【每日晨读】手指红肿痛、双肺多发结节、空洞



    

 












































































































 

                             


微信群讨论

王秀仙:
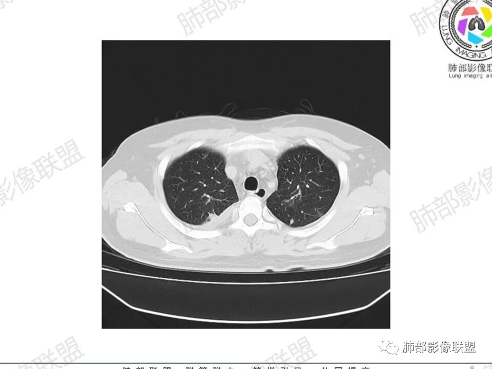
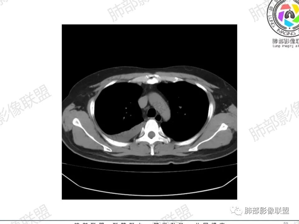
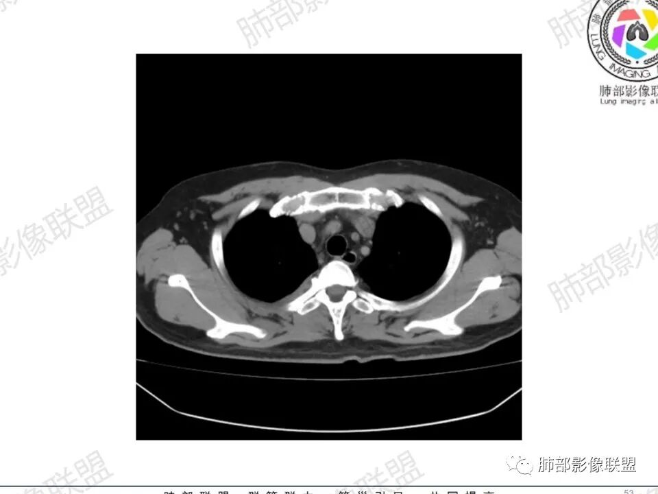
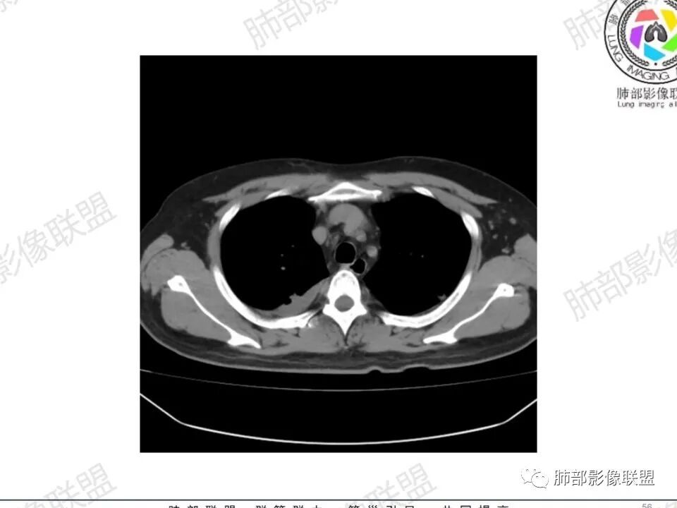
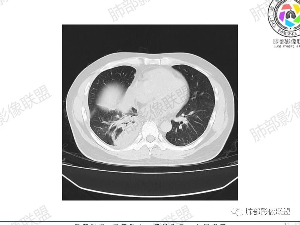
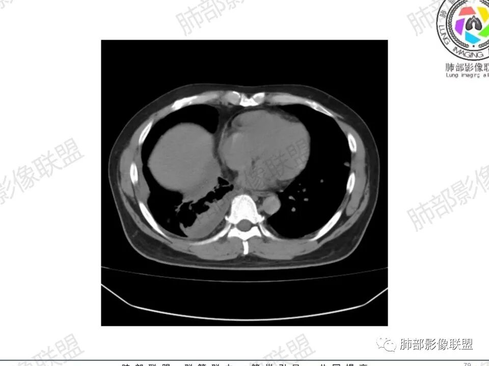
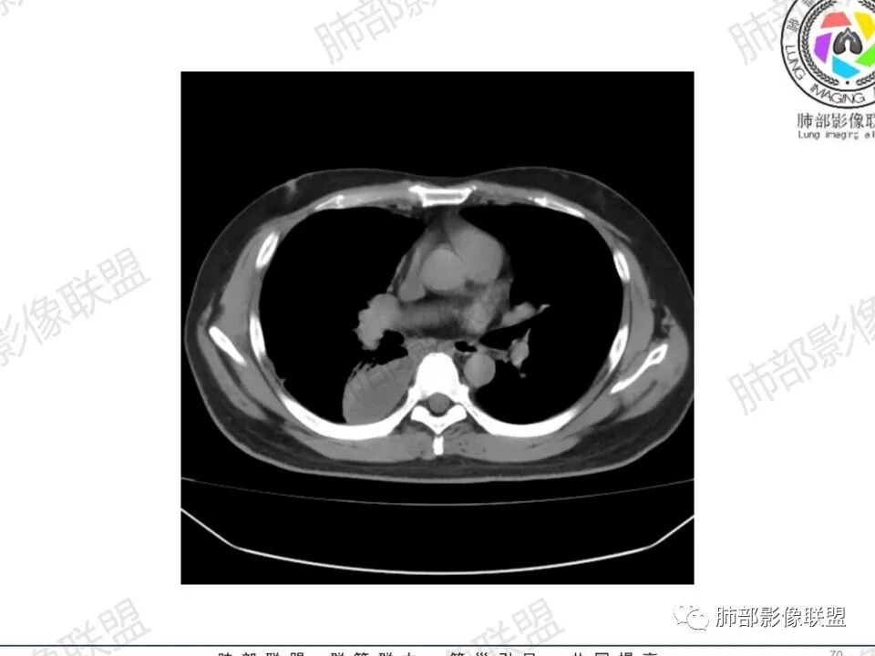
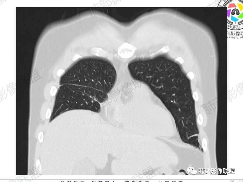
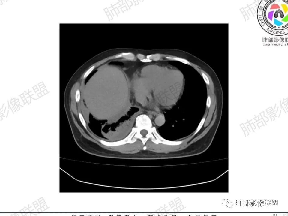
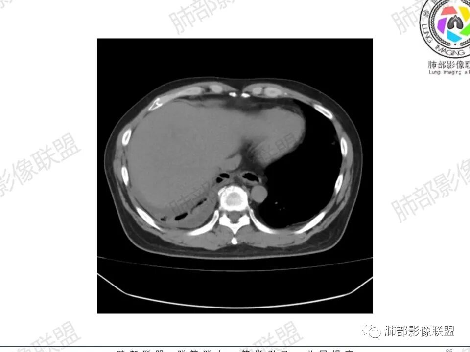
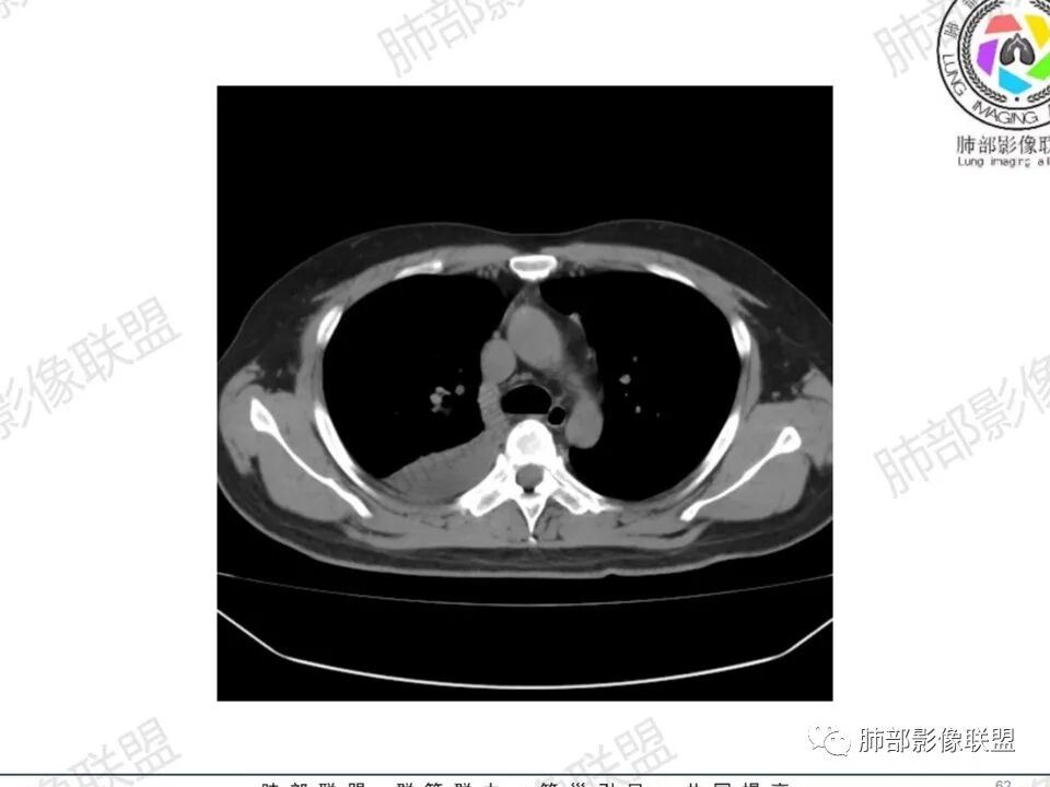
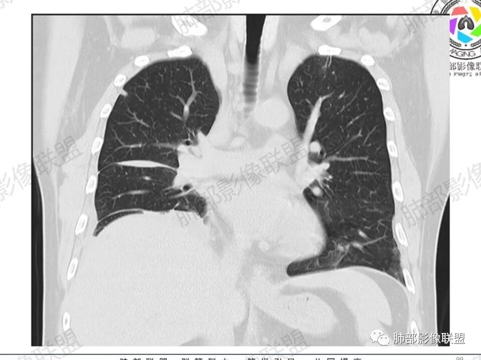
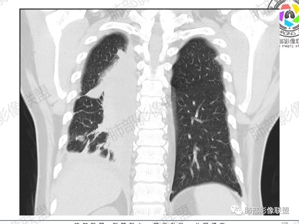
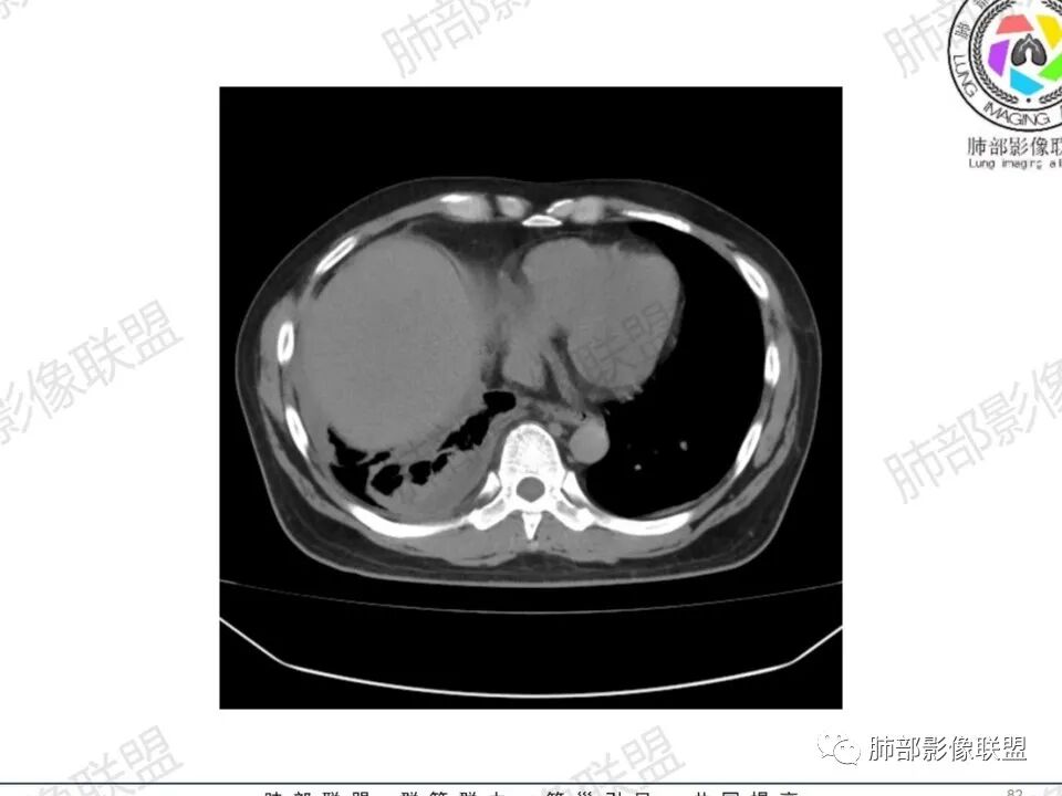
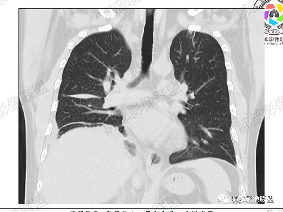
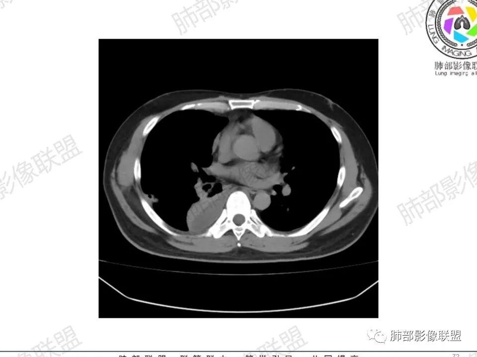
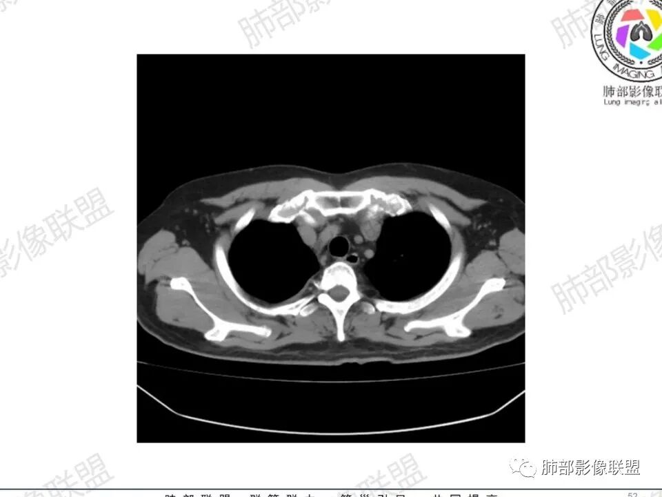
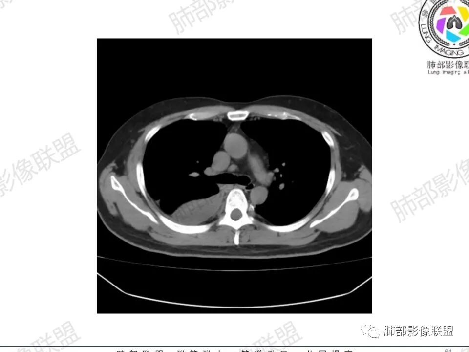
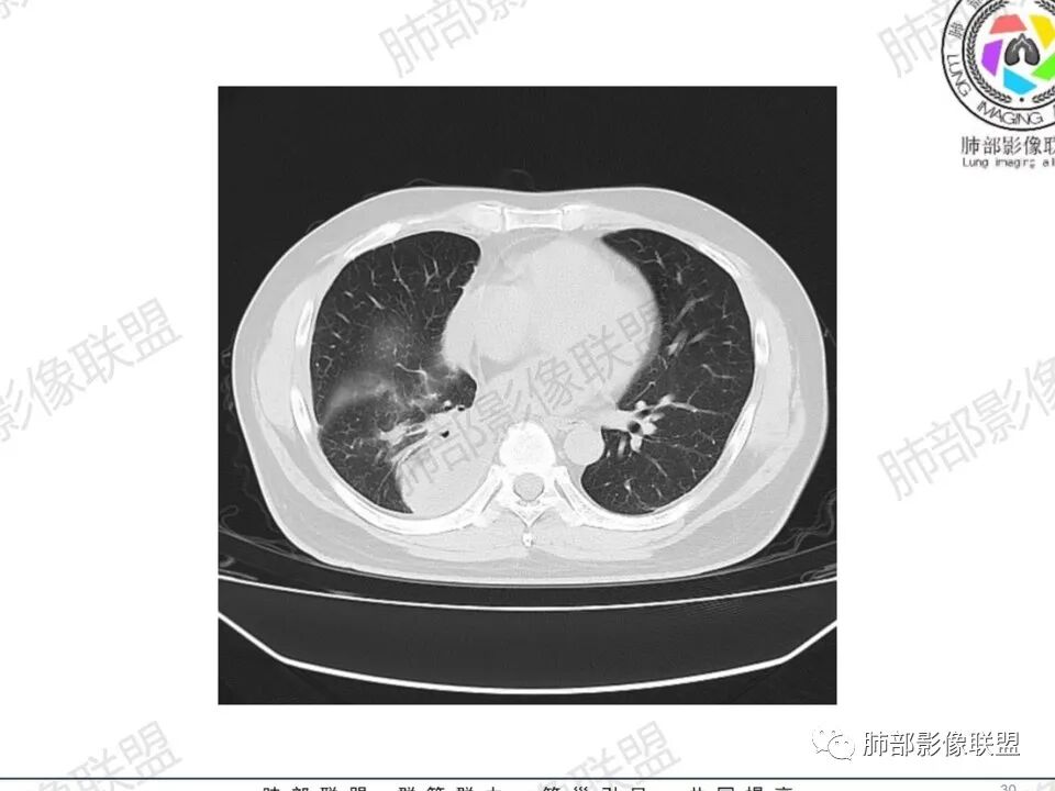
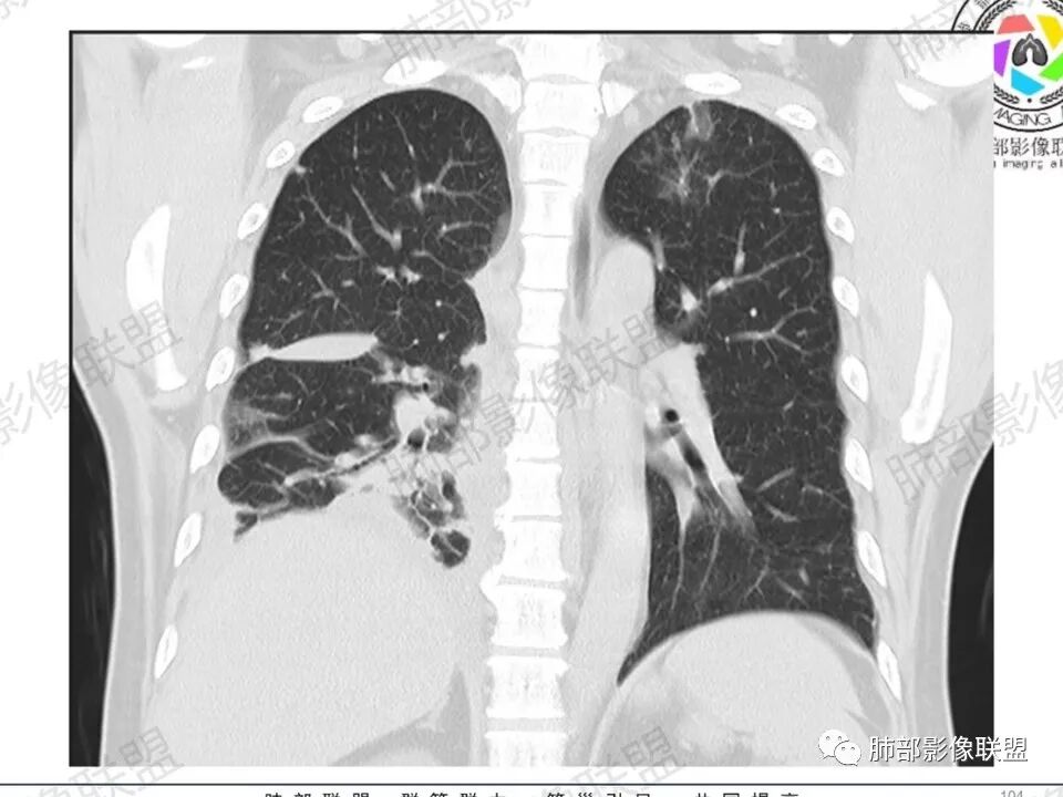
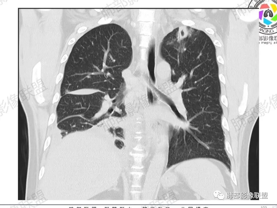
双肺多发结节,胸膜下为主,部分可见空洞。左肺上叶尖后段结节较大,分叶毛刺,周围可见长条索及小斑片影,内空洞比较光滑,内侧壁可见支气管通过。右肺下叶后基底段不张实变,后侧积液,右侧水平裂积液,右侧膈胸膜纵膈胸膜增厚积液,右侧侧胸膜肥厚,考虑1:一元金葡。2二元:金葡,左肺上叶结核。
大雄:
金葡菌血流感染并双肺SPE
左手中指皮损→感染→入血→右心→肺动脉→脓毒栓子
小兜:
男,45岁,左手指红肿疼痛两天,右侧胸壁疼痛伴发热12小时入院。患者急性起病,胸部CT示双肺多发结节,部分伴空洞,空洞壁较光滑,右侧胸腔积液,考虑感染性病变,金葡菌加SPE可能
Yishion:
感觉还是金葡入血形成SPE可能性较大,胸水+楔形影+胸膜结节
King: 首先肯定存在血播spe,金葡可能大。其次注意右侧包裹的胸水和肺不张,结核常见,可能二元,金葡是否常见包裹待商榷。
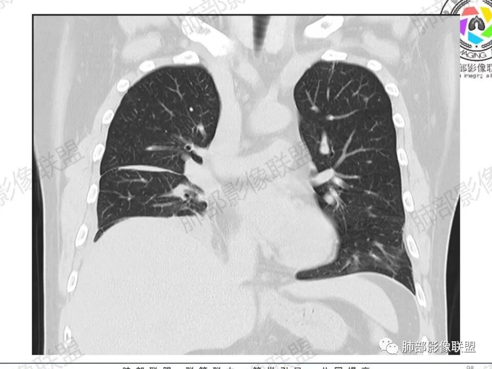
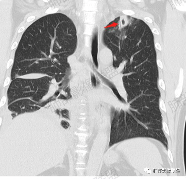
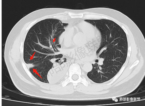
尘缘: @赵永兵 内蒙巴市临河妇幼影像科 左上肺也是胸膜下(胸膜顶下)的SPE。
这个图就是理由

尘缘:
@赵永兵 内蒙巴市临河妇幼影像科 支气管是从旁边经过,所以不是空洞,是胸膜下的脓毒栓。如果是结核空洞,应该与支气管相通(因为结核没有血播感染表现的时候,来源是气道,空洞应该与支气管相通),所以支气管从旁边经过,这病灶又在胸膜下,周围也没有干酪坏死。当然是SPE了。
周太狼:
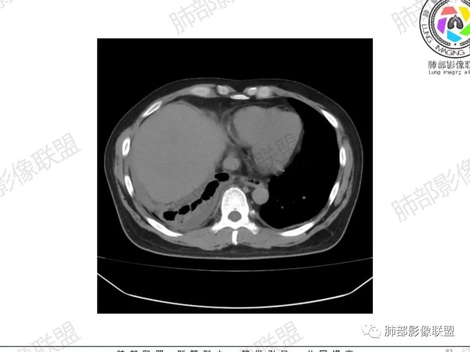
中年男性,左手中指及胸壁疼痛伴发热来诊,影像见双肺多发结节,胸膜下分布为主,部分结节可见空洞,边缘模糊。左肺上叶尖后段结节较大。右肺下叶后基底段不张实变,右侧叶间裂及右侧胸腔积液,右侧侧胸膜肥厚。考虑金葡菌感染,血播SPE。
毛勤香:
两肺多发结节空洞,随机分布,右肺下叶部分病灶实变并胸膜腔少量积液,有皮肤破溃,手指疼痛,发热,考虑感染性变,金葡可能性大。
傅昌瑜:
有胸腔积液更提示血道来源
                          

南边老师分析

南边:
有破溃

南边:
急性病史
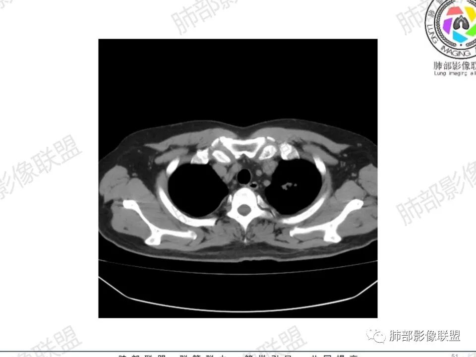
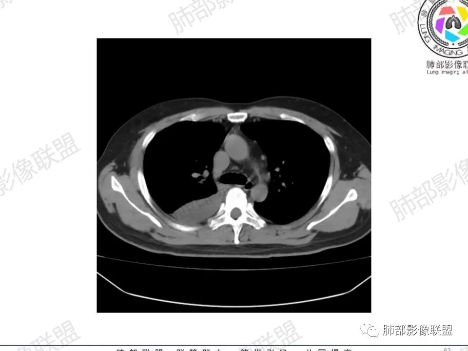
胸膜下为主多发结节,边缘光滑
伴随楔形影,支气管壁不增厚



南边:
空洞内壁光滑,偏心厚壁空洞,张力高
胸水,部分包裹
支持血道来源感染性病变,金葡菌肺炎首选
一般包裹提示粘连,多为炎性改变
脓胸也可以
一般提示修复能力比较强
说明病人免疫力还好
如果局部结构变形,收缩明显,提示纤维化,那就是慢性
南边:
血道来源
气道的前提支气管壁改变
伴随气道的树芽征等
病灶分布沿支气管走形

                          

病例结果






关于金葡菌肺炎

  
金黄色葡萄球菌:革兰阳性菌,涂片表现为成对的短链状四联球菌或簇状。金葡菌肺炎:是由金黄色葡萄球菌引起的急性化脓性肺部感染,常发生于免疫功能受损的病人。主要分为原发性(吸入性)金葡菌肺炎和继发性(血源性)金葡菌肺炎。血源性金葡菌肺炎:常继发于金葡菌败血症及脓毒血症,由细菌栓子经血液循环至肺而引起。多表现为肺外周和基底部分布为主的多发点片状影、楔形影及类圆形结节影等。菌栓引起多发性肺小动脉栓塞,导致双肺多发性化脓性炎症,进而组织坏死形成多发性肺脓肿,并可累及胸膜产生脓胸或脓气胸。诊断要点:    1.金黄色葡萄球菌引起3%的社区获得性肺炎及15%的医院获得性肺炎。社区获得性感染患者常有皮肤等部位的损伤、感染等。    2.金黄色葡萄球菌肺炎的主要危险因素有静脉输液和ICU患者。    3.常见的影像学表现:    1)单侧(60%)或双侧(40%)斑片状实变影(支气管肺炎)    2)空洞性结节(直径4~10mm)
    3)CT可见小叶中心结节、片状影、树芽征及楔形影(脓毒性栓塞)。血源性感染病灶进展变化尤其迅速。
    4)肺气囊形成。尤其是短期内出现的多发薄壁气囊具有一定特征性。
   5) 脓肿形成
   6) 胸腔积液。易形成脓胸
少见的影像学特征:弥漫性肺实变(表示支气管肺炎融合)  
部分内容摘自:1.张嵩主编 《肺部疾病临床与影像解析》
2. Nestor L Müller C.Isabela.Silva主编《胸部影像学》

编辑:曲佩红
审核:蔡笑燕  徐  晓
病例提供:广西贵港市骨科医院 冼新源


到顶部