【每日晨读】喜怒无常的肺结节





























微信群发言

蓝天白云:
糖尿病基础,沿支气管分布,治疗后增大,考虑结核。
胖胖:
免疫妥协,气道分布,细胞角蛋白19片段轻度升高 其他标志物正常,特治星和呼吸喹诺酮都压不下去,进展速度快,考虑结核。
如果是影像学清晰可见的非小,细胞角蛋白19片段一般会大于10,而且CEA或者是SCC也会明显上升。这个切点参考自台湾的尚捷医学检验所。
如果是典型病原体,我觉得这个肺部表现会有明显的中毒症状,尤其是要考虑这个人本身就是免疫妥协状态。免疫妥协状态的病人在感染的时候,影像会更多具有迷惑性,所以这类病人我不会单纯以影像看问题。
王开金江津中心医院呼吸科:
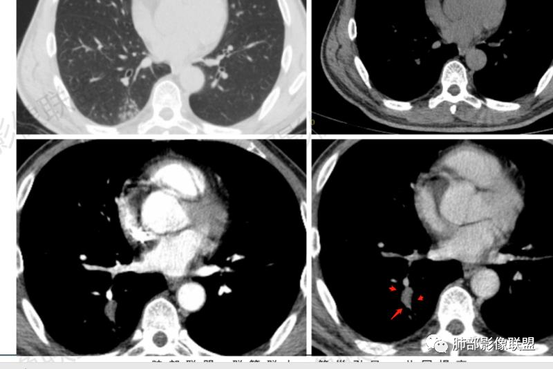
中年,糖尿病,无症状,逍遥,胸部ct,右下背小结节,内坏死,有空洞,碧光滑,外壁光滑,内壁低密度,凝固性坏死,外周树芽征,考虑肺结核。
杨泽锋:
支气管堵塞了,周围阻塞性炎症而不是所谓的树芽征,这个角度应该首先肺癌。不支持的是九天时间病灶出现了变化,内部出现了小空洞,而且阻塞性炎症似乎更厉害了,还是间隔久一点再复查看看或者做个气管镜吧。
一切∮随缘:
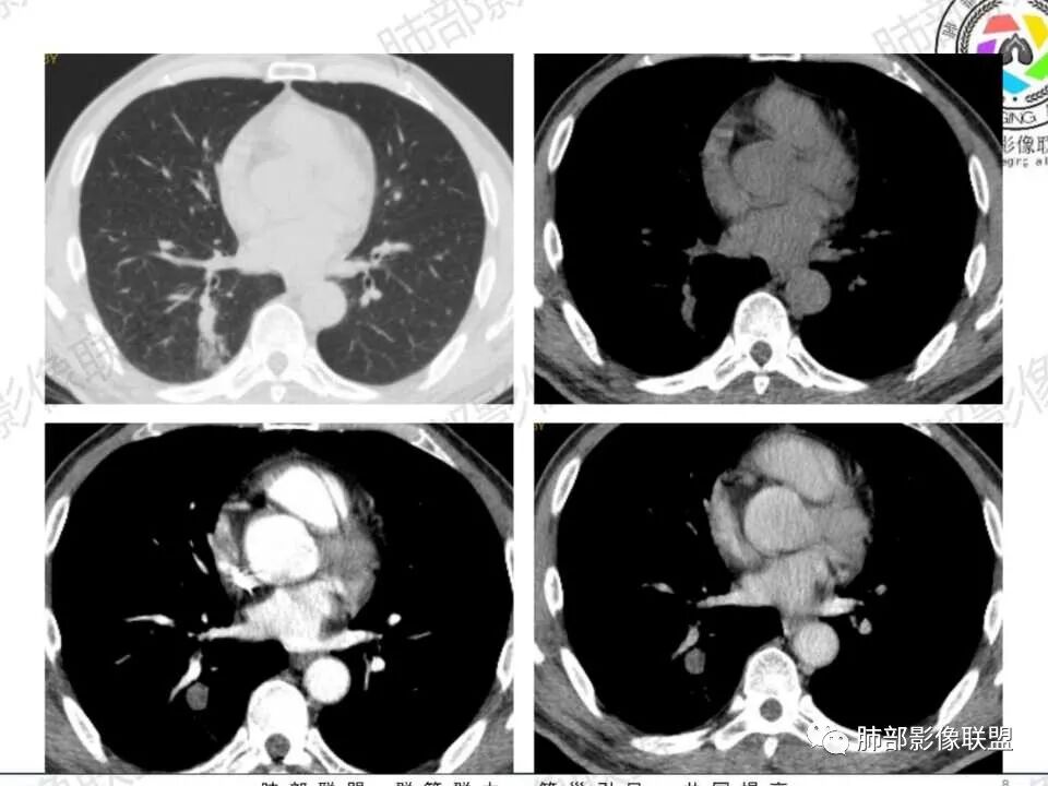
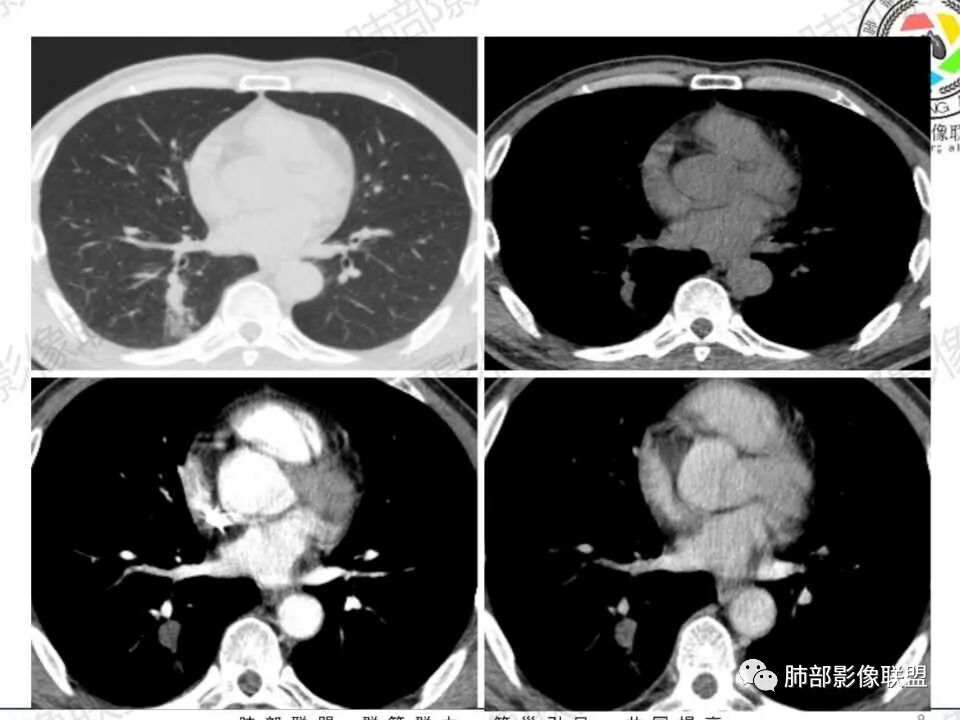
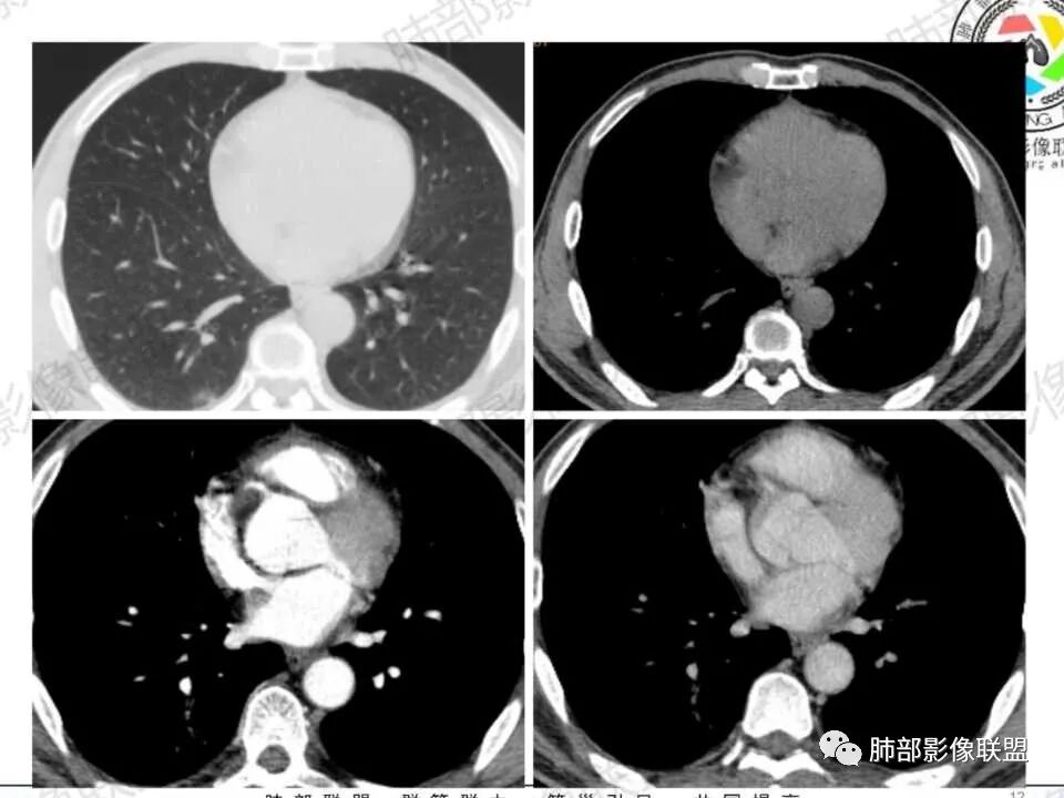
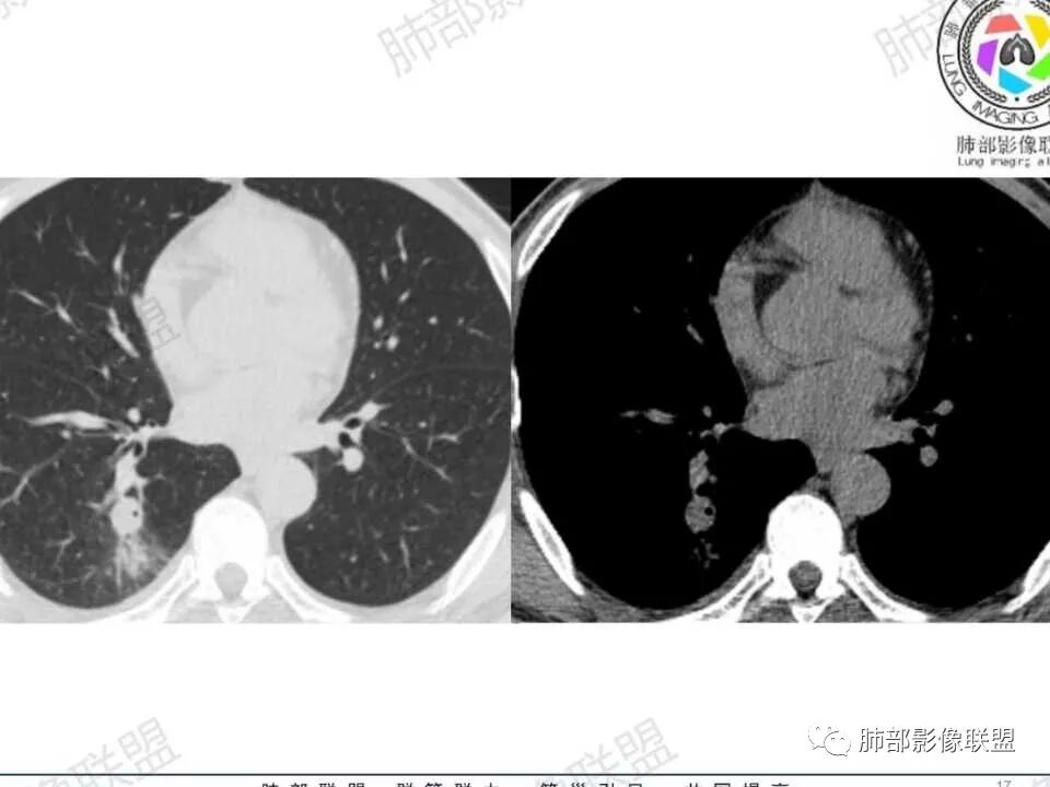
第一次CT:右肺下叶实性结节,近段血管束增粗并与结节相连,结节边缘光滑,密度均匀。第二次(间隔九天,治疗后复查):结节增大,伴有磨玻璃,边界欠清,远端树丫,结节内可见空泡影,壁光滑,临床无明显症状,短期增大先考虑非肿瘤性病变,炎性假瘤,结核,隐球菌。
琦遇:
短时间内复查病灶变化挺大,恶性基本排除 ,患者有糖尿病,糖尿病四大金刚,然后患者治疗用了喹诺酮类药对结核有轻微疗效,所以复查,看到支气管远端通了。
许慧良:
中年男性患者,1年前发现肺结节,7天前复查结节较前增大,有糖尿病且控制不佳,胸部CT:右肺下叶后段类圆形结节病灶,边界清楚,内部密度均匀,治疗后见内壁光滑的小空洞,结节远端有阻塞性炎症,考虑炎性病变,结核可能,鉴别鳞癌。
李:
小结节病变,边界清楚规则,后出现空洞,远端片状影,考虑内膜结核
看图说话:
右肺结节,气管堵塞,结节边缘光滑,密度均匀,远端斑片影。治疗后复查结节增大,空洞,斑片影伴有磨玻璃,边界欠清,糖尿病,短期增大,考虑结核,隐球菌。
红星:
男性病人48岁,既往有糖尿病的病史,影像学表现,右肺下叶后段类圆形的小结节病灶 ,边界比较光整,内见小空洞影 ,病灶远端见小片状的渗出性病灶,增强扫描病灶轻度的强化。病灶在治疗的过程中短期内有增大。整体病灶表现为一个光整结节+远端阻塞性肺炎+小空洞+轻强化,周围无卫星病灶,考虑感染性病变,隐球菌感染?结核次考虑。
宇宙:
右肺下叶结节,边缘光整,密度均匀,伴阻塞炎症,增强无强化,抗感染一周复查效果差,结节内小空洞,阻塞明显,胸膜增厚,糖尿病病史,首先考虑结核,隐球菌待排
爱跳舞的猫:
糖尿病病史,右肺下叶结节,边缘光整,密度欠均匀,远端阻塞炎症,增强强化不明显,抗感染一周复查,结节较前增大,内出现小空洞,阻塞明显,胸膜增厚,首先考虑结核,隐球菌待排。
毛勤香:
右肺下叶结节,周围树芽,增强内有少许坏死,糖尿病基础,抗感染治疗效果不佳,常规考虑结核。
自信人生:
糖尿病病史,常规抗炎无效,右肺下叶背段,
临近支气管爬行征象及类似卫星灶,
首先考虑结核。
采莲:
中年男性,糖尿病史,无症状。右肺下叶类圆形结节,边缘光滑,支气管近端阻塞,远端淡片影,树芽还是阻塞性炎症?感觉像树芽,沿支气管分布,无明显强化,治疗一周后复查CT,支气管通而不畅,近端小空洞,远端淡片影加重。考虑肺结核可能性大,鉴别肺癌并阻塞性肺炎。
王崇军:
中年男性,糖尿病史,无症状。右肺下叶类圆形结节,边缘光滑,远端树芽征,沿支气管分布,无明显强化,治疗一周后复查CT,支气管通而不畅,近端小空洞,远端树芽征进展为磨玻璃影。考虑肺结核可能性大。
傅昌瑜:
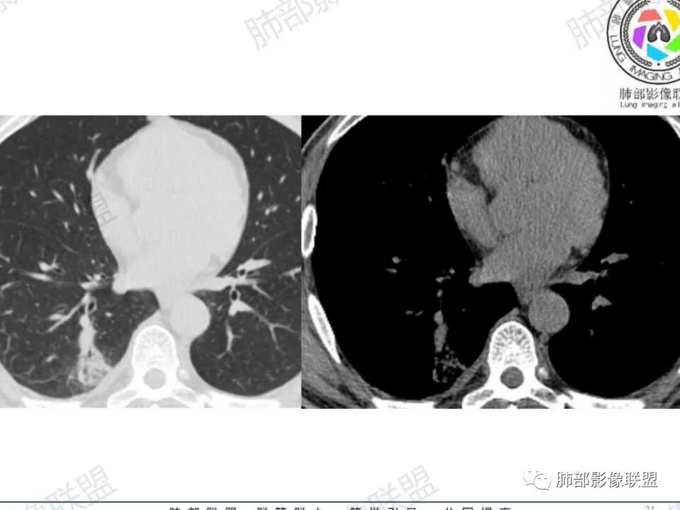
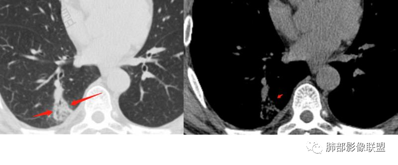
中年男性患者,有糖尿病基础。右下肺结节较1年前增大,CT表现:右肺下叶后段类圆形结节,边界清楚,边缘部分膀隆、部分平直,内部大部分密度均匀,其中见小条状低密度影(粘液栓?),近端支气管堵塞(抗感染治疗后见大部分通畅,近端支气管进入截断入口圆钝、远端支气管稍扩张),综合考虑结核可能性大,治疗后病灶呈支气管挂果,注意鉴别错构瘤。
 

南边老师分析

中年男性,糖尿病,右下叶后基底段?背段?
结节+后方炎症;
常规的思路:1、肿瘤,远端阻塞   2、感染:糖尿病相关
我们看看病灶:
结节边缘尚清,部分平直

密度均匀

复查时支气管似乎通了

腔内似乎有物质堵塞

从这个角度看支气管似乎与结节关系不密切,推移为主
但是结节内出现含气影

远端楔形,符合阻塞的特点



增强还是有强化,整体边缘平直
觉得远端是小树芽

              支持炎性,结核首选。

病理结果


                    病例小结
影像与临床:
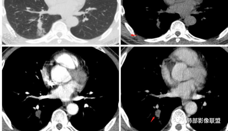
1.中年男性,发现肺部结节增大就医(一年前发现肺部结节),缺乏临床表现。有糖尿病基础。
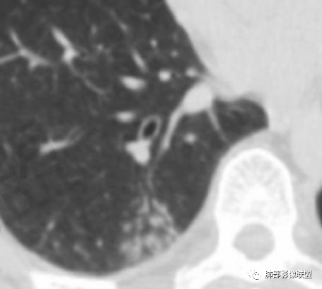
2.右肺下叶背段指尖大小结节影伴外围片状影及小结节影,片影中有结节感。
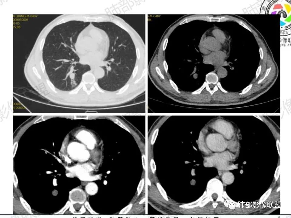
3.近背段支气管开口附近结节密度不甚均匀,未见钙化或脂质密度区。边界清楚光整,内侧平直,未见典型深分叶及毛刺,增强扫描轻度强化。
4.哌拉西林、左氧氟沙星等治疗一周后,较大结节影及外围病灶范围均见增大。
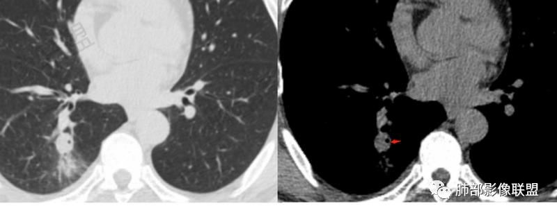
5.背段支气管于结节内侧份“旁现侧出”,管壁完整,管腔少量分泌物,近乎疏通状态。结节内隐约出现微小含气空腔。
6.肺门及纵隔未见增大淋巴结。
综合分析:
1.会是肺腺癌吗?较长时间段内固定存在的结节影我们会想到新生物。本例结节影边界清楚光整,内缘平直,缺乏典型深分叶及毛刺,未见异常强化,未见肿大淋巴结等,缺乏肺腺癌的依据。
2.会是硬化性肺细胞瘤吗?病灶支气管相关,未见异常强化,短期内增大等几乎完全将硬化性肺细胞瘤排除在外。
3.同样的理由也不支持错构瘤,尽管结节影密度不均匀。我们几乎不可能在错构瘤中观察到如此穿行的支气管!
4.会是隐球菌感染吗?急性感染,如易形成空洞的肺炎克雷伯杆菌感染等我们自然不在考虑之列,无论是临床表现还是影像学改变。肺部隐球菌病灶有时酷似新生物,但如此漫长不出新花样的侵袭性病灶则非常罕见!
5.临床表现轻微的病灶还有肺结核!可以长期“默默无闻”。本例结节影密度欠均匀,强化不显著,可以出现小空洞,周围见小结节影等,结核确实存在众多支持点。
不事张扬的小空洞,最常见的还是结核!
6.外围片影的迅速扩大应考虑为继发性改变,不宜单以结核感染本身加以解释。
编辑:靳文剑
审核:蔡笑燕  徐  晓


到顶部