突
髓外造血——强化也不是很支持,病史也没提相关的点
这个病例的主要征象:
1、肺外
2、胸膜尾
3、边界比较清楚
4、含脂肪密度灶
5、体循环血管走行自然
6、强化轻微
南边:
我个人观点:
1、查查是否贫血——排除髓外造血
2、穿刺,因为其他途径好像办法不多

                           

病理结果

 

 
                    病例小结
影像与临床:
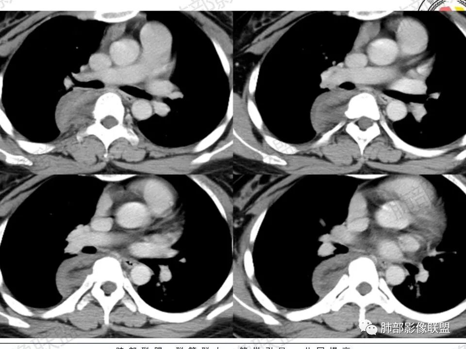
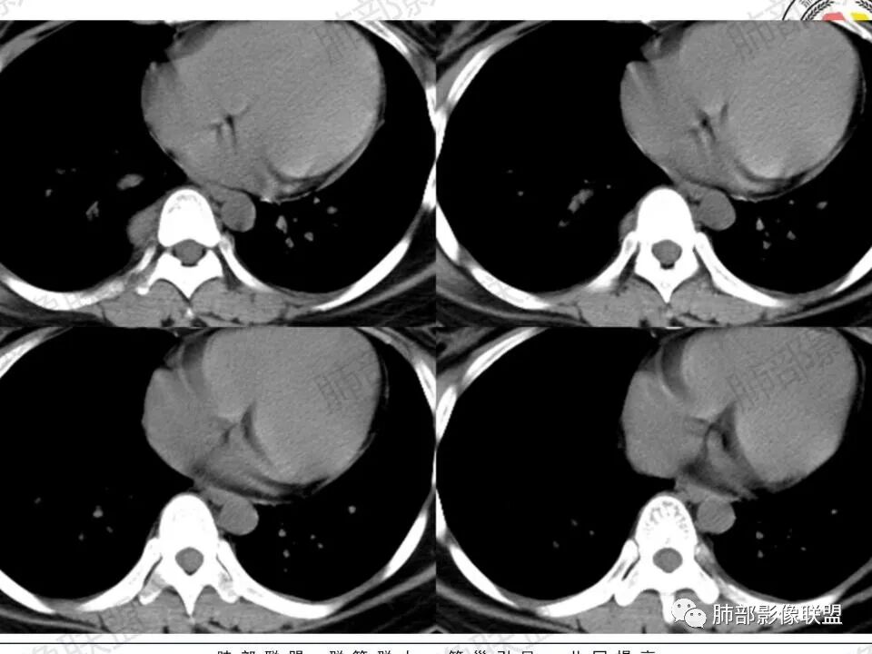
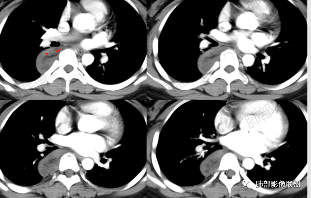
1.青年女性,例行检查发现后纵隔块影,缺乏相关临床症状。
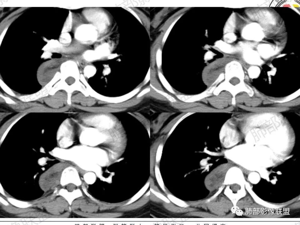
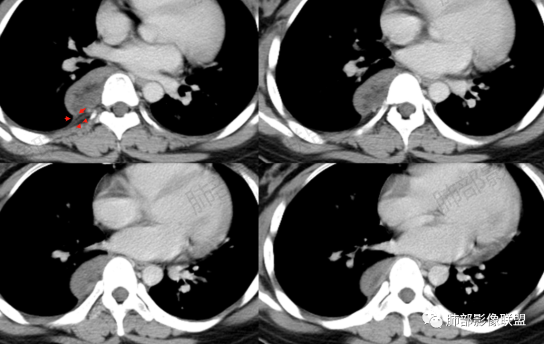
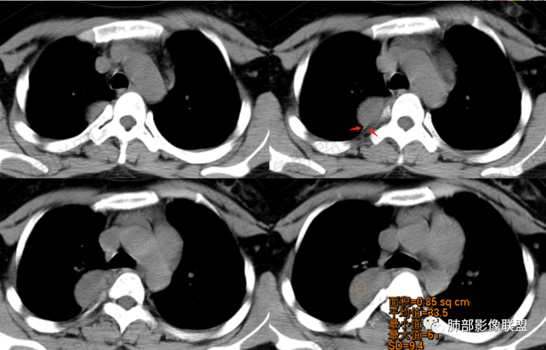
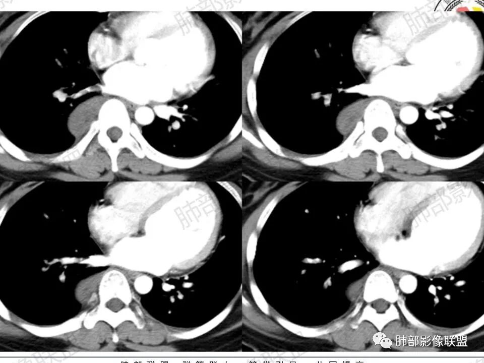
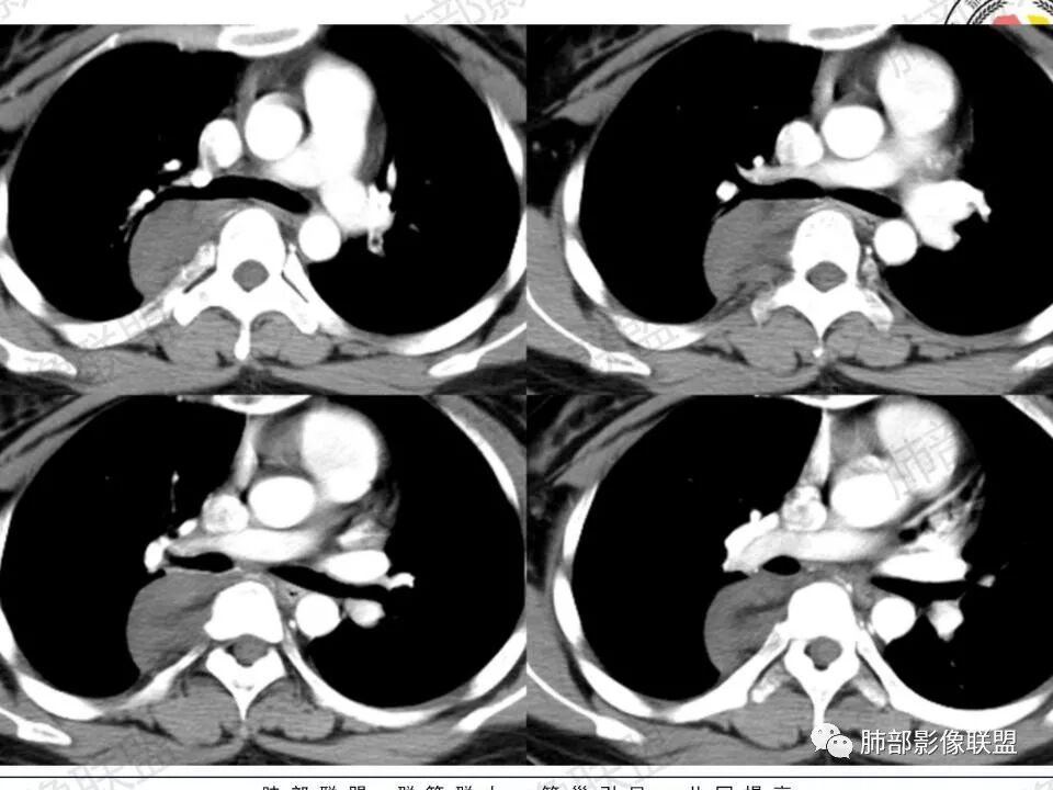
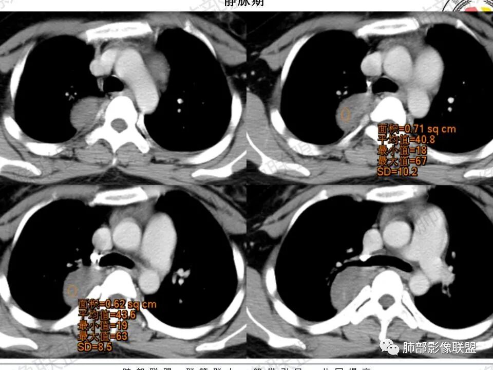
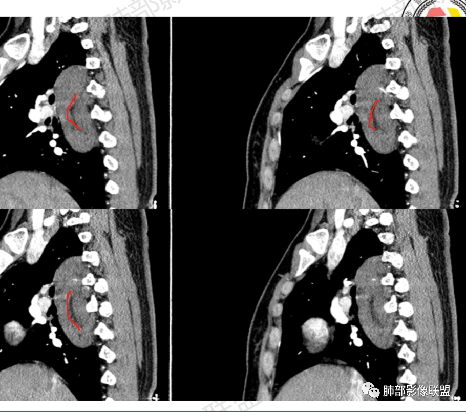
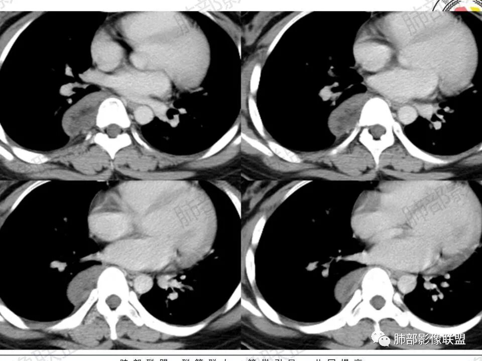
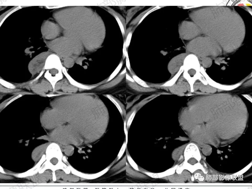
2.右后纵隔脊柱旁上下方向贴伏块影,“肾”形外观,边界清晰,密度不均,中央区域见脂肪密度影引向椎体前方,未见液性密度管腔影及钙化。
3.块影血供动脉来自肋间动脉,且由内后方侧入,其与下腔静脉之间未见回流通道。血管未见破坏,相邻组织未见侵入。
4.块影未延伸至椎管内,未见椎间孔扩大或骨质吸收破坏。
5.轻度渐进性强化。
综合分析:
纵隔块影的判断,尤以发生部位为第一要务!后纵隔脊柱旁肿块,神经源性肿瘤发病率远远高于其他。
1.肿块未横向经椎间孔延入椎管,或形成所谓“哑铃状”外观等,没有显示出沿脊神经根生长特征。长轴顺脊柱贴行恰好与交感神经路径相一致。
临床也缺乏及神经根压迫相关表现,因此来自脊神经根的神经鞘瘤几乎可以排除。
2.肿块含脂肪等成分,与交感神经路径相一致,渐进性轻度强化(可能含有粘液成分)等,以节细胞神经瘤最可能!尽管未显示“习惯性”的钙化。
3.髓外造血常延迟强化较为显著,发生于长期较为重度贫血患者,可双侧多发。
4.块影“肾”形外观,但未见肾盂输尿管结构,亦未显示异常走行的肾动静脉,未提示腹膜后肾床内肾影缺如。异位肾可能性较小。

文献复习---节细胞神经瘤
     
 
   神经节细胞瘤,又称为节细胞神经瘤,是一种少见的起源于交感神经节原始神经嵴细胞的良性神经源性肿瘤。后纵隔节细胞瘤是一种少见的良性神经源性肿瘤,通常发生于20岁以下,女性较男性多见,发部位后纵隔/腹膜后/肾上腺/颈部,还可见精索/心脏/骨骼和肠道等少见部位。
    根据肿瘤分化程度,节细胞来源肿瘤可分为神经母细胞瘤、节细胞神经母细胞瘤和节细胞神经瘤。
一、 病理表现
肿瘤具有完整包膜。肿瘤呈圆形、类圆形及分叶状。大体切面呈灰白、灰红色,质地中等。光镜下见肿瘤组织呈编织状或束甘状、栏栅状排列,瘤细胞呈长梭形,部分细胞核卵圆形, E 染色质细腻,可见核仁,无病理性核分裂像,部分或大部分区域为疏松网状黏液区,瘤组织中可见散在胞浆丰富,核仁明显,细胞大小不等的神经节样细胞,间质散在小血管增生及灶状淋巴细胞浸润。
二、 影像表现
(1)大小、生长方式:
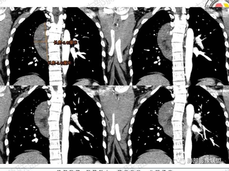
瘤体体积常较大,大部分有完整包膜,边界清楚,可沿周围组织间隙嵌入性生长,由于肿瘤质地较软,使得肿瘤可呈多种形态,其易沿着周围组织间隙生长、包饶,但不挤压周围器官或组织,邻近血管被包绕或穿行,呈嵌入式或铸型生长方式,这是后纵隔神经节细胞瘤的特征性表现;
还有另外一种形态学特征,瘤体的上下径线常大于其他径线,这可能是神经节细胞瘤起源于交感神经节,而交感神经节纵向分布于近脊柱中线两旁及前方,导致了后纵隔神经节细胞瘤纵向生长的范围大于向其他方向生长的范围,其上下可跨越多个椎体。但后纵隔神经节细胞瘤体积较小时,则常呈圆形、椭圆形、哑铃形等形态,紧贴后纵隔或后胸壁。
(2)密度信号: 
CT上大部分的后纵隔神经节细胞瘤呈较均匀性低密度或稍低密度影,低于肌肉密度,这主要是由于瘤体的密度根据其内含有不同比例的黏液基质与节细胞纤维成份而不同,cT值一般约20~40 HU 但其多数密度均匀,部分甚至可接近囊性低密度,这与组织学上神经节细胞胞浆丰富,瘤内含有大量黏液基质相关。MRI 上后纵隔神经节细胞瘤多呈 T1wl 低信号T2wl稍高/高信号,其中夹杂的低信号多为胶原纤维或施万细胞成分,这些低信号可纵横交错分布呈曲线或线状,这可认为是神经节细胞瘤的特征性MR表现,本组3例可见该征象。有学者报道,部分神经节细胞瘤可出现脂肪密度信号影,后纵隔肿瘤内出现脂肪密度/信号是诊断神经节细胞瘤的一种较特异性表现。神经节细胞瘤的钙化率20%~42%,钙化多呈斑点状,很少出现不规则或不均质的形态,散在点状或沙粒状是神经节细胞瘤的特征,而粗大条状或不定形则倾向恶性。
(3)增強:
后纵隔神经节细胞瘤常动脉期无明显強化、或轻度间隔、包膜或瘤体强化,延迟期可进一步斑片、结节状轻度或中度强化,强化程度进行增加,呈渐进性延迟强化,但強化程度一般为轻度到中度强化,究其原因可能是神经节细胞瘤瘤体内含有大量黏液基质和胶原纤维,使得细胞外间隙扩大,阻碍了对比剂的灌注,从而延缓了对比剂的积累,因此其动脉期多无明显强化或仅有轻度强化,延迟期呈渐进性轻度强化是后纵隔神经节细胞瘤强化特征。大部分病灶有轻度-中度强化,部分病灶无强化,这还可能与瘤组织内部间质血管含量多少相关,无强化病例瘤组织内部主要由胶质纤维和节细胞组成,间质血管较少,因此强化较低,而强化程度较高的病理可见较多的扩张、充血的毛细血管,引起较多的对比剂积蓄,因此强化相对明显。因此,神经节细胞瘤极少出现瘤组织早期强化,而多呈延长渐进性强化,增强扫描神经节细胞瘤内细胞成分可增强,黏液基质不强化。
三、 鉴别诊断
1.后纵隔神经节神经母细胞瘤:是恶性胂瘤,伴有恶性胂瘤征象,其肿块易出血、坏死、囊变和钙化,钙化一般呈粗大条形或不定形;增强扫描时示肿块均匀或不均匀强化;可侵犯邻近结构,如骨破坏等。
2.后纵隔神经母细胞瘤:比后纵隔神经节神经母细胞瘤恶性程度更高,临床症状重,进展快,常有贫血和多汗等,尿3-甲氧4羟苦杏仁酸68%阳性;肿块呈分叶状,边缘模糊,更易出血、坏死和钙化;增强扫描时示肿块不均匀强化;易侵犯邻近结构,骨破坏和胸膜增厚、胸水等,骨和蛛网膜软脑膜转移较多见 。
2.后纵隔神经鞘瘤和神经纤维瘤:常呈圆形或椭圆形,对邻近结构呈压迫性改变,常经椎间孔侵入椎管内外生长呈“哑铃形”,钙化罕见,前者易有囊变,后者常为神经纤维瘤病的组成部分,平扫时肿块呈均匀稍低密度,增强扫描轻中度强化,囊变部分不强化。若合并纵隔淋巴结肿大则更倾向于淋巴瘤的诊断。

  (神经源性肿瘤的解剖位置很重要,因为它是沿着神经干方向走形,所以病灶的长轴是跟沿神经干方向的;后纵隔内神经鞘瘤最常见的是脊神经刚出椎间孔位置,并沿着肋间神经分布(水平分布),所以后纵隔神经鞘瘤明显横径大,上下径小;神经节细胞瘤沿着椎旁上下方向分布(上图黄色梭形形状为神经节),所以表现为上下径长。)
  总结:后纵隔神经节细胞瘤的影像学表现有一定特征性:其好发于儿童或青少年,女性多见,肿瘤常位于后上纵隔,瘤体较大,上下径大于其他径线,常呈嵌入式生长方式,包饶或推挤邻近器官、血管,边界清楚。CT 平扫肿瘤多数呈均匀低密度,低于肌肉密度,瘤内钙化大多为散在斑点状钙化,偶尔出现脂肪密度是特征性表现。MR平扫呈长T1长T2信号, 有时可见瘤内低信号(胶原纤维)。增强扫描早期无明显强化或轻度强化,延迟渐进陛轻度强化是其特征。
参考文献
 [1]王兰菁,许乙凯.后纵隔神经节细胞瘤影像表现与病理对照[J].分子影像学杂志,2017,40(01):9-11.
[2]古杰洪,杨蕊梦,丁汉军,郭永梅,黄云海.后纵隔节细胞神经瘤的CT表现[J].放射学实践,2011,26(11):1170-1172.
  

END

  编辑:邢瑞欣
  审核:蔡笑燕  徐  晓
  病例提供:九江市第一人民医院影像科 於雄
小后

到顶部